Functional Divergence of the N-Lobe and C-Lobe of Transferrin Gene in Pungitius sinensis (Amur Stickleback)
Abstract
Simple Summary
Abstract
1. Introduction
2. Materials and Methods
2.1. Preparation of P. sinensis, RNA Extraction, Expression Patterns in Different Tissues and under Pathogen Infection
2.2. Sequence Retrieval of Fish TFs
2.3. Phylogeny and Motif Analysis
2.4. Functional Divergence Analyses
2.5. Site-Specific Selection Assessment and Testing
2.6. Recombinant N-Lobe and C-Lobe Plasmid Construction, Expression, and Purification
2.7. Iron-Binding Assay of N-Lobe and C-Lobe of TF in Amur Stickleback
2.8. Antibacterial Assay of N-Lobe and C-Lobe of TF in Amur Stickleback
3. Results
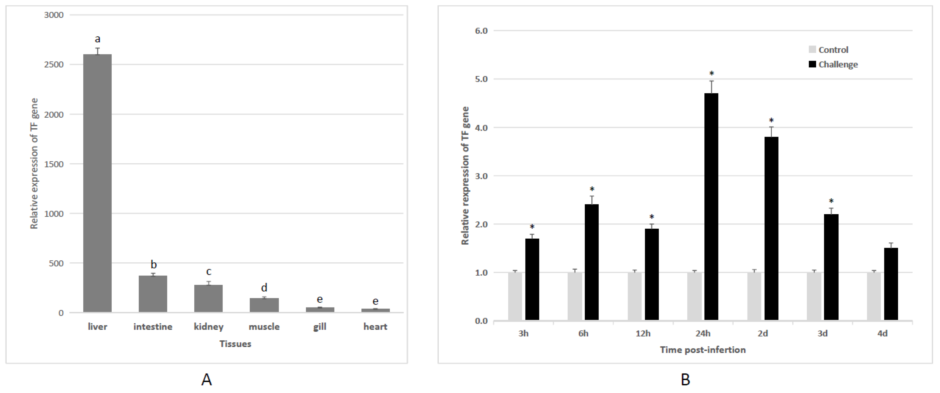
3.1. Identification and Expression Patterns of TF Gene in Amur Stickleback
3.2. Phylogenetic Analysis of the N-Lobe and C-Lobe
3.3. Motif Distribution of the N-Lobe and C-Lobe Sequences in Fish TFs
3.4. Functional Divergence Analysis between N-Lobe and C-Lobe Groups
3.5. Selective Pressure Estimation
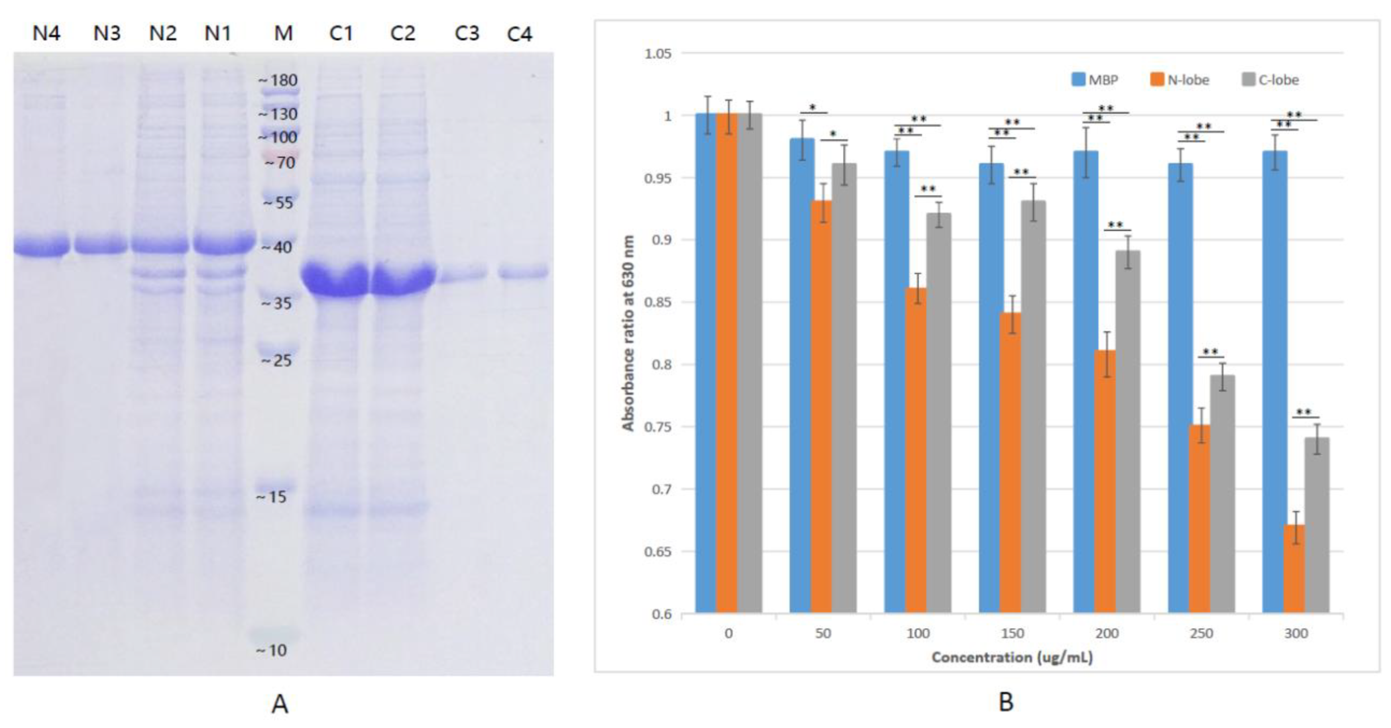
3.6. Iron-Binding Activity of the N-Lobe and C-Lobe of TF Protein in Amur Stickleback
3.7. Antimicrobial Properties of the N-Lobe and C-Lobe of TF Protein in Amur Stickleback
4. Discussion
5. Conclusions
Supplementary Materials
Funding
Institutional Review Board Statement
Data Availability Statement
Conflicts of Interest
References
- Crichton, R.R.; Wilmet, S.; Legssyer, R.; Ward, R.J. Molecular and cellular mechanisms of iron homeostasis and toxicity in mammalian cells. J. Inorg. Biochem. 2002, 91, 9–18. [Google Scholar] [CrossRef]
- Neves, J.V.; Wilson, J.M.; Rodrigues, P.N. Transferrin and ferritin response to bacterial infection: The role of the liver and brain in fish. Dev. Comp. Immunol. 2009, 33, 848–857. [Google Scholar] [CrossRef] [PubMed]
- Gkouvatsos, K.; Papanikolaou, G.; Pantopoulos, K. Regulation of iron transport and the role of transferrin. Biochim. Biophys. Acta 2012, 1820, 188–202. [Google Scholar] [CrossRef] [PubMed]
- Byers, B.R.; Arceneaux, J.E. Microbial iron transport: Iron acquisition by pathogenic microorganisms. Met. Ions Biol. Syst. 1998, 35, 37–66. [Google Scholar]
- Aisen, P.; Enns, C.; Wessling-Resnick, M. Chemistry and biology of eukaryotic iron metabolism. Int. J. Biochem. Cell Biol. 2001, 33, 940–959. [Google Scholar] [CrossRef] [PubMed]
- Cheng, Y.; Zak, O.; Aisen, P.; Harrison, S.C.; Walz, T. Structure of the human transferrin receptor-transferrin complex. Cell 2004, 116, 565–576. [Google Scholar] [CrossRef]
- Anderson, G.J.; Frazer, D.M. Hepatic iron metabolism. Semin. Liver Dis. 2005, 25, 420–432. [Google Scholar] [CrossRef] [PubMed]
- Aisen, P.; Listowsky, I. Iron transport and storage proteins. Annu. Rev. Biochem. 1980, 49, 357–393. [Google Scholar] [CrossRef]
- Johnson, E.E.; Wessling-Resnick, M. Iron metabolism and the innate immune response to infection. Microbes Infect. 2012, 14, 207–216. [Google Scholar] [CrossRef]
- Perera, N.C.N.; Godahewa, G.I.; Hwang, J.Y.; Kwon, M.G.; Hwang, S.D.; Lee, J. Molecular, structural, and functional comparison of N lobe and C lobe of the transferrin from rock bream, Oplegnathus fasciatus, with respect to its immune response. Fish Shellfish Immunol. 2017, 68, 299–309. [Google Scholar] [CrossRef]
- Brown, J.P.; Hewick, R.M.; Hellström, I.; Hellström, K.E.; Doolittle, R.F.; Dreyer, W.J. Human melanoma-associated antigen p97 is structurally and functionally related to transferrin. Nature 1982, 296, 171–173. [Google Scholar] [CrossRef]
- Lambert, L.A. Molecular evolution of the transferrin family and associated receptors. Biochim. Biophys. Acta 2012, 1820, 244–255. [Google Scholar] [CrossRef] [PubMed]
- Richardson, D.R. The role of the membrane-bound tumour antigen, melanotransferrin (p97), in iron uptake by the human malignant melanoma cell. Eur. J. Biochem. 2000, 267, 1290–1298. [Google Scholar] [CrossRef]
- Teng, C.T. Lactoferrin: The path from protein to gene. Biometals 2010, 23, 359–364. [Google Scholar] [CrossRef]
- Giansanti, F.; Leboffe, L.; Pitari, G.; Ippoliti, R.; Antonini, G. Physiological roles of ovotransferrin. Biochim. Biophys. Acta 2012, 1820, 218–225. [Google Scholar] [CrossRef] [PubMed]
- Park, I.; Schaeffer, E.; Sidoli, A.; Baralle, F.E.; Cohen, G.N.; Zakin, M.M. Organization of the human transferrin gene: Direct evidence that it originated by gene duplication. Proc. Natl. Acad. Sci. USA 1985, 82, 3149–3153. [Google Scholar] [CrossRef] [PubMed]
- Lambert, L.A.; Perri, H.; Halbrooks, P.J.; Mason, A.B. Evolution of the transferrin family: Conservation of residues associated with iron and anion binding. Comp. Biochem. Physiol. B Biochem. Mol. Biol. 2005, 142, 129–141. [Google Scholar] [CrossRef]
- Lambert, L.A.; Perri, H.; Meehan, T.J. Evolution of duplications in the transferrin family of proteins. Comp. Biochem. Physiol. B Biochem. Mol. Biol. 2005, 140, 11–25. [Google Scholar] [CrossRef]
- Jamroz, R.C.; Gasdaska, J.R.; Bradfield, J.Y.; Law, J.H. Transferrin in a cockroach: Molecular cloning, characterization, and suppression by juvenile hormone. Proc. Natl. Acad. Sci. USA 1993, 90, 1320–1324. [Google Scholar] [CrossRef]
- Ellis, A.E. Innate host defense mechanisms of fish against viruses and bacteria. Dev. Comp. Immunol. 2001, 25, 827–839. [Google Scholar] [CrossRef]
- Skaar, E.P. The battle for iron between bacterial pathogens and their vertebrate hosts. PLoS Pathog. 2010, 6, e1000949. [Google Scholar] [CrossRef] [PubMed]
- Stafford, J.L.; Belosevic, M. Transferrin and the innate immune response of fish: Identification of a novel mechanism of macrophage activation. Dev. Comp. Immunol. 2003, 27, 539–554. [Google Scholar] [CrossRef]
- Trites, M.J.; Barreda, D.R. Contributions of transferrin to acute inflammation in the goldfish, C. auratus. Dev. Comp. Immunol. 2017, 67, 300–309. [Google Scholar] [CrossRef] [PubMed]
- Haddad, G.; Belosevic, M. Transferrin-derived synthetic peptide induces highly conserved pro-inflammatory responses of macrophages. Mol. Immunol. 2009, 46, 576–586. [Google Scholar] [CrossRef]
- Stafford, J.L.; Neumann, N.F.; Belosevic, M. Products of proteolytic cleavage of transferrin induce nitric oxide response of goldfish macrophages. Dev. Comp. Immunol. 2001, 25, 101–115. [Google Scholar] [CrossRef] [PubMed]
- Zhang, X.; Mosser, D.M. Macrophage activation by endogenous danger signals. J. Pathol. 2008, 214, 161–178. [Google Scholar] [CrossRef]
- Trinchella, F.; Parisi, E.; Scudiero, R. Evolutionary analysis of the transferrin gene in Antarctic Notothenioidei: A history of adaptive evolution and functional divergence. Mar. Genom. 2008, 1, 95–101. [Google Scholar] [CrossRef]
- Laurent, P.; Rodellar, C. Characterization of a single nucleotide polymorphism in the coding sequence of the bovine transferrin gene. Mutat. Res. 2001, 458, 1–5. [Google Scholar] [CrossRef]
- Ford, M.J.; Thornton, P.J.; Park, L.K. Natural selection promotes divergence of transferrin among salmonid species. Mol. Ecol. 1999, 8, 1055–1061. [Google Scholar] [CrossRef]
- Teixeira, A.S.; Jamieson, A.; Raposo, J.C. Transferrin polymorphism in Central Amazon populations of pescada, Plagioscion squamosissimus. Genet. Mol. Res. 2002, 1, 216–226. [Google Scholar] [PubMed]
- Yang, L.; Gui, J.F. Positive selection on multiple antique allelic lineages of transferrin in the polyploid Carassius auratus. Mol. Biol. Evol. 2004, 21, 1264–1277. [Google Scholar] [CrossRef]
- Yang, L.; Zhou, L.; Gui, J.F. Molecular basis of transferrin polymorphism in goldfish (Carassius auratus). Genetica 2004, 121, 303–313. [Google Scholar] [CrossRef] [PubMed]
- Rengmark, A.H.; Lingaas, F. Genomic structure of the Nile tilapia (Oreochromis niloticus) transferrin gene and a haplotype associated with saltwater tolerance. Aquaculture 2007, 272, 146–155. [Google Scholar] [CrossRef]
- Antunes, A.; Templeton, A.R.; Guyomard, R.; Alexandrino, P. The role of nuclear genes in intraspecific evolutionary inference: Genealogy of the transferrin gene in the brown trout. Mol. Biol. Evol. 2002, 19, 1272–1287. [Google Scholar] [CrossRef] [PubMed][Green Version]
- Andersen, Ø.; De Rosa, M.C.; Pirolli, D.; Tooming-Klunderud, A.; Petersen, P.E.; André, C. Polymorphism, selection and tandem duplication of transferrin genes in Atlantic cod (Gadus morhua)-conserved synteny between fish monolobal and tetrapod bilobal transferrin loci. BMC Genet. 2011, 12, 51. [Google Scholar] [CrossRef]
- Gao, J.; Ding, S.; Huang, X.; Shi, X. Cloning and expression characterization of the serum transferrin gene in the Chinese black sleeper (Bostrichthys sinensis). Gene 2013, 515, 89–98. [Google Scholar] [CrossRef]
- Jurecka, P.; Irnazarow, I.; Westphal, A.H.; Forlenza, M.; Arts, J.A.; Savelkoul, H.F.; Wiegertjes, G.F. Allelic discrimination, three-dimensional analysis and gene expression of multiple transferrin alleles of common carp (Cyprinus carpio L.). Fish Shellfish Immunol. 2009, 26, 573–581. [Google Scholar] [CrossRef]
- Ding, Z.; Zhao, X.; Su, L.; Zhou, F.; Chen, N.; Wu, J.; Fu, X.; Wu, F.; Wang, W.; Liu, H. The Megalobrama amblycephala transferrin and transferrin receptor genes: Molecular cloning, characterization and expression during early development and after Aeromonas hydrophila infection. Dev. Comp. Immunol. 2015, 49, 290–297. [Google Scholar] [CrossRef]
- Denovan-Wright, E.M.; Ramsey, N.B.; McCormick, C.J.; Lazier, C.B.; Wright, J.M. Nucleotide sequence of transferrin cDNAs and tissue-specific of the transferrin gene in Atlantic cod (Gadus morhua). Comp. Biochem. Physiol. B Biochem. Mol. Biol. 1996, 113, 269–273. [Google Scholar] [CrossRef] [PubMed]
- Liu, H.; Takano, T.; Abernathy, J.; Wang, S.; Sha, Z.; Jiang, Y.; Terhune, J.; Kucuktas, H.; Peatman, E.; Liu, Z. Structure and expression of transferrin gene of channel catfish, Ictalurus punctatus. Fish Shellfish Immunol. 2010, 28, 159–166. [Google Scholar] [CrossRef]
- Tange, N.; Jong-Young, L.; Mikawa, N.; Hirono, I.; Aoki, T. Cloning and characterization of transferrin cDNA and rapid detection of transferrin gene polymorphism in rainbow trout (Oncorhynchus mykiss). Mol. Mar. Biol. Biotechnol. 1997, 6, 351–356. [Google Scholar]
- Nynca, J.; Dietrich, M.A.; Adamek, M.; Steinhagen, D.; Bilińska, B.; Hejmej, A.; Ciereszko, A. Purification, characterization and expression of transferrin from rainbow trout seminal plasma. Comp. Biochem. Physiol. B Biochem. Mol. Biol. 2017, 208–209, 38–46. [Google Scholar] [CrossRef] [PubMed]
- Poochai, W.; Choowongkomon, K.; Srisapoome, P.; Unajak, S.; Areechon, N. Characterization and expression analysis of the transferrin gene in Nile tilapia (Oreochromis niloticus) and its upregulation in response to Streptococcus agalactiae infection. Fish Physiol. Biochem. 2014, 40, 1473–1485. [Google Scholar] [CrossRef]
- Livak, K.J.; Schmittgen, T.D. Analysis of Relative Gene Expression Data Using Real-Time Quantitative PCR and the 2−ΔΔCT Method. Methods 2001, 25, 402–408. [Google Scholar] [CrossRef]
- Cao, J.; Cheng, X. Transcriptome-based identification and molecular evolution of the Cytochrome P450 genes and expression profiling under dimethoate treatment in Amur stickleback (Pungitius sinensis). Animals 2019, 9, 873. [Google Scholar] [CrossRef] [PubMed]
- Yates, A.D.; Achuthan, P.; Akanni, W.; Allen, J.; Allen, J.; Alvarez-Jarreta, J.; Amode, M.R.; Armean, I.M.; Azov, A.G.; Bennett, R.; et al. Ensembl 2020. Nucleic Acids Res. 2020, 48, D682–D688. [Google Scholar] [CrossRef]
- El-Gebali, S.; Mistry, J.; Bateman, A.; Eddy, S.R.; Luciani, A.; Potter, S.C.; Qureshi, M.; Richardson, L.J.; Salazar, G.A.; Smart, A.; et al. The Pfam protein families database in 2019. Nucleic Acids Res. 2019, 47, D427–D432. [Google Scholar] [CrossRef]
- Edgar, R.C. MUSCLE: Multiple sequence alignment with high accuracy and high throughput. Nucleic Acids Res. 2004, 32, 1792–1797. [Google Scholar] [CrossRef]
- Tamura, K.; Stecher, G.; Peterson, D.; Filipski, A.; Kumar, S. MEGA6: Molecular Evolutionary Genetics Analysis version 6.0. Mol. Biol. Evol. 2013, 30, 2725–2729. [Google Scholar] [CrossRef] [PubMed]
- Bailey, T.L.; Williams, N.; Misleh, C.; Li, W.W. MEME: Discovering and analyzing DNA and protein sequence motifs. Nucleic Acids Res. 2006, 34, W369–W373. [Google Scholar] [CrossRef]
- Gu, X. Maximum-likelihood approach for gene family evolution under functional divergence. Mol. Biol. Evol. 2001, 18, 453–464. [Google Scholar] [CrossRef] [PubMed]
- Gaucher, E.A.; Gu, X.; Miyamoto, M.M.; Benner, S.A. Predicting functional divergence in protein evolution by site-specific rate shifts. Trends Biochem. Sci. 2002, 27, 315–321. [Google Scholar] [CrossRef] [PubMed]
- Yang, Z. Maximum likelihood phylogenetic estimation from DNA sequences with variable rates over sites: Approximate methods. J. Mol. Evol. 1994, 39, 306–314. [Google Scholar] [CrossRef]
- Stern, A.; Doron-Faigenboim, A.; Erez, E.; Martz, E.; Bacharach, E.; Pupko, T. Selecton 2007: Advanced models for detecting positive and purifying selection using a Bayesian inference approach. Nucleic Acids Res. 2007, 35, W506–W511. [Google Scholar] [CrossRef]
- Yang, J.; Yan, R.; Roy, A.; Xu, D.; Poisson, J.; Zhang, Y. The I-TASSER Suite: Protein structure and function prediction. Nat. Methods 2015, 12, 7–8. [Google Scholar] [CrossRef]
- Schwyn, B.; Neilands, J.B. Universal chemical assay for the detection and determination of siderophores. Anal. Biochem. 1987, 160, 47–56. [Google Scholar] [CrossRef]
- Beutler, E.; Gelbart, T.; Lee, P.; Trevino, R.; Fernandez, M.A.; Fairbanks, V.F. Molecular characterization of a case of atransferrinemia. Blood 2000, 96, 4071–4074. [Google Scholar] [CrossRef] [PubMed]
- Sahoo, P.K.; Mohanty, B.R.; Kumari, J.; Barat, A.; Sarangi, N. Cloning, nucleotide sequence and phylogenetic analyses, and tissue-specific expression of the transferrin gene in Cirrhinus mrigala infected with Aeromonas hydrophila. Comp. Immunol. Microbiol. Infect. Dis. 2009, 32, 527–537. [Google Scholar] [CrossRef]
- Yin, X.; Yang, Y.; Han, K.; Wu, L.; Wu, H.; Bian, X.; Wei, X.; Guo, Z.; Mu, L.; Ye, J. Purification and functional characterization of serum transferrin from Nile tilapia (Oreochromis niloticus). Fish Shellfish Immunol. 2019, 88, 36–46. [Google Scholar] [CrossRef]
- Guz, N.; Attardo, G.M.; Wu, Y.; Aksoy, S. Molecular aspects of transferrin expression in the tsetse fly (Glossina morsitans morsitans). J. Insect Physiol. 2007, 53, 715–723. [Google Scholar] [CrossRef][Green Version]
- Yoshiga, T.; Hernandez, V.P.; Fallon, A.M.; Law, J.H. Mosquito transferrin, an acute-phase protein that is up-regulated upon infection. Proc. Natl. Acad. Sci. USA 1997, 94, 12337–12342. [Google Scholar] [CrossRef]
- He, Q.Y.; Mason, A.B.; Woodworth, R.C.; Tam, B.M.; MacGillivray, R.T.; Grady, J.K.; Chasteen, N.D. Inequivalence of the two tyrosine ligands in the N-lobe of human serum transferrin. Biochemistry 1997, 36, 14853–14860. [Google Scholar] [CrossRef] [PubMed]
- Mason, A.B.; Halbrooks, P.J.; James, N.G.; Connolly, S.A.; Larouche, J.R.; Smith, V.C.; MacGillivray, R.T.; Chasteen, N.D. Mutational analysis of C-lobe ligands of human serum transferrin: Insights into the mechanism of iron release. Biochemistry 2005, 44, 8013–8021. [Google Scholar] [CrossRef]
- Hurst, L.D. The Ka/Ks ratio: Diagnosing the form of sequence evolution. Trends Genet. 2002, 18, 486. [Google Scholar] [CrossRef]
- Ford, M.J. Molecular evolution of transferrin: Evidence for positive selection in salmonids. Mol. Biol. Evol. 2001, 18, 639–647. [Google Scholar] [CrossRef]
- Zak, O.; Aisen, P. A new method for obtaining human transferrin C-lobe in the native conformation: Preparation and properties. Biochemistry 2002, 41, 1647–1653. [Google Scholar] [CrossRef] [PubMed]
- Liu, J.; Zhang, S.; Li, L. A transferrin-like homolog in amphioxus Branchiostoma belcheri: Identification, expression and functional characterization. Mol. Immunol. 2009, 46, 3117–3124. [Google Scholar] [CrossRef]
- Herath, H.M.; Elvitigala, D.A.; Godahewa, G.I.; Whang, I.; Lee, J. Molecular insights into a molluscan transferrin homolog identified from disk abalone (Haliotis discus discus) evidencing its detectable role in host antibacterial defense. Dev. Comp. Immunol. 2015, 53, 222–233. [Google Scholar] [CrossRef] [PubMed]
- Wally, J.; Halbrooks, P.J.; Vonrhein, C.; Rould, M.A.; Everse, S.J.; Mason, A.B.; Buchanan, S.K. The crystal structure of iron-free human serum transferrin provides insight into inter-lobe communication and receptor binding. J. Biol. Chem. 2006, 281, 24934–24944. [Google Scholar] [CrossRef]
- Gomme, P.T.; McCann, K.B.; Bertolini, J. Transferrin: Structure, function and potential therapeutic actions. Drug Discov. Today 2005, 10, 267–273. [Google Scholar] [CrossRef]
- Dietrich, M.A.; Zmijewski, D.; Karol, H.; Hejmej, A.; Bilińska, B.; Jurecka, P.; Irnazarow, I.; Słowińska, M.; Hliwa, P.; Ciereszko, A. Isolation and characterization of transferrin from common carp (Cyprinus carpio L.) seminal plasma. Fish Shellfish Immunol. 2010, 29, 66–74. [Google Scholar] [CrossRef] [PubMed]







| Primers | Nucleotide Sequences (5′-3′) | Purpose |
|---|---|---|
| N-F | GAGAGACATATGACGGTGAAGTGGTGCGTCACGT | Protein expression |
| N-R | GAGAGATCTAGAAAGGGAACTGATGCTACTCATGTA | Protein expression |
| C-F | GAGAGACATATGTCCTCTGCCATTAAATGGTGCGCTGT | Protein expression |
| C-R | GAGAGATCTAGATCTGAGCGAAGTCATGGCATCCAT | Protein expression |
| TF-F | CTCACGCTGTTGTCAGCCGTAAG | RT-qPCR |
| TF-R | GCACTCTTCAACTGTAGGGGCA | RT-qPCR |
| actin-F | TGCTGATTGGCATGGATGAGGCC | RT-qPCR |
| actin-R | TCTGGAATGTCGTGAGGGACGAT | RT-qPCR |
| Comparison | Type I θI ± SE | LRT | Posterior Probability (>0.8) | Critical Sites |
|---|---|---|---|---|
| N-lobe/C-lobe | 0.599 ± 0.067 | 79.847 | 17 | 52A, 53G, 58I, 59T, 65I, 74D, 78I, 112G, 114T, 115F, 116G, 117I, 122G, 123K, 125S, 130L, 142T |
| Comparison | Type II θII ± SE | Posterior Probability (>0.8) | Critical Sites |
|---|---|---|---|
| N-lobe/C-lobe | 0.166 ± 0.219 | 10 | 52A, 53G, 59T, 64D, 72N, 73Y, 74D, 76Q, 83D, 142T |
| Gene Branches | Selection Model | Ka/Ks | Log-Likelihood | Positive-Selection Sites |
|---|---|---|---|---|
| N-lobe | M8 (ωs ≥ 1) | 0.2902 | −19,184 | 9Q; 11M; 15L; 23V; 33L; 74S; 75A; 95R; 127K; 129G; 145Q; 153T; 245E; 249T; 253Q; 254G; 278V |
| M8a (ωs = 1) | 0.2799 | −19,186.2 | / | |
| M7 (beta) | 0.2739 | −19,194.8 | / | |
| M5 (gamma) | 0.2858 | −19,188 | / | |
| C-lobe | M8 (ωs ≥ 1) | 0.3769 | −21,704.9 | 2S; 15A; 29T; 31S; 36N; 38P; 80Q; 81D; 82L; 85R; 86A; 87D; 89T; 136V; 138N; 157S; 162S; 165V; 211Q; 220D; 224S; 228S; 238A; 243T; 246A; 252N; 266A; 270R; 281G; 282Q; 286P; 287A; 295N; 313A; 315R; 316S; 323P; 327D; 330K |
| M8a (ωs = 1) | 0.3187 | −21,730.7 | / | |
| M7 (beta) | 0.3061 | −21,757.7 | / | |
| M5 (gamma) | 03797 | −21,711.6 | 2S; 15A; 19T; 26T; 29T; 31S; 36N; 38P; 80Q; 81D; 82L; 85R; 86A; 87D; 89T; 132Q; 136V; 138N; 157S; 162S; 165V; 211Q; 220D; 224S; 228S; 238A; 241E; 243T; 246A; 247S; 252N; 266A; 270R; 278R; 281G; 282Q; 286P; 287A; 295N; 313A; 315R; 316S; 319E; 323P; 327D; 330K |
Publisher’s Note: MDPI stays neutral with regard to jurisdictional claims in published maps and institutional affiliations. |
© 2022 by the author. Licensee MDPI, Basel, Switzerland. This article is an open access article distributed under the terms and conditions of the Creative Commons Attribution (CC BY) license (https://creativecommons.org/licenses/by/4.0/).
Share and Cite
Cao, J. Functional Divergence of the N-Lobe and C-Lobe of Transferrin Gene in Pungitius sinensis (Amur Stickleback). Animals 2022, 12, 3458. https://doi.org/10.3390/ani12243458
Cao J. Functional Divergence of the N-Lobe and C-Lobe of Transferrin Gene in Pungitius sinensis (Amur Stickleback). Animals. 2022; 12(24):3458. https://doi.org/10.3390/ani12243458
Chicago/Turabian StyleCao, Jun. 2022. "Functional Divergence of the N-Lobe and C-Lobe of Transferrin Gene in Pungitius sinensis (Amur Stickleback)" Animals 12, no. 24: 3458. https://doi.org/10.3390/ani12243458
APA StyleCao, J. (2022). Functional Divergence of the N-Lobe and C-Lobe of Transferrin Gene in Pungitius sinensis (Amur Stickleback). Animals, 12(24), 3458. https://doi.org/10.3390/ani12243458

