Expression of Oocyte Vitellogenesis Receptor Was Regulated by C/EBPα in Developing Follicle of Wanxi White Goose
Abstract
Simple Summary
Abstract
1. Introduction
2. Materials and Methods
2.1. Ethics Statement
2.2. Experimental Animals and Sample Collection
2.3. Analysis of Serum Hormones Concentration
2.4. Blood DNA Extraction, PCR Amplification, Sequencing and Transcriptional Regulatory Factors Prediction
2.5. RNA Extraction, Reverse Transcription and Real-Time PCR
2.6. Immunohistochemical Analysis
2.7. Recombinant Plasmid Construction
2.8. Granular Cell Culture, Identification, and Transfection
2.9. Lipid Transferring Ability in a Fibroblast Cell Line with Overexpression or Knockdown of OVR Expression
2.10. Data Analysis
3. Results
3.1. Serum Hormone Concentration in Wanxi White Goose at Different Laying Period
3.2. Expression Level of OVR in Different Follicle Level of Wanxi White Goose at Each Laying Period and Its Correlation with Serum Hormones
3.3. Prediction of Transcriptional Regulatory Factor for OVR Expression
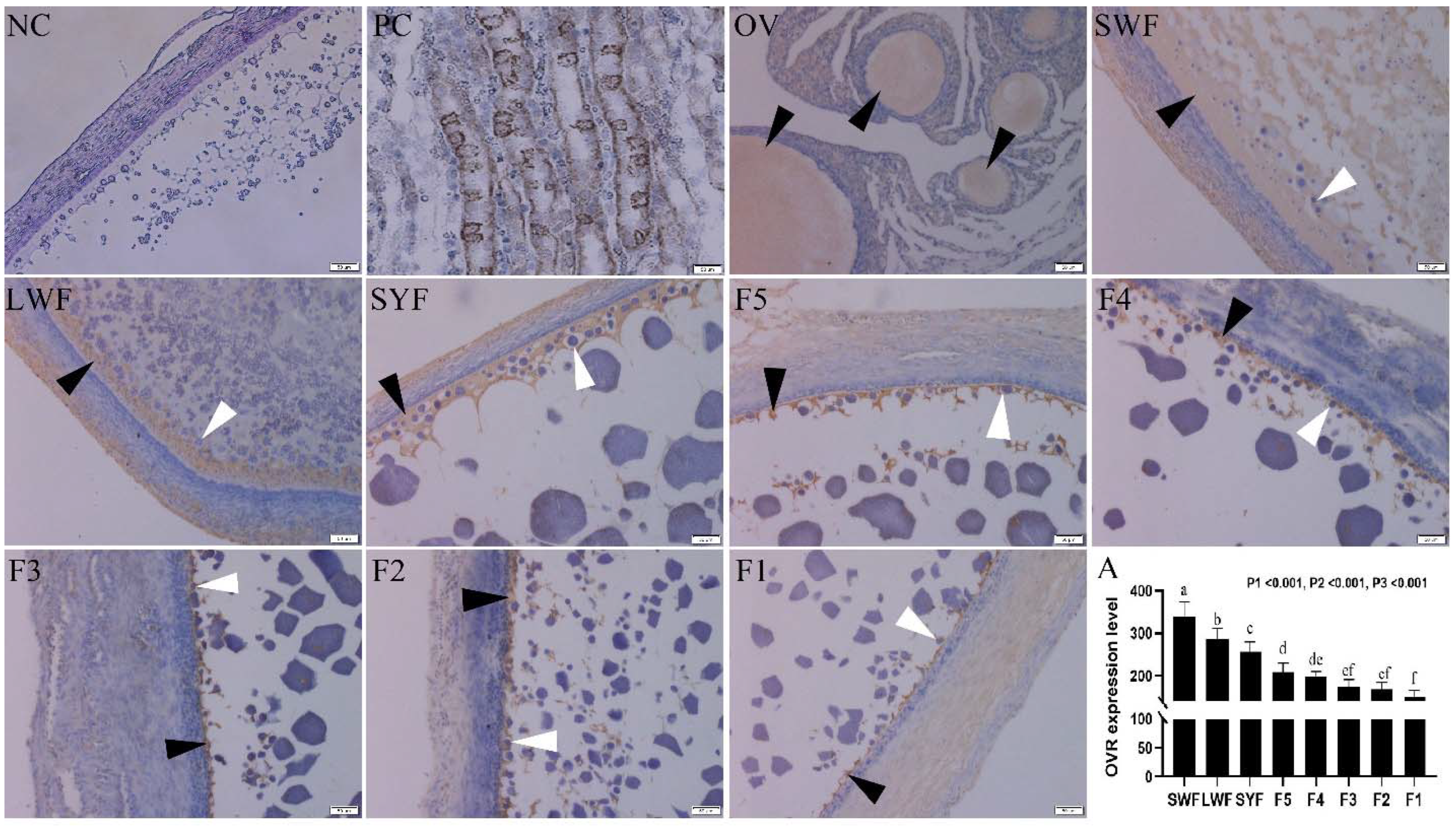
3.4. Localization of OVR in Different Follicle Levels
3.5. The mRNA Expression of OVR and Transcription Factors in the Follicle Granular Layer at Different Follicle Levels
3.6. Effect of Transcription Factors Overexpression on OVR Gene Expression
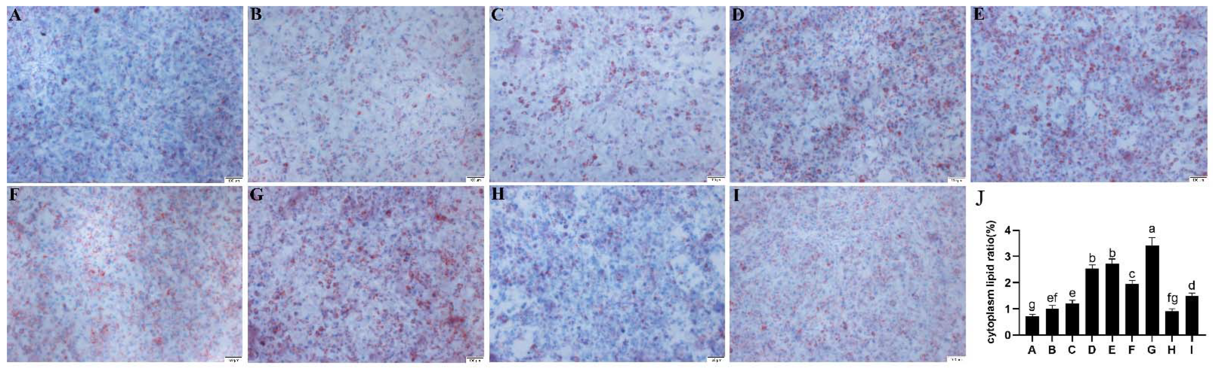
3.7. Effect of C/EBPα and MF3 on Lipid Transportation in DF-1 Cells
4. Discussion
5. Conclusions
Author Contributions
Funding
Institutional Review Board Statement
Informed Consent Statement
Data Availability Statement
Acknowledgments
Conflicts of Interest
References
- Wang, C.; Liang, Z.H.; Yu, W.H.; Feng, Y.P.; Peng, X.L.; Gong, Y.Z.; Li, S.J. Polymorphism of the prolactin gene and its association with egg production traits in native Chinese ducks. S. Afr. J. Anim. Sci. 2011, 41, 1. [Google Scholar] [CrossRef]
- Leinonen, I.; Williams, A.G.; Wiseman, J.; Guy, J.; Kyriazakis, I. Predicting the environmental impacts of chicken systems in the United Kingdom through a life cycle assessment: Egg production systems. Poult. Sci. 2012, 91, 26–40. [Google Scholar] [CrossRef] [PubMed]
- Kuzniacka, J.; Biesek, J.; Banaszak, M.; Adamski, M. Evaluation of egg production in Italian white geese in their first year of reproduction. Europ. Poult. Sci. 2019, 83, 279. [Google Scholar] [CrossRef]
- Chen, X.Y.; Wang, M.; Li, R.; Geng, Z.Y. Prokaryotic expression and active immunisation against recombinant-derived prolactin fusion protein on broodiness and egg-laying in wanxi-white goose. Avian Biol. Res. 2015, 8, 54–58. [Google Scholar] [CrossRef]
- Fouad, A.M.; Chen, W.; Ruan, D.; Wang, S.; Xia, W.; Zheng, C. Effects of dietary lysine supplementation on performance, egg quality, and development of reproductive system in egg-laying ducks. J. Appl. Anim. Res. 2017, 46, 386–391. [Google Scholar] [CrossRef]
- Shen, M.M.; Sun, H.Y.; Qu, L.; Ma, M.; Dou, T.C.; Lu, J.; Guo, J.; Hu, Y.P.; Wang, X.G.; Li, Y.F. Genetic architecture and candidate genes identified for follicle number in chicken. Sci. Rep. 2017, 7, 16412. [Google Scholar] [CrossRef]
- Cheng, C.Y.; Tu, W.L.; Chen, C.J.; Chan, H.L.; Chen, C.F.; Chen, H.H.; Tang, P.C.; Lee, Y.P.; Chen, S.E.; Huang, S.Y. Functional genomics study of acute heat stress response in the small yellow follicles of layer-type chickens. Sci. Rep. 2018, 8, 1320. [Google Scholar] [CrossRef]
- McElroy, A.P.; Caldwell, D.J.; Proudman, J.A.; Hargis, B.M. Modulation of in vitro DNA synthesis in the chicken ovarian granulosa cell follicular hierarchy by follicle-stimulating hormone and luteinizing hormone. Poult. Sci. 2004, 83, 500–506. [Google Scholar] [CrossRef]
- Li, W.L.; Liu, Y.; Yu, Y.C.; Huang, Y.M.; Liang, S.D.; Shi, Z.D. Prolactin plays a stimulatory role in ovarian follicular development and egg laying in chicken hens. Domest. Anim. Endocrinol. 2011, 41, 57–66. [Google Scholar] [CrossRef]
- Huang, Y.M.; Shi, Z.D.; Liu, Z.; Liu, Y.; Li, X.W. Endocrine regulations of reproductive seasonality, follicular development and incubation in magang geese. Anim. Reprod. Sci. 2008, 104, 344–358. [Google Scholar] [CrossRef]
- Tian, W.H.; Wang, Z.; Yue, Y.X.; Li, H.; Liu, X.J. Mir-34a-5p increases hepatic triglycerides and total cholesterol levels by regulating acsl1 protein expression in laying hens. Int. J. Mol. Sci. 2019, 20, 4420. [Google Scholar] [CrossRef] [PubMed]
- Hanafy, A.M.; Elnesr, S.S. Induction of reproductive activity and egg production by gonadotropin-releasing hormone in non-laying hens. Reprod. Domest. Anim. 2021, 56, 1184–1191. [Google Scholar] [CrossRef] [PubMed]
- Schneider, W.J. Yolk precursor transport in the laying hen. Curr. Opin. Lipidol. 1995, 6, 92–96. [Google Scholar] [CrossRef] [PubMed]
- Walzem, R.L.; Hansen, R.J.; Williams, D.L.; Hamilton, R.L. Estrogen induction of VLDLy assembly in egg-laying hens. J. Nutr. 1999, 129, 467S. [Google Scholar] [CrossRef]
- Elkin, R.G.; Bauer, R.; Schneider, W.J. The restricted ovulator chicken strain: An oviparous vertebrate model of reproductive dysfunction caused by a gene defect affecting an oocyte-specific receptor. Anim. Reprod. Sci. 2012, 136, 1–13. [Google Scholar] [CrossRef]
- Elkin, R.G.; Zhong, Y.; Donkin, S.S.; Hengstschlaeger-Ottnad, E.; Schneider, W.J. Effects of atorvastatin on lipid metabolism in normolipidemic and hereditary hyperlipidemic, non-laying hens. Comp. Biochem. Phys. 2006, 143, 319–329. [Google Scholar] [CrossRef]
- Yuan, X.; Hu, S.; Li, L.; Liu, H.; Wang, J. Metabolomic Analysis of SCD during Goose Follicular Development: Implications for Lipid Metabolism. Genes 2020, 11, 1001. [Google Scholar] [CrossRef]
- Wojtysiak, D.; Kapkowska, E. Steroid hormone concentrations in the small ovarian follicles of the goose. Biotechnol. Anim. Husb. 2005, 21, 211–215. [Google Scholar] [CrossRef]
- Wang, H.; Jin, C.; Kong, J.; Yu, T.; Liu, Y. The research of transgenic human nucleus pulposus cell transplantation in the treatment of lumbar disc degeneration. Kaohsiung J. Med. Sci. 2019, 35, 486–492. [Google Scholar] [CrossRef]
- Ji, H.; Niu, C.Y.; Zhang, H.L.; Guo, J.R.; Wang, J.F. Effects of α-enolase gene silencing on reproductive-related hormone receptor expression and steroid hormone synthesis of primary granulosa cells from goose F1 follicles. J. Vet. Res. 2020, 64, 141–149. [Google Scholar] [CrossRef]
- Decuypere, E.; Bruggeman, V.; Onagbesan, O.; Safi, M. Endocrine physiology of reproduction in the female chicken: Old wine in new bottles. Avian Poult. Biol. Rev. 2002, 13, 145–153. [Google Scholar] [CrossRef]
- Johnson, A.L. Reproduction in the female. In Sturkie’s Avian Physiology, 6th ed.; Scanes, C., Ed.; Elsvier: Waltham, MA, USA, 2015; pp. 635–665. [Google Scholar]
- Liu, H.K.; Long, D.W.; Bacon, W.L. Interval between preovulatory surges of luteinizing hormone increases late in the reproductive period in turkey hens. Biol. Reprod. 2002, 66, 1068–1075. [Google Scholar] [CrossRef] [PubMed][Green Version]
- Zhao, X.Z.; Gao, G.L.; Wang, H.W.; Li, Q.; Wang, Q.G. Effect of photoperiod on serum hormone concentrations during the annual reproductive cycle in geese. Genet. Mol. Res. 2017, 16, 1–8. [Google Scholar] [CrossRef] [PubMed]
- Cao, Z.Z.; Liu, D.W.; Liu, M.; Gao, M.; Chen, Z.M.; Xing, Z.; Zhang, X.Y.; Yin, Y.H.; Luan, X.H. Molecular cloning and expression analysis of neuregulin 1 (Nrg1) in the hypothalamus of Huoyan goose during different stages of the egg-laying cycle. Gene 2016, 575, 725–731. [Google Scholar] [CrossRef] [PubMed]
- Foley, T.E.; Hess, B.; Savory, J.G.; Ringuette, R.; Lohnes, D. Role of Cdx factors in early mesodermal fate decisions. Development 2019, 146, 170498. [Google Scholar] [CrossRef] [PubMed]
- Eresheim, C.; Leeb, C.; Buchegger, P.; Nimpf, J. Signaling by the extracellular matrix protein reelin promotes granulosa cell proliferation in the chicken follicle. J. Biol. Chem. 2014, 289, 10182–10191. [Google Scholar] [CrossRef]
- Bujo, H.; Lindstedt, K.A.; Hermann, M.; Dalmau, L.M.; Nimpf, J.; Schneider, W.J. Chicken oocytes and somatic cells express different splice variants of a multifunctional receptor. J. Biol. Chem. 1995, 270, 23546–23551. [Google Scholar] [CrossRef]
- Wang, G.; Kim, W.K.; Cline, M.A.; Gilbert, E.R. Factors affecting adipose tissue development in chickens: A review. Poult. Sci. 2017, 96, 3687–3699. [Google Scholar] [CrossRef]
- Qiu, J.M.; Wang, W.X.; Hu, S.Q.; Wang, Y.S.; Sun, W.Q.; Hu, J.W.; Gan, X.; Wang, J.W. Molecular cloning, characterization and expression analysis of c/ebp α, β and δ in adipose-related tissues and adipocyte of duck (anas platyrhynchos). Comp. Biochem. Phys. 2018, 221–222, 29–43. [Google Scholar] [CrossRef]
- Stairs, D.B.; Kong, J.P.; Lynch, J.P. Cdx genes, inflammation, and the pathogenesis of intestinal metaplasia. Prog. Mol. Biol. Transl. Sci. 2010, 96, 231–270. [Google Scholar] [CrossRef]
- Kannan, M.B.; Solovieva, V.; Blank, V. The small MAF transcription factors MAFF, MAFG and MAFK: Current knowledge and perspectives. BBA-Mol. Cell Res. 2012, 1823, 1841–1846. [Google Scholar] [CrossRef] [PubMed]
- Labosky, P.A. The winged helix gene, Mf3, is required for normal development of the diencephalon and midbrain, postnatal growth and the milk-ejection reflex. Development 1997, 124, 1263–1274. [Google Scholar] [CrossRef] [PubMed]
- Zhao, L.H.; Xue-Qing, B.A.; Wang, X.G.; Zhu, X.J.; Wang, L.; Zeng, X.L. Baf complex is closely related to and interacts with nf1/ctf and rna polymerase Ⅱ in gene transcriptional activation. Acta Biochim. Biophys. Sin. 2005, 37, 440–446. [Google Scholar] [CrossRef] [PubMed]






| Gene | Sequence (5′-3′) | Gene ID | Tm | Product Length |
|---|---|---|---|---|
| OVR-1 | F:GCATGTGCAGCCAAAACTAA R:CCACAAATGAGGGCAGAGAT | 101796537 | 59 °C | 379 bp |
| OVR-2 | F:GGGACAGGGCCATACAGTTT R:TCAGTACTCCCCTGCTC ATACA | 101796537 | 60 °C | 424 bp |
| OVR-3 | F:TGTATGAGCAGGGGAGTACTGA R:GCGTCCATTACTACACGGGA | 101796537 | 60 °C | 492 bp |
| OVR | F:CCCTCTGAAAAGTAGAGGAGGC R:TGTGTTGGCATTCCAAGGGT | 101796537 | 60 °C | 456 bp |
| CEBPA | F:CTTCTACGAGGTCGATTCCCG R:GATGTCGATGGAGTGCTCGT | 110351216 | 60 °C | 172 bp |
| Cdx-1 | F:CCTACGAGTGGATGAGGCG R:GGCATGAATTCCTCCTTGATGGTC | 101802595 | 60 °C | 394 bp |
| MafG | F:AGGGTCCCATCAACAGAGTG R:ATGCCTGCTCTCTTTGTCCT | 101793512 | 60 °C | 189 bp |
| MF3 | F:CATGTCAAACATCCCACTGC R:ACCTTGGGCCAATAGGAATC | 117001954 | 58 °C | 203 bp |
| NF-1 | F:GCGTGTGCTTGGAAATTTGG R:CCCAGCAAGAAGAGAGACCA | 101793953 | 59 °C | 250 bp |
| β-actin | F:ACACTGTGCCCATCTACGAA R:TCGAAATCCAGGGCGACATA | 101800437 | 60 °C | 152 bp |
| Periods | FSH (mIU/mL) | LH (mIU/mL) | PRL (uIU/mL) | P4 (ng/mL) | E2 (pg/mL) |
|---|---|---|---|---|---|
| pre-laying | 2.15 ± 0.057 | 5.70 ± 0.534 A | 91.91 ± 16.300 B | 0.23 ± 0.101 | 20.37 ± 5.514 C |
| early laying | 2.71 ± 0.590 | 4.13 ± 0.929 A | 71.97 ± 18.259 D | 0.29 ± 0.084 | 588.27 ± 106.612 A |
| peak laying | 3.03 ± 0.785 | 2.39 ± 0.568 B | 86.4 ± 28.519 C | 0.09 ± 0.017 | 347.53 ± 105.396 B |
| ceased laying | 2.38 ± 0.082 | 5.17 ± 0.431 A | 155.04 ± 54.134 A | 0.17 ± 0.031 | 7.18 ± 1.535 C |
| Period | Primary Follicle | Developing Follicle | Mature Follicle |
|---|---|---|---|
| Pre-laying | 0.37 ± 0.146 D b | 1.36 ± 0.594 D a | / |
| Early laying | 0.66 ± 0.132 C b | 3.60 ± 0.715 C a | 0.87 ± 0.170 A b |
| Peak laying | 0.86 ± 0.204 B b | 4.46 ± 1.821 B a | 0.73 ± 0.350 A b |
| Ceased laying | 1.72 ± 0.303 A b | 7.30 ± 1.877 A a | / |
| Follicle Level | FSH | LH | PRL | P4 | E2 |
|---|---|---|---|---|---|
| Primary follicle | 0.007 | 0.014 | 0.001 | 0.015 | 0.006 |
| Developing follicle | 0.033 | 0.027 | 0.023 | 0.009 | 0.043 |
| Mature follicle | 0.640 * | 0.066 | 0.045 | 0.032 | 0.085 |
Publisher’s Note: MDPI stays neutral with regard to jurisdictional claims in published maps and institutional affiliations. |
© 2022 by the authors. Licensee MDPI, Basel, Switzerland. This article is an open access article distributed under the terms and conditions of the Creative Commons Attribution (CC BY) license (https://creativecommons.org/licenses/by/4.0/).
Share and Cite
Du, Y.; Chen, X.; Yang, H.; Sun, L.; Wei, C.; Yang, W.; Zhao, Y.; Liu, Z.; Geng, Z. Expression of Oocyte Vitellogenesis Receptor Was Regulated by C/EBPα in Developing Follicle of Wanxi White Goose. Animals 2022, 12, 874. https://doi.org/10.3390/ani12070874
Du Y, Chen X, Yang H, Sun L, Wei C, Yang W, Zhao Y, Liu Z, Geng Z. Expression of Oocyte Vitellogenesis Receptor Was Regulated by C/EBPα in Developing Follicle of Wanxi White Goose. Animals. 2022; 12(7):874. https://doi.org/10.3390/ani12070874
Chicago/Turabian StyleDu, Yeye, Xingyong Chen, Han Yang, Linghong Sun, Congcong Wei, Wanli Yang, Yutong Zhao, Zhengquan Liu, and Zhaoyu Geng. 2022. "Expression of Oocyte Vitellogenesis Receptor Was Regulated by C/EBPα in Developing Follicle of Wanxi White Goose" Animals 12, no. 7: 874. https://doi.org/10.3390/ani12070874
APA StyleDu, Y., Chen, X., Yang, H., Sun, L., Wei, C., Yang, W., Zhao, Y., Liu, Z., & Geng, Z. (2022). Expression of Oocyte Vitellogenesis Receptor Was Regulated by C/EBPα in Developing Follicle of Wanxi White Goose. Animals, 12(7), 874. https://doi.org/10.3390/ani12070874

