Feline Cyst-like Lymphocytic Cholangiohepatitis in a Cat: First Case Report
Abstract
Simple Summary
Abstract
1. Introduction
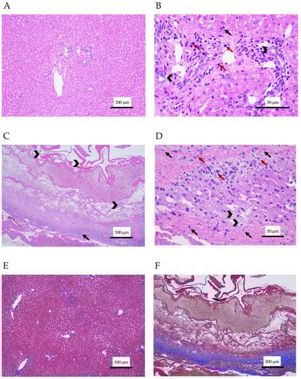
2. Case Description
3. Discussion
4. Conclusions
Author Contributions
Funding
Institutional Review Board Statement
Informed Consent Statement
Data Availability Statement
Acknowledgments
Conflicts of Interest
References
- Cullen, J.M. Summary of the World Small Animal Veterinary Association standardization committee guide to classification of liver disease in dogs and cats. Vet. Clin. North. Am. Small. Anim. Pract. 2009, 39, 395–418. [Google Scholar] [CrossRef]
- Callahan Clark, J.E.; Haddad, J.L.; Brown, D.C.; Morgan, M.J.; Van Winkle, T.J.; Rondeau, M.P. Feline cholangitis: A necropsy study of 44 cats (1986–2008). J. Feline Med. Surg. 2011, 13, 570–576. [Google Scholar] [CrossRef]
- Gagne, J.M.; Weiss, D.J.; Armstrong, P.J. Histopathologic evaluation of feline inflammatory liver disease. Vet. Pathol. 1996, 33, 521–526. [Google Scholar] [CrossRef]
- Hirose, N.; Uchida, K.; Kanemoto, H.; Ohno, K.; Chambers, J.K.; Nakayama, H. A Retrospective Histopathological Survey on Canine and Feline Liver Diseases at the University of Tokyo between 2006 and 2012. J. Vet. Med. Sci. 2014, 76, 1015–1020. [Google Scholar] [CrossRef]
- Boland, L.; Beatty, J. Feline Cholangitis. Vet. Clin. North. Am. Small. Anim. Pract. 2017, 47, 703–724. [Google Scholar] [CrossRef]
- Bayton, W.A.; Westgarth, C.; Scase, T.; Price, D.J.; Bexfield, N.H. Histopathological frequency of feline hepatobiliary disease in the UK. J. Small. Anim. Pract. 2018, 59, 404–410. [Google Scholar] [CrossRef]
- van den Ingh, T.S.G.A.M.; Cullen, J.M.; Twedt, D.C.; Van Winkle, T.; Desmet, V.J.; Rothuizen, J. Chapter 5—Morphological classification of biliary disorders of the canine and feline liver. In WSAVA Standards for Clinical and Histological Diagnosis of Canine and Feline Liver Diseases; Rothuizen, J., Bunch, S.E., Charles, J.A., Cullen, J.M., Desmet, V.J., Szatmári, V., Twedt, D.C., van den Ingh, T.S.G.A.M., Van Winkle, T., Washabau, R.J., Eds.; W.B. Saunders: Edinburgh, Scotland, 2006; pp. 61–76. [Google Scholar]
- Day, M.J. Immunohistochemical characterization of the lesions of feline progressive lymphocytic cholangitis/cholangiohepatitis. J. Comp. Pathol. 1998, 119, 135–147. [Google Scholar] [CrossRef]
- Prasse, K.W.; Mahaffey, E.A.; DeNovo, R.; Cornelius, L. Chronic Lymphocytic Cholangitis in Three Cats. Vet. Pathol. 1982, 19, 99–108. [Google Scholar] [CrossRef]
- Otte, C.M.; Penning, L.C.; Rothuizen, J.; Favier, R.P. Retrospective comparison of prednisolone and ursodeoxycholic acid for the treatment of feline lymphocytic cholangitis. Vet. J. 2013, 195, 205–209. [Google Scholar] [CrossRef]
- Center, S.A. Diseases of the gallbladder and biliary tree. Vet. Clin. North. Am. Small. Anim. Pract. 2009, 39, 543–598. [Google Scholar] [CrossRef]
- Marolf, A.J.; Leach, L.; Gibbons, D.S.; Bachand, A.; Twedt, D. Ultrasonographic findings of feline cholangitis. J. Am. Anim. Hosp. Assoc. 2012, 48, 36–42. [Google Scholar] [CrossRef]
- Warren, A.; Center, S.; McDonough, S.; Chiotti, R.; Goldstein, R.; Meseck, E.; Jacobsen, M.; Rowland, P.; Simpson, K. Histopathologic features, immunophenotyping, clonality, and eubacterial fluorescence in situ hybridization in cats with lymphocytic cholangitis/cholangiohepatitis. Vet. Pathol. 2011, 48, 627–641. [Google Scholar] [CrossRef]
- Lawrence, Y.A.; Steiner, J.M. Laboratory Evaluation of the Liver. Vet. Clin. North. Am. Small. Anim. Pract. 2017, 47, 539–553. [Google Scholar] [CrossRef]
- Frezoulis, P.S.; Oikonomidis, I.L.; Saridomichelakis, M.N.; Kasabalis, D.; Pappa, A.; Bouza-Rapti, P.; Chochlios, T.; Tsouloufi, T.K.; Kritsepi-Konstantinou, M.; Soubasis, N. Prevalence, association with systemic inflammatory response syndrome and outcome of stress hyperglycaemia in sick cats. J. Small Anim. Pract. 2022, 63, 197–202. [Google Scholar] [CrossRef]
- Dungan, K.M.; Braithwaite, S.S.; Preiser, J.C. Stress hyperglycaemia. Lancet 2009, 373, 1798–1807. [Google Scholar] [CrossRef]
- Lafuente, S.; Fresno, L.; Anselmi, C.; Lloret, A.; Espada, I.; Santos, L. Complete laparoscopic excision of a hepatic cyst and omentopexy in a Persian cat. JFMS Open Rep. 2018, 4, 2055116918817631. [Google Scholar] [CrossRef]
- Nyland, T.G.; Larson, M.M.; Mattoon, J.S. Liver. In Small Animal Diagnostic Ultrasound, 3rd ed.; Mattoon, J.S., Nyland, T.G., Eds.; Elsevier Saunders: St. Louis, MO, USA, 2015; pp. 332–399. [Google Scholar]
- Adler, R.; Wilson, D.W. Biliary cystadenoma of cats. Vet. Pathol. 1995, 32, 415–418. [Google Scholar] [CrossRef]
- d’Anjou, M.; Penninck, D. Liver. In Atlas of Small Animal Ultrasonography; Penninck, D., d’Anjou, M., Eds.; Wiley Blackwell: Oxford, UK, 2015; pp. 183–238. [Google Scholar]
- Eaton, K.A.; Biller, D.S.; DiBartola, S.P.; Radin, M.J.; Wellman, M.L. Autosomal dominant polycystic kidney disease in Persian and Persian-cross cats. Vet. Pathol. 1997, 34, 117–126. [Google Scholar] [CrossRef]
- Bosje, J.T.; van den Ingh, T.S.; van der Linde-Sipman, J.S. Polycystic kidney and liver disease in cats. Vet. Q. 1998, 20, 136–139. [Google Scholar] [CrossRef]
- Schirrer, L.; Marín-García, P.J.; Llobat, L. Feline Polycystic Kidney Disease: An Update. Vet. Sci. 2021, 8, 269. [Google Scholar] [CrossRef]
- Supamanee, N.; Sattasathuchana, P.; Nilkumhang, P.; Teerapan, W.; Wajjawalku, W.; Thengchaisri, N. A survey of feline polycystic kidney disease in 102 persian and persian-related Cats by ultrasonography. J. Kasetsart. Vet. 2010, 20, 77–84. [Google Scholar]
- Stern, J.k.; Walden, H.D.S.; Marshall, K.; Sharkey, L. What is your diagnosis? Bile from a cat. Vet Clin Path. 2020, 49, 354–355. [Google Scholar] [CrossRef]
- Soe, B.K.; Adisakwattana, P.; Reamtong, O.; Anuracpreeda, P.; Sukhumavasi, W. A first attempt at determining the antibody-specific pattern of Platynosomum fastosum crude antigen and identification of immunoreactive proteins for immunodiagnosis of feline platynosomiasis. Vet. World 2022, 15, 2029–2038. [Google Scholar] [CrossRef]
- Rojekittikhun, W.; Chaisiri, K.; Mahittikorn, A.; Pubampen, S.; Sa-Nguankiat, S.; Ku-solsuk, T.; Maipanich, W.; Udonsom, R.; Mori, H. Gastrointestinal parasites of dogs and cats in a refuge in Nakhon Nayok, Thailand. Southeast Asian J. Trop. Med. Public Health 2014, 45, 31–39. [Google Scholar]
- Jitsamai, W.; Khrutkham, N.; Hunprasit, V.; Chandrashekar, R.; Bowman, D.; Sukhu-mavasi, W. Prevalence of endoparasitic and viral infections in client-owned cats in metropolitan Bangkok, Thailand, and the risk factors associated with feline hook-worm infections. Vet. Parasitol. Reg. Stud. Rep. 2021, 25, 100584. [Google Scholar] [CrossRef]
- Da Silva, A.M.; Bastien, M.; Umhang, G.; Boué, F.; Bastid, V.; Boucher, J.M.; Cail-lot, C.; de Garam, C.P.; Renault, C.; Faisse, M.; et al. Oil contamination by Echinococcus multilocularis in rural and urban vegetable gardens in relation to fox, cat and dog faecal deposits. Parasite 2021, 28, 74. [Google Scholar] [CrossRef]
- Nyland, T.G.; Koblik, P.D.; Tellyer, S.E. Ultrasonographic evaluation of biliary cystadenomas in cats. Vet. Radiol. Ultrasound. 1999, 40, 300–306. [Google Scholar] [CrossRef]
- Braga, R.R.; Teixeira, A.C.; Oliveira, J.A.; Cavalcanti, L.P. Prevalence of Platynosomum fastosum infection in free roaming cats in northeastern Brazil: Fluke burden and grading of lesions. Vet. Parasitol. 2016, 227, 20–25. [Google Scholar] [CrossRef]
- Otte, C.M.; Gutierrez, O.P.; Favier, R.P.; Rothuizen, J.; Penning, L.C. Detection of bacterial DNA in bile of cats with lymphocytic cholangitis. Vet. Microbiol. 2012, 156, 217–221. [Google Scholar] [CrossRef]
- Best, E.J.; Bush, D.J.; Dye, C. Suspected choledochal cyst in a domestic shorthair cat. J. Feline Med. Surg. 2010, 12, 814–817. [Google Scholar] [CrossRef]
- Grand, J.G.; Doucet, M.; Albaric, O.; Bureau, S. Cyst of the common bile duct in a cat. Aust. Vet. J. 2010, 88, 268–271. [Google Scholar] [CrossRef] [PubMed]
- Spain, H.N.; Penninck, D.G.; Webster, C.R.; Daure, E.; Jennings, S.H. Ultrasonographic and clinicopathologic features of segmental dilatations of the common bile duct in four cats. JFMS Open Rep. 2017, 3, 2055116917716881. [Google Scholar] [CrossRef] [PubMed]
- Schreeg, M.E.; Miller, S.A.; Cullen, J.M. Choledochal cyst with secondary cholangitis, choledochitis, duodenal papillitis, and pancreatitis in a young domestic shorthair cat. J. Vet. Diagn. Invest. 2021, 33, 782–787. [Google Scholar] [CrossRef]



| Hematological Parameters | Reference | Unit | First Visit | 4 Weeks after Doxycycline Treatment | Before Prednisolone Treatment | 12 Weeks after Prednisolone Treatment |
|---|---|---|---|---|---|---|
| Hemoglobin | 10–15 | g/dL | 5.2 | 9.4 | 9.2 | 10.6 |
| Packed red cells | 30–45 | % | 16.4 | 27.5 | 29.1 | 31.1 |
| Red blood cells | 5–10 | ×106 cells/µL | 2.73 | 7.64 | 6.01 | 6.6 |
| Mean corpuscular volume | 39–55 | fL | 60.07 | 35.99 | 48.42 | 47.12 |
| Mean corpuscular hemoglobin concentration | 30–36 | g/dL | 31.71 | 34.18 | 31.62 | 34.08 |
| Total white blood cells | 5500–19,000 | cells/µL | 18,650 | 7410 | 8270 | 10,370 |
| Segmented neutrophils | 2500–12,500 | cells/µL | 14,547 | 5112.9 | 4854.5 | 6740.5 |
| Lymphocytes | 1500–7000 | cells/µL | 2797.5 | 1778.4 | 2299 | 3111 |
| Monocytes | 0–850 | cells/µL | 746 | 0 | 636.8 | 0 |
| Eosinophils | 0–750 | cells/µL | 559.5 | 518.7 | 479.7 | 518.5 |
| Basophils | Rare | cells/µL | 0 | 0 | 0 | 0 |
| Absolute reticulocytes | 0–50,000 | /µL | 225,000 | 9932 | N/A | N/A |
| Platelets | 300,000–800,000 | cells/µL | 471 | 146 | 52 | 229 |
| Protein (refract) | 6–7.5 | g/dL | 7.6 | 7.8 | 8 | 7.4 |
| Blood morphology | Anisocytosis, rouleaux formation, giant platelets | Microcytes, giant platelets | Anisocytosis, giant platelets | Rouleaux formation, giant platelets |
| Chemistry Parameters | Reference | Unit | First Visit | 4 Weeks after Doxycycline Treatment | Before Prednisolone Treatment | 12 Weeks after Prednisolone Treatment |
|---|---|---|---|---|---|---|
| Blood urea nitrogen | 15–34 | mg/dL | 30 | 28 | - | 22 |
| Creatinine | 1.1–2.2 | mg/dL | 1.56 | 1.36 | 1.69 | 1.64 |
| Glucose | 60–130 | mg/dL | 256 | 157 | - | 180 |
| Alanine aminotransferase | 28–76 | U/L | 46 | 63 | 49 | 61 |
| Alkaline phosphatase | 0–62 | U/L | 22 | - | - | 33 |
| Gamma-glutamyl transferase | 0–4 | U/L | 1 | - | - | 1 |
| Preprandial bile acids | 0–6.9 | µmol/L | 5 | - | - | - |
| Total bilirubin | 0.1–0.5 | mg/dL | 0.1 | - | - | 0.1 |
| Total protein | 5.8–7.8 | g/dL | 6.7 | 7.4 | 8.3 | 7.4 |
| Albumin | 2.6–4.2 | g/dL | 3.1 | 3.0 | 3.4 | 3.8 |
| Globulin | 2.9–7.7 | g/dL | 3.6 | 4.4 | 4.9 | 3.6 |
| Potassium | 3.0–4.8 | mEq/L | 4.38 | - | - | - |
Publisher’s Note: MDPI stays neutral with regard to jurisdictional claims in published maps and institutional affiliations. |
© 2022 by the authors. Licensee MDPI, Basel, Switzerland. This article is an open access article distributed under the terms and conditions of the Creative Commons Attribution (CC BY) license (https://creativecommons.org/licenses/by/4.0/).
Share and Cite
Assawarachan, S.N.; Yodsheewan, R.; Maneesaay, P.; Rattanapinyopituk, K.; Chuchalermporn, P.; Kongchun, A.; Hakhen, B.; Sattasathuchana, P. Feline Cyst-like Lymphocytic Cholangiohepatitis in a Cat: First Case Report. Animals 2022, 12, 3278. https://doi.org/10.3390/ani12233278
Assawarachan SN, Yodsheewan R, Maneesaay P, Rattanapinyopituk K, Chuchalermporn P, Kongchun A, Hakhen B, Sattasathuchana P. Feline Cyst-like Lymphocytic Cholangiohepatitis in a Cat: First Case Report. Animals. 2022; 12(23):3278. https://doi.org/10.3390/ani12233278
Chicago/Turabian StyleAssawarachan, Sathidpak Nantasanti, Rungrueang Yodsheewan, Phudit Maneesaay, Kasem Rattanapinyopituk, Piyathip Chuchalermporn, Atijit Kongchun, Benjang Hakhen, and Panpicha Sattasathuchana. 2022. "Feline Cyst-like Lymphocytic Cholangiohepatitis in a Cat: First Case Report" Animals 12, no. 23: 3278. https://doi.org/10.3390/ani12233278
APA StyleAssawarachan, S. N., Yodsheewan, R., Maneesaay, P., Rattanapinyopituk, K., Chuchalermporn, P., Kongchun, A., Hakhen, B., & Sattasathuchana, P. (2022). Feline Cyst-like Lymphocytic Cholangiohepatitis in a Cat: First Case Report. Animals, 12(23), 3278. https://doi.org/10.3390/ani12233278

