Assessment of the Vaccination Program against Cystic Echinococcosis in Sheep in the Pehuenche Community of Central Chile
Simple Summary
Abstract
1. Introduction
2. Materials and Methods
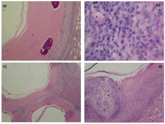
3. Results
3.1. Spring 2016 (Pre-Vaccination Sampling)
3.2. January 2020 (Post-Vaccination Sampling)
4. Discussion
5. Conclusions
Supplementary Materials
Author Contributions
Funding
Institutional Review Board Statement
Informed Consent Statement
Data Availability Statement
Acknowledgments
Conflicts of Interest
References
- Nakao, M.; Lavikainen, A.; Yanagida, T.; Ito, A. Phylogenetic systematics of the genus Echinococcus (Cestoda: Taeniidae). Int. J. Parasitol. 2013, 43, 1017–1029. [Google Scholar] [CrossRef] [PubMed]
- Woolsey, I.D.; Miller, A.L. Echinococcus granulosus sensu lato and Echinococcus multilocularis: A review. Res. Vet. Sci. 2021, 135, 517–522. [Google Scholar] [CrossRef] [PubMed]
- Alvarez Rojas, C.A.; Romig, T.; Lightowlers, M.W. Echinococcus granulosus sensu lato genotypes infecting humans—Review of current knowledge. Int. J. Parasitol. 2014, 44, 9–18. [Google Scholar] [CrossRef] [PubMed]
- Romig, T.; Deplazes, P.; Jenkins, D.; Giraudoux, P.; Massolo, A.; Craig, P.S.; Wassermann, M.; Takahashi, K.; De La Rue, M. Ecology and life cycle patterns of Echinococcus species. Adv. Parasitol. 2017, 95, 213–314. [Google Scholar] [CrossRef]
- WHO. Echinococcosis. Available online: https://www.who.int/news-room/fact-sheets/detail/echinococcosis (accessed on 6 December 2021).
- Bingham, G.M.; Hererro, E.; Budke, C.M.; Norby, B.; Uchiumi, L.; Larrieu, E.; Del Carpio, M.; Mujica, G.; Mercapide, C.; Salvitti, J.C. The economic Iimpact of cystic echinococcosis in Rio Negro Province, Argentina. Am. J. Trop. Med. Hyg. 2016, 94, 615–625. [Google Scholar] [CrossRef]
- Moro, P.L.; Budke, C.M.; Schantz, P.M.; Vasquez, J.; Santivañez, S.J.; Villavicencio, J. Economic impact of cystic echinococcosis in Peru. PLoS Negl. Trop. Dis. 2011, 5, e1179. [Google Scholar] [CrossRef]
- Craig, P.; Larrieu, E. Control of Cystic Echinococcosis/Hydatidosis: 1863–2002. Adv. Parasitol. 2006, 61, 443–508. [Google Scholar] [CrossRef]
- Lightowlers, M.W.; Lawrence, S.B.; Gauci, C.G.; Young, J.; Ralston, M.J.; Maas, D.; Heath, D.D. Vaccination against hydatidosis using a defined recombinant antigen. Parasite Immunol. 1996, 18, 457–462. [Google Scholar] [CrossRef]
- Heath, D.D.; Jensen, O.; Lightowlers, M.W. Progress in control of hydatidosis using vaccination—A review of formulation and delivery of the vaccine and recommendations for practical use in control programmes. Acta Trop. 2003, 85, 133–143. [Google Scholar] [CrossRef]
- Paykari, H.; Heath, D.D.; Dalimi, A.H.; Karimi, G.R.; Motamedi, G.R. Experimental vaccination of sheep against hydatid cyst using EG95 recombinant vaccine. Arch. Razi Inst. 2008, 63, 29–34. [Google Scholar] [CrossRef]
- Vivallo Cuevas, I.O. Evaluación de la Vacuna Eg95 Contra Hidatidosis, en Ovinos. Ph.D. Thesis, Universidad de Concepción, Chillán, Chile, 2004. [Google Scholar]
- Larrieu, E.; Mujica, G.; Gauci, C.G.; Vizcaychipi, K.; Seleiman, M.; Herrero, E.; Labanchi, J.L.; Araya, D.; Sepúlveda, L.; Grizmado, C.; et al. Pilot Field Trial of the EG95 Vaccine Against Ovine Cystic Echinococcosis in Rio Negro, Argentina: Second Study of Impact. PLoS Negl. Trop. Dis. 2015, 9, e0004134. [Google Scholar] [CrossRef] [PubMed]
- Cortés, S.; Valle, C. Hidatidosis humana: Generalidades y situación epidemiológica en Chile según egresos hospitalarios y notificación obligatoria entre los años 2001 y 2005. Rev. Chil. Infectol. 2010, 27, 329–335. [Google Scholar] [CrossRef] [PubMed]
- Colombe, S.; Togami, E.; Gelaw, F.; Antillon, M.; Fuentes, R.; Weinberger, D.M. Trends and correlates of cystic echinococcosis in Chile: 2001–2012. PLoS Negl. Trop. Dis. 2017, 11, e0005911. [Google Scholar] [CrossRef] [PubMed]
- Soto-Aguilar, A.; Junod, T.; Campillay, M.; Acosta-Jamett, G.; Landaeta-Aqueveque, C. Análisis de la hidatidosis humana en la Región de Coquimbo entre los años 2008 y 2012. Rev. Méd. Chile 2017, 145, 603–609. [Google Scholar] [CrossRef] [PubMed][Green Version]
- Medina, N.; Riquelme, N.; Rodríguez, J.; Aguirre, O.; Ayala, S.; Canals, M. Distribución y factores de riesgo de hidatidosis en la Región del Libertador Bernardo O’Higgins entre 2010 y 2016. Rev. Chil. Infectol. 2019, 36, 591–598. [Google Scholar] [CrossRef] [PubMed]
- Medina, N.; Martínez, P.; Ayala, S.; Canals, M. Distribución y factores de riesgo de equinococosis quística humana en Aysén 2010–2016. Rev. Chil. Infectol. 2021, 38, 349–354. [Google Scholar] [CrossRef] [PubMed]
- Khan, A.; Ahmed, H.; Simsek, S.; Gondal, M.A.; Afzal, M.S.; Irum, S.; Muhammad, I.; Mansur, H.; Fatima, A.; Ali, M.S.; et al. Poverty-associated emerging infection of cystic echinococcosis in population of Northern Pakistan: A hospital based study. Trop. Biomed. 2019, 36, 324–334. [Google Scholar]
- Resultados Censo 2017. Available online: http://resultados.censo2017.cl/Region?R=R08 (accessed on 6 December 2021).
- Alto Biobío, Reporte Comunal. Available online: https://www.bcn.cl/siit/reportescomunales/comunas_v.html?anno=2020&idcom=8314 (accessed on 6 December 2021).
- Censo Agropecuario. Available online: https://www.ine.cl/estadisticas/economia/agricultura-agroindustria-y-pesca/censos-agropecuarios (accessed on 6 December 2021).
- Acosta-Jamett, G.; Cleaveland, S.; de C Bronsvoort, B.M.; Cunningham, A.A.; Bradshaw, H.; Craig, P.S. Echinococcus granulosus infection in foxes in Coquimbo District, Chile. Arch. Med. Vet. 2015, 47, 409–413. [Google Scholar] [CrossRef]
- Vallejo, A.; Muniesa, A.; Ferreira, C.; Blas, I.d. New method to estimate the sample size for calculation of a proportion assuming binomial distribution. Res. Vet. Sci. 2013, 95, 405–409. [Google Scholar] [CrossRef]
- Acosta-Jamett, G.; Cleaveland, S.; Cunningham, A.A.; Bronsvoort, B.M.d.; Craig, P.S. Echinococcus granulosus infection in humans and livestock in the Coquimbo region, north-central Chile. Vet. Parasitol. 2010, 169, 102–110. [Google Scholar] [CrossRef]
- Avila, H.G.; Santos, G.B.; Cucher, M.A.; Macchiaroli, N.; Pérez, M.G.; Baldi, G.; Jensen, O.; Pérez, V.; López, R.; Negro, P.; et al. Implementation of new tools in molecular epidemiology studies of Echinococcus granulosus sensu lato in South America. Parasitol. Int. 2017, 66, 250–257. [Google Scholar] [CrossRef] [PubMed]
- Chaâbane-Banaoues, R.; Oudni-M’Rad, M.; Cabaret, J.; M’Rad, S.; Mezhoud, H.; Babba, H. Infection of dogs with Echinococcus granulosus: Causes and consequences in an hyperendemic area. Parasites Vectors 2015, 8, 231. [Google Scholar] [CrossRef] [PubMed]
- Ghatee, M.A.; Nikaein, K.; Taylor, W.R.; Karamian, M.; Alidadi, H.; Kanannejad, Z.; Sehatpour, F.; Zarei, F.; Pouladfar, G. Environmental, climatic and host population risk factors of human cystic echinococcosis in southwest of Iran. BMC Public Health 2020, 20, 1611. [Google Scholar] [CrossRef] [PubMed]
- Larrieu, E.; Mujica, G.; Araya, D.; Labanchi, J.L.; Arezo, M.; Herrero, E.; Santillán, G.; Vizcaychipi, K.; Uchiumi, L.; Salvitti, J.C.; et al. Pilot field trial of the EG95 vaccine against ovine cystic echinococcosis in Rio Negro, Argentina: 8 years of work. Acta Trop. 2019, 191, 1–7. [Google Scholar] [CrossRef]
- Zhang, W.B.; Li, J.; You, H.; Zhang, Z.Z.; Turson, G.; Loukas, A.; McManus, D.P. Short report: Echinococcus granulosus from Xinjiang, PR China: cDNAS encoding the EG95 vaccine antigen are expressed in different life cycle stages and are conserved in the oncosphere. Am. J. Trop. Med. Hyg. 2003, 68, 40–43. [Google Scholar] [CrossRef]
- Paredes, R.; Godoy, P.; Rodríguez, B.; García, M.P.; Cabezón, C.; Cabrera, G.; Jiménez, V.; Hellman, U.; Sáenz, L.; Ferreira, A.; et al. Bovine (Bos taurus) humoral immune response against Echinococcus granulosus and hydatid cyst infertility. J. Cell. Biochem. 2011, 112, 189–199. [Google Scholar] [CrossRef]
- Riesle, S.; García, M.P.; Hidalgo, C.; Galanti, N.; Saenz, L.; Paredes, R. Bovine IgG subclasses and fertility of Echinococcus granulosus hydatid cysts. Vet. Parasitol. 2014, 205, 125–133. [Google Scholar] [CrossRef]
- Larrieu, E.; Poggio, T.V.; Mujica, G.; Gauci, C.G.; Labanchi, J.L.; Herrero, E.; Araya, D.; Grizmado, C.; Calabro, A.; Talmon, G.; et al. Pilot field trial of the EG95 vaccine against ovine cystic echinococcosis in Rio Negro, Argentina: Humoral response to the vaccine. Parasitol. Int. 2017, 66, 258–261. [Google Scholar] [CrossRef]
- Heath, D.D.; Koolaard, J. Serological monitoring of protection of sheep against Echinococcus granulosus induced by the EG95 vaccine. Parasite Immunol. 2012, 34, 40–44. [Google Scholar] [CrossRef]
- Alvarez Rojas, C.A.; Gauci, C.G.; Lightowlers, M.W. Antigenic differences between the EG95-related proteins from Echinococcus granulosus G1 and G6 genotypes: Implications for vaccination. Parasite Immunol. 2013, 35, 99–102. [Google Scholar] [CrossRef]
- Chow, C.; Gauci, C.G.; Vural, G.; Jenkins, D.J.; Heath, D.D.; Rosenzvit, M.C.; Harandi, M.F.; Lightowlers, M.W. Echinococcus granulosus: Variability of the host-protective EG95 vaccine antigen in G6 and G7 genotypic variants. Exp. Parasitol. 2008, 119, 499–505. [Google Scholar] [CrossRef] [PubMed]
- Manterola, C.; Benavente, F.; Melo, A.; Vial, M.; Roa, J.C. Description of Echinococcus granulosus genotypes in human hydatidosis in a region of southern Chile. Parasitol. Int. 2008, 57, 342–346. [Google Scholar] [CrossRef] [PubMed]
- Espinoza, S.; Salas, A.M.; Vargas, A.; Freire, V.; Diaz, E.; Sánchez, G.; Venegas, J. Detection of the G3 genotype of Echinococcus granulosus from hydatid cysts of Chilean cattle using COX1and ND1mitochondrial markers. Parasitol. Res. 2014, 113, 139–147. [Google Scholar] [CrossRef] [PubMed]
- Corrêa, F.; Stoore, C.; Horlacher, P.; Jiménez, M.; Hidalgo, C.; Alvarez Rojas, C.A.; Figueiredo Barros, G.; Bunselmeyer Ferreira, H.; Hernández, M.; Cabrera, G.; et al. First description of Echinococcus ortleppi and cystic echinococcosis infection status in Chile. PLoS ONE 2018, 13, e0197620. [Google Scholar] [CrossRef] [PubMed]
- Nakao, M.; McManus, D.P.; Schantz, P.M.; Craig, P.S.; Ito, A. A molecular phylogeny of the genus Echinococcus inferred from complete mitochondrial genomes. Parasitology 2006, 134, 713–722. [Google Scholar] [CrossRef]
- Thompson, R.C.A.; Lymbery, A.J.; Constantine, C.C. Variation in Echinococcus: Towards a taxonomic revision of the genus. Adv. Parasitol. 1995, 35, 145–175. [Google Scholar] [CrossRef]



| Locality | 2016 | 2020 | |||
|---|---|---|---|---|---|
| Number of Infected/Examined Animals | Frequency % (95% CI) | Number of Infected/Examined Animals | Frequency % (95% CI) | Frequency of Fertile Hydatid Cysts % (95% CI) | |
| Trapa-Trapa cluster | 18/28 | 64.29 (16.1–82.52) | 58/91 | 63.7 (53.7–73.7) | 8.8 (2.9–14.7) |
| Malla-Malla | 0 | – | 11/19 | 57.9 (34.9–80.8) | 10.53 (0–24.8) |
| Cauñicú | 1/1 | 100 (5–100) | 1/5 | 20 (0–59.4) | 0 (0–45.1) |
| Pitril | 0 | – | 2/5 | 40 (0–88.3) | 0 (0–45.1) |
| Callaqui | 0 | – | 0/4 | 0 (0–52.7) | 0 (0–52.7) |
| El Avellano | 0/1 | 0 (0–95) | 0 | – | – |
| Quepuca Ralco | 3/5 | 60 (11.6–100) | 5/16 | 31.3 (7.6–54.9) | 6.3% (0–18.6) |
| Ralco Lepoy | 15/28 | 53.6 (35.6–72.5) | 18/27 | 66.7 (48.4–84.9) | 3.7 (0–11.0) |
| Los Guindos | 2/21 | 9.5 (0–22.5) | 0 | – | – |
| Guallalí | 13/29 | 44.8 (26.2–63.4) | 7/18 | 38.9 (15.6–62.2) | 16.7 (0–34.5) |
| El Barco | 13/26 | 50 (30.2–69.8) | 8/15 | 53.3 (27.0–79.6) | 6.7 (0–19.8) |
| Overall | 65/139 | 46.8 (38.4–55.2) | 110/200 | 55 (48.0–62.0) | 8 (4.2–11.8) |
| Age | Sample Size | Frequency of Infection | Mean Abundance of Cysts |
|---|---|---|---|
| 1 | 39 | 23.08 | 1.85 |
| 2 | 52 | 36.53 | 1.08 |
| 3 | 51 | 47.06 | 2.52 |
| 4 | 36 | 61.11 | 5.41 |
| 5 | 22 | 77.27 | 17.55 |
| 6 | 11 | 72.73 | 6.73 |
| 7 | 1 | 1.00 | 3.00 |
| 8 | 1 | 1.00 | 13.00 |
| Presence/Absence of Fertile Cysts * | Coefficient | Standard Error | p Value | 95% Confidence Interval |
|---|---|---|---|---|
| Age at first dose | 0.276 | 0.123 | 0.025 | 0.035–0.518 |
| One-month-after booster | −1.578 | 0.796 | 0.047 | −3.138–−0.018 |
| Abundance of Fertile Cysts * | Coefficient | Standard Error | p Value | 95% Confidence Interval |
| Lyophilized vaccine (versus oil vaccine) | 1.006 | 0.326 | 0.002 | 0.368–1.644 |
| One-month-after booster | −0.539 | 0.231 | 0.019 | −0.992–−0.087 |
| Number of received vaccines | 0.745 | 0.260 | 0.004 | 0.236–1.254 |
| Time in program | 0.002 | 0.001 | <0.001 | 0.001–0.004 |
Publisher’s Note: MDPI stays neutral with regard to jurisdictional claims in published maps and institutional affiliations. |
© 2022 by the authors. Licensee MDPI, Basel, Switzerland. This article is an open access article distributed under the terms and conditions of the Creative Commons Attribution (CC BY) license (https://creativecommons.org/licenses/by/4.0/).
Share and Cite
Gädicke, P.; Heath, D.; Medina-Brunet, A.; Siva-de la Fuente, M.C.; Espinoza-Rojas, H.; Villaguala-Pacheco, C.; Rubilar, M.; Cerda, C.; Quezada, M.; Rojas, D.; et al. Assessment of the Vaccination Program against Cystic Echinococcosis in Sheep in the Pehuenche Community of Central Chile. Animals 2022, 12, 679. https://doi.org/10.3390/ani12060679
Gädicke P, Heath D, Medina-Brunet A, Siva-de la Fuente MC, Espinoza-Rojas H, Villaguala-Pacheco C, Rubilar M, Cerda C, Quezada M, Rojas D, et al. Assessment of the Vaccination Program against Cystic Echinococcosis in Sheep in the Pehuenche Community of Central Chile. Animals. 2022; 12(6):679. https://doi.org/10.3390/ani12060679
Chicago/Turabian StyleGädicke, Paula, David Heath, Angela Medina-Brunet, María Carolina Siva-de la Fuente, Hellen Espinoza-Rojas, Carmen Villaguala-Pacheco, Makarena Rubilar, Carolina Cerda, Manuel Quezada, Daniela Rojas, and et al. 2022. "Assessment of the Vaccination Program against Cystic Echinococcosis in Sheep in the Pehuenche Community of Central Chile" Animals 12, no. 6: 679. https://doi.org/10.3390/ani12060679
APA StyleGädicke, P., Heath, D., Medina-Brunet, A., Siva-de la Fuente, M. C., Espinoza-Rojas, H., Villaguala-Pacheco, C., Rubilar, M., Cerda, C., Quezada, M., Rojas, D., Henríquez, A., Loyola, M., & Landaeta-Aqueveque, C. (2022). Assessment of the Vaccination Program against Cystic Echinococcosis in Sheep in the Pehuenche Community of Central Chile. Animals, 12(6), 679. https://doi.org/10.3390/ani12060679

