Disseminated Candidiasis and Candidemia Caused by Candida palmioleophila in a Green Sea Turtle (Chelonia mydas)
Abstract
Simple Summary
Abstract
1. Introduction
2. Materials and Methods
2.1. Case
2.2. Mycological Studies
2.3. Antifungal Susceptibility Testing
2.4. Postmortem Examination and Histopathology
3. Results
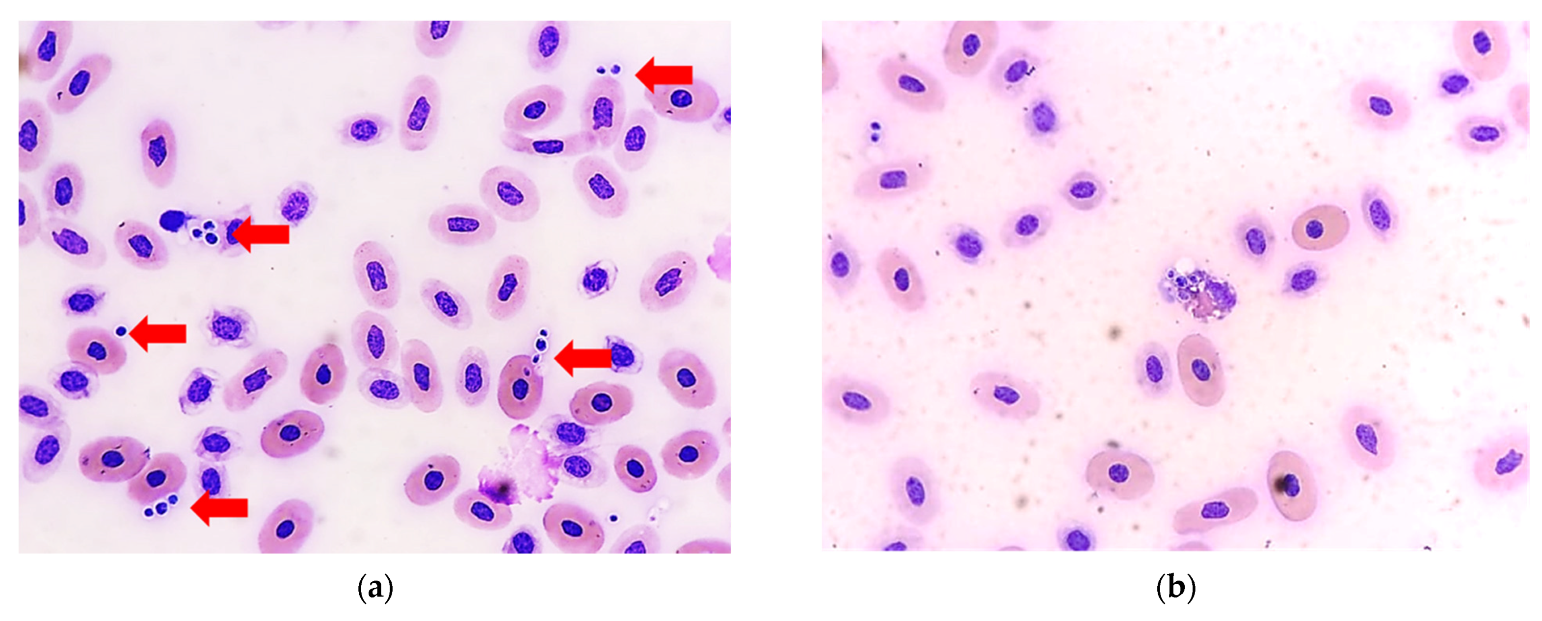
3.1. Mycological Studies
3.2. Antifungal Susceptibility Testing
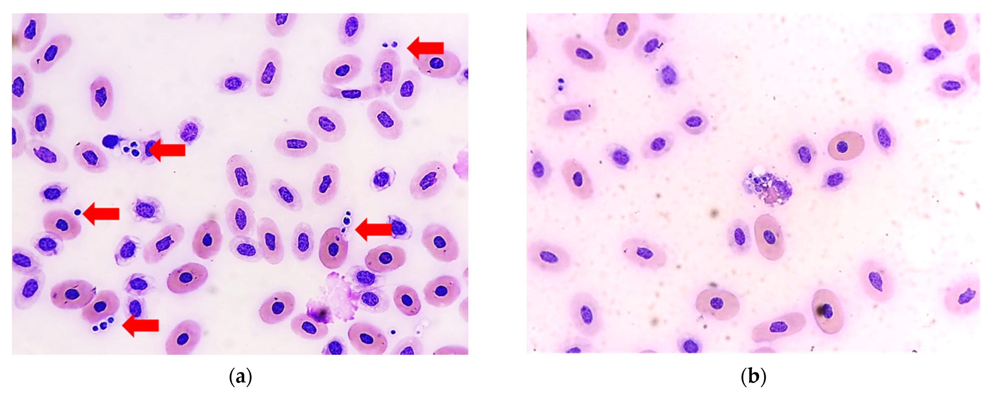
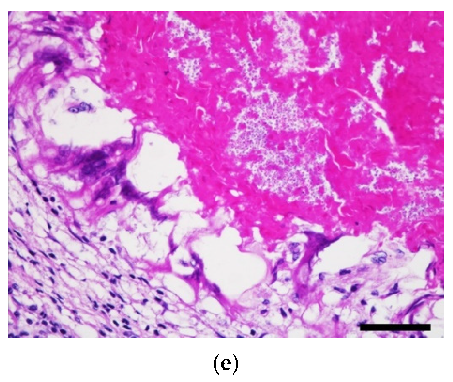
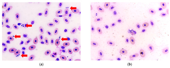
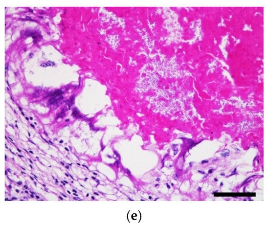
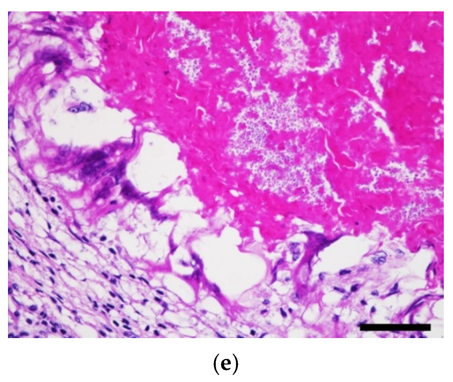
3.3. Pathological Examination
4. Discussion
5. Conclusions
Author Contributions
Funding
Institutional Review Board Statement
Informed Consent Statement
Data Availability Statement
Acknowledgments
Conflicts of Interest
References
- Jacobson, E.R.; Garner, M.M. Infectious Diseases and Pathology of Reptiles: Color Atlas and Text, Diseases and Pathology of Reptiles, 2nd ed.; CRC Press: Boca Raton, FL, USA, 2020; Volume 1. [Google Scholar]
- Chan, F.-T.; Hsuan, S.-L.; Chang, S.-C.; Lin, P.-I.; Wang, L.-M.; Yang, C.-L.; Lee, W.-C.; Chien, M.-S.; Chang, W.-F.; Kuo, M.-J.; et al. Case report: Systemic candidiasis in a captured yellow-headed tortoise (Indotestudo elongate). Taiwan Vet. J. 2011, 37, 30–35. [Google Scholar]
- Pawaiya, R.; Sarma, A.K.; Swarup, D.; Somvanshi, R. Pathology of mycotic gastritis in a wild Indian freshwater/marsh crocodile (Mugger; Crocodylus palustris): A case report. Vet. Med. 2011, 56, 135–139. [Google Scholar] [CrossRef]
- Manire, C.A.; Norton, T.; Stacy, B.; Innis, C.; Harms, C. Sea Turtle Health and Rehabilitation, 1st ed.; J. Ross Publishing: Plantation, FL, USA, 2017. [Google Scholar]
- Wang, Y.-F.; Li, T.-H.; Jiang, Y.-F.; Chi, C.-H.; Cheng, I.-J.; Cheng, C.-H.; Sun, R.; Yu, P.H. Light microscopic and ultrastructural characteristics of heterophil toxicity and left-shifting in green sea turtles (Chelonia mydas) from Taiwan. Zool. Stud. 2020, 59, e52. [Google Scholar]
- Lewbart, G.A.; Hirschfeld, M.; Denkinger, J.; Vasco, K.; Guevara, N.; García, J.; Muñoz, J.; Lohmann, K.J. Blood gases, biochemistry, and hematology of Galapagos green turtles (Chelonia mydas). PLoS ONE 2014, 9, e96487. [Google Scholar] [CrossRef] [PubMed]
- Klaphake, E.; Gibbons, P.M.; Sladky, K.K.; Carpenter, J.W. Chapter 4-Reptiles. In Exotic Animal Formulary, 5th ed.; Carpenter, J.W., Marion, C.J., Eds.; Elsevier: St. Louis, MO, USA, 2018; pp. 127–246. [Google Scholar]
- Osborne, A.G.; Jacobson, E.R.; Bresette, M.J.; Singewald, D.A.; Scarpino, R.A.; Bolten, A.B. Reference intervals and relationships between health status, carapace length, body mass, and water temperature and concentrations of plasma total protein and protein electrophoretogram fractions in Atlantic loggerhead sea turtles and green turtles. J. Am. Vet. Med. Assoc. 2010, 237, 561–567. [Google Scholar] [CrossRef]
- Pardo, M.A.; Divers, S. Jugular central venous catheter placement through a modified Seldinger technique for long-term venous access in chelonians. J. Zoo Wildl. Med. 2016, 47, 286–290. [Google Scholar] [CrossRef] [PubMed]
- Kumar, S.; Stecher, G.; Tamura, K. MEGA7: Molecular evolutionary genetics analysis version 7.0 for bigger datasets. Mol. Biol. Evol. 2016, 33, 1870–1874. [Google Scholar] [CrossRef]
- Jensen, R.H.; Arendrup, M.C. Candida palmioleophila: Characterization of a previously overlooked pathogen and its unique susceptibility profile in comparison with five related species. J. Clin. Microbiol. 2011, 49, 549. [Google Scholar] [CrossRef]
- Nakase, T.; Itoh, M.; Suzuki, M.; Komagata, K.; Kodama, T. Candida palmioleophila sp. nov., a yeast capable of assimilating crude palm oil, formerly identified as Torulopsis candida. J. Gen. Appl. Microbiol. 1988, 34, 493–498. [Google Scholar] [CrossRef]
- Desnos-Ollivier, M.; Ragon, M.; Robert, V.; Raoux, D.; Gantier, J.C.; Dromer, F. Debaryomyces hansenii (Candida famata), a rare human fungal pathogen often misidentified as Pichia guilliermondii (Candida guilliermondii). J. Clin. Microbiol. 2008, 46, 3237. [Google Scholar] [CrossRef] [PubMed]
- Suh, S.-O.; Houseknecht, J.-L.; Gujjari, P.; Zhou, J.-J. Scheffersomyces parashehatae fa, sp. nov., Scheffersomyces xylosifermentans fa, sp. nov., Candida broadrunensis sp. nov. and Candida manassasensis sp. nov., novel yeasts associated with wood-ingesting insects, and their ecological and biofuel implications. Int. J. Syst. Evol. Microbiol. 2013, 63, 4330–4339. [Google Scholar] [CrossRef] [PubMed]
- Brilhante, R.S.N.; Silva, A.L.D.; Monteiro, F.O.B.; Guedes, G.M.M.; Sales, J.A.; Oliveira, J.S.; Maia Junior, J.E.; Miranda, S.A.; Sidrim, J.J.C.; Alencar, L.P.; et al. Yeasts from Scarlet ibises (Eudocimus ruber): A focus on monitoring the antifungal susceptibility of Candida famata and closely related species. Med. Mycol. 2017, 55, 725–732. [Google Scholar] [CrossRef] [PubMed]
- Eddouzi, J.; Lohberger, A.; Vogne, C.; Manai, M.; Sanglard, D. Identification and antifungal susceptibility of a large collection of yeast strains isolated in Tunisian hospitals. Med. Mycol. 2013, 51, 737–746. [Google Scholar] [CrossRef][Green Version]
- De Morais, P.B.; Pimenta, R.S.; Tavares, I.B.; de Garcia, V.; Rosa, C.A. Yeasts occurring in surface and mouth cavity of two chelonian species, Podocnemis expansa Schweigger and P. unifilis Troschel (Reptilia: Chelonia: Pelomedusidae), in the Javaés River Border of Araguaia National Park in Brazil. Int. J. Microbiol. 2010, 2010, 504524. [Google Scholar] [CrossRef]
- Sokół, I.; Gaweł, A.; Bobrek, K. The prevalence of yeast and characteristics of the isolates from the digestive tract of clinically healthy turkeys. Avian Dis. 2018, 62, 286–290. [Google Scholar] [CrossRef] [PubMed]
- Sugita, T.; Kagaya, K.; Takashima, M.; Suzuki, M.; Fukazawa, Y.; Nakase, T. A clinical isolate of Candida palmioleophila formerly identified as Torulopsis candida. Nihon Ishinkin Gakkai Zasshi 1999, 40, 21–25. [Google Scholar] [CrossRef]
- Cortés, J.A.; Corrales, I.F. Invasive candidiasis: Epidemiology and risk factors. In Fungal Infection; de Loreto, É.S., Tondolo, J.S.M., Eds.; IntechOpen: London, UK, 2018. [Google Scholar]
- Austwick, P.; Keymer, I. Fungi and actinomycetes. In Diseases of the Reptilia; Cooper, J.E., Jackson, O.F., Eds.; Academic Press: New York, NY, USA, 1981; pp. 193–231. [Google Scholar]
- Orós, J.; Arencibia, A.; Fernández, L.; Jensen, H.E. Intestinal candidiasis in a loggerhead sea turtle (Caretta caretta): An immunohistochemical study. Vet. J. 2004, 167, 202–207. [Google Scholar] [CrossRef]
- Hernandez-Divers, S.J. Pulmonary candidiasis caused by Candida albicans in a Greek tortoise (Testudo graeca) and treatment with intrapulmonary amphotericin B. J. Zoo Wildl. Med. 2001, 32, 352–359. [Google Scholar]
- Ippen, R.; Schröder, H.-D.; Elze, K.M. Handbuch der Zootierkrankheiten: Reptilien; Ippen, R., Schroeder, H.D., Elze, K., Eds.; Akademie Verlag: Berlin, Germany, 1985; Volume 1, pp. 349–366. [Google Scholar]
- Schildger, B.; Frank, H.; Göbel, T.H.; Weiss, R. Mycotic infections of the integument and inner organs in reptiles. Herpetopathologia 1991, 2, 81–97. [Google Scholar]
- Juniantito, V.; Izawa, T.; Kuwamura, M.; Yonezawa, M.; Ito, S.; Yamate, J. Gastrointestinal candidiasis in an Aldabra giant tortoise (Geochelone gigantea). J. Vet. Med. Sci. 2009, 71, 1269–1272. [Google Scholar] [CrossRef]
- Weinstein, R.A.; Fridkin, S.K. The changing face of fungal infections in health care settings. Clin. Infect. Dis. 2005, 41, 1455–1460. [Google Scholar] [CrossRef]
- Ben-Ami, R. Treatment of invasive candidiasis: A narrative review. J. Fungi 2018, 4, 97. [Google Scholar] [CrossRef] [PubMed]
- Blumberg, H.M.; Jarvis, W.R.; Soucie, J.M.; Edwards, J.E.; Patterson, J.E.; Pfaller, M.A.; Rangel-Frausto, M.S.; Rinaldi, M.G.; Saiman, L.; Wiblin, R.T.; et al. Risk factors for candidal bloodstream infections in surgical intensive care unit patients: The NEMIS prospective multicenter study. Clin. Infect. Dis. 2001, 33, 177–186. [Google Scholar] [CrossRef]
- Ruiz, G.O.; Osorio, J.; Valderrama, S.; Álvarez, D.; Elías Díaz, R.; Calderón, J.; Ballesteros, D.; Franco, A. Risk factors for candidemia in non-neutropenic critical patients in Colombia. Med. Intensiv. 2016, 40, 139–144. [Google Scholar]
- Yapar, N.; Akan, M.; Avkan-Oguz, V.; Ergon, C.M.; Hancer, M.; Doluca, M. Risk factors, incidence and outcome of candidemia in a Turkish intensive care unit: A five-year retrospective cohort study. Anaesth. Pain Intensive Care 2019, 18, 265–271. [Google Scholar]
- Branda, J.A.; Ferraro, M.J.; Kratz, A. Sensitivity of peripheral blood smear review for the diagnosis of Candida fungemia. Arch. Pathol. Lab. Med. 2007, 131, 97–101. [Google Scholar] [CrossRef]
- Hirai, Y.; Asahata, S.; Ainoda, Y.; Fujita, T.; Miura, H.; Hizuka, N.; Kikuchi, K. Candidemia diagnosed from peripheral blood smear: Case report and review of literature 1954–2013. Mycopathologia 2015, 180, 111–116. [Google Scholar] [CrossRef]
- Benjamin, D.K., Jr.; Stoll, B.J.; Fanaroff, A.A.; McDonald, S.A.; Oh, W.; Higgins, R.D.; Duara, S.; Poole, K.; Laptook, A.; Goldberg, R. National Institute of Child Health and Human Development Neonatal Research Network. Neonatal candidiasis among extremely low birth weight infants: Risk factors, mortality rates, and neurodevelopmental outcomes at 18 to 22 months. Pediatrics 2006, 117, 84–92. [Google Scholar] [CrossRef] [PubMed]
- Pappas, P.G.; Kauffman, C.A.; Andes, D.R.; Clancy, C.J.; Marr, K.A.; Ostrosky-Zeichner, L.; Reboli, A.C.; Schuster, M.G.; Vazquez, J.A.; Walsh, T.J.; et al. Clinical practice guideline for the management of candidiasis: 2016 update by the Infectious Diseases Society of America. Clin. Infect. Dis. 2016, 62, e1–e50. [Google Scholar] [CrossRef] [PubMed]
- Hedley, J.; Whitehead, M.L.; Munns, C.; Pellett, S.; Abou-Zahr, T.; Calvo Carrasco, D.; Wissink-Argilaga, N. Antibiotic stewardship for reptiles. J. Small Anim. Pract. 2021, 62, 829–839. [Google Scholar] [CrossRef] [PubMed]
- Greer, L.L.; Strandberg, J.D.; Whitaker, B.R. Mycobacterium chelonae osteoarthritis in a Kemp’s ridley sea turtle (Lepidochelys kempii). J. Wildl. Dis. 2003, 39, 736–741. [Google Scholar] [CrossRef]
- Cruciani, B.; Shneider, F.; Ciccione, S.; Barret, M.; Arné, P.; Boulouis, H.J.; Vergneau-Grosset, C. Management of polyarthritis affecting sea turtles at Kélonia, the Reunion Island Sea Turtle Observatory (2013–17). J. Wildl. Dis. 2019, 55, 455–461. [Google Scholar] [PubMed]
- Guthrie, A.; George, J.; deMaar, T.W. Bilateral chronic shoulder infections in an adult green sea turtle (Chelonia mydas). J. Herpetol. Med. Surg. 2010, 20, 105–108. [Google Scholar] [CrossRef]
- Innis, C.J.; Braverman, H.; Cavin, J.M.; Ceresia, M.L.; Baden, L.R.; Kuhn, D.M.; Frasca, S., Jr.; McGowan, J.P.; Hirokawa, K.; Weber, E.S., III; et al. Diagnosis and management of Enterococcus spp. infections during rehabilitation of cold-stunned Kemp’s ridley turtles (Lepidochelys kempii): 50 cases (2006–2012). J. Am. Vet. Med. Assoc. 2014, 245, 315–323. [Google Scholar] [CrossRef] [PubMed]
- Ogden, J.A.; Rhodin, A.G.J.; Conlogue, G.J.; Light, T.R. Pathobiology of septic arthritis and contiguous osteomyelitis in a leatherback turtle (Dermochelys coriacea). J. Wildl. Dis. 1981, 17, 277–287. [Google Scholar] [CrossRef]
- Raidal, S.; Shearer, P.; Prince, R. Chronic shoulder osteoarthritis in a loggerhead turtle (Caretta caretta). Aust. Vet. J. 2006, 84, 231–234. [Google Scholar] [CrossRef] [PubMed]
- Harms, C.A.; Lewbart, G.A.; Beasley, J. Medical management of mixed nocardial and unidentified fungal osteomyelitis in a Kemp’s ridley sea turtle, Lepidochelys kempii. J. Herpetol. Med. Surg. 2002, 12, 21–26. [Google Scholar] [CrossRef]







| Species Name | Strain Number | ITS | LSU | TEF1α | RPB1 |
|---|---|---|---|---|---|
| Current isolate | CGMHD 2210 | MZ317464 | MZ317465 | MZ328223 | MZ328224 |
| Candida albicans | ATCC 18804 | HQ876043 | HQ876051 | KC507436 | KC507405 |
| Candida fluviatilis | ATCC 38621 | HQ652068 | KC479696 | KC507441 | KC507410 |
| Candida glaebosa | ATCC 22016 | KC479686 | KC479693 | KC507437 | KC507406 |
| Candida jeffriesii | ATCC MYA-4346 | FJ623615 | FJ614682 | KC507445 | KC507414 |
| Candida lignicola | ATCC MYA-4674 | HQ652074 | HQ652029 | KC507469 | KC507427 |
| Candida manassasensis | ATCC MYA-4652 | HQ652050 | HQ651971 | KC507463 | KC507423 |
| Candida oleophila | ATCC 28137 | HQ876045 | HQ876053 | KC507438 | KC507407 |
| Candida palmioleophila | ATCC 96299 | KC479687 | KC479697 | KC507449 | KC507418 |
| Candida pseudoglaebosa | ATCC 28472 | HQ652066 | KC479694 | KC507439 | KC507408 |
| Candida saitoana | ATCC 36584 | HQ652067 | KC479695 | KC507440 | KC507409 |
| Clavispora lusitaniae | NRRL Y-11827 | NR130677 | JQ689030 | JQ699057 | JQ713040 |
| Debaryomyces hansenii | NRRL Y-7426 | NR120016 | JQ689041 | JQ699068 | JQ713052 |
| Kodamaea ohmeri | NRRL Y-1932 | NR121464 | GU597323 | GU597338 | JQ713038 |
| Meyerozyma guilliermondii | NRRL Y-2075 | NR111247 | JQ689047 | JQ699074 | JQ713058 |
| Saccharomyces cerevisiae | NRRL Y-12632 | AY046146 | JQ689017 | JQ699041 | JQ713023 |
| Species | Reptile Species Affected | Reference |
|---|---|---|
| C. albicans | Crocodile tegu (Crocodilurus lacertinus) | [21] |
| Radiated tortoise (Geochelone radiata) | [21] | |
| Smooth snake (Coronella austriaca) | [21] | |
| Loggerhead sea turtle (Caretta caretta) | [22] | |
| Greek tortoise (Testudo graeca) | [23] | |
| Elongated tortoise (Indotestudo elongata) | [2] | |
| C. guilliermondii | Fischer’s chameleon (Chamaeleo fischeri) | [24] |
| Jackson’s chameleon (Chamaeleo jacksoni) | [24] | |
| C. palmioleophila | Green sea turtle (Chelonia mydas) | This case |
| C. tropicalis | Hermann’s tortoise (Testudo hermanni) | [25] |
| Candida species | Mugger crocodile (Crocodylus palustris) | [3] |
| Aldabra Giant Tortoise (Geochelone gigantea) | [26] |
Publisher’s Note: MDPI stays neutral with regard to jurisdictional claims in published maps and institutional affiliations. |
© 2021 by the authors. Licensee MDPI, Basel, Switzerland. This article is an open access article distributed under the terms and conditions of the Creative Commons Attribution (CC BY) license (https://creativecommons.org/licenses/by/4.0/).
Share and Cite
Wang, W.-L.; Sun, P.-L.; Kao, C.-F.; Li, W.-T.; Cheng, I.-J.; Yu, P.-H. Disseminated Candidiasis and Candidemia Caused by Candida palmioleophila in a Green Sea Turtle (Chelonia mydas). Animals 2021, 11, 3480. https://doi.org/10.3390/ani11123480
Wang W-L, Sun P-L, Kao C-F, Li W-T, Cheng I-J, Yu P-H. Disseminated Candidiasis and Candidemia Caused by Candida palmioleophila in a Green Sea Turtle (Chelonia mydas). Animals. 2021; 11(12):3480. https://doi.org/10.3390/ani11123480
Chicago/Turabian StyleWang, Wen-Lin, Pei-Lun Sun, Chi-Fei Kao, Wen-Ta Li, I-Jiunn Cheng, and Pin-Huan Yu. 2021. "Disseminated Candidiasis and Candidemia Caused by Candida palmioleophila in a Green Sea Turtle (Chelonia mydas)" Animals 11, no. 12: 3480. https://doi.org/10.3390/ani11123480
APA StyleWang, W.-L., Sun, P.-L., Kao, C.-F., Li, W.-T., Cheng, I.-J., & Yu, P.-H. (2021). Disseminated Candidiasis and Candidemia Caused by Candida palmioleophila in a Green Sea Turtle (Chelonia mydas). Animals, 11(12), 3480. https://doi.org/10.3390/ani11123480

