Physiological Impairment as a Result of Bile Accumulation in an Apex Predator, the Tiger Shark (Galeocerdo cuvier Péron & Lesueur, 1822)
Simple Summary
Abstract
1. Introduction
2. Materials and Methods
2.1. Tiger Sharks
2.2. Blood Sampling
2.3. Serum Assays
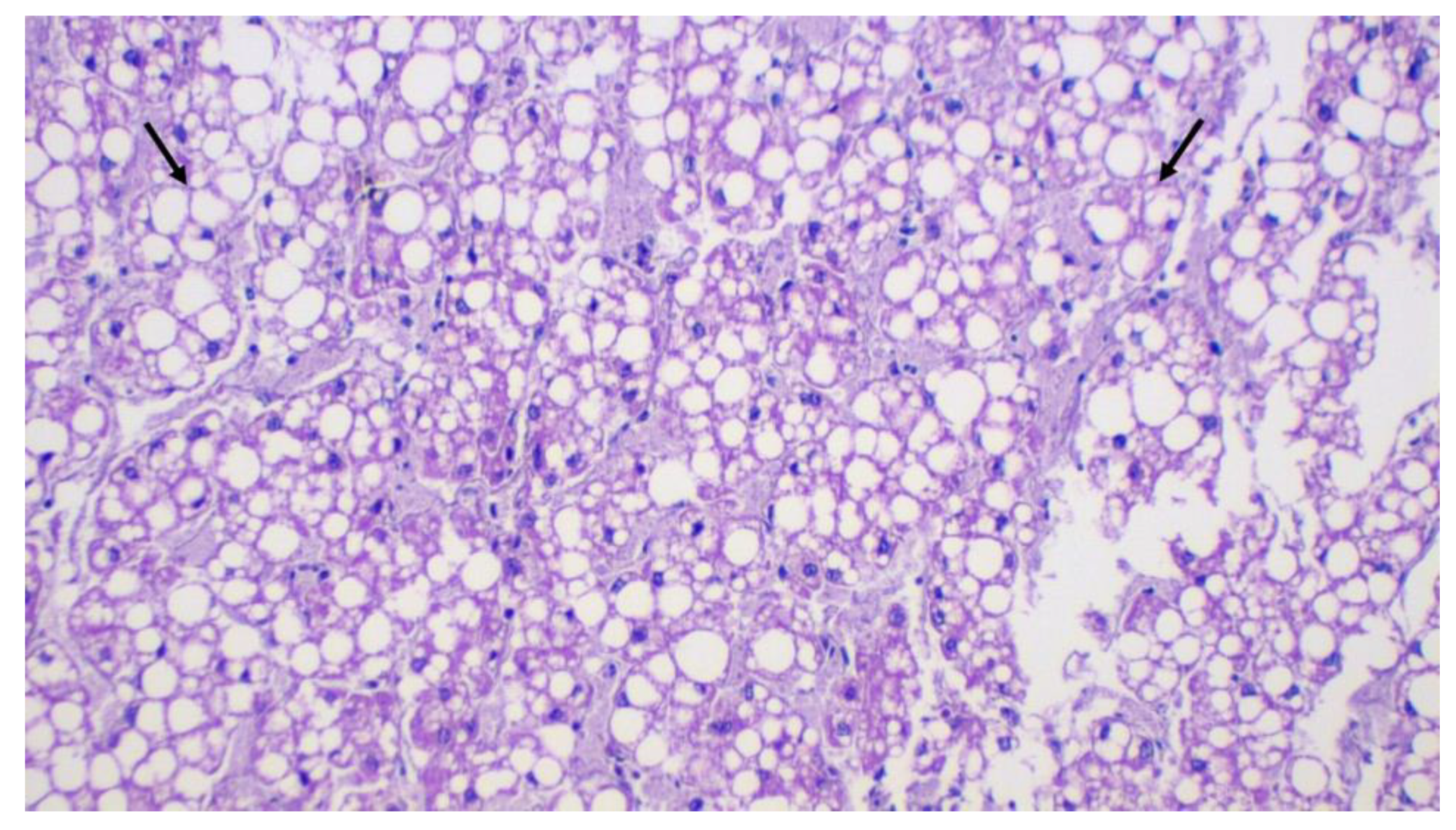
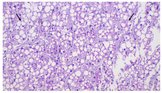
2.4. Liver and Gallbladder Histopathology
2.5. Statistical Analysis
3. Results
3.1. Sharks with Bile Accumulation Disorder
3.2. Overall Distribution of Biomarker Concentrations
3.3. Enzyme Activities and Circulating Bilirubin
3.4. Nutritional Profiles
4. Discussion
5. Conclusions
Supplementary Materials
Author Contributions
Funding
Acknowledgments
Conflicts of Interest
References
- Dulvy, N.K.; Simpfendorfer, C.A.; Davidson, L.N.; Fordham, S.V.; Bräutigam, A.; Sant, G.; Welch, D.J. Challenges and priorities in shark and ray conservation. Curr. Biol. 2017, 27, R565–R572. [Google Scholar] [CrossRef]
- Thurber, R.V. Future directions for marine disease research. In Marine Disease Ecology; Behinger, D.C., Siliman, B.R., Lafferty, K.D., Eds.; Oxford University Press: Oxford, UK, 2020; pp. 257–260. [Google Scholar]
- Garner, M.M. A retrospective study of disease in elasmobranchs. Vet. Pathol. 2013, 50, 377–389. [Google Scholar] [CrossRef]
- Schroeders, V.D. Tumors of Fishes. Ph.D. Thesis, Saint Petersburg State University, Washington, DC, USA, 1908. (In Russian). [Google Scholar]
- Berzins, I.K.; Hovland, E. Shark tumor—An oxymoron. In Proceedings of the Annual Meeting of the International Association for Aquatic Animal Medicine, Boston, MA, USA, 2–5 May 1999; pp. 3–7. [Google Scholar]
- Borucinska, J.; Harshbarger, J.C.; Bogicevic, T. Hepatic cholangiocarcinoma and testicular mesothelioma in a wild-caught blue shark, Prionace glauca (L.). J. Fish Dis. 2003, 26, 43–49. [Google Scholar] [CrossRef]
- Lawrence, Y.A.; Steiner, J.M. Laboratory evaluation of the liver. Vet. Clin. Small Anim. Pract. 2017, 47, 539–553. [Google Scholar] [CrossRef]
- Thrall, A.M. Hematologia e Bioquímica Clínica Veterinária, 2nd ed.; Roca: Rio de Janeiro, Brazil, 2015. [Google Scholar]
- Gonzalez, F.H.D.; Silva, S.C. Introdução à Bioquímica Clínica Veterinária, 2nd ed.; Editora da Universidade Federal do Rio Grande do Sul: Porto Alegre, Brazil, 2006. [Google Scholar]
- Campbell, T.W. Clinical chemistry of fish and amphibians. In Veterinary Hematology and Clinical Chemistry; Thrall, M.A., Weiser, G., Allison, R., Campbell, T., Eds.; Lippincott Williams & Wilkins: Philadelphia, PA, USA, 2004; pp. 499–517. [Google Scholar]
- Méndez-Sánchez, N.; Vítek, L.; Aguilar-Olivos, N.E.; Uribe, M. Bilirubin as a Biomarker in Liver Disease. In Biomarkers in Liver Disease. Biomarkers in Disease: Methods, Discoveries and Applications; Patel, V., Preedy, V., Eds.; Springer: Dordrecht, The Netherlands, 2017; pp. 281–304. [Google Scholar]
- Manire, C.; Hueter, R.; Hull, E.; Spieler, R. Serological changes associated with gill-net capture and restraint in three species of sharks. Trans. Am. Fish. Soc. 2001, 130, 1038–1048. [Google Scholar] [CrossRef]
- Moyes, C.D.; Fragoso, N.; Musyl, M.K.; Brill, R.W. Predicting post release survival in large pelagic fish. Trans. Am. Fish. Soc. 2006, 135, 1389–1397. [Google Scholar] [CrossRef]
- Otway, N.M.; Ellis, M.T.; Starr, R. Serum biochemical reference intervals for wild dwarf ornate wobbegong sharks (Orectolobus ornatus). Vet. Clin. Pathol. 2011, 40, 361–367. [Google Scholar] [CrossRef]
- Otway, N.M. Serum biochemical reference intervals for free-living Sand Tiger sharks (Carcharias taurus) from east Australian waters. Vet. Clin. Pathol. 2015, 44, 262–274. [Google Scholar] [CrossRef]
- Butcher, P.A.; Peddemors, V.M.; Mandelman, J.W.; McGrath, S.P.; Cullis, B.R. At-vessel mortality and blood biochemical status of elasmobranchs caught in an Australian commercial longline fishery. Glob. Ecol. Conserv. 2015, 3, 878–889. [Google Scholar] [CrossRef]
- Holland, K.N.; Wetherbee, B.M.; Lowe, C.G.; Meyer, C.G. Movements of tiger sharks (Galeocerdo cuvier) in coastal Hawaiian waters. Mar. Biol. 1999, 134, 665–673. [Google Scholar] [CrossRef]
- Hazin, F.H.; Afonso, A.S.; Castilho, P.C.; Ferreira, L.C.; Rocha, B.C. Regional movements of the tiger shark, Galeocerdo cuvier, off northeastern Brazil: Inferences regarding shark attack hazard. An. Acad. Bras. Ciências 2013, 85, 1053–1062. [Google Scholar] [CrossRef]
- Castro, J.I.; Sato, K.; Bodine, A.B. A novel mode of embryonic nutrition in the tiger shark, Galeocerdo cuvier. Mar. Biol. Res. 2016, 12, 200–205. [Google Scholar] [CrossRef]
- Dulvy, N.K.; Fowler, S.L.; Musick, J.A.; Cavanagh, R.D.; Kyne, P.M.; Harrison, L.R.; Carlson, J.K.; Davidson, L.N.; Fordham, S.V.; Francis, M.P.; et al. Extinction risk and conservation of the world’s sharks and rays. eLife 2014, 3, e00590. [Google Scholar] [CrossRef] [PubMed]
- Wirsing, A.J.; Heithaus, M.R.; Dill, L.M. Tiger shark (Galeocerdo cuvier) abundance and growth in a subtropical embayment: Evidence from 7 years of standardized fishing effort. Mar. Biol. 2006, 149, 961–968. [Google Scholar] [CrossRef]
- Heithaus, M.R.; Wirsing, A.J.; Dill, L.M.; Heithaus, L.I. Long-term movements of tiger sharks’ satellite-tagged in Shark Bay, Western Australia. Mar. Biol. 2007, 151, 1455–1461. [Google Scholar] [CrossRef]
- Meyer, C.G.; Papastamatiou, Y.P.; Holland, K.N. A multiple instrument approach to quantifying the movement patterns and habitat use of tiger (Galeocerdo cuvier) and Galapagos sharks (Carcharhinus galapagensis) at French Frigate Shoals, Hawaii. Mar. Biol. 2010, 157, 1857–1868. [Google Scholar] [CrossRef]
- Hammerschlag, N.; Gallagher, A.J.; Wester, J.; Luo, J.; Ault, J.S. Don’t bite the hand that feeds: Assessing ecological impacts of provisioning ecotourism on an apex marine predator. Funct. Ecol. 2012, 26, 567–576. [Google Scholar] [CrossRef]
- Domingo, A.; Coelho, R.; Cortes, E.; Garcia-Cortes, B.; Mas, F.; Mejuto, J.; Miller, P.; Ramos-Cartelle, A.; Santos, M.N.; Yokawa, K. Is the tiger shark Galeocerdo cuvier a coastal species? Expanding its distribution range in the Atlantic Ocean using at-sea observer data. J. Fish Biol. 2016, 88, 1223–1228. [Google Scholar] [CrossRef]
- Papastamatiou, Y.P.; Meyer, C.G.; Carvalho, F.; Dale, J.J.; Hutchinson, M.R.; Holland, K.N. Telemetry and random-walk models reveal complex patterns of partial migration in a large marine predator. Ecology 2013, 94, 2595–2606. [Google Scholar] [CrossRef]
- Gallagher, A.J.; Wagner, D.N.; Irschick, D.J.; Hammerschlag, N. Body condition predicts energy stores in apex predatory sharks. Conserv. Physiol. 2014, 2, cou022. [Google Scholar] [CrossRef]
- Hammerschlag, N.; Skubel, R.A.; Sulikowski, J.; Irschick, D.J.; Gallagher, A.J. A comparison of reproductive and energetic states in a marine apex predator (the tiger shark, Galeocerdo cuvier). Physiol. Biochem. Zool. 2018, 91, 933–942. [Google Scholar] [CrossRef]
- Wosnick, N.; Rangel, B.S.; Afonso, A.S.; Bornatowski, H.; Hazin, F.H.V.; Moreira, R.G.; Freire, C.A. Hormones and migration in tiger sharks (Galeocerdo cuvier): Can they be related? Aqua Int. J. Ichthyol. 2018, 24, 9–14. [Google Scholar]
- Walsh, C.J.; Luer, C.A. Elasmobranch Hematology: Identification of Cell Types and Practical Applications. In Elasmobranch Husbandry Manual I; Smith, M., Warmolts, D., Thoney, D., Hueter, R., Eds.; Ohio Biological Survey Inc.: Columbus, OH, USA, 2004; pp. 307–323. [Google Scholar]
- Ueda, K.; Yanagisawa, M.; Murakumo, K.; Matsumoto, Y.; Sato, K.; Ushida, S. Physical examination, blood sampling, and sedation of large elasmobranchs. In The Elasmobranch Husbandry Manual II; Smith, M., Warmolts, D., Thoney, D., Hueter, R., Murray, M., Ezcurra, J., Eds.; Ohio Biological Survey Inc.: Columbus, OH, USA, 2017; pp. 255–262. [Google Scholar]
- De Melo, L.F.; Cabrera, M.L.; Rodrigues, A.C.B.; Turquetti, A.D.O.M.; Ruivo, L.P.; Bruno, C.E.M.; Rici, R.E.G. Morphological Description of Blue Shark Liver, Prionace glauca (Linnaeus, 1758), Elasmobranchii, Carcharhiniformes. Int. J. Adv. Eng. Res. Sci. 2019, 6, 286–290. [Google Scholar] [CrossRef]
- Cook, J.W. Bile acids of elasmobranch fish. Nature 1941, 147, 388. [Google Scholar] [CrossRef]
- Bridgwater, R.J.; Briggs, T.; Haslewood, G.A.D. Comparative studies of bile salts. Isolation from shark bile and partial synthesis of scymnol. Biochem. J. 1962, 82, 285–290. [Google Scholar] [CrossRef]
- Kouchi, M. Stero-bile acids and bile sterols. Studies on the bile of shark, Mustelus manazo. Hiroshima J. Med. Sci. 1964, 13, 341. [Google Scholar]
- Ishida, H.; Kinoshita, S.; Natsuyama, R.; Nukaya, H.; Tsuji, K.; Nagasawa, M.; Kosuge, T. Study on the bile salt, sodium scymnol sulfate, from Lamna ditropis. III. The structures of a new sodium scymnol sulfate and new anhydroscymnols. Chem. Pharm. Bull. 1992, 40, 864–868. [Google Scholar] [CrossRef]
- Ishida, H.; Miyamoto, H.; Kajino, T.; Nakayasu, H.; Nukaya, H.; Tsuji, K. Study on the bile salt from Megamouth shark. I. The structures of a new bile alcohol, 7-deoxyscymnol, and its new sodium sulfates. Chem. Pharm. Bull. 1996, 44, 1289–1292. [Google Scholar] [CrossRef]
- Boyer, J.; Schwarz, J.; Smith, N. Biliary secretion in elasmobranchs. I. Bile collection and composition. Am. J. Physiol. Leg. Content 1976, 230, 970–973. [Google Scholar] [CrossRef]
- Boyer, J.L.; Schwarz, J.; Smith, N. Biliary secretion in elasmobranchs. II. Hepatic uptake and biliary excretion of organic anions. Am. J. Physiol. Leg. Content 1976, 230, 974–981. [Google Scholar] [CrossRef]
- Chowdhury, N.R.; Roy-Chowdhury, J.; Arias, I.M. Bile pigment composition and hepatic UDP-glucuronyl transferase activity in the fetal and adult dogfish shark, Squalus acanthias. Comp. Biochem. Physiol. B 1982, 73, 651–653. [Google Scholar] [CrossRef]
- Patton, J.S.; Warner, T.G.; Benson, A.A. Partial characterization of the bile salt-dependent triacylglycerol lipase from the leopard shark pancreas. Biochim. Biophys. Acta (BBA) Lipids Lipid Metab. 1977, 486, 322–330. [Google Scholar] [CrossRef]
- Wilhelmi, M.; Mock, M.R.; Zuendt, B.; Meyer, G.; Macrides, T.A.; Wright, P.F.A.; Jungst, D. The hepatoprotective shark bile sterol, scymnol: A potential nucleation inhibitor of cholesterol crystals in bile. In Proceedings of the 5th Congress of Toxicology in Developing Countries, Guilin, China, 10–13 November 2003; p. 114. [Google Scholar]
- Ballatori, N.; Boyer, J.L. Slow biliary elimination of methyl mercury in the marine elasmobranchs, Raja erinacea and Squalus acanthias. Toxicol. Appl. Pharmacol. 1986, 85, 407–415. [Google Scholar] [CrossRef]
- Slitt, A.L.; Naylor, L.; Hoivik, J.; Manautou, J.E.; Macrides, T.; Cohen, S.D. The shark bile salt 5 beta-scymnol abates acetaminophen toxicity, but not covalent binding. Toxicology 2004, 203, 109–121. [Google Scholar] [CrossRef]
- Burger, J.W. Some aspects of liver function in the spiny dogfish, Squalus acanthias. In Sharks, Skates and Rays; Johns Hopkins Press: Baltimore, MD, USA, 1967; pp. 293–298. [Google Scholar]
- Grossbard, M.L.; Boyer, J.L.; Gordon, E.R. The excretion pattern of biliverdin and bilirubin in bile of the small skate (Raja erinacea). J. Comp. Physiol. B 1987, 157, 61–66. [Google Scholar] [CrossRef]
- Das, J.B.; Cosentino, C.M.; Levy, M.F.; Ansari, G.G.; Raffensperger, J.G. Early hepatobiliary dysfunction during total parenteral nutrition: An experimental study. J. Pediatr. Surg. 1993, 28, 14–18. [Google Scholar] [CrossRef]
- Donaldson, A.E.; Lamont, I.L. Biochemistry changes that occur after death: Potential markers for determining post-mortem interval. PLoS ONE 2013, 8, e82011. [Google Scholar] [CrossRef]
- Speers-Roesch, B.; Treberg, J.R. The unusual energy metabolism of elasmobranch fishes. Comp. Biochem. Physiol. Part A 2010, 155, 417–434. [Google Scholar] [CrossRef]
- Callard, I.P.; Klosterman, L.L.; Sorbera, L.A.; Fileti, L.A.; Reese, J.C. Endocrine regulation of reproduction in elasmobranchs: Archetype for terrestrial vertebrates. J. Exp. Zool. 1989, 252, 12–22. [Google Scholar] [CrossRef]
- Gallagher, A.J.; Skubel, R.A.; Pethybridge, H.R.; Hammerschlag, N. Energy metabolism in mobile, wild-sampled sharks inferred by plasma lipids. Conserv. Physiol. 2017, 5, cox002. [Google Scholar] [CrossRef]
- Leigh, S.C.; Papastamatiou, Y.; German, D.P. The nutritional physiology of sharks. Rev. Fish Biol. Fish. 2017, 27, 561–585. [Google Scholar] [CrossRef]
- Lowe, C.G.; Wetherbee, B.M.; Crow, G.L.; Tester, A.L. Ontogenetic dietary shifts and feeding behavior of the tiger shark, Galeocerdo cuvier, in Hawaiian waters. Environ. Biol. Fishes 1996, 47, 203–211. [Google Scholar] [CrossRef]
- Lea, J.S.E.; Daly, R.; Leon, C.; Daly, C.A.K.; Clarke, C.R. Life after death: Behaviour of multiple shark species scavenging a whale carcass. Mar. Freshw. Res. 2019, 70, 302–306. [Google Scholar] [CrossRef]
- Armstrong, J.B.; Schindler, D.E. Excess digestive capacity in predators reflects a life of feast and famine. Nature 2011, 476, 84–87. [Google Scholar] [CrossRef]







| Tiger Sharks | Sex | Stage | TL (cm) | Fishing Method | Location |
|---|---|---|---|---|---|
| SBA 1 | Female | Juvenile | 170 | Longline | MA |
| SBA 2 | Female | Juvenile | 172 | Longline | MA |
| DS 1 | Female | Juvenile | 175 | Gillnet | PR |
| DS 2 | Female | Juvenile | 210 | Gillnet | PR |
| DS 3 | Female | Juvenile | 180 | Longline | PR |
| DS 4 | Male | Juvenile | 135 | Longline | PR |
| DS 5 | Male | Juvenile | 148 | Longline | PR |
| DS 6 | Male | Juvenile | 155 | Gillnet | PR |
| LS 1 | Female | Juvenile | 259 | Handline | FEN |
| LS 2 | Male | Juvenile | 182 | Handline | FEN |
| LS 3 | Male | Juvenile | 204 | Handline | FEN |
| LS 4 | Male | Juvenile | 244 | Handline | FEN |
| LS 5 | Female | Juvenile | 243 | Handline | FEN |
Publisher’s Note: MDPI stays neutral with regard to jurisdictional claims in published maps and institutional affiliations. |
© 2020 by the authors. Licensee MDPI, Basel, Switzerland. This article is an open access article distributed under the terms and conditions of the Creative Commons Attribution (CC BY) license (http://creativecommons.org/licenses/by/4.0/).
Share and Cite
Wosnick, N.; Chaves, A.P.; Niella, Y.V.; Takatsuka, V.; Hazin, F.H.V.; Nunes, J.L.S.; Morick, D. Physiological Impairment as a Result of Bile Accumulation in an Apex Predator, the Tiger Shark (Galeocerdo cuvier Péron & Lesueur, 1822). Animals 2020, 10, 2030. https://doi.org/10.3390/ani10112030
Wosnick N, Chaves AP, Niella YV, Takatsuka V, Hazin FHV, Nunes JLS, Morick D. Physiological Impairment as a Result of Bile Accumulation in an Apex Predator, the Tiger Shark (Galeocerdo cuvier Péron & Lesueur, 1822). Animals. 2020; 10(11):2030. https://doi.org/10.3390/ani10112030
Chicago/Turabian StyleWosnick, Natascha, Ana Paula Chaves, Yuri Vieira Niella, Veronica Takatsuka, Fábio Hissa Vieira Hazin, Jorge Luiz Silva Nunes, and Danny Morick. 2020. "Physiological Impairment as a Result of Bile Accumulation in an Apex Predator, the Tiger Shark (Galeocerdo cuvier Péron & Lesueur, 1822)" Animals 10, no. 11: 2030. https://doi.org/10.3390/ani10112030
APA StyleWosnick, N., Chaves, A. P., Niella, Y. V., Takatsuka, V., Hazin, F. H. V., Nunes, J. L. S., & Morick, D. (2020). Physiological Impairment as a Result of Bile Accumulation in an Apex Predator, the Tiger Shark (Galeocerdo cuvier Péron & Lesueur, 1822). Animals, 10(11), 2030. https://doi.org/10.3390/ani10112030

