Hematology, Ultrastructure and Morphology of Blood Cells in Rufous-Winged Buzzards (Butastur liventer) from Thailand
Simple Summary
Abstract
1. Introduction
2. Materials and Methods
2.1. Sample Collection and Managements
2.2. Hematologic Values
2.3. Blood Cell Morphology and Morphometry
2.4. Transmission Electron Microscopy
2.5. Statistical Analysis
3. Results
3.1. Hematologic Values
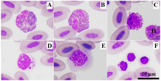
3.2. Blood Cell Characteristics
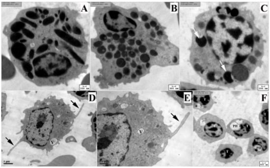
3.3. Ultrastructure of Blood Cells
4. Discussion
5. Conclusions
Author Contributions
Funding
Institutional Review Board Statement
Informed Consent Statement
Data Availability Statement
Acknowledgments
Conflicts of Interest
References
- Ammersbach, M.; Beaufrère, H.; Gionet, R.A.; Tully, T. Laboratory blood analysis in Strigiformes-Part I: Hematologic reference intervals and agreement between manual blood cell counting techniques. Vet. Clin. Pathol. 2015, 44, 94–108. [Google Scholar] [CrossRef] [PubMed]
- Buechley, E.R.; Santangeli, A.; Girardello, M.; Neate-Clegg, M.H.C.; Oleyar, D.; McClure, C.J.W.; Şekercioğlu, Ç.H. Global raptor research and conservation priorities: Tropical raptors fall prey to knowledge gaps. Divers. Distrib. 2019, 25, 856–869. [Google Scholar] [CrossRef]
- Cafarchia, C.; Romito, D.; Iatta, R.; Camarda, A.; Montagna, M.T.; Otranto, D. Role of birds of prey as carriers and spreaders of Cryptococcus neoformans and other zoonotic yeasts. Med. Mycol. 2006, 44, 485–492. [Google Scholar] [CrossRef] [PubMed]
- Sala, A.; Taddei, S.; Santospirito, D.; Sandr, C.; Magnone, W.; Cabassi, C.S. Antibiotic resistance in conjunctival and enteric bacterial flora in raptors housed in a zoological garden. Vet. Med. Sci. 2016, 2, 239–245. [Google Scholar] [CrossRef]
- BCST. Checklist Thai Birds. 2020. Available online: https://www.bcst.or.th/report-archives/ (accessed on 1 April 2022).
- IUCN. The IUCN Red List of Threatend Speceis. Version 2021-3. Available online: https://www.iucnredlist.org (accessed on 1 April 2022).
- Pornpanom, P.; Kasorndocbau, C.; Lertwatcharasarakul, P.; Salakij, C. Prevalence and genetic diversity of Haemoproteus and Plasmodium in raptors from Thailand: Data from rehabilitation center. Int. J. Parasitol. Parasites. Wild. 2021, 16, 75–82. [Google Scholar] [CrossRef]
- Pornpanom, P.; Chagas, C.R.F.; Lertwatcharasarakul, P.; Kasorndorkbua, C.; Valkiūnas, G.; Salakij, C. Molecular prevalence and phylogenetic relationship of Haemoproteus and Plasmodium parasites of owls in Thailand: Data from a rehabilitation centre. Int. J. Parasitol. Parasites. Wild. 2019, 9, 248–257. [Google Scholar] [CrossRef]
- Carisch, L.; Stirn, M.; Hatt, J.M.; Federer, K.; Hofmann-Lehmann, R.; Riond, B. White blood cell count in birds: Evaluation of a commercially available method. BMC Vet. Res. 2019, 15, 93. [Google Scholar] [CrossRef]
- Beaufrère, H.; Ammersbach, M.; Tully, T.N., Jr. Complete blood cell count in Psittaciformes by using high-throughput image cytometry: A pilot study. J. Avian. Med. Surg. 2013, 27, 211–217. [Google Scholar] [CrossRef]
- Salakij, C.; Kasorndorkbua, C.; Pornpanom, P.; Salakij, J.; Jakthong, P. Quantitative and qualitative characteristics of blood cells in black-shouldered, Brahminy, and black kites. Vet. Clin. Pathol. 2019, 48, 19–30. [Google Scholar] [CrossRef]
- Salakij, C.; Kasorndorkbua, C.; Salakij, J.; Suwannasaeng, P.; Jakthong, P. Quantitative and qualitative morphologic, cytochemical and ultrastructural characteristics of blood cells in the Crested Serpent eagle and Shikra. Jpn. J. Vet. Res. 2015, 63, 95–105. [Google Scholar] [CrossRef]
- Nazifi, S.; Nabinejad, A.; Sepehrimanesh, M.; Poorbaghi, S.L.; Farshneshani, F.; Rahsepar, M. Haematology and serum biochemistry of golden eagle (Aquila chrysaetos) in Iran. Comp. Clin. Pathol. 2008, 17, 197–201. [Google Scholar] [CrossRef]
- Oliveira, M.J.; Nascimento, I.A.; Ribeiro, V.O.; Cortes, L.A.; Fernandes, R.D.; Santos, L.C.; Moraes, W.; Cubas, Z.S. Haematological values for captive harpy eagle (Harpia harpyja). Pesq. Vet. Bras 2014, 34, 805–809. [Google Scholar] [CrossRef]
- Polo, F.J.; Celdrán, J.F.; Peinado, V.I.; Viscor, G.; Palomeque, J. Hematological values for four species of birds of prey. Condor 1992, 94, 1007–1013. [Google Scholar] [CrossRef]
- Bowerman, W.W.; Stickle, J.E.; Giesy, J.P. Hematology and serum chemistries of nestling bald eagles (Haliaeetus leucocephalus) in the lower peninsula of MI, USA. Chemosphere 2000, 41, 1575–1579. [Google Scholar] [CrossRef]
- Spagnolo, V.; Crippa, V.; Marzia, A.; Alberti, I.; Sartorelli, P. Hematologic, biochemical, and protein electrophoretic values in captive tawny owls (Strix aluco). Vet. Clin. Pathol. 2008, 37, 225–228. [Google Scholar] [CrossRef]
- Friedrichs, K.R.; Harr, K.E.; Freeman, K.P.; Szladovits, B.; Walton, R.M.; Barnhart, K.F.; Blanco-Chavez, J. ASVCP reference interval guidelines: Determination of de novo reference intervals in veterinary species and other related topics. Vet. Clin. Pathol. 2012, 41, 441–453. [Google Scholar] [CrossRef]
- Lertwatcharasarakul, P.; Salakij, C.; Prasopsom, P.; Kasorndocbau, C.; Jakthong, P.; Santavakul, M.; Suwanasaeng, P.; Ploypan, R. Molecular and morphological analyses of Leucocytozoon parasites (Haemosporida: Leucocytozoidae) in raptors from Thailand. Acta Parasitol. 2021, 66, 1406–1416. [Google Scholar] [CrossRef]
- Pornpanom, P.; Salakij, C.; Prasopsom, P.; Lertwatcharasarakul, P.; Kasorndorkbua, C.; Santavakul, M. Morphological and molecular characterization of avian trypanosomes in raptors from Thailand. Parasitol. Res. 2019, 118, 2419–2429. [Google Scholar] [CrossRef]
- Jones, M.P. Avian Hematology. Clin. Lab. Med. 2015, 35, 51–61. [Google Scholar] [CrossRef]
- Salakij, C.; Pornpanom, P.; Lertwatcharasarakul, P.; Kasorndorkbua, C.; Salakij, J. Haemoproteus in barn and collared scops owls from Thailand. J. Vet. Sci. 2018, 19, 280–289. [Google Scholar] [CrossRef]
- Christopher, M.M.; Shooshtari, M.P.; Levengood, J.M. Assessment of erythrocyte morphologic abnormalities in mallards with experimentally induced zinc toxicosis. AJVR 2004, 65, 440–446. [Google Scholar] [CrossRef]
- Salakij, C.; Kasorndorkbua, C.; Lertwatcharasarakul, P.; Salakij, J. Ultra-structure of blood cells and molecular characteristics of Haemoproteus sp. in Blyth’s hawk eagle. Comp. Clin. Pathol. 2015, 24, 1293–1299. [Google Scholar] [CrossRef]
- Spagnolo, V.; Crippa, V.; Marzia, A.; Sartorelli, P. Reference intervals for hematologic and biochemical constituents and protein electrophoretic fractions in captive common buzzards (Buteo buteo). Vet. Clin. Pathol. 2006, 35, 82–87. [Google Scholar] [CrossRef]
- Salakij, C.; Salakij, J.; Rochanapat, N.; Pitakkingthong, D. Hematology, morphology and cytochemistry of blood cells in lesser adjutant (Leptoptilos javanicus) and greater adjutant (Leptoptilos dubius). Agr. Nat. Resour. 2004, 38, 400–408. [Google Scholar]



| Blood Parasites | KURRU Code a | GenBank No. | PCV (L/L) | Hb (g/L) | RBC (1012/L) |
|---|---|---|---|---|---|
| Haemoproteus sp. b | R14 | MZ502239 | 0.22 | 7.2 | 1.54 |
| KU306 | MZ502240 | 0.39 | 12.5 | 2.61 | |
| Plasmodium sp. b | KU410 | MZ502241 | 0.40 | 9.4 | 3.52 |
| Analytes | Unit | Mean | SD | Median | Min | Max |
|---|---|---|---|---|---|---|
| Rufous-winged buzzard (n = 12) | ||||||
| PCV | L/L | 0.39 | 0.0 | 0.38 | 0.32 | 0.46 |
| Hb | g/L | 124.6 | 16.8 | 125.0 | 92.0 | 153.0 |
| RBC | 1012/L | 2.31 | 0.6 | 2.34 | 1.31 | 3.08 |
| MCV | fL | 168 | 49.7 | 147 | 106 | 275 |
| MCH | pg | 58 | 20.3 | 50 | 34 | 99 |
| MCHC | g/dL | 34.4 | 3.8 | 33.7 | 27.9 | 42.0 |
| WBC | 109/L | 14.27 | 3.5 | 14.06 | 8.23 | 20.37 |
| Heterophils | 109/L | 6.63 | 3.2 | 6.31 | 2.65 | 11.61 |
| % | 45 | 14.3 | 46 | 18 | 64 | |
| Eosinophils | 109/L | 1.98 | 1.2 | 1.53 | 0.74 | 4.86 |
| % | 14 | 8.8 | 11 | 6 | 33 | |
| Basophils | 109/L | 0.36 | 0.3 | 0.34 | 0.00 | 1.21 |
| % | 3 | 2.1 | 2 | 0 | 7 | |
| Lymphocytes | 109/L | 3.55 | 1.4 | 3.36 | 1.39 | 5.74 |
| % | 26 | 10.0 | 25 | 8 | 45 | |
| Monocytes | 109/L | 1.76 | 0.8 | 1.77 | 0.38 | 3.13 |
| % | 13 | 5.6 | 12 | 3 | 21 | |
| Thrombocytes | /100 WBCs | 248 | 63.7 | 240 | 165 | 347 |
| Reticulocytes | ||||||
| Punctate | % | 42.8 | 26.4 | 58.0 | 9.0 | 69.0 |
| Aggregate | % | 19.2 | 9.3 | 18.9 | 3.6 | 33.0 |
| TS | g/L | 49.2 | 5.3 | 50.0 | 40.0 | 56.0 |
| Fibrinogen | g/L | 2.6 | 1.3 | 2.0 | 1.0 | 4.0 |
| Blood Cells | Mean ± SD | Min–Max |
|---|---|---|
| Red blood cells (250 cells) | ||
| Length (µm) | 12.21 ± 0.6 | 10.20–14.13 |
| Width (µm) | 6.95 ± 0.4 | 5.96–8.25 |
| Area (µm2) | 71.11 ± 5.5 | 57.75–88.23 |
| White blood cells diameter (150 cells) | ||
| Heterophils (µm) | 11.17 ± 0.6 | 9.69–12.7 |
| Eosinophils (µm) | 11.15 ± 0.6 | 10.00–12.48 |
| Basophils (µm) | 9.06 ± 1.0 | 6.45–11.23 |
| Lymphocytes (µm) | 8.00 ± 0.9 | 5.59–9.93 |
| Monocytes (µm) | 12.66 ± 0.8 | 10.93–14.68 |
Publisher’s Note: MDPI stays neutral with regard to jurisdictional claims in published maps and institutional affiliations. |
© 2022 by the authors. Licensee MDPI, Basel, Switzerland. This article is an open access article distributed under the terms and conditions of the Creative Commons Attribution (CC BY) license (https://creativecommons.org/licenses/by/4.0/).
Share and Cite
Pornpanom, P.; Kasorndorkbua, C.; Lertwatcharasalakul, P.; Salakij, C. Hematology, Ultrastructure and Morphology of Blood Cells in Rufous-Winged Buzzards (Butastur liventer) from Thailand. Animals 2022, 12, 1988. https://doi.org/10.3390/ani12151988
Pornpanom P, Kasorndorkbua C, Lertwatcharasalakul P, Salakij C. Hematology, Ultrastructure and Morphology of Blood Cells in Rufous-Winged Buzzards (Butastur liventer) from Thailand. Animals. 2022; 12(15):1988. https://doi.org/10.3390/ani12151988
Chicago/Turabian StylePornpanom, Pornchai, Chaiyan Kasorndorkbua, Preeda Lertwatcharasalakul, and Chaleow Salakij. 2022. "Hematology, Ultrastructure and Morphology of Blood Cells in Rufous-Winged Buzzards (Butastur liventer) from Thailand" Animals 12, no. 15: 1988. https://doi.org/10.3390/ani12151988
APA StylePornpanom, P., Kasorndorkbua, C., Lertwatcharasalakul, P., & Salakij, C. (2022). Hematology, Ultrastructure and Morphology of Blood Cells in Rufous-Winged Buzzards (Butastur liventer) from Thailand. Animals, 12(15), 1988. https://doi.org/10.3390/ani12151988

