Pathological Features and Molecular Phenotype of MMTV Like-Positive Feline Mammary Carcinomas
Simple Summary
Abstract
1. Introduction
2. Materials and Methods
2.1. Animals and Tissue Samples
2.2. Laser Microdissection
2.3. Molecular Analyses
2.3.1. DNA Extraction
2.3.2. Detection of MMTV-like Env Sequences by Nested Fluorescence-PCR
- Forward, 5 = -GATGGTATGAAGCAGGATGG-3 =;
- Reverse, 5 = -AAGGGTAAGTAACACAGGCA-3 =.
2.3.3. DNA Sequencing
2.3.4. Multiple Alignment and Phylogenetic Tree
2.4. Histopathologic Investigations
2.5. Immunohistochemistry
- IHC 0: no staining is observed or membrane staining that is incomplete and is faint/barely perceptible and in ≤10% of tumoral cells;
- IHC 1+: incomplete membrane staining that is faint/barely perceptible and in >10% of tumoral cells;
- IHC 2+: weak to moderate complete membrane staining observed in >10% of tumoral cells;
- IHC 3+: circumferential membrane staining that is complete, intense, and in >10% of tumour cells.
2.6. Molecular Phenotype of Feline Mammary Carcinoma
- Luminal-like (luminal A or luminal B): OR+ and/or PR+, c-erbB-2 + (IHC 3+) or c-erbB-2 not positive (IHC 0, 1+, 2+), regardless of CK5/6, CK14 and p63 labelling;
- c-erbB-2 overexpressing: OR-, PR-, c-erbB-2+ (IHC 3+), regardless of CK5/6, CK14 and p63 labelling;
- Basal-like defined as OR-, PR-, c-erbB-2-, CK5/6+ and/or CK14+ and/or p63 labelling;
- Normal-like defined by no label with any marker.
2.7. MMTV-like p14 Immunolocalization
2.8. Statistical Analysis
3. Results
3.1. Clinical Data
3.2. Detection of MMTV-like Env Sequences by Nested Fluorescence-PCR
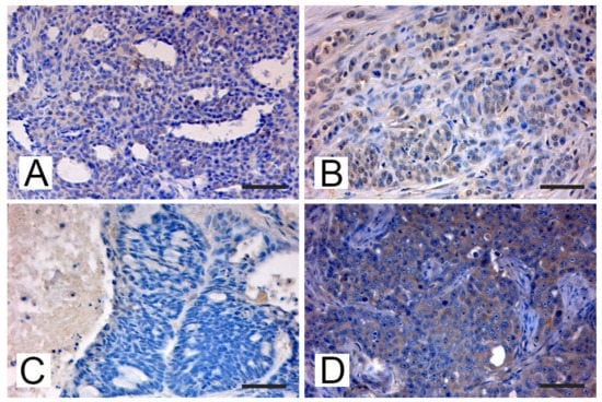
3.3. MMTV-like p14 Immunolocalization
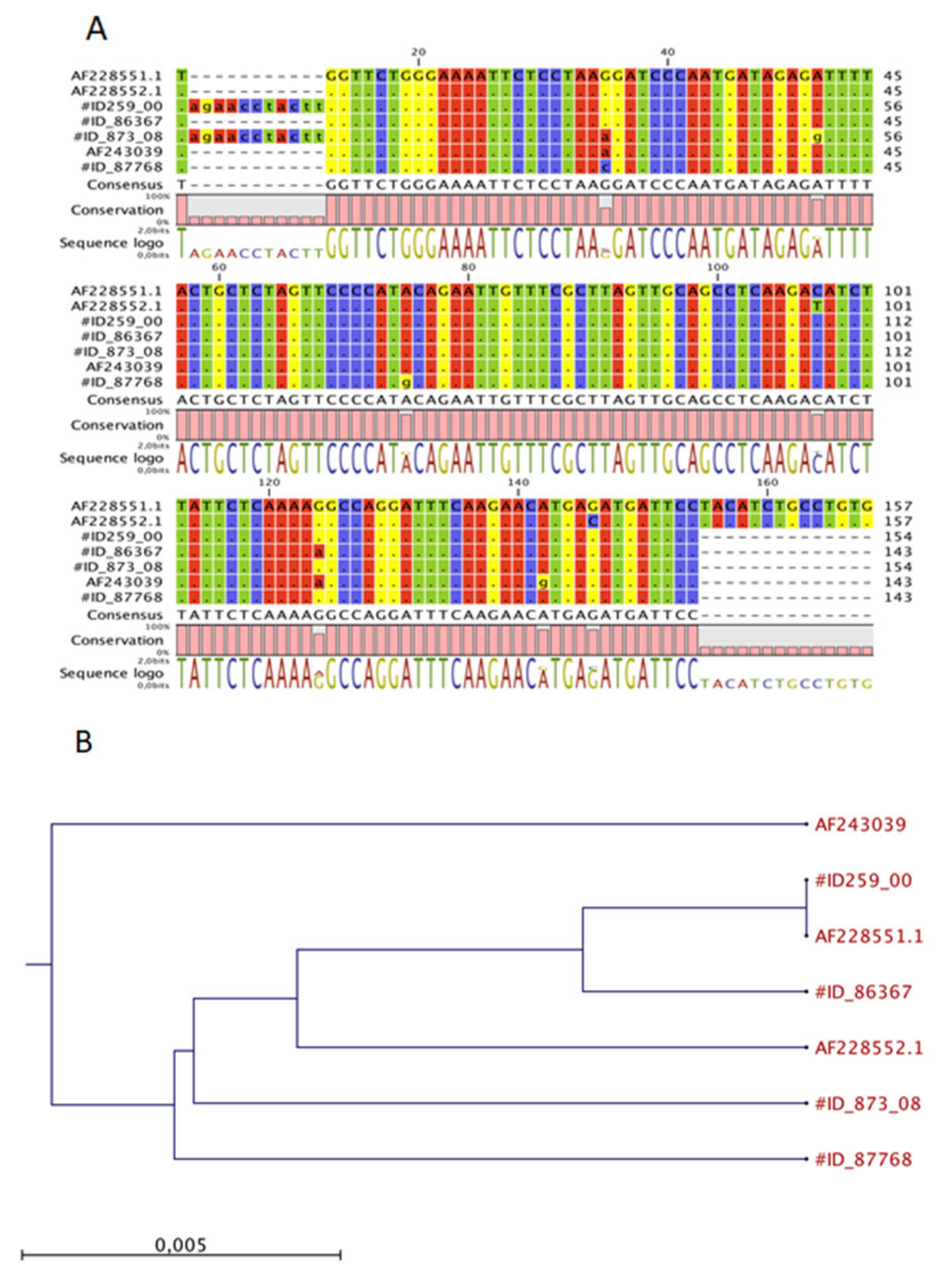
3.4. Multiple Alignment and Phylogenetic Analysis of MMTV-like Env Sequences
3.5. Histopathological Investigations
3.6. Molecular Phenotype
3.7. Statistical Analysis
4. Discussion
5. Conclusions
Author Contributions
Funding
Institutional Review Board Statement
Informed Consent Statement
Data Availability Statement
Conflicts of Interest
References
- Willis, A.M. Feline leukemia virus and feline immunodeficiency virus. Vet. Clin. N. Am. Small. Anim. Pract. 2000, 30, 971–986. [Google Scholar] [CrossRef]
- Yoo, J.H.; Kim, O. A simultaneous occurrence of feline mammary carcinoma and uterine cystic endometrial hyperplasia in a cat. Korean J. Vet. Res. 2017, 57, 245–248. [Google Scholar] [CrossRef]
- Held, W.; Acha-Orbea, H.; MacDonald, H.R.; Waanders, G.A. Superantigens and retroviral infection: Insights from mouse mammary tumor virus. Immunol. Today 1994, 15, 184–190. [Google Scholar] [CrossRef]
- Matsuzawa, A.; Nakano, H.; Yoshimoto, T.; Sayama, K. Biology of mouse mammary tumor virus (MMTV). Cancer Lett. 1995, 90, 3–11. [Google Scholar] [CrossRef]
- Ross, S.R. Mouse mammary tumor virus molecular biology and oncogenesis. Viruses 2010, 2, 2000–2012. [Google Scholar] [CrossRef] [PubMed]
- Maeda, N.; Fan, H.; Yoshikai, Y. Oncogenesis by retroviruses: Old and new paradigms. Rev. Med. Virol. 2008, 18, 387–405. [Google Scholar] [CrossRef] [PubMed]
- Lawson, J.S.; Salmons, B.; Glenn, W.K. Oncogenic Viruses and Breast Cancer: Mouse Mammary Tumor Virus (MMTV), Bovine Leukemia Virus (BLV), Human Papilloma Virus (HPV), and Epstein-Barr Virus (EBV). Front. Oncol. 2018, 8, 1. [Google Scholar] [CrossRef] [PubMed]
- Callahan, R.; Smith, G.H. MMTV-induced mammary tumorigenesis: Gene discovery, progression to malignancy and cellular pathways. Oncogene 2000, 19, 992–1001. [Google Scholar] [CrossRef]
- Callahan, R. MMTV-induced mutations in mouse mammary tumors: Their potential relevance to human breast cancer. Breast Cancer Res. Treat. 1996, 39, 33–44. [Google Scholar] [CrossRef]
- Salmons, B.; Gunzburg, W.H. Revisiting a role for a mammary tumor retrovirus in human breast cancer. Int. J. Cancer 2013, 133, 1530–1535. [Google Scholar] [CrossRef]
- Etkind, P.; Du, J.; Khan, A.; Pillitteri, J.; Wiernik, P.H. Mouse mammary tumor virus-like ENV gene sequences in human breast tumors and in a lymphoma of a breast cancer patient. Clin. Cancer Res. 2000, 6, 1273–1278. [Google Scholar] [PubMed]
- Wang, Y.; Holland, J.F.; Bleiweiss, I.J.; Melana, S.; Liu, X.; Pelisson, I.; Cantarella, A.; Stellrecht, K.; Mani, S.; Pogo, B.G. Detection of Mammary Tumor Virus ENV Gene-like Sequences in Human Breast Cancer. Cancer Res. 1995, 55, 5173–5179. [Google Scholar] [PubMed]
- Wang, Y.; Pelisson, I.; Melana, S.M.; Go, V.; Holland, J.F.; Pogo, B.G. MMTV-like env gene sequences in human breast cancer. Arch. Virol. 2001, 146, 171–180. [Google Scholar] [CrossRef] [PubMed]
- Wang, Y.; Pelisson, I.; Melana, S.M.; Holland, J.F.; Pogo, B.G. Detection of MMTV-like LTR and LTR-env gene sequences in human breast cancer. Int. J. Oncol. 2001, 18, 1041–1044. [Google Scholar] [CrossRef]
- Lessi, F.; Grandi, N.; Mazzanti, C.M.; Civita, P.; Scatena, C.; Aretini, P.; Bandiera, P.; Fornaciari, A.; Giuffra, V.; Fornaciari, G.; et al. A human MMTV-like betaretrovirus linked to breast cancer has been present in humans at least since the copper age. Aging 2020, 12, 15978–15994. [Google Scholar] [CrossRef]
- Lasfargues, E.Y.; Lasfargues, J.C.; Dion, A.S.; Greene, A.E.; Moore, D.H. Experimental infection of a cat kidney cell line with the mouse mammary tumor virus. Cancer Res. 1976, 36, 67–72. [Google Scholar]
- Vaidya, A.B.; Lasfargues, E.Y.; Heubel, G.; Lasfargues, J.C.; Moore, D.H. Murine mammary tumor virus: Characterization of infection of nonmurine cells. J. Virol. 1976, 18, 911–917. [Google Scholar] [CrossRef]
- Nusse, R.; Janssen, H.; de Vries, L.; Michalides, R. Analysis of secondary modifications of mouse mammary tumor virus proteins by two-dimensional gel electrophoresis. J. Virol. 1980, 35, 340–348. [Google Scholar] [CrossRef]
- Cato, A.C.; Weinmann, J. Mineralocorticoid regulation of transcription of transfected mouse mammary tumor virus DNA in cultured kidney cells. J. Cell Biol. 1988, 106, 2119–2125. [Google Scholar] [CrossRef]
- Indik, S.; Günzburg, W.H.; Salmons, B.; Rouault, F. Mouse mammary tumor virus infects human cells. Cancer Res. 2005, 65, 6651–6659. [Google Scholar] [CrossRef]
- Howard, D.K.; Schlom, J. Isolation of a series of novel variants of murine mammary tumor viruses with broadened host ranges. Int. J. Cancer 1980, 25, 647–654. [Google Scholar] [CrossRef]
- Hsu, W.L.; Lin, H.Y.; Chiou, S.S.; Chang, C.C.; Wang, S.P.; Lin, K.H.; Chulakasian, S.; Wong, M.L.; Chang, S.C. Mouse mammary tumor virus-like nucleotide sequences in canine and feline mammary tumors. J. Clin. Microbiol. 2010, 48, 4354–4362. [Google Scholar] [CrossRef][Green Version]
- Civita, P.; Menicagli, M.; Scopelliti, C.; Lessi, F.; Millanta, F.; Borsacchi, S.; Parisi, F.; Freer, G.; Pistello, M.; Mazzanti, C.M.; et al. Mouse mammary tumour virus-like env nucleotide and p14 signal peptide are present in feline mammary carcinomas, but not in neoplastic or dysplastic canine mammary lesions. PLoS ONE 2018, 13, e0200839. [Google Scholar] [CrossRef]
- Laumbacher, B.; Fellerhoff, B.; Herzberger, B.; Wank, R. Do dogs harbour risk factors for human breast cancer? Med. Hypotheses 2006, 67, 21–26. [Google Scholar] [CrossRef]
- Szabo, S.; Haislip, A.M.; Garry, R.F. Of mice, cats, and men: Is human breast cancer a zoonosis? Microsc Res. Tech. 2005, 68, 197–208. [Google Scholar] [CrossRef]
- Steward, T.H.; Sage, R.D.; Stewart, A.F.; Cameron, D.W. Breast cancer incidence highest in the range of one species of house mouse, Mus domesticus. Br. J. Cancer 2000, 82, 446–451. [Google Scholar] [CrossRef]
- Howard, D.K.; Schlom, J. Isolation of host-range variants of mouse mammary tumor viruses that efficiently infect cells in vitro. Proc. Natl. Acad. Sci. USA 1978, 75, 5718–5722. [Google Scholar] [CrossRef]
- Golovkina, T.V.; Jaffe, A.B.; Ross, S.R. Coexpression of exogenous and endogenous mouse mammary tumor virus RNA in vivo results in viral recombination and broadens the virus host range. J. Virol. 1994, 68, 5019–5026. [Google Scholar] [CrossRef]
- Golovkina, T.V.; Piazzon, I.; Nepomnaschy, I.; Buggiano, V.; de Olano Vela, M.; Ross, S.R. Generation of a tumorigenic milk-borne mouse mammary tumor virus by recombination between endogenous and exogenous viruses. J. Virol. 1997, 71, 3895–3903. [Google Scholar] [CrossRef]
- Robinson, M.J.; Erlwein, O.W.; Kaye, S.; Weber, J.; Cingoz, O.; Patel, A.; Walker, M.M.; Kim, W.J.; Uiprasertkul, M.; Coffin, J.M.; et al. Mouse DNA contamination in human tissue tested for XMRV. Retrovirology 2010, 7, 1–6. [Google Scholar] [CrossRef]
- Thompson, J.D.; Higgins, D.G.; Gibson, T.J. CLUSTAL W: Improving the sensitivity of progressive multiple sequence alignment through sequence weighting, position-specific gap penalties and weight matrix choice. Nucleic Acids Res. 1994, 22, 4673–4680. [Google Scholar] [CrossRef] [PubMed]
- Saitou, N.; Nei, M. The neighborneighbour-joining method: A new method for reconstructing phylogenetic trees. Mol. Biol. Evol. 1987, 4, 406–425. [Google Scholar] [CrossRef] [PubMed]
- Zappulli, V.; Pena, L.; Rasotto, R.; Goldschmidt, M.H.; Gama, A.; Scruggs, J.L.; Kiupel, M. Mammary tumors. In Surgical Pathology of Tumors of Domestic Animals; Kiupel, M., Ed.; Davis Foundation: Yarmouth, ME, USA, 2019; Volume 2. [Google Scholar]
- Mills, S.W.; Musil, K.M.; Davies, J.L.; Hendrick, S.; Duncan, C.; Jackson, M.L.; Kidney, B.; Philibert, H.; Wobeser, B.K.; Simko, E. Prognostic value of histologic grading for feline mammary carcinoma: A retrospective survival analysis. Vet. Pathol. 2015, 52, 238–249. [Google Scholar] [CrossRef] [PubMed]
- Brunetti, B.; Asproni, P.; Beha, G.; Muscatello, L.V.; Millanta, F.; Poli, A.; Benazzi, C.; Sarli, G. Molecular phenotype in mammary tumours of queens: Correlation between primary tumour and lymph node metastasis. J. Comp. Pathol. 2013, 148, 206–213. [Google Scholar] [CrossRef]
- Kim, M.J.; Ro, J.Y.; Ahn, S.H.; Kim, H.H.; Kim, S.B.; Gong, G. Clinicopathologic significance of the basal-like subtypeof breast cancer: A comparison with hormone receptor and C-erbB-2/neu-overexpressing phenotypes. Hum. Path 2006, 37, 1217–1226. [Google Scholar] [CrossRef]
- Millanta, F.; Calandrella, M.; Bari, G.; Niccolini, M.; Vannozzi, I.; Poli, A. Comparison of steroid receptor expression in normal, dysplastic, and neoplastic canine and feline mammary tissues. Res. Vet. Sci. 2005, 79, 225–232. [Google Scholar] [CrossRef]
- Ramalho, L.N.Z.; Ribeiro-Silva, A.; Cassali, G.D.; Zucoloto, S. The expression of p63 and cytokeratin 5 in mixedtumors of the canine mammary gland provides new insights into the histogenesis of these neoplasms. Vet. Path. 2006, 43, 424–429. [Google Scholar] [CrossRef]
- McLemore, L.E.; Albarracin, C.T.; Gruschkus, S.K.; Bassett, R.L., Jr.; Wu, Y.; Dhamne, S.; Yim, I.; Lin, K.; Bedrosian, I.; Sneige, N.; et al. HER2 testing in breast cancers: Comparison of assays and interpretation using ASCO/CAP 2013 and 2018 guidelines. Breast Cancer Res. Treat. 2021, 187, 95–104. [Google Scholar] [CrossRef]
- Soares, M.; Madeira, S.; Correia, J.; Peleteiro, M.; Cardoso, F.; Ferreira, F. Molecular based subtyping of feline mammary carcinomas and clinicopathological characterization. Breast 2016, 27, 44–51. [Google Scholar] [CrossRef]
- Mazzanti, M.C.; Al Hamad, M.; Fanelli, G.; Scatena, C.; Zammarchi, F.; Zavaglia, K.; Lessi, F.; Pistello, M.; Naccarato, A.G.; Bevilacqua, G. A mouse mammary tumor virus env-like exogenous sequence is strictly related to progression of human sporadic breast carcinoma. Am. J. Pathol. 2011, 179, 2083–2090. [Google Scholar] [CrossRef]
- Mazzanti, M.C.; Lessi, F.; Armogida, I.; Zavaglia, K.; Franceschi, S.; Al Hamad, M.; Roncella, M.; Ghilli, M.; Boldrini, A.; Aretini, P.; et al. Human saliva as route of inter-human infection for mouse mammary tumor virus. Oncotarget 2015, 21, 18355–18363. [Google Scholar] [CrossRef]
- Cotterchio, M.; Nadalin, V.; Sauer, M. Human breast cancer and lymphomas may share a common aetiology involving Mouse Mammary Tumour Virus (MMTV). Med. Hypotheses 2002, 59, 492–494. [Google Scholar] [CrossRef]
- Amarante, M.K.; de Sousa Pereira, N.; Vitiello, G.A.F.; Watanabe, M.A.E. Involvement of a mouse mammary tumor virus (MMTV) homologue in human breast cancer: Evidence for, against and possible causes of controversies. Microb. Pathog. 2019, 130, 283–294. [Google Scholar] [CrossRef]
- Moore, D.H.; Sarkar, N.H.; Kelly, C.E.; Pillsbury, N.; Charney, J. Type B particles in human milk. Tex. Rep. Biol Med. 1969, 27, 1027–1039. [Google Scholar]
- Schlom, J.; Spiegelman, S.; Moore, D. RNA-dependent DNA polymerase activity in virus-like particles isolated from human milk. Nature 1971, 231, 97–100. [Google Scholar] [CrossRef]
- Al-Sumidaie, A.M.; Leinster, S.J.; Hart, C.A.; Green, C.D.; Mc Carthy, K. Particles with properties of retroviruses in monocytes from patients with breast cancer. Lancet 1988, 331, 5–9. [Google Scholar] [CrossRef]
- Melana, S.M.; Napomnaschy, I.; Sakalian, M.; Abbott, A.; Hasa, J.; Holland, J.F.; Pogo, B.G. Characterization of viral particles isolated from primary cultures of human breast cancer cell. Cancer Res. 2007, 67, 8960–8965. [Google Scholar] [CrossRef]
- Mesa-Tejada, R.; Keydar, I.; Ramanarayanan, M.; Ohno, T.; Fenoglio, C.; Spiegelman, S. Detection in human breast carcinomas of an antigen immunologically related to a group-specific antigen of mouse mammary tumor virus. Proc. Nat. Acad. Sci. USA 1978, 75, 1529–1533. [Google Scholar] [CrossRef]
- Mesa-Tejada, R.; Oster, M.W.; Fenoglio, C.M.; Magidson, J.; Spiegelman, S. Diagnosis of primary breast carcinoma through immunohistochemical detection of antigen related to mouse mammary tumor virus in metastatic lesions: A report of two cases. Cancer 1982, 49, 261–268. [Google Scholar] [CrossRef]
- Ohno, T.; Mesa-Tejada, R.; Keydar, I.; Ramanarayanan, M.; Bausch, J.; Spiegelman, S. Human breast carcinoma antigen is immunologically related to the polypeptide of the group-specific glycoprotein of mouse mammary tumor virus. Proc. Natl. Acad. Sci. USA 1979, 76, 2460–2464. [Google Scholar] [CrossRef]
- Day, N.K.; Witkin, S.S.; Sarkar, N.H.; Kinne, D.; Jussawalla, D.J.; Levin, A.; Hsia, C.C.; Geller, N.; Good, R.A. Antibodies reactive with murine mammary tumor virus in sera of patients with breast cancer: Geographic and family studies. Proc. Natl. Acad. Sci. USA 1981, 78, 2483–2487. [Google Scholar] [CrossRef] [PubMed]
- Tomana, M.; Kajdos, A.H.; Niedermeier, W.; Durkin, W.J.; Mestecky, J. Antibodies to mouse mammary tumor virus-related antigen in sera of patients with breast carcinoma. Cancer 1981, 47, 2696–2703. [Google Scholar] [CrossRef]
- Axel, R.; Schlom, J.; Spiegelman, S. Presence in human breast cancer of RNA homologous to mouse mammary tumour virus RNA. Nature 1972, 235, 32–36. [Google Scholar] [CrossRef] [PubMed]
- Vaidya, A.B.; Black, M.M.; Dion, A.S.; Moore, D.H. Homology between human breast tumour RNA and mouse mammary tumour virus genome. Nature 1974, 249, 565–567. [Google Scholar] [CrossRef] [PubMed]
- Zammarchi, F.; Pistello, M.; Piersigilli, A.; Murr, R.; Di Cristofano, C.; Naccarato, A.G.; Bevilaqua, G. MMTV-like sequences in human breast cancer a fluorescent PCR/laser microdissection approch. J. Pathol. 2006, 209, 436–444. [Google Scholar] [CrossRef] [PubMed]
- Johal, H.; Ford, C.; Glenn, W.; Heads, J.; Lawson, J.; Rawlinson, W. Mouse mammary tumor like virus sequences in breast milk from healthy lactating women. Breast Cancer Res. Treat. 2011, 129, 149–155. [Google Scholar] [CrossRef] [PubMed]
- Nartey, T.M.; Moran, H.; Marin, T.; Arcaro, K.F.; Anderton, D.L.; Etkind, P.; Holland, J.F.; Melana, S.M.; Pogo, B.G. Human mammary tumor virus (HMTV) sequences in human milk. Infect. Agents Cancer 2004, 9, 20. [Google Scholar] [CrossRef]
- Bar-Sinai, A.; Bassa, N.; Fischette, M.; Gottesman, M.M.; Love, D.C.; Hanover, J.A.; Hochman, J. Mouse mammary tumor virus Env-derived peptide associates with nucleolar targets in lymphoma, mammary carcinoma, and human breast cancer. Cancer Res. 2005, 65, 7223–7230. [Google Scholar] [CrossRef]
- Dunn, T. Morphology of mammary tumors in mice. In Physiopathology of Cancer; Homburger, F., Phiebig, A.J., Eds.; Hoeber: New York, NY, USA, 1959; pp. 38–83. [Google Scholar]
- Lawson, J.S.; Mazzanti, C.; Civita, P.; Menicagli, M.; Ngan, C.C.; Whitaker, N.J.; Hochman, J.; Braitbard, O.; Yosufi, B.; Glenn, W.K. Association of mouse mammary tumor virus with human breast cancer: Histology, immunohistochemistry and polymerase chain reaction analyses. Front. Oncol. 2018, 7, 141. [Google Scholar] [CrossRef]
- Hughes, K.; Dobson, J.M. Prognostic histopathological and molecular markers in feline mammary neoplasia. Vet. J. 2012, 194, 19–26. [Google Scholar] [CrossRef]
- Millanta, F.; Calandrella, M.; Citi, S.; Della Santa, D.; Poli, A. Overexpression of HER-2 in feline invasive mammary carcinomas: An immunohistochemical survey and evaluation of its prognostic potential. Vet. Pathol. 2005, 42, 30–34. [Google Scholar] [CrossRef] [PubMed]
- Sorlie, T.; Perou, C.M.; Tibshirani, R.; Aas, T.; Geisler, S.; Johnsen, H.; Hastie, T.; Eisen, M.B.; van de Rijn, M.; Jeffrey, S.S.; et al. Gene expression patterns of breast carcinomas distinguish tumor subclasses with clinical implications. Proc. Natl. Acad. Sci. USA 2001, 98, 10869–10874. [Google Scholar] [CrossRef] [PubMed]




| Antibody | Clone | Dilution | Manufacturer |
|---|---|---|---|
| OR | 6F11 | 1:40 | Novocastra Laboratories Ltd., Newcastle upon Tyne, UK |
| PR | PR88 | 1:40 | Biogenex, San Ramon, CA, USA |
| c-erbB-2 | Polyclonal | 1:250 | Dako, Glostrup, Denmark |
| CK 5/6 | D5/16B4 | 1:100 | Zymed, San Francisco, CA, USA NeoMarkers |
| CK14 | Ab-1 (LL002) | 1:300 | NeoMarkers, Fremont, CA, USA |
| CK19 | BA17 | 1:50 | Dako, Glostrup, Denmark |
| p63 | 4A4 | 1:50 | Dako, Glostrup, Denmark |
| Histotype | Grading | Total | |||
|---|---|---|---|---|---|
| I | II | III | |||
| Simple carcinoma | Tubular | 4 | 14 | 7 | 25 |
| Tubulopapillary | 4 | 13 | 14 | 31 | |
| Ductal | 1 | 2 | 1 | 4 | |
| Intraductal papillary | 2 | 2 | 0 | 4 | |
| Micropapillary | 0 | 0 | 1 | 1 | |
| Solid | 0 | 2 | 23 | 25 | |
| Comedocarcinoma | 0 | 2 | 7 | 9 | |
| Cribriforme | 0 | 0 | 1 | 1 | |
| Anaplastic | 0 | 0 | 1 | 1 | |
| Complex carcinoma | 0 | 0 | 1 | 1 | |
| Total | 11 | 35 | 56 | 102 | |
| ID | Histotype | Grade | PR | ER | C-erbB-2 | CK | p63 | Phenotype |
|---|---|---|---|---|---|---|---|---|
| 80613 | TP | II | Neg | Neg | IHC 2+ | Pos | Neg | Basal |
| 81074 | TP | II | Neg | Neg | IHC 1+ | Pos | Pos | Basal |
| 84589 | TP | I | Neg | Neg | IHC 0 | Pos | Neg | Basal |
| 86367 | S | III | Neg | Neg | IHC 0 | Pos | Neg | Basal |
| 87537 | TP | II | Pos | Pos | IHC 1+ | Neg | Neg | Luminal |
| 87768 | TP | I | Neg | Neg | IHC 0 | Neg | Pos | Basal |
| 873/08 | TP | III | Pos | Neg | IHC 2+ | Pos | Neg | Luminal |
| 259/00 | D | II | Pos | Neg | IHC 0 | Neg | Neg | Luminal |
| 28983 | T | II | Neg | Neg | IHC 1+ | Pos | Neg | Basal |
Publisher’s Note: MDPI stays neutral with regard to jurisdictional claims in published maps and institutional affiliations. |
© 2021 by the authors. Licensee MDPI, Basel, Switzerland. This article is an open access article distributed under the terms and conditions of the Creative Commons Attribution (CC BY) license (https://creativecommons.org/licenses/by/4.0/).
Share and Cite
Parisi, F.; Muscatello, L.V.; Civita, P.; Lessi, F.; Menicagli, M.; Millanta, F.; Brunetti, B.; Benazzi, C.; Sarli, G.; Freer, G.; et al. Pathological Features and Molecular Phenotype of MMTV Like-Positive Feline Mammary Carcinomas. Animals 2021, 11, 2821. https://doi.org/10.3390/ani11102821
Parisi F, Muscatello LV, Civita P, Lessi F, Menicagli M, Millanta F, Brunetti B, Benazzi C, Sarli G, Freer G, et al. Pathological Features and Molecular Phenotype of MMTV Like-Positive Feline Mammary Carcinomas. Animals. 2021; 11(10):2821. https://doi.org/10.3390/ani11102821
Chicago/Turabian StyleParisi, Francesca, Luisa Vera Muscatello, Prospero Civita, Francesca Lessi, Michele Menicagli, Francesca Millanta, Barbara Brunetti, Cinzia Benazzi, Giuseppe Sarli, Giulia Freer, and et al. 2021. "Pathological Features and Molecular Phenotype of MMTV Like-Positive Feline Mammary Carcinomas" Animals 11, no. 10: 2821. https://doi.org/10.3390/ani11102821
APA StyleParisi, F., Muscatello, L. V., Civita, P., Lessi, F., Menicagli, M., Millanta, F., Brunetti, B., Benazzi, C., Sarli, G., Freer, G., Pistello, M., Mazzanti, C. M., & Poli, A. (2021). Pathological Features and Molecular Phenotype of MMTV Like-Positive Feline Mammary Carcinomas. Animals, 11(10), 2821. https://doi.org/10.3390/ani11102821

