Immuno-Neutralization of Follistatin Bioactivity Enhances the Developmental Potential of Ovarian Pre-hierarchical Follicles in Yangzhou Geese
Abstract
Simple Summary
Abstract
1. Introduction
2. Materials and Methods
2.1. Ethics
2.2. Immunogen
2.3. Animal Experiments
2.4. Tissue Collection
2.5. RNA Isolation, cDNA Synthesis, and Quantitative Real-Time PCR
2.6. Statistical Analysis
3. Results
3.1. Expression Pattern of Goose Fst Gene in the Granulosa Layer of Ovarian Follicles
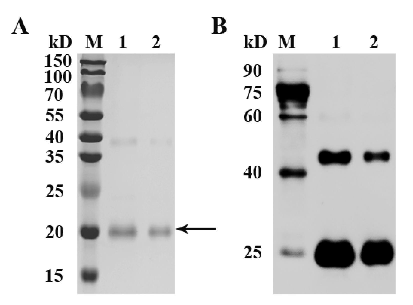
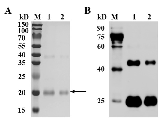
3.2. Expression of Recombinant Goose FST Protein
3.3. Antibody Titer, Egg Production and Ovarian Follicular Development
3.4. Gene Expression of Gnrh1, Gnih, Fshb, and Lhb in Hypothalamus and Pituitary Gland Tissues
3.5. Gene Expression of Lhr, Star, Cyp11a1, Hsd3b, Ocln, and Vldlr in the Granulosa Layer of Ovarian Follicles
3.6. Gene Expression of Smad and Fshr in the Granulosa Layer of Ovarian Follicles
4. Discussion
5. Conclusions
Author Contributions
Funding
Institutional Review Board Statement
Informed Consent Statement
Data Availability Statement
Conflicts of Interest
References
- Ueno, N.; Ling, N.; Ying, S.Y.; Esch, F.; Shimasaki, S.; Guillemin, R. Isolation and partial characterization of follistatin: A single-chain Mr 35,000 monomeric protein that inhibits the release of follicle-stimulating hormone. Proc. Natl. Acad. Sci. USA 1987, 84, 8282–8286. [Google Scholar] [CrossRef]
- Robertson, D.M.; Klein, R.; de Vos, F.L.; McLachlan, R.I.; Wettenhall, R.E.; Hearn, M.T.; Burger, H.G.; de Kretser, D.M. The isolation of polypeptides with FSH suppressing activity from bovine follicular fluid which are structurally different to inhibin. Biochem. Biophys. Res. Commun. 1987, 149, 744–749. [Google Scholar] [CrossRef]
- Nakamura, T.; Takio, K.; Eto, Y.; Shibai, H.; Titani, K.; Sugino, H. Activin-Binding Protein from Rat Ovary Is Follistatin. Science 1990, 247, 836–838. [Google Scholar] [CrossRef] [PubMed]
- de Winter, J.P.; ten Dijke, P.; de Vries, C.J.; van Achterberg, T.A.; Sugino, H.; de Waele, P.; Huylebroeck, D.; Verschueren, K.; van den Eijnden-van Raaij, A.J. Follistatins neutralize activin bioactivity by inhibition of activin binding to its type II receptors. Mol. Cell. Endocrinol. 1996, 116, 105–114. [Google Scholar] [CrossRef]
- Thompson, T.B.; Lerch, T.F.; Cook, R.W.; Woodruff, T.K.; Jardetzky, T.S. The Structure of the Follistatin:Activin Complex Reveals Antagonism of Both Type I and Type II Receptor Binding. Dev. Cell 2005, 9, 535–543. [Google Scholar] [CrossRef] [PubMed]
- Lin, S.-Y.; Morrison, J.R.; Phillips, D.J.; De Kretser, D.M. Regulation of ovarian function by the TGF-beta superfamily and follistatin. Reproduction 2003, 126, 133–148. [Google Scholar] [CrossRef] [PubMed]
- Nakatani, A.; Shimasaki, S.; DePaolo, L.V.; Erickson, G.F.; Ling, N. Cyclic Changes in Follistatin Messenger Ribonucleic Acid and its Protein in the Rat Ovary During the Estrous Cycle. Endocrinology 1991, 129, 603–611. [Google Scholar] [CrossRef] [PubMed]
- Shukovski, L.; Zhang, Z.W.; Michel, U.; Findlay, J.K. Expression of mRNA for follicle-stimulating hormone suppressing protein in ovarian tissues of cows. Reproduction 1992, 95, 861–867. [Google Scholar] [CrossRef][Green Version]
- Roberts, V.J.; Barth, S.; El-Roeiy, A.; Yen, S.S. Expression of inhibin/activin subunits and follistatin messenger ribonucleic acids and proteins in ovarian follicles and the corpus luteum during the human menstrual cycle. J. Clin. Endocrinol. Metab. 1993, 77, 1402–1410. [Google Scholar] [CrossRef] [PubMed]
- Lindsell, C.E.; Misra, V.; Murphy, B.D. Regulation of follistatin gene expression in the ovary and in primary cultures of porcine granulosa cells. Reproduction 1994, 100, 591–597. [Google Scholar] [CrossRef] [PubMed]
- Tisdall, D.J.; Hudson, N.; Smith, P.; McNatty, K.P. Localization of ovine follistatin and α and βA inhibin mRNA in the sheep ovary during the oestrous cycle. J. Mol. Endocrinol. 1994, 12, 181–193. [Google Scholar] [CrossRef] [PubMed]
- Braw-Tal, R. Expression of mRNA for follistatin and inhibin/activin subunits during follicular growth and atresia. J. Mol. Endocrinol. 1994, 13, 253–264. [Google Scholar] [CrossRef] [PubMed]
- Matzuk, M.M.; Lu, N.; Vogel, H.; Sellheyer, K.; Roop, D.R.; Bradley, A. Multiple defects and perinatal death in mice deficient in follistatin. Nature 1995, 374, 360–363. [Google Scholar] [CrossRef] [PubMed]
- Guo, Q.; Kumar, T.R.; Woodruff, T.; Hadsell, L.A.; DeMayo, F.J.; Matzuk, M.M. Overexpression of Mouse Follistatin Causes Reproductive Defects in Transgenic Mice. Mol. Endocrinol. 1998, 12, 96–106. [Google Scholar] [CrossRef] [PubMed]
- Singh, J.; Brogliattil, G.M.; Christensen, C.R.; Adams, G.P. Active immunization against follistatin and its effect on FSH, follicle development and superovulation in heifers. Theriogenology 1999, 52, 49–66. [Google Scholar] [CrossRef]
- Davis, A.J.; Johnson, P.A. Expression Pattern of Messenger Ribonucleic Acid for Follistatin and the Inhibin/Activin Subunits during Follicular and Testicular Development in Gallus domesticus1. Biol. Reprod. 1998, 59, 271–277. [Google Scholar] [CrossRef] [PubMed]
- Fu, Y.; Niu, D.; Ruan, H.; Yu, X.P.; Chen, G.; He, G.Q.; Yang, P.X. Expression pattern of mRNA for follistatin and in-hibin/activin beta B-subunit during follicular and testicular development in duck. Acta Genet. Sin. 2001, 28, 808–815. (In Chinese) [Google Scholar] [PubMed]
- Chen, R.; Dai, Z.C.; Zhu, H.X.; Lei, M.M.; Li, Y.; Shi, Z.D. Active immunization against AMH reveals its inhibitory role in the development of pre-ovulatory follicles in Zhedong White geese. Theriogenology 2020, 144, 185–193. [Google Scholar] [CrossRef] [PubMed]
- Huang, Y.M.; Shi, Z.D.; Liu, Z.; Liu, Y.; Li, X.W. Endocrine regulations of reproductive seasonality, follicular development and incubation in Magang geese. Anim. Reprod. Sci. 2008, 104, 344–358. [Google Scholar] [CrossRef] [PubMed]
- Zhu, H.; Shao, X.; Chen, Z.; Wei, C.; Lei, M.; Ying, S.; Yu, J.; Shi, Z. Induction of out-of-season egg laying by artificial photoperiod in Yangzhou geese and the associated endocrine and molecular regulation mechanisms. Anim. Reprod. Sci. 2017, 180, 127–136. [Google Scholar] [CrossRef] [PubMed]
- Livak, K.J.; Schmittgen, T.D. Analysis of relative gene expression data using real-time quantitative PCR and the 2−ΔΔCT Method. Methods 2001, 25, 402–408. [Google Scholar] [CrossRef] [PubMed]
- Onagbesan, O.; Bruggeman, V.; Decuypere, E. Intra-ovarian growth factors regulating ovarian function in avian species: A review. Anim. Reprod. Sci. 2009, 111, 121–140. [Google Scholar] [CrossRef] [PubMed]
- Knight, P.G.; Glister, C. Local roles of TGF-β superfamily members in the control of ovarian follicle development. Anim. Reprod. Sci. 2003, 78, 165–183. [Google Scholar] [CrossRef]
- Johnson, A.L.; Bridgham, J.T.; Woods, D.C. Cellular Mechanisms and Modulation of Activin A- and Transforming Growth Factor β-Mediated Differentiation in Cultured Hen Granulosa Cells1. Biol. Reprod. 2004, 71, 1844–1851. [Google Scholar] [CrossRef]
- Lovell, T.M.; Al-Musawi, S.L.; Gladwell, R.T.; Knight, P.G. Gonadotrophins modulate hormone secretion and steady-state mRNA levels for activin receptors (type I, IIA, IIB) and inhibin co-receptor (betaglycan) in granulosa and theca cells from chicken prehierarchical and preovulatory follicles. Reproduction 2007, 133, 1159–1168. [Google Scholar] [CrossRef] [PubMed]
- Lovell, T.M.; Gladwell, R.T.; Groome, N.P.; Knight, P.G. Ovarian follicle development in the laying hen is accompanied by divergent changes in inhibin A, inhibin B, activin A and follistatin production in granulosa and theca layers. J. Endocrinol. 2003, 177, 45–55. [Google Scholar] [CrossRef] [PubMed]
- Johnson, P.A.; Woodcock, J.R.; Kent, T.R. Effect of activin A and inhibin A on expression of the inhibin/activin β-B-subunit and gonadotropin receptors in granulosa cells of the hen. Gen. Comp. Endocrinol. 2006, 147, 102–107. [Google Scholar] [CrossRef]
- Davis, A.J.; Brooks, C.F.; Johnson, P.A. Activin A and gonadotropin regulation of follicle-stimulating hormone and luteinizing hormone receptor messenger RNA in avian granulosa cells. Biol. Reprod. 2001, 65, 1352–1358. [Google Scholar] [CrossRef] [PubMed]
- Nitta, H.; Mason, J.I.; Bahr, J.M. Localization of 3β-Hydroxysteroid Dehydrogenase in the Chicken Ovarian Follicle Shifts from the Theca Layer to Granulosa Layer with Follicular Maturation. Biol. Reprod. 1993, 48, 110–116. [Google Scholar] [CrossRef] [PubMed]
- Li, Z.; Johnson, A.L. Regulation of P450 Cholesterol Side-Chain Cleavage Messenger Ribonucleic Acid Expression and Progesterone Production in Hen Granulosa Cells. Biol. Reprod. 1993, 49, 463–469. [Google Scholar] [CrossRef]
- Johnson, A.L.; Bridgham, J.T.; Wagner, B. Characterization of a Chicken Luteinizing Hormone Receptor (cLH-R) Complementary Deoxyribonucleic Acid, and Expression of cLH-R Messenger Ribonucleic Acid in the Ovary. Biol. Reprod. 1996, 55, 304–309. [Google Scholar] [CrossRef] [PubMed]
- Bauer, M.P.; Bridgham, J.T.; Langenau, D.M.; Johnson, A.L.; Goetz, F.W. Conservation of steroidogenic acute regulatory (StAR) protein structure and expression in vertebrates. Mol. Cell. Endocrinol. 2000, 168, 119–125. [Google Scholar] [CrossRef]
- Schneider, W.J. Lipid transport to avian oocytes and to the developing embryo. J. Biomed. Res. 2016, 30, 174–180. [Google Scholar] [CrossRef] [PubMed]
- Shen, X.; Steyrer, E.; Retzek, H.; Sanders, E.J.; Schneider, W.J. Chicken oocyte growth: Receptor-mediated yolk deposition. Cell Tissue Res. 1993, 272, 459–471. [Google Scholar] [CrossRef]
- Hu, S.; Liu, H.; Pan, Z.; Xia, L.; Dong, X.; Li, L.; Xu, F.; He, H.; Wang, J. Molecular cloning, expression profile and transcriptional modulation of two splice variants of very low density lipoprotein receptor during ovarian follicle development in geese (Anser cygnoide). Anim. Reprod. Sci. 2014, 149, 281–296. [Google Scholar] [CrossRef]
- Lin, X.; Ma, Y.; Qian, T.; Yao, J.; Mi, Y.; Zhang, C. Basic fibroblast growth factor promotes prehierarchical follicle growth and yolk deposition in the chicken. Theriogenology 2019, 139, 90–97. [Google Scholar] [CrossRef]
- Chen, Q.; Wang, Y.; Liu, Z.; Guo, X.; Sun, Y.; Kang, L.; Jiang, Y. Transcriptomic and proteomic analyses of ovarian follicles reveal the role of VLDLR in chicken follicle selection. BMC Genom. 2020, 21, 486. [Google Scholar] [CrossRef]
- Schuster, M.K.; Schmierer, B.; Shkumatava, A.; Kuchler, K. Activin A and Follicle-Stimulating Hormone Control Tight Junctions in Avian Granulosa Cells by Regulating Occludin Expression. Biol. Reprod. 2004, 70, 1493–1499. [Google Scholar] [CrossRef]
- Otsuka, F.; Moore, R.K.; Iemura, S.-I.; Ueno, N.; Shimasaki, S. Follistatin Inhibits the Function of the Oocyte-Derived Factor BMP-15. Biochem. Biophys. Res. Commun. 2001, 289, 961–966. [Google Scholar] [CrossRef]
- Onagbesan, O.M.; Bruggeman, V.; Van As, P.; Tona, K.; Williams, J.; Decuypere, E. BMPs and BMPRs in chicken ovary and effects of BMP-4 and -7 on granulosa cell proliferation and progesterone production in vitro. Am. J. Physiol. Metab. 2003, 285, E973–E983. [Google Scholar] [CrossRef]
- Kim, D.; Ocón-Grove, O.; Johnson, A.L. Bone Morphogenetic Protein 4 Supports the Initial Differentiation of Hen (Gallus gallus) Granulosa Cells. Biol. Reprod. 2013, 88, 161. [Google Scholar] [CrossRef] [PubMed]
- Stephens, C.S.; Johnson, P.A. Bone morphogenetic protein 15 may promote follicle selection in the hen. Gen. Comp. Endocrinol. 2016, 235, 170–176. [Google Scholar] [CrossRef] [PubMed]
- Tumurgan, Z.; Kanasaki, H.; Tumurbaatar, T.; Oride, A.; Okada, H.; Hara, T.; Kyo, S. Role of activin, follistatin, and inhibin in the regulation of Kiss-1 gene expression in hypothalamic cell models. Biol. Reprod. 2019, 101, 405–415. [Google Scholar] [CrossRef] [PubMed]






| Gene Name | Accession Number | Primer Sequences (5′-3′) | Annealing Temperature (°C) | PCR Product (bp) | 
|---|---|---|---|---|
| Fst | XM_013180613.1 | F: CAGCCCGAACTTGAAGTCCA R: TATGCCATCATTCCCGCAGA | 60 | 180 | 
| Vldlr | XM_013198844.1 | F: GGGGCTCATCACTCCAGTCCTTG R: GGCAGTGCAATGGTGTGAGAGAC | 60 | 171 | 
| Smad2 | XM_013183184.1 | F: ACTTATTCAGAGCCTGCGTTC R: TGTAATAGAGGCGCACTCCC | 60 | 223 | 
| Smad3 | XM_013193229.1 | F: CAGCCCTCTATGACCGTGGA R: AGGCACTCAGCAAACACCT | 60 | 170 | 
| Publisher’s Note: MDPI stays neutral with regard to jurisdictional claims in published maps and institutional affiliations. | 
© 2022 by the authors. Licensee MDPI, Basel, Switzerland. This article is an open access article distributed under the terms and conditions of the Creative Commons Attribution (CC BY) license (https://creativecommons.org/licenses/by/4.0/).
Share and Cite
Chen, R.; Yang, P.; Dai, Z.; Liu, J.; Zhu, H.; Lei, M.; Shi, Z. Immuno-Neutralization of Follistatin Bioactivity Enhances the Developmental Potential of Ovarian Pre-hierarchical Follicles in Yangzhou Geese. Animals 2022, 12, 2275. https://doi.org/10.3390/ani12172275
Chen R, Yang P, Dai Z, Liu J, Zhu H, Lei M, Shi Z. Immuno-Neutralization of Follistatin Bioactivity Enhances the Developmental Potential of Ovarian Pre-hierarchical Follicles in Yangzhou Geese. Animals. 2022; 12(17):2275. https://doi.org/10.3390/ani12172275
Chicago/Turabian StyleChen, Rong, Pengxia Yang, Zichun Dai, Jie Liu, Huanxi Zhu, Mingming Lei, and Zhendan Shi. 2022. "Immuno-Neutralization of Follistatin Bioactivity Enhances the Developmental Potential of Ovarian Pre-hierarchical Follicles in Yangzhou Geese" Animals 12, no. 17: 2275. https://doi.org/10.3390/ani12172275
APA StyleChen, R., Yang, P., Dai, Z., Liu, J., Zhu, H., Lei, M., & Shi, Z. (2022). Immuno-Neutralization of Follistatin Bioactivity Enhances the Developmental Potential of Ovarian Pre-hierarchical Follicles in Yangzhou Geese. Animals, 12(17), 2275. https://doi.org/10.3390/ani12172275
 
        
 
       