Expression of Anti-Müllerian Hormone and Its Type 2 Receptor in the Ovary of Pregnant and Cyclic Domestic Cats
Abstract
Simple Summary
Abstract
1. Introduction
2. Materials and Methods
2.1. Animals and Sample Collection
2.2. Serum Progesterone and Oestrogen Measurements
2.3. Serum AMH Measurements
2.4. Western Blot Analysis (WB)
2.5. Immunohistochemistry for Ovarian AMH and AMHRII
2.6. Follicle and Corpus Luteum Counting
2.7. Statistical Analyses
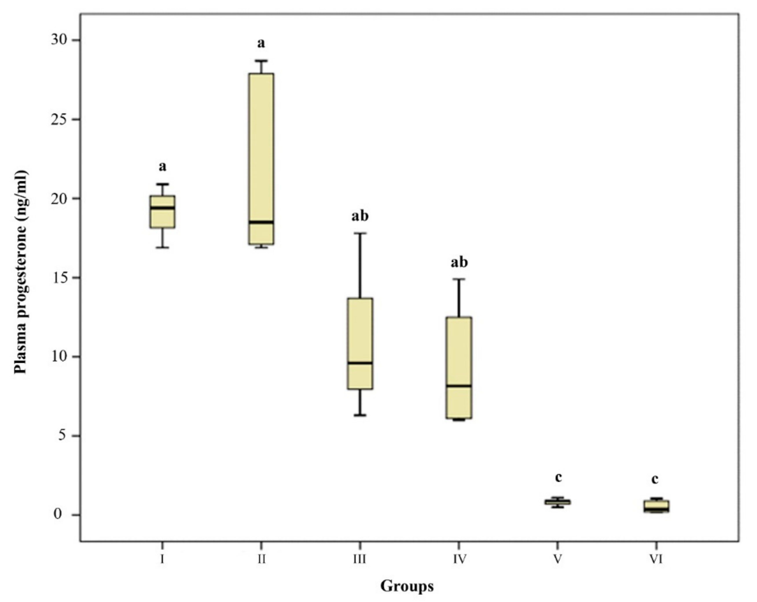
3. Results
3.1. Western Blot Analysis
3.2. Follicle and Corpus Luteum Counts
3.3. Plasma Oestrogen and Progesterone Concentration
3.4. AMH Serum Concentration
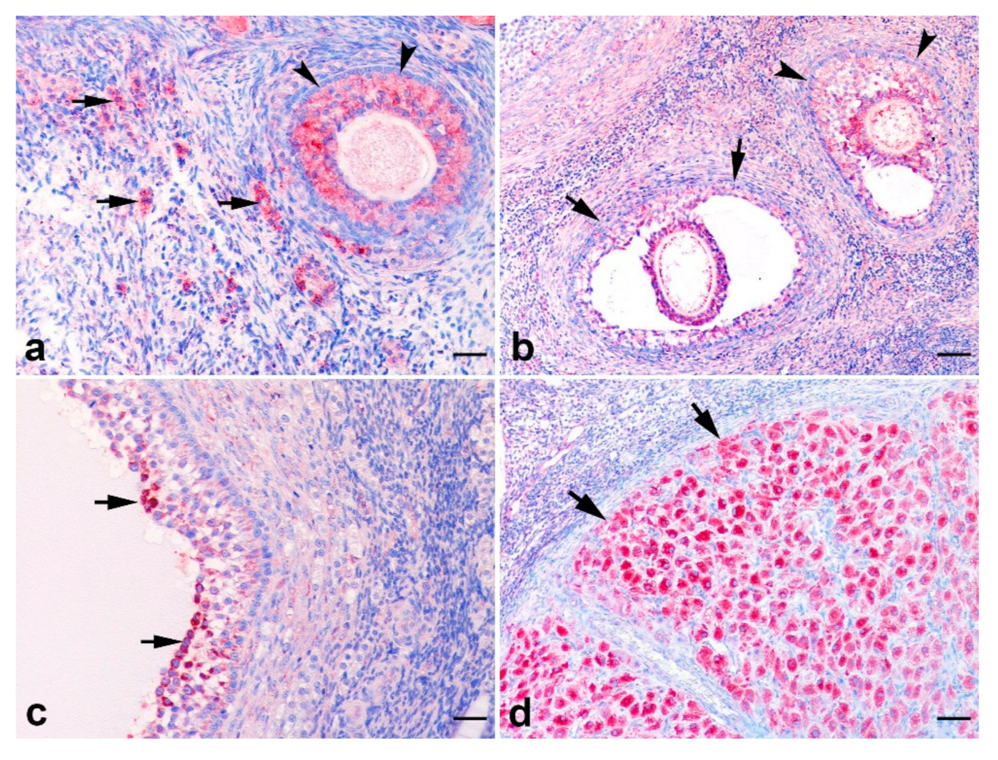
3.5. Immunohistochemical Findings for AMH
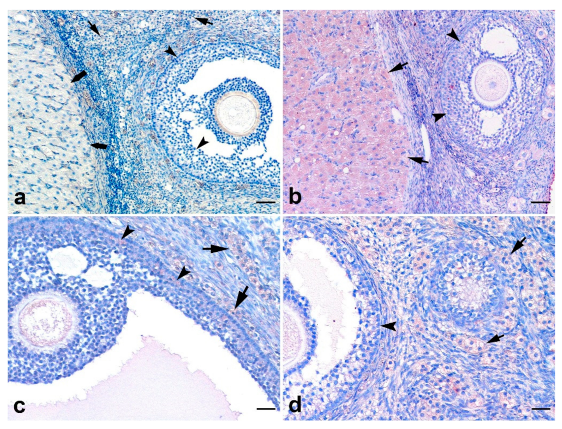
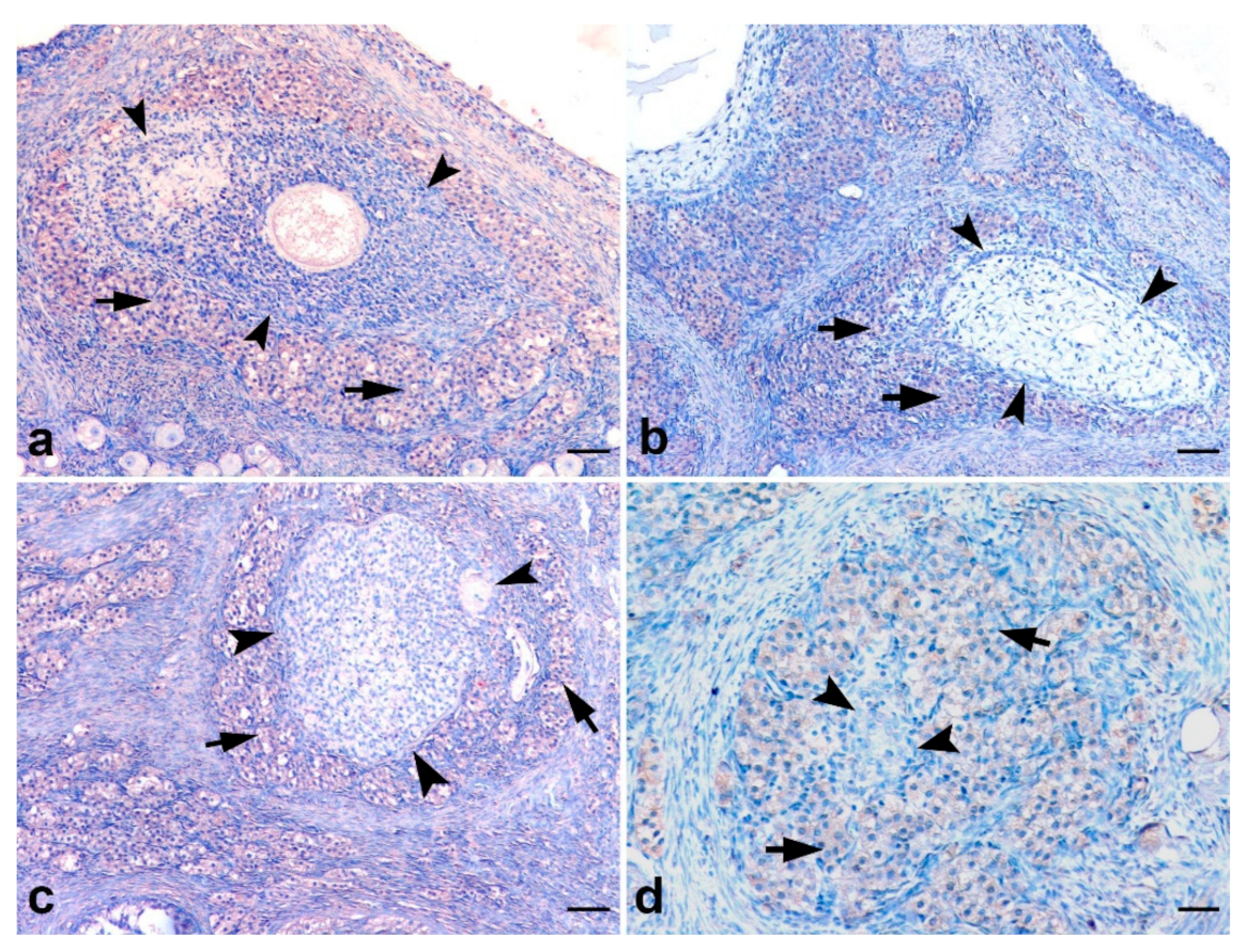
3.6. Immunohistochemical Findings for AMHRII
4. Discussion
5. Conclusions
Supplementary Materials
Author Contributions
Funding
Institutional Review Board Statement
Informed Consent Statement
Data Availability Statement
Acknowledgments
Conflicts of Interest
References
- Cate, R.L.; Mattaliano, R.J.; Hession, C.; Tizard, R.; Farber, N.M.; Cheung, A.; Ninfa, E.G.; Frey, A.Z.; Gash, D.J.; Chow, E.P.; et al. Isolation of the bovine and human genes for müllerian inhibiting substance and expression of the human gene in animal cells. Cell 1986, 45, 685–698. [Google Scholar] [CrossRef]
- Jost, A. Problems of fetal endocrinology: The gonadal and hypophyseal hormones. Recent Prog. Horm. Res. 1953, 8, 379. [Google Scholar]
- Moolhuijsen, L.M.E.; Visser, J.A. Anti-Müllerian Hormone and Ovarian Reserve: Update on Assessing Ovarian Function. J. Clin. Endocrinol. Metab. 2020, 105, 3361–3373. [Google Scholar] [CrossRef] [PubMed]
- Chong, Y.H.; Pankhurst, M.W.; McLennan, I.S. The Testicular Hormones AMH, InhB, INSL3, and Testosterone Can Be Independently Deficient in Older Men. J. Gerontol. A Biol. Sci. Med. Sci. 2017, 72, 548–553. [Google Scholar] [CrossRef] [PubMed]
- Xu, H.-Y.; Zhang, H.-X.; Xiao, Z.; Qiao, J.; Li, R. Regulation of anti-Müllerian hormone (AMH) in males and the associations of serum AMH with the disorders of male fertility. Asian J. Androl. 2019, 21, 109–114. [Google Scholar] [CrossRef]
- Scarlet, D.; Wulf, M.; Kuhl, J.; Köhne, M.; Ille, N.; Conley, A.J.; Aurich, C. Anti-Müllerian hormone profiling in prepubertal horses and its relationship with gonadal function. Theriogenology 2018, 117, 72–77. [Google Scholar] [CrossRef]
- Mossa, F.; Jimenez-Krassel, F.; Scheetz, D.; Weber-Nielsen, M.; Evans, A.C.O.; Ireland, J.J. Anti-Müllerian Hormone (AMH) and fertility management in agricultural species. Reproduction 2017, 154, R1–R11. [Google Scholar] [CrossRef]
- Atkins, H.M.; Willson, C.J.; Silverstein, M.; Jorgensen, M.; Floyd, E.; Kaplan, J.R.; Appt, S.E. Characterization of ovarian aging and reproductive senescence in vervet monkeys (Chlorocebus aethiops sabaeus). Comp. Med. 2014, 64, 55–62. [Google Scholar]
- Umer, S.; Sammad, A.; Zou, H.; Khan, A.; Weldegebriall Sahlu, B.; Hao, H.; Zhao, X.; Wang, Y.; Zhao, S.; Zhu, H. Regulation of AMH, AMHR-II, and BMPs (2,6) Genes of Bovine Granulosa Cells Treated with Exogenous FSH and Their Association with Protein Hormones. Genes 2019, 10, 1038. [Google Scholar] [CrossRef]
- Axnér, E.; Ström Holst, B. Concentrations of anti-Müllerian hormone in the domestic cat. Relation with spay or neuter status and serum estradiol. Theriogenology 2015, 83, 817–821. [Google Scholar] [CrossRef]
- Durlinger, A.L.L.; Gruijters, M.J.G.; Kramer, P.; Karels, B.; Ingraham, H.A.; Nachtigal, M.W.; Uilenbroek, J.T.J.; Grootegoed, J.A.; Themmen, A.P.N. Anti-Müllerian hormone inhibits initiation of primordial follicle growth in the mouse ovary. Endocrinology 2002, 143, 1076–1084. [Google Scholar] [CrossRef] [PubMed]
- Durlinger, A.L.L.; Visser, J.A.; Themmen, A.P.N. Regulation of ovarian function: The role of anti-Müllerian hormone. Reproduction 2002, 124, 601–609. [Google Scholar] [CrossRef] [PubMed]
- Hagen, C.P.; Mouritsen, A.; Mieritz, M.G.; Tinggaard, J.; Wohlfart-Veje, C.; Fallentin, E.; Brocks, V.; Sundberg, K.; Jensen, L.N.; Anderson, R.A.; et al. Circulating AMH reflects ovarian morphology by magnetic resonance imaging and 3D ultrasound in 121 healthy girls. J. Clin. Endocrinol. Metab. 2015, 100, 880–890. [Google Scholar] [CrossRef] [PubMed]
- Rice, S.; Ojha, K.; Whitehead, S.; Mason, H. Stage-specific expression of androgen receptor, follicle-stimulating hormone receptor, and anti-Müllerian hormone type II receptor in single, isolated, human preantral follicles: Relevance to polycystic ovaries. J. Clin. Endocrinol. Metab. 2007, 92, 1034–1040. [Google Scholar] [CrossRef]
- Dewailly, D.; Robin, G.; Peigne, M.; Decanter, C.; Pigny, P.; Catteau-Jonard, S. Interactions between androgens, FSH, anti-Müllerian hormone and estradiol during folliculogenesis in the human normal and polycystic ovary. Hum. Reprod. Update 2016, 22, 709–724. [Google Scholar] [CrossRef]
- Pierre, A.; Peigné, M.; Grynberg, M.; Arouche, N.; Taieb, J.; Hesters, L.; Gonzalès, J.; Picard, J.-Y.; Dewailly, D.; Fanchin, R.; et al. Loss of LH-induced down-regulation of anti-Müllerian hormone receptor expression may contribute to anovulation in women with polycystic ovary syndrome. Hum. Reprod. 2013, 28, 762–769. [Google Scholar] [CrossRef]
- Dólleman, M.; Depmann, M.; Eijkemans, M.J.C.; Heimensem, J.; Broer, S.L.; van der Stroom, E.M.; Laven, J.S.E.; van Rooij, I.A.J.; Scheffer, G.J.; Peeters, P.H.M.; et al. Anti-Mullerian hormone is a more accurate predictor of individual time to menopause than mother’s age at menopause. Hum. Reprod. 2014, 29, 584–591. [Google Scholar] [CrossRef]
- Sahmay, S.; Oncul, M.; Tuten, A.; Tok, A.; Acıkgoz, A.S.; Cepni, I. Anti-müllerian hormone levels as a predictor of the pregnancy rate in women of advanced reproductive age. J. Assist. Reprod. Genet. 2014, 31, 1469–1474. [Google Scholar] [CrossRef]
- Hollinshead, F.K.; Walker, C.; Hanlon, D.W. Determination of the normal reference interval for anti-Müllerian hormone (AMH) in bitches and use of AMH as a potential predictor of litter size. Reprod. Domest. Anim. 2017, 52 (Suppl. S2), 35–40. [Google Scholar] [CrossRef]
- Snoeck, F.; Sarrazin, S.; Wydooghe, E.; van Soom, A. Age and anti-Müllerian hormone levels predict the success of in vitro maturation of cat oocytes. Reprod. Domest. Anim. 2017, 52 (Suppl. S2), 98–102. [Google Scholar] [CrossRef]
- Stegmann, B.J.; Santillan, M.; Leader, B.; Smith, E.; Santillan, D. Changes in antimüllerian hormone levels in early pregnancy are associated with preterm birth. Fertil. Steril. 2015, 104, 347–355.e3. [Google Scholar] [CrossRef] [PubMed]
- McCredie, S.; Ledger, W.; Venetis, C.A. Anti-Müllerian hormone kinetics in pregnancy and post-partum: A systematic review. Reprod. Biomed. Online 2017, 34, 522–533. [Google Scholar] [CrossRef] [PubMed]
- Pankhurst, M.W.; Clark, C.A.; Zarek, J.; Laskin, C.A.; McLennan, I.S. Changes in Circulating ProAMH and Total AMH during Healthy Pregnancy and Post-Partum: A Longitudinal Study. PLoS ONE 2016, 11, e0162509. [Google Scholar] [CrossRef]
- Lopate, C. Gestational Aging and Determination of Parturition Date in the Bitch and Queen Using Ultrasonography and Radiography. Vet. Clin. North Am. Small Anim. Pract. 2018, 48, 617–638. [Google Scholar] [CrossRef]
- Zambelli, D.; Caneppele, B.; Bassi, S.; Paladini, C. Ultrasound aspects of fetal and extrafetal structures in pregnant cats. J. Feline Med. Surg. 2002, 4, 95–106. [Google Scholar] [CrossRef] [PubMed]
- Zambelli, D.; Castagnetti, C.; Belluzzi, S.; Paladini, C. Correlation between fetal age and ultrasonographic measurements during the second half of pregnancy in domestic cats (Felis catus). Theriogenology 2004, 62, 1430–1437. [Google Scholar] [CrossRef]
- Verstegen, J.P.; Onclin, K.; Silva, L.D.; Wouters-Ballman, P.; Delahaut, P.; Ectors, F. Regulation of progesterone during pregnancy in the cat: Studies on the roles of corpora lutea, placenta and prolactin secretion. J. Reprod. Fertil. Suppl. 1993, 47, 165–173. [Google Scholar] [PubMed]
- Braun, B.C.; Zschockelt, L.; Dehnhard, M.; Jewgenow, K. Progesterone and estradiol in cat placenta--biosynthesis and tissue concentration. J. Steroid Biochem. Mol. Biol. 2012, 132, 295–302. [Google Scholar] [CrossRef]
- Siemieniuch, M.J.; Jursza, E.; Szóstek, A.Z.; Zschockelt, L.; Boos, A.; Kowalewski, M.P. Placental origin of prostaglandin F2α in the domestic cat. Mediat. Inflamm. 2014, 2014, 364787. [Google Scholar] [CrossRef]
- Nelson, S.M.; Stewart, F.; Fleming, R.; Freeman, D.J. Longitudinal assessment of antimüllerian hormone during pregnancy-relationship with maternal adiposity, insulin, and adiponectin. Fertil. Steril. 2010, 93, 1356–1358. [Google Scholar] [CrossRef]
- Plante, B.J.; Beamon, C.; Schmitt, C.L.; Moldenhauer, J.S.; Steiner, A.Z. Maternal antimullerian hormone levels do not predict fetal aneuploidy. J. Assist. Reprod. Genet. 2010, 27, 409–414. [Google Scholar] [CrossRef] [PubMed][Green Version]
- Köninger, A.; Kauth, A.; Schmidt, B.; Schmidt, M.; Yerlikaya, G.; Kasimir-Bauer, S.; Kimmig, R.; Birdir, C. Anti-Mullerian-hormone levels during pregnancy and postpartum. Reprod. Biol. Endocrinol. 2013, 11, 60. [Google Scholar] [CrossRef] [PubMed]
- La Marca, A.; Giulini, S.; Orvieto, R.; de Leo, V.; Volpe, A. Anti-Müllerian hormone concentrations in maternal serum during pregnancy. Hum. Reprod. 2005, 20, 1569–1572. [Google Scholar] [CrossRef] [PubMed]
- Lahoz, B.; Alabart, J.L.; Monniaux, D.; Mermillod, P.; Folch, J. Anti-Müllerian hormone plasma concentration in prepubertal ewe lambs as a predictor of their fertility at a young age. BMC Vet. Res. 2012, 8, 118. [Google Scholar] [CrossRef] [PubMed]
- Wachs, D.S.; Coffler, M.S.; Malcom, P.J.; Chang, R.J. Serum anti-mullerian hormone concentrations are not altered by acute administration of follicle stimulating hormone in polycystic ovary syndrome and normal women. J. Clin. Endocrinol. Metab. 2007, 92, 1871–1874. [Google Scholar] [CrossRef] [PubMed]
- Wang, J.G.; Nakhuda, G.S.; Guarnaccia, M.M.; Sauer, M.V.; Lobo, R.A. Müllerian inhibiting substance and disrupted folliculogenesis in polycystic ovary syndrome. Am. J. Obstet. Gynecol. 2007, 196, 77.e1–77.e5. [Google Scholar] [CrossRef]
- Kereilwe, O.; Pandey, K.; Borromeo, V.; Kadokawa, H. Anti-Müllerian hormone receptor type 2 is expressed in gonadotrophs of postpubertal heifers to control gonadotrophin secretion. Reprod. Fertil. Dev. 2018, 30, 1192–1203. [Google Scholar] [CrossRef]
- Tsutsui, T.; Suzuki, Y.; Toyonaga, M.; Oba, H.; Mizutani, T.; Hori, T. The role of the ovary for the maintenance of pregnancy in cats. Reprod. Domest. Anim. 2009, 44 (Suppl. S2), 120–124. [Google Scholar] [CrossRef]
- Cimino, I.; Casoni, F.; Liu, X.; Messina, A.; Parkash, J.; Jamin, S.P.; Catteau-Jonard, S.; Collier, F.; Baroncini, M.; Dewailly, D.; et al. Novel role for anti-Müllerian hormone in the regulation of GnRH neuron excitability and hormone secretion. Nat. Commun. 2016, 7, 10055. [Google Scholar] [CrossRef]
- Wildt, D.E.; Chan, S.Y.; Seager, S.W.; Chakraborty, P.K. Ovarian activity, circulating hormones, and sexual behavior in the cat. I. Relationships during the coitus-induced luteal phase and the estrous period without mating. Biol. Reprod. 1981, 25, 15–28. [Google Scholar] [CrossRef]
- Baarends, W.M.; Uilenbroek, J.T.; Kramer, P.; Hoogerbrugge, J.W.; van Leeuwen, E.C.; Themmen, A.P.; Grootegoed, J.A. Anti-müllerian hormone and anti-müllerian hormone type II receptor messenger ribonucleic acid expression in rat ovaries during postnatal development, the estrous cycle, and gonadotropin-induced follicle growth. Endocrinology 1995, 136, 4951–4962. [Google Scholar] [CrossRef] [PubMed]
- Lemcke, R.A.; Stephens, C.S.; Hildebrandt, K.A.; Johnson, P.A. Anti-Müllerian hormone type II receptor in avian follicle development. Biol. Reprod. 2018, 99, 1227–1234. [Google Scholar] [CrossRef] [PubMed]
- Cheon, K.Y.; Chung, Y.J.; Cho, H.H.; Kim, M.R.; Cha, J.H.; Kang, C.S.; Lee, J.Y.; Kim, J.H. Expression of Müllerian-Inhibiting Substance/Anti-Müllerian Hormone Type II Receptor in the Human Theca Cells. J. Clin. Endocrinol. Metab. 2018, 103, 3376–3385. [Google Scholar] [CrossRef] [PubMed]








| Follicles | Group I | Group II | Group III | Group IV | Group V | Group VI |
|---|---|---|---|---|---|---|
| Primordial | 268.6 ± 104.3 | 335.7 ± 168.1 | 185.2 ± 84.7 | 398.8 ± 165.6 | 350.5 ± 217.7 | 246.6 ± 33.1 |
| Primary | 11.7 ± 7.8 | 8.9 ± 3.4 | 5.2 ± 3.9 | 8.6 ± 3.0 | 10.1 ± 6.5 | 8.3 ± 6.1 |
| Secondary | 7.0 ± 3.4 | 7.0 ± 5.9 | 4.4 ± 3.1 | 6.0 ± 4.3 | 8.6 ± 3.2 | 4.8 ± 2.7 |
| Early antral | 2.2 ± 1.8 | 2.2 ± 1.1 | 1.7 ± 1.4 | 2.8 ± 2.1 | 2.7 ± 1.7 | 1.8 ± 0.9 |
| Antral | 6.6 ± 4.1 | 9.2 ± 2.9 | 5.5 ± 3.0 | 9.7 ± 5.0 | 8.4 ± 2.2 | 5.3 ± 2.1 |
| Total follicles | 316.2 ± 135.0 | 363.1 ± 169.6 | 177.2 ± 63.5 | 426.0 ± 167.9 | 380.5 ± 218.4 | 267.0 ± 33.6 |
| Corpus luteum | 4.25 ± 2.25 a | 2.79 ± 0.94 ab | 3.50 ± 0.89 a | 1.50 ± 0.85 bc | 0.38 ± 0.92 c | ND |
Publisher’s Note: MDPI stays neutral with regard to jurisdictional claims in published maps and institutional affiliations. |
© 2022 by the authors. Licensee MDPI, Basel, Switzerland. This article is an open access article distributed under the terms and conditions of the Creative Commons Attribution (CC BY) license (https://creativecommons.org/licenses/by/4.0/).
Share and Cite
Gültiken, N.; Yarim, M.; Aslan, S.; Gürler, H.; Yarim, G.F.; Tuncay, M.; İnal, S.; Schäfer-Somi, S. Expression of Anti-Müllerian Hormone and Its Type 2 Receptor in the Ovary of Pregnant and Cyclic Domestic Cats. Animals 2022, 12, 877. https://doi.org/10.3390/ani12070877
Gültiken N, Yarim M, Aslan S, Gürler H, Yarim GF, Tuncay M, İnal S, Schäfer-Somi S. Expression of Anti-Müllerian Hormone and Its Type 2 Receptor in the Ovary of Pregnant and Cyclic Domestic Cats. Animals. 2022; 12(7):877. https://doi.org/10.3390/ani12070877
Chicago/Turabian StyleGültiken, Nilgün, Murat Yarim, Selim Aslan, Hande Gürler, Gul Fatma Yarim, Müge Tuncay, Sinem İnal, and Sabine Schäfer-Somi. 2022. "Expression of Anti-Müllerian Hormone and Its Type 2 Receptor in the Ovary of Pregnant and Cyclic Domestic Cats" Animals 12, no. 7: 877. https://doi.org/10.3390/ani12070877
APA StyleGültiken, N., Yarim, M., Aslan, S., Gürler, H., Yarim, G. F., Tuncay, M., İnal, S., & Schäfer-Somi, S. (2022). Expression of Anti-Müllerian Hormone and Its Type 2 Receptor in the Ovary of Pregnant and Cyclic Domestic Cats. Animals, 12(7), 877. https://doi.org/10.3390/ani12070877

