Ameliorative Effects of Boswellic Acid on Fipronil-Induced Toxicity: Antioxidant State, Apoptotic Markers, and Testicular Steroidogenic Expression in Male Rats
Abstract
Simple Summary
Abstract
1. Introduction
2. Materials and Methods
2.1. Animals and Management
2.2. Chemicals and Reagents
2.3. Experimental Design
2.4. Fertility Test
2.5. Reproductive Organs Weights
2.6. Sperm Morphology
2.7. Serum Testosterone Concentration Assessment
2.8. Assays for Oxidative Stress Markers
2.9. Testicular Pro-Inflammatory Cytokines Biomarkers
2.10. Gene Expression Analysis
2.11. Morphopathological Studies
2.12. Immunohistochemistry Analysis
2.13. Data Analysis
3. Results
3.1. Fertility Test
3.2. Reproductive Organs Weights
3.3. Sperm Morphology
3.4. Serum Testosterone, Testicular Antioxidant, and Pro-Inflammatory Cytokines
3.5. Gene Expression
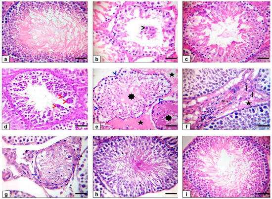
3.6. Histopathological Findings
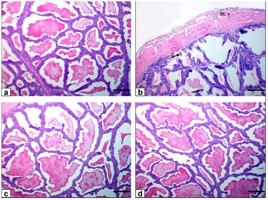
3.7. Testicular Tissue
3.8. Epididymis
3.9. Prostate Gland
3.10. Seminal Vesicle
3.11. Immunohistochemistry and Quantitative Analysis
4. Discussion
5. Conclusions
Author Contributions
Funding
Institutional Review Board Statement
Informed Consent Statement
Data Availability Statement
Acknowledgments
Conflicts of Interest
References
- Soll, M.D.; Pate, J.; Baker, L.A. Topical Compositions Comprising Fipronil and Permethrin and Methods of Use. U.S. Patent 9,949,953, 24 April 2018. [Google Scholar]
- Khalaf, A.; Galal, M.K.; Ibrahim, M.A.; Abd Allah, A.; Afify, M.M.; Refaat, R. The Terminalia laxiflora modulates the neurotoxicity induced by fipronil in male albino rats. Biosci. Rep. 2019, 39. [Google Scholar] [CrossRef]
- Pavlidi, N.; Vontas, J.; Van Leeuwen, T. The role of glutathione S-transferases (GSTs) in insecticide resistance in crop pests and disease vectors. Curr. Opin. Insect Sci. 2018, 27, 97–102. [Google Scholar] [CrossRef] [PubMed]
- Kalyanaraman, B.; Hardy, M.; Zielonka, J. A critical review of methodologies to detect reactive oxygen and nitrogen species stimulated by NADPH oxidase enzymes: Implications in pesticide toxicity. Curr. Pharmacol. Rep. 2016, 2, 193–201. [Google Scholar] [CrossRef] [PubMed]
- Eisa, A.A.; Abo-Elghar, G.; Ammar, I.; Metwally, H.G.; Arafa, S.S. Embryotoxicity and teratogenicity of fipronil in rats (Rattus norvegicus). Zagazig J. Agric. Res. 2017, 44, 1851–1861. [Google Scholar]
- Mazzo, M.; Balieira, K.V.B.; Bizerra, P.F.V.; Mingatto, F.E. Fipronil-induced decrease in the epididymal sperm count: Oxidative effect and protection by vitamin E. Animal Reprod. AR 2018, 15, 1223–1230. [Google Scholar] [CrossRef]
- Agarwal, A.; Sengupta, P. Oxidative Stress and its Association with Male Infertility. In Male Infertility; Springer: Berlin, Germany, 2020; pp. 57–68. [Google Scholar]
- Al Basher, G.; Abdel-Daim, M.M.; Almeer, R.; Ibrahim, K.A.; Hamza, R.Z.; Bungau, S.; Aleya, L. Synergistic antioxidant effects of resveratrol and curcumin against fipronil-triggered oxidative damage in male albino rats. Environ. Sci. Poll. Res. 2020, 27, 6505–6514. [Google Scholar] [CrossRef]
- Saleh, H.; Nassar, A.M.; Noreldin, A.E.; Samak, D.; Elshony, N.; Wasef, L.; Elewa, Y.H.; Hassan, S.; Saati, A.A.; Hetta, H.F. Chemo-protective potential of cerium oxide nanoparticles against fipronil-induced oxidative stress, apoptosis, inflammation and reproductive dysfunction in male white albino rats. Molecules 2020, 25, 3479. [Google Scholar] [CrossRef] [PubMed]
- Ohi, M.; Dalsenter, P.R.; Andrade, A.J.; Nascimento, A.J. Reproductive adverse effects of fipronil in Wistar rats. Toxicol. Lett. 2004, 146, 121–127. [Google Scholar] [CrossRef]
- De Barros, A.L.; Bae, J.H.; Borges, C.S.; Rosa, J.L.; Cavariani, M.M.; Silva, P.V.; Pinheiro, P.F.F.; Anselmo-Franci, J.A.; Arena, A.C. Perinatal exposure to insecticide fipronil: Effects on the reproductive system in male rats. Reprod. Fertil. Dev. 2017, 29, 1130–1143. [Google Scholar] [CrossRef]
- Kitulagodage, M.; Buttemer, W.A.; Astheimer, L.B. Adverse effects of fipronil on avian reproduction and development: Maternal transfer of fipronil to eggs in zebra finch Taeniopygia guttata and in ovo exposure in chickens Gallus domesticus. Ecotoxicology 2011, 20, 653–660. [Google Scholar] [CrossRef]
- Ammon, H. Boswellic acids and their role in chronic inflammatory diseases. In Anti-inflammatory Nutraceuticals and Chronic Diseases; Springer: Berlin, Germany, 2016; pp. 291–327. [Google Scholar]
- Mehrzadi, S.; Tavakolifar, B.; Huseini, H.F.; Mosavat, S.H.; Heydari, M. The effects of Boswellia serrata gum resin on the blood glucose and lipid profile of diabetic patients: A double-blind randomized placebo-controlled clinical trial. J. Evid. Based Integr. Med. 2018, 23, 2515690X18772728. [Google Scholar] [CrossRef] [PubMed]
- Ahmed, M.A.; Ahmed, A.A.; El Morsy, E.M. Acetyl-11-keto-β-boswellic acid prevents testicular torsion/detorsion injury in rats by modulating 5-LOX/LTB4 and p38-MAPK/JNK/Bax/Caspase-3 pathways. Life Sci. 2020, 260, 118472. [Google Scholar] [CrossRef]
- Du, Z.; Liu, Z.; Ning, Z.; Liu, Y.; Song, Z.; Wang, C.; Lu, A. Prospects of boswellic acids as potential pharmaceutics. Planta Med. 2015, 81, 259–271. [Google Scholar] [CrossRef] [PubMed]
- Iram, F.; Khan, S.A.; Husain, A. Phytochemistry and potential therapeutic actions of Boswellic acids: A mini-review. Asian Pac. J. Trop. Biomed. 2017, 7, 513–523. [Google Scholar] [CrossRef]
- Al-Harrasi, A.; Csuk, R.; Khan, A.; Hussain, J. Distribution of the anti-inflammatory and anti-depressant compounds: Incensole and incensole acetate in genus Boswellia. Phytochemistry 2019, 161, 28–40. [Google Scholar] [CrossRef] [PubMed]
- Ebrahimpour, S.; Fazeli, M.; Mehri, S.; Taherianfard, M.; Hosseinzadeh, H. Boswellic acid improves cognitive function in a rat model through its antioxidant activity:-neuroprotective effect of boswellic acid. J. Pharmacopunct. 2017, 20, 10. [Google Scholar]
- Nusier, M.K.; Bataineh, H.N.; Bataineh, Z.M.; Daradka, H.M. Effect of frankincense (Boswellia thurifera) on reproductive system in adult male rat. J. Health Sci. 2007, 53, 365–370. [Google Scholar] [CrossRef]
- Sami, M.M.; Ali, E.A.; Galhom, R.A.; Youssef, A.M.; Mohammad, H.M. Boswellic acids ameliorate doxorubicin-induced nephrotoxicity in mice: A focus on antioxidant and antiapoptotic effects. Egyp. J. Basic Appl. Sci. 2019, 6, 10–24. [Google Scholar] [CrossRef]
- Barakat, B.M.; Ahmed, H.I.; Bahr, H.I.; Elbahaie, A.M. Protective effect of boswellic acids against doxorubicin-induced hepatotoxicity: Impact on Nrf2/HO-1 defense pathway. Oxid. Med. Cell. Longev. 2018, 2018. [Google Scholar] [CrossRef]
- Tawfik, M.K. Anti-aggregatory effect of boswellic acid in high-fat fed rats: Involvement of redox and inflammatory cascades. Arch. Med. Sci. AMS 2016, 12, 1354. [Google Scholar] [CrossRef] [PubMed]
- Al-Yahya, A.A.; Asad, M.; Sadaby, A.; Alhussaini, M.S. Repeat oral dose safety study of standardized methanolic extract of Boswellia sacra oleo gum resin in rats. Saudi J. Biol. Sci. 2020, 27, 117–123. [Google Scholar] [CrossRef]
- Tingle, C.C.; Rother, J.A.; Dewhurst, C.F.; Lauer, S.; King, W.J. Fipronil: Environmental fate, ecotoxicology, and human health concerns. In Reviews of Environmental Contamination and Toxicology; Springer: Berlin, Germany, 2003; pp. 1–66. [Google Scholar]
- Bronson, F. The reproductive ecology of the house mouse. Q. Rev. Biol. 1979, 54, 265–299. [Google Scholar] [CrossRef] [PubMed]
- Matousek, J. Effects on spermatogenesis in guinea-pigs, rabbits and sheep after their immunization with sexual organ fluids of bulls. Reproduction 1969, 19, 63–72. [Google Scholar] [CrossRef] [PubMed]
- Yokoi, K.; Uthus, E.O.; Nielsen, F.H. Nickel deficiency diminishes sperm quantity and movement in rats. Biol. Trace Elem. Res. 2003, 93, 141–153. [Google Scholar] [CrossRef]
- Sönmez, M.; Türk, G.; Yüce, A. The effect of ascorbic acid supplementation on sperm quality, lipid peroxidation and testosterone levels of male Wistar rats. Theriogenology 2005, 63, 2063–2072. [Google Scholar] [CrossRef] [PubMed]
- Bearden, H.J.; Fuquay, J.W. Applied Animal Reproduction. Reston Publishing Company, Inc.: Reston, VA, USA, 1980. [Google Scholar]
- Demetrious, J. Testosterone in methods. In Clinical Chemistry Tech AG, 2nd ed.; CVMOS Co.: Washington, DC, USA, 1987; p. 268. [Google Scholar]
- Parlaktas, B.; Atilgan, D.; Gencten, Y.; Akbas, A.; Markoc, F.; Erdemir, F.; Ozyurt, H.; Uluocak, N. The effects of carvedilol on ischemia-reperfusion injury in the rat testis. Int. Braz. Jurol. 2014, 40, 109–117. [Google Scholar] [CrossRef]
- Uchiyama, M.; Mihara, M. Determination of malonaldehyde precursor in tissues by thiobarbituric acid test. Anal. Biochem. 1978, 86, 271–278. [Google Scholar] [CrossRef]
- Adams, J.; Lauterburg, B.; Mitchell, J. Plasma glutathione and glutathione disulfide in the rat: Regulation and response to oxidative stress. J. Pharmacol. Exp. Ther. 1983, 227, 749–754. [Google Scholar]
- Livak, K.J.; Schmittgen, T.D. Analysis of relative gene expression data using real-time quantitative PCR and the 2−ΔΔCT method. Methods 2001, 25, 402–408. [Google Scholar] [CrossRef]
- Bancroft, J.; Layton, C. The hematoxylins and eosin. Bancroft’s Theory and Practice of Histological Techniques; Elsevier: Amsterdam, The Netherlands, 2013. [Google Scholar]
- Shivji, M.K.; Kenny, M.K.; Wood, R.D. Proliferating cell nuclear antigen is required for DNA excision repair. Cell 1992, 69, 367–374. [Google Scholar] [CrossRef]
- Dawood, M.A.O.; Abdel-Razik, N.I.; Gewaily, M.S.; Sewilam, H.; Paray, B.A.; Soliman, A.A.; Abdelhiee, E.Y.; Aboubakr, M.; Van Doan, H.; El-Sabagh, M.; et al. β-Glucan improved the immunity, hepato-renal, and histopathology disorders induced by chlorpyrifos in Nile tilapia. Aquac. Rep. 2020, 18, 100549. [Google Scholar] [CrossRef]
- Lipton, E. EPA Chief, Rejecting Agency’s Science, Chooses not to Ban Insecticide. 2018. Available online: https://www.nytimes.com/2017/03/29/us/politics/epa-insecticide-chlorpyrifos.html (accessed on 28 February 2021).
- Dawood, M.A.O.; El-Shamaa, I.S.; Abdel-Razik, N.I.; Elkomy, A.H.; Gewaily, M.S.; Abdo, S.E.; Soliman, A.A.; Paray, B.A.; Abdelkhalek, N. The effect of mannanoligosaccharide on the growth performance, histopathology, and the expression of immune and antioxidative related genes in Nile tilapia reared under chlorpyrifos ambient toxicity. Fish Shellfish Immunol. 2020, 103, 421–429. [Google Scholar] [CrossRef]
- Nowicka-Bauer, K.; Nixon, B. Molecular changes induced by oxidative stress that impair human sperm motility. Antioxidants 2020, 9, 134. [Google Scholar] [CrossRef]
- Mahmoud, S.; Saad, M.; Farrag, F.; Abo Ghanima, M.M.; Dawood, M.A.; Abdel-Daim, M.M.; Alkahtani, S.H.; Shukry, M. Promoting effect of L. tyrosine supplement on New Zealand rabbit bucks’ performance and reproduction through upregulation of steroidogenic markers. Front. Vet. Sci. 2020, 7, 605. [Google Scholar] [CrossRef]
- Mossa, A.-T.H.; Swelam, E.S.; Mohafrash, S.M. Sub-chronic exposure to fipronil induced oxidative stress, biochemical and histopathological changes in the liver and kidney of male albino rats. Toxicol. Rep. 2015, 2, 775–784. [Google Scholar] [CrossRef]
- Badgujar, P.C.; Chandratre, G.A.; Pawar, N.N.; Telang, A.; Kurade, N. Fipronil induced oxidative stress involves alterations in SOD 1 and catalase gene expression in male mice liver: Protection by vitamins E and C. Environ. Toxicol. 2016, 31, 1147–1158. [Google Scholar] [CrossRef]
- Bevilaqua, F.; Sachett, A.; Chitolina, R.; Garbinato, C.; Gasparetto, H.; Marcon, M.; Mocelin, R.; Dallegrave, E.; Conterato, G.; Piato, A. A mixture of fipronil and fungicides induces alterations on behavioral and oxidative stress parameters in zebrafish. Ecotoxicology 2020, 29, 140–147. [Google Scholar] [CrossRef]
- Lebda, M.A.; Sadek, K.M.; Abouzed, T.K.; Tohamy, H.G.; El-Sayed, Y.S. Melatonin mitigates thioacetamide-induced hepatic fibrosis via antioxidant activity and modulation of proinflammatory cytokines and fibrogenic genes. Life Sci. 2018, 192, 136–143. [Google Scholar] [CrossRef]
- Palin, K.; Bluthé, R.-M.; McCusker, R.H.; Levade, T.; Moos, F.; Dantzer, R.; Kelley, K.W. The type 1 TNF receptor and its associated adapter protein, FAN, are required for TNFα-induced sickness behavior. Psychopharmacology 2009, 201, 549–556. [Google Scholar] [CrossRef] [PubMed][Green Version]
- Miller, W.L.; Auchus, R.J. The molecular biology, biochemistry, and physiology of human steroidogenesis and its disorders. Endocr. Rev. 2011, 32, 81–151. [Google Scholar] [CrossRef] [PubMed]
- Miller, W.L. Steroidogenesis: Unanswered questions. Trends Endocrinol. Metab. 2017, 28, 771–793. [Google Scholar] [CrossRef]
- Stocco, D.M.; Zhao, A.H.; Tu, L.N.; Morohaku, K.; Selvaraj, V. A brief history of the search for the protein (s) involved in the acute regulation of steroidogenesis. Mol. Cell. Endocrinol. 2017, 441, 7–16. [Google Scholar] [CrossRef]
- Creasy, D.M. Pathogenesis of male reproductive toxicity. Toxicol. Pathol. 2001, 29, 64–76. [Google Scholar] [CrossRef] [PubMed]
- Kumar, S.G.; Narayana, K.; Bairy, K.; D’Souza, U.J.; Samuel, V.P.; Gopalakrishna, K. Dacarbazine induces genotoxic and cytotoxic germ cell damage with concomitant decrease in testosterone and increase in lactate dehydrogenase concentration in the testis. Mutat. Res. Genet. Toxicol. Environ. Mutagenesis 2006, 607, 240–252. [Google Scholar] [CrossRef]
- Tohamy, H.G.; El-Karim, D.R.G.; El-Sayed, Y.S. Attenuation potentials of royal jelly against hydroxyurea-induced infertility through inhibiting oxidation and release of pro-inflammatory cytokines in male rats. Environ. Sci. Poll. Res. 2019, 26, 21524–21534. [Google Scholar] [CrossRef] [PubMed]
- Narayana, K.; Prashanthi, N.; Nayanatara, A.; Kumar, S.G.; Kumar, H.H.C.; Bairy, K.; D’Souza, U.J. A broad-spectrum organophosphate pesticide O, O-dimethyl O-4-nitrophenyl phosphorothioate (methyl parathion) adversely affects the structure and function of male accessory reproductive organs in the rat. Environ. Toxicol. Pharmacol. 2006, 22, 315–324. [Google Scholar] [CrossRef]
- Ono, Y.; Suzuki, K.; Kashiwagi, B.; Shibata, Y.; Ito, K.; Fukabori, Y.; Yamanaka, H. Role of androgen on blood flow and capillary structure in rat seminal vesicles. Tohoku J. Exp. Med. 2004, 202, 193–201. [Google Scholar] [CrossRef]
- Zeng, L.; Kong, X.-T.; Su, J.-W.; Xia, T.-L.; Na, Y.-Q.; Guo, Y.-L. Evaluation of germ-cell kinetics in infertile patients with proliferating cell nuclear antigen proliferating index. Asian J. Androl. 2001, 3, 63–66. [Google Scholar]
- Krueger, P.; Daneshfar, R.; Eckert, G.P.; Klein, J.; Volmer, D.A.; Bahr, U.; Müller, W.E.; Karas, M.; Schubert-Zsilavecz, M.; Abdel-Tawab, M. Metabolism of boswellic acids in vitro and in vivo. Drug Metab. Dispos. 2008, 36, 1135–1142. [Google Scholar] [CrossRef] [PubMed]
- Zaitone, S.A.; Barakat, B.M.; Bilasy, S.E.; Fawzy, M.S.; Abdelaziz, E.Z.; Farag, N.E. Protective effect of boswellic acids versus pioglitazone in a rat model of diet-induced non-alcoholic fatty liver disease: Influence on insulin resistance and energy expenditure. Naunyn Schmiedeberg arch. Pharmacol. 2015, 388, 587–600. [Google Scholar] [CrossRef]
- Gayathri, B.; Manjula, N.; Vinaykumar, K.; Lakshmi, B.; Balakrishnan, A. Pure compound from Boswellia serrata extract exhibits anti-inflammatory property in human PBMCs and mouse macrophages through inhibition of TNFα, IL-1β, NO and MAP kinases. Int. Immunopharmacol. 2007, 7, 473–482. [Google Scholar] [CrossRef]
- Kimmatkar, N.; Thawani, V.; Hingorani, L.; Khiyani, R. Efficacy and tolerability of Boswellia serrata extract in treatment of osteoarthritis of knee–a randomized double blind placebo controlled trial. Phytomedicine 2003, 10, 3–7. [Google Scholar] [CrossRef]
- Ali, E.N.; Mansour, S.Z. Boswellic acids extract attenuates pulmonary fibrosis induced by bleomycin and oxidative stress from gamma irradiation in rats. Chin. Med. 2011, 6, 1–14. [Google Scholar] [CrossRef] [PubMed]
- Sharma, S.; Gupta, S.; Khajuria, V.; Bhagat, A.; Ahmed, Z.; Shah, B.A. Analogues of boswellic acids as inhibitors of pro-inflammatory cytokines TNF-α and IL-6. Bioorg. Med. Chem. Lett. 2016, 26, 695–698. [Google Scholar] [CrossRef] [PubMed]
- Cuaz-Pérolin, C.; Billiet, L.; Baugé, E.; Copin, C.; Scott-Algara, D.; Genze, F.; Büchele, B.; Syrovets, T.; Simmet, T.; Rouis, M. Antiinflammatory and antiatherogenic effects of the NF-κB inhibitor acetyl-11-keto-β-boswellic acid in LPS-challenged ApoE−/− mice. Arterioscler. Thromb. Vasc. Biol. 2008, 28, 272–277. [Google Scholar] [CrossRef]







| Gene | Direction | Primer Sequence | Accession Number |
|---|---|---|---|
| Bax | Sense | GGCGAATTGGCGATGAACTG | NM_017059.2 |
| Antisense | ATGGTTCTGATCAGCTCGGG | ||
| Bcl-2 | Sense | GATTGTGGCCTTCTTTGAGT | NM_016993.1 |
| Antisense | ATAGTTCCACAAAGGCATCC | ||
| HSP70 | Sense | TCAGAGCTGCTATGTCGCTG | NM_153629.1 |
| Antisense | GCAGCGGTCGCTATACTCAT | ||
| CYP17A1 | Sense | ACTGAGGGTATCGTGGATGC | NM_012753.2 |
| Antisense | TCGAACTTCTCCCTGCACTT | ||
| StAR | Sense | CTGCTAGACCAGCCCATGGAC | NM_031558.3 |
| Antisense | TGATTTCCTTGACATTTGGGTTCC | ||
| KISS1 | Sense | TGCTGCTTCTCCTCTGTGTGG | NM_181692.1 |
| Antisense | ATTAACGAGTTCCTGGGGTCC | ||
| Cyp11a1 | Sense | AGGTGTAGCTCAGGACTT | J05156 |
| Antisense | AGGAGGCTATAAAGGACACC | ||
| 3β-HSD | Sense | CCCATACAGCAAAAGGATGG | M38178 |
| Antisense | GCCGCAAGTATCATGACAGA | ||
| Cyp19 | Sense | GCTTCTCATCGCAGAGTATCCGG | M33986 |
| Antisense | CAAGGGTAAATTCATTGGGCTTGG | ||
| GAPDH | Sense | TCAAGAAGGTGGTGAAGCAG | NM_017008.4 |
| Antisense | AGGTGGAAGAATGGGAGTTG |
| Group | Control | BA1 | BA2 | FBN | FBN + BA1 | FBN + BA2 |
|---|---|---|---|---|---|---|
| No. of females | 12 | 12 | 12 | 12 | 12 | 12 |
| No. of positive sperm female | 10/12 (83.3%) | 11/12 (91.7%) | 11/12 (91.7%) | 4/12 (33.3%) | 9/12 (75%) | 10/12 (83.3%) |
| No. of pregnant female | 9/12 (75%) | 10/12 (83.3%) | 11/12 (91.7%) | 3/12 (25%) | 7/12 (58.3%) | 8/12 (66.7%) |
| Pregnancy index (%) | 90 | 90.9 | 100 | 75 | 77.8 | 80 |
| No. of litters | 8.52 ± 1.43 c | 10.36 ± 2.01 b | 12.86 ± 2.85 a | 3.58 ± 0.98 e | 5.63 ± 1. 56 de | 6.09 ± 1.74 d |
| Groups/Parameters | Control | BA1 | BA2 | FBN | FBN + BA1 | FBN + BA2 |
|---|---|---|---|---|---|---|
| I.W. of testes | 1.67 ± 0.05 a | 1.63 ± 0.04 a | 1.64 ± 0.06 a | 1.17 ± 0.04 b | 1.57 ± 0.07 a | 1.58 ± 0.07 a |
| I.W. of epididymis | 0.82 ± 0.01 a | 0.80 ± 0.02 a | 0.83 ± 0.02 a | 0.65 ± 0.02 b | 0.79 ± 0.01 a | 0.78 ± 0.02 a |
| I.W. of accessory gland | 0.94 ± 0.03 a | 0.95 ± 0.04 a | 0.96 ± 0.02 a | 0.77 ± 0.02 b | 0.90 ± 0.02 a | 0.91 ± 0.03 a |
| Groups/Parameters | Control | BA1 | BA2 | FBN | FBN + BA1 | FBN + BA2 | |
|---|---|---|---|---|---|---|---|
| Sperm cell count (×106/mL) | 150.40 ± 1.51 a | 149.50 ± 2.42 a | 152.50 ± 1.50 a | 112.20 ± 1.49 b | 145.00 ± 1.71 a | 146.40 ± 1.51 a | |
| Sperm motility % | 90.00 ± 1.22 a | 90.00 ± 3.74 a | 91.00 ± 3.67 a | 74.00 ± 2.92 b | 88.00 ± 1.87 a | 89.00 ± 1.87 a | |
| Live spermatozoa % | 92.00 ± 2.22 a | 91.00 ± 1.74 a | 90.00 ± 2.67 a | 82.00 ± 1.92 b | 90.00 ± 2.02 a | 91.00 ± 1.92 a | |
| Abnormality % | 8.20 ± 0.51 b | 8.00 ± 0.58 b | 8.33 ± 0.33 b | 14.30 ± 0.71 a | 8.50 ± 1.00 b | 8.63 ± 0.88 b | |
| Abnormalities | |||||||
| 1 | Bent head | 1.60 ± 0.24 b | 1.67 ± 0.33 b | 2.00 ± 0.58 a | 2.80 ± 0.65 a | 2.33 ± 0.33 a | 2.17 ± 0.33 a |
| 2 | Amorphous head | 1.80 ± 0.51 b | 2.00 ± 0.58 b | 1.33 ± 0.33 d | 4.00 ± 0.71 a | 1.67 ± 0.33 c | 2.00 ± 0.03 b |
| 3 | Coiled tail | 1.80 ± 0.58 c | 2.33 ± 0.33 b | 2.38 ± 0.88 b | 3.25 ± 0.25 a | 2.17 ± 0.88 b | 2.35 ± 0.88 b |
| 4 | Short tail | 3.00 ± 0.55 b | 2.00 ± 0.58 c | 2.67 ± 0.33 c | 4.25 ± 0.85 a | 2.33 ± 0.88 c | 2.13 ± 0.33 c |
| Groups/Parameters | Control | BA1 | BA2 | FBN | FBN + BA1 | FBN + BA2 |
|---|---|---|---|---|---|---|
| Testosterone (ng/mL) | 2.43 ± 0.042 a | 2.31 ± 0.022 a | 2.29 ± 0.039a | 1.63 ± 0.023 b | 2.34 ± 0.032 a | 2.22 ± 0.025 a |
| MDA (nmol/mg protein) | 47.50 ± 0.76 c | 48.00 ± 0.58 c | 48.17 ± 0.60 c | 71.83 ± 0.95 a | 55.83 ± 0.60 b | 56.50 ± 0.76 b |
| GSH (mmol/mg protein) | 42.33 ± 0.67 a | 43.50 ± 0.76 a | 43.83 ± 0.60 a | 19.17 ± 0.60 d | 30.67 ± 0.49 c | 33.17 ± 0.60 b |
| IL-6 (pg/mL) | 102.00 ± 0.97 c | 103.50 ± 1.15 c | 103.33 ± 0.88 c | 203.00 ± 0.97 a | 138.63 ± 1.70 b | 139.17 ± 0.60 b |
| TNF-α (pg/mL) | 76.80 ± 0. 60 c | 77.50 ± 0.76 c | 78.50 ± 0.60 c | 151.33 ± 1.05 a | 99.50 ± 0.76 b | 100.50 ± 0.76 b |
| Group/Lesion | Control Rats | FPN-Rats | FPN + BA1 Rats | FPN + BA2 Rats | ||||||||||||
|---|---|---|---|---|---|---|---|---|---|---|---|---|---|---|---|---|
| − | + | ++ | +++ | − | + | ++ | +++ | − | + | ++ | +++ | − | + | ++ | +++ | |
| a—Seminiferous tubules | ||||||||||||||||
| sloughing of the germinal epithelium | 6 | 0 | 0 | 0 | 0 | 1 | 2 | 3 | 5 | 1 | 0 | 0 | 5 | 1 | 0 | 0 |
| necrosis of tubular epithelium | 6 | 0 | 0 | 0 | 0 | 2 | 3 | 1 | 6 | 0 | 0 | 0 | 6 | 0 | 0 | 0 |
| giant cell formations | 6 | 0 | 0 | 0 | 1 | 1 | 2 | 2 | 6 | 0 | 0 | 0 | 6 | 0 | 0 | 0 |
| hyalinization of the luminal contents | 6 | 0 | 0 | 0 | 1 | 2 | 2 | 1 | 6 | 0 | 0 | 0 | 6 | 0 | 0 | 0 |
| shrunken, buckled and disorganized | 5 | 1 | 0 | 0 | 0 | 2 | 3 | 1 | 5 | 1 | 0 | 0 | 5 | 1 | 0 | 0 |
| Atrophied tubules | 6 | 0 | 0 | 0 | 1 | 1 | 2 | 2 | 6 | 0 | 0 | 0 | 6 | 0 | 0 | 0 |
| b—Interstitial tissue | ||||||||||||||||
| inflammatory cell infiltration | 6 | 0 | 0 | 0 | 2 | 3 | 1 | 0 | 6 | 0 | 0 | 0 | 6 | 0 | 0 | 0 |
| hyperplasia endocrine cells | 6 | 0 | 0 | 0 | 2 | 3 | 1 | 0 | 6 | 0 | 0 | 0 | 6 | 0 | 0 | 0 |
| congestion of blood vessels | 5 | 1 | 0 | 0 | 0 | 1 | 3 | 2 | 5 | 1 | 0 | 0 | 5 | 1 | 0 | 0 |
| c—Epididymis | ||||||||||||||||
| sloughing of germinal epithelial cells | 6 | 0 | 0 | 0 | 1 | 3 | 2 | 0 | 6 | 0 | 0 | 0 | 6 | 0 | 0 | 0 |
| vacuolation of germinal epithelial cells | 6 | 0 | 0 | 0 | 2 | 3 | 1 | 0 | 6 | 0 | 0 | 0 | 6 | 0 | 0 | 0 |
| interstitial congestion of blood vessel | 4 | 2 | 0 | 0 | 1 | 1 | 3 | 1 | 5 | 1 | 0 | 0 | 5 | 1 | 0 | 0 |
| interstitial inflammatory cell infiltrations | 6 | 0 | 0 | 0 | 1 | 1 | 2 | 2 | 6 | 0 | 0 | 0 | 6 | 0 | 0 | 0 |
| perivascular inflammatory cell infiltrations | 6 | 0 | 0 | 0 | 1 | 2 | 2 | 1 | 6 | 0 | 0 | 0 | 6 | 0 | 0 | 0 |
| sperm density | 6 | 0 | 0 | 0 | 0 | 2 | 2 | 2 | 6 | 0 | 0 | 0 | 6 | 0 | 0 | 0 |
| d—Prostate gland | ||||||||||||||||
| interstitial congestion | 4 | 2 | 0 | 0 | 0 | 1 | 3 | 2 | 5 | 1 | 0 | 0 | 5 | 1 | 0 | 0 |
| perivascular inflammatory cell infiltration | 6 | 0 | 0 | 0 | 1 | 1 | 2 | 2 | 6 | 0 | 0 | 0 | 6 | 0 | 0 | 0 |
| low luminal secretions | 6 | 0 | 0 | 0 | 1 | 1 | 1 | 3 | 6 | 0 | 0 | 0 | 6 | 0 | 0 | 0 |
| desquamation of glandular epithelium | 5 | 1 | 0 | 0 | 1 | 1 | 2 | 2 | 6 | 0 | 0 | 0 | 6 | 0 | 0 | 0 |
| interstitial leukocytes infiltration | 6 | 0 | 0 | 0 | 1 | 1 | 1 | 3 | 6 | 0 | 0 | 0 | 6 | 0 | 0 | 0 |
| necrosis of glandular acini | 5 | 1 | 0 | 0 | 1 | 1 | 2 | 2 | 6 | 0 | 0 | 0 | 6 | 0 | 0 | 0 |
| e—Seminal vesicle | ||||||||||||||||
| leukocytes infiltration | 6 | 0 | 0 | 0 | 1 | 1 | 1 | 3 | 6 | 0 | 0 | 0 | 6 | 0 | 0 | 0 |
| congestion of blood vessel | 5 | 1 | 0 | 0 | 0 | 2 | 2 | 2 | 5 | 1 | 0 | 0 | 5 | 1 | 0 | 0 |
| necrotic tubuloalveolar glandular epithelial cells | 6 | 0 | 0 | 0 | 1 | 2 | 2 | 1 | 6 | 0 | 0 | 0 | 6 | 0 | 0 | 0 |
| low luminal secretions | 6 | 0 | 0 | 0 | 2 | 2 | 2 | 0 | 6 | 0 | 0 | 0 | 6 | 0 | 0 | 0 |
Publisher’s Note: MDPI stays neutral with regard to jurisdictional claims in published maps and institutional affiliations. |
© 2021 by the authors. Licensee MDPI, Basel, Switzerland. This article is an open access article distributed under the terms and conditions of the Creative Commons Attribution (CC BY) license (https://creativecommons.org/licenses/by/4.0/).
Share and Cite
Tohamy, H.G.; El-Kazaz, S.E.; Alotaibi, S.S.; Ibrahiem, H.S.; Shukry, M.; Dawood, M.A.O. Ameliorative Effects of Boswellic Acid on Fipronil-Induced Toxicity: Antioxidant State, Apoptotic Markers, and Testicular Steroidogenic Expression in Male Rats. Animals 2021, 11, 1302. https://doi.org/10.3390/ani11051302
Tohamy HG, El-Kazaz SE, Alotaibi SS, Ibrahiem HS, Shukry M, Dawood MAO. Ameliorative Effects of Boswellic Acid on Fipronil-Induced Toxicity: Antioxidant State, Apoptotic Markers, and Testicular Steroidogenic Expression in Male Rats. Animals. 2021; 11(5):1302. https://doi.org/10.3390/ani11051302
Chicago/Turabian StyleTohamy, Hossam G., Sara E. El-Kazaz, Saqer S. Alotaibi, Hawary S. Ibrahiem, Mustafa Shukry, and Mahmoud A. O. Dawood. 2021. "Ameliorative Effects of Boswellic Acid on Fipronil-Induced Toxicity: Antioxidant State, Apoptotic Markers, and Testicular Steroidogenic Expression in Male Rats" Animals 11, no. 5: 1302. https://doi.org/10.3390/ani11051302
APA StyleTohamy, H. G., El-Kazaz, S. E., Alotaibi, S. S., Ibrahiem, H. S., Shukry, M., & Dawood, M. A. O. (2021). Ameliorative Effects of Boswellic Acid on Fipronil-Induced Toxicity: Antioxidant State, Apoptotic Markers, and Testicular Steroidogenic Expression in Male Rats. Animals, 11(5), 1302. https://doi.org/10.3390/ani11051302

