Post Mortem Study on the Effects of Routine Handling and Manipulation of Laboratory Mice
Abstract
Simple Summary
Abstract
1. Introduction
2. Materials and Methods
2.1. Animals
2.2. Review of Reports
2.3. Micro-CT
2.4. Statistical Analysis
3. Results
3.1. Demographics of the Study Population
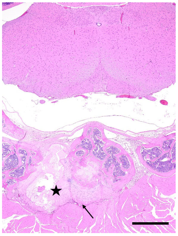
3.2. Lesions Associated with Manual Handling/Restraining
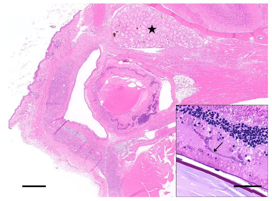
3.3. Blood Collection-Related Findings
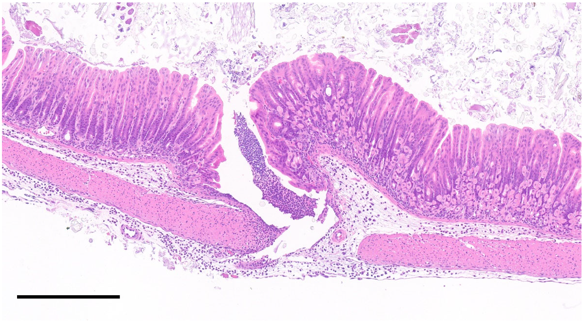
3.4. Peritoneal Injection-Related Findings
4. Discussion
5. Conclusions
Supplementary Materials
Author Contributions
Funding
Institutional Review Board Statement
Informed Consent Statement
Data Availability Statement
Acknowledgments
Conflicts of Interest
References
- Guénet, J.L.; Orth, A.; Bonhomme, F. Chapter 1.1—Origins and Phylogenetic Relationships of the Laboratory Mouse, 2nd ed.; Hedrich, H.J., Ed.; Academic Press: Cambridge, MA, USA, 2012; ISBN 9780123820082. [Google Scholar]
- Carbone, L. Estimating Mouse and Rat Use in American Laboratories by Extrapolation from Animal Welfare Act-Regulated Species. Sci. Rep. 2021, 11, 493. [Google Scholar] [CrossRef]
- Balcombe, J.P.; Barnard, N.D.; Sandusky, C. Laboratory Routines Cause Animal Stress. Contemp. Top. Lab. Anim. Sci. 2004, 43, 42–51. [Google Scholar]
- Gouveia, K.; Hurst, J.L. Reducing Mouse Anxiety during Handling: Effect of Experience with Handling Tunnels. PLoS ONE 2013, 8, e66401. [Google Scholar] [CrossRef]
- Peterson, N.C.; Nunamaker, E.A.; Turner, P.V. To Treat or Not to Treat: The Effects of Pain on Experimental Parameters. Comp. Med. 2017, 67, 469–482. [Google Scholar]
- Sensini, F.; Inta, D.; Palme, R.; Brandwein, C.; Pfeiffer, N.; Riva, M.A.; Gass, P.; Mallien, A.S. The Impact of Handling Technique and Handling Frequency on Laboratory Mouse Welfare Is Sex-Specific. Sci. Rep. 2020, 10, 17281. [Google Scholar] [CrossRef]
- Gouveia, K.; Hurst, J.L. Optimising Reliability of Mouse Performance in Behavioural Testing: The Major Role of Non-Aversive Handling. Sci. Rep. 2017, 7, 44999. [Google Scholar] [CrossRef]
- Clarkson, J.M.; Dwyer, D.M.; Flecknell, P.A.; Leach, M.C.; Rowe, C. Handling Method Alters the Hedonic Value of Reward in Laboratory Mice. Sci. Rep. 2018, 8, 2448. [Google Scholar] [CrossRef]
- Ruehl-Fehlert, C.; Kittel, B.; Morawietz, G.; Deslex, P.; Keenan, C.; Mahrt, C.R.; Nolte, T.; Robinson, M.; Stuart, B.P.; Deschl, U.; et al. Revised Guides for Organ Sampling and Trimming in Rats and Mice—Part 1. Exp. Toxicol. Pathol. 2003, 55, 91–106. [Google Scholar] [CrossRef]
- Kittel, B.; Ruehl-Fehlert, C.; Morawietz, G.; Klapwijk, J.; Elwell, M.R.; Lenz, B.; O’Sullivan, M.G.; Roth, D.R.; Wadsworth, P.F. Revised Guides for Organ Sampling and Trimming in Rats and Mice—Part 2. A Joint Publication of the RITA and NACAD Groups. Exp. Toxicol. Pathol. 2004, 55, 413–431. [Google Scholar] [CrossRef]
- Morawietz, G.; Ruehl-Fehlert, C.; Kittel, B.; Bube, A.; Keane, K.; Halm, S.; Heuser, A.; Hellmann, J. Group Revised Guides for Organ Sampling and Trimming in Rats and Mice—Part 3. A Joint Publication of the RITA and NACAD Groups. Exp. Toxicol. Pathol. 2004, 55, 433–449. [Google Scholar] [CrossRef]
- Johnson, C.; Wilbrecht, L. Juvenile Mice Show Greater Flexibility in Multiple Choice Reversal Learning than Adults. Dev. Cogn. Neurosci. 2011, 1, 540–551. [Google Scholar] [CrossRef] [PubMed]
- Tarrant, J.C.; Savickas, P.; Omodho, L.; Spinazzi, M.; Radaelli, E. Spontaneous Incidental Brain Lesions in C57BL/6J Mice. Vet. Pathol. 2020, 57, 172–182. [Google Scholar] [CrossRef] [PubMed]
- Weiss, T.; Bürge, T. Chapter 5.1—Handling and Restraint. In The Laboratory Mouse; Hedrich, H.J., Ed.; Academic Press: Cambridge, MA, USA, 2012; pp. 697–708. ISBN 9780123820082. [Google Scholar]
- Paré, W.P.; Glavin, G.B. Restraint Stress in Biomedical Research: A Review. Neurosci. Biobehav. Rev. 1986, 10, 339–370. [Google Scholar] [CrossRef]
- Van Loo, P.L.P.; Van Zutphen, L.F.M.; Baumans, V. Male Management: Coping with Aggression Problems in Male Laboratory Mice. Lab. Anim. 2003, 37, 300–313. [Google Scholar] [CrossRef]
- Beamer, W.G.; Donahue, L.R.; Rosen, C.J.; Baylink, D.J. Genetic Variability in Adult Bone Density among Inbred Strains of Mice. Bone 1996, 18, 397–403. [Google Scholar] [CrossRef]
- Knibbe-Hollinger, J.S.; Fields, N.R.; Chaudoin, T.R.; Epstein, A.A.; Makarov, E.; Akhter, S.P.; Gorantla, S.; Bonasera, S.J.; Gendelman, H.E.; Poluektova, L.Y. Influence of Age, Irradiation and Humanization on NSG Mouse Phenotypes. Biol. Open 2015, 4, 1243–1252. [Google Scholar] [CrossRef]
- Botolin, S.; Mccabe, L.R. Bone Loss and Increased Bone Adiposity in Spontaneous and Pharmacologically Induced Diabetic Mice. Endocrinology 2007, 148, 198–205. [Google Scholar] [CrossRef]
- Friedline, R.H.; Ko, H.J.; Jung, D.Y.; Lee, Y.; Bortell, R.; Dagdeviren, S.; Patel, P.R.; Hu, X.; Inashima, K.; Kearns, C.; et al. Genetic Ablation of Lymphocytes and Cytokine Signaling in Nonobese Diabetic Mice Prevents Diet-Induced Obesity and Insulin Resistance. FASEB J. 2016, 30, 1328–1338. [Google Scholar] [CrossRef]
- Adissu, H.A.; Medhanie, G.A.; Morikawa, L.; White, J.K.; Newbigging, S.; McKerlie, C. Right Ventricular Epicardial Fibrosis in Mice With Sternal Segment Dislocation. Vet. Pathol. 2015, 52, 967–976. [Google Scholar] [CrossRef]
- Francisco, C.C.; Howarth, G.S.; Whittaker, A.L. Effects on Animal Wellbeing and Sample Quality of 2 Techniques for Collecting Blood from the Facial Vein of Mice. J. Am. Assoc. Lab. Anim. Sci. 2015, 54, 76–80. [Google Scholar]
- Forbes, N.; Brayton, C.; Grindle, S.; Shepherd, S.; Tyler, B.; Guarnieri, M. Morbidity and Mortality Rates Associated with Serial Bleeding from the Superficial Temporal Vein in Mice. Lab Anim. 2010, 39, 236–240. [Google Scholar] [CrossRef]
- Heimann, M.; Käsermann, H.P.; Pfister, R.; Roth, D.R.; Bürki, K. Blood Collection from the Sublingual Vein in Mice and Hamsters: A Suitable Alternative to Retrobulbar Technique That Provides Large Volumes and Minimizes Tissue Damage. Lab. Anim. 2009, 43, 255–260. [Google Scholar] [CrossRef]
- van Herck, H.; Baumans, V.; Brandt, C.J.W.M.; Hesp, A.P.M.; Sturkenboom, J.H.; van Lith, H.A.; van Tintelen, G.; Beynen, A.C. Orbital Sinus Blood Sampling in Rats as Performed by Different Animal Technicians: The Influence of Technique and Expertise. Lab. Anim. 1998, 32, 377–386. [Google Scholar] [CrossRef]
- Fried, J.H.; Worth, D.B.; Brice, A.K.; Hankenson, F.C. Type, Duration, and Incidence of Pathologic Findings after Retroorbital Bleeding of Mice by Experienced and Novice Personnel. J. Am. Assoc. Lab. Anim. Sci. 2015, 54, 317–327. [Google Scholar]
- Parasuraman, S.; Raveendran, R.; Kesavan, R. Blood Sample Collection in Small Laboratory Animals. J. Pharmacol. Pharmacother. 2010, 1, 87–93. [Google Scholar] [CrossRef]
- Diehl, K.H.; Hull, R.; Morton, D.; Pfister, R.; Rabemampianina, Y.; Smith, D.; Vidal, J.M.; van de Vorstenbosch, C.; European Federation of Pharmaceutical Industries Association and European Centre for the Validation of Alternative Methods. A Good Practice Guide to the Administration of Substances and Removal of Blood, Including Routes and Volumes. J. Appl. Toxicol. 2001, 21, 15–23. [Google Scholar] [CrossRef]
- Tsai, P.-P.; Schlichtig, A.; Ziegler, E.; Ernst, H.; Haberstroh, J.; Stelzer, H.D.; Hackbarth, H. Effects of Different Blood Collection Methods on Indicators of Welfare in Mice. Lab Anim. 2015, 44, 301–310. [Google Scholar] [CrossRef]
- Ahrens Kress, A.P.; Zhang, Y.; Kaiser-Vry, A.R.; Sauer, M.B. A Comparison of Blood Collection Techniques in Mice and Their Effects on Welfare. J. Am. Assoc. Lab. Anim. Sci. 2022, 61, 287–295. [Google Scholar] [CrossRef]
- Meyer, N.; Kröger, M.; Thümmler, J.; Tietze, L.; Palme, R.; Touma, C. Impact of Three Commonly Used Blood Sampling Techniques on the Welfare of Laboratory Mice: Taking the Animal’s Perspective. PLoS ONE 2020, 15, e0238895. [Google Scholar] [CrossRef]
- Canadian Council on Animal Care CCAC Guidelines: Mice. Available online: https://ccac.ca/en/standards/guidelines/types-of-animals.html (accessed on 18 October 2022).
- Guidelines for Blood Collection in Mice and Rats. Available online: https://oacu.oir.nih.gov/animal-research-advisory-committee-arac-guidelines (accessed on 18 October 2022).
- Laudenslager, M.L.; Fleshner, M.; Hofstadter, P.; Held, P.E.; Simons, L.; Maier, S.F. Suppression of Specific Antibody Production by Inescapable Shock: Stability under Varying Conditions. Brain. Behav. Immun. 1988, 2, 92–101. [Google Scholar] [CrossRef]
- DeMarco, G.J.; Nunamaker, E.A. A Review of the Effects of Pain and Analgesia on Immune System Function and Inflammation: Relevance for Preclinical Studies. Comp. Med. 2019, 69, 520–534. [Google Scholar] [CrossRef] [PubMed]
- Lofgren, J.; Miller, A.L.; Lee, C.C.S.; Bradshaw, C.; Flecknell, P.; Roughan, J. Analgesics Promote Welfare and Sustain Tumour Growth in Orthotopic 4T1 and B16 Mouse Cancer Models. Lab. Anim. 2018, 52, 351–364. [Google Scholar] [CrossRef] [PubMed]
- Sasamura, T.; Nakamura, S.; Iida, Y.; Fujii, H.; Murata, J.; Saiki, I.; Nojima, H.; Kuraishi, Y. Morphine Analgesia Suppresses Tumor Growth and Metastasis in a Mouse Model of Cancer Pain Produced by Orthotopic Tumor Inoculation. Eur. J. Pharmacol. 2002, 441, 185–191. [Google Scholar] [CrossRef]
- Page, G.G.; McDonald, J.S.; Ben-Eliyahu, S. Pre-Operative versus Postoperative Administration of Morphine: Impact on the Neuroendocrine, Behavioural, and Metastatic-Enhancing Effects of Surgery. Br. J. Anaesth. 1998, 81, 216–223. [Google Scholar] [CrossRef] [PubMed]
- Tansley, S.N.; Tuttle, A.H.; Wu, N.; Tohyama, S.; Dossett, K.; Gerstein, L.; Ham, B.; Austin, J.-S.; Sotocinal, S.G.; Mogil, J.S. Modulation of Social Behavior and Dominance Status by Chronic Pain in Mice. Genes. Brain. Behav. 2019, 18, e12514. [Google Scholar] [CrossRef]
- Minville, V.; Laffosse, J.-M.; Fourcade, O.; Girolami, J.-P.; Tack, I. Mouse Model of Fracture Pain. Anesthesiology 2008, 108, 467–472. [Google Scholar] [CrossRef]
- Ding, W.-G.; Jiang, S.-D.; Zhang, Y.-H.; Jiang, L.-S.; Dai, L.-Y. Bone Loss and Impaired Fracture Healing in Spinal Cord Injured Mice. Osteoporos. Int. 2011, 22, 507–515. [Google Scholar] [CrossRef]
- Chen, L.; Cheng, S.; Sun, K.; Wang, J.; Liu, X.; Zhao, Y.; Yang, J.; Zhao, D.; Xue, C.; Tao, Y.; et al. Changes in Macrophage and Inflammatory Cytokine Expressions during Fracture Healing in an Ovariectomized Mice Model. BMC Musculoskelet. Disord. 2021, 22, 494. [Google Scholar] [CrossRef]
- Nam, D.; Mau, E.; Wang, Y.; Wright, D.; Silkstone, D.; Whetstone, H.; Whyne, C.; Alman, B. T-Lymphocytes Enable Osteoblast Maturation via IL-17F during the Early Phase of Fracture Repair. PLoS ONE 2012, 7, e40044. [Google Scholar] [CrossRef]
- McCauley, J.; Bitsaktsis, C.; Cottrell, J. Macrophage Subtype and Cytokine Expression Characterization during the Acute Inflammatory Phase of Mouse Bone Fracture Repair. J. Orthop. Res. 2020, 38, 1693–1702. [Google Scholar] [CrossRef]
- Baker, C.E.; Moore-Lotridge, S.N.; Hysong, A.A.; Posey, S.L.; Robinette, J.P.; Blum, D.M.; Benvenuti, M.A.; Cole, H.A.; Egawa, S.; Okawa, A.; et al. Bone Fracture Acute Phase Response-A Unifying Theory of Fracture Repair: Clinical and Scientific Implications. Clin. Rev. Bone Miner. Metab. 2018, 16, 142–158. [Google Scholar] [CrossRef] [PubMed]
- Spenlingwimmer, T.; Zipperle, J.; Jafarmadar, M.; Osuchowski, M.F.; Drechsler, S. Comparison of Post-Traumatic Changes in Circulating and Bone Marrow Leukocytes between BALB/c and CD-1 Mouse Strains. PLoS ONE 2019, 14, e0222594. [Google Scholar] [CrossRef] [PubMed]
- Colburn, N.T.; Zaal, K.J.M.; Wang, F.; Tuan, R.S. A Role for Gamma/Delta T Cells in a Mouse Model of Fracture Healing. Arthritis Rheum. 2009, 60, 1694–1703. [Google Scholar] [CrossRef] [PubMed]
- Das, V.; Kroin, J.S.; Moric, M.; Buvanendran, A. Biochemical and Pharmacological Characterization of a Mice Model of Complex Regional Pain Syndrome. Reg. Anesth. Pain Med. 2017, 42, 507–516. [Google Scholar] [CrossRef]
- Marx, J.O.; Jacobsen, K.O.; Petervary, N.A.; Casebolt, D.B. A Survey of Laboratory Animal Veterinarians Regarding Mouse Welfare in Biomedical Research. J. Am. Assoc. Lab. Anim. Sci. 2021, 60, 139–145. [Google Scholar] [CrossRef]
- Clifford, P.; Melfi, N.; Bogdanske, J.; Johnson, E.J.; Kehler, J.; Baran, S.W. Assessment of Proficiency and Competency in Laboratory Animal Biomethodologies. J. Am. Assoc. Lab. Anim. Sci. 2013, 52, 711–716. [Google Scholar]
- Langford, D.J.; Bailey, A.L.; Chanda, M.L.; Clarke, S.E.; Drummond, T.E.; Echols, S.; Glick, S.; Ingrao, J.; Klassen-Ross, T.; Lacroix-Fralish, M.L.; et al. Coding of Facial Expressions of Pain in the Laboratory Mouse. Nat. Methods 2010, 7, 447–449. [Google Scholar] [CrossRef]
- Häger, C.; Keubler, L.M.; Talbot, S.R.; Biernot, S.; Weegh, N.; Buchheister, S.; Buettner, M.; Glage, S.; Bleich, A. Running in the Wheel: Defining Individual Severity Levels in Mice. PLoS Biol. 2018, 16, e2006159. [Google Scholar] [CrossRef]
- Davies, J.R.; Purawijaya, D.A.; Bartlett, J.M.; Robinson, E.S.J. Impact of Refinements to Handling and Restraint Methods in Mice. Animals 2022, 12, 2173. [Google Scholar] [CrossRef]
- Gouveia, K.; Hurst, J.L. Improving the Practicality of Using Non-Aversive Handling Methods to Reduce Background Stress and Anxiety in Laboratory Mice. Sci. Rep. 2019, 9, 20305. [Google Scholar] [CrossRef]








Publisher’s Note: MDPI stays neutral with regard to jurisdictional claims in published maps and institutional affiliations. |
© 2022 by the authors. Licensee MDPI, Basel, Switzerland. This article is an open access article distributed under the terms and conditions of the Creative Commons Attribution (CC BY) license (https://creativecommons.org/licenses/by/4.0/).
Share and Cite
Assenmacher, C.-A.; Lanza, M.; Tarrant, J.C.; Gardiner, K.L.; Blankemeyer, E.; Radaelli, E. Post Mortem Study on the Effects of Routine Handling and Manipulation of Laboratory Mice. Animals 2022, 12, 3234. https://doi.org/10.3390/ani12233234
Assenmacher C-A, Lanza M, Tarrant JC, Gardiner KL, Blankemeyer E, Radaelli E. Post Mortem Study on the Effects of Routine Handling and Manipulation of Laboratory Mice. Animals. 2022; 12(23):3234. https://doi.org/10.3390/ani12233234
Chicago/Turabian StyleAssenmacher, Charles-Antoine, Matthew Lanza, James C Tarrant, Kristin L Gardiner, Eric Blankemeyer, and Enrico Radaelli. 2022. "Post Mortem Study on the Effects of Routine Handling and Manipulation of Laboratory Mice" Animals 12, no. 23: 3234. https://doi.org/10.3390/ani12233234
APA StyleAssenmacher, C.-A., Lanza, M., Tarrant, J. C., Gardiner, K. L., Blankemeyer, E., & Radaelli, E. (2022). Post Mortem Study on the Effects of Routine Handling and Manipulation of Laboratory Mice. Animals, 12(23), 3234. https://doi.org/10.3390/ani12233234

