Identification and Protective Efficacy of Eimeria tenella Rhoptry Kinase Family Protein 17
Abstract
Simple Summary
Abstract
1. Introduction
2. Materials and Methods
2.1. Parasites and Animals
2.2. Amplification and Recombinant Expression of EtROP17
2.3. Generation of Antisera
2.4. Immunoblot Analysis of rEtROP17 and Native EtROP17 Protein
2.5. Immunofluorescence Analysis of Native EtROP17 Expression
2.6. Immunization and Challenge Infection
2.7. Evaluation of Protective Efficacy
2.8. Determination of Serum Antibody Levels
2.9. Statistical Analysis
3. Results
3.1. Amplification, Expression, and Purification
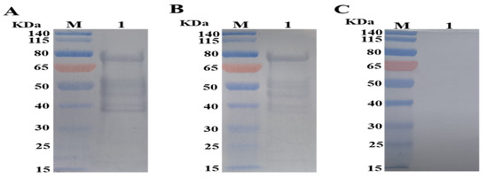
3.2. Identification and Immunoreactivity of the Recombinant Protein
3.3. Expression Analysis of Native EtROP17 in Merozoites
3.4. IgY Titers and Protective Efficacy of Vaccination on E. tenella Challenge
4. Discussion
5. Conclusions
Supplementary Materials
Author Contributions
Funding
Institutional Review Board Statement
Informed Consent Statement
Data Availability Statement
Conflicts of Interest
References
- Blake, D.P.; Knox, J.; Dehaeck, B.; Huntington, B.; Rathinam, T.; Ravipati, V.; Ayoade, S.; Gilbert, W.; Adebambo, A.O.; Jatau, I.D.; et al. Re-calculating the cost of coccidiosis in chickens. Vet. Res. 2020, 51, 115. [Google Scholar] [CrossRef] [PubMed]
- Györke, A.; Kalmár, Z.; Pop, L.; Şuteu, O. The economic impact of infection with Eimeria spp. in broiler farms from Romania. Rev. Bras. Zootec. 2016, 45, 273–280. [Google Scholar] [CrossRef]
- Bera, A.; Bhattacharya, D.; Pan, D.; Dhara, A.; Kumar, S.; Das, S. Evaluation of economic losses due to coccidiosis in poultry industry in India. Agric. Econ. Res. Rev. 2010, 23, 91–96. [Google Scholar]
- Kadykalo, S.; Roberts, T.; Thompson, M.; Wilson, J.; Lang, M.; Espeisse, O. The value of anticoccidials for sustainable global poultry production. Int. J. Antimicrob. Agents 2018, 51, 304–310. [Google Scholar] [CrossRef] [PubMed]
- Dalloul, R.A.; Lillehoj, H.S. Recent advances in immunomodulation and vaccination strategies against coccidiosis. Avian Dis. 2005, 49, 1–8. [Google Scholar] [CrossRef] [PubMed]
- Attree, E.; Sanchez-Arsuaga, G.; Jones, M.; Xia, D.; Marugan-Hernandez, V.; Blake, D.; Tomley, F. Controlling the causative agents of coccidiosis in domestic chickens; an eye on the past and considerations for the future. CABI Agric. Biosci. 2021, 2, 37. [Google Scholar] [CrossRef] [PubMed]
- Gumina, E.; Hall, J.W.; Vecchi, B.; Hernandez-Velasco, X.; Lumpkins, B.; Mathis, G.; Layton, S. Evaluation of a subunit vaccine candidate (Biotech Vac Cox) against Eimeria spp. in broiler chickens. Poult. Sci. 2021, 100, 101329. [Google Scholar] [CrossRef] [PubMed]
- Chen, C.; Tian, D.; Su, J.; Liu, X.; Shah, M.A.A.; Li, X.; Xu, L.; Yan, R.; Song, X. Protective efficacy of rhomboid-like protein 3 as a candidate antigen against Eimeria maxima in chickens. Front. Microbiol. 2021, 12, 614229. [Google Scholar] [CrossRef] [PubMed]
- Zhao, H.; Zhu, S.; Zhao, Q.; Huang, B.; Liu, G.; Li, Z.; Wang, L.; Dong, H.; Han, H. Molecular characterization and protective efficacy of a new conserved hypothetical protein of Eimeria tenella. Parasite 2021, 28, 40. [Google Scholar] [CrossRef] [PubMed]
- Toulah, F.H.; Esmail, H.A.; Khan, S. The efficacy of Origanum vulgare on Eimeria tenella. J. Egypt. Soc. Parasitol. 2012, 42, 245–250. [Google Scholar]
- Reid, A.J.; Blake, D.P.; Ansari, H.R.; Billington, K.; Browne, H.P.; Bryant, J.; Dunn, M.; Hung, S.S.; Kawahara, F.; Miranda-Saavedra, D.; et al. Genomic analysis of the causative agents of coccidiosis in domestic chickens. Genome Res. 2014, 24, 1676–1685. [Google Scholar] [CrossRef] [PubMed]
- Diallo, M.A.; Sausset, A.; Gnahoui-David, A.; Silva, A.R.E.; Brionne, A.; Le Vern, Y.; Bussière, F.I.; Tottey, J.; Lacroix-Lamandé, S.; Laurent, F.; et al. Eimeria tenella ROP kinase EtROP1 induces G0/G1 cell cycle arrest and inhibits host cell apoptosis. Cell. Microbiol. 2019, 21, e13027. [Google Scholar] [CrossRef] [PubMed]
- Oakes, R.D.; Kurian, D.; Bromley, E.; Ward, C.; Lal, K.; Blake, D.P.; Reid, A.J.; Pain, A.; Sinden, R.E.; Wastling, J.M.; et al. The rhoptry proteome of Eimeria tenella sporozoites. Int. J. Parasitol. 2013, 43, 181–188. [Google Scholar] [CrossRef] [PubMed]
- Rafiqi, S.I.; Garg, R.; Ram, H.; Reena, K.K.; Asari, M.; Kumari, P.; Kundave, V.R.; Singh, M.; Banerjee, P.S. Immunoprophylactic evaluation of recombinant gametocyte 22 antigen of Eimeria tenella in broiler chickens. Parasitol. Res. 2019, 118, 945–953. [Google Scholar] [CrossRef]
- Dong, H.; Yang, S.; Zhao, Q.; Han, H.; Zhu, S.; Zhu, X.; Li, C.; Wang, Z.; Xia, W.; Men, Q.; et al. Molecular characterization and protective efficacy of silent information regulator 2A from Eimeria tenella. Parasites Vectors 2016, 9, 602. [Google Scholar] [CrossRef]
- Fetterer, R.H.; Barfield, R.C. Characterization of a developmentally regulated oocyst protein from Eimeria tenella. J. Parasitol. 2003, 89, 553–564. [Google Scholar] [CrossRef]
- Zhang, Z.; Wang, S.; Li, C.; Liu, L. Immunoproteomic analysis of the protein repertoire of unsporulated Eimeria tenella oocysts. Parasite 2017, 24, 48. [Google Scholar] [CrossRef][Green Version]
- Liu, Q.; Chen, Z.; Shi, W.; Sun, H.; Zhang, J.; Li, H.; Xiao, Y.; Wang, F.; Zhao, X. Preparation and initial application of monoclonal antibodies that recognize Eimeria tenella microneme proteins 1 and 2. Parasitol. Res. 2014, 113, 4151–4161. [Google Scholar] [CrossRef]
- Zhang, J.; Chen, P.; Sun, H.; Liu, Q.; Wang, L.; Wang, T.; Shi, W.; Li, H.; Xiao, Y.; Wang, P.; et al. Pichia pastoris expressed EtMic2 protein as a potential vaccine against chicken coccidiosis. Vet. Parasitol. 2014, 205, 62–69. [Google Scholar] [CrossRef]
- Johnson, J.; Reid, W.M. Anticoccidial drugs: Lesion scoring techniques in battery and floor-pen experiments with chickens. Exp. Parasitol. 1970, 28, 30–36. [Google Scholar] [CrossRef]
- Wang, P.; Li, J.; Gong, P.; Wang, W.; Ai, Y.; Zhang, X. An OTU deubiquitinating enzyme in Eimeria tenella interacts with Eimeria tenella virus RDRP. Parasites Vectors 2018, 11, 74. [Google Scholar] [CrossRef]
- Su, S.; Hou, Z.; Liu, D.; Jia, C.; Wang, L.; Xu, J.; Tao, J. Comparative transcriptome analysis of Eimeria necatrix third-generation merozoites and gametocytes reveals genes involved in sexual differentiation and gametocyte development. Vet. Parasitol. 2018, 252, 35–46. [Google Scholar] [CrossRef]
- Rieux, A.; Gras, S.; Lecaille, F.; Niepceron, A.; Katrib, M.; Smith, N.C.; Lalmanach, G.; Brossier, F. Eimeripain, a cathepsin B-like cysteine protease, expressed throughout sporulation of the apicomplexan parasite Eimeria tenella. PLoS ONE 2012, 7, e31914. [Google Scholar] [CrossRef]
- Yan, M.; Cui, X.; Zhao, Q.; Zhu, S.; Huang, B.; Wang, L.; Zhao, H.; Liu, G.; Li, Z.; Han, H.; et al. Molecular characterization and protective efficacy of the microneme 2 protein from Eimeria tenella. Parasite 2018, 25, 60. [Google Scholar] [CrossRef] [PubMed]
- Tian, E.J.; Zhou, B.H.; Wang, X.Y.; Zhao, J.; Deng, W.; Wang, H.W. Effect of diclazuril on intestinal morphology and SIgA expression in chicken infected with Eimeria tenella. Parasitol. Res. 2014, 113, 4057–4064. [Google Scholar] [CrossRef]
- Guo, M.; Sun, J.; Wang, W.T.; Liu, H.Y.; Liu, Y.H.; Qin, K.R.; Hu, J.R.; Li, X.Y.; Liu, H.L.; Wang, W.; et al. Toxoplasma gondii ROP17 promotes autophagy via the Bcl-2-Beclin 1 pathway. Folia Parasitol 2021, 68, 2021.016. [Google Scholar] [CrossRef]
- Li, J.X.; He, J.J.; Elsheikha, H.M.; Chen, D.; Zhai, B.T.; Zhu, X.Q.; Yan, H.K. Toxoplasma gondii ROP17 inhibits the innate immune response of HEK293T cells to promote its survival. Parasitol. Res. 2019, 118, 783–792. [Google Scholar] [CrossRef] [PubMed]
- Constantinoiu, C.C.; Molloy, J.B.; Jorgensen, W.K.; Coleman, G.T. Antibody response against endogenous stages of an attenuated strain of Eimeria tenella. Vet. Parasitol. 2008, 154, 193–204. [Google Scholar] [CrossRef]
- Zhao, P.; Wang, C.; Ding, J.; Zhao, C.; Xia, Y.; Hu, Y.; Zhang, L.; Zhou, Y.; Zhao, J.; Fang, R. Evaluation of immunoprotective effects of recombinant protein and DNA vaccine based on Eimeria tenella surface antigen 16 and 22 in vivo. Parasitol. Res. 2021, 120, 1861–1871. [Google Scholar] [CrossRef] [PubMed]
- Võ, T.C.; Naw, H.; Flores, R.A.; Lê, H.G.; Kang, J.M.; Yoo, W.G.; Kim, W.H.; Min, W.; Na, B.K. Genetic Diversity of Microneme Protein 2 and Surface Antigen 1 of Eimeria tenella. Genes 2021, 12, 1418. [Google Scholar] [CrossRef]




| Groups | Delivery Route | At 7 Days of Age | At 14 Days of Age | Challenge 1 |
|---|---|---|---|---|
| Unchallenged control | Subcutaneous injection | B buffer + ISA 71 | B buffer + ISA 71 | Unchallenged |
| Challenged control | Subcutaneous injection | B buffer + ISA 71 | B buffer + ISA 71 | Challenged |
| rEtROP17-50 μg | Subcutaneous injection | 50 μg rEtROP17+ ISA 71 | 50 μg rEtROP17+ ISA 71 | Challenged |
| rEtROP17-100 μg | Subcutaneous injection | 100 μg rEtROP17+ ISA 71 | 100 μg rEtROP17+ ISA 71 | Challenged |
| Groups | Average Body Weight Gains (g) | Relative Body Weight Gain Rate (%) | Lesion Scores | Oocyst Output (×105) |
|---|---|---|---|---|
| Unchallenged control | 167.32 ± 9.19 a | 100 | 0 c | 0 c |
| Challenged control | 115.35 ± 40.89 b | 69.95 | 3.91 ± 0.3 a | 0.6665 ± 0.019 a |
| rEtROP17-50 μg | 116.97 ± 34.91 b | 74.68 | 2.18 ± 1.08 b | 0.3075 ± 0.064 b |
| rEtROP17-100 μg | 129.63 ± 19.03 b | 84.14 | 1.36 ± 1.21 b | 0.238 ± 0.065 b |
Publisher’s Note: MDPI stays neutral with regard to jurisdictional claims in published maps and institutional affiliations. |
© 2022 by the authors. Licensee MDPI, Basel, Switzerland. This article is an open access article distributed under the terms and conditions of the Creative Commons Attribution (CC BY) license (https://creativecommons.org/licenses/by/4.0/).
Share and Cite
Liu, X.; Mu, B.; Zheng, W.; Meng, Y.; Yu, L.; Gao, W.; Zhu, X.; Liu, Q. Identification and Protective Efficacy of Eimeria tenella Rhoptry Kinase Family Protein 17. Animals 2022, 12, 556. https://doi.org/10.3390/ani12050556
Liu X, Mu B, Zheng W, Meng Y, Yu L, Gao W, Zhu X, Liu Q. Identification and Protective Efficacy of Eimeria tenella Rhoptry Kinase Family Protein 17. Animals. 2022; 12(5):556. https://doi.org/10.3390/ani12050556
Chicago/Turabian StyleLiu, Xiaoxin, Bingjin Mu, Wenbin Zheng, Yijing Meng, Linmei Yu, Wenwei Gao, Xingquan Zhu, and Qing Liu. 2022. "Identification and Protective Efficacy of Eimeria tenella Rhoptry Kinase Family Protein 17" Animals 12, no. 5: 556. https://doi.org/10.3390/ani12050556
APA StyleLiu, X., Mu, B., Zheng, W., Meng, Y., Yu, L., Gao, W., Zhu, X., & Liu, Q. (2022). Identification and Protective Efficacy of Eimeria tenella Rhoptry Kinase Family Protein 17. Animals, 12(5), 556. https://doi.org/10.3390/ani12050556

