Estrus Synchronization of Replacement Gilts Using Estradiol Cipionate and PGF2α and Its Effects on Reproductive Outcomes
Abstract
Simple Summary
Abstract
1. Introduction
2. Materials and Methods
2.1. Locality, Animals, Housing, and Feeding
2.2. Experimental Design
2.3. Ultrasound Scanning
2.4. Estrus Detection and Artificial Insemination
2.5. Progesterone and Estradiol Assays
2.6. Embryo Recovery, Conception, and Ovulation Rate
2.7. Histology of Uterine Glandular Epithelium
2.8. Statistical Analysis
3. Results
3.1. Induction of Prolonged Luteal Function, Estrus Synchronization, and Hormone Profile
3.2. Effect of the Synchronization Protocol on Fertility, Embryo, and Follicular Development
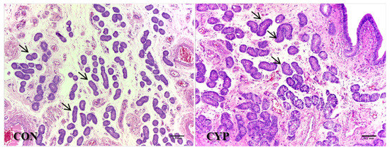
3.3. Effect of the Estrus Synchronization Protocol on the Uterine Glandular Epithelium
4. Discussion
5. Conclusions
Author Contributions
Funding
Institutional Review Board Statement
Data Availability Statement
Acknowledgments
Conflicts of Interest
References
- Estienne, M.J.; Harper, A.F.; Horsley, B.R.; Estienne, C.E.; Knight, J.W. Effects of P.G. 600 on the Onset of Estrus and Ovulation Rate in Gilts Treated with Regu-Mate. J. Anim. Sci. 2001, 79, 2757–2761. [Google Scholar] [CrossRef] [PubMed]
- Kraeling, R.R.; Webel, S.K. Current Strategies for Reproductive Management of Gilts and Sows in North America. J. Anim. Sci. Biotechnol. 2015, 6, 1–14. [Google Scholar] [CrossRef] [PubMed]
- Cushman, R.A.; Davis, P.E.; Boonyaprakob, U.; Hedgpeth, V.S.; Burns, P.J.; Britt, J.H. Technical Note: Use of Slow-Release Estradiol and Prostaglandin F2α, to Induce Pseudopregnancy and Control Estrus in Gilts. J. Anim. Sci. 1999, 77, 2883–2885. [Google Scholar] [CrossRef] [PubMed]
- Quirino, M.; da Rosa Ulguim, R.; Bernardi, M.L.; Pereira, V.N.; Magoga, J.; Gianluppi, R.D.F.; Mellagi, A.P.G.; Gasperin, B.G.; Bortolozzo, F.P. Follicular Dynamic and Reproductive Performance of Gilts Submitted to Estrous Cycle Synchronization Using Two Different Progestogen Sources. Theriogenology 2020, 158, 31–38. [Google Scholar] [CrossRef] [PubMed]
- Spencer, T.E.; Bazer, F.W. Conceptus Signals for Establishing and Maintenance of Pregnancy. Reprod. Biol. Endocrinol. 2004, 2, 1–15. [Google Scholar] [CrossRef]
- Waclawik, A. Novel Insights into the Mechanisms of Pregnancy Establishment: Regulation of Prostaglandin Synthesis and Signaling in the Pig. Reproduction 2011, 142, 389–399. [Google Scholar] [CrossRef]
- Franczak, A. Endometrial and Myometrial Secretion of Androgens and Estrone during Early Pregnancy and Luteolysis in Pigs. Reprod. Biol. 2008, 8, 213–228. [Google Scholar] [CrossRef]
- Geisert, R.D.; Renegar, R.H.; Thatcher, W.W.; Roberts, R.M.; Bazer, F.W. Establishment of Pregnancy in the Pig: I. Interrelationships between Preimplantation Development of the Pig Blastocyst and Uterine Endometrial Secretions. Biol. Reprod. 1982, 27, 925–939. [Google Scholar] [CrossRef]
- Bazer, F.W.; Johnson, G.A. Pig Blastocyst-Uterine Interactions. Differentiation 2014, 87, 52–65. [Google Scholar] [CrossRef]
- Geisert, R.D.; Zavy, M.T.; Wettemann, R.P.; Biggers, B.G. Length of Pseudopregnancy and Pattern of Uterine Protein Release as Influenced by Time and Duration of Oestrogen Administration in the Pig. J. Reprod. Fertil. 1987, 79, 163–172. [Google Scholar] [CrossRef]
- Noguchi, M.; Yoshioka, K.; Suzuki, C.; Arai, S.; Itoh, S.; Wada, Y. Estrus Synchronization with Pseudopregnant Gilts Induced by a Single Treatment of Estradiol Dipropionate. J. Reprod. Dev. 2010, 56, 421–427. [Google Scholar] [CrossRef] [PubMed]
- Noguchi, M.; Yoshioka, K.; Suzuki, C.; Itoh, S.; Kaneko, H. An Efficient Protocol for Inducing Pseudopregnancy Using Estradiol Dipropionate and Follicular Development Associated with Changes in Reproductive Hormones after Prostaglandin F2alpha Treatment in Pseudopregnant Sows. Reprod. Biol. Endocrinol. 2011, 9, 1–7. [Google Scholar] [CrossRef] [PubMed]
- Guthrie, H.D. Estrous Synchronization and Fertility in Gilts Treated with Estradiol-Benzoate and Prostaglandin F2α. Theriogenology 1975, 4, 69–75. [Google Scholar] [CrossRef]
- Noguchi, M.; Ikedo, T.; Kawaguchi, H.; Tanimoto, A. Estrus Synchronization in Microminipig Using Estradiol Dipropionate and Prostaglandin F2α. J. Reprod. Dev. 2016, 62, 373–378. [Google Scholar] [CrossRef]
- Zavy, M.T.; Geisert, R.D.; Buchanan, D.S.; Norton, S.A. Estrogen-Induced Pseudopregnancy in Gilts: Its Use in Estrus Synchronization and Subsequent Influence on Litter Response. Theriogenology 1988, 30, 721–732. [Google Scholar] [CrossRef]
- Hirayama, Y.; Yoshioka, K.; Noguchi, M.; Misumi, K. Embryo Collection from Pigs Post-Pseudopregnancy Induced by Estradiol Dipropionate. Anim. Sci. J. 2019, 90, 1523–1529. [Google Scholar] [CrossRef] [PubMed]
- Hirayama, Y.; Misumi, K.; Yoshioka, K.; Noguchi, M.; Kikuchi, K. Induction of Short-Term Pseudopregnancy in Gilts by the Administration of Estradiol Benzoate or Estradiol Dipropionate to Achieve Ovulatory Synchronization for Embryo Collection. Anim. Sci. J. 2021, 92, e13480. [Google Scholar] [CrossRef] [PubMed]
- Torres-Júnior, J.R.S.; Penteado, L.; Sales, J.N.S.; Sá Filho, M.F.; Ayres, H.; Baruselli, P.S. A Comparison of Two Different Esters of Estradiol for the Induction of Ovulation in an Estradiol plus Progestin-Based Timed Artificial Insemination Protocol for Suckled Bos Indicus Beef Cows. Anim. Reprod. Sci. 2014, 151, 9–14. [Google Scholar] [CrossRef]
- Waberski, D.; Kunz-Schmidt, A.; Borchardt Neto, G.; Richter, L.; Weitze, K.F. Real-Time Ultrasound Diagnosis of Ovulation and Ovarian Cysts in Sows and Its Impact on Artificial Insemination Efficiency. J. Anim. Sci. 2000, 77, 1. [Google Scholar] [CrossRef]
- Soede, N.M.; Bouwman, E.G.; Langendijk, P.; Van Der Laan, I.; Kanora, A.; Kemp, B. Follicle Development during Luteal Phase and Altrenogest Treatment in Pigs. Reprod. Domest. Anim. 2007, 42, 329–332. [Google Scholar] [CrossRef]
- Marques, M.G. Metodologia Para Coleta in Vitro de Embriões Em Suínos. Comunicado Tecnico 570 2019. [Google Scholar] [CrossRef]
- Martinez, C.A.; Cambra, J.M.; Lucas, X.; Ferreira-Dias, G.; Rodriguez-Martinez, H.; Gil, M.A.; Martinez, E.A.; Cuello, C.; Parrilla, I. Intrauterine Infusion of Tgf-Β1 Prior to Insemination, Alike Seminal Plasma, Influences Endometrial Cytokine Responses but Does Not Impact the Timing of the Progression of Pre-Implantation Pig Embryo Development. Biology 2021, 10, 159. [Google Scholar] [CrossRef]
- Muro, B.B.D.; Carnevale, R.F.; Leal, D.F.; Torres, M.A.; Mendonça, M.V.; Nakasone, D.H.; Martinez, C.H.G.; Ravagnani, G.M.; Monteiro, M.S.; Poor, A.P.; et al. Supplemental Progesterone during Early Pregnancy Exerts Divergent Responses on Embryonic Characteristics in Sows and Gilts. Animal 2020, 14, 1234–1240. [Google Scholar] [CrossRef]
- Waclawik, A.; Kaczmarek, M.M.; Blitek, A.; Kaczynski, P.; Ziecik, A.J. Embryo-Maternal Dialogue during Pregnancy Establishment and Implantation in the Pig. Mol. Reprod. Dev. 2017, 84, 842–855. [Google Scholar] [CrossRef]
- Hazeleger, W.; Kirkwood, R.N.; Soede, N.M. Synchronisation of the Reproductive Cycle in Pigs. Arch. fur Tierzucht 2001, 44, 71–76. [Google Scholar]
- Castagna, C.D.; Peixoto, C.H.; Bortolozzo, F.P.; Wentz, I.; Neto, G.B.; Ruschel, F. Ovarian Cysts and Their Consequences on the Reproductive Performance of Swine Herds. Anim. Reprod. Sci. 2004, 80, 115–123. [Google Scholar] [CrossRef]
- Tummaruk, P.; Kesdangsakonwut, S. Factors Affecting the Incidence of Cystic Ovaries in Replacement Gilts. Comp. Clin. Path. 2012, 21, 1–7. [Google Scholar] [CrossRef]
- Soede, N.M.; Langendijk, P.; Kemp, B. Reproductive Cycles in Pigs. Anim. Reprod. Sci. 2011, 124, 251–258. [Google Scholar] [CrossRef]
- Ferguson, E.M.; Slevin, J.; Hunter, M.G.; Edwards, S.A.; Ashworth, C.J. Beneficial Effects of a High Fibre Diet on Oocyte Maturity and Embryo Survival in Gilts. Reproduction 2007, 133, 433–439. [Google Scholar] [CrossRef]
- Ashworth, C.J.; Toma, L.M.; Hunter, M.G. Nutritional Effects on Oocyte and Embryo Development in Mammals: Implications for Reproductive Efficiency and Environmental Sustainability. Philos. Trans. R. Soc. B Biol. Sci. 2009, 364, 3351–3361. [Google Scholar] [CrossRef]
- Weaver, A.C.; Kelly, J.M.; Kind, K.L.; Gatford, K.L.; Kennaway, D.J.; Herde, P.J.; Van Wettere, W.H.E.J. Oocyte Maturation and Embryo Survival in Nulliparous Female Pigs (Gilts) Is Improved by Feeding a Lupin-Based High-Fibre Diet. Reprod. Fertil. Dev. 2013, 25, 1216–1223. [Google Scholar] [CrossRef]
- Foxcroft, G.R.; Vinsky, M.D.; Paradis, F.; Tse, W.Y.; Town, S.C.; Putman, C.T.; Dyck, M.K.; Dixon, W.T. Macroenvironment Effects on Oocytes and Embryos in Swine. Theriogenology 2007, 68, 30–39. [Google Scholar] [CrossRef]
- Xie, S.; Broermann, D.M.; Nephew, K.P.; Bishop, M.D.; Pope, W.F. Relationship between Oocyte Maturation and Fertilization on Zygotic Diversity in Swine. J. Anim. Sci. 1990, 68, 2027. [Google Scholar] [CrossRef]
- Soede, N.M.; Helmond, F.A.; Kemp, B. Periovulatory Profiles of Oestradiol, LH and Progesterone in Relation to Oestrus and Embryo Mortality in Multiparous Sows Using Transrectal Ultrasonography to Detect Ovulation. J. Reprod. Fertil. 1994, 101, 633–641. [Google Scholar] [CrossRef]
- Muro, B.B.D.; Leal, D.F.; Carnevale, R.F.; Torres, M.A.; Mendonça, M.V.; Nakasone, D.H.; Martinez, C.H.G.; Ravagnani, G.M.; Monteiro, M.S.; Poor, A.P.; et al. Altrenogest during Early Pregnancy Modulates Uterine Glandular Epithelium and Endometrial Growth Factor Expression at the Time Implantation in Pigs. Anim. Reprod. 2021, 18, 1–11. [Google Scholar] [CrossRef]





| Variables | Treatments | SEM | p | |
|---|---|---|---|---|
| CON (n = 21) | CYP (n = 30) | |||
| Inter-estrus interval 1 (days) | 20.67 a | 31.69 b | 0.320 | <0.0001 |
| Estrus duration (days) | 2.32 | 2.24 | 0.161 | 0.72 |
| Variables | Embryo Development Stage | |||||||||||
|---|---|---|---|---|---|---|---|---|---|---|---|---|
| Conception Rate | Recovery Rate | Unfertilized Oocytes | FE | 4–8 Cells | 8–16 Cells | M | CM | EB | XB | HB | ||
| CON (n = 9) | 8 (88.8) | 78 (77.0) | 14 (17.9) | 1 (1.5) | 14 (21.8) | 5 (7.8) a | 20 (31.2) a | 8 (12.5) | 5 (7.8) | 7 (10.9) | 4 (6.2) | |
| CYP (n = 15) | 14 (93.3) | 163 (87.5) | 19 (11.6) | 7 (4.8) | 34 (23.6) | 33 (22.9) b | 24 (16.6) b | 29 (20.1) | 5 (3.4) | 3 (2.1) | 9 (6.2) | |
| Variables | CON (n = 9) | CYP (n = 15) | p |
|---|---|---|---|
| Number of ovulations (n) | 12.5 ± 0.5 | 14.0 ± 0.90 | 0.17 |
| Mean follicle size at D12 * (mm) | 2.2 ± 0.5 | 2.3 ± 0.3 | 0.58 |
| Mean follicle size at EO * (mm) | 7.47 ± 0.40 a | 8.16 ± 0.60 b | <0.001 |
Publisher’s Note: MDPI stays neutral with regard to jurisdictional claims in published maps and institutional affiliations. |
© 2022 by the authors. Licensee MDPI, Basel, Switzerland. This article is an open access article distributed under the terms and conditions of the Creative Commons Attribution (CC BY) license (https://creativecommons.org/licenses/by/4.0/).
Share and Cite
Leal, D.F.; Viana, C.H.C.; Almond, G.W.; Monteiro, M.S.; Garbossa, C.A.P.; Carnevale, R.F.; Muro, B.B.D.; Poor, A.P.; Pugliesi, G.; Nichi, M.; et al. Estrus Synchronization of Replacement Gilts Using Estradiol Cipionate and PGF2α and Its Effects on Reproductive Outcomes. Animals 2022, 12, 3393. https://doi.org/10.3390/ani12233393
Leal DF, Viana CHC, Almond GW, Monteiro MS, Garbossa CAP, Carnevale RF, Muro BBD, Poor AP, Pugliesi G, Nichi M, et al. Estrus Synchronization of Replacement Gilts Using Estradiol Cipionate and PGF2α and Its Effects on Reproductive Outcomes. Animals. 2022; 12(23):3393. https://doi.org/10.3390/ani12233393
Chicago/Turabian StyleLeal, Diego Feitosa, Carlos Henrique Cabral Viana, Glen William Almond, Matheus Saliba Monteiro, Cesar Augusto Pospissil Garbossa, Rafaella Fernandes Carnevale, Bruno Bracco Donatelli Muro, André Pegoraro Poor, Guilherme Pugliesi, Marcílio Nichi, and et al. 2022. "Estrus Synchronization of Replacement Gilts Using Estradiol Cipionate and PGF2α and Its Effects on Reproductive Outcomes" Animals 12, no. 23: 3393. https://doi.org/10.3390/ani12233393
APA StyleLeal, D. F., Viana, C. H. C., Almond, G. W., Monteiro, M. S., Garbossa, C. A. P., Carnevale, R. F., Muro, B. B. D., Poor, A. P., Pugliesi, G., Nichi, M., Watanabe, T. T. N., & Marques, M. G. (2022). Estrus Synchronization of Replacement Gilts Using Estradiol Cipionate and PGF2α and Its Effects on Reproductive Outcomes. Animals, 12(23), 3393. https://doi.org/10.3390/ani12233393

