Genome Analysis of the G6P6 Genotype of Porcine Group C Rotavirus in China
Abstract
Simple Summary
Abstract
1. Introduction
2. Materials and Methods
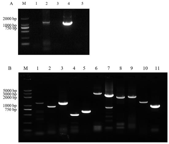
3. Results
4. Discussion
5. Conclusions
Supplementary Materials
Author Contributions
Funding
Institutional Review Board Statement
Informed Consent Statement
Data Availability Statement
Conflicts of Interest
References
- Vlasova, A.N.; Amimo, J.O.; Saif, L.J. Porcine Rotaviruses: Epidemiology, Immune Responses and Control Strategies. Viruses 2017, 9, 48. [Google Scholar] [CrossRef] [PubMed]
- Estes, M.K.; Cohen, J. Rotavirus gene structure and function. Microbiol. Rev. 1989, 53, 410–449. [Google Scholar] [CrossRef] [PubMed]
- Matthijnssens, J.; Otto, P.H.; Ciarlet, M.; Desselberger, U.; Van Ranst, M.; Johne, R. VP6-sequence-based cutoff values as a criterion for rotavirus species demarcation. Arch. Virol. 2012, 157, 1177–1182. [Google Scholar] [CrossRef] [PubMed]
- Mihalov-Kovács, E.; Gellért, Á.; Marton, S.; Farkas, S.L.; Fehér, E.; Oldal, M.; Jakab, F.; Martella, V.; Bányai, K. Candidate New Rotavirus Species in Sheltered Dogs, Hungary. Emerg. Infect. Dis. 2015, 21, 660–663. [Google Scholar] [CrossRef] [PubMed]
- Banyai, K.; Kemenesi, G.; Budinski, I.; Foldes, F.; Zana, B.; Marton, S.; Varga-Kugler, R.; Oldal, M.; Kurucz, K.; Jakab, F. Candidate new rotavirus species in Schreiber’s bats, Serbia. Infect, Genet Evol. J. Mol. Epidemiol. Evol. Genet. Infect. Dis. 2017, 48, 19–26. [Google Scholar] [CrossRef]
- Saif, L.J.; Bohl, E.H.; Theil, K.W.; Cross, R.F.; House, J.A. Rotavirus-Like, Calicivirus-Like, and 23-nm Virus-Like Particles Associated with Diarrhea in Young Pigs. J. Clin. Microbiol. 1980, 12, 105–111. [Google Scholar] [CrossRef]
- Trovão, N.S.; Shepherd, F.K.; Herzberg, K.; Jarvis, M.; Lam, H.C.; Rovira, A.; Culhane, M.R.; Nelson, M.I.; Marthaler, D.G. Evolution of rotavirus C in humans and several domestic animal species. Zoonoses Public Health 2019, 66, 546–557. [Google Scholar] [CrossRef] [PubMed]
- Chepngeno, J.; Takanashi, S.; Diaz, A.; Michael, H.; Paim, F.C.; Rahe, M.C.; Hayes, J.R.; Baker, C.; Marthaler, D.; Saif, L.J.; et al. Comparative Sequence Analysis of Historic and Current Porcine Rotavirus C Strains and Their Pathogenesis in 3-Day-Old and 3-Week-Old Piglets. Front. Microbiol. 2020, 11, 780. [Google Scholar] [CrossRef]
- Matthijnssens, J.; Ciarlet, M.; Heiman, E.; Arijs, I.; Delbeke, T.; McDonald, S.M.; Palombo, E.A.; Iturriza-Gómara, M.; Maes, P.; Patton, J.; et al. Full Genome-Based Classification of Rotaviruses Reveals a Common Origin between Human Wa-Like and Porcine Rotavirus Strains and Human DS-1-Like and Bovine Rotavirus Strains. J. Virol. 2008, 82, 3204–3219. [Google Scholar] [CrossRef]
- McDonald, S.M.; Matthijnssens, J.; McAllen, J.K.; Hine, E.; Overton, L.; Wang, S.; Lemey, P.; Zeller, M.; Van Ranst, M.; Spiro, D.J.; et al. Evolutionary Dynamics of Human Rotaviruses: Balancing Reassortment with Preferred Genome Constellations. PLOS Pathog. 2009, 5, e1000634. [Google Scholar] [CrossRef]
- Suzuki, T.; Hasebe, A. A provisional complete genome-based genotyping system for rotavirus species C from terrestrial mammals. J. Gen. Virol. 2017, 98, 2647–2662. [Google Scholar] [CrossRef] [PubMed]
- Chen, L.; Zhao, D.-J.; Yang, H.; Zhang, H.-L.; Yao, X.-J.; Zhang, R.-L.; He, Y.-Q. Whole-Genome Sequences of Two Rare Human Group C Rotavirus Strains Isolated from Two Cases of Acute Gastroenteritis. Genome Announc. 2015, 3, e01014-15. [Google Scholar] [CrossRef]
- Chen, Q.; Wang, L.; Zheng, Y.; Zhang, J.; Guo, B.; Yoon, K.-J.; Gauger, P.C.; Harmon, K.M.; Main, R.G.; Li, G. Metagenomic analysis of the RNA fraction of the fecal virome indicates high diversity in pigs infected by porcine endemic diarrhea virus in the United States. Virol. J. 2018, 15, 1–9. [Google Scholar] [CrossRef] [PubMed]
- Shi, Y.; Li, B.; Tao, J.; Cheng, J.; Liu, H. The Complex Co-infections of Multiple Porcine Diarrhea Viruses in Local Area Based on the Luminex xTAG Multiplex Detection Method. Front. Veter-Sci. 2021, 8, 1–13. [Google Scholar] [CrossRef] [PubMed]
- Ji, Z.; Shi, D.; Shi, H.; Wang, X.; Chen, J.; Liu, J.; Ye, D.; Liu, Q.; Fan, Q.; Li, M.; et al. A porcine epidemic diarrhea virus strain with distinct characteristics of four amino acid insertion in the COE region of spike protein. Veter-Microbiol. 2020, 253, 108955. [Google Scholar] [CrossRef]
- Zhang, J.; Chen, J.; Liu, Y.; Da, S.; Shi, H.; Zhang, X.; Liu, J.; Cao, L.; Zhu, X.; Wang, X.; et al. Pathogenicity of porcine deltacoronavirus (PDCoV) strain NH and immunization of pregnant sows with an inactivated PDCoV vaccine protects 5-day-old neonatal piglets from virulent challenge. Transbound. Emerg. Dis. 2019, 67, 572–583. [Google Scholar] [CrossRef] [PubMed]
- Zhou, L.; Sun, Y.; Wu, J.L.; Mai, K.J.; Chen, G.H.; Wu, Z.X.; Bai, Y.; Li, D.; Zhou, Z.H.; Cheng, J.; et al. Development of a TaqMan-based real-time RT-PCR assay for the detection of SADS-CoV associated with severe diarrhea disease in pigs. J Virol. Methods 2018, 255, 66–70. [Google Scholar] [CrossRef]
- Zhang, X.; Zhu, Y.; Zhu, X.; Shi, H.; Chen, J.; Shi, D.; Yuan, J.; Cao, L.; Liu, J.; Dong, H.; et al. Identification of a natural recombinant transmissible gastroenteritis virus between Purdue and Miller clusters in China. Emerg. Microbes Infect. 2017, 6, e74. [Google Scholar] [CrossRef]
- Jing, Z.; Zhang, X.; Shi, H.; Chen, J.; Shi, D.; Dong, H.; Feng, L. A G3P[13] porcine group A rotavirus emerging in China is a reassortant and a natural recombinant in the VP4 gene. Transbound. Emerg. Dis. 2017, 65, e317–e328. [Google Scholar] [CrossRef] [PubMed]
- Martin, D.P.; Murrell, B.; Golden, M.; Khoosal, A.; Muhire, B. RDP4: Detection and analysis of recombination patterns in virus genomes. Virus Evol. 2015, 1, vev003. [Google Scholar] [CrossRef] [PubMed]
- Jiang, X.; Liu, Y.; Tan, M. Histo-blood group antigens as receptors for rotavirus, new understanding on rotavirus epidemiology and vaccine strategy. Emerg. Microbes Infect. 2017, 6, e22. [Google Scholar] [CrossRef] [PubMed]
- Guo, J.H.; Fang, L.R.; Ye, X.; Chen, J.Y.; Xu, S.E.; Zhu, X.Y.; Miao, Y.M.; Wang, D.; Xiao, S.B. Evolutionary and genotypic analyses of global porcine epidemic diarrhea virus strains. Transbound. Emerg. Dis. 2019, 66, 111–118. [Google Scholar] [CrossRef] [PubMed]
- Zhang, L.; Jiang, Z.; Zhou, Z.; Sun, J.; Yan, S.; Gao, W.; Shao, Y.; Bai, Y.; Wu, Y.; Yan, Z.; et al. A TaqMan Probe-Based Multiplex Real-Time PCR for Simultaneous Detection of Porcine Epidemic Diarrhea Virus Subtypes G1 and G2, and Porcine Rotavirus Groups A and C. Viruses 2022, 14, 1819. [Google Scholar] [CrossRef] [PubMed]
- Matthijnssens, J.; Ciarlet, M.; Rahman, M.; Attoui, H.; Bányai, K.; Estes, M.K.; Gentsch, J.R.; Iturriza-Gómara, M.; Kirkwood, C.D.; Martella, V.; et al. Recommendations for the classification of group A rotaviruses using all 11 genomic RNA segments. Arch. Virol. 2008, 153, 1621–1629. [Google Scholar] [CrossRef]
- Amimo, J.O.; Vlasova, A.N.; Saif, L.J. Prevalence and genetic heterogeneity of porcine group C rotaviruses in nursing and weaned piglets in Ohio, USA and identification of a potential new VP4 genotype. Veter-Microbiol. 2013, 164, 27–38. [Google Scholar] [CrossRef]
- Marthaler, D.; Rossow, K.; Culhane, M.; Collins, J.; Goyal, S.; Ciarlet, M.; Matthijnssens, J. Identification, phylogenetic analysis and classification of porcine group C rotavirus VP7 sequences from the United States and Canada. Virology 2013, 446, 189–198. [Google Scholar] [CrossRef] [PubMed]
- Hull, J.J.A.; Qi, M.; Montmayeur, A.M.; Kumar, D.; Velasquez, D.E.; Moon, S.-S.; Magaña, L.C.; Betrapally, N.; Ng, T.F.F.; Jiang, B.; et al. Metagenomic sequencing generates the whole genomes of porcine rotavirus A, C, and H from the United States. PLoS ONE 2020, 15, e0244498. [Google Scholar] [CrossRef] [PubMed]
- Woods, R.J. Intrasegmental recombination does not contribute to the long-term evolution of group A rotavirus. Infect, Genet Evol. J. Mol. Epidemiol. Evol. Genet. Infect. Dis. 2015, 32, 354–360. [Google Scholar] [CrossRef] [PubMed]




| Gene | Closely Related Strains | Nucleotide (%) | Amino Acid (%) | Genotype | Deposited No. |
|---|---|---|---|---|---|
| VP1 | PoRVC_VP1_VIRES_HeB02_C2(K379289) | 95.7% | 98.2% | R1 | ON068577 |
| VP2 | CJ59-32(LC307108) | 90.6% | 97.6% | C1 | ON068578 |
| VP3 | RVC/Pig-wt/Ishi-1/2015/G13P [4](LC122626) | 97.3% | 98.3% | M3 | ON068579 |
| VP4 | RVC/Pig-wt/KOR/2885/2012/G7PX(KJ814475) | 88.5% | 92.1% | P6 | ON068580 |
| VP6 | RVC/Pig-wt/USA/CO76/2012/G6P5(MG451721) | 93.2% | 98.5% | I5 | ON068581 |
| VP7 | RVC/Pig-wt/USA/OK-264/2015(MF522700) | 92.4% | 96.4% | G6 | ON068582 |
| NSP1 | PoRVC_NSP1_VIRES_HeB02_C2(MK379284) | 91.3% | 94.4% | A10 | ON068572 |
| NSP2 | PoRVC_NSP2_VIRES_HeB02_C1(MK379286) | 97.1% | 99.0% | N1 | ON068573 |
| NSP3 | RVC/Pig-wt/CAN/A8-158/2014/G6P4(KY909964) | 92.0% | 95.0% | T1 | ON068574 |
| NSP4 | RVC/Pig-wt/IND/Por-993/2015(KY783644) | 90.3% | 84.8% | E1 | ON068575 |
| NSP5 | Cowden (X65938) | 94.5% | 95.7% | H1 | ON068576 |
Publisher’s Note: MDPI stays neutral with regard to jurisdictional claims in published maps and institutional affiliations. |
© 2022 by the authors. Licensee MDPI, Basel, Switzerland. This article is an open access article distributed under the terms and conditions of the Creative Commons Attribution (CC BY) license (https://creativecommons.org/licenses/by/4.0/).
Share and Cite
Jiao, R.; Ji, Z.; Zhu, X.; Shi, H.; Chen, J.; Shi, D.; Liu, J.; Jing, Z.; Zhang, J.; Zhang, L.; et al. Genome Analysis of the G6P6 Genotype of Porcine Group C Rotavirus in China. Animals 2022, 12, 2951. https://doi.org/10.3390/ani12212951
Jiao R, Ji Z, Zhu X, Shi H, Chen J, Shi D, Liu J, Jing Z, Zhang J, Zhang L, et al. Genome Analysis of the G6P6 Genotype of Porcine Group C Rotavirus in China. Animals. 2022; 12(21):2951. https://doi.org/10.3390/ani12212951
Chicago/Turabian StyleJiao, Ruixue, Zhaoyang Ji, Xiaoyuan Zhu, Hongyan Shi, Jianfei Chen, Da Shi, Jianbo Liu, Zhaoyang Jing, Jiyu Zhang, Liaoyuan Zhang, and et al. 2022. "Genome Analysis of the G6P6 Genotype of Porcine Group C Rotavirus in China" Animals 12, no. 21: 2951. https://doi.org/10.3390/ani12212951
APA StyleJiao, R., Ji, Z., Zhu, X., Shi, H., Chen, J., Shi, D., Liu, J., Jing, Z., Zhang, J., Zhang, L., Feng, S., Zhang, X., & Feng, L. (2022). Genome Analysis of the G6P6 Genotype of Porcine Group C Rotavirus in China. Animals, 12(21), 2951. https://doi.org/10.3390/ani12212951
