Effects of Two Commercial Diets on Several Reproductive Parameters in Bitches: Note One—From Estrous Cycle to Parturition
Abstract
Simple Summary
Abstract
1. Introduction
2. Materials and Methods
2.1. Animals and Diets
- CTR: poultry meal, rice, corn, poultry fat, fishmeal, beet pulp, fish oil, seeds oil, sodium chloride and dehydrated Saccharomyces cerevisiae.
- EX: poultry meal, spelt, oat, potato, fishmeal, hydrolyzed fish protein, beet pulp dehydrated eggs, fish oil, flax seed, calcium carbonate, monocalcium phosphate, potassium chloride, psyllium, MOS, sodium chloride and dehydrated Saccharomyces cerevisiae.
- Control group (CTR): composed of 4 bitches of medium size and 5 of large size (body weight 31.94 kg ± 13.08; BCS, 5 points scale: 3.30 ± 0.26);
- Experimental group (EX): composed of 2 bitches of medium size and 7 of large size (body weight 29.08 kg ± 14.35; BCS, 5 points scale: 3.63 ± 0.52).
2.2. Monitoring of Bitches until Pregnancy Diagnosis
2.3. Vaginal Cytology and Plasma Progesterone Determinations
2.4. Ultrasound Scanning
2.5. Weight Control and Oxidative Status
2.6. Statistical Analysis
3. Results
Monitoring of Bitches until Pregnancy Diagnosis
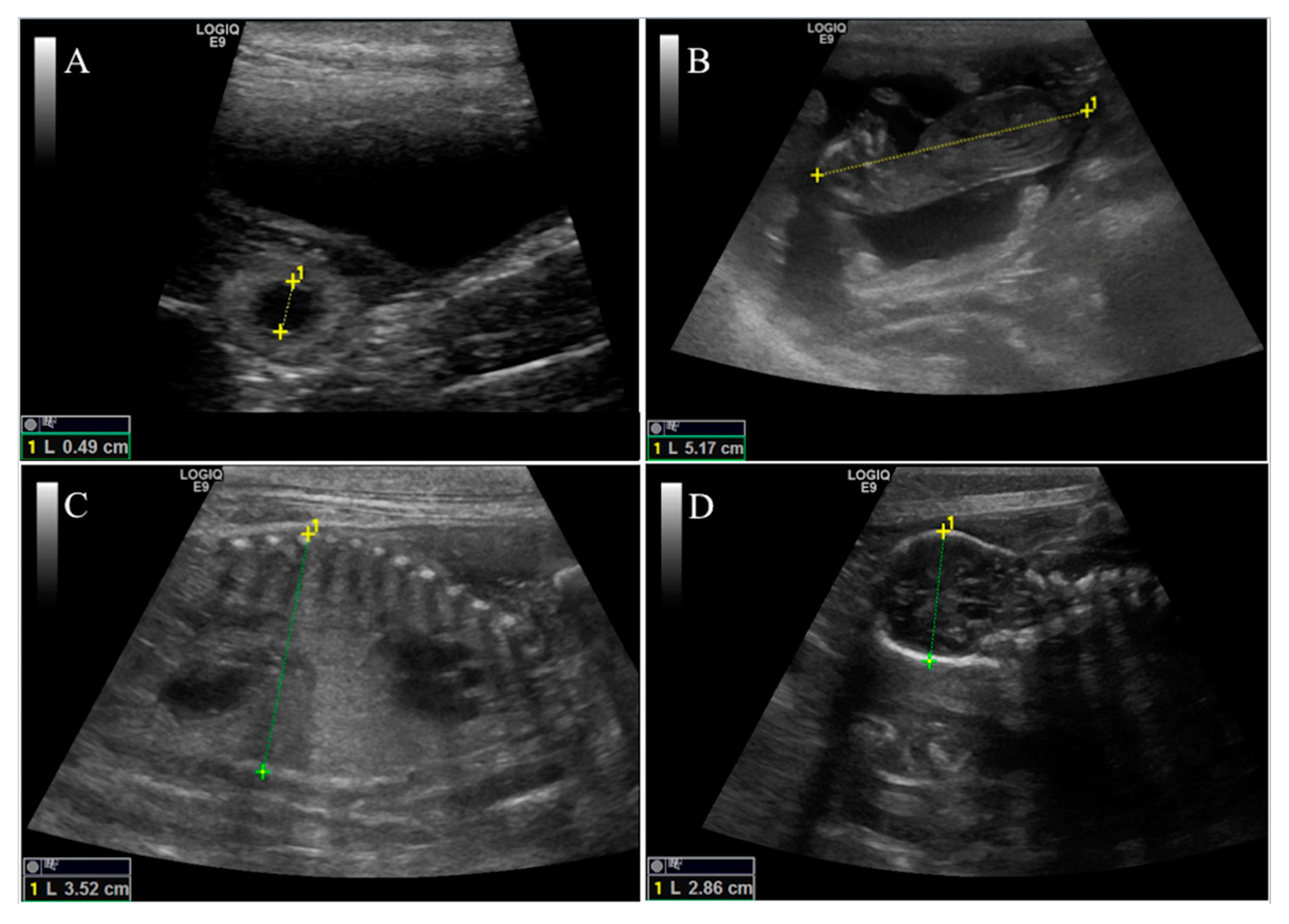
- Inner chorionic cavity diameter—EX group showed higher values than CTR one and, in particular, on the 23rd day the difference was significant (1.30 vs. 0.80 cm; p < 0.05). Regarding size, the larger bitches showed higher values with a significant difference on the 23rd day (1.27 vs. 0.83 cm; p < 0.05) compared to bitches of medium size.
- Biparietal diameter—both effects (diet and size) did not affect this parameter, except for the 37th day when the diameter value of CTR group was significantly higher (1.36 vs. 1.13 cm, p < 0.05) than EX group one.
- The body diameter of the control group showed higher values than the experimental group even if the difference was significant only on the 41st day (1.91 vs. 1.61 cm, p < 0.05). Concerning size, until the 46th day, large bitches showed a higher diameter compared to bitches of medium size, while from the 46th day the values became similar.
- Crown-rump length—the control group showed a greater length during the first 50 days of gestation (50th: 10.74 vs. 9.75 cm, p < 0.05), afterward the values became overlapped. The embryos of large size bitches were always longer than those of medium-sized bitches.
4. Discussion
5. Conclusions
Supplementary Materials
Author Contributions
Funding
Institutional Review Board Statement
Data Availability Statement
Acknowledgments
Conflicts of Interest
References
- Williamson, C.S. Nutrition in pregnancy. Nutr. Bull. 2006, 31, 28–59. [Google Scholar] [CrossRef]
- Münnich, A. Gesundheitsprophylaxe für das gravide Muttertier und Welpen. In Reproduktionsmedizin und Neonatologie von Hund und Katze, 1st ed.; Schattauer GmbH: Stuttgart, Germany, 2016; pp. 248–255. [Google Scholar]
- Greco, D.S. Nutritional supplements for pregnant and lactating bitches. Theriogenology 2008, 70, 393–396. [Google Scholar] [CrossRef] [PubMed]
- Schroeder, G.E.; Smith, G.A. Bodyweight and feed intake of German shepherd bitches during pregnancy and lactation. J. Small Anim. Pract. 1995, 36, 7–10. [Google Scholar] [CrossRef] [PubMed]
- Debraekeleer, J.; Gross, K.L.; Zicker, S.C. Feeding Reproducing Dogs. In Small Animal Clinical Nutrition, 4th ed.; Hand, M.S., Thatcher, C.D., Remillard, R.L., Roudebush, P., Novotny, B.J., Eds.; Mark Morris Institute: Topeka, Kansas, 2010; pp. 281–294. [Google Scholar]
- Scantlebury, M.; Butterwick, R.; Speakman, J.R. Energetics and litter size variation in domestic dog Canis familiaris breeds of two sizes. Comp. Biochem. Phys. 2001, 129, 919–931. [Google Scholar] [CrossRef]
- Kelley, R. Canine reproductive management: Factors affecting litter size. In Proceedings of the Annual Conference of the Society for Theriogenology and American College of Theriogenology, Colorado Springs, CO, USA, 7–11 August 2002; pp. 291–301. [Google Scholar]
- Wright-Rodgers, A.S.; Waldron, M.K.; Bigley, K.E.; Lees, G.E.; Bauer, J.E. Dietary fatty acids alter plasma lipids and lipoprotein distributions in dogs during gestation, lactation, and the perinatal period. J. Nutr. 2005, 135, 2230–2235. [Google Scholar] [CrossRef] [PubMed]
- Fontaine, E. Food Intake and Nutrition during Pregnancy, Lactation and Weaning in the Dam and Offspring. Reprod. Domest. Anim. 2012, 47, 326–330. [Google Scholar] [CrossRef]
- NRC. Nutrient Requirements of Dog and Cats; National Academy Press: Washington, DC, USA, 2006.
- Wright, P.J. Application of vaginal cytology and plasma progesterone determinations to the management of reproduction in the bitch. J. Small Anim. Pract. 1990, 31, 7. [Google Scholar] [CrossRef]
- Antonov, A.L. Application of exfoliative vaginal cytology in clinical canine reproduction—A review. Bulg. J. Vet. Med. 2016, 20, 193–203. [Google Scholar] [CrossRef]
- Concannon, P.W. Reproductive cycles of the domestic bitch. Anim. Reprod. Sci. 2011, 124, 200–210. [Google Scholar] [CrossRef]
- Fontbonne, A. In Vivo Ovulation, Oocyte Maturation and Fertilisation in the Bitch. Ph.D. Thesis, AgroParisTech, Paris, France, 2008. [Google Scholar]
- Johnson, C.A. Pregnancy management in the bitch. Theriogenology 2008, 70, 1412–1417. [Google Scholar] [CrossRef]
- Association of American Feed Control Officials (AAFCO). Model Regulations for Pet Food and Specialty Pet Food under the Model Bill: 2019 Official Publication; Association of American Feed Control Officials: Oxford, IN, USA, 2019; pp. 139–204. [Google Scholar]
- Nutritional Guidelines for Complete and Complementary Pet Food for Cats and Dogs (FEDIAF). Eur. Pet Food Ind. Fed. 2011, 17, 51–54.
- Wehrend, A.; von Plato, K.; Goericke-Pesch, S. Exfoliative Vaginal Cytology in the Bitch—Indications, Procedure, Interpretation. Tierarztl. Prax. Ausg K Kleintiere Heimtiere 2013, 41, 267–274. [Google Scholar] [CrossRef]
- Sharma, L.K.; Sarath, T.; Joseph, C.; Sridevi, P.; Arunmozhi, N.; Monica, G. Ultrasonographic Diagnosis of Fetal Resorption in Relation to Age, Parity, Body. Condition and Breed in Bitches. Int. J. Curr. Microbiol. Appl. Sci. 2018, 7, 1–6. [Google Scholar] [CrossRef]
- Gaytán, L.; Rascón, C.R.; Angel-García, O.; Véliz, F.G.; Contreras, V.; Mellado, M. Factors influencing English Bulldog bitch fertility after surgical uterine deposition of fresh semen. Theriogenology 2020, 142, 315–319. [Google Scholar] [CrossRef] [PubMed]
- McDonald, P.; Edwards, R.A.; Greenhalgh, J.F.D. Feeding standards for reproduction. In Animal Nutrition, 5th ed.; Longman Scientific & Technical: Harlow (Essex), UK, 1995; pp. 353–371. [Google Scholar]
- Hollinshead, F.K.; Hanlon, D.W. Normal progesterone profiles during estrus in the bitch: A prospective analysis of 1420 estrous cycles. Theriogenology 2019, 125, 37–42. [Google Scholar] [CrossRef] [PubMed]
- Abayasekara, D.R.E.; Wathes, D.C. Effects of altering dietary fatty acid composition on prostaglandin synthesis and fertility Prostaglandins. Leukot. Essent. Fat. Acids 1999, 61, 275–287. [Google Scholar] [CrossRef] [PubMed]
- Bauer, J.E. Comparative lipid and lipoprotein metabolism. Vet. Clin. Phat. 1996, 25, 49–56. [Google Scholar] [CrossRef]
- Elwood, J.M.; Colquhoun, T.A. Observations on the prevention of cleft palate in dogs by folic acid and the potential relevance to humans. N. Z. Vet. J. 1997, 45, 254–256. [Google Scholar] [CrossRef]
- Ortega-Pacheco, A.; Rodriguez-Buenfil, J.C.; Segura-Correa, J.C.; Montesde Oca-González, A.R.; Jiménez-Coello, M. Prevalence of fetal resorption in stray dogs in Yucatan. Mexico. J. Small Anim. Pract. 2006, 47, 266–269. [Google Scholar] [CrossRef]
- Muller, K.; Arbeiter, K. Ultrasonographic and clinical signs of fetal resorption in the bitch. J. Reprod. Fertil. 1993, 47, 558. [Google Scholar]
- Ivanova, C.; Georgiev, P. Pregnancy in the bitch- a physiological condition requiring specific care-review. Tradit. Mod. Vet. Med. 2018, 3, 77–82. [Google Scholar]
- Kelley, R.L. Nutritional Management of the Bitch: Pre-Breeding to Whelping IAMS “Canine Reproduction for Breeders from a Symposium Presented at Westminster K.C. Available online: http://www.woodhavenlands.Com/feeding-pregnant=does.html (accessed on 2 October 2020).
- Sechi, S.; Chiavolelli, F.; Spissu, N.; Di Cerbo, A.; Canello, S.; Guidetti, G.; Fiore, F.; Cocco, R. An antioxidant dietary supplement improves brain-derived neurotrophic factor levels in serum of aged dogs: Preliminary results. J. Vet. Med. 2015, 41, 2501. [Google Scholar] [CrossRef] [PubMed]
- Pasquini, A.; Luchetti, E.; Cardini, G. Evaluation of oxidative stress in hunting dogs during exercise. Res. Vet. Sci. J. 2010, 89, 120–123. [Google Scholar] [CrossRef] [PubMed]
- Halliwell, B.; Cross, C.E. Oxygenderived species: Their relation to human disease and environmental stress. Environ. Health Persp. 1994, 102, 5–12. [Google Scholar]
- Silva, F.G.; O’Callagahan, Y.; O’Brien, N.M.; Netto, F.M. Antioxidant capacity of flaxseed products: The effect of in vitro digestion. Plant Foods Hum. Nutr. 2013, 68, 24–30. [Google Scholar] [CrossRef]










| Diets Characteristics | Unit | CTR | EX |
|---|---|---|---|
| Crude protein | g | 17.90 | 19.73 |
| Fat | g | 11.26 | 11.28 |
| Crude fiber | g | 1.427 | 1.975 |
| Ash | g | 4.655 | 5.569 |
| Calcium | g | 0.259 | 0.501 |
| Phosphorus | g | 0.226 | 0.500 |
| Magnesium | g | 0.035 | 0.036 |
| Methionine | g | 0.227 | 0.246 |
| Cysteine | g | 0.150 | 0.200 |
| Linoleic acid | g | 0.717 | 0.806 |
| α-Linolenic acid | g | 0.024 | 0.049 |
| Arachidonic acid | mg | 0.016 | 0.018 |
| EPA+DHA | g | 0.028 | 0.030 |
| Group | Anaestrus | Proestrus | Estrus | Ovulation | ||||||||
|---|---|---|---|---|---|---|---|---|---|---|---|---|
| LA | SA | LA | SA | f/o | GR fol | LA | SA | f/o | GR fol | LA | SA | |
| cm | cm | cm | cm | cm | cm | cm | cm | cm | cm | |||
| Treatment | ||||||||||||
| EX | 0.96 a | 0.64 | 1.77 | 1.06 | 4.27 | 0.46 | 2.17 | 1.15 | 3.84 | 0.79 a | 1.48 a | 0.90 |
| CTR | 0.87 b | 0.62 | 1.67 | 1.12 | 3.99 | 0.40 | 2.20 | 1.24 | 3.44 | 0.69 b | 1.21 b | 0.99 |
| Size | ||||||||||||
| M | 0.89 | 0.60 | 1.72 | 1.19 a | 3.82 | 0.42 | 2.14 | 1.19 | 3.55 | 0.73 | 1.33 | 0.90 |
| L | 0.94 | 0.66 | 1.72 | 0.99 b | 4.45 | 0.43 | 2.23 | 1.20 | 3.73 | 0.74 | 1.36 | 0.98 |
| Int | ** | ** | NS | NS | NS | NS | NS | NS | NS | NS | NS | NS |
| MSE | 0.007 | 0.009 | 0.028 | 0.027 | 0.618 | 0.021 | 0.102 | 0.019 | 0.196 | 0.010 | 0.040 | 0.002 |
| Group | Proestrus | Estrus | Ovulation | ||
|---|---|---|---|---|---|
| Progesterone | Sup cell | Progesterone | Sup cell | Progesterone | |
| Ng/mL | % | Ng/mL | % | Ng/mL | |
| Treatment | |||||
| EX | 0.83 | 33.52 | 2.89 a | 76.83 a | 6.70 |
| CTR | 0.78 | 35.84 | 2.31 b | 67.00 b | 6.78 |
| Size | |||||
| M | 0.92 a | 34.99 | 2.57 | 69.39 b | 7.08 |
| L | 0.69 b | 34.37 | 2.62 | 74.50 a | 6.40 |
| Int | * | NS | NS | NS | NS |
| MSE | 0.028 | 7.860 | 0.243 | 8.475 | 1.850 |
Publisher’s Note: MDPI stays neutral with regard to jurisdictional claims in published maps and institutional affiliations. |
© 2020 by the authors. Licensee MDPI, Basel, Switzerland. This article is an open access article distributed under the terms and conditions of the Creative Commons Attribution (CC BY) license (http://creativecommons.org/licenses/by/4.0/).
Share and Cite
Orlandi, R.; Vallesi, E.; Calabrò, S.; Vastolo, A.; Musco, N.; Troisi, A.; Polisca, A.; Lombardi, P.; Cutrignelli, M.I. Effects of Two Commercial Diets on Several Reproductive Parameters in Bitches: Note One—From Estrous Cycle to Parturition. Animals 2021, 11, 23. https://doi.org/10.3390/ani11010023
Orlandi R, Vallesi E, Calabrò S, Vastolo A, Musco N, Troisi A, Polisca A, Lombardi P, Cutrignelli MI. Effects of Two Commercial Diets on Several Reproductive Parameters in Bitches: Note One—From Estrous Cycle to Parturition. Animals. 2021; 11(1):23. https://doi.org/10.3390/ani11010023
Chicago/Turabian StyleOrlandi, Riccardo, Emanuela Vallesi, Serena Calabrò, Alessandro Vastolo, Nadia Musco, Alessandro Troisi, Angela Polisca, Pietro Lombardi, and Monica I. Cutrignelli. 2021. "Effects of Two Commercial Diets on Several Reproductive Parameters in Bitches: Note One—From Estrous Cycle to Parturition" Animals 11, no. 1: 23. https://doi.org/10.3390/ani11010023
APA StyleOrlandi, R., Vallesi, E., Calabrò, S., Vastolo, A., Musco, N., Troisi, A., Polisca, A., Lombardi, P., & Cutrignelli, M. I. (2021). Effects of Two Commercial Diets on Several Reproductive Parameters in Bitches: Note One—From Estrous Cycle to Parturition. Animals, 11(1), 23. https://doi.org/10.3390/ani11010023

