Transcriptome Analysis to Elucidate the Effects of Milk Replacer Feeding Level on Intestinal Function and Development of Early Lambs
Abstract
Simple Summary
Abstract
1. Introduction
2. Materials and Methods
2.1. Experimental Design and Animal Management
2.2. Measurement of Growth Performance and Feed Intake
2.3. Sample Collection
2.4. mRNA Library Construction and Sequencing
2.5. Reference Genome Alignment and Differential Gene Expression Analysis
2.6. Quantitative Reverse-Transcription PCR (qRT-PCR)
2.7. Pathway Analysis of DEGs
2.8. Construction of a Gene Co-Expression Network and Identification of Significant Modules
2.9. Statistical Analysis
3. Results
3.1. Growth Performance and Feed Intake
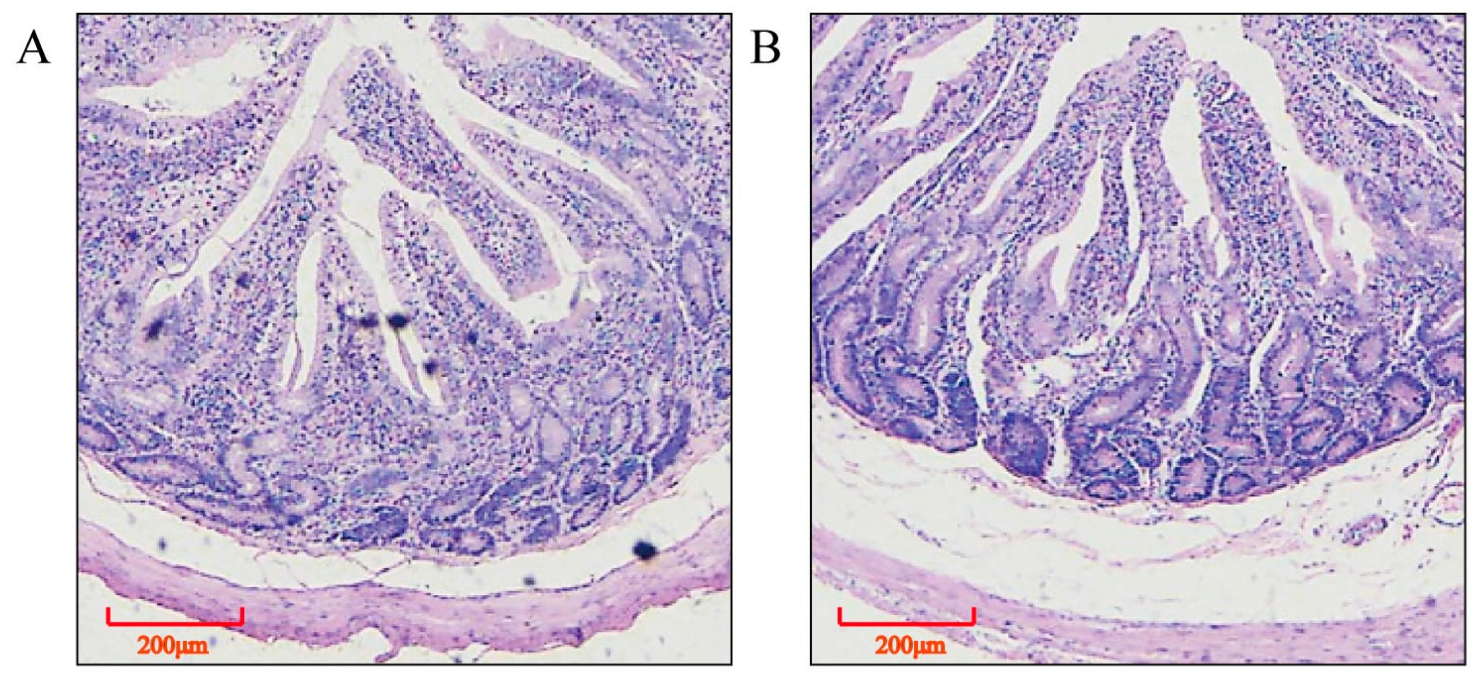
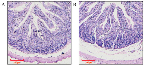
3.2. Jejunal Histomorphology and Digestive Enzyme Activity
3.3. Sequencing Data-Mapping Statistics
3.4. Analysis of DEGs
3.5. Enrichment Analysis of DEGs
3.6. Construction of a Gene Co-Expression Network and Identification of Significant Modules
4. Discussion
5. Conclusions
Supplementary Materials
Author Contributions
Funding
Institutional Review Board Statement
Informed Consent Statement
Data Availability Statement
Conflicts of Interest
References
- McCoard, S.A.; Cristobal-Carballo, O.; Knol, F.W.; Heiser, A.; Khan, M.A.; Hennes, N.; Johnstone, P.; Lewis, S.; Stevens, D.R. Impact of early weaning on small intestine, metabolic, immune and endocrine system development, growth and body composition in artificially reared lambs. J. Anim. Sci. 2020, 98, skz356. [Google Scholar] [CrossRef]
- Belanche, A.; Cooke, J.; Jones, E.; Worgan, H.J.; Newbold, C.J. Short- and long-term effects of conventional and artificial rearing strategies on the health and performance of growing lambs. Animal 2019, 13, 740–749. [Google Scholar] [CrossRef]
- Mialon, M.M.; Boivin, X.; Durand, D.; Boissy, A.; Delval, E.; Bage, A.S.; Clanet, C.; Cornilleau, F.; Parias, C.; Foury, A.; et al. Short- and mid-term effects on performance, health and qualitative behavioural assessment of Romane lambs in different milk feeding conditions. Animal 2021, 15, 100157. [Google Scholar] [CrossRef]
- Hryciw, D.H. Early Life Nutrition and the Development of Offspring Metabolic Health. Int. J. Mol. Sci. 2022, 23, 8096. [Google Scholar] [CrossRef] [PubMed]
- Zhang, Q.; Li, C.; Niu, X.; Zhang, Z.; Li, F.; Li, F. An intensive milk replacer feeding program benefits immune response and intestinal microbiota of lambs during weaning. BMC Vet. Res. 2018, 14, 366. [Google Scholar] [CrossRef]
- Huang, Y.; Wang, G.; Zhang, Q.; Chen, Z.; Li, C.; Wang, W.; Zhang, X.; Wang, X.; Zhang, D.; Cui, P.; et al. Effects of milk replacer feeding level on growth performance, rumen development and the ruminal bacterial community in lambs. Front. Microbiol. 2023, 13, 1069964. [Google Scholar] [CrossRef]
- Mosenthin, R.; Zentek, J.; Zebrowska, T. Biology of Nutrition in Growing Animals; Elsevier: Amsterdam, The Netherlands, 2006. [Google Scholar]
- Blum, J.W. Nutritional physiology of neonatal calves. J. Anim. Physiol. Anim. Nutr. 2006, 90, 1–11. [Google Scholar] [CrossRef] [PubMed]
- Khan, M.A.; Bach, A.; Weary, D.M.; von Keyserlingk, M.A.G. Invited review: Transitioning from milk to solid feed in dairy heifers. J. Dairy Sci. 2016, 99, 885–902. [Google Scholar] [CrossRef]
- Meale, S.J.; Chaucheyras-Durand, F.; Berends, H.; Guan, L.L.; Steele, M.A. From pre- to postweaning: Transformation of the young calf’s gastrointestinal tract. J. Dairy Sci. 2017, 100, 5984–5995. [Google Scholar] [CrossRef]
- van Keulen, P.; McCoard, S.A.; Dijkstra, J.; Swansson, H.; Khan, M.A. Effect of postpartum collection time and colostrum quality on passive transfer of immunity, performance, and small intestinal development in preweaning calves. J. Dairy Sci. 2021, 104, 11931–11944. [Google Scholar] [CrossRef]
- Sauter, S.N.; Roffler, B.; Philipona, C.; Morel, C.; Romé, V.; Guilloteau, P.; Blum, J.W.; Hammon, H.M. Intestinal development in neonatal calves: Effects of glucocorticoids and dependence of colostrum feeding. Biol. Neonate 2004, 85, 94–104. [Google Scholar] [CrossRef]
- Ontsouka, E.C.; Albrecht, C.; Bruckmaier, R.M. Invited review: Growth-promoting effects of colostrum in calves based on interaction with intestinal cell surface receptors and receptor-like transporters. J. Dairy Sci. 2016, 99, 4111–4123. [Google Scholar] [CrossRef]
- Hansson, J.; Panchaud, A.; Favre, L.; Bosco, N.; Mansourian, R.; Benyacoub, J.; Blum, S.; Jensen, O.N.; Kussmann, M. Time-resolved quantitative proteome analysis of in vivo intestinal development. Mol. Cell. Proteom. 2011, 10, M110.005231. [Google Scholar] [CrossRef]
- Krndija, D.; El Marjou, F.; Guirao, B.; Richon, S.; Leroy, O.; Bellaiche, Y.; Hannezo, E.; Matic Vignjevic, D. Active cell migration is critical for steady-state epithelial turnover in the gut. Science 2019, 365, 705–710. [Google Scholar] [CrossRef]
- Hussain, M.M. Intestinal lipid absorption and lipoprotein formation. Curr. Opin. Lipidol. 2014, 25, 200–206. [Google Scholar] [CrossRef]
- Yue, X.X.; Diao, Q.Y.; Chun-Hui, M.A.; Deng, K.D.; Yan, T.U.; Jiang, C.G.; Hong-Fang, D.U. Effects of Feeding Levels of a Milk Replacer on Digestion and Metabolism of Nutrients, and Serum Biochemical Indexes in Lambs. Sci. Agric. Sin. 2011, 44, 4464–4473. [Google Scholar]
- Kechin, A.; Boyarskikh, U.; Kel, A.; Filipenko, M. cutPrimers: A New Tool for Accurate Cutting of Primers from Reads of Targeted Next Generation Sequencing. J. Comput. Biol. 2017, 24, 1138–1143. [Google Scholar] [CrossRef]
- Frazee, A.C.; Pertea, G.; Jaffe, A.E.; Langmead, B.; Salzberg, S.L.; Leek, J.T. Ballgown bridges the gap between transcriptome assembly and expression analysis. Nat. Biotechnol. 2015, 33, 243–246. [Google Scholar] [CrossRef]
- Livak, K.J.; Schmittgen, T.D. Analysis of relative gene expression data using real-time quantitative PCR and the 2(-Delta Delta C(T)) Method. Methods 2001, 25, 402–408. [Google Scholar] [CrossRef]
- Langfelder, P.; Horvath, S. WGCNA: An R package for weighted correlation network analysis. BMC Bioinform. 2008, 9, 559. [Google Scholar] [CrossRef]
- O’Loughlin, A.; McGee, M.; Doyle, S.; Earley, B. Biomarker responses to weaning stress in beef calves. Res. Vet. Sci. 2014, 97, 458–463. [Google Scholar] [CrossRef]
- Santos, A.; Giráldez, F.J.; Frutos, J.; Andrés, S. Liver transcriptomic and proteomic profiles of preweaning lambs are modified by milk replacer restriction. J. Dairy Sci. 2019, 102, 1194–1204. [Google Scholar] [CrossRef]
- van der Flier, L.G.; Clevers, H. Stem cells, self-renewal, and differentiation in the intestinal epithelium. Annu. Rev. Physiol. 2009, 71, 241–260. [Google Scholar] [CrossRef]
- Stoll, B.; Henry, J.; Reeds, P.J.; Yu, H.; Jahoor, F.; Burrin, D.G. Catabolism dominates the first-pass intestinal metabolism of dietary essential amino acids in milk protein-fed piglets. J. Nutr. 1998, 128, 606–614. [Google Scholar] [CrossRef]
- Beaumont, M.; Blachier, F. Amino Acids in Intestinal Physiology and Health. In Advances in Experimental Medicine and Biology; Springer: Cham, Switzerland, 2020; Volume 1265, pp. 1–20. [Google Scholar] [CrossRef]
- Kong, S.; Zhang, Y.H.; Zhang, W. Regulation of Intestinal Epithelial Cells Properties and Functions by Amino Acids. Biomed. Res. Int. 2018, 2018, 2819154. [Google Scholar] [CrossRef]
- Wang, B.; Wu, G.; Zhou, Z.; Dai, Z.; Sun, Y.; Ji, Y.; Li, W.; Wang, W.; Liu, C.; Han, F.; et al. Glutamine and intestinal barrier function. Amino Acids 2015, 47, 2143–2154. [Google Scholar] [CrossRef]
- Umapathy, D.; Subramanyam, P.V.; Krishnamoorthy, E.; Viswanathan, V.; Ramkumar, K.M. Association of Fetuin-A with Thr256Ser exon polymorphism of α2-Heremans Schmid Glycoprotein (AHSG) gene in type 2 diabetic patients with overt nephropathy. J. Diabetes Complicat. 2022, 36, 108074. [Google Scholar] [CrossRef]
- Goustin, A.S.; Abou-Samra, A.B. The “thrifty” gene encoding Ahsg/Fetuin-A meets the insulin receptor: Insights into the mechanism of insulin resistance. Cell. Signal. 2011, 23, 980–990. [Google Scholar] [CrossRef]
- Pan, J.; Cen, L.; Zhou, T.; Yu, M.; Chen, X.; Jiang, W.; Li, Y.; Yu, C.; Shen, Z. Insulin-like growth factor binding protein 1 ameliorates lipid accumulation and inflammation in nonalcoholic fatty liver disease. J. Gastroenterol. Hepatol. 2021, 36, 3438–3447. [Google Scholar] [CrossRef]
- Meyer, N.M.T.; Kabisch, S.; Dambeck, U.; Honsek, C.; Kemper, M.; Gerbracht, C.; Arafat, A.M.; Birkenfeld, A.L.; Schwarz, P.E.H.; Machann, J.; et al. Low IGF1 and high IGFBP1 predict diabetes onset in prediabetic patients. Eur. J. Endocrinol. 2022, 187, 555–565. [Google Scholar] [CrossRef]
- Kim, T.H.; Koo, J.H.; Heo, M.J.; Han, C.Y.; Kim, Y.I.; Park, S.Y.; Cho, I.J.; Lee, C.H.; Choi, C.S.; Lee, J.W.; et al. Overproduction of inter-α-trypsin inhibitor heavy chain 1 after loss of Gα(13) in liver exacerbates systemic insulin resistance in mice. Sci. Transl. Med. 2019, 11, eaan4735. [Google Scholar] [CrossRef]
- Okawa, M.; Fujii, K.; Ohbuchi, K.; Okumoto, M.; Aragane, K.; Sato, H.; Tamai, Y.; Seo, T.; Itoh, Y.; Yoshimoto, R. Role of MGAT2 and DGAT1 in the release of gut peptides after triglyceride ingestion. Biochem. Biophys. Res. Commun. 2009, 390, 377–381. [Google Scholar] [CrossRef]
- Mochida, T.; Take, K.; Maki, T.; Nakakariya, M.; Adachi, R.; Sato, K.; Kitazaki, T.; Takekawa, S. Inhibition of MGAT2 modulates fat-induced gut peptide release and fat intake in normal mice and ameliorates obesity and diabetes in ob/ob mice fed on a high-fat diet. FEBS Open Bio. 2020, 10, 316–326. [Google Scholar] [CrossRef]
- Cheng, D.; Zinker, B.A.; Luo, Y.; Shipkova, P.; De Oliveira, C.H.; Krishna, G.; Brown, E.A.; Boehm, S.L.; Tirucherai, G.S.; Gu, H.; et al. MGAT2 inhibitor decreases liver fibrosis and inflammation in murine NASH models and reduces body weight in human adults with obesity. Cell Metab. 2022, 34, 1732–1748.e5. [Google Scholar] [CrossRef]
- Chen, J.X.; Jiang, S.B.; Wang, J.; Renukuntla, J.; Sirimulla, S.; Chen, J.J. A comprehensive review of cytochrome P450 2E1 for xenobiotic metabolism. Drug Metab. Rev. 2019, 51, 178–195. [Google Scholar] [CrossRef]
- Porubsky, P.R.; Battaile, K.P.; Scott, E.E. Human Cytochrome P450 2E1 Structures with Fatty Acid Analogs Reveal a Previously Unobserved Binding Mode. J. Biol. Chem. 2010, 285, 22282–22290. [Google Scholar] [CrossRef]
- Zhang, Y.; Yan, T.; Wang, T.; Liu, X.; Hamada, K.; Sun, D.; Sun, Y.; Yang, Y.; Wang, J.; Takahashi, S.; et al. Crosstalk between CYP2E1 and PPARα substrates and agonists modulate adipose browning and obesity. Acta Pharm. Sin. B 2022, 12, 2224–2238. [Google Scholar] [CrossRef]
- Liu, S.; Wu, J.; Wu, Z.; Alugongo, G.M.; Zahoor Khan, M.; Li, J.; Xiao, J.; He, Z.; Ma, Y.; Li, S.; et al. Tributyrin administration improves intestinal development and health in pre-weaned dairy calves fed milk replacer. Anim. Nutr. 2022, 10, 399–411. [Google Scholar] [CrossRef]
- Welboren, A.C.; Hatew, B.; Renaud, J.B.; Leal, L.N.; Martín-Tereso, J.; Steele, M.A. Intestinal adaptations to energy source of milk replacer in neonatal dairy calves. J. Dairy Sci. 2021, 104, 12079–12093. [Google Scholar] [CrossRef]
- Smith, N.; Bornikova, L.; Noetzli, L.; Guglielmone, H.; Minoldo, S.; Backos, D.S.; Jacobson, L.; Thornburg, C.D.; Escobar, M.; White-Adams, T.C.; et al. Identification and characterization of novel mutations implicated in congenital fibrinogen disorders. Res. Pract. Thromb. Haemost. 2018, 2, 800–811. [Google Scholar] [CrossRef]
- Parker, C.J.; Stone, O.L.; White, V.F.; Bernshaw, N.J. Vitronectin (S protein) is associated with platelets. Br. J. Haematol. 1989, 71, 245–252. [Google Scholar] [CrossRef]
- Keragala, C.B.; Medcalf, R.L. Plasminogen: An enigmatic zymogen. Blood 2021, 137, 2881–2889. [Google Scholar] [CrossRef]
- Mosesson, M.W. Fibrinogen and fibrin structure and functions. J. Thromb. Haemost. 2005, 3, 1894–1904. [Google Scholar] [CrossRef]
- Snir, A.; Brenner, B.; Paz, B.; Ohel, G.; Lanir, N. The role of fibrin matrices and tissue factor in early-term trophoblast proliferation and spreading. Thromb. Res. 2013, 132, 477–483. [Google Scholar] [CrossRef]




| Items | Starter Diet 1 | MR |
|---|---|---|
| Ingredients [%] | ||
| Alfalfa meal | 18.50 | |
| Corn | 21.00 | |
| Extruded corn | 22.30 | |
| Bran | 6.00 | |
| Soybean meal | 21.50 | |
| Extruded soybean | 4.00 | |
| Corn gluten meal | 5.00 | |
| Limestone | 0.30 | |
| Premix 2 | 1.00 | |
| NaCl | 0.40 | |
| Total | 100.00 | |
| Chemical composition | ||
| DM (%) | 90.96 | 96.91 |
| DE (MJ·kg−1) | 13.01 | - |
| CP (%) | 19.50 | 23.22 |
| Fat (%) | 1.33 | 13.20 |
| Starch (%) | 33.10 | 0.00 |
| NDF (%) | 18.87 | 0.00 |
| ADF (%) | 8.60 | 0.00 |
| Item | Group | SEM | p Value | |
|---|---|---|---|---|
| C | H | |||
| BW (kg) | ||||
| 7 d | 4.64 | 4.62 | 0.28 | 0.969 |
| 35 d | 8.66 | 10.43 | 0.50 | 0.078 |
| 49 d | 11.26 | 12.37 | 0.60 | 0.377 |
| ADG (g) | ||||
| Preweaning (7–35 d) | 143.57 | 207.43 | 12.14 | 0.003 |
| Postweaning (36–49 d) | 185.82 | 139.18 | 13.97 | 0.096 |
| Starter intake (g) | ||||
| Preweaning (7–35 d) | 99.96 | 58.99 | 13.06 | 0.120 |
| Postweaning (36–49 d) | 416.40 | 368.19 | 28.37 | 0.417 |
| MR intake (g) | ||||
| Preweaning (7–35 d) | 111 | 222 | - | - |
| Postweaning (36–49 d) | - | - | - | - |
| DM intake (g) | ||||
| Preweaning (7–35 d) | 201.40 | 270.51 | 14.61 | 0.011 |
| Postweaning (36–49 d) | 390.83 | 345.59 | 26.63 | 0.417 |
| FCR (daily DM intake/ADG) | ||||
| Preweaning (7–35 d) | 1.39 | 1.32 | 0.08 | 0.407 |
| Postweaning (36–49 d) | 2.14 | 2.58 | 0.20 | 0.051 |
| Item | Group | SEM | p Value | |
|---|---|---|---|---|
| C | H | |||
| Villus height (μm) | 421.96 | 579.03 | 28.53 | 0.001 |
| Villus width (μm) | 143.93 | 153.03 | 4.29 | 0.307 |
| Crypt depth (μm) | 225.85 | 211.03 | 11.85 | 0.553 |
| Muscular thickness (μm) | 128.02 | 155.10 | 5.52 | 0.007 |
| Lactase activity (U/mgprot) | 2.80 | 17.18 | 2.20 | <0.001 |
| Amylase activity (U/mgprot) | 0.20 | 0.49 | 0.05 | <0.001 |
| Lipase activity (U/mgprot) | 9.87 | 38.24 | 4.96 | 0.001 |
| Tryptase activity (U/mgprot) | 0.19 | 0.58 | 0.07 | 0.002 |
| Chymotrypsin activity (U/mgprot) | 0.22 | 0.86 | 0.10 | <0.001 |
| Gene ID | Gene | Description | Group | log2FC | p Value | Q Value | |
|---|---|---|---|---|---|---|---|
| C | H | ||||||
| MSTRG.1830 | AHSG | alpha-2-HS glycoprotein | 0.45 | 717.51 | 11.88 | <0.001 | <0.001 |
| MSTRG.19394 | IGFBP1 | insulin-like growth factor-binding protein 1 precursor | 0.18 | 191.33 | 11.29 | <0.001 | <0.001 |
| MSTRG.10283 | ITIH1 | inter-alpha-trypsin inhibitor heavy chain 1 | 0.07 | 66.25 | 11.20 | <0.001 | <0.001 |
| MSTRG.23484 | PLG | plasminogen | 0.19 | 188.37 | 11.18 | <0.001 | <0.001 |
| MSTRG.14437 | CYP2E1 | cytochrome P450 family 2 subfamily E member 1 | 0.24 | 200.13 | 10.96 | <0.001 | <0.001 |
| MSTRG.7663 | HPX | hemopexin | 0.30 | 255.80 | 10.94 | <0.001 | <0.001 |
| MSTRG.10280 | ITIH3 | inter-alpha-trypsin inhibitor heavy chain 3 | 0.22 | 180.73 | 10.89 | <0.001 | <0.001 |
| MSTRG.3079 | CCL16 | C-C motif chemokine ligand 16 | 0.01 | 11.80 | 10.85 | <0.001 | 0.003 |
| MSTRG.5112 | ITIH2 | inter-alpha-trypsin inhibitor heavy chain 2 | 0.22 | 164.15 | 10.79 | <0.001 | <0.001 |
| MSTRG.3150 | VTN | vitronectin | 0.34 | 249.51 | 10.75 | <0.001 | <0.001 |
| MSTRG.8466 | FGA | fibrinogen alpha chain | 0.35 | 250.74 | 10.73 | <0.001 | <0.001 |
| MSTRG.21609 | ALB | albumin | 3.08 | 2174.13 | 10.72 | <0.001 | <0.001 |
| MSTRG.10688 | AMBP | alpha-1-microglobulin/bikunin precursor | 0.20 | 138.58 | 10.64 | <0.001 | <0.001 |
| MSTRG.14603 | TTR | transthyretin | 0.27 | 161.47 | 10.46 | <0.001 | <0.001 |
| MSTRG.1828 | HRG | histidine-rich glycoprotein | 0.07 | 41.77 | 10.37 | <0.001 | <0.001 |
| MSTRG.21601 | GC | vitamin D-binding protein | 0.75 | 347.75 | 10.11 | <0.001 | <0.001 |
| MSTRG.8468 | FGB | fibrinogen beta chain | 0.51 | 201.26 | 9.87 | <0.001 | <0.001 |
| MSTRG.15211 | ACSM1 | acyl-CoA synthetase medium-chain family member 1 | 0.13 | 47.39 | 9.71 | <0.001 | 0.001 |
| MSTRG.1829 | FETUB | fetuin-B | 0.10 | 37.77 | 9.70 | <0.001 | 0.001 |
| MSTRG.22432 | MGAT2 | mannosyl (alpha-1,6-)-glycoprotein beta-1,2-N-acetylglucosaminyltransferase | 5.13 | 0.01 | −11.86 | <0.001 | 0.005 |
Disclaimer/Publisher’s Note: The statements, opinions and data contained in all publications are solely those of the individual author(s) and contributor(s) and not of MDPI and/or the editor(s). MDPI and/or the editor(s) disclaim responsibility for any injury to people or property resulting from any ideas, methods, instructions or products referred to in the content. |
© 2023 by the authors. Licensee MDPI, Basel, Switzerland. This article is an open access article distributed under the terms and conditions of the Creative Commons Attribution (CC BY) license (https://creativecommons.org/licenses/by/4.0/).
Share and Cite
Wang, G.; Zhang, Q.; Chen, Z.; Huang, Y.; Wang, W.; Zhang, X.; Jia, J.; Gao, Q.; Xu, H.; Li, C. Transcriptome Analysis to Elucidate the Effects of Milk Replacer Feeding Level on Intestinal Function and Development of Early Lambs. Animals 2023, 13, 1733. https://doi.org/10.3390/ani13111733
Wang G, Zhang Q, Chen Z, Huang Y, Wang W, Zhang X, Jia J, Gao Q, Xu H, Li C. Transcriptome Analysis to Elucidate the Effects of Milk Replacer Feeding Level on Intestinal Function and Development of Early Lambs. Animals. 2023; 13(11):1733. https://doi.org/10.3390/ani13111733
Chicago/Turabian StyleWang, Guoxiu, Qian Zhang, Zhanyu Chen, Yongliang Huang, Weimin Wang, Xiaoxue Zhang, Jiale Jia, Qihao Gao, Haoyu Xu, and Chong Li. 2023. "Transcriptome Analysis to Elucidate the Effects of Milk Replacer Feeding Level on Intestinal Function and Development of Early Lambs" Animals 13, no. 11: 1733. https://doi.org/10.3390/ani13111733
APA StyleWang, G., Zhang, Q., Chen, Z., Huang, Y., Wang, W., Zhang, X., Jia, J., Gao, Q., Xu, H., & Li, C. (2023). Transcriptome Analysis to Elucidate the Effects of Milk Replacer Feeding Level on Intestinal Function and Development of Early Lambs. Animals, 13(11), 1733. https://doi.org/10.3390/ani13111733

