Transcriptomic Study on the Lungs of Broilers with Ascites Syndrome
Abstract
Simple Summary
Abstract
1. Introduction
2. Materials and Methods
2.1. Animal Management and Construction of an Ascites Model
2.2. Sample Collection
2.3. Total RNA Extraction, cDNA Library Construction, and RNA-seq
2.4. Gene Ontology Annotation and Kyoto Encyclopedia of Genes and Genomes (KEGG) Pathway Enrichment Analysis
2.5. Quantitative Real-Time PCR (qRT-PCR)
2.6. Statistical Analysis
3. Results
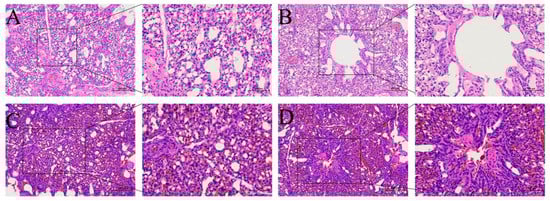
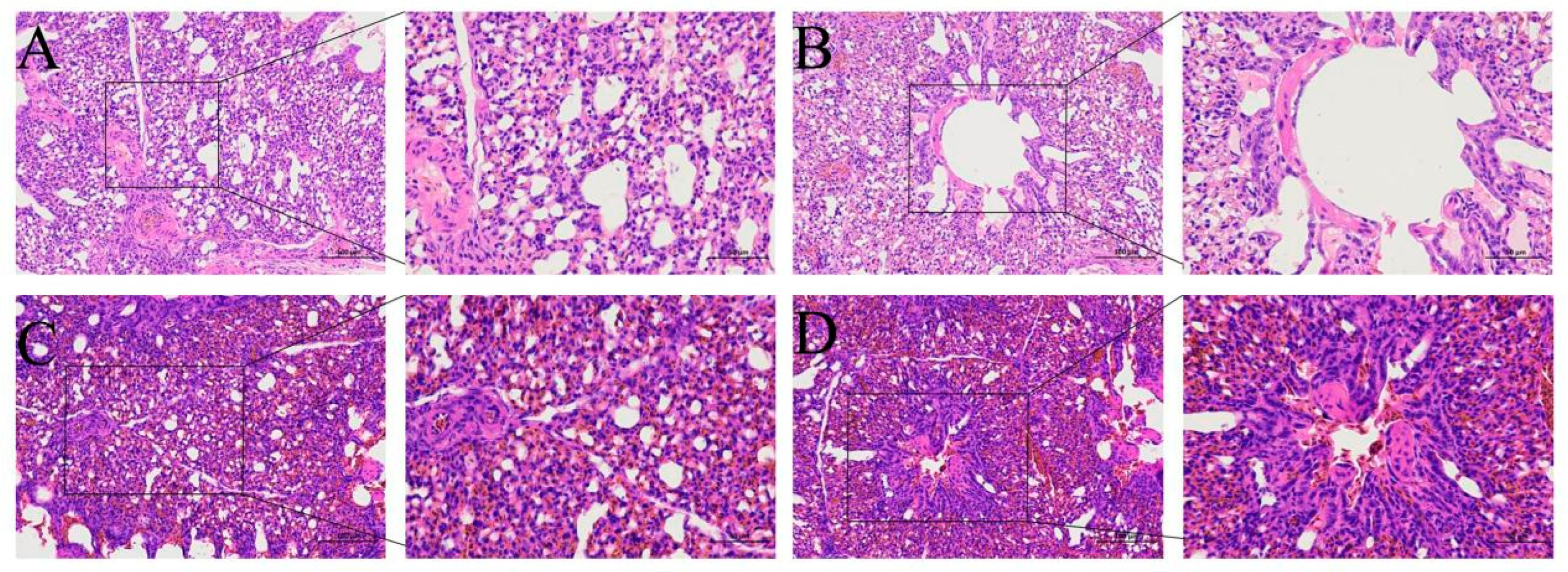
3.1. Routine Blood Parameters and Lung Pathology
3.2. RNA-seq Results
3.2.1. Transcriptome Profiles
3.2.2. Differential Gene Expression Analysis
3.2.3. Gene Set Analysis
4. Discussion
5. Conclusions
Author Contributions
Funding
Institutional Review Board Statement
Informed Consent Statement
Data Availability Statement
Acknowledgments
Conflicts of Interest
References
- Gupta, A.R. Ascites syndrome in poultry: A review. Worlds Poult. Sci. J. 2011, 67, 457–468. [Google Scholar] [CrossRef]
- Fu, X.; Zhang, F. Role of the HIF-1 signaling pathway in chronic obstructive pulmonary disease. Exp. Ther. Med. 2018, 16, 4553–4561. [Google Scholar] [CrossRef] [PubMed]
- Lawson, M.; Jomova, K.; Poprac, P.; Kuča, K.; Musílek, K.; Valko, M. Free radicals and antioxidants in human disease. In Nutritional Antioxidant Therapies: Treatments and Perspectives; Springer: Berlin/Heidelberg, Germany, 2018; pp. 283–305. [Google Scholar] [CrossRef]
- Stenmark, K.R.; Tuder, R.M.; El Kasmi, K.C. Metabolic reprogramming and inflammation act in concert to control vascular remodeling in hypoxic pulmonary hypertension. J. Appl. Physiol. 2015, 119, 1164–1172. [Google Scholar] [CrossRef] [PubMed]
- Davoodi, P.; Ehsani, A. In-silico investigation of genomic regions related to ascites and identifying their pathways in broilers. Worlds Poult. Sci. J. 2019, 75, 193–206. [Google Scholar] [CrossRef]
- Liu, P.; Yang, F.; Zhuang, Y.; Xiao, Q.; Cao, H.; Zhang, C.; Wang, T.; Lin, H.; Guo, X.; Hu, G. Dysregulated expression of microRNAs and mRNAs in pulmonary artery remodeling in ascites syndrome in broiler chickens. Oncotarget 2017, 8, 1993–2007. [Google Scholar] [CrossRef]
- Sukumaran, S.; Jusko, W.J.; DuBois, D.C.; Almon, R.R. Light-dark oscillations in the lung transcriptome: Implications for lung homeostasis, repair, metabolism, disease, and drug action. J. Appl. Physiol. (1985) 2011, 110, 1732–1747. [Google Scholar] [CrossRef]
- Wang, H.; Huang, P.; Zegeng, L.I.; Zhao, Z.; Tong, J.; Yang, C. Basis for water-liquid metabolism diseases from aspect of lung and ventilating lung qi for diuresis research. J. Changchun Univ. Chin. Med. 2017, 33, 255–257. [Google Scholar] [CrossRef]
- Weiss, D.J.; Bertoncello, I.; Borok, Z.; Kim, C.; Panoskaltsis-Mortari, A.; Reynolds, S.; Rojas, M.; Stripp, B.; Warburton, D.; Prockop, D.J. Stem cells and cell therapies in lung biology and lung diseases. Proc. Am. Thorac. Soc. 2011, 8, 223–272. [Google Scholar] [CrossRef]
- Wang, Y.; Guo, Y.; Ning, D.; Peng, Y.; Yang, Y.; Liu, D. Analysis of liver transcriptome in broilers with ascites and regulation by L-carnitine. J. Poult. Sci. 2013, 50, 126–137. [Google Scholar] [CrossRef]
- Hasanpur, K.; Nassiri, M.; Hosseini Salekdeh, G. The comparative analysis of phenotypic and whole transcriptome gene expression data of ascites susceptible versus ascites resistant chickens. Mol. Biol. Rep. 2019, 46, 793–804. [Google Scholar] [CrossRef]
- Zhang, J.; Schmidt, C.J.; Lamont, S.J. Distinct genes and pathways associated with transcriptome differences in early cardiac development between fast- and slow-growing broilers. PLoS ONE 2018, 13, e0207715. [Google Scholar] [CrossRef] [PubMed]
- Yang, F.; Cao, H.; Xiao, Q.; Guo, X.; Zhuang, Y.; Zhang, C.; Wang, T.; Lin, H.; Song, Y.; Hu, G.; et al. Transcriptome analysis and gene identification in the pulmonary artery of broilers with ascites syndrome. PLoS ONE 2016, 11, e0156045. [Google Scholar] [CrossRef] [PubMed]
- Livak, K.; Schmittgen, T. Analysis of relative gene expression data using real-time quantitative PCR and the 2(-Delta Delta C(T)) Method. Methods 2001, 25, 402–408. [Google Scholar] [CrossRef] [PubMed]
- Rao, X.; Huang, X.; Zhou, Z.; Lin, X. An improvement of the 2ˆ(-delta delta CT) method for quantitative real-time polymerase chain reaction data analysis. Biostat. Bioinforma. Biomath. 2013, 3, 71–85. [Google Scholar] [CrossRef] [PubMed]
- Currie, R.J. Ascites in poultry: Recent investigations. Avian. Pathol. 1999, 28, 313–326. [Google Scholar] [CrossRef]
- Özyİğİt, M.Ö.; Kahraman, M.M.; Akkoc, A. The Effects of Hypoxia Expression of Vascular Endothelialgrowth Factor in Broiler Lung Fibroblasts. Turk. J. Vet. Anim. Sci. 2015, 39, 174–180. [Google Scholar] [CrossRef]
- Tadzic, R.; Mihalj, M.; Vcev, A.; Ennen, J.; Tadzic, A.; Drenjancevic, I. The effects of arterial blood pressure reduction on endocan and soluble endothelial cell adhesion molecules (CAMs) and CAMs ligands expression in hypertensive patients on Ca-channel blocker therapy. Kidney Blood. Press. Res. 2013, 37, 103–115. [Google Scholar] [CrossRef]
- Chao, J.; Guo, Y.; Li, P.; Chao, L. Opposing Effects of Oxygen Regulation on Kallistatin Expression: Kallistatin as a Novel Mediator of Oxygen-Induced HIF-1-eNOS-NO Pathway. Oxid Med Cell Longev. 2017, 5262958, 1–8. [Google Scholar] [CrossRef]
- Jacquin, S.; Rincheval, V.; Mignotte, B.; Richard, S.; Humbert, M.; Mercier, O.; Londoño-Vallejo, A.; Fadel, E.; Eddahibi, S. Inactivation of p53 is sufficient to induce development of pulmonary hypertension in rats. PLoS ONE 2015, 10, e0131940. [Google Scholar] [CrossRef]
- Liu, J.; Li, J.; Xie, C.; Xuan, L.; Tang, B. MSCs attenuate hypoxia induced pulmonary hypertension by activating P53 and NF-kB signaling pathway through TNFα secretion. Biochem. Biophys. Res. Commun. 2020, 532, 400–405. [Google Scholar] [CrossRef]
- Burke, D.L.; Frid, M.G.; Kunrath, C.L.; Karoor, V.; Anwar, A.; Wagner, B.D.; Strassheim, D.; Stenmark, K.R. Sustained hypoxia promotes the development of a pulmonary artery-specific chronic inflammatory microenvironment. Am. J. Physiol. Lung. Cell. Mol. Physiol. 2009, 297, L238–L250. [Google Scholar] [CrossRef]
- Balabanian, K.; Foussat, A.; Dorfmüller, P.; Durand-Gasselin, I.; Capel, F.; Bouchet-Delbos, L.; Portier, A.; Marfaing-Koka, A.; Krzysiek, R.; Rimaniol, A.C.; et al. CX3C chemokine fractalkine in pulmonary arterial hypertension. Am. J. Respir. Crit. Care Med. 2002, 165, 1419–1425. [Google Scholar] [CrossRef] [PubMed]
- Semenza, G.L. Hypoxia-inducible factors in physiology and medicine. Cell 2012, 148, 399–408. [Google Scholar] [CrossRef] [PubMed]
- Zhang, J.; Feng, X.; Zhao, L.; Wang, W.; Gao, M.; Wu, B.; Qiao, J. Expression of hypoxia-inducible factor 1α mRNA in hearts and lungs of broiler chickens with ascites syndrome induced by excess salt in drinking water. Poult. Sci. 2013, 92, 2044–2052. [Google Scholar] [CrossRef]
- Mézes, M.; Balogh, K. Free radicals and antioxidants in avian diseases. In Oxidative Stress in Applied Basic Research and Clinical Practice; Springer: Berlin/Heidelberg, Germany, 2011; pp. 175–190. [Google Scholar] [CrossRef]
- Fessel, J.P.; Hamid, R.; Wittmann, B.M.; Robinson, L.J.; Blackwell, T.; Tada, Y.; Tanabe, N.; Tatsumi, K.; Hemnes, A.R.; West, J.D. Metabolomic analysis of bone morphogenetic protein receptor type 2 mutations in human pulmonary endothelium reveals widespread metabolic reprogramming. Pulm. Circ. 2012, 2, 201–213. [Google Scholar] [CrossRef] [PubMed]
- Peng, B.; Li, H.; Peng, X.X. Functional metabolomics: From biomarker discovery to metabolome reprogramming. Protein Cell 2015, 6, 628–637. [Google Scholar] [CrossRef]
- Smolders, V.F.; Zodda, E.; Quax, P.H.A.; Carini, M.; Barberà, J.A.; Thomson, T.M.; Tura-Ceide, O.; Cascante, M. Metabolic alterations in cardiopulmonary vascular dysfunction. Front. Mol. Biosci. 2018, 5, 120. [Google Scholar] [CrossRef] [PubMed]
- Zhu, W.; Jiang, X.; Sun, H.; Li, Y.; Shi, W.; Zheng, M.; Liu, D.; Ma, A.; Feng, X. Global lysine acetylation and 2-Hydroxyisobutyrylation profiling reveals the metabolism conversion mechanism in Giardia lamblia. Mol. Cell. Proteom. 2021, 20, 100043. [Google Scholar] [CrossRef]
- Qiu, Y.; Yang, X.; Wang, L.; Gao, K.; Jiang, Z. L-arginine inhibited inflammatory response and oxidative stress induced by lipopolysaccharide via arginase-1 signaling in IPEC-J2 cells. Int. J. Mol. Sci. 2019, 20, 1800. [Google Scholar] [CrossRef]
- Padrón-Barthe, L.; Villalba-Orero, M.; Gómez-Salinero, J.M.; Acín-Pérez, R.; Cogliati, S.; López-Olañeta, M.; Ortiz-Sánchez, P.; Bonzón-Kulichenko, E.; Vázquez, J.; García-Pavía, P.; et al. Activation of serine one-carbon metabolism by calcineurin Aβ1 reduces myocardial hypertrophy and improves ventricular function. J. Am. Coll. Cardiol. 2018, 71, 654–667. [Google Scholar] [CrossRef]
- Martínez-Reyes, I.; Chandel, N.S. Mitochondrial one-carbon metabolism maintains redox balance during hypoxia. Cancer Discov. 2014, 4, 1371–1373. [Google Scholar] [CrossRef] [PubMed]
- Kit, S. The biosynthesis of free glycine and serine by tumors. Cancer Res. 1955, 15, 715–718. [Google Scholar] [PubMed]
- Zhang, R.Y.; Liu, J.; Sun, Y.; Wang, W.; Wang, C. Metabolic reprogramming in pulmonary hypertension. Zhonghua Jie He He Hu Xi Za Zhi 2022, 45, 313–317. [Google Scholar] [CrossRef]
- Girona, J.; Rosales, R.; Plana, N.; Saavedra, P.; Masana, L.; Vallvé, J.C. FABP4 induces vascular smooth muscle cell proliferation and migration through a MAPK-dependent pathway. PLoS ONE 2013, 8, e81914. [Google Scholar] [CrossRef] [PubMed]
- Ordovas, J.M. Identification of a functional polymorphism at the adipose fatty acid binding protein gene (FABP4) and demonstration of its association with cardiovascular disease: A path to follow. Nutr. Rev. 2007, 65, 130–134. [Google Scholar] [CrossRef]
- Furuhashi, M. Fatty acid-binding protein 4 in cardiovascular and metabolic diseases. J. Atheroscler. Thromb. 2019, 26, 216–232. [Google Scholar] [CrossRef]
- Yu, X.H.; Tang, Z.B.; Liu, L.J.; Qian, H.; Tang, S.L.; Zhang, D.W.; Tian, G.P.; Tang, C.K. Apelin and its receptor APJ in cardiovascular diseases. Clin. Chim. Acta 2014, 428, 1–8. [Google Scholar] [CrossRef]
- Shin, K.; Kenward, C.; Rainey, J.K. Apelinergic system structure and function. Compr. Physiol. 2017, 8, 407–450. [Google Scholar] [CrossRef]
- Kim, J.; Kang, Y.; Kojima, Y.; Lighthouse, J.K.; Hu, X.; Aldred, M.A.; McLean, D.L.; Park, H.; Comhair, S.A.; Greif, D.M.; et al. An endothelial apelin-FGF link mediated by miR-424 and miR-503 is disrupted in pulmonary arterial hypertension. Nat. Med. 2013, 19, 74–82. [Google Scholar] [CrossRef]
- Feng, J.; Zhao, H.; Du, M.; Wu, X. The effect of apelin-13 on pancreatic islet beta cell mass and myocardial fatty acid and glucose metabolism of experimental type 2 diabetic rats. Peptides 2019, 114, 1–7. [Google Scholar] [CrossRef]
- Frump, A.L.; Bonnet, S.; de Jesus Perez, V.A.; Lahm, T. Emerging role of angiogenesis in adaptive and maladaptive right ventricular remodeling in pulmonary hypertension. Am. J. Physiol. Lung Cell Mol. Physiol. 2018, 314, L443–L460. [Google Scholar] [CrossRef] [PubMed]
- Tenorio, J.; Navas, P.; Barrios, E.; Fernández, L.; Nevado, J.; Quezada, C.A.; López-Meseguer, M.; Arias, P.; Mena, R.; Lobo, J.L.; et al. A founder EIF2AK4 mutation causes an aggressive form of pulmonary arterial hypertension in Iberian Gypsies. Clin. Genet. 2015, 88, 579–583. [Google Scholar] [CrossRef] [PubMed]
- Liang, O.D.; Mitsialis, S.A.; Chang, M.S.; Vergadi, E.; Lee, C.; Aslam, M.; Fernandez-Gonzalez, A.; Liu, X.; Baveja, R.; Kourembanas, S. Mesenchymal stromal cells expressing heme oxygenase-1 reverse pulmonary hypertension. Stem Cells 2011, 29, 99–107. [Google Scholar] [CrossRef] [PubMed]
- Zhou, L.; Wang, L.M.; Song, H.M.; Shen, Y.Q.; Xu, W.J.; Xu, J.H.; Liu, Y.; Yan, W.W.; Jiang, J.F. Expression profiling analysis of hypoxic pulmonary disease. Genet. Mol. Res. 2013, 12, 4162–4170. [Google Scholar] [CrossRef] [PubMed]
- Jacob, S.A.; Novelli, E.M.; Isenberg, J.S.; Garrett, M.E.; Chu, Y.; Soldano, K.; Ataga, K.I.; Telen, M.J.; Ashley-Koch, A.; Gladwin, M.T.; et al. Thrombospondin-1 gene polymorphism is associated with estimated pulmonary artery pressure in patients with sickle cell anemia. Am. J. Hematol. 2017, 92, E31–E34. [Google Scholar] [CrossRef] [PubMed]
- Kumar, R.; Mickael, C.; Kassa, B.; Sanders, L.; Hernandez-Saavedra, D.; Koyanagi, D.E.; Kumar, S.; Pugliese, S.C.; Thomas, S.; McClendon, J.; et al. Interstitial macrophage-derived thrombospondin-1 contributes to hypoxia-induced pulmonary hypertension. Cardiovasc. Res. 2020, 116, 2021–2030. [Google Scholar] [CrossRef]
- Sun, Z. Platelet TLR4: A critical link in pulmonary arterial hypertension. Circ. Res. 2014, 114, 1551–1553. [Google Scholar] [CrossRef]
- Ma, L.; Chang, J.; Wu, H.; Chen, Y. Hypoxia-induced pulmonary arterial hypertension: The role of TLR4. Blood 2011, 118, 1146. [Google Scholar] [CrossRef]
- Ma, L.; Ambalavanan, N.; Liu, H.; Sun, Y.; Jhala, N.; Bradley, W.E.; Dell’Italia, L.J.; Michalek, S.; Wu, H.; Steele, C.; et al. TLR4 regulates pulmonary vascular homeostasis and remodeling via redox signaling. Front. Biosci. Landmark Ed. 2016, 21, 397–409. [Google Scholar] [CrossRef]
- Benza, R.L.; Williams, G.; Wu, C.; Shields, K.J.; Raina, A.; Murali, S.; Passineau, M. In situ expression of Bcl-2 in pulmonary artery endothelial cells associates with pulmonary arterial hypertension relative to heart failure with preserved ejection fraction. Pulm. Circ. 2016, 6, 551–556. [Google Scholar] [CrossRef]
- Kang, Z.; Ji, Y.; Zhang, G.; Qu, Y.; Zhang, L.; Jiang, W. Ponatinib attenuates experimental pulmonary arterial hypertension by modulating Wnt signaling and vasohibin-2/vasohibin-1. Life Sci. 2016, 148, 1–8. [Google Scholar] [CrossRef] [PubMed]
- Sklepkiewicz, P.; Schermuly, R.T.; Tian, X.; Ghofrani, H.A.; Weissmann, N.; Sedding, D.; Kashour, T.; Seeger, W.; Grimminger, F.; Pullamsetti, S. Glycogen synthase kinase 3beta contributes to proliferation of arterial smooth muscle cells in pulmonary hypertension. PLoS ONE 2011, 6, e18883. [Google Scholar] [CrossRef]
- Takahashi, J.; Orcholski, M.; Yuan, K.; de Jesus Perez, V. PDGF-dependent β-catenin activation is associated with abnormal pulmonary artery smooth muscle cell proliferation in pulmonary arterial hypertension. FEBS Lett. 2016, 590, 101–109. [Google Scholar] [CrossRef]
- Cui, C.; Zhang, H.; Guo, L.N.; Zhang, X.; Meng, L.; Pan, X.; Wei, Y. Inhibitory effect of NBL1 on PDGF-BB-induced human PASMC proliferation through blockade of PDGFβ-p38MAPK pathway. Biosci. Rep. 2016, 36, e00374. [Google Scholar] [CrossRef] [PubMed]
- Mumby, S.; Gambaryan, N.; Meng, C.; Perros, F.; Humbert, M.; Wort, S.J.; Adcock, I. Bromodomain and extra-terminal protein mimic JQ1 decreases inflammation in human vascular endothelial cells: Implications for pulmonary arterial hypertension. Respirology 2017, 22, 157–164. [Google Scholar] [CrossRef] [PubMed]







| Dietary Composition | 1–3 Weeks | 4–6 Weeks |
|---|---|---|
| Corn (%) | 54.6 | 58.2 |
| Soybean meal (%) | 33.0 | 29.5 |
| Vegetable oil (%) | 3.0 | 3.0 |
| NaHCO3 (%) | 1.5 | 1.3 |
| Lime (%) | 1.0 | 1.0 |
| NaCl (%) | 0.3 | 0.3 |
| Lysine (%) | 1.0 | 0.5 |
| Methionine (%) | 0.6 | 1.2 |
| Premix (%) | 5.0 | 5.0 |
| Total (%) | 100.0 | 100.0 |
| Nutrition Level | 1–3 Weeks | 4–6 Weeks |
|---|---|---|
| Metabolic energy (MJ/kg) | 11.49 | 11.28 |
| Crude protein (%) | ≥21 | ≥21 |
| Crude fat (%) | 2.5 | 2.5 |
| Crude fiber (%) | 6 | 6 |
| Crude ash content (%) | ≤8 | ≤8 |
| Calcium (%) | 1.5 | 1.3 |
| Total phosphorus (%) | 0.6 | 0.6 |
| Moisture content (%) | ≤14 | ≤14 |
| Vitamin A (IU) | 1600 | 1600 |
| Vitamin E (mg) | 10 | 10 |
| Vitamin D3 (IU) | 220 | 220 |
| Nicotinic acid (mg) | 35 | 35 |
| Pantothenic acid (mg) | 12 | 12 |
| Trace elements (mg) | 30 | 30 |
| Primer | Forward Primer (5′ to 3′) | Reverse Primer(5′ to 3′) | Tm | GenBank |
|---|---|---|---|---|
| WNT5A | CAGCTCCGCTTGGATTACAGC | GGGTTCATGGGGTTCATAGGG | 60 | AB006014 |
| FABP4 | GCCTGACAAAATGTGCGACC | CTTCCTGGTAGCAAACCCCA | 60 | NM_204290 |
| FGF7 | GTGGCAATCAAAGGAGTGGA | AGTGGGATGCTCTGTGTTCTT | 60 | AB193566 |
| CDK6 | CCAGACCCGCACAACCTATT | ATGCGTTCACCTCACTGGAG | 60 | L77991 |
| APLNR | TGCCTCAACCCCTTCCTCTA | TTTAGGTGCGGAAGAGCGTC | 60 | XM_001232340 |
| APELA | AAGCTGCACCGACACAACTG | ACACTGAAAAGCCCGTTACGA | 60 | BG712694 |
| Gallus-β-actin | GAGAGAAGATGACACAGATC | GTCCATCACAATACCAGTGG | 60 | L08165 |
| Treatment | Days | Treatment × Days | ||||
|---|---|---|---|---|---|---|
| Project Name | F Value | p Value | F Value | p Value | F Value | p Value |
| average body weight (g) | 41.01 | <0.001 | 220.19 | <0.001 | 13.56 | 0.001 |
| FCR (%) | 0.001 | 0.97 | 1.66 | 0.231 | 0.76 | 0.486 |
| AHI | 57.85 | <0.001 | 9.41 | 0.003 | 11.39 | 0.002 |
| pulmonary organ coefficient (‰) | 16.45 | 0.002 | 0.21 | 0.812 | 1.16 | 0.346 |
| Treatment | Days | Treatment × Days | ||||
|---|---|---|---|---|---|---|
| Project Name | F Value | p Value | F Value | p Value | F Value | p Value |
| RBC (1012/L) | 88.16 | <0.001 | 43.69 | <0.001 | 21.87 | <0.001 |
| HB (g/L) | 8.86 | 0.012 | 2.81 | 0.1 | 5.79 | 0.017 |
| HCT (%) | 21.42 | 0.001 | 0.87 | 0.443 | 7.04 | 0.009 |
| PLT (109/L) | 1.76 | 0.208 | 8.76 | 0.005 | 4.81 | 0.029 |
| PCT (%) | 0.84 | 0.375 | 5.01 | 0.026 | 6.04 | 0.015 |
| WBC (109/L) | 6.34 | 0.027 | 0.64 | 0.543 | 1.72 | 0.22 |
| LYM (109/L) | 8.38 | 0.013 | 0.24 | 0.784 | 1.48 | 0.265 |
| MID (109/L) | 3.16 | 0.101 | 0.74 | 0.495 | 2.96 | 0.09 |
| Gene_id | Gene Name | p-Adjusted | Expression |
|---|---|---|---|
| ENSGALG00000015835 | GRIK1 | 2.46019 × 10−25 | Downregulated |
| ENSGALG00000010044 | KCNMB4 | 4.82935 × 10−21 | Downregulated |
| ENSGALG00000000284 | HOXB4 | 2.072 × 10−19 | Downregulated |
| ENSGALG00000014999 | MAP1B | 4.40191 × 10−18 | Downregulated |
| ENSGALG00000009880 | INPP4B | 2.69568 × 10−17 | Downregulated |
| ENSGALG00000050240 | TBX21 | 6.28253 × 10−16 | Downregulated |
| ENSGALG00000030969 | CLEC3B | 7.66948 × 10−16 | Downregulated |
| ENSGALG00000028347 | SDCBP2 | 8.79599 × 10−16 | Downregulated |
| ENSGALG00000016266 | PRRG1 | 1.02411 × 10−15 | Downregulated |
| ENSGALG00000014692 | LMNB1 | 2.43993 × 10−14 | Downregulated |
| ENSGALG00000030025 | FABP4 | 9.58707 × 10−20 | Upregulated |
| ENSGALG00000012163 | BDNF | 3.10715 × 10−19 | Upregulated |
| ENSGALG00000007304 | DNMBP | 5.25536 × 10−18 | Upregulated |
| ENSGALG00000005552 | PTBP2 | 6.28253 × 10−16 | Upregulated |
| ENSGALG00000002638 | SRR | 4.3649 × 10−15 | Upregulated |
| ENSGALG00000008439 | CD36 | 5.54369 × 10−14 | Upregulated |
| ENSGALG00000006563 | SEMA3D | 5.81136 × 10−13 | Upregulated |
| ENSGALG00000012312 | GCAT | 8.31101 × 10−13 | Upregulated |
| ENSGALG00000015107 | PIP5K1B | 1.02394 × 10−12 | Upregulated |
| ENSGALG00000011035 | AK4 | 1.77152 × 10−11 | Upregulated |
| Category | ID | Description | p-Value (p < 0.05) | Genes |
|---|---|---|---|---|
| GO term | GO:0048583 | Regulation of response to stimulus | 5.37 × 10−10 | EIF2AK4, HMOX1, MMP9, THBS1, NOS2, APLNR, APLN, AK4, CLEC3B, FABP4, DNMBP, AQP5, TLR4, CCR7, IGF-I, IGFBP, CD28, WNT5A, SSP1, FRZB, SFRP4, NR4A3, CAVIN4 |
| KEGG pathway | map04514 | Cell adhesion molecules (CAMs) | 1.93 × 10−5 | CD4, CD40, CD40LG, CD28, CD276, CD86, CD226, CD8BP, CD8A, CDH2, CDH15, SDC2, SDC4, ITGB7, ITGB8, ITGB2, ITGA8, ITGA9, OCLN, CLDN2, CLDN10, ICOSLG, ICOSLG, ICOS, PTPRF, PTPRC, NTNG1, NTNG2, NCAM1, NCAM2, NEO1, DMB2, BF2, LRRC4C, VCAN, YF5, BLB2 |
| KEGG pathway | map00520 | Amino sugar and nucleotide sugar metabolism | 0.008992198 | PGM3, HKDC1, GMDS, AMDHD2, GALT, CYB5R4, NANS, GNPDA2, GNPDA1, CYB5R2, PMM2, UAP1L1, UXS1, NPL, PMM1, CYB5RL, GFPT2, HK3 |
| KEGG pathway | map00250 | Alanine, aspartate and glutamate metabolism | 0.01445295 | ABAT, PPAT, GAD2, ADSS1, ASNS, GPT2, GLUL, ASPA, NAT8L, ASL1, RIMKLB, GFPT2 |
| KEGG pathway | map00260 | Glycine, serine and threonine metabolism | 0.017648565 | BPGM, MAOA, SRR, GCAT, DMGDH, SARDH, GATM, CHDH |
| KEGG pathway | map04064 | NF-kappa B signaling pathway | 0.020172638 | ATM, TLR4, CD40, CD40LG, CCL4, CCL19, BCL2, BCL2L1, BCL2A1, TRIM25, TRAF1, PLCG1, PCASP2, PIAS4, PLCG2, PRKCB, RELA, CARD11, CSNK2A1, SH2D6, ZAP70 |
| KEGG pathway | map04066 | HIF-1 signaling pathway | 0.023554593 | CDKN1A, CDKN1B, TLR4, NOS2, ENO2, BCL2, IGF-I, HMOX1, HKDC1, HK3, EIF4EBP1, EGFR, RELA, PRKCB, PDK1, PLCG1, PLCG2, PFKFB3, TFRC, TF, ANGPT1, ANGPT4, CYBB, INSR, MKNK2 |
| KEGG pathway | map04115 | p53 signaling pathway | 0.023035501 | THBS1, BCL2, BCL2L1, CD82, CDK1, CDK6, CDKN1A, CASP8, IGF-1, IGFBP3, SESN1, SESN2, SESN3, STEAP3, ADGRB1, APAF1, ATM, RPRM, CHEK1, CHEK2, GADD45G |
Disclaimer/Publisher’s Note: The statements, opinions and data contained in all publications are solely those of the individual author(s) and contributor(s) and not of MDPI and/or the editor(s). MDPI and/or the editor(s) disclaim responsibility for any injury to people or property resulting from any ideas, methods, instructions or products referred to in the content. |
© 2023 by the authors. Licensee MDPI, Basel, Switzerland. This article is an open access article distributed under the terms and conditions of the Creative Commons Attribution (CC BY) license (https://creativecommons.org/licenses/by/4.0/).
Share and Cite
Guo, D.; Zhang, J.; Han, Y.; Cui, L.; Wang, H.; Wang, K.; Li, P.; Deng, R.; Kang, J.; Duan, Z. Transcriptomic Study on the Lungs of Broilers with Ascites Syndrome. Animals 2023, 13, 175. https://doi.org/10.3390/ani13010175
Guo D, Zhang J, Han Y, Cui L, Wang H, Wang K, Li P, Deng R, Kang J, Duan Z. Transcriptomic Study on the Lungs of Broilers with Ascites Syndrome. Animals. 2023; 13(1):175. https://doi.org/10.3390/ani13010175
Chicago/Turabian StyleGuo, Dongqing, Jian Zhang, Yufeng Han, Liang Cui, Huimin Wang, Keyao Wang, Peiqi Li, Ruiqiang Deng, Jie Kang, and Zhibian Duan. 2023. "Transcriptomic Study on the Lungs of Broilers with Ascites Syndrome" Animals 13, no. 1: 175. https://doi.org/10.3390/ani13010175
APA StyleGuo, D., Zhang, J., Han, Y., Cui, L., Wang, H., Wang, K., Li, P., Deng, R., Kang, J., & Duan, Z. (2023). Transcriptomic Study on the Lungs of Broilers with Ascites Syndrome. Animals, 13(1), 175. https://doi.org/10.3390/ani13010175
