Refinement of Animal Model of Colorectal Carcinogenesis through the Definition of Novel Humane Endpoints
Abstract
Simple Summary
Abstract
1. Introduction
2. Materials and Methods
2.1. Animals and Chemicals
2.2. Ethics Statement
2.3. Experimental Protocol
2.4. Body Temperature
2.5. Score Sheet
2.6. Animals’ Sacrifice
2.7. Histopathological Analysis
2.8. Statistical Analysis
3. Results
3.1. Animals’ Survival
3.2. HEs Analysis

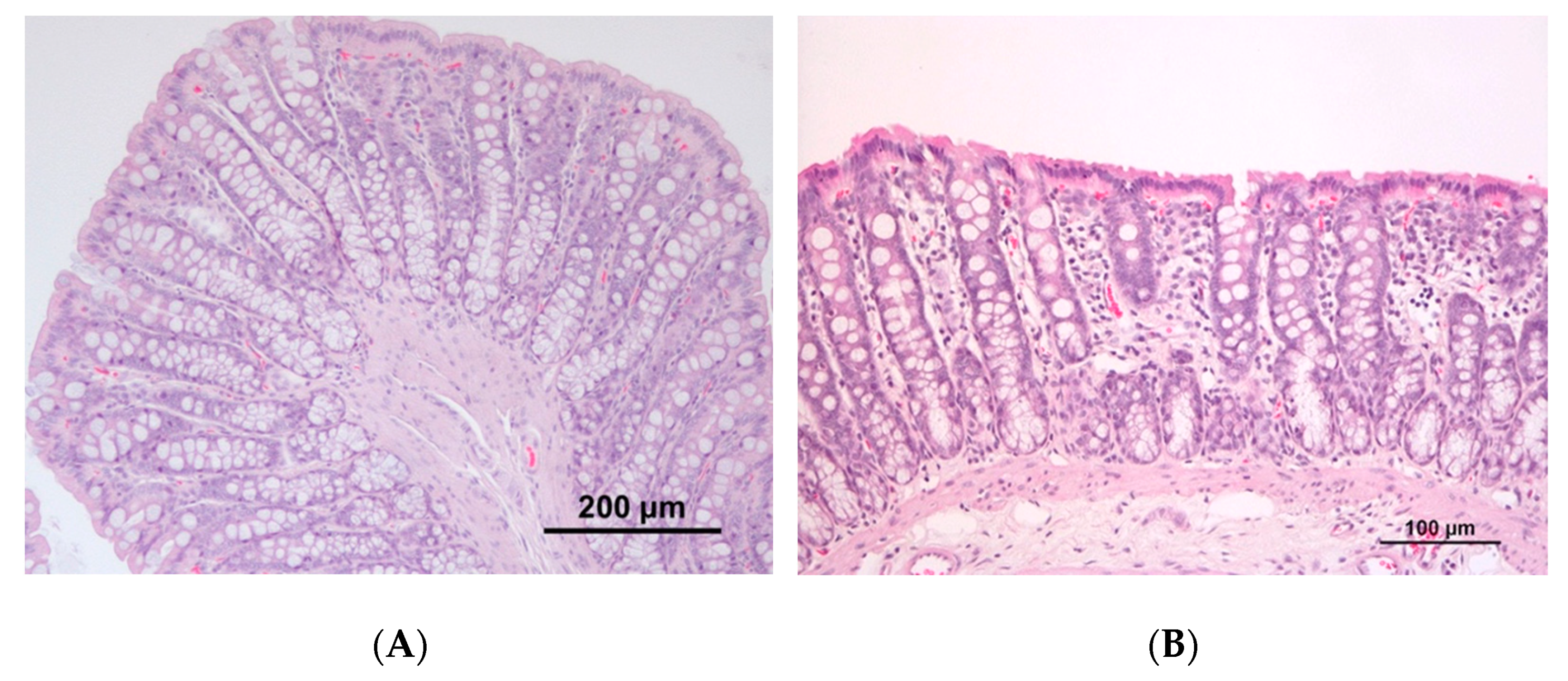
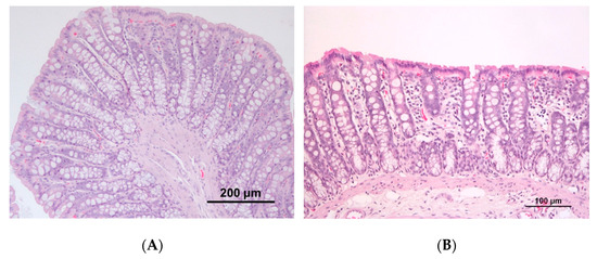
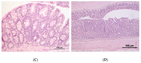
3.3. Macroscopic and Histopathological Analysis
3.4. Biological Parameters
3.5. Body Temperature
4. Discussion
5. Conclusions
Supplementary Materials
Author Contributions
Funding
Institutional Review Board Statement
Informed Consent Statement
Data Availability Statement
Conflicts of Interest
References
- Prasad, C.B. A Review on Drug Testing in Animals. Transl. Biomed. 2016, 7. [Google Scholar] [CrossRef][Green Version]
- Alvarado, A.; Faustino-Rocha, A.I.; Colaço, B.; Oliveira, P.A. Experimental mammary carcinogenesis—Rat models. Life Sci. 2017, 173, 116–134. [Google Scholar] [CrossRef] [PubMed]
- Hau, J. Animal Models for Human Diseases. In Sourcebook of Models for Biomedical Research; Humana Press: Totowa, NJ, USA, 2008; pp. 3–8. ISBN 9781588299338. [Google Scholar]
- Iannaccone, P.M.; Jacob, H.J. Rats! Dis. Model. Mech. 2009, 2, 206–210. [Google Scholar] [CrossRef] [PubMed]
- Oliveira, M.; Nascimento-gonçalves, E.; Silva, J.; Oliveira, P.A.; Ferreira, R.; Antunes, L.; Arantes-rodrigues, R.; Faustino-rocha, A.N.A.I. Implementation of Human Endpoints in a Urinary Bladder Carcinogenesis Study in Rats. In Vivo 2017, 31, 1073–1080. [Google Scholar] [CrossRef] [PubMed][Green Version]
- Tannenbaum, J.; Bennett, B.T. Russell and Burch’s 3Rs then and now: The need for clarity in definition and purpose. J. Am. Assoc. Lab. Anim. Sci. 2015, 54, 120–132. [Google Scholar] [PubMed]
- Franco, N.H.; Correia-Neves, M.; Olsson, I.A.S. How “humane” is your endpoint?-refining the science-driven approach for termination of animal studies of chronic infection. PLoS Pathog. 2012, 8, e1002399. [Google Scholar] [CrossRef] [PubMed]
- Toth, L.A. Defining the moribund condition as an experimental endpoint for animal research. ILAR J. 2000, 41, 72–79. [Google Scholar] [CrossRef] [PubMed]
- Faustino-Rocha, A.I.; Ginja, M.; Ferreira, R.; Oliveira, P.A. Studying humane endpoints in a rat model of mammary carcinogenesis. Iran. J. Basic Med. Sci. 2019, 22, 643–649. [Google Scholar] [CrossRef]
- Olfert, E.; Bhasin, J.; Latt, R.; Macallum, E.; McCutcheon, K.; Rainnie, D.; Schunk, M. CCAC Guidelines on: Choosing an Appropriate Endpoint in Experiments Using Animals for Research, Teaching and Testing; Canadian Council on Animal Care: Ottawa, ON, Canada, 1998.
- Wallace, J. Humane endpoints and cancer research. ILAR J. 2000, 41, 87–93. [Google Scholar] [CrossRef]
- Workman, P.; Aboagye, E.O.; Balkwill, F.; Balmain, A.; Bruder, G.; Chaplin, D.J.; Double, J.A.; Everitt, J.; Farningham, D.A.H.; Glennie, M.J.; et al. Guidelines for the welfare and use of animals in cancer research. Br. J. Cancer 2010, 102, 1555–1577. [Google Scholar] [CrossRef]
- Zhu, Q.; Jin, Z.; Wu, W.; Gao, R.; Guo, B.; Gao, Z.; Yang, Y.; Qin, H. Analysis of the intestinal lumen microbiota in an animal model of colorectal cancer. PLoS ONE 2014, 9, 1–10. [Google Scholar] [CrossRef]
- Mukerji, V. Dyspnea, Orthopnea, and Paroxysmal Nocturnal Dyspnea. In Clinical Methods: The History, Physical, and Laboratory Examinations; Walker, H., Hall, W., Hurst, J., Eds.; Butterworths: Boston, MA, USA, 1990. [Google Scholar]
- Mason, G.; Wilson, D.; Hampton, C.; Würbel, H. Non-invasively Assessing Disturbance and Stress in Laboratory Rats by Scoring Chromodacryorrhoea. Altern. Lab. Anim. 2004, 32, 153–159. [Google Scholar] [CrossRef]
- Sotocina, S.G.; Sorge, R.E.; Zaloum, A.; Tuttle, A.H.; Martin, L.J.; Wieskopf, J.S.; Mapplebeck, J.C.S.; Wei, P.; Zhan, S.; Zhang, S.; et al. The Rat Grimace Scale: A Partially Automated Method for Quantifying Pain in the Laboratory Rat via Facial Expressions. Mol. Pain 2011, 7, 55. [Google Scholar] [CrossRef]
- Arantes-rodrigues, R.; Henriques, A.; Pires, M.J.; Colaço, B.; Calado, A.M.; Rema, P.; Colaço, A.; Fernandes, T.; De Cruz, P.L.F.; Lopes, C.; et al. High doses of olive leaf extract induce liver changes in mice. Food Chem. Toxicol. 2011, 49, 1989–1997. [Google Scholar] [CrossRef] [PubMed]
- Nolte, T.; Brander-Weber, P.; Dangler, C.; Deschl, U.; Elwell, M.R.; Greaves, P.; Hailey, R.; Leach, M.W.; Pandiri, A.R.; Rogers, A.; et al. Nonproliferative and Proliferative Lesions ofthe Gastrointestinal Tract, Pancreas andSalivary Glands of the Rat and Mouse. J. Toxicol. Pathol. 2016, 29, 1S–125S. [Google Scholar] [CrossRef]
- Arnold, M.; Sierra, M.S.; Laversanne, M.; Soerjomataram, I.; Jemal, A.; Bray, F. Global patterns and trends in colorectal cancer incidence and mortality. Gut 2017, 66, 683–691. [Google Scholar] [CrossRef]
- Archana, M. Navale Animal Models of Cancer: A Review. Int. J. Pharm. Sci. Res. 2013, 4, 19–28. [Google Scholar]
- Heijstek, M.W.; Kranenburg, O.; Borel Rinkes, I.H.M. Mouse Models of Colorectal Cancer and Liver Metastases. Dig Surg 2005, 22, 16–25. [Google Scholar] [CrossRef] [PubMed]
- Levi, E.; Misra, S.; Du, J.; Patel, B.B.; Majumdar, A.P.N. Biochemical and Biophysical Research Communications Combination of aging and dimethylhydrazine treatment causes an increase in cancer—stem cell population of rat colonic crypts. Biochem. Biophys. Res. Commun. 2009, 385, 430–433. [Google Scholar] [CrossRef][Green Version]
- Jiminez, J.A.; Uwiera, T.C.; Douglas Inglis, G.; Uwiera, R.R.E. Animal models to study acute and chronic intestinal inflammation in mammals. Gut Pathog. 2015, 7, 29. [Google Scholar] [CrossRef]
- Kalueff, A.V.; Stewart, A.M.; Song, C.; Berridge, K.C.; Graybiel, A.M.; Fentress, J.C. Neurobiology of rodent self-grooming and its value for translational neuroscience. Nat. Rev. Neurosci. 2016, 17, 45–59. [Google Scholar] [CrossRef]
- Song, C.; Berridge, K.C.; Kalueff, A.V. “Stressing” rodent self-grooming for neuroscience research. Nat. Rev. Neurosci. 2016, 17, 591. [Google Scholar] [CrossRef] [PubMed]
- Jirkof, P.; Rudeck, J.; Lewejohann, L. Assessing Affective State in Laboratory Rodents to Promote Animal Welfare—What Is the Progress in Applied Refinement Research? Animals 2019, 9, 1026. [Google Scholar] [CrossRef]
- Nee, J.; Chippendale, R.Z.; Feuerstein, J.D. Screening for Colon Cancer in Older Adults: Risks, Benefits, and When to Stop. Mayo Clin. Proc. 2020, 95, 184–196. [Google Scholar] [CrossRef] [PubMed]
- Paster, E.V.; Villines, K.A.; Hickman, D.L. Endpoints for Mouse Abdominal Tumor Models: Refinement of Current Criteria. Comp. Med. 2009, 48, 234–241. [Google Scholar]
- Jia, X.D.; Han, C. Chemoprevention of tea on colorectal cancer induced by dimethylhydrazine in Wistar rats. World J. Gastroenterol. 2000, 6, 699–703. [Google Scholar] [CrossRef] [PubMed]
- He, D.; Zeng, J.; Li, X.; Wu, K.; Wu, D.; He, H.; Song, W.; Li, L. Priapism as the initial manifestation of a penile and lower limb cutaneous metastasis of prostate adenocarcinoma with low serum PSA level. J. Androl. 2012, 33, 1160–1164. [Google Scholar] [CrossRef]
- Siregar, S.; Adriansjah, R.; Sibarani, J.; Mustafa, A. Effect of Intracorporeal Human Adipose–Derived Stem Cells (hADSCs) on Corpora Cavernosa Transforming Growth Factor β1 (TGFβ1) and Collagen Type I Concentration in Wistar Rat Priapism Model. Res. Rep. Urol. 2020, 12, 21–27. [Google Scholar] [CrossRef]
- Taylor, D.K. Influence of Pain and Analgesia on Cancer Research Studies. Comp. Med. 2019, 69, 501–509. [Google Scholar] [CrossRef]
- Lofgren, J.; Miller, A.L.; Lee, C.C.S.; Bradshaw, C.; Flecknell, P.; Roughan, J. Analgesics promote welfare and sustain tumour growth in orthotopic 4T1 and B16 mouse cancer models. Lab. Anim. 2018, 52, 351–364. [Google Scholar] [CrossRef]
- Vuong, C.; Van Uum, S.H.M.; O’Dell, L.E.; Lutfy, K.; Friedman, T.C. The Effects of Opioids and Opioid Analogs on Animal and Human Endocrine Systems. Endocr. Rev. 2010, 31, 98–132. [Google Scholar] [CrossRef]
- Faustino-Rocha, A.I.; Silva, A.; Gabriel, J.; Teixeira-Guedes, C.I.; Lopes, C.; Gil da Costa, R.; Gama, A.; Ferreira, R.; Oliveira, P.A.; Ginja, M. Ultrasonographic, thermographic and histologic evaluation of MNU-induced mammary tumors in female Sprague-Dawley rats. Biomed. Pharmacother. 2013, 67, 771–776. [Google Scholar] [CrossRef]
- Banić, M.; Kolarić, D.; Borojević, N.; Ferenčić, Ž.; Pleško, S.; Petričušić, L.; BOŽIN, T.; Antonini, S. Thermography in patients with inflammatory bowel disease and colorectal cancer: Evidence and review of the method. Period. Biol. 2011, 113, 439–444. [Google Scholar]
- Webb, E.; Yuan, M.; Lemoine, N.R.; Wang, Y. Imaging in animal models. Integr. Cancer Sci. Ther. 2016, 3, 428–431. [Google Scholar] [CrossRef]
- Becker, C.; Fantini, M.C.; Wirtz, S.; Nikolaev, A.; Kiesslich, R.; Lehr, H.A.; Galle, P.R.; Neurath, M.F. In vivo imaging of colitis and colon cancer development in mice using high resolution chromoendoscopy. Gut 2005, 54, 950–954. [Google Scholar] [CrossRef]
- Ravoori, M.K.; Margalit, O.; Singh, S.; Kim, S.H.; Wei, W.; Menter, D.G.; DuBois, R.N.; Kundra, V. Magnetic Resonance Imaging and Bioluminescence Imaging for Evaluating Tumor Burden in Orthotopic Colon Cancer. Sci. Rep. 2019, 9, 6100. [Google Scholar] [CrossRef]




| Parameter | Score | ||||
|---|---|---|---|---|---|
| 0 | 1 | 2 | 3 | ||
| General appearance and state of consciousness of the animal | Body condition | Good | Altered body condition | Emaciated | --- |
| Body weigth (BW) | Normal | Loss of <10% | Loss of 10–20% | Loss of >20% (euthanasia) | |
| Posture | Normal posture | Posture changes (orthopnea posture) | --- | --- | |
| Hair appearance and grooming | Normal | Lack of grooming | Bad-looking hair and chromodachryorrhea | Chromodachryorrhea and hair with a very bad appearance | |
| Mucous color | Normal | Slightly anemic | Moderately anemic | Severe anemia | |
| Eyes, ears, and whiskers | Normal | Partially closed eyes, droopy ears, and forward whiskers | Completely closed eyes, droopy and curved ears, and forward and bunched whiskers | --- | |
| Mental status | Normal | Lethargic | --- | Stupor/coma (euthanasia) | |
| Behavior | Response to external stimuli | Normal | Moderate response | Moderate response with vocalization | Violent response |
| Clinical signs | Hydration status | Normal | Abnormal skin pinch test (>2 s) | --- | --- |
| Stool appearance | Normal | Diarrhea | Black (digested blood) | Bloody stool | |
| Convulsions | Absence | --- | --- | Presence | |
| Dimension of damage caused by injections | Without skin lesion | Lesion with diameter ≤8 mm | Lesion with diameters of ≥9 and ≤14 mm | Lesion with diameters of ≥15 mm | |
| Macroscopic appearance of induced skin lesions | Absence of necrosis | --- | --- | Presence of necrosis (euthanasia) | |
| Infection of induced skin lesions | Absence of infection | --- | --- | Presence of inflammatory exudate (euthanasia) | |
| Group | Mean ± SD |
|---|---|
| CTRL1 | 0.860 ± 0.283 |
| CRC1 | 0.695 ± 0.517 |
| CTRL2 | 0.593 ± 0.293 |
| CRC2 | 1.021 ± 0.488 a |
| Group | Animal | Cause of Death | Changed Parameter | Week |
|---|---|---|---|---|
| CRC1 | 1 | Hemorrhagic enteritis | Approximately 10% increase in BW | 5 |
| Swollen abdomen | 6 | |||
| Diarrhea | 6 | |||
| Priapism | 8 | |||
| Death | 10 | |||
| CRC2 | 2 | Approximately 10% increase in BW | 7 | |
| Swollen abdomen | 8 | |||
| Diarrhea | 10 | |||
| Priapism | 12 | |||
| Death | 14 | |||
| 3 | Approximately 6% increase in BW | 9 | ||
| Swollen abdomen | 10 | |||
| Diarrhea | 11 | |||
| Priapism | 14 | |||
| Death | 16 | |||
| 4 | Swollen abdomen | 15 | ||
| Diarrhea | 16 | |||
| Death | 17 |
| Animal | Ponderal Gain (%) | |||
|---|---|---|---|---|
| Acclimatization Period | 1st Week of Administration | Week before the BW Increase | Week of a Sudden BW Increase | |
| 1 | 15.60 | 7.61 | −6.73 | 10.49 |
| 2 | 16.04 | 10.91 | 2.11 | 6.40 |
| 3 | 14.57 | 9.27 | 2.11 | 9.48 |
Publisher’s Note: MDPI stays neutral with regard to jurisdictional claims in published maps and institutional affiliations. |
© 2021 by the authors. Licensee MDPI, Basel, Switzerland. This article is an open access article distributed under the terms and conditions of the Creative Commons Attribution (CC BY) license (https://creativecommons.org/licenses/by/4.0/).
Share and Cite
Silva-Reis, R.; Faustino-Rocha, A.I.; Gonçalves, M.; Ribeiro, C.C.; Ferreira, T.; Ribeiro-Silva, C.; Gonçalves, L.; Antunes, L.; Venâncio, C.; Ferreira, R.; et al. Refinement of Animal Model of Colorectal Carcinogenesis through the Definition of Novel Humane Endpoints. Animals 2021, 11, 985. https://doi.org/10.3390/ani11040985
Silva-Reis R, Faustino-Rocha AI, Gonçalves M, Ribeiro CC, Ferreira T, Ribeiro-Silva C, Gonçalves L, Antunes L, Venâncio C, Ferreira R, et al. Refinement of Animal Model of Colorectal Carcinogenesis through the Definition of Novel Humane Endpoints. Animals. 2021; 11(4):985. https://doi.org/10.3390/ani11040985
Chicago/Turabian StyleSilva-Reis, Rita, Ana I. Faustino-Rocha, Mariana Gonçalves, Catarina Castro Ribeiro, Tiago Ferreira, Carla Ribeiro-Silva, Lio Gonçalves, Luís Antunes, Carlos Venâncio, Rita Ferreira, and et al. 2021. "Refinement of Animal Model of Colorectal Carcinogenesis through the Definition of Novel Humane Endpoints" Animals 11, no. 4: 985. https://doi.org/10.3390/ani11040985
APA StyleSilva-Reis, R., Faustino-Rocha, A. I., Gonçalves, M., Ribeiro, C. C., Ferreira, T., Ribeiro-Silva, C., Gonçalves, L., Antunes, L., Venâncio, C., Ferreira, R., Gama, A., & Oliveira, P. A. (2021). Refinement of Animal Model of Colorectal Carcinogenesis through the Definition of Novel Humane Endpoints. Animals, 11(4), 985. https://doi.org/10.3390/ani11040985

