Comparative Histology of C Thyrocytes in Four Domestic Animal Species: Dog, Pig, Horse, and Cattle
Abstract
Simple Summary
Abstract
1. Introduction
2. Materials and Methods
2.1. Animals and Tissue Collection
2.2. Immunohistochemistry
2.3. C Thyrocytes Scoring
2.4. Statistical Analysis
3. Results
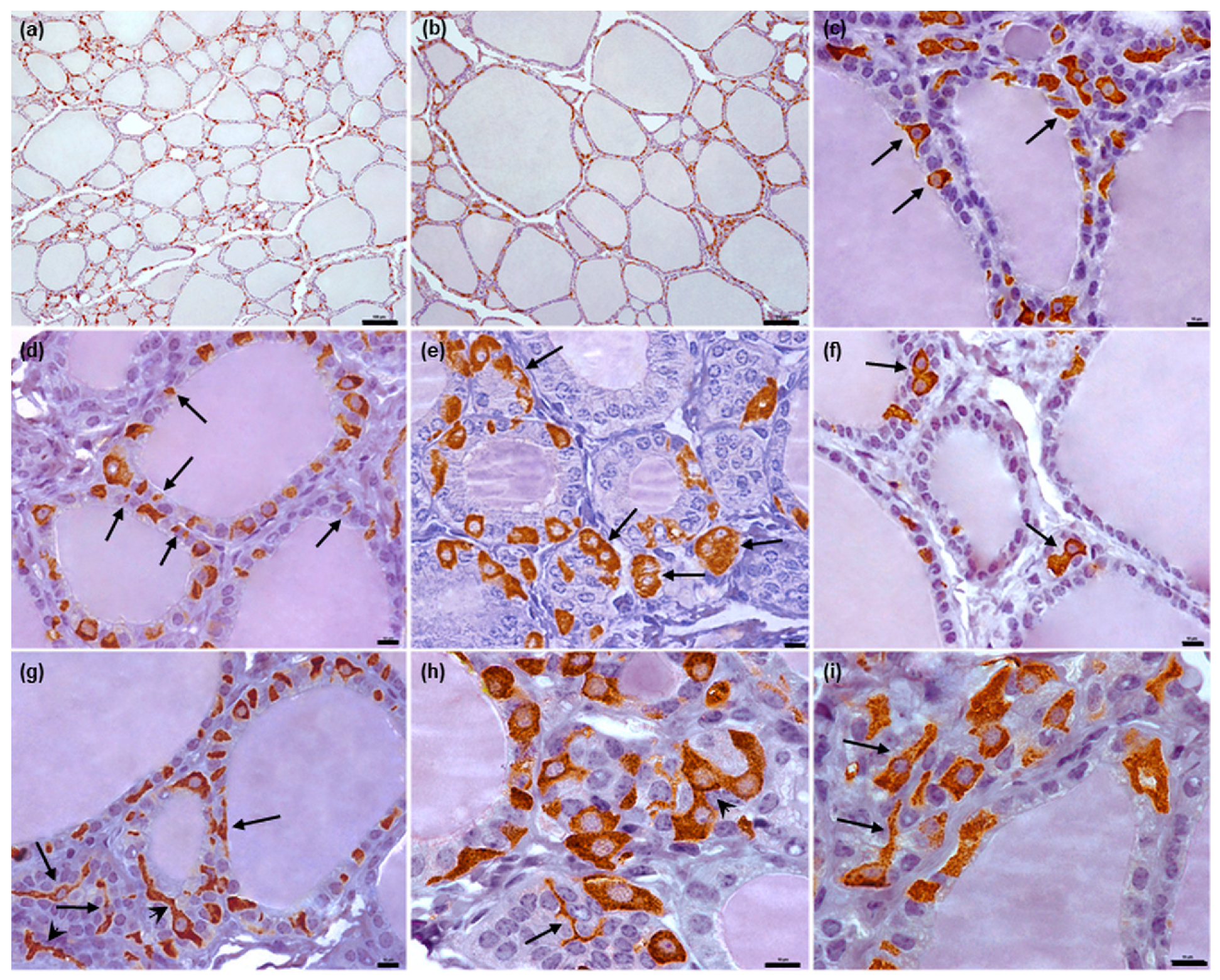
3.1. C Thyrocyte Morphology
3.2. C Thyrocyte Distribution within Thyroid Gland Parenchyma
3.3. Fractions of C Thyrocytes
4. Discussion
4.1. Morphological Characteristic and Distribution Pattern of C Thyrocytes
4.2. Positioning of C Thyrocytes in Relation to Thyroid Follicle Wall
4.3. Distribution of C Thyrocytes within Thyroid Gland Parenchyma
4.4. Number of C Thyrocytes within Thyroid Gland Parenchyma
5. Conclusions
Supplementary Materials
Author Contributions
Funding
Institutional Review Board Statement
Informed Consent Statement
Data Availability Statement
Acknowledgments
Conflicts of Interest
References
- Fernández-Santos, J.M.; Morillo-Bernal, J.; García-Marín, R.; Utrilla, J.C.; Martín-Lacave, I. Paracrine regulation of thyroid-hormone synthesis by C cells. In Thyroid Hormone; Agrawal, N.K., Ed.; IntechOpen: London, UK, 2012; pp. 51–84. [Google Scholar] [CrossRef]
- Kameda, Y. Cellular and molecular events on the development of mammalian thyroid C cells. Dev. Dyn. 2016, 245, 323–341. [Google Scholar] [CrossRef] [PubMed]
- Wolfe, H.J.; Voelkel, E.F.; Tashjian, A.H. Distribution of calcitonin-containing cells in the normal adult human thyroid gland: A correlation of morphology with peptide content. J. Clin. Endocrinol. Metab. 1974, 38, 688–694. [Google Scholar] [CrossRef] [PubMed]
- Sawicki, B. Morphology and histochemistry of thyroid gland C cells of young and adult guinea pigs. Acta Theriol. 1975, 20, 281–296. [Google Scholar] [CrossRef]
- Sawicki, B.; Kuczyński, M. Morphological studies on the C cells of the thyroid of certain rodents. Acta Theriol. 1977, 22, 251–260. [Google Scholar] [CrossRef]
- Zabel, M.; Schäfer, H.; Surdyk, J.; Biela-Jacek, I. Immunocytochemical studies on parafollicular cells of various mammals. Acta Anat. 1988, 131, 222–226. [Google Scholar] [CrossRef]
- Kameda, Y. Immunohistochemical study of C cell follicles in dog thyroid glands. Anat. Rec. 1982, 204, 55–60. [Google Scholar] [CrossRef]
- Kameda, Y.; Ikeda, A. Immunohistochemical study of the C-cell complex of dog thyroid glands with reference to the reactions of calcitonin, C-thyroglobulin, and 19S thyroglobulin. Cell Tissue Res. 1980, 208, 405–415. [Google Scholar] [CrossRef]
- Rost, M.C.; Rost, F.W. Storage granules of thyroid C cells in the dog: A cytochemical and ultrastructural study, in relation to the masked metachromasia reaction. Histochem. J. 1975, 7, 307–320. [Google Scholar] [CrossRef]
- Tsuchiya, T.; Shiomura, Y.; Suzuki, K.; Nagai, H.; Tamate, H. Immunocytochemical study on the C cells in pig thyroid glands. Acta Anat. 1984, 120, 138–141. [Google Scholar] [CrossRef]
- Young, B.A.; Care, A.D.; Duncan, T. Some observations on the light cells of the thyroid gland of the pig in relation to thyrocalcitonin production. J. Anat. 1968, 102, 275–288. [Google Scholar]
- Okada, H.M.; Matsukawa, K.; Ohgiya, N.; Yokota, H.; Taniyama, H.; Yuasa, A. Immunohistochemical demonstration of parafollicular (C) cells in sheep thyroid and parathyroid glands. Nihon Juigaku Zasshi 1990, 52, 879–882. [Google Scholar] [CrossRef] [PubMed][Green Version]
- Sokołowska, J.; Berczyńska, J.; Powęska, A.; Rygiel, D.; Olbrych, K.; Urbanska, K. Immunohistochemical characteristic of C cells in European bison thyroid gland. Folia Histochem. Cytobiol. 2018, 56, 222–230. [Google Scholar] [CrossRef] [PubMed]
- Yanai, T.; Tateyama, S.; Nosaka, D.; Ashizawa, H. Some observations on the parafollicular (C) cells in the equine thyroid. Nihon Juigaku Zasshi 1982, 44, 511–516. [Google Scholar] [CrossRef] [PubMed][Green Version]
- Yoshikawa, H.; Ueki, H.; Muranaka, M.; Oyamada, T.; Yoshikawa, T. Distribution of C cells in thyroids and association with age and sex in racing horses. J. Equine Sci. 2001, 12, 39–45. [Google Scholar] [CrossRef][Green Version]
- Kameda, Y.; Shigemoto, H.; Ikeda, A. Development and cytodifferentiation of C cell complexes in dog fetal thyroids. An immunohistochemical study using anti-calcitonin, anti-C-thyroglobulin and anti-19S thyroglobulin antisera. Cell Tissue Res. 1980, 206, 403–415. [Google Scholar] [CrossRef]
- Leblanc, B.; Parodi, A.L.; Lagadic, M.; Hurtrel, M.; Jobit, C. Immunocytochemistry of canine thyroid tumors. Vet. Pathol. 1991, 28, 370–380. [Google Scholar] [CrossRef]
- Nilsson, M.; Williams, D. On the origin of cells and derivation of thyroid cancer: C cell story revisited. Eur. Thyroid J. 2016, 5, 79–93. [Google Scholar] [CrossRef]
- Fetter, A.W.; Capen, C.C. Ultrastructural evaluation of thyroid parafollicular cells of pigs with naturally occurring atrophic rhinitis. Vet. Pathol. 1970, 7, 171–185. [Google Scholar] [CrossRef]
- Nunez, E.A.; Krook, L.; Whalen, J.P. Effect of calcium depletion and subsequent repletion on parathyroids, parafollicular (C) cells and bone in the growing pig. Cell Tissue Res. 1976, 168, 373–384. [Google Scholar] [CrossRef]
- Igbokwe, C.O.; Ezeasor, D.N. Histological and immunohistochemical changes of the thyroid gland during the foetal and post-natal period of development in indigenous large white crossbred pigs. Bulg. J. Vet. Med. 2015, 18, 313–324. [Google Scholar] [CrossRef]
- Blähser, S. Immunocytochemical demonstration of calcitonin-containing C-cells in the thyroid glands of different mammals. Cell Tissue Res. 1978, 186, 551–558. [Google Scholar] [CrossRef] [PubMed]
- Tanimura, N.; Tateyama, S.; Nosaka, D.; Moritomo, Y.; Yamaguchi, R. Immunohistochemical and electron microscopical detection of parafollicular (C) cells in equine parathyroid glands. Nihon Juigaku Zasshi 1986, 48, 45–52. [Google Scholar] [CrossRef] [PubMed]
- DeCock, H.E.; MacLachlan, N.J. Simultaneous occurrence of multiple neoplasms and hyperplasias in the adrenal and thyroid gland of the horse resembling multiple endocrine neoplasia syndrome: Case report and retrospective identification of additional cases. Vet. Pathol. 1999, 36, 633–636. [Google Scholar] [CrossRef] [PubMed]
- Kuwamura, M.; Shirota, A.; Yamate, J.; Kotani, T.; Ohashi, F.; Sakuma, S. C-cell adenoma containing variously sized thyroid follicles in a horse. J. Vet. Med. Sci. 1998, 60, 387–389. [Google Scholar] [CrossRef] [PubMed][Green Version]
- Piñeyro, P.; Vieson, M.D.; Ramos-Vara, J.A.; Moon-Larson, M.; Saunders, G. Histopathological and immunohistochemical findings of primary and metastatic medullary thyroid carcinoma in a young dog. J. Vet. Sci. 2014, 15, 449–453. [Google Scholar] [CrossRef] [PubMed][Green Version]
- Seimiya, Y.M.; Takahashi, M.; Furukawa, T.; Mizutani, K.; Kimura, K.; Haritani, M. An aged bull with concurrent thyroid C cell carcinoma, adrenal pheochromocytoma and pituitary chromophobe adenoma. J. Vet. Med. Sci. 2009, 71, 225–228. [Google Scholar] [CrossRef][Green Version]
- Yoshikawa, T.; Yoshikawa, H.; Oyamada, T.; Suzuki, K. A follicular adenoma with C-cell hyperplasia in the equine thyroid. Nihon Juigaku Zasshi 1984, 46, 615–623. [Google Scholar] [CrossRef]
- Martin-Lacave, I.; Conde, E.; Montero, C.; Galera-Davidson, H. Quantitative changes in the frequency and distribution of the C-cell population in the rat thyroid gland with age. Cell Tissue Res. 1992, 270, 73–77. [Google Scholar] [CrossRef]
- McMillan, P.J.; Hooker, W.M.; Deptos, L.J. Distribution of calcitonin-containing cells in the human thyroid. Am. J. Anat. 1974, 140, 73–79. [Google Scholar] [CrossRef]
- Bagiński, S. Technika Mikroskopowa; Praktyczny Poradnik Mikroskopowy; PWN: Warsaw, Poland, 1965; p. 367. [Google Scholar]
- Cameselle-Teijeiro, J.; Varela-Durán, J.; Sambade, C.; Villanueva, J.P.; Varela-Núñez, R.; Sobrinho-Simoes, M. Solid cell nests of the thyroid: Light microscopy and immunohistochemical profile. Hum. Pathol. 1994, 25, 684–693. [Google Scholar] [CrossRef]
- Mizukami, Y.; Nonomura, A.; Michigishi, T.; Noguchi, M.; Hashimoto, T.; Nakamura, S.; Ishizaki, T. Solid cell nests of the thyroid. A histologic and immunohistochemical study. Am. J. Clin. Pathol. 1994, 101, 186–191. [Google Scholar] [CrossRef] [PubMed]
- Collins, W.T.; Capen, C.C.; Döbereiner, J.; Tokarnia, C.H. Ultrastructural evaluation of parathyroid glands and thyroid C cells of cattle fed solanum malacoxylon. Am. J. Pathol. 1977, 87, 603–614. [Google Scholar] [CrossRef] [PubMed]
- Ljungberg, O.; Nilsson, P.O. Hyperplastic and neoplastic changes in ultimobranchial remnants and in parafollicular (C) cells in bulls: A histologic and immunohistochemical study. Vet. Pathol. 1985, 22, 95–103. [Google Scholar] [CrossRef]
- Sawicki, B. Ultimobranchial follicles and cysts in the European bison thyroid. Acta Theriol. 1991, 36, 349–356. [Google Scholar] [CrossRef]
- Sawicki, B.; Siuda, S.; Kasacka, I. Microscopic structure of the thyroid gland in the European bison. Acta Theriol. 1992, 37, 171–179. [Google Scholar] [CrossRef]
- Hazard, J.B. The C cells (parafollicular cells) of the thyroid gland and medullary thyroid carcinoma. A review. Am. J. Pathol. 1977, 88, 213–250. [Google Scholar] [PubMed]
- Das, S.S.; Mishra, S.; Kaul, J.M. Development of parafollicular Cells and their relationship with developing thyroid follicles in human foetuses. J. Clin. Diagn. Res. 2017, 11, AC01–AC04. [Google Scholar] [CrossRef]
- Lin, Y. T Immunoperoxidase staining studies on C-cells in fresh human thyroid. Nihon Naibunpi Gakkai Zasshi 1983, 59, 1244–1255. [Google Scholar] [CrossRef][Green Version]
- Wolfe, H.J.; DeLellis, R.A.; Voelkel, E.F.; Tashjian, A.H. Distribution of calcitonin-containing cells in the normal neonatal human thyroid gland: A correlation of morphology with peptide content. J. Clin. Endocrinol. Metab. 1975, 41, 1076–1081. [Google Scholar] [CrossRef]
- Kameda, Y. Parafollicular cells of the thyroid as studied with Davenport’s silver impregnation. Arch. Histol. Jpn. 1968, 30, 83–94. [Google Scholar] [CrossRef][Green Version]








| Species | Fraction of C Thyrocytes (%) | Total Fraction of C Thyrocytes (%) | ||
|---|---|---|---|---|
| Superficial Area | Central Area | Intermediate Area | ||
| Mean ± SD (Range of Values) | Mean ± SD (Range of Values) | Mean ± SD (Range of Values) | Mean ± SD | |
| Dogs | 2.55 ± 5.32 (0–35.33) | 12.48 ± 9.42 (0–44.75) | 8.43 ± 9.29 a (0–47.18) | 8.87 ± 3.72 |
| Pigs | 3.81 ± 5.12 (0–26.09) | 10.79 ± 6.15 (0–29.09) | 7.66 ± 5.49 a (0–24.17) | 7.98 ± 2.94 |
| Horses | 1.55 ± 3.73 (0–27.69) | 8.87 ± 7.78 (0–33.67) | 7.44 ± 8 a (0–42.46) | 5.83 ± 2.56 |
| Cattle | 2.62 ± 4.7 (0–26.67) | 12.96 ± 7.97 (0–32.57) | 10.75 ± 7.43 a (0–34.74) | 8.58 ± 2.08 |
Publisher’s Note: MDPI stays neutral with regard to jurisdictional claims in published maps and institutional affiliations. |
© 2022 by the authors. Licensee MDPI, Basel, Switzerland. This article is an open access article distributed under the terms and conditions of the Creative Commons Attribution (CC BY) license (https://creativecommons.org/licenses/by/4.0/).
Share and Cite
Sokołowska, J.; Cywińska, A.; Puchalska, M. Comparative Histology of C Thyrocytes in Four Domestic Animal Species: Dog, Pig, Horse, and Cattle. Animals 2022, 12, 1324. https://doi.org/10.3390/ani12101324
Sokołowska J, Cywińska A, Puchalska M. Comparative Histology of C Thyrocytes in Four Domestic Animal Species: Dog, Pig, Horse, and Cattle. Animals. 2022; 12(10):1324. https://doi.org/10.3390/ani12101324
Chicago/Turabian StyleSokołowska, Justyna, Anna Cywińska, and Martyna Puchalska. 2022. "Comparative Histology of C Thyrocytes in Four Domestic Animal Species: Dog, Pig, Horse, and Cattle" Animals 12, no. 10: 1324. https://doi.org/10.3390/ani12101324
APA StyleSokołowska, J., Cywińska, A., & Puchalska, M. (2022). Comparative Histology of C Thyrocytes in Four Domestic Animal Species: Dog, Pig, Horse, and Cattle. Animals, 12(10), 1324. https://doi.org/10.3390/ani12101324

