Monitoring of the Reproductive Cycle in Captive-Bred Female Boa constrictor: Preliminary Ultrasound Observations
Abstract
Simple Summary
Abstract
1. Introduction
2. Materials and Methods
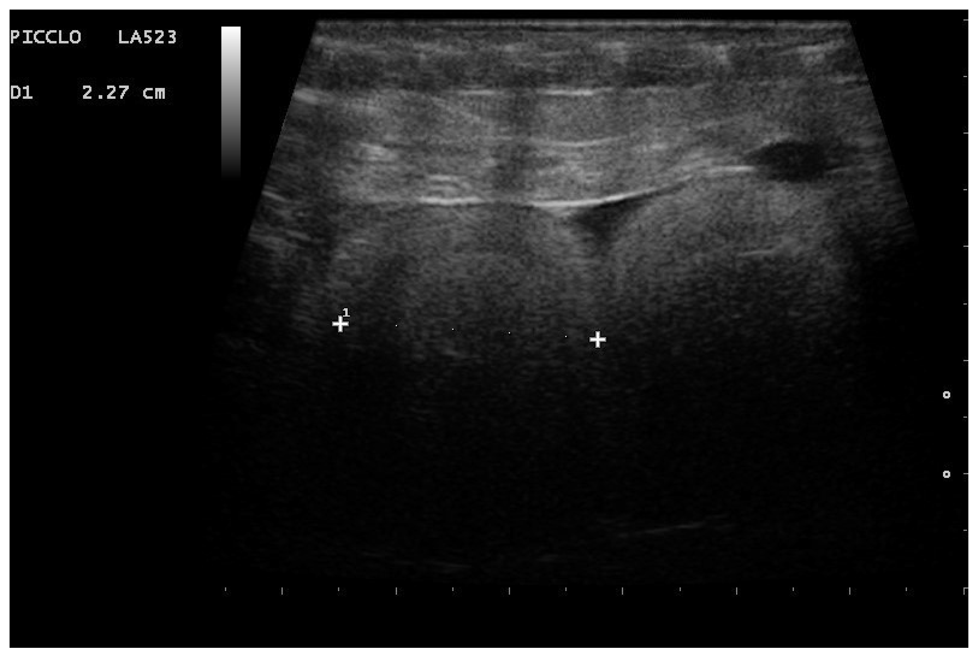
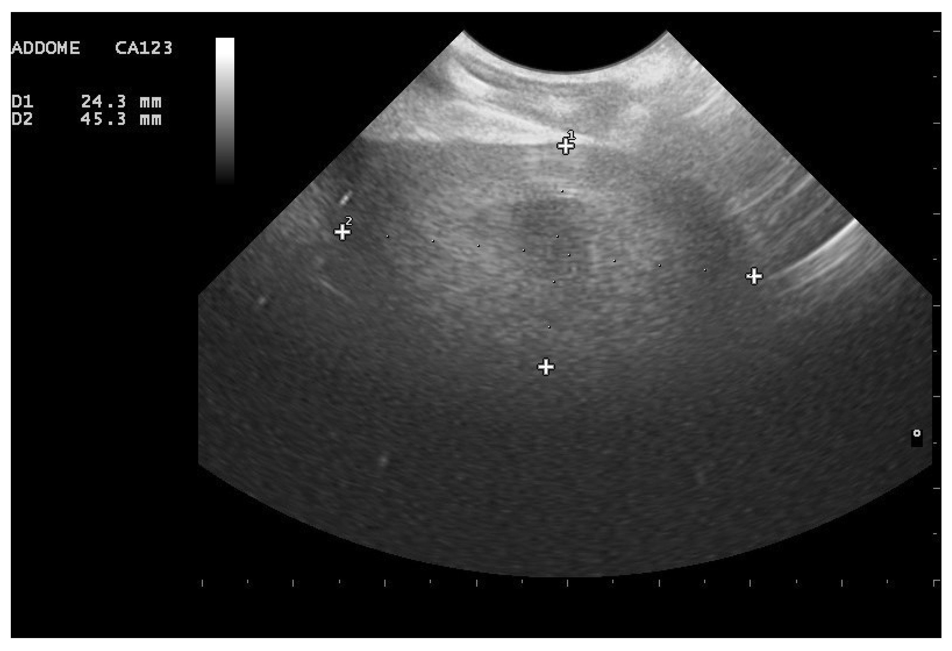
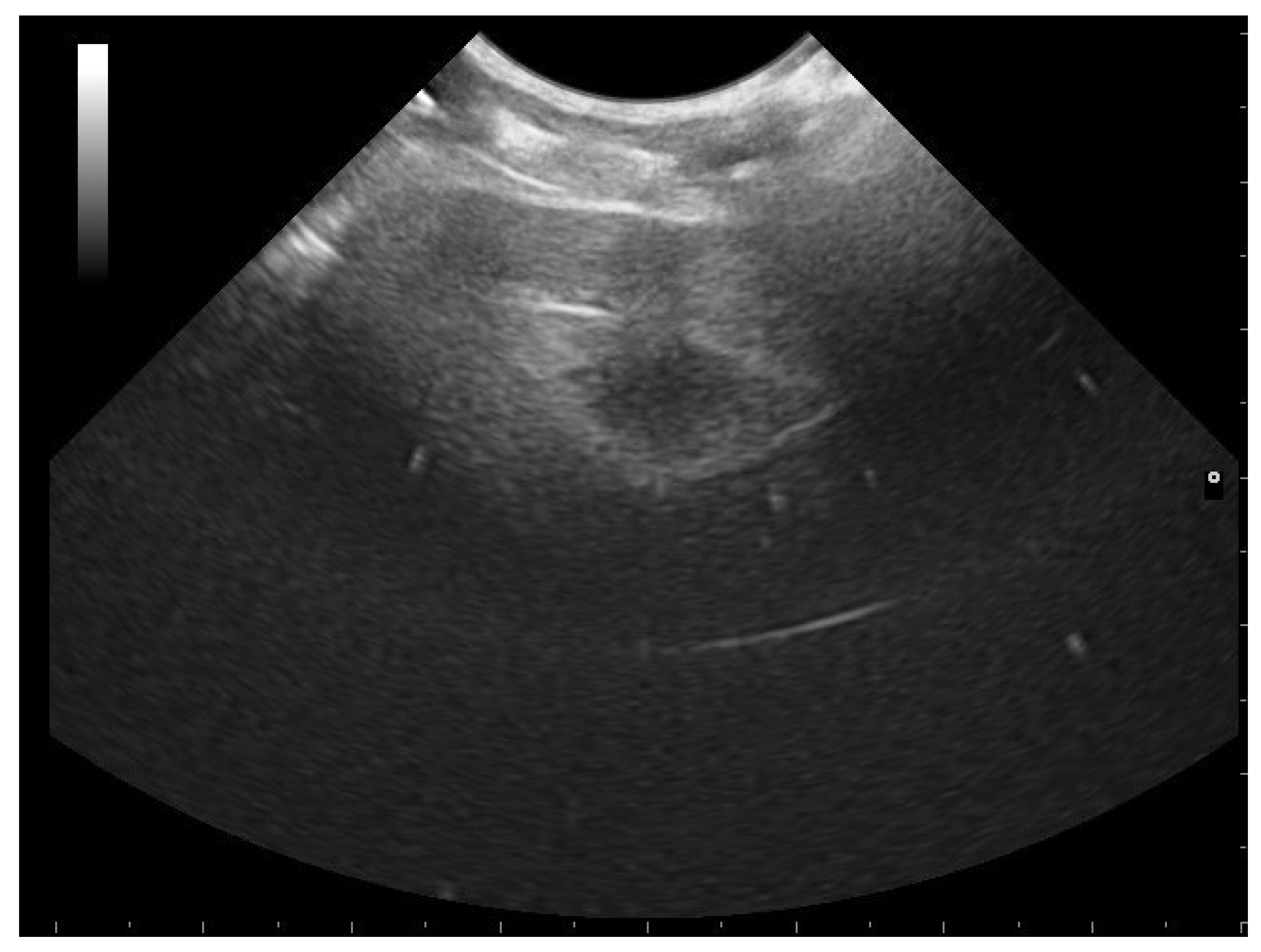
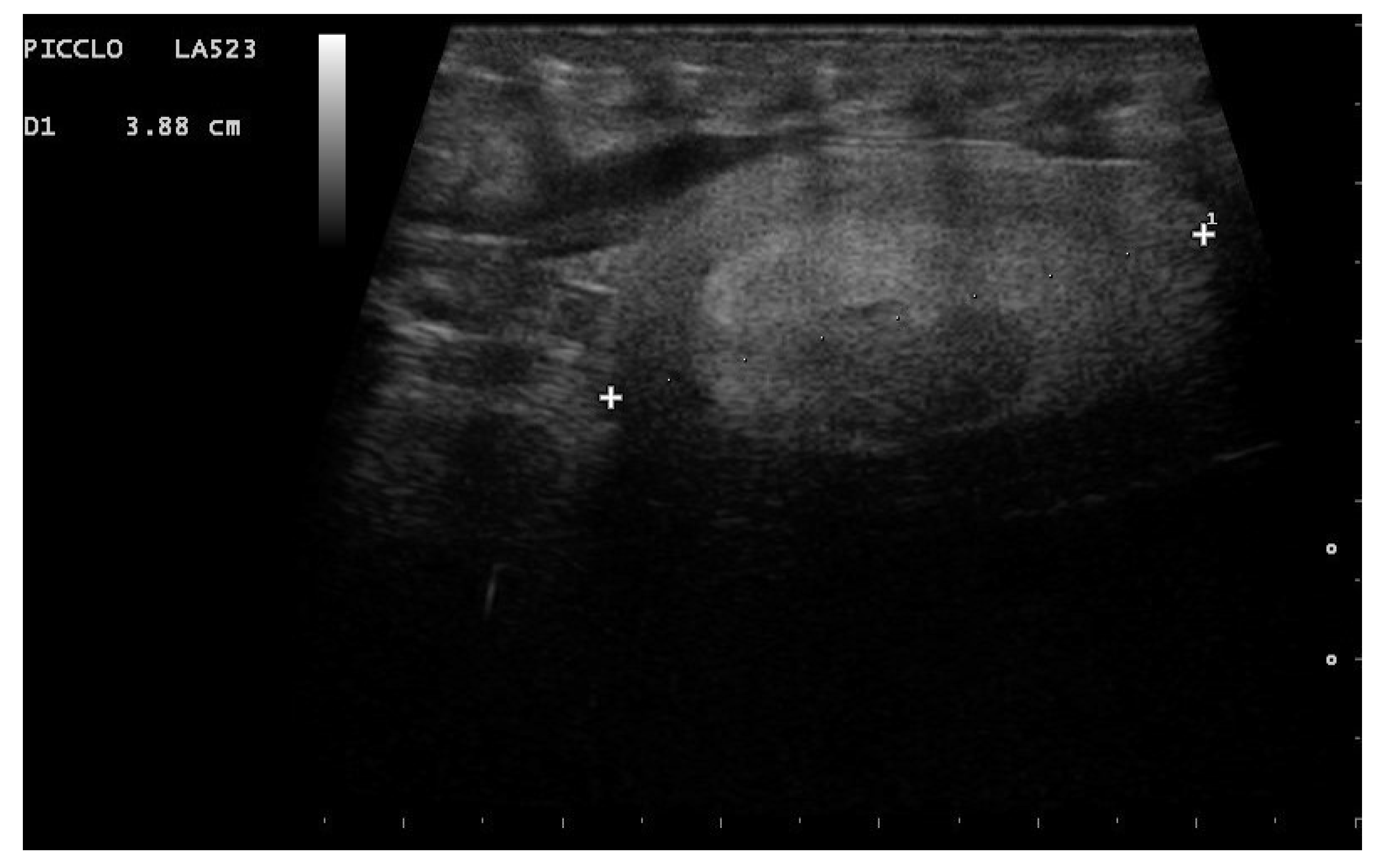
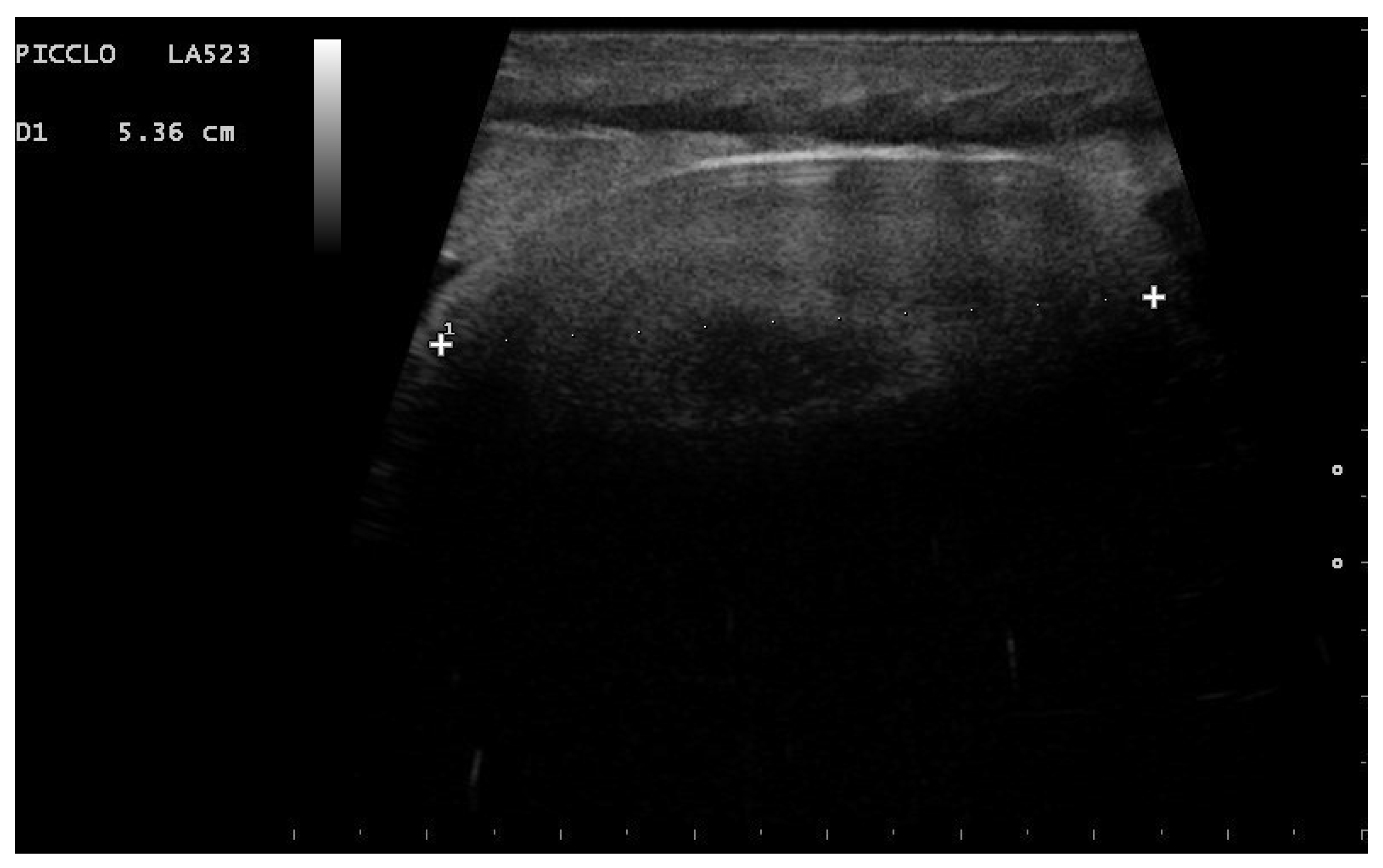
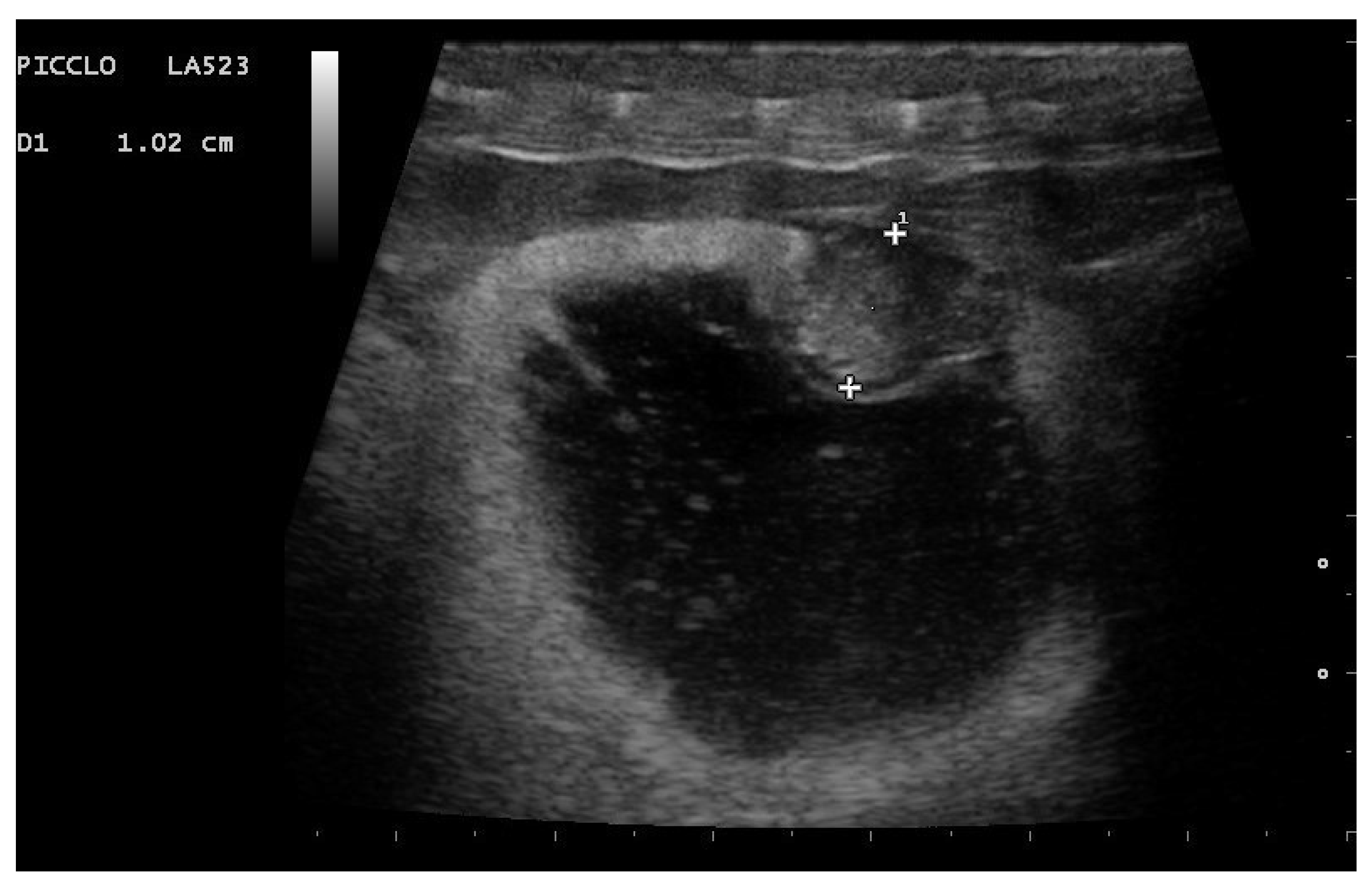
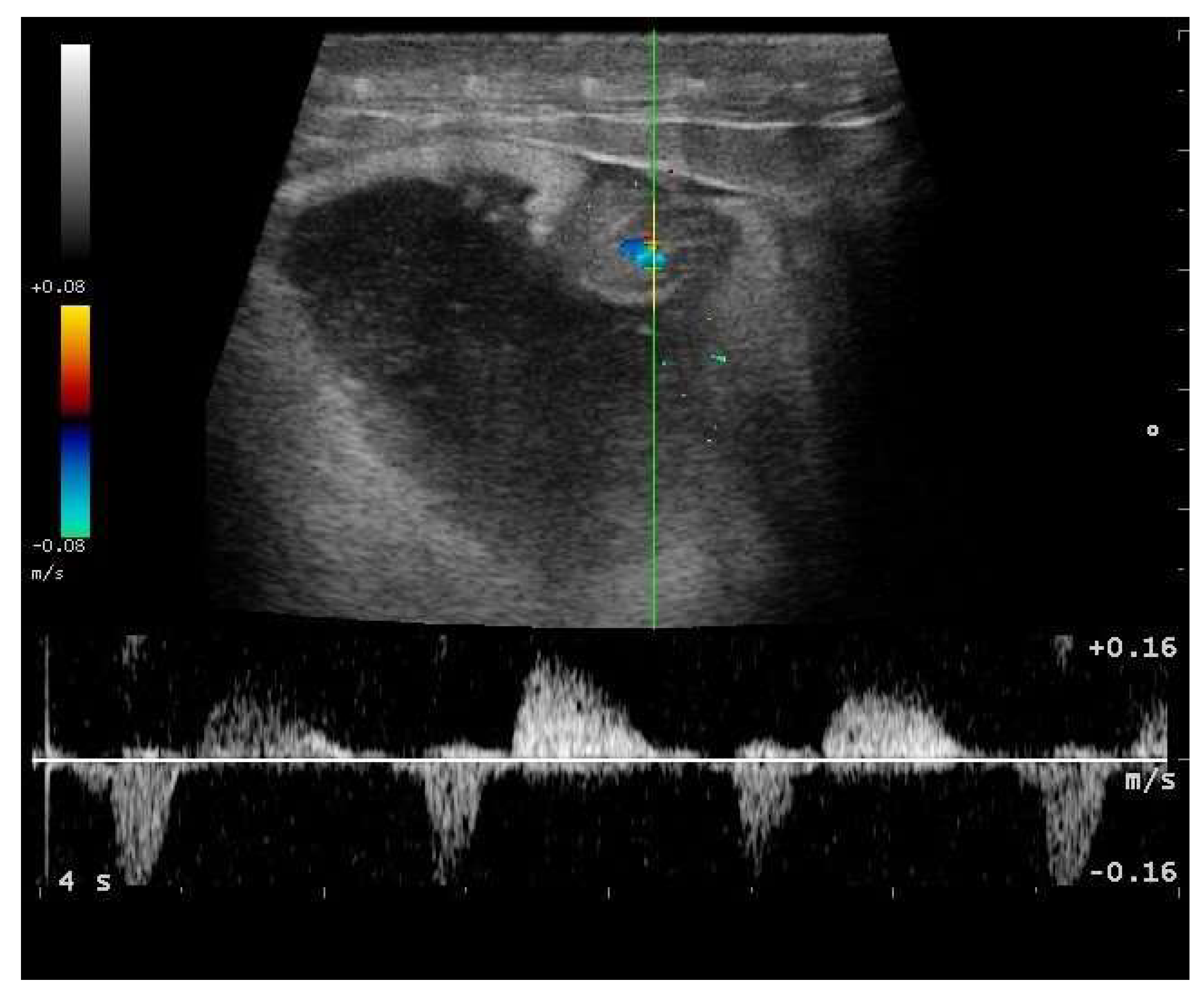
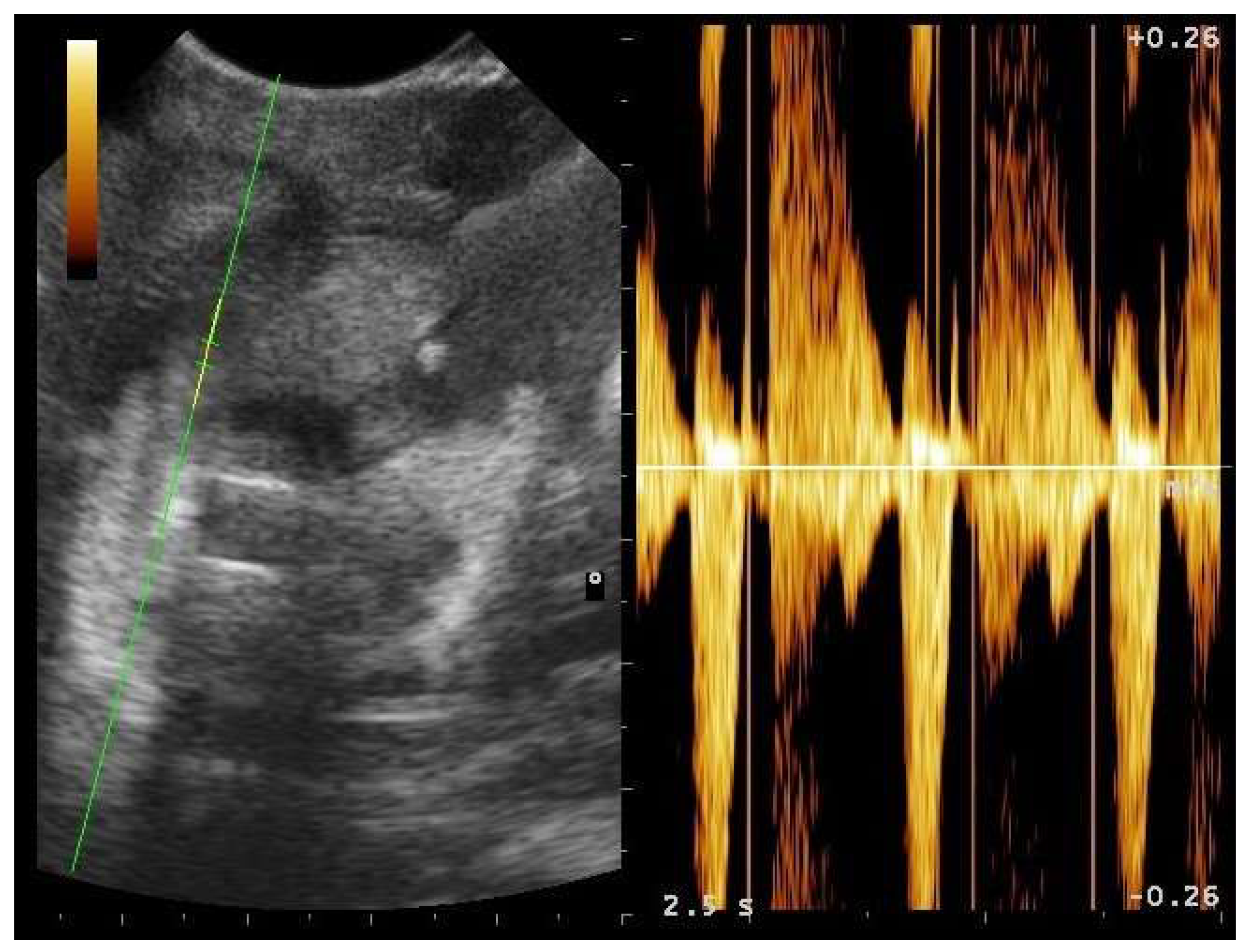
3. Results
4. Discussion
5. Conclusions
Author Contributions
Funding
Institutional Review Board Statement
Data Availability Statement
Acknowledgments
Conflicts of Interest
References
- Stahl, S.J. Reptile production medicine. Semin. Avian Exot. Pet Med. 2001, 10, 140–150. [Google Scholar] [CrossRef]
- Bertocchi, M.; Pelizzone, I.; Parmigiani, E.; Ponzio, P.; Macchi, E.; Righi, F.; Di Girolamo, N.; Bigliardi, E.; Denti, L.; Bresciani, C.; et al. Monitoring the reproductive activity in captive bred female ball pythons (P. regius) by ultrasound evaluation and noninvasive analysis of faecal reproductive hormone (progesterone and 17beta-estradiol) metabolites trends. PLoS ONE 2018, 13, e0199377. [Google Scholar] [CrossRef]
- Andrews, R. Patterns of embryonic development. In Reptilian Incubation: Environment, Evolution and Behaviour; Deeming, D.C., Ed.; Nottingham University Press: Nottingham, UK, 2004; pp. 75–102. [Google Scholar]
- Myers, P.; Espinosa, R.; Parr, C.S.; Jones, T.; Hammond, G.S.; Dewey, T.A. The Animal Diversity Web (Online). 2021. Available online: https://animaldiversity.org (accessed on 17 September 2021).
- Jacobson, E.R. (Ed.) Overview of reptile biology, anatomy, and histology. In Infectious Diseases and Pathology of Reptiles, 1st ed.; CRC Press: Boca Raton, FL, USA, 2007; pp. 15–144. [Google Scholar]
- Vasaruchapong, T. Snake reproductive system. Thai J. Vet. Med. 2014, 44, 89–91. [Google Scholar]
- Blackburn, D.G. Discrepant usage of the term “ovoviviparity” in the herpetological literature. J. Herpetol. 1994, 4, 65–72. [Google Scholar]
- Edwards, A.; Jones, S.M. Changes in plasma testosterone, estrogen, and progesterone concentrations throughout the annual reproductive cycle in male viviparous blue-tongued skinks, Tiliqua nigrolutea, in Tasmania. J. Herpetol. 2001, 35, 293–299. [Google Scholar] [CrossRef]
- Licht, P. Luteinizing hormone (LH) in the reptilian pituitary gland. Gen. Comp. Endocrinol. 1974, 22, 463–469. [Google Scholar] [CrossRef]
- Tinkle, D.W.; Gibbons, J.W. The Distribution and Evolution of Viviparity in Reptiles; Museum of Zoology, University of Michigan: Ann Arbor, MI, USA, 1977. [Google Scholar]
- Blackburn, D.G. Chorioallantoic placentation in squamate reptiles: Structure, function, development, and evolution. J. Exp. Zool. 1993, 266, 414–430. [Google Scholar] [CrossRef]
- Stewart, J.R. Yolk sac placentation in reptiles: Structural innovation in a fundamental vertebrate fetal nutritional system. J. Exp. Zool. 1993, 266, 431–449. [Google Scholar] [CrossRef]
- Blackburn, D.G.; Lorenz, R.L. Placentation in garter snakes. II. Transmission EM of the chorioallantoic placenta of Thamnophis radix and T. sirtalis. J. Morphol. 2003, 256, 171–186. [Google Scholar] [CrossRef] [PubMed]
- Stewart, J.R.; Brasch, K.R. Ultrastructure of the placentae of the natricine snake, virginia striatula (reptilia: Squamata). J. Morphol. 2003, 255, 177–201. [Google Scholar] [CrossRef]
- Garcia, V.C.; Almeida-Santos, S.M. Reproductive cycles of neotropical boid snakes evaluated by ultrasound. Zoo Biol. 2021, 1–10. [Google Scholar] [CrossRef]
- Urbanová, D.; Halán, M. The use of ultrasonography in diagnostic imaging of reptiles. Folia Vet. 2016, 60, 51–57. [Google Scholar] [CrossRef][Green Version]
- Schilliger, L.H. Ultrasound Examination in Reptiles: Restraint, Positioning, Artifacts and Patient Examination. Available online: http://clinvet-auteuil.com/IMG/pdf/LS-Ultrasound.pdf (accessed on 30 May 2016).
- Cattarossi, D. Tecniche Riproduttive Nell’allevamento dei Serpenti, 1st ed.; CreateSpace Independent Publishing Platform: Scotts Valley, CA, USA, 2018. [Google Scholar]
- Hochleitner, C.; Hochleitner, M. Ultrasound in reptiles. In Proceedings of the Eleventh Annual Conference of the Association of Reptilian and Amphibian Veterinarians, Naples, FL, USA, 18–24 October 2004; pp. 41–44. [Google Scholar]
- Quaderno di Epidemiologia. Available online: http://www.quadernodiepidemiologia.it/epi/assoc/t_stu.htm (accessed on 11 October 2021).
- Stahl, S.J. Veterinary management of snake reproduction. Vet. Clin. N. Am. Exot. Anim. Pract. 2002, 5, 615–636. [Google Scholar] [CrossRef]
- Graham, L.; Schwarzenberger, F.; Möstl, E.; Galama, W.; Savage, A. A versatile enzyme immunoassay for the determination of progestogens in feces and serum. Zoo Biol. 2001, 20, 227–236. [Google Scholar] [CrossRef]
- Nielsen, E.L.; Maxence-Hespel, A.; Kottwitz, J.J.; Cole, R. Evaluation of the follicular cycle in ball pythons (Python regius). J. Herpetol. Med. Surg. 2016, 26, 108–116. [Google Scholar] [CrossRef]
- Hansen, K.; Pedersen, P.B.M.; Pedersen, M.; Wang, T. Magnetic resonance imaging volumetry for noninvasive measures of phenotypic flexibility during digestion in burmese pythons. Physiol. Biochem. Zool. 2013, 86, 149–158. [Google Scholar] [CrossRef] [PubMed]
- Bassi, E.A.; de Oliveira, C.; Braz, H.B.; de Almeida-Santos, S.M. How does oocyte uptake occur? A macroscopic study of the ovarian and oviductal modifications for egg capture in the coral-snake Micrurus corallinus. Anat. Rec. 2018, 301, 1936–1943. [Google Scholar] [CrossRef]
- Sutherland, C. Ball Pythons: A Complete Guide to Python Regius; TFH Publications, Incorporated: Neptune City, NY, USA, 2009. [Google Scholar]
- Shine, R. Reproductive strategies in snakes. Proc. Biol. Sci. 2003, 270, 995–1004. [Google Scholar] [CrossRef]
- Vitt, L.J. Diversity of reproductive strategies among brazilian lizards and snakes: The significance of lineage and adaptation. In Reproductive Biology of South American Vertebrates; Hamlett, W.C., Ed.; Springer: New York, NY, USA, 1992; pp. 135–149. [Google Scholar]
- Isaza, R.; Ackerman, N.; Jacobson, E.R. Ultrasound imaging of the coelomic structures in the Boa constrictor (Boa constrictor). Vet. Radiol. Ultrasound 1993, 34, 445–450. [Google Scholar] [CrossRef]
- Hernandez-Divers, S.; Hernandez-Divers, S.H. Diagnostic imaging of reptiles. In Pract 2001, 23, 370–391. [Google Scholar]
- Stetter, M.D. Ultrasonography. In Reptile Medicine and Surgery, 2nd ed.; Mader, D.R., Ed.; Saunders Elsevier: St Louis, MO, USA, 2006; pp. 665–674. [Google Scholar]
- Wallach, V.; Peters, J.A. “Snake”. Encyclopedia Britannica. Available online: https://www.britannica.com/animal/snake (accessed on 19 August 2021).
- Matsubara, Y.; Kuroiwa, A.; Suzuki, T. Efficient harvesting methods for early-stage snake and turtle embryos. Dev. Growth Differ. 2016, 58, 241–249. [Google Scholar] [CrossRef]
- Zehr, D.R. Stages in the normal development of the common garter snake, Thamnophis sirtalis sirtalis. Copeia 1962, 1962, 322. [Google Scholar] [CrossRef]
- Boughner, J.C.; Buchtová, M.; Fu, K.; Diewert, V.; Hallgrímsson, B.; Richman, J.M. Embryonic development of Python sebae—I: Staging criteria and macroscopic skeletal morphogenesis of the head and limbs. Zoology 2007, 110, 212–230. [Google Scholar] [CrossRef]
- Tokita, M.; Watanabe, H. Embryonic development of the Japanese Mamushi, Gloydius blomhoffii (Squamata: Serpentes: Viperidae: Crotalinae). Curr. Herpetol. 2019, 38, 6–13. [Google Scholar] [CrossRef]
- Norris, D.O. Vertebrate Endocrinology; Elsevier Academic Press: Tokyo, Japan, 2007. [Google Scholar]
- Tumkiratiwong, P.; Meesuk, W.; Chanhome, L.; Aowphol, A. Reproductive patterns of captive male and female monocled cobra, Naja kaouthia (lesson, 1831). Zool. Stud. 2015, 51, 692–700. [Google Scholar]
- DeNardo, D.F.; Autumn, K. Effect of male presence on reproductive activity in captive female blood pythons, Python curtus. Copeia 2001, 2001, 1138–1141. [Google Scholar] [CrossRef]
- Bigliardi, E.; Denti, L.; De Cesaris, V.; Bertocchi, M.; Di Ianni, F.; Parmigiani, E.; Bresciani, C.; Cantoni, A.M. Colour Doppler ultrasound imaging of blood flows variations in neoplastic and non-neoplastic testicular lesions in dogs. Reprod. Domest. Anim. 2019, 54, 63–71. [Google Scholar] [CrossRef]
- Di Girolamo, N.; Selleri, P. Reproductive disorders in snakes. Vet. Clin. N. Am. Exot. Anim. Pract. 2017, 20, 391–409. [Google Scholar] [CrossRef] [PubMed]

















Publisher’s Note: MDPI stays neutral with regard to jurisdictional claims in published maps and institutional affiliations. |
© 2021 by the authors. Licensee MDPI, Basel, Switzerland. This article is an open access article distributed under the terms and conditions of the Creative Commons Attribution (CC BY) license (https://creativecommons.org/licenses/by/4.0/).
Share and Cite
Bertocchi, M.; Bigliardi, E.; Pelizzone, I.; Vetere, A.; Manfredi, S.; Cattarossi, D.; Rizzi, M.; Di Ianni, F. Monitoring of the Reproductive Cycle in Captive-Bred Female Boa constrictor: Preliminary Ultrasound Observations. Animals 2021, 11, 3069. https://doi.org/10.3390/ani11113069
Bertocchi M, Bigliardi E, Pelizzone I, Vetere A, Manfredi S, Cattarossi D, Rizzi M, Di Ianni F. Monitoring of the Reproductive Cycle in Captive-Bred Female Boa constrictor: Preliminary Ultrasound Observations. Animals. 2021; 11(11):3069. https://doi.org/10.3390/ani11113069
Chicago/Turabian StyleBertocchi, Mara, Enrico Bigliardi, Igor Pelizzone, Alessandro Vetere, Sabrina Manfredi, Diego Cattarossi, Matteo Rizzi, and Francesco Di Ianni. 2021. "Monitoring of the Reproductive Cycle in Captive-Bred Female Boa constrictor: Preliminary Ultrasound Observations" Animals 11, no. 11: 3069. https://doi.org/10.3390/ani11113069
APA StyleBertocchi, M., Bigliardi, E., Pelizzone, I., Vetere, A., Manfredi, S., Cattarossi, D., Rizzi, M., & Di Ianni, F. (2021). Monitoring of the Reproductive Cycle in Captive-Bred Female Boa constrictor: Preliminary Ultrasound Observations. Animals, 11(11), 3069. https://doi.org/10.3390/ani11113069

