Testicular Expression of Antioxidant Enzymes and Changes in Response to a Slow-Release Deslorelin Implant (Suprelorin® 4.7 mg) in the Dog
Abstract
Simple Summary
Abstract
1. Introduction
2. Materials and Methods
2.1. Sample Collection
2.2. Isolation of Total RNA, cDNA Synthesis, and Reverse Transcription
2.3. Semi-Quantitative RT-PCR
2.4. Immunohistochemistry (IHC)
2.5. Expression of Antioxidant Enzymes in the Testes of Adult CON Group Dogs in Different Seminiferous Epithelium Cycle Stages
2.6. Statistical Analysis
3. Results
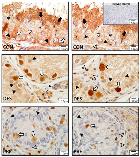
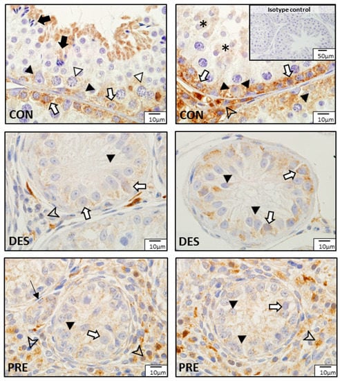
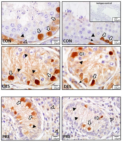
3.1. SOD1 and SOD2
3.2. Catalase (CAT)
3.3. GPx1 and GSR
4. Discussion
5. Conclusions
Author Contributions
Funding
Institutional Review Board Statement
Informed Consent Statement
Data Availability Statement
Acknowledgments
Conflicts of Interest
References
- Trigg, T.E.; Wright, P.J.; Armour, A.F.; Williamson, P.E.; Junaidi, A.; Martin, G.B.; Doyle, A.G.; Walsh, J. Use of a GnRH analogue implant to produce reversible long-term suppression of reproductive function in male and female domestic dogs. J. Reprod. Fertil. Suppl. 2001, 57, 255–261. [Google Scholar] [PubMed]
- Driancourt, M.A.; Briggs, J.R. Gonadotropin-releasing hormone (GnRH) agonist implants for male dog fertility suppression: A review of mode of action, efficacy, safety, and uses. Front. Vet. Sci. 2020, 7, 483. [Google Scholar] [CrossRef] [PubMed]
- Fontbonne, A.; Maenhoudt, C. Medical control of reproduction in the male dog with deslorelin subcutaneous implants. Clin. Theriogenol. 2021, 13, 151–155. [Google Scholar]
- Navarro, C.; Schober, P. Pharmacodynamics and pharmacokinetics of a sustained-release implant of deslorelin in companion animals. In Proceedings of the 7th International Symposium on Canine and Feline Reproduction, Whistler, BC, Canada, 26–29 July 2012; pp. 177–178. [Google Scholar]
- Ramaswamy, S.; Weinbauer, G.F. Endocrine control of spermatogenesis: Role of FSH and LH/ testosterone. Spermatogenesis 2014, 4, e996025. [Google Scholar] [CrossRef]
- Hull, M.E.; Kenigsberg, D.J. Gonadotropin releasing hormone: Function and clinical use. Lab. Manag. 1987, 25, 51–58. [Google Scholar]
- Senger, P.L. Pathways to Pregnancy and Parturition, 2nd ed.; Current Conceptions, Inc.: Pullman, WA, USA, 2005; ISBN 0-9657648-2-6. [Google Scholar]
- Romagnoli, S.; Siminica, A.; Sontas, B.; Milani, C.; Mollo, A.; Stelletta, C. Semen quality and onset of sterility following administration of a 4.7-mg deslorelin implant in adult male dogs. Reprod. Domest. Anim. 2012, 47, 389–392. [Google Scholar] [CrossRef]
- Junaidi, A.; Williamson, P.E.; Martin, G.B.; Blackberry, M.A.; Cummins, J.M.; Trigg, T.E. Dose-response studies for pituitary and testicular function in male dogs treated with the GnRH superagonist, deslorelin. Reprod. Domest. Anim. 2009, 44, 725–734. [Google Scholar] [CrossRef]
- Junaidi, A.; Williamson, P.E.; Cummins, J.M.; Martin, G.B.; Blackberry, M.A.; Trigg, T.E. Use of a new drug delivery formulation of the gonadotrophin-releasing hormone analogue Deslorelin for reversible long-term contraception in male dogs. Reprod. Fertil. Dev. 2003, 15, 317–322. [Google Scholar] [CrossRef]
- Trigg, T.E.; Doyle, A.G.; Walsh, J.D.; Swangchan-uthai, T. A review of advances in the use of the GnRH agonist deslorelin in control of reproduction. Theriogenology 2006, 66, 1507–1512. [Google Scholar] [CrossRef]
- Balogh, O.; Somoskoi, B.; Kollar, E.; Kowalewski, M.; Gram, A.; Reichler, I.; Klein, R.; Kawate, N.; Mester, L.; Walter, B.; et al. Anti-Müllerian hormone, testosterone, and insulin-like peptide 3 as biomarkers of Sertoli and Leydig cell function during deslorelin-induced testicular downregulation in the dog. Theriogenology 2021, 175, 100–110. [Google Scholar] [CrossRef]
- Junaidi, A.; Williamson, P.E.; Martin, G.B.; Stanton, P.G.; Blackberry, M.A.; Cummins, J.M.; Trigg, T.E. Pituitary and testicular endocrine responses to exogenous gonadotrophin-releasing hormone (GnRH) and luteinising hormone in male dogs treated with GnRH agonist implants. Reprod. Fertil. Dev. 2007, 19, 891–898. [Google Scholar] [CrossRef] [PubMed]
- Müller, L.; Mester, L.; Nagy, A.; Hanácsek, R.; Janett, F.; Cseh, S.; Reichler, I.M.; Balogh, O. Effect of a long-acting deslorelin implant (Suprelorin® 4.7 mg) on semen characteristics, body weight, serum biochemical and haematology profile in adult male Beagle dogs. Magy. Állato. Lapja 2018, 140, 727–736. [Google Scholar]
- Junaidi, A.; Williamson, P.E.; Trigg, T.E.; Cummins, J.M.; Martin, G.B. Morphological study of the effects of the GnRH superagonist deslorelin on the canine testis and prostate gland. Reprod. Domest. Anim. 2009, 44, 757–763. [Google Scholar] [CrossRef] [PubMed]
- Goericke-Pesch, S.; Spang, A.; Schulz, M.; Özalp, G.; Bergmann, M.; Ludwig, C.; Hoffmann, B. Recrudescence of spermatogenesis in the dog following downregulation using a slow release GnRH agonist implant. Reprod. Domest. Anim. 2009, 44, 302–308. [Google Scholar] [CrossRef] [PubMed]
- Sirivaidyapong, S.; Mehl, N.S.; Trigg, T.E. Delay of puberty and reproductive performance in male dogs following the implantation of 4.7 and 9.4 mg GnRH-agonist deslorelin at an early pre-pubertal age. Reprod. Domest. Anim. 2012, 47, 400–402. [Google Scholar] [CrossRef]
- Manna, P.R.; Stetson, C.L.; Slominski, A.T.; Pruitt, K. Role of the steroidogenic acute regulatory protein in health and disease. Endocrine 2016, 51, 7–21. [Google Scholar] [CrossRef]
- Stocco, D.M. StAR protein and the regulation of steroid hormone biosynthesis. Annu. Rev. Physiol. 2001, 63, 193–213. [Google Scholar] [CrossRef]
- Lejeune, H.; Sanchez, P.; Chuzel, F.; Langlois, D.; Saez, J.M. Time-course effects of human recombinant luteinizing hormone on porcine Leydig cell specific differentiated functions. Mol. Cell. Endocrinol. 1998, 144, 59–69. [Google Scholar] [CrossRef]
- Gentil, M.; Hoffmann, B.; Spang, A.; Failing, K.; Goericke-Pesch, S. Restart of steroidogenesis in dogs during recrudescence of testicular function following downregulation with a GnRH-agonist implant. Cell Tissue Res. 2012, 350, 513–523. [Google Scholar] [CrossRef]
- Goericke-Pesch, S.; Gentil, M.; Spang, A.; Kowalewski, M.P.; Failing, K.; Hoffmann, B. Status of the down-regulated canine testis using two different GNRH agonist implants in comparison with the juvenile testis. Reproduction 2013, 146, 517–526. [Google Scholar] [CrossRef]
- Wang, X.; Dyson, M.T.; Jo, Y.; Stocco, D.M. Inhibition of cyclooxygenase-2 activity enhances steroidogenesis and steroidogenic acute regulatory gene expression in MA-10 mouse Leydig cells. Endocrinology 2003, 144, 3368–3375. [Google Scholar] [CrossRef] [PubMed]
- Körber, H.; Goericke-Pesch, S. Expression of PTGS2, PGFS and PTGFR during downregulation and restart of spermatogenesis following GnRH agonist treatment in the dog. Cell Tissue Res. 2019, 375, 531–541. [Google Scholar] [CrossRef] [PubMed]
- Baskaran, S.; Finelli, R.; Agarwal, A.; Henkel, R. Reactive oxygen species in male reproduction: A boon or a bane? Andrologia 2021, 53, e13577. [Google Scholar] [CrossRef] [PubMed]
- Darbandi, M.; Darbandi, S.; Agarwal, A.; Sengupta, P.; Durairajanayagam, D.; Henkel, R.; Sadeghi, M.R. Reactive oxygen species and male reproductive hormones. Reprod. Biol. Endocrinol. 2018, 16, 87. [Google Scholar] [CrossRef]
- Guerriero, G.; Trocchia, S.; Abdel-Gawad, F.K.; Ciarcia, G. Roles of reactive oxygen species in the spermatogenesis regulation. Front. Endocrinol. 2014, 5, 56. [Google Scholar] [CrossRef]
- Tai, P.; Ascoli, M. Reactive oxygen species (ROS) play a critical role in the cAMP-induced activation of Ras and the phosphorylation of ERK1/2 in Leydig cells. Mol. Endocrinol. 2011, 25, 885–893. [Google Scholar] [CrossRef]
- Lushchak, V.I. Free radicals, reactive oxygen species, oxidative stress and its classification. Chem. Biol. Interact. 2014, 224, 164–175. [Google Scholar] [CrossRef] [PubMed]
- Birben, E.; Sahiner, M.U.; Sackesen, C.; Erzurum, S.; Kalayci, O. Oxidative stress and antioxidant defense. World Allergy Organ. J. 2012, 5, 9–19. [Google Scholar] [CrossRef]
- Fridovich, I. The biology of oxygen radicals. Science 1978, 201, 875–880. [Google Scholar] [CrossRef]
- Aitken, J.R.; Roman, S.D. Antioxidant systems and oxidative stress in the testes. Oxid. Med. Cell. Longev. 2008, 1, 15–24. [Google Scholar] [CrossRef]
- Martin-Hidalgo, D.; Bragado, M.J.; Batista, A.R.; Oliveira, P.F.; Alves, M.G. Antioxidants and male fertility: From molecular studies to clinical evidence. Antioxidants 2019, 8, 89. [Google Scholar] [CrossRef] [PubMed]
- Scarlata, E.; O’Flaherty, C. Antioxidant enzymes and male fertility: Lessons from knockout models. Antioxid. Redox Signal. 2020, 32, 569–580. [Google Scholar] [CrossRef] [PubMed]
- Ciani, F.; Maruccio, L.; Cocchia, N.; Angelo, D.; Carotenuto, D.; Avallone, L.; Namagerdi, A.; Tafuri, S. Antioxidants in assisted reproductive technologies: An overview on dog, cat, and horse. J. Adv. Vet. Anim. Res. 2021, 8, 173–184. [Google Scholar] [CrossRef] [PubMed]
- Bauché, F.; Fouchard, M.H.; Jégou, B. Antioxidant system in rat testicular cells. FEBS Lett. 1994, 349, 392–396. [Google Scholar] [CrossRef]
- Yoganathan, T.; Eskild, W.; Hansson, V. Investigation of detoxification capacity of rat testicular germ cells and sertoli cells. Free Radic. Biol. Med. 1989, 7, 355–359. [Google Scholar] [CrossRef]
- Gu, W.; Hecht, N.B. Developmental expression of glutathione peroxidase, catalase, and manganese superoxide dismutase mRNAs during spermatogenesis in the mouse. J. Androl. 1996, 17, 256–262. [Google Scholar] [CrossRef]
- Baek, I.J.; Seo, D.S.; Yon, J.M.; Lee, S.R.; Jin, Y.; Nahm, S.S.; Jeong, J.H.; Choo, Y.K.; Kang, J.K.; Lee, B.J.; et al. Tissue expression and cellular localization of phospholipid hydroperoxide glutathione peroxidase (PHGPx) mRNA in male mice. J. Mol. Histol. 2007, 38, 237–244. [Google Scholar] [CrossRef]
- Oberley, T.D.; Oberley, L.W.; Slattery, A.F.; Lauchner, L.J.; Elwell, J.H. Immunohistochemical localization of antioxidant enzymes in adult Syrian hamster tissues and during kidney development. Am. J. Pathol. 1990, 137, 199–214. [Google Scholar]
- Mruk, D.D.; Silvestrini, B.; Mo, M.Y.; Cheng, C.Y. Antioxidant superoxide dismutase-a review: Its function, regulation in the testis, and role in male fertility. Contraception 2002, 65, 305–311. [Google Scholar] [CrossRef]
- Zini, A.; Schlegel, P.N. Catalase mRNA expression in the male rat reproductive tract. J. Androl. 1996, 17, 473–480. [Google Scholar] [CrossRef]
- Fazeli, F.; Salimi, S. Correlation of seminal plasma total antioxidant capacity and malondialdehyde levels with sperm parameters in men with idiopathic infertility. Avicenna J. Med. Biochem. 2016, 4, 4. [Google Scholar] [CrossRef][Green Version]
- Kawakami, E.; Kuroda, D.; Hori, T.; Tsutsui, T. Changes in the plasma testosterone level and testicular superoxide dismutase activity of 5 azoospermic beagles after GnRH analogue injections. J. Vet. Med. Sci. 2007, 69, 561–562. [Google Scholar] [CrossRef] [PubMed][Green Version]
- Kawakami, E.; Takemura, A.; Sakuma, M.; Takano, M.; Hirano, T.; Hori, T.; Tsutsui, T. Superoxide dismutase and catalase activities in the seminal plasma of normozoospermic and asthenozoospermic Beagles. J. Vet. Med. Sci 2007, 69, 133–136. [Google Scholar] [CrossRef] [PubMed][Green Version]
- Shamsi, M.B.; Venkatesh, S.; Tanwar, M.; Talwar, P.; Sharma, R.K.; Dhawan, A.; Kumar, R.; Gupta, N.P.; Malhotra, N.; Singh, N.; et al. DNA integrity and semen quality in men with low seminal antioxidant levels. Mutat. Res. 2009, 665, 29–36. [Google Scholar] [CrossRef]
- Imai, H.; Suzuki, K.; Ishizaka, K.; Ichinose, S.; Oshima, H.; Okayasu, I.; Emoto, K.; Umeda, M.; Nakagawa, Y. Failure of the expression of phospholipid hydroperoxide glutathione peroxidase in the spermatozoa of human infertile males. Biol. Reprod. 2001, 64, 674–683. [Google Scholar] [CrossRef]
- Matzkin, M.E.; Valchi, P.; Riviere, E.; Rossi, S.P.; Tavalieri, Y.E.; Muñoz de Toro, M.M.; Mayerhofer, A.; Bartke, A.; Calandra, R.S.; Frungieri, M.B. Aging in the Syrian hamster testis: Inflammatory-oxidative status and the impact of photoperiod. Exp. Gerontol. 2019, 124, 110649. [Google Scholar] [CrossRef] [PubMed]
- Marti, E.; Mara, L.; Marti, J.I.; Muiño-Blanco, T.; Cebrián-Pérez, J.A. Seasonal variations in antioxidant enzyme activity in ram seminal plasma. Theriogenology 2007, 67, 1446–1454. [Google Scholar] [CrossRef]
- Ibrahim, M.A.; Abd-El-Rahman, H.M.; El-Metwally, E. Studies on some biochemical, hormonal, histopathological and seminal characters in relation to rutting and non-rutting season in camels. Alexandria J. Vet. Sci. 2016, 49, 189–202. [Google Scholar] [CrossRef]
- Dziekońska, A.; Fraser, L.; Koziorowska-Gilun, M.; Strzeżek, J.; Koziorowski, M.; Kordan, W. Seasonal-dependent variations in metabolic status of spermatozoa and antioxidant enzyme activity in the reproductive tract fluids of wild boar/domestic pig hybrids. Pol. J. Vet. Sci. 2014, 17, 307–313. [Google Scholar] [CrossRef]
- Kowalewski, M.P.; Schuler, G.; Taubert, A.; Engel, E.; Hoffmann, B. Expression of cyclooxygenase 1 and 2 in the canine corpus luteum during diestrus. Theriogenology 2006, 66, 1423–1430. [Google Scholar] [CrossRef]
- Gram, A.; Boos, A.; Kowalewski, M.P. Uterine and placental expression of canine oxytocin receptor during pregnancy and normal and induced parturition. Reprod. Domest. Anim. 2014, 49, 41–49. [Google Scholar] [CrossRef] [PubMed]
- Kowalewski, M.P.; Meyer, A.; Hoffmann, B.; Aslan, S.; Boos, A. Expression and functional implications of peroxisome proliferator-activated receptor gamma (PPARγ) in canine reproductive tissues during normal pregnancy and parturition and at antiprogestin induced abortion. Theriogenology 2011, 75, 877–886. [Google Scholar] [CrossRef]
- Liman, N.; Ateş, N. Abundances and localizations of Claudin-1 and Claudin-5 in the domestic cat (Felis catus) ovary during the estrous cycle. Anim. Reprod. Sci. 2020, 212, 106247. [Google Scholar] [CrossRef] [PubMed]
- Soares, J.M.; Avelar, G.F.; França, L.R. The seminiferous epithelium cycle and its duration in different breeds of dog (Canis familiaris). J. Anat. 2009, 215, 462–471. [Google Scholar] [CrossRef] [PubMed]
- Reyes, J.; Farias, J.; Henríquez-Olavarrieta, S.; Madrid, E.; Parraga, M.; Zepeda, A.; Moreno, R. The hypoxic testicle: Physiology and pathophysiology. Oxid. Med. Cell. Longev. 2012, 2012, 929285. [Google Scholar] [CrossRef]
- Morimoto, H.; Iwata, K.; Ogonuki, N.; Inoue, K.; Atsuo, O.; Kanatsu-Shinohara, M.; Morimoto, T.; Yabe-Nishimura, C.; Shinohara, T. ROS are required for mouse spermatogonial stem cell self-renewal. Cell Stem Cell 2013, 12, 774–786. [Google Scholar] [CrossRef]
- Peltola, V.; Huhtaniemi, I.; Metsa-Ketela, T.; Ahotupa, M. Induction of lipid peroxidation during steroidogenesis in the rat testis. Endocrinology 1996, 137, 105–112. [Google Scholar] [CrossRef]
- Zini, A.; Schlegel, P.N. Effect of hormonal manipulation on mRNA expression of antioxidant enzymes in the rat testis. J. Urol. 2003, 169, 767–771. [Google Scholar] [CrossRef]
- Carvajal-Serna, M.; Fatnassi, M.; Torres-Ruda, F.; Cardozo, J.A.; Grajales-Lombana, H.; Hammadi, M.; Abecia, J.A.; Muiño-Blanco, T.; Pérez-Pe, R.; Cebrián-Pérez, J.Á.; et al. Vasectomy and photoperiodic regimen modify the protein profile, hormonal content and antioxidant enzymes activity of ram seminal plasma. Int. J. Mol. Sci. 2020, 21, 8063. [Google Scholar] [CrossRef]
- Körber, H.; Goericke-Pesch, S. Expression of prostaglandin (PG) D synthase lipocalin and hematopoietic type and PG D receptor during restart of spermatogenesis following downregulation using a slow release GnRH agonist implant in the dog. Cell Tissue Res. 2019, 378, 359–370. [Google Scholar] [CrossRef]











| Target Gene | Primer and Probe Sequences or Assay ID | Amplicon Length | Accession Number |
|---|---|---|---|
| GAPDH | Forward: 5′-GCT GCC AAA TAT GAC ATC A-3′ Reverse: 5′-GTA GCC CAG GAT GCC TTT GAG-3′ TaqMan probe: 5′-TCC CTC CGA TGC CTG CTT CAC TAC CTT-3′ | 75 bp | AB028142.1 |
| Cyclophyllin A | Cf03986523_gH | 92 bp | XM_843327.1 |
| SOD 1 | Cf02624276_m1 | 111 bp | NM_001003035.1 |
| SOD 2 | Cf02640459_g1 | 96 bp | XM_533463.7 |
| CAT | Cf02621930_g1 | 109 bp | NM_001002984.1 |
| GPx1 | Cf02731517_s1 | 81 bp | NM_001115119.1 |
| GSR | Cf02639488_m1 | 94 bp | XM_014120078.3 |
| Antigen | Company | Catalog Number | Species/Type | Dilution |
|---|---|---|---|---|
| SOD 1 | Santa Cruz Biotechnology | sc-101523 | Mouse monoclonal | 1:200 |
| SOD 2 | Santa Cruz Biotechnology | sc-137254 | Mouse monoclonal | 1:100 |
| CAT | Santa Cruz Biotechnology | sc-271803 | Mouse monoclonal | 1:100 |
| GPx1 | Santa Cruz Biotechnology | sc-133160 | Mouse monoclonal | 1:100 |
| GSR | Santa Cruz Biotechnology | sc-133245 | Mouse monoclonal | 1:100 |
Publisher’s Note: MDPI stays neutral with regard to jurisdictional claims in published maps and institutional affiliations. |
© 2022 by the authors. Licensee MDPI, Basel, Switzerland. This article is an open access article distributed under the terms and conditions of the Creative Commons Attribution (CC BY) license (https://creativecommons.org/licenses/by/4.0/).
Share and Cite
Gram, D.Y.; Sexton, B.; Liman, N.; Müller, L.; Abay, M.; Gram, A.; Balogh, O. Testicular Expression of Antioxidant Enzymes and Changes in Response to a Slow-Release Deslorelin Implant (Suprelorin® 4.7 mg) in the Dog. Animals 2022, 12, 2343. https://doi.org/10.3390/ani12182343
Gram DY, Sexton B, Liman N, Müller L, Abay M, Gram A, Balogh O. Testicular Expression of Antioxidant Enzymes and Changes in Response to a Slow-Release Deslorelin Implant (Suprelorin® 4.7 mg) in the Dog. Animals. 2022; 12(18):2343. https://doi.org/10.3390/ani12182343
Chicago/Turabian StyleGram, Duygu Yaman, Brigid Sexton, Narin Liman, Linda Müller, Murat Abay, Aykut Gram, and Orsolya Balogh. 2022. "Testicular Expression of Antioxidant Enzymes and Changes in Response to a Slow-Release Deslorelin Implant (Suprelorin® 4.7 mg) in the Dog" Animals 12, no. 18: 2343. https://doi.org/10.3390/ani12182343
APA StyleGram, D. Y., Sexton, B., Liman, N., Müller, L., Abay, M., Gram, A., & Balogh, O. (2022). Testicular Expression of Antioxidant Enzymes and Changes in Response to a Slow-Release Deslorelin Implant (Suprelorin® 4.7 mg) in the Dog. Animals, 12(18), 2343. https://doi.org/10.3390/ani12182343

