Characterization and In Vitro Efficacy against Listeria monocytogenes of a Newly Isolated Bacteriophage, ΦIZSAM-1
Abstract
1. Introduction
2. Materials and Methods
2.1. Samples
2.2. L. Monocytogenes Strains (Hosts)
2.3. Phage Isolation, Plaque Purification and Host Range Assessment
2.4. In Vitro Efficacy Test
2.5. Phage Concentration and DNA Extraction
2.6. Phage Genome Sequencing and Sequence Analysis
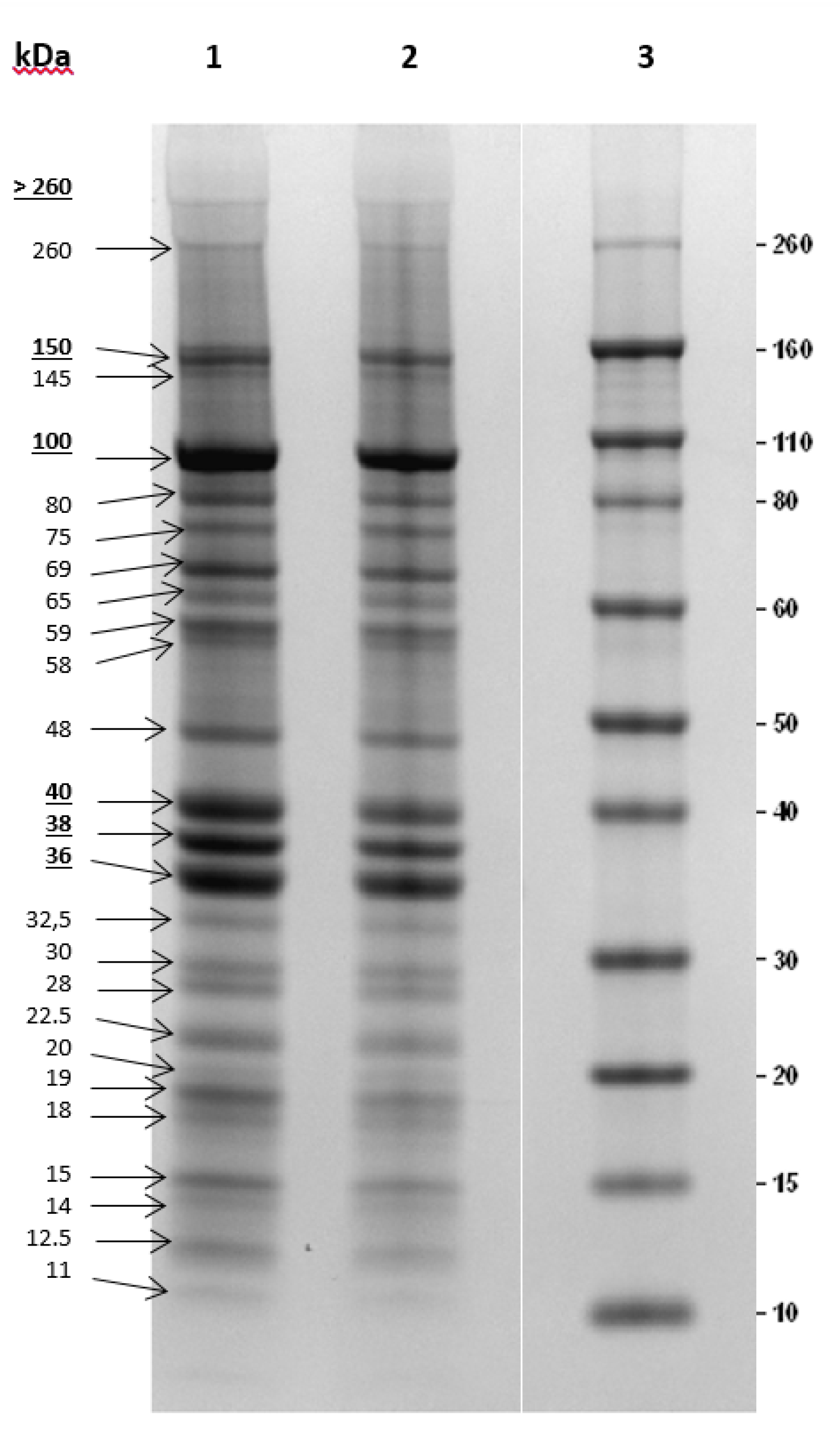
2.7. Analysis of Phage Structural Proteins (SDS-PAGE)
3. Results and Discussions
4. Conclusions
Author Contributions
Funding
Data Availability Statement
Acknowledgments
Conflicts of Interest
References
- European Food Safety Authority; European Centre for Disease Prevention Commission. The European Union One Health 2019 Zoonoses Report. EFSA J. 2021, 19, e06406. [Google Scholar]
- Comeau, A.M.; Hatfull, G.F.; Krisch, H.M.; Lindell, D.; Mann, N.H.; Prangishvili, D. Exploring the prokaryotic virosphere. Res. Microbiol. 2008, 159, 306–313. [Google Scholar] [CrossRef]
- García, P.; Martínez, B.; Obeso, J.; Rodríguez, A. Bacteriophages and their application in food safety. Lett. Appl. Microbiol. 2008, 47, 479–485. [Google Scholar] [CrossRef]
- Aprea, G.; Zocchi, L.; Di Fabio, M.; De Santis, S.; Prencipe, V.A.; Migliorati, G. The applications of bacteriophages and their lysins as biocontrol agents against the foodborne pathogens Listeria monocytogenes and Campylobacter: An updated look. Vet. Ital. 2018, 54, 293–303. [Google Scholar] [PubMed]
- Carlton, R.; Noordman, W.; Biswas, B.; de Meester, E.; Loessner, M. Bacteriophage P100 for control of Listeria monocytogenes in foods: Genome sequence, bioinformatic analyses, oral toxicity study, and application. Regul. Toxicol. Pharmacol. 2005, 43, 301–312. [Google Scholar] [CrossRef] [PubMed]
- Guenther, S.; Huwyler, D.; Richard, S.; Loessner, M.J. Virulent Bacteriophage for Efficient Biocontrol of Listeria monocytogenes in Ready-To-Eat Foods. Appl. Environ. Microbiol. 2008, 75, 93–100. [Google Scholar] [CrossRef] [PubMed]
- Guenther, S.; Loessner, M.J. Bacteriophage biocontrol of Listeria monocytogenes on soft ripened white mold and red-smear cheeses. Bacteriophage 2011, 1, 94–100. [Google Scholar] [CrossRef] [PubMed]
- Soni, K.A.; Desai, M.; Oladunjoye, A.; Skrobot, F.; Nannapaneni, R. Reduction of Listeria monocytogenes in queso fresco cheese by a combination of listericidal and listeriostatic GRAS antimicrobials. Int. J. Food Microbiol. 2012, 155, 82–88. [Google Scholar] [CrossRef] [PubMed]
- Silva, E.N.G.; Figueiredo, A.C.L.; Miranda, F.A.; Almeida, R.C.D.C. Control of Listeria monocytogenes growth in soft cheeses by bacteriophage P100. Braz. J. Microbiol. 2014, 45, 11–16. [Google Scholar] [CrossRef]
- Hazards, E.P.o.B. Scientific Opinion on the evaluation of the safety and efficacy of Listex™ P100 for the removal of Listeria monocytogenes surface contamination of raw fish. EFSA J. 2012, 10, 2615. [Google Scholar]
- Aprea, G.; D’Angelo, A.R.; Prencipe, V.A.; Migliorati, G. Bacteriophage Morphological Characterization by Using Transmission Electron Microscopy. J. Life Sci. 2015, 10, 214–220. [Google Scholar] [CrossRef]
- Aprea, G.; D’Angelantonio, D.; Boni, A.; Scattolini, S.; Di Serafino, G.; Neri, D.; Sacchini, L.; Acciari, V.A.; Torresi, M.; Centorame, P.; et al. Activity of Bacteriophages to Control Listeria Monocytogenes and Campylobacter Jejuni Antibiotic Resistant Strains. Available online: www.remedypublications.com/open-access/pactivity-of-bacteriophages-to-controlem-listeria-monocytogenes-and-campylobacter-jejuniem-antibiotic-resistant-strainsp-2228.pdf (accessed on 25 March 2021).
- Authority, E.F.S. The European Union Summary Report on Antimicrobial Resistance in zoonotic and indicator bacteria from humans, animals and food in 2017/2018. EFSA J. 2020, 18. Available online: https://www.efsa.europa.eu/en/efsajournal/pub/6007 (accessed on 29 March 2021).
- Orgaz, B.; Puga, C.; Martínez-Suárez, J.; Sanjose, C. Biofilm recovery from chitosan action: A possible clue to understand Listeria monocytogenes persistence in food plants. Food Control 2013, 32, 484–489. [Google Scholar] [CrossRef]
- Spears, P.A.; Suyemoto, M.M.; Palermo, A.M.; Horton, J.R.; Hamrick, T.S.; Havell, E.A.; Orndorff, P.E. A Listeria monocytogenes Mutant Defective in Bacteriophage Attachment Is Attenuated in Orally Inoculated Mice and Impaired in Enterocyte Intracellular Growth. Infect. Immun. 2008, 76, 4046–4054. [Google Scholar] [CrossRef]
- Loessner, M.J.; Busse, M. Bacteriophage typing of Listeria species. Appl. Environ. Microbiol. 1990, 56, 1912–1918. [Google Scholar] [CrossRef] [PubMed]
- Van Charante, F.; Holtappels, D.; Blasdel, B.; Burrowes, B.H. Isolation of Bacteriophages; Metzler, J.B., Ed.; Springer Nature: Cham, Switzerland, 2021; pp. 433–464. [Google Scholar]
- Soni, K.A.; Nannapaneni, R. Bacteriophage Significantly Reduces Listeria monocytogenes on Raw Salmon Fillet Tissue†. J. Food Prot. 2010, 73, 32–38. [Google Scholar] [CrossRef] [PubMed]
- Boulanger, P. Purification of bacteriophages and SDS-PAGE analysis of phage structural proteins from ghost particles. Methods Mol. Biol. 2009, 502, 227–238. [Google Scholar] [PubMed]
- Bankevich, A.; Nurk, S.; Antipov, D.; Gurevich, A.A.; Dvorkin, M.; Kulikov, A.S.; Lesin, V.M.; Nikolenko, S.I.; Pham, S.; Prjibelski, A.D. SPAdes: A new genome assembly algorithm and its applications to single-cell sequencing. J. Computat. Biol. 2012, 19, 455–477. [Google Scholar] [CrossRef]
- Pruitt, K.D.; Tatusova, T.; Maglott, D.R. NCBI reference sequences (RefSeq): A curated non-redundant sequence database of genomes, transcripts and proteins. Nucleic Acids Res. 2007, 35, D61–D65. [Google Scholar] [CrossRef]
- Altschul, S.F.; Gish, W.; Miller, W.; Myers, E.W.; Lipman, D.J. Basic local alignment search tool. J. Mol. Biol. 1990, 215, 403–410. [Google Scholar] [CrossRef]
- Seemann, T. Prokka: Rapid Prokaryotic Genome Annotation. Bioinformatics 2014, 30, 2068–2069. [Google Scholar] [CrossRef]
- Rice, P.; Longden, I.; Bleasby, A. EMBOSS: The European Molecular Biology Open Software Suite. Trends Genet. 2000, 16, 276–277. [Google Scholar] [CrossRef]
- Aprea, G.; D’Angelantonio, D.; Boni, A.; Connerton, P.; Connerton, I.; Scattolini, S.; Marotta, F.; Pomilio, F.; Migliorati, G.; D’Alterio, N. Isolation and morphological characterization of new bacteriophages active against Campylobacter jejuni. Am. J. Clin. Microbiol. Antimicrob. 2018, 1, 1004. [Google Scholar]
- Cairns, B.J.; Timms, A.R.; Jansen, V.A.A.; Connerton, I.F.; Payne, R.J.H. Quantitative Models of In Vitro Bacteriophage–Host Dynamics and Their Application to Phage Therapy. PLoS Pathog. 2009, 5, e1000253. [Google Scholar] [CrossRef]
- Rong, R.; Lin, H.; Wang, J.; Khan, M.N.; Li, M. Reductions of Vibrio parahaemolyticus in oysters after bacteriophage application during depuration. Aquaculture 2014, 418-419, 171–176. [Google Scholar] [CrossRef]
- Axelsson, L.; Bjerke, G.A.; McLeod, A.; Berget, I.; Holck, A.L. Growth Behavior of Listeria monocytogenes in a Traditional Norwegian Fermented Fish Product (Rakfisk), and Its Inhibition through Bacteriophage Addition. Foods 2020, 9, 119. [Google Scholar] [CrossRef]
- Tomat, D.D.; Migliore, L.; Aquili, V.; Quiberoni, A.d.L.; Balagué, C. Phage biocontrol of enteropathogenic and shiga toxin-producing Escherichia coli in meat products. Front. Cell. Inf. Microbiol. 2013, 3, 20. [Google Scholar] [CrossRef]
- Ayaz, N.D.; Onaran, B.; Cufaoglu, G.; Goncuoglu, M.; Ormanci, F.S.; Erol, I. Prevalence and Characterization of Listeria monocytogenes Isolated from Beef and Sheep Carcasses in Turkey with Characterization of Locally Isolated Listeriophages as a Control Measure. J. Food Prot. 2018, 81, 2045–2053. [Google Scholar] [CrossRef] [PubMed]
- Chibeu, A.; Agius, L.; Gao, A.; Sabour, P.M.; Kropinski, A.M.; Balamurugan, S. Efficacy of bacteriophage LISTEX™P100 combined with chemical antimicrobials in reducing Listeria monocytogenes in cooked turkey and roast beef. Int. J. Food Microbiol. 2013, 167, 208–214. [Google Scholar] [CrossRef] [PubMed]
- Lone, A.; Anany, H.; Hakeem, M.; Aguis, L.; Avdjian, A.-C.; Bouget, M.; Atashi, A.; Brovko, L.; Rochefort, D.; Griffiths, M.W. Development of prototypes of bioactive packaging materials based on immobilized bacteriophages for control of growth of bacterial pathogens in foods. Int. J. Food Microbiol. 2016, 217, 49–58. [Google Scholar] [CrossRef] [PubMed]
- Lewis, R.; Bolocan, A.S.; Draper, L.A.; Ross, R.P.; Hill, C. The Effect of a Commercially Available Bacteriophage and Bacteriocin on Listeria monocytogenes in Coleslaw. Viruses 2019, 11, 977. [Google Scholar] [CrossRef] [PubMed]



| N. | Strain | Serovar | Origin |
|---|---|---|---|
| 1 | L. monocytogenes ATCC7644 | 1/2 c | ATCC |
| 2 | L. monocytogenes | 1/2 b | Fresh pork sausage |
| 3 | L. monocytogenes | 1/2 a | Chicken meat |
| 4 | L. monocytogenes | 1/2 b | Bovine meat |
| 5 | L. monocytogenes | 4 b | Fresh pork sausage |
| 6 | L. monocytogenes | 1/2 c | Pork minced meat |
| 7 | L. monocytogenes | 4 b | Pangasius fillet |
| 8 | L. monocytogenes | 1/2 c | Bovine meat |
| 9 | L. monocytogenes | 1/2 a | Bovine meat |
| 10 | L. monocytogenes | 4 b | Smoked salmon |
| 11 | L. monocytogenes | 4 b | Smoked salmon |
| 12 | L. monocytogenes | 4 b | Human cepahlorachidian fluid |
| 13 | L. monocytogenes NCTC10887 | 1/2 b | NCTC |
| 14 | L. monocytogenes NCTC4883 | 4 c | NCTC |
| 15 | L. monocytogenes ATCC19115 | 4 b | ATCC |
| 16 | L. monocytogenes NCTC4886 | 1/2 a | NCTC |
| 17 | L. monocytogenes ATCC19114 | 4 a | ATCC |
| 18 | L. monocytogenes | 2 a | Smoked salmon |
| 19 | L. monocytogenes | 1/2 a | Blue cheese enstablishment (this research) |
| 20 | L. monocytogenes | 1/2 b | Blue cheese enstablishment (this research) |
| 21 | L. monocytogenes | 4 b | Blue cheese enstablishment (this research) |
Publisher’s Note: MDPI stays neutral with regard to jurisdictional claims in published maps and institutional affiliations. |
© 2021 by the authors. Licensee MDPI, Basel, Switzerland. This article is an open access article distributed under the terms and conditions of the Creative Commons Attribution (CC BY) license (https://creativecommons.org/licenses/by/4.0/).
Share and Cite
Scattolini, S.; D’Angelantonio, D.; Boni, A.; Mangone, I.; Marcacci, M.; Battistelli, N.; D’Agostino, K.; Pomilio, F.; Camma, C.; Migliorati, G.; et al. Characterization and In Vitro Efficacy against Listeria monocytogenes of a Newly Isolated Bacteriophage, ΦIZSAM-1. Microorganisms 2021, 9, 731. https://doi.org/10.3390/microorganisms9040731
Scattolini S, D’Angelantonio D, Boni A, Mangone I, Marcacci M, Battistelli N, D’Agostino K, Pomilio F, Camma C, Migliorati G, et al. Characterization and In Vitro Efficacy against Listeria monocytogenes of a Newly Isolated Bacteriophage, ΦIZSAM-1. Microorganisms. 2021; 9(4):731. https://doi.org/10.3390/microorganisms9040731
Chicago/Turabian StyleScattolini, Silvia, Daniela D’Angelantonio, Arianna Boni, Iolanda Mangone, Maurilia Marcacci, Noemi Battistelli, Krizia D’Agostino, Francesco Pomilio, Cesare Camma, Giacomo Migliorati, and et al. 2021. "Characterization and In Vitro Efficacy against Listeria monocytogenes of a Newly Isolated Bacteriophage, ΦIZSAM-1" Microorganisms 9, no. 4: 731. https://doi.org/10.3390/microorganisms9040731
APA StyleScattolini, S., D’Angelantonio, D., Boni, A., Mangone, I., Marcacci, M., Battistelli, N., D’Agostino, K., Pomilio, F., Camma, C., Migliorati, G., & Aprea, G. (2021). Characterization and In Vitro Efficacy against Listeria monocytogenes of a Newly Isolated Bacteriophage, ΦIZSAM-1. Microorganisms, 9(4), 731. https://doi.org/10.3390/microorganisms9040731

