Coping with Tissue Sampling in Suboptimal Conditions: Comparison of Different Tissue Preservation Methods for Histological and Molecular Analysis
Abstract
Simple Summary
Abstract
1. Introduction
2. Materials and Methods
2.1. Sampling
- -
- One sample (T0) was collected and immediately fixed in 10% neutral buffered formalin and used as a control for histological analysis. Another punch biopsy (T0) was immediately put into RNAlater solution and stored for 72 h at 4 °C; then, the solution was discarded, and the sample was immediately frozen at −80 °C and used as a control for biomolecular analysis.
- -
- Ten samples were put into 10 different microfuge tubes with 1.3 mL of RNAlater each.
- -
- Ten samples were put into 10 different 10 mL tubes filled with about 5.6 g of silica beads.
- -
- Ten samples were vacuum-sealed with double sealing.
- -
- Ten samples were put into 10 different 50 mL tubes without preservation treatments.
2.2. Histology
2.3. Biomolecular Analyses
2.3.1. DNA Isolation
2.3.2. RNA Isolation
2.3.3. Nucleic Acid Quantification and Analysis
2.4. Statistical Analysis
3. Results
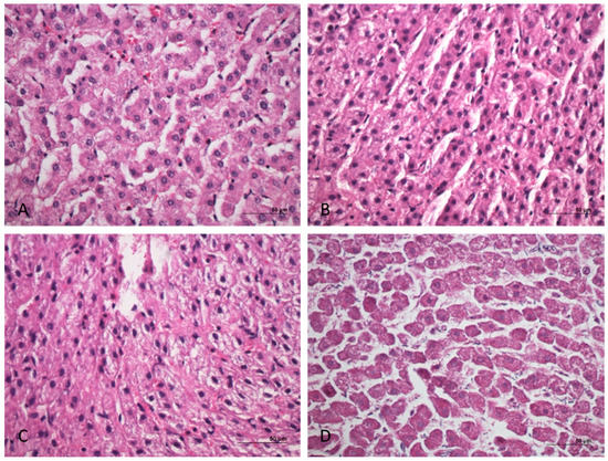
3.1. Histology
3.1.1. Results for Samples Stored at 4 °C
3.1.2. Results for Samples Stored at 24 °C
3.2. DNA Analysis
3.3. RNA Analysis
4. Discussion
5. Conclusions
Author Contributions
Funding
Institutional Review Board Statement
Data Availability Statement
Conflicts of Interest
References
- Michaud, C.L.; Foran, D.R. Simplified field preservation of tissues for subsequent DNA analyses. J. Forensic Sci. 2011, 56, 846–852. [Google Scholar] [CrossRef] [PubMed]
- Groelz, D.; Sobin, L.; Branton, P.; Compton, C.; Wyrich, R.; Rainen, L. Non-formalin fixative versus formalin-fixed tissue: A comparison of histology and RNA quality. Exp. Mol. Pathol. 2013, 94, 188–194. [Google Scholar] [CrossRef] [PubMed]
- Grizzle, W. Special symposium: Fixation and tissue processing models. Biotech. Histochem. 2009, 84, 185–193. [Google Scholar] [CrossRef] [PubMed]
- IARC. Chemical Agents and Related Occupations-Formaldehyde. In IARC Monographs on the Evaluation of Carcinogenic Risks to Humans; IARC: Lyon, France, 2012; Volume 100F, pp. 401–435. [Google Scholar]
- Haffner, M.J.; Oakes, P.; Demerdash, A.; Yammine, K.C.; Watanabe, K.; Loukas, M.; Tubbs, R.S. Formaldehyde exposure and its effects during pregnancy: Recommendations for laboratory attendance based on available data. Clin. Anat. 2015, 28, 972–979. [Google Scholar] [CrossRef] [PubMed]
- Jia, X.; Jia, Q.; Zhang, Z.; Gao, W.; Zhang, X.; Niu, Y.; Meng, T. Effects of Formaldehyde on Lymphocyte Subsets and Cytokines in the Peripheral Blood of Exposed Workers. PLoS ONE 2014, 9, e104069. [Google Scholar] [CrossRef] [PubMed]
- Zendehdel, R.; Fazli, Z. Neurotoxicity effect of formaldehyde on occupational exposure and influence of individual susceptibility to some metabolism parameters. Environ. Monit. Assess. 2016, 188, 1–7. [Google Scholar] [CrossRef] [PubMed]
- Srinivasan, M.; Sedmak, D.; Jewell, S. Effect of fixatives and tissue processing on the content and integrity of nucleic acids. Am. J. Pathol. 2002, 161, 1961–1971. [Google Scholar] [CrossRef]
- Guyard, A.; Boyez, A.; Pujals, A.; Robe, C.; Van, J.T.; Allory, Y.; Moroch, J.; Georges, O.; Fournet, J.; Zafrani, E.; et al. DNA degrades during storage in formalin-fixed and paraffin-embedded tissue blocks. Virchows Archiv. 2017, 471, 491–500. [Google Scholar] [CrossRef]
- Staff, S.; Kujala, P.; Karhu, R.; Rökman, A.; Ilvesaro, J.; Kares, S.; Isola, J. Preservation of nucleic acids and tissue morphology in paraffin-embedded clinical samples: Comparison of five molecular fixatives. J. Clin. Pathol. 2013, 66, 807–810. [Google Scholar] [CrossRef]
- Webster, J.D.; Miller, M.A.; Dusold, D.; Ramos-Vara, J. Effects of prolonged formalin fixation on diagnostic immunohistochemistry in domestic animals. J. Histochem. Cytochem. 2009, 57, 753–761. [Google Scholar] [CrossRef]
- Shi, S.R.; Cote, R.J.; Taylor, C.R. Antigen retrieval techniques: Current perspectives. J. Histochem. Cytochem. 2001, 49, 931–937. [Google Scholar] [CrossRef] [PubMed]
- Mairaville, C.; Martineau, P. Antibody Identification for Antigen Detection in Formalin-Fixed Paraffin-Embedded Tissue Using Phage Display and Naïve Libraries. Antibodies 2021, 10, 4. [Google Scholar] [CrossRef] [PubMed]
- Fazekas, J.; Grunt, T.W.; Jensen-Jarolim, E.; Singer, J. Long term storage in liquid nitrogen leads to only minor phenotypic and gene expression changes in the mammary carcinoma model cell line BT474. Oncotarget 2017, 8, 35076–35087. [Google Scholar] [CrossRef] [PubMed]
- Mirabet, V.; Carda, C.; Solves, P.; Novella-Maestre, E.; Carbonell-Uberos, F.; Caffarena, J.M.; Hornero, F.; Montero, J.A.; Roig, R.J. Long-term storage in liquid nitrogen does not affect cell viability in cardiac valve allografts. Cryobiology 2008, 57, 113–121. [Google Scholar] [CrossRef] [PubMed]
- Wang, M.; Ji, X.; Wang, B.; Li, Q.; Zhou, J. Simultaneous Evaluation of the Preservative Effect of RNAlater on Different Tissues by Biomolecular and Histological Analysis. Biopreserv. Biobank. 2018, 16, 426–433. [Google Scholar] [CrossRef] [PubMed]
- Nagy, Z.T. A hands-on overview of tissue preservation methods for molecular genetic analyses. Org. Divers. Evol. 2010, 10, 91–105. [Google Scholar] [CrossRef]
- Suhovskih, A.V.; Kazanskaya, G.M.; Volkov, A.M.; Tsidulko, A.Y.; Aidagulova, S.V.; Grigorieva, E.V. Suitability of RNALater solution as a tissue-preserving reagent for immunohistochemical analysis. Histochem. Cell Biol. 2019, 152, 239–247. [Google Scholar] [CrossRef]
- Mastracci, L.; Gambella, A.; Bragoni, A.; Pigozzi, S.; Pastorino, L.; Vanni, I.; Tosi, I.; Campora, M.; Fiocca, R.; Grillo, F. Coping with formalin banning in pathology: Under vacuum long-term tissue storage with no added formalin. Histochem. Cell Biol. 2019, 151, 501–511. [Google Scholar] [CrossRef]
- Bussolati, G.; Chiusa, L.; Cimino, A.; D’Armento, G. Tissue transfer to pathology labs: Under vacuum is the safe alternative to formalin. Virchows Arch. 2008, 452, 229–231. [Google Scholar] [CrossRef]
- Annaratone, L.; Marchiò, C.; Sapino, A. Tissues under-vacuum to overcome suboptimal preservation. N. Biotechnol. 2019, 52, 104–109. [Google Scholar] [CrossRef]
- Murphy, M.A.; Waits, L.P.; Kendall, K.C.; Wasser, S.K.; Higbee, J.A.; Bogden, R. An evaluation of long-term preservation methods for brown bear (Ursus arctos) faecal DNA samples. Conserv. Genet. 2002, 3, 435–440. [Google Scholar] [CrossRef]
- Corthals, A.; Martin, A.; Warsi, O.M.; Woller-skar, M. From the Field to the Lab: Best Practices for Field Preservation of Bat Specimens for Molecular Analyses. PLoS ONE 2015, 10, e0118994. [Google Scholar] [CrossRef] [PubMed]
- Miljudin, E.S.; Zolotaryov, A.V.; Volova, L.T.; Ahmerova, U.M. Silica gel dissication of amniotic membrane with related epithelium cells for ocular surface reconstruction. Cell Tissue Bank. 2004, 5, 271–275. [Google Scholar] [CrossRef] [PubMed]
- Galloway, A.; Birkby, W.H.; Jones, A.M.; Henry, T.E.; Parks, B.O. Decay Rates of Human Remains in an Arid Environment. J. Forensic. Sci. 1989, 34, 12680J. [Google Scholar] [CrossRef]
- Moffatt, C.; Simmons, T.; Lynch-Aird, J. An Improved Equation for TBS and ADD: Establishing a Reliable Postmortem Interval Framework for Casework and Experimental Studies. J. Forensic Sci. 2016, 61, 201–207. [Google Scholar] [CrossRef] [PubMed]
- Brooks, J.W. Postmortem Changes in Animal Carcasses and Estimation of the Postmortem Interval. Vet. Pathol. 2016, 53, 929–940. [Google Scholar] [CrossRef]
- Keough, N.; Myburgh, J.; Steyn, M. Scoring of Decomposition: A Proposed Amendment to the Method When Using a Pig Model for Human Studies. J. Forensic Sci. 2017, 62, 986–993. [Google Scholar] [CrossRef] [PubMed]
- Vass, A.A. The elusive universal post-mortem interval formula. Forensic. Sci. Int. 2011, 204, 34–40. [Google Scholar] [CrossRef]
- Fernández, P.L. Palaeopathology: The study of disease in the past. Pathobiology 2012, 79, 221–227. [Google Scholar] [CrossRef]
- Mekota, A.M.; Vermehren, M. Determination of optimal rehydration, fixation and staining methods for histological and immunohistochemical analysis of mummified soft tissues. Biotech. Histochem. 2005, 80, 7–13. [Google Scholar] [CrossRef]
- Nerlich, A.G.; Parsche, F.; Kirsch, T.; Wiest, I.; Von Der Mark, K. Immunohistochemical detection of interstitial collagens in bone and cartilage tissue remnants in an infant Peruvian mummy. Am. J. Phys. Anthropol. 1993, 91, 279–285. [Google Scholar] [CrossRef] [PubMed]





| Score | Nuclei | Cytoplasm | Structure | Inflammatory Infiltrate |
|---|---|---|---|---|
| 1 | Absent | Marked loss of cellular integrity | Unrecognizable | Unrecognizable |
| 2 | Fading | Loss of cellular integrity | Hard to be recognized | Hard to be assessed |
| 3 | Shrinked | Vacuolized | Recognizable | Recognizable |
| 4 | Rounded, with coarsed chromatin | Multifaceted, with some vacuolization | Preserved | Easily recognizable |
| 5 | Rounded, with evident nucleoli | Multifaceted, without vacuolization | Perfectly preserved | Very easily recognizable |
Publisher’s Note: MDPI stays neutral with regard to jurisdictional claims in published maps and institutional affiliations. |
© 2021 by the authors. Licensee MDPI, Basel, Switzerland. This article is an open access article distributed under the terms and conditions of the Creative Commons Attribution (CC BY) license (http://creativecommons.org/licenses/by/4.0/).
Share and Cite
Nicoletti, A.; Pregel, P.; Starvaggi Cucuzza, L.; Cannizzo, F.T.; Sereno, A.; Scaglione, F.E. Coping with Tissue Sampling in Suboptimal Conditions: Comparison of Different Tissue Preservation Methods for Histological and Molecular Analysis. Animals 2021, 11, 649. https://doi.org/10.3390/ani11030649
Nicoletti A, Pregel P, Starvaggi Cucuzza L, Cannizzo FT, Sereno A, Scaglione FE. Coping with Tissue Sampling in Suboptimal Conditions: Comparison of Different Tissue Preservation Methods for Histological and Molecular Analysis. Animals. 2021; 11(3):649. https://doi.org/10.3390/ani11030649
Chicago/Turabian StyleNicoletti, Arturo, Paola Pregel, Laura Starvaggi Cucuzza, Francesca Tiziana Cannizzo, Alessandra Sereno, and Frine Eleonora Scaglione. 2021. "Coping with Tissue Sampling in Suboptimal Conditions: Comparison of Different Tissue Preservation Methods for Histological and Molecular Analysis" Animals 11, no. 3: 649. https://doi.org/10.3390/ani11030649
APA StyleNicoletti, A., Pregel, P., Starvaggi Cucuzza, L., Cannizzo, F. T., Sereno, A., & Scaglione, F. E. (2021). Coping with Tissue Sampling in Suboptimal Conditions: Comparison of Different Tissue Preservation Methods for Histological and Molecular Analysis. Animals, 11(3), 649. https://doi.org/10.3390/ani11030649

