Pathogenesis of Isospora amphiboluri in Bearded Dragons (Pogona vitticeps)
Abstract
Simple Summary
Abstract
1. Introduction
2. Materials and Methods
2.1. Animals
2.2. Collecting and Processing Oocysts
2.3. Prepatent Period Model
2.4. Pathogenesis Model
2.5. Statistical Analysis
3. Results
3.1. Prepatent Period
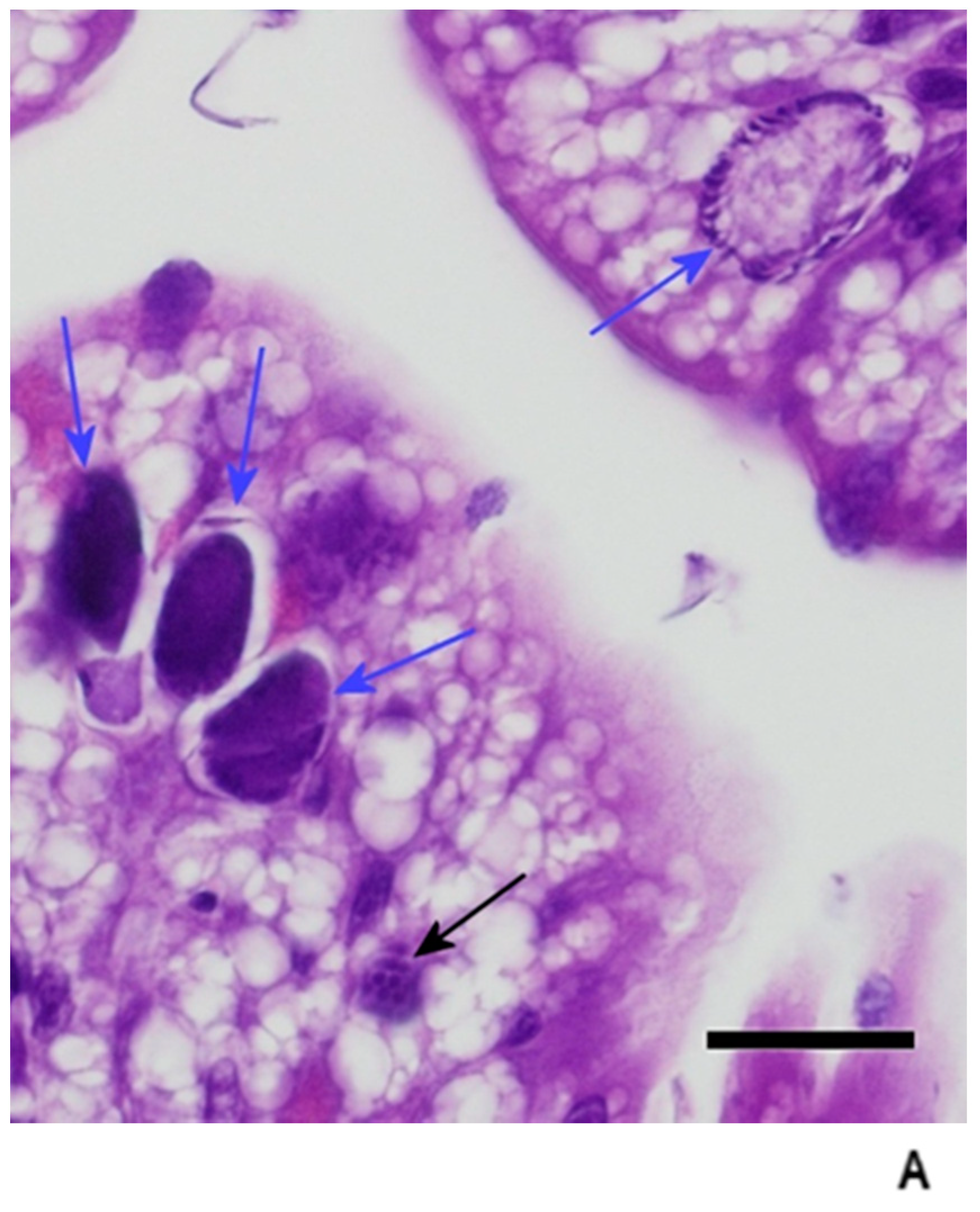
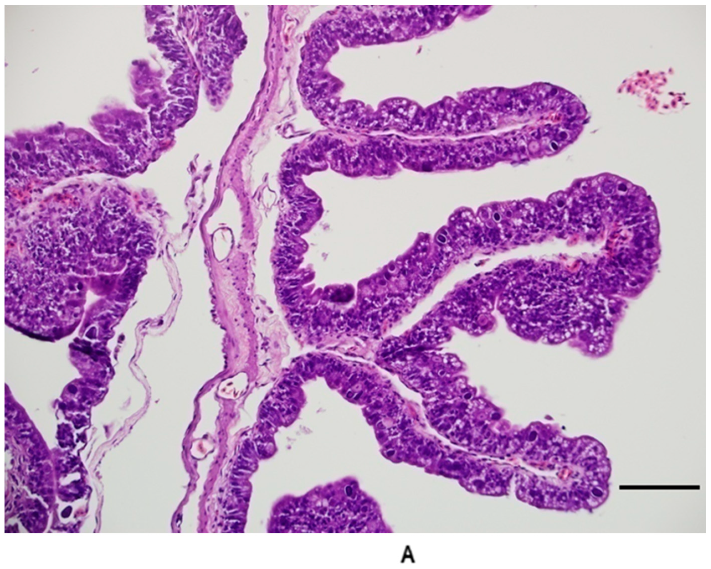
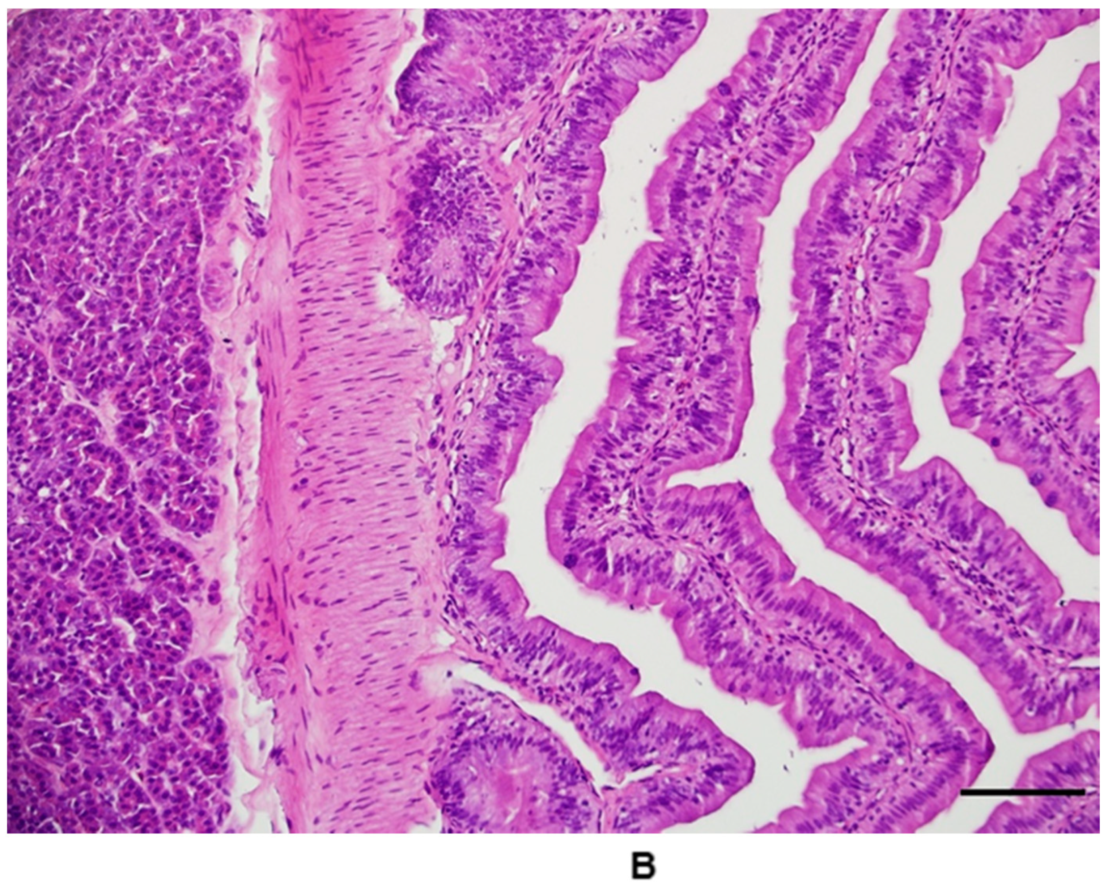
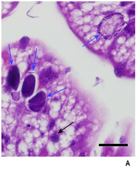
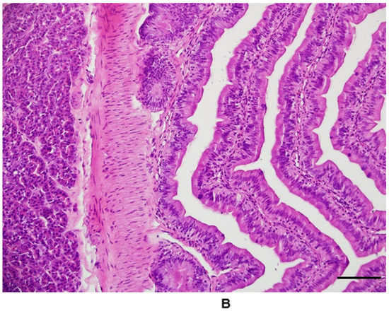
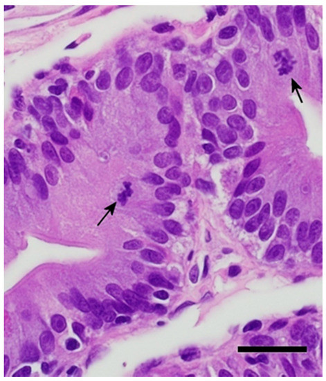
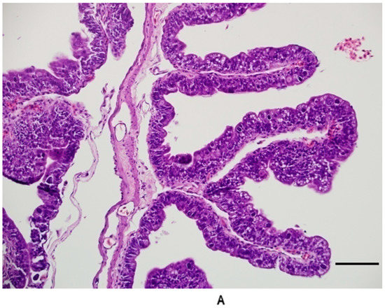
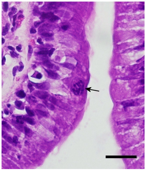
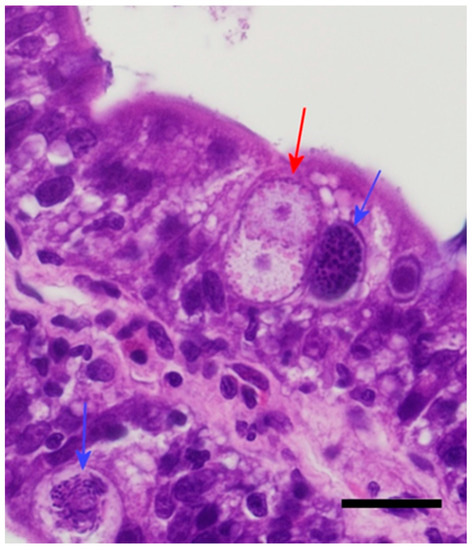
3.2. Pathogenesis of Isospora Amphiboluri
4. Discussion
4.1. Prepatent Period
4.2. Pathogenesis of Isospora Amphiboluri
5. Conclusions
Author Contributions
Funding
Institutional Review Board Statement
Data Availability Statement
Conflicts of Interest
References
- Kheyisin, E.M. Life Cycles of Coccidia of Domestic Animals; University Park Press: Baltimore, MD, USA, 1972; p. 264. [Google Scholar]
- Hammond, D.M.; Long, P.L. The Coccidia: Eimeria, Isospora, Toxoplasma, and Related Genera; University Park Press: Baltimore, MD, USA, 1973; p. 482. [Google Scholar]
- Long, P.L. The Biology of the Coccidia; University Park Press: Baltimore, MD, USA, 1982; p. 502. [Google Scholar]
- Bovee, E.C. Isospora crotali in the Florida diamond-back rattlesnake. J. Protozool. 1982, 9, 459–466. [Google Scholar] [CrossRef]
- Cannon, L.R. New coccidia from Australian lizards. I. Isospora. Parasitol. 1967, 57, 227–235. [Google Scholar] [CrossRef] [PubMed]
- Else, J.G.; Colley, F.C. Eimeria cicaki sp. n. and Isospora thavari sp. n. from the house lizard Gehyra mutilata Boulenger in Malaysia. J. Protozool. 1975, 22, 455–457. [Google Scholar] [CrossRef]
- Atkinson, C.T.; Ayala, S.C. Isospora manchacensis n. sp., an intranuclear coccidian from the Louisiana ground skink, Scincella lateralis (Say, 1823) (Lacertilia: Scincidae). J. Parasitol. 1987, 73, 817–823. [Google Scholar] [CrossRef]
- Upton, S.J.; Barnard, S.M. Two new species of coccidia (Apicomplexa: Eimeriidae) from Madagascar Gekkonids. J. Protozool. 1987, 34, 452–454. [Google Scholar] [CrossRef]
- McAllister, C.T.; Upton, S.J.; Jacobson, E.R.; Kopit, W. A description of Isospora amphiboluri (Apicomplexa: Eimeriidae) from the inland bearded dragon, Pogona vitticeps (Sauria: Agamidae). J. Parasitol. 1995, 81, 281–284. [Google Scholar] [CrossRef]
- Couch, L.; Stone, P.A.; Duszynski, D.W.; Snell, H.L.; Snell, H.M. A survey of the coccidian parasites of reptiles from islands of the Galapagos archipelago: 1990–1994. J. Parasitol. 1996, 82, 432–437. [Google Scholar] [CrossRef] [PubMed]
- Maupin, R.S.; Diong, C.H.; McQuistion, T.E. Two new coccidian parasites from the grand anglehead lizard, Gonocephalus grandis from Peninsular Malaysia. J. Parasitol. 1998, 84, 1210–1212. [Google Scholar] [CrossRef] [PubMed]
- Paperna, I.; Finkelman, S. The fine structure of reptilian Isospora species with intranuclear endogenous development. Parasitologia 1998, 40, 283–296. [Google Scholar]
- Lainson, R.; Paperna, I. Re-descriptions of Isospora ameivae Carini, 1932 in the teiid lizard Ameiva ameiva and Isospora hemidactyli Carini, 1936 in the gecko Hemidactylus mabouia, with particular reference to their endogenous stages. Memórias Inst. Oswaldo Cruz 1999, 94, 459–466. [Google Scholar] [CrossRef]
- Modry, D.; Vesely, M.; Koudela, B. Two new species of coccidia (apicomplexa: Eimeriidae) from the bearded false chameleon Chamaeleolis barbatus (Sauria: Polychridae) from cinco pesos, Pinar Del Rio, Cuba. J. Parasitol. 1999, 85, 719–722. [Google Scholar] [CrossRef]
- Paperna, I.; Lainson, R. The fine structure of the endogenous stages of Isospora hemidactyli Carini, 1936 in the gecko Hemidactylus mabouia from North Brazil. Memórias Inst. Oswaldo Cruz 2000, 95, 43–47. [Google Scholar] [CrossRef]
- Modry, D.; Slapeta, J.R.; Koudela, B. Six new species of coccidia (Apicomplexa: Eimeriidae) from East African chameleons (Sauria: Chamaeleonidae). J. Parasitol. 2000, 86, 373–379. [Google Scholar] [CrossRef]
- Modry, D.; Daszak, P.; Volf, J.; Vesely, M.; Ball, S.J.; Koudela, B. Five new species of coccidia (Apicomplexa: Eimeriidae) from Madagascan chameleons (Sauria: Chamaeleonidae). Syst. Parasitol. 2001, 48, 117–123. [Google Scholar] [CrossRef] [PubMed]
- Finkelman, S.; Paperna, I. The endogenous development of four new species of Isospora Schneider, 1881 (Apicomplexa: Eimeriidae) from Australian geckos. Syst. Parasitol. 2002, 51, 59–71. [Google Scholar] [CrossRef] [PubMed]
- Lainson, R. Some coccidial parasites of the lizard Amphisbaena alba (Reptilia: Amphisbaenia: Amphisbaenidae). Memórias Inst. Oswaldo Cruz 2003, 98, 927–936. [Google Scholar] [CrossRef] [PubMed]
- Modry, D.; Jirku, M.; Vesely, M. Two new species of Isospora (Apicomplexa: Eimeriidae) from geckoes of the genus Rhacodactylus (Sauria: Gekkonidae) endemic to New Caledonia. Folia Parasitol. 2004, 51, 283–286. [Google Scholar] [CrossRef]
- Leinwand, I.; Kilpatrick, A.M.; Cole, N.; Jones, C.G.; Daszak, P. Patterns of coccidial prevalence in lizards of Mauritius. J. Parasitol. 2005, 91, 1103–1108. [Google Scholar] [CrossRef]
- Modry, D.; Jirku, M. Three new species of coccidia (Apicomplexa: Eimeriorina) from the marble-throated skink, Marmorosphax tricolor Bavay, 1869 (Reptilia: Scincidae), endemic to New Caledonia with a taxonomic revision of Eimeria spp. from scincid hosts. Parasitol. Res. 2006, 99, 419–428. [Google Scholar] [CrossRef]
- Paperna, I. Isospora carliae sp. n. (Apicomplexa: Eimeriidae) from the skink Carlia rhomboidalis (Peters) from Daintree Forest, North Queensland, Australia: Description and fine-structural account of endogenous development. Folia Parasitol. 2006, 53, 249–254. [Google Scholar] [CrossRef]
- Frenkel, J.K.; Dubey, J.P. Rodents as vectors for feline coccidia, Isospora felis and Isospora rivolta. J Infect Dis 1972, 125, 69–72. [Google Scholar] [CrossRef] [PubMed]
- Dubey, J.P. Taxonomy of Sarcocystis and other coccidia of cats and dogs. J. Am. Vet. Med. Assoc. 1977, 170, 778–782. [Google Scholar]
- Dubey, J.P.; Frenkel, J.K. Extra-intestinal stages of Isospora felis and I. rivolta (Protozoa: Eimeriidae) in cats. J. Protozool. 1972, 19, 89–92. [Google Scholar] [CrossRef] [PubMed]
- Box, E.D. Life cycles of two Isopora species in the canary, Serinus canarius Linnaeus. J. Protozool. 1977, 24, 57–67. [Google Scholar] [CrossRef]
- Finkelman, S.; Paperna, I. The endogenous development of four new species of Isospora (Apicomplexa: Eimeriidae) from skinks. Syst. Parasitol. 1994, 27, 227–235. [Google Scholar] [CrossRef]
- Kim, D.Y.; Mitchell, M.A.; Bauer, R.W.; Poston, R.; Cho, D.Y. An outbreak of adenoviral infection in inland bearded dragons (Pogona vitticeps) coinfected with dependovirus and coccidial protozoa (Isospora sp.). J. Vet. Diagn. Investig. 2002, 14, 332–334. [Google Scholar] [CrossRef] [PubMed]
- Hammond, D.M.; Bowman, G.W.; Davis, L.R.; Simms, B.T. The endogenous phase of the life cycle of Eimeria bovis. J. Parasitol. 1946, 32, 409–427. [Google Scholar] [CrossRef]
- Krassner, S.M. Factors in host susceptibility and oocyst infectivity in Eimeria acervulina infections. J. Protozool. 1963, 10, 327–333. [Google Scholar] [CrossRef]
- Lotze, J.C.; Leek, R.G. Excystation of the sporozoites of Eimeria tenella in apparently unbroken oocysts in chickens. J. Protozool. 1968, 15, 693–697. [Google Scholar] [CrossRef]









Publisher’s Note: MDPI stays neutral with regard to jurisdictional claims in published maps and institutional affiliations. |
© 2021 by the authors. Licensee MDPI, Basel, Switzerland. This article is an open access article distributed under the terms and conditions of the Creative Commons Attribution (CC BY) license (http://creativecommons.org/licenses/by/4.0/).
Share and Cite
Walden, M.; Mitchell, M.A. Pathogenesis of Isospora amphiboluri in Bearded Dragons (Pogona vitticeps). Animals 2021, 11, 438. https://doi.org/10.3390/ani11020438
Walden M, Mitchell MA. Pathogenesis of Isospora amphiboluri in Bearded Dragons (Pogona vitticeps). Animals. 2021; 11(2):438. https://doi.org/10.3390/ani11020438
Chicago/Turabian StyleWalden, Michael, and Mark A. Mitchell. 2021. "Pathogenesis of Isospora amphiboluri in Bearded Dragons (Pogona vitticeps)" Animals 11, no. 2: 438. https://doi.org/10.3390/ani11020438
APA StyleWalden, M., & Mitchell, M. A. (2021). Pathogenesis of Isospora amphiboluri in Bearded Dragons (Pogona vitticeps). Animals, 11(2), 438. https://doi.org/10.3390/ani11020438
