Modulation of Cathepsin S (CTSS) Regulates the Secretion of Progesterone and Estradiol, Proliferation, and Apoptosis of Ovarian Granulosa Cells in Rabbits
Abstract
Simple Summary
Abstract
1. Introduction
2. Materials and Methods
2.1. Ethic Statement
2.2. Tissue Sample Collection
2.3. Isolation and Culture of Rabbits GCS
2.4. Immunostaining
2.5. HE (Hematoxylin-Eosin) Staining
2.6. SiRNA (Small Interfering RNA) Interference
2.7. Recombinant Adenoviruses Generation
2.8. RNA Extraction and RT-qPCR
2.9. Measurement of Progesterone and Estradiol Secretion
2.10. Cell Viability Assay
2.11. Cell Apoptosis Analysis
2.12. Statistical Analysis
3. Results
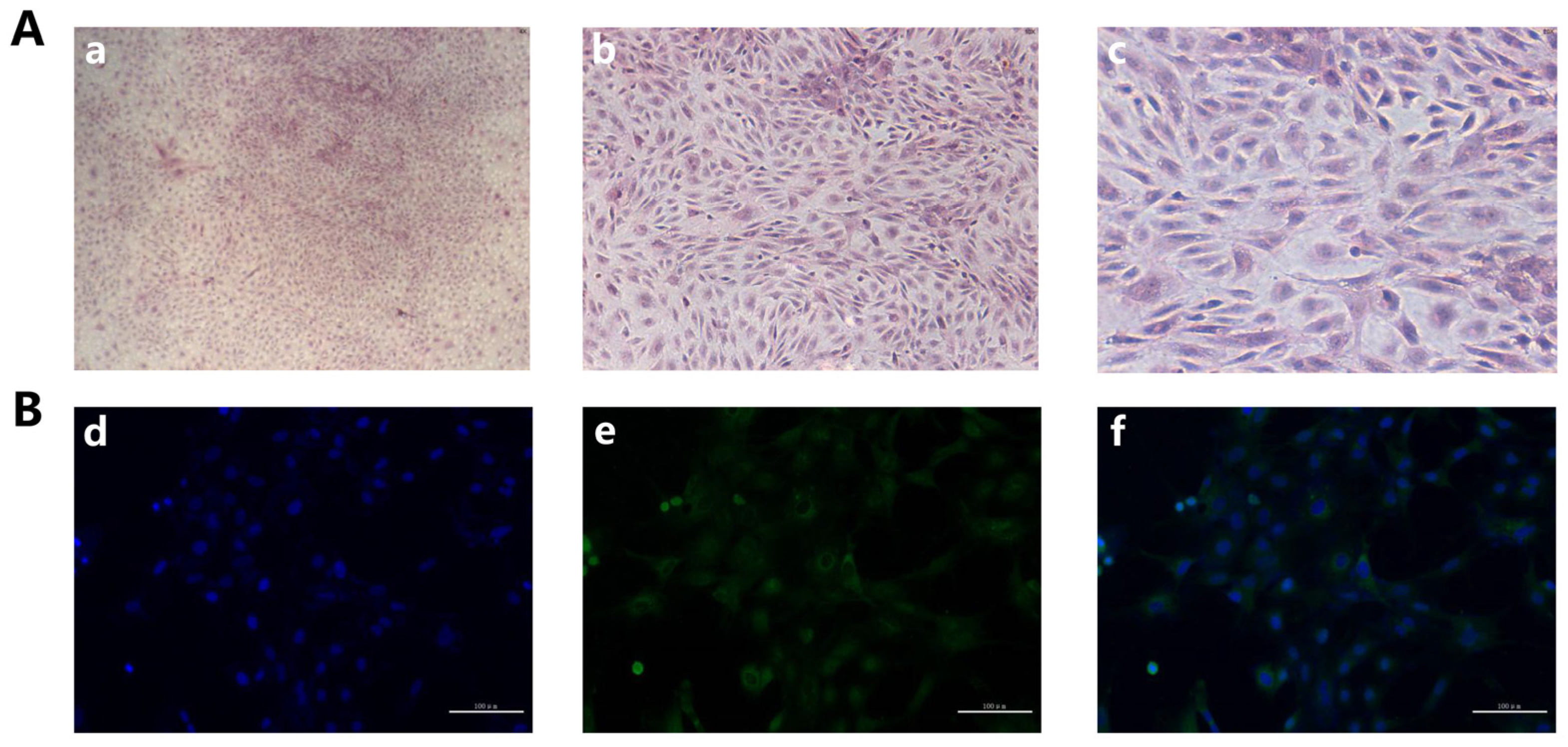
3.1. Isolation and Identification of Rabbit GCS
3.2. Efficiency of CTSS Overexpression and SiRNA Interference
3.3. CTSS Promotes the Secretion of Progesterone and Estradiol in Rabbit GCS
3.4. CTSS Promotes Cell Proliferation Activity in Rabbit GCS
3.5. Activation of CTSS Deceased Cell Apoptosis in Rabbit GCS
4. Discussions
5. Conclusions
Author Contributions
Funding
Institutional Review Board Statement
Informed Consent Statement
Data Availability Statement
Conflicts of Interest
References
- Mage, R.G.; Esteves, P.J.; Rader, C. Rabbit models of human diseases for diagnostics and therapeutics development. Dev. Ccomp. Immunol. 2019, 92, 99–104. [Google Scholar] [CrossRef] [PubMed]
- Esteves, P.J.; Abrantes, J.; Baldauf, H.-M.; Ben Mohamed, L.; Chen, Y.; Christensen, N.; González-Gallego, J.; Giacani, L.; Hu, J.; Kaplan, G.; et al. The wide utility of rabbits as models of human diseases. Exp. Mol. Med. 2018, 50, 1–10. [Google Scholar] [CrossRef] [PubMed]
- Fontanesi, L. Rabbit Genetic Resources Can Provide Several Animal Models to Explain at the Genetic Level the Diversity of Morphological and Physiological Relevant Traits. Appl. Sci. 2021, 11, 373. [Google Scholar] [CrossRef]
- Dalle Zotte, A. Rabbit farming for meat purposes. Anim. Front. 2014, 4, 62–67. [Google Scholar] [CrossRef]
- Li, S.; Zeng, W.; Li, R.; Hoffman, L.C.; He, Z.; Sun, Q.; Li, H. Rabbit meat production and processing in China. Meat Sci. 2018, 145, 320–328. [Google Scholar] [CrossRef] [PubMed]
- Trocino, A.; Cotozzolo, E.; Zomeño, C.; Petracci, M.; Xiccato, G.; Castellini, C. Rabbit production and science: The world and Italian scenarios from 1998 to 2018. Ital. J. Anim. Sci. 2019, 18, 1361–1371. [Google Scholar] [CrossRef]
- Chang, H.-M.; Qiao, J.; Leung, P.C.K. Oocyte-somatic cell interactions in the human ovary-novel role of bone morphogenetic proteins and growth differentiation factors. Hum. Reprod. Update 2016, 23, 1–18. [Google Scholar] [CrossRef]
- Li, R.; Albertini, D.F. The road to maturation: Somatic cell interaction and self-organization of the mammalian oocyte. Nat. Rev. Mol. Cell Biol. 2013, 14, 141–152. [Google Scholar] [CrossRef]
- Emanuelli, I.P.; Costa, C.B.; Rafagnin Marinho, L.S.; Seneda, M.M.; Meirelles, F.V. Cumulus-oocyte interactions and programmed cell death in bovine embryos produced in vitro. Theriogenology 2019, 126, 81–87. [Google Scholar] [CrossRef]
- Tilly, J.L.; Kowalski, K.I.; Johnson, A.L.; Hsueh, A.J. Involvement of apoptosis in ovarian follicular atresia and postovulatory regression. Endocrinology 1991, 129, 2799–2801. [Google Scholar] [CrossRef]
- Hughes, F.M.; Gorospe, W.C. Biochemical identification of apoptosis (programmed cell death) in granulosa cells: Evidence for a potential mechanism underlying follicular atresia. Endocrinology 1991, 129, 2415–2422. [Google Scholar] [CrossRef]
- Manabe, N.; Goto, Y.; Matsuda-Minehata, F.; Inoue, N.; Maeda, A.; Sakamaki, K.; Miyano, T. Regulation mechanism of selective atresia in porcine follicles: Regulation of granulosa cell apoptosis during atresia. J. Reprod. Dev. 2004, 50, 493–514. [Google Scholar] [CrossRef]
- Cai, L.; Sun, A.; Li, H.; Tsinkgou, A.; Yu, J.; Ying, S.; Chen, Z.; Shi, Z. Molecular mechanisms of enhancing porcine granulosa cell proliferation and function by treatment in vitro with anti-inhibin alpha subunit antibody. Reprod. Biol. Endocrin. 2015, 13, 26. [Google Scholar] [CrossRef] [PubMed]
- Gore-Langton, R.E.; Daniel, S.A. Follicle-stimulating hormone and estradiol regulate antrum-like reorganization of granulosa cells in rat preantral follicle cultures. Biol. Reprod. 1990, 43, 65–72. [Google Scholar] [CrossRef] [PubMed]
- Cerri, R.L.A.; Chebel, R.C.; Rivera, F.; Narciso, C.D.; Oliveira, R.A.; Thatcher, W.W.; Santos, J.E.P. Concentration of progesterone during the development of the ovulatory follicle: I. Ovarian and embryonic responses. J. Dairy Sci. 2011, 94, 3342–3351. [Google Scholar] [CrossRef] [PubMed]
- Cerri RL, A.; Chebel, R.C.; Rivera, F.; Narciso, C.D.; Oliveira, R.A.; Thatcher, W.W.; Santos, J.E.P. Effect of progesterone concentrations, follicle diameter, timing of artificial insemination, and ovulatory stimulus on pregnancy rate to synchronized artificial insemination in postpubertal Nellore heifers. Theriogenology 2014, 81, 446–453. [Google Scholar] [CrossRef]
- Zhao, P.; Lieu, T.M.; Barlow, N.; Metcalf, M.; Bunnett, N.W. Cathepsin S causes inflammatory pain via biased agonism of PAR2 and TRPV4. J. Biol. Chem. 2014, 289, 35858. [Google Scholar] [CrossRef]
- Karimkhanloo, H.; Keenan, S.N.; Sun, E.W.; Wattchow, D.A.; Keating, D.J.; Montgomery, M.K.; Watt, M.J. Circulating cathepsin S improves glycemic control in mice. J. Endocrinol. 2021, 248, 167–179. [Google Scholar] [CrossRef]
- Sevenich, L.; Bowman, R.L.; Mason, S.D.; Quail, D.F.; Rapaport, F.; Elie, B.T.; Brogi, E.; Brastianos, P.K.; Hahn, W.C.; Holsinger, L.J. Analysis of tumour- and stroma-supplied proteolytic networks reveals a brain-metastasis-promoting role forcathepsin S. Nat. Cell Biol. 2014, 16, 876–888. [Google Scholar] [CrossRef]
- Joyce, J.A.; Baruch, A.; Chehade, K.; Meyer-Morse, N.; Giraudo, E.; Tsai, F.Y.; Greenbaum, D.C.; Hager, J.H.; Bogyo, M.; Hanahan, D. Cathepsin cysteine proteases are effectors of invasive growth and angiogenesis during multistage tumorigenesis. Cancer Cell. 2004, 5, 443–453. [Google Scholar] [CrossRef]
- Harbeck, N.; Alt, U.; Berger, U.; Krüger, K.; Thomssen, C.F.J.; Höfler, H.; Kates, R.E.; Schmitt, M. Prognostic Impact of Proteolytic Factors (Urokinase-Type Plasminogen Activator, Plasminogen Activator Inhibitor 1, and Cathepsins B, D, and L) in Primary Breast Cancer Reflects Effects of Adjuvant Systemic Therapy. Clin. Cancer Res. 2001, 7, 2757. [Google Scholar] [CrossRef] [PubMed]
- Taleb, S.; Cancello, R.; Clément, K.; Lacasa, D. Cathepsins promotes human preadipocyte differentiation: Possible involvement of fibronectin degradation. Endocrinology 2006, 147, 4950–4959. [Google Scholar] [CrossRef] [PubMed]
- Hooton, H.; Ängquist, L.; Holst, C.; Hager, J.; Rousseau, F.; Hansen, R.D.; Tjønneland, A.; Roswall, N.; Overvad, K.; Jakobsen, M.U.; et al. Dietary Factors Impact on the Association between CTSS Variants and Obesity Related Traits. PLoS ONE 2012, 7, e40394. [Google Scholar] [CrossRef] [PubMed]
- Taleb, S.; Lacasa, D.; Bastard, J.P.; Poitou, C.; Cancello, R.; Pelloux, V.; Viguerie, N.; Benis, A.; Zucker, J.D.; Bouillot, J.L. Cathepsin S, a novel biomarker of adiposity: Relevance to atherogenesis. Faseb. J. 2005, 19, 1540–1542. [Google Scholar] [CrossRef] [PubMed]
- Nadia, N.; Christine, R.; Soraya, F.; Marie-Eve, L.; Christine, P.; Mayoura, K.; Delphine, E.; Steve, S.; Salwa, R.; Jean-Philippe, B. Cathepsins in Human Obesity: Changes in Energy Balance Predominantly Affect Cathepsin S in Adipose Tissue and in Circulation. J. Clin. Endocrinol. Metab. 2010, 95, 1861–1868. [Google Scholar] [CrossRef]
- Xu, H.F.; Luo, J.; Zhao, W.S.; Yang, Y.C.; Tian, H.B.; Shi, H.B.; Bionaz, M. Overexpression of SREBP1 (sterol regulatory element binding protein 1) promotes de novo fatty acid synthesis and triacylglycerol accumulation in goat mammary epithelial cells. J. Dairy Sci. 2016, 99, 783–795. [Google Scholar] [CrossRef] [PubMed]
- Lovasco, L.A.; Seymour, K.A.; Zafra, K.; O’Brien, C.W.; Schorl, C.; Freiman, R.N. Accelerated ovarian aging in the absence of the transcription regulator TAF4B in mice. Biol. Reprod. 2010, 82, 23–34. [Google Scholar] [CrossRef]
- Jiajie, T.; Yanzhou, Y.; Albert Cheung, H.-H.; Chen, Z.-J.; Chan, W.-Y. Conserved miR-10 family represses proliferation and induces apoptosis in ovarian granulosa cells. Sci. Rep. 2017, 7, 41304. [Google Scholar] [CrossRef]
- Bakhshalizadeh, S.; Amidi, F.; Alleyassin, A.; Soleimani, M.; Shirazi, R.; Shabani Nashtaei, M. Modulation of steroidogenesis by vitamin D3 in granulosa cells of the mouse model of polycystic ovarian syndrome. Syst. Biol. Reprod. Med. 2017, 63, 150–161. [Google Scholar] [CrossRef]
- Tang, X.; Ma, L.; Guo, S.; Liang, M.; Jiang, Z. High doses of FSH induce autophagy in bovine ovarian granulosa cells via the AKT/mTOR pathway. Reprod. Domest. Anim. 2021, 56, 324–332. [Google Scholar] [CrossRef]
- Shi, J.; Liu, C.; Chen, M.; Yan, J.; Wang, C.; Zuo, Z.; He, C. The interference effects of bisphenol A on the synthesis of steroid hormones in human ovarian granulosa cells. Environ. Toxicol. 2021, 36, 665–674. [Google Scholar] [CrossRef] [PubMed]
- Yao, X.; Ei-Samahy, M.A.; Xiao, S.; Wang, Z.; Meng, F.; Li, X.; Bao, Y.; Zhang, Y.; Wang, Z.; Fan, Y.; et al. CITED4 mediates proliferation, apoptosis and steroidogenesis of Hu sheep granulosa cells in vitro. Reproduction 2021, 161, 255–267. [Google Scholar] [CrossRef] [PubMed]
- Jin, L.; Ren, L.; Lu, J.; Wen, X.; Zhuang, S.; Geng, T.; Zhang, Y. CXCL12 and its receptors regulate granulosa cell apoptosis in PCOS rats and human KGN tumor cells. Reproduction 2021, 161, 145–157. [Google Scholar] [CrossRef] [PubMed]
- Jin, L.; Ren, L.; Lu, J.; Wen, X.; Zhuang, S.; Geng, T.; Zhang, Y. STAT4 targets KISS1 to promote the apoptosis of ovarian granulosa cells. J. Ovarian Res. 2020, 13, 135. [Google Scholar] [CrossRef]
- Riese, R.J.; Mitchell, R.N.; Villadangos, J.A.; Shi, G.P.; Palmer, J.T.; Karp, E.R.; De Sanctis, G.T.; Ploegh, H.L.; Chapman, H.A. Cathepsin S activity regulates antigen presentation and immunity. J. Clin. Investig. 1998, 101, 2351–2363. [Google Scholar] [CrossRef]
- Kim, S.; Jin, H.; Seo, H.-R.; Lee, H.J.; Lee, Y.-S. Regulating BRCA1 protein stability by cathepsin S-mediated ubiquitin degradation. Cell Death Differ. 2019, 26, 812–825. [Google Scholar] [CrossRef]
- Zhang, J.Q.; Gao, B.W.; Guo, H.X.; Ren, Q.L.; Wang, X.W.; Chen, J.F.; Wang, J.; Zhang, Z.J.; Ma, Q.; Xing, B.S. miR-181a promotes porcine granulosa cell apoptosis by targeting TGFBR1 via the activin signaling pathway. Mol. Cell Endocrinol. 2020, 499, 110603. [Google Scholar] [CrossRef]
- Morrell, B.C.; Perego, M.C.; Maylem ER, S.; Zhang, L.N.; Schutz, L.F.; Spicer, L.J. Regulation of the transcription factor E2F1 mRNA in ovarian granulosa cells of cattle. J. Anim. Sci. 2020, 98, skz376. [Google Scholar] [CrossRef]
- Yao, G.; Yin, M.; Lian, J.; Tian, H.; Liu, L.; Li, X.; Sun, F. MicroRNA-224 is involved in transforming growth factor-beta-mediated mouse granulosa cell proliferation and granulosa cell function by targeting Smad4. Mol. Endocrinol. 2010, 24, 540–551. [Google Scholar] [CrossRef]
- Aisemberg, J.; Vercelli, C.A.; Bariani, M.V.; Billi, S.C.; Wolfson, M.L.; Franchi, A.M. Progesterone is essential for protecting against LPS-induced pregnancy loss. LIF as a potential mediator of the anti-inflammatory effect of progesterone. PLoS ONE 2013, 8, e56161. [Google Scholar] [CrossRef]
- Sirotkin, A.V.; Petrak, J.; Alwasel, S.; Harrath, A.H. Apoptosis signal-regulating kinase (ASK1) and transcription factor tumor suppressor protein TP53 suppress rabbit ovarian granulosa cell functions. Anim. Reprod. Sci. 2019, 204, 140–151. [Google Scholar] [CrossRef]
- Ke, R.W. Endocrine Basis for Recurrent Pregnancy Loss. Obstet. Gynecol. Clin. N. Am. 2014, 41, 103–112. [Google Scholar] [CrossRef]
- Wang, X.; Xiong, L.; Yu, G.; Li, D.; Peng, T.; Luo, D.; Xu, J. Cathepsin S silencing induces apoptosis of human hepatocellular carcinoma cells. Am. J. Transl. Res. 2015, 7, 100–110. [Google Scholar] [CrossRef]
- Fan, Q.; Wang, X.; Zhang, H.; Li, C.; Fan, J.; Xu, J. Silencing cathepsin S gene expression inhibits growth, invasion and angiogenesis of human hepatocellular carcinoma in vitro. Biochem. Biophys. Res. Commun. 2012, 425, 703–710. [Google Scholar] [CrossRef] [PubMed]
- Ärnlöv, J. Cathepsin S as a biomarker: Where are we now and what are the future challenges? Biomark. Med. 2012, 6, 9–11. [Google Scholar] [CrossRef] [PubMed]
- Small, D.M.; Burden, R.E.; Jaworski, J.; Hegarty, S.M.; Spence, S.; Burrows, J.F.; McFarlane, C.; Kissenpfennig, A.; McCarthy, H.O.; Johnston, J.A.; et al. Cathepsin S from both tumor and tumor-associated cells promote cancer growth and neovascularization. Int. J. Cancer 2013, 133, 2102–2112. [Google Scholar] [CrossRef] [PubMed]






| Gene/Accession No. | Primers | Sequence (5′ to 3′) | bp |
|---|---|---|---|
| PCNA | F.432 | TGCACGTATATGCCGAGACC | 240 |
| XM_017341762.1 | R.671 | GTAGGAGAAAGCGGAGTGGC | |
| Notch 2 | F.3798 | CAACCGCCAGTGTGTTCAAG | 232 |
| XM_017345939.1 | R.4029 | CTTCCGCTTTCGTTTTGCCA | |
| Cyclin D | F.44 | GCAGCCCTTTCAATGCTGAC | 244 |
| XM_017348091.1 | R.697 | CTTTGGACGCTCTGACCAGT | |
| STAR1 | F.477 | GATTGGGAAGGACACGGTCA | 179 |
| XM_017350353.1 | R.655 | CACCCCTGATGACGCCTTT | |
| CYP19A1 | F.463 | CCTGGGCTTGTTCAGATGGT | 171 |
| NM_001170921.2 | R.633 | ACTTTCGTCCATGGGGATGC | |
| CYP11A1 | F.1259 | GCCGGGAACCTAGCTTCTTT | 155 |
| XM_008253734.2 | R.1413 | GATGCTCATCTCCACCTCGG | |
| BCL2 | F.492 | GACTGAGTACCTGAACCGGC | 166 |
| XM_008261439.2 | R.65 | GAGGGTGATGCAAGCTCCTA | |
| Bax | F.11 | CCGGGGAGCAGTCCAGA | 167 |
| XM_002723696.3 | R.177 | CAGCTTCTTGGTGGACTCGT | |
| Caspase-3 | F.1 | ATGGAGAACAACGAAACCTCC | 191 |
| NM_001082117.1 | R.191 | CGGGACGACATTCCAGTGTT | |
| β-actin | F.1140 | ATGCAGAAGGAGATCACCGC | 148 |
| NM_001101683.1 | R.191 | ACTCCTGCTTGCTGATCCAC | |
| CTSS | F.128 | CTACGGCAAGCAATACAA | 187 |
| XM_002715580.3 | R.296 | TCTCAGGGAACTCATCAAA |
Publisher’s Note: MDPI stays neutral with regard to jurisdictional claims in published maps and institutional affiliations. |
© 2021 by the authors. Licensee MDPI, Basel, Switzerland. This article is an open access article distributed under the terms and conditions of the Creative Commons Attribution (CC BY) license (https://creativecommons.org/licenses/by/4.0/).
Share and Cite
Song, G.; Jiang, Y.; Wang, Y.; Song, M.; Niu, X.; Xu, H.; Li, M. Modulation of Cathepsin S (CTSS) Regulates the Secretion of Progesterone and Estradiol, Proliferation, and Apoptosis of Ovarian Granulosa Cells in Rabbits. Animals 2021, 11, 1770. https://doi.org/10.3390/ani11061770
Song G, Jiang Y, Wang Y, Song M, Niu X, Xu H, Li M. Modulation of Cathepsin S (CTSS) Regulates the Secretion of Progesterone and Estradiol, Proliferation, and Apoptosis of Ovarian Granulosa Cells in Rabbits. Animals. 2021; 11(6):1770. https://doi.org/10.3390/ani11061770
Chicago/Turabian StyleSong, Guohua, Yixuan Jiang, Yaling Wang, Mingkun Song, Xuanmin Niu, Huifen Xu, and Ming Li. 2021. "Modulation of Cathepsin S (CTSS) Regulates the Secretion of Progesterone and Estradiol, Proliferation, and Apoptosis of Ovarian Granulosa Cells in Rabbits" Animals 11, no. 6: 1770. https://doi.org/10.3390/ani11061770
APA StyleSong, G., Jiang, Y., Wang, Y., Song, M., Niu, X., Xu, H., & Li, M. (2021). Modulation of Cathepsin S (CTSS) Regulates the Secretion of Progesterone and Estradiol, Proliferation, and Apoptosis of Ovarian Granulosa Cells in Rabbits. Animals, 11(6), 1770. https://doi.org/10.3390/ani11061770
