Coordinated Expression of HPV-6 Genes with Predominant E4 and E5 Expression in Laryngeal Papilloma
Abstract
1. Introduction
2. Materials and Methods
2.1. Subjects
2.2. Detection of Human Papillomavirus (HPV) DNA and Quantitative Polymerase Chain Reaction (PCR) Analysis of HPV-6 Viral Load
2.2.1. Extraction of Genomic DNA from Laryngeal Papilloma (LP) and PCR Conditions
2.2.2. Partial Cloning of the HPV-6-LCR Region and Identification of HPV-6 Subtypes
2.2.3. Quantitative PCR Analysis of HPV-6 Viral Load in LP
2.3. Measurement of Viral mRNA Expression in HPV-6-infected LP by Quantitative Real-Time PCR
2.4. In Situ Hybridization (ISH) with HPV DNA Probes
2.5. RNA-ISH with HPV-6 E6, E2, E4, E5a, and E5b Digoxigenin RNA Probes
2.6. Double Fluorescence RNA-ISH
2.7. Immunohistochemistry for HPV-6 E4
2.7.1. Preparation of an Anti-HPV-6 E4 Monoclonal Antibody
2.7.2. Evaluation of Antibody Specificity
2.7.3. Immunohistochemistry for HPV-6 E1^E4
2.8. Statistical Analysis
2.9. Ethics Approval and Consent to Participate
3. Results
3.1. HPV DNA Distribution, Subtypes, and Viral Load in LP
3.2. Expression of HPV-6 mRNAs in LP
3.2.1. Expression Levels of the 9 Viral mRNAs
3.2.2. Viral Load Alteration and Levels of the 9 Viral mRNAs in LP during 80 Months
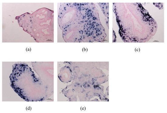
3.2.3. HPV-6 E6, E2, E4, E5a, and E5b mRNA Expression in LP Detected by RNA-ISH
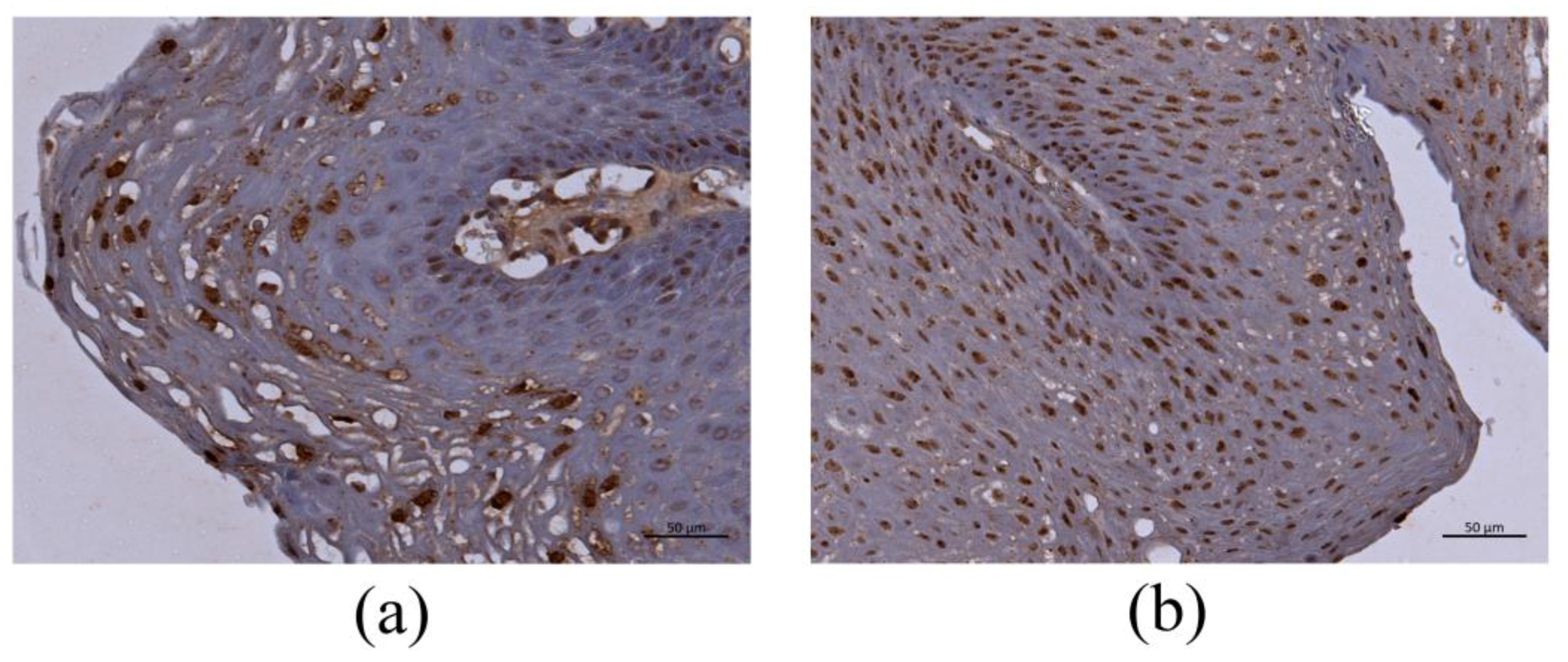
3.3. Immunohistochemistry for HPV-6 E1^E4
4. Discussion
5. Conclusions
Supplementary Materials
Author Contributions
Funding
Data Availability Statement
Acknowledgments
Conflicts of Interest
References
- Fortes:, H.R.; von Ranke, F.M.; Escuissato, D.L.; Araujo Neto, C.A.; Zanetti, G.; Hochhegger, B.; Souza, C.A.; Marchiori, E. Recurrent respiratory papillomatosis: A state-of-the-art review. Respir. Med. 2017, 126, 116–121. [Google Scholar] [CrossRef]
- Kanazawa, T.; Fukushima, N.; Imayoshi, S.; Nagamoto, T.; Kawada, K.; Nishino, H.; Ichimura, K. Rare case of malignant transformation of recurrent respiratory papillomatosis associated with human papillomavirus type 6 infection and p53 overexpression. SpringerPlus 2013, 2, 153. [Google Scholar] [CrossRef] [PubMed]
- Schraff, S.; Derkay, C.S.; Burke, B.; Lawson, L. American society of pediatric otolaryngology members’ experience with recurrent respiratory papillomatosis and the use of adjuvant therapy. Arch. Otolaryngol. Head Neck Surg. 2004, 130, 1039–1042. [Google Scholar] [CrossRef] [PubMed]
- Baumann, J.L.; Cohen, S.; Evjen, A.N.; Law, J.H.; Vadivelu, S.; Attia, A.; Schindler, J.S.; Chung, C.H.; Wirth, P.S.; Meijer, C.J.L.M.; et al. Human papillomavirus in early laryngeal carcinoma. Laryngoscope 2009, 119, 1531–1537. [Google Scholar] [CrossRef] [PubMed]
- Doorbar, J.; Quint, W.; Banks, L.; Bravo, I.G.; Stoler, M.; Broker, T.R.; Stanley, M.A. The biology and life-cycle of human papillomaviruses. Vaccine 2012, 30 (Suppl. 5), F55–F70. [Google Scholar] [CrossRef]
- Woodman, C.B.; Collins, S.I.; Young, L.S. The natural history of cervical hpv infection: Unresolved issues. Nat. Rev. Cancer 2007, 7, 11–22. [Google Scholar] [CrossRef]
- Ribeiro, A.L.; Caodaglio, A.S.; Sichero, L. Regulation of hpv transcription. Clinics (Sao Paulo) 2018, 73, e486s. [Google Scholar] [CrossRef]
- Graham, S.V. The human papillomavirus replication cycle, and its links to cancer progression: A comprehensive review. Clin. Sci. 2017, 131, 2201–2221. [Google Scholar] [CrossRef]
- Egawa, N.; Doorbar, J. The low-risk papillomaviruses. Virus Res. 2017, 231, 119–127. [Google Scholar] [CrossRef]
- Doorbar, J. The e4 protein; structure, function and patterns of expression. Virology 2013, 445, 80–98. [Google Scholar] [CrossRef]
- Chen, J.; Xue, Y.; Poidinger, M.; Lim, T.; Chew, S.H.; Pang, C.L.; Abastado, J.P.; Thierry, F. Mapping of hpv transcripts in four human cervical lesions using rnaseq suggests quantitative rearrangements during carcinogenic progression. Virology 2014, 462–463, 14–24. [Google Scholar] [CrossRef] [PubMed]
- Tsai, T.C.; Chen, S.L. The biochemical and biological functions of human papillomavirus type 16 e5 protein. Arch. Virol. 2003, 148, 1445–1453. [Google Scholar] [CrossRef]
- Ilahi, N.E.; Bhatti, A. Impact of hpv e5 on viral life cycle via egfr signaling. Microb. Pathog. 2020, 139, 103923. [Google Scholar] [CrossRef]
- Venuti, A.; Paolini, F.; Nasir, L.; Corteggio, A.; Roperto, S.; Campo, M.; Borzacchiello, G. Papillomavirus E5: The smallest oncoprotein with many functions. Mol. Cancer 2011, 10, 140. [Google Scholar] [CrossRef]
- Ikegami, T.; Uehara, T.; Deng, Z.; Kondo, S.; Maeda, H.; Kiyuna, A.; Agena, S.; Hirakawa, H.; Yamashita, Y.; Ganaha, A.; et al. Detection of human papillomavirus in branchial cleft cysts. Oncol. Lett. 2018, 16, 1571–1578. [Google Scholar] [CrossRef]
- Deng, Z.; Hasegawa, M.; Matayoshi, S.; Kiyuna, A.; Yamashita, Y.; Maeda, H.; Suzuki, M. Prevalence and clinical features of human papillomavirus in head and neck squamous cell carcinoma in okinawa, southern japan. Eur. Arch. Otorhinolaryngol. 2011, 268, 1625–1631. [Google Scholar] [CrossRef] [PubMed]
- Deng, Z.; Ikegami, T.; Kiyuna, A.; Zhang, C.; Zhang, T.; Matayoshi, S.; Uehara, T.; Maeda, H.; Suzuki, M.; Ganaha, A. Methylation of cpg sites in the upstream regulatory region, physical status and mrna expression of hpv-6 in adult-onset laryngeal papilloma. Oncotarget 2017, 8, 85368–85377. [Google Scholar] [CrossRef] [PubMed]
- Nakayama, H.; Murakami, A.; Yoshida, M.; Muraoka, J.; Wakai, J.; Kenjyou, N.; Ito, Y. Characterization and selection of 3-(1-naphthoyl)-indole derivative-specific alpaca vhh antibodies using a phage display library. Monoclon. Antib. Immunodiagn Immunother 2016, 35, 231–234. [Google Scholar] [CrossRef]
- Miyazaki, A.; Yogosawa, S.; Murakami, A.; Kitamura, D. Identification of cmtm7 as a transmembrane linker of blnk and the b-cell receptor. PLoS ONE 2012, 7, e31829. [Google Scholar] [CrossRef] [PubMed]
- Derkay, C.S.; Hester, R.P.; Burke, B.; Carron, J.; Lawson, L. Analysis of a staging assessment system for prediction of surgical interval in recurrent respiratory papillomatosis. Int. J. Pediatr. Otorhinolaryngol. 2004, 68, 1493–1498. [Google Scholar] [CrossRef] [PubMed]
- Jelen, M.M.; Chen, Z.; Kocjan, B.J.; Burt, F.J.; Chan, P.K.; Chouhy, D.; Combrinck, C.E.; Coutlée, F.; Estrade, C.; Ferenczy, A.; et al. Global genomic diversity of human papillomavirus 6 based on 724 isolates and 190 complete genome sequences. J. Virol. 2014, 88, 7307–7316. [Google Scholar] [CrossRef]
- Szinai, M.; Nagy, Z.; Máté, P.; Kovács, D.; Laczkó, L.; Kardos, G.; Sápy, T.; Szűcs, A.; Szarka, K. Comparative analysis of human papillomavirus type 6 complete genomes originated from head and neck and anogenital disorders. Infect. Genet. Evol. 2019, 71, 140–150. [Google Scholar] [CrossRef]
- Kocjan, B.J.; Gale, N.; Hočevar Boltežar, I.; Seme, K.; Fujs Komloš, K.; Hošnjak, L.; Maver, P.J.; Jelen, M.M.; Zupanič Pajnič, I.; Balažic, J.; et al. Identical human papillomavirus (HPV) genomic variants persist in recurrent respiratory papillomatosis for up to 22 years. J. Infect. Dis. 2013, 207, 583–587. [Google Scholar] [CrossRef][Green Version]
- Doorbar, J.; Egawa, N.; Griffin, H.; Kranjec, C.; Murakami, I. Human papillomavirus molecular biology and disease association. Rev. Med. Virol. 2015, 25 (Suppl. 1), 2–23. [Google Scholar] [CrossRef]
- Bedard, M.C.; Brusadelli, M.G.; Carlile, A.; Ruiz-Torres, S.; Lodin, H.; Lee, D.; Kofron, M.; Lambert, P.F.; Lane, A.; Ameziane, N.; et al. Patient-derived organotypic epithelial rafts model phenotypes in juvenile-onset recurrent respiratory papillomatosis. Viruses 2021, 13, 68. [Google Scholar] [CrossRef] [PubMed]
- Doorbar, J. Host control of human papillomavirus infection and disease. Best Pract. Res. Clin. Obstet. Gynaecol. 2018, 47, 27–41. [Google Scholar] [CrossRef]
- DiMaio, D.; Petti, L.M. The E5 proteins. Virology 2013, 445, 99–114. [Google Scholar] [CrossRef]
- Faulkner, G.; Banks, L. The human papillomavirus (HPV)-6 and HPV-16 E5 proteins co-operate with HPV-16 E7 in the transformation of primary rodent cells. J. Gen. Virol. 1995, 76, 1239–1245. [Google Scholar]
- Wlazlo, A.P.; Sparkowski, J.J.; Jenson, A.B.; Schlegel, R. Expression of the bovine papillomavirus type 1 E5b gene reveals a protein–protein interaction of the E5a and E5b gene products. Virology 2003, 307, 396–405. [Google Scholar] [CrossRef][Green Version]
- Griffin, H.; Soneji, Y.; Van Baars, R.; Arora, R.; Jenkins, D.; van de Sandt, M.; Wu, Z.; Quint, W.; Jach, R.; Okon, K.; et al. Stratification of HPV-induced cervical pathology using the virally encoded molecular marker E4 in combination with p16 or MCM. Mod. Pathol. 2015, 28, 977–993. [Google Scholar] [CrossRef]







| Case | Age (Years) | Sex | Surgery | No. of Tumors | Subsite | Derkay Score | HPV Subtype |
|---|---|---|---|---|---|---|---|
| 1 | 27 | M | 3rd | Multiple | B, TVC; B, FVC | 15 | HPV-6a |
| 2 | 43 | M | 1st | multiple | B, TVC; L, FVC | 13 | HPV-6b |
| 3 | 34 | M | 2nd | multiple | B, FVC | 6 | HPV-6b |
| 4 | 41 | M | 1st | multiple | B, TVC | 4 | HPV-6vc |
| 5 | 41 | M | 1st | single | R, TVC | 2 | HPV-6vc |
| 6 | 17 | F | 1st | multiple | B, TVC | 6 | HPV-6vc |
| 7 | 28 | M | 1st | multiple | B, TVC | 2 | HPV6-a |
| 8 | 4 | F | 1st | multiple | B, TVC | 6 | HPV-6vc |
| 9 | 59 | M | 1st | multiple | B, TVC | 6 | HPV6-vc |
| 61 | 4th | multiple | B, TVC | 3 | |||
| 10 | 67 | M | 1st | multiple | B, TVC | 2 | HPV6-vc |
| 68 | 2nd | multiple | B, TVC | 14 | |||
| 69 | 3rd | multiple | L, TVC | 17 | |||
| 69 | 4th | multiple | B, TVC | 12 | |||
| 71 | 5th | multiple | B, TVC | 6 | |||
| 72 | 6th | multiple | B, TVC | 11 | |||
| 73 | 7th | multiple | B, TVC | 14 | |||
| 73 | 8th | multiple | B, TVC | 15 | |||
| 73 | 9th | multiple | B, TVC | 12 | |||
| 74 | 10th | multiple | B, TVC | 15 | |||
| 11 | 45 | M | 1st | multiple | B, TVC | 6 | HPV-6 |
| 12 | 44 | M | 1st | single | R, TVC | 3 | HPV-6a |
| 13 | 44 | M | 1st | single | L, TVC | 2 | HPV-6 |
| Case | Surgery | Viral Load (Copies/ng DNA) | HPV mRNA Expression/β-actin | ||||||||
|---|---|---|---|---|---|---|---|---|---|---|---|
| E6 | E7 | E1 | E2 | E4 | E5a | E5b | L2 | L1 | |||
| 1 | 3rd | 2,268,452 | 0.110 | 0.179 | 0.026 | 0.185 | 10.675 | 4.766 | 2.900 | 0.010 | 0.012 |
| 2 | 1st | 649,319 | 0.335 | 0.312 | 0.105 | 0.159 | 4.496 | 24.633 | 8.496 | 0.062 | 0.134 |
| 3 | 2nd | 436 | 0.134 | 0.163 | 0.010 | 0.109 | 0.677 | 2.585 | 1.513 | 0.002 | 0.006 |
| 4 | 1st | 21,372 | 0.167 | 0.317 | 0.000 | 0.317 | 14.643 | 1.524 | 11.429 | 0.000 | 0.017 |
| 5 | 1st | 25,347 | 0.425 | 0.153 | 0.010 | 0.213 | 11.474 | 2.241 | 2.309 | 0.001 | 0.002 |
| 6 | 1st | 4739 | 0.135 | 0.218 | 0.003 | 0.059 | 16.934 | 0.004 | 4.460 | 0.000 | 0.010 |
| 7 | 1st | 14,170 | 0.032 | 0.100 | 0.006 | 0.099 | 6.175 | 1.068 | 1.035 | 0.000 | 0.001 |
| 8 | 1st | 36,408 | 0.394 | 0.554 | 0.018 | 0.322 | 11.688 | 0.278 | 6.403 | 0.002 | 0.004 |
| 9 | 1st | 2,199,081 | 0.587 | 0.208 | 0.019 | 0.122 | 18.409 | 1.108 | 4.032 | 0.002 | 0.008 |
| 4th | 2,918,599 | 0.542 | 2.799 | 0.693 | 5.824 | 20,828.885 | 74.591 | 256.091 | 6.180 | 0.775 | |
| 10 | 1st | 166,859 | 0.501 | 1.627 | 0.991 | 2.838 | 149.595 | 16.359 | 32.002 | 0.118 | 0.048 |
| 2nd | 17,173 | 0.634 | 1.841 | 0.448 | 1.806 | 42.551 | 4.378 | 12.183 | 0.025 | 0.020 | |
| 3rd | 39,002 | 0.401 | 0.177 | 0.027 | 0.223 | 18.655 | 3.723 | 3.061 | 0.002 | 0.007 | |
| 4th | 28,595 | NA | NA | NA | NA | NA | NA | NA | NA | NA | |
| 5th | 153,164 | 0.500 | 1.543 | 0.790 | 2.312 | 165.797 | 14.312 | 25.824 | 0.318 | 0.283 | |
| 6th | 9551 | 0.083 | 0.092 | 0.007 | 0.103 | 5.951 | 1.657 | 0.796 | 0.001 | 0.001 | |
| 7th | 645,354 | 0.566 | 1.893 | 0.946 | 2.516 | 231.081 | 26.454 | 51.181 | 0.190 | 0.423 | |
| 8th | 24,404 | 0.849 | 2.830 | 1.132 | 3.716 | 290.630 | 23.532 | 52.166 | 0.373 | 0.477 | |
| 9th | 6078 | 0.745 | 1.858 | 0.298 | 1.524 | 44.088 | 4.409 | 7.366 | 0.027 | 0.011 | |
| 10th | 838,013 | 0.406 | 0.960 | 0.269 | 0.947 | 33.520 | 3.924 | 6.529 | 0.040 | 0.009 | |
| 11 | 1st | NA | NA | NA | NA | NA | NA | NA | NA | NA | NA |
| 12 | 1st | 19,850 | NA | NA | NA | NA | NA | NA | NA | NA | NA |
| 13 | 1st | NA | NA | NA | NA | NA | NA | NA | NA | NA | NA |
| Case | DNA-ISH | HPV RNA-ISH | E4-IHC | ||||||||||||||||||
|---|---|---|---|---|---|---|---|---|---|---|---|---|---|---|---|---|---|---|---|---|---|
| E6 | E2 | E4 | E5a | E5b | |||||||||||||||||
| L | M | U | L | M | U | L | M | U | L | M | U | L | M | U | L | M | U | L | M | U | |
| 1 * | − | 1+ | 1+ | NA | NA | NA | NA | NA | NA | NA | NA | NA | NA | NA | NA | NA | NA | NA | NA | NA | NA |
| 2 | 1+ | 1+ | 3+ | − | − | − | − | − | − | − | − | 1+ | − | 2+ | 3+ | − | − | − | − | 1+ | 2+ |
| 3 | 3+ | 3+ | 3+ | − | − | 1+ | − | 1+ | − | − | 1+ | 1+ | − | 1+ | 2+ | − | 1+ | 2+ | − | − | 1+ |
| 4 | 3+ | 3+ | 3+ | − | − | − | − | − | 1+ | − | − | 1+ | − | − | − | − | − | − | − | 1+ | 1+ |
| 5 | 3+ | 3+ | 3+ | − | − | − | − | − | − | − | − | − | − | − | − | − | − | − | − | 1+ | 1+ |
| 6 | − | 2+ | 2+ | − | − | − | − | − | 1+ | − | − | 2+ | − | − | 1+ | − | − | − | − | 2+ | 2+ |
| 7 | 2+ | 2+ | 2+ | − | − | − | − | − | − | − | − | 2+ | − | − | − | − | − | − | − | 1+ | 2+ |
| 8 | 1+ | 3+ | 2+ | − | − | − | − | − | − | − | 1+ | 1+ | − | − | 1+ | − | − | − | − | 1+ | 1+ |
| 9 | − | 3+ | 3+ | − | − | 1+ | − | − | 1+ | − | 2+ | 3+ | − | 1+ | 2+ | − | − | 1+ | − | 2+ | 3+ |
| 10 | − | 3+ | 3+ | − | − | 1+ | − | − | − | − | 1+ | 2+ | − | 1+ | 2+ | − | 1+ | 2+ | − | 2+ | 3+ |
| 11 | 1+ | 2+ | 3+ | − | 2+ | 2+ | 2+ | 3+ | 2+ | − | 2+ | 3+ | − | 1+ | 1+ | − | 2+ | 3+ | − | 2+ | 3+ |
| 12 | 1+ | 1+ | 3+ | − | − | − | − | − | 1+ | − | − | 2+ | − | 2+ | 3+ | − | − | 1+ | − | 1+ | 2+ |
| 13 | 2+ | 3+ | 3+ | − | 1+ | 2+ | − | − | − | − | 1+ | 2+ | − | 1+ | 1+ | − | 1+ | 1+ | − | 1+ | 2+ |
| E6 | E7 | E1 | E2 | E4 | E5a | E5b | L2 | L1 | |
|---|---|---|---|---|---|---|---|---|---|
| E6 | - | 0.786 *** | 0.757 *** | 0.754 *** | 0.807 *** | 0.498 * | 0.705 *** | 0.650 *** | 0.577 *** |
| E7 | 0.786 *** | - | 0.794 *** | 0.882 *** | 0.858 *** | 0.649 ** | 0.942 *** | 0.789 *** | 0.838 *** |
| E1 | 0.757 *** | 0.794 *** | - | 0.853 *** | 0.780 *** | 0.845 *** | 0.766 *** | 0.944 *** | 0.745 *** |
| E2 | 0.754 *** | 0.882 *** | 0.853 *** | - | 0.861 *** | 0.721 *** | 0.872 *** | 0.819 *** | 0.743 *** |
| E4 | 0.807 *** | 0.858 *** | 0.780 *** | 0.861 *** | - | 0.554 *** | 0.828 *** | 0.705 *** | 0.710 *** |
| E5a | 0.498 * | 0.649 ** | 0.845 *** | 0.721 *** | 0.554 *** | - | 0.6965 *** | 0.904 *** | 0.814 *** |
| E5b | 0.705 *** | 0.942 *** | 0.766 *** | 0.872 *** | 0.828 *** | 0.6965 *** | - | 0.781 *** | 0.922 *** |
| L2 | 0.650 *** | 0.789 *** | 0.944 *** | 0.819 *** | 0.705 *** | 0.904 *** | 0.781 *** | - | 0.806 *** |
| L1 | 0.577 *** | 0.838 *** | 0.745 *** | 0.743 *** | 0.710 *** | 0.814 *** | 0.922 *** | 0.806 *** | - |
| mRNA | r | p-Value |
|---|---|---|
| E6 | 0.237 | 0.3289 |
| E7 | 0.277 | 0.2506 |
| E1 | 0.449 | 0.0536 |
| E2 | 0.395 | 0.0944 |
| E4 | 0.323 | 0.1777 |
| E5a | 0.507 | 0.0267 * |
| E5b | 0.374 | 0.1150 |
| L2 | 0.542 | 0.0165 * |
| L1 | 0.436 | 0.0619 |
Publisher’s Note: MDPI stays neutral with regard to jurisdictional claims in published maps and institutional affiliations. |
© 2021 by the authors. Licensee MDPI, Basel, Switzerland. This article is an open access article distributed under the terms and conditions of the Creative Commons Attribution (CC BY) license (http://creativecommons.org/licenses/by/4.0/).
Share and Cite
Ikegami, T.; Hirakawa, H.; Tsukahara, N.; Murakami, A.; Kise, N.; Kiyuna, A.; Kosugi, T.; Agena, S.; Kinjyo, H.; Hasegawa, N.; et al. Coordinated Expression of HPV-6 Genes with Predominant E4 and E5 Expression in Laryngeal Papilloma. Microorganisms 2021, 9, 520. https://doi.org/10.3390/microorganisms9030520
Ikegami T, Hirakawa H, Tsukahara N, Murakami A, Kise N, Kiyuna A, Kosugi T, Agena S, Kinjyo H, Hasegawa N, et al. Coordinated Expression of HPV-6 Genes with Predominant E4 and E5 Expression in Laryngeal Papilloma. Microorganisms. 2021; 9(3):520. https://doi.org/10.3390/microorganisms9030520
Chicago/Turabian StyleIkegami, Taro, Hitoshi Hirakawa, Narutoshi Tsukahara, Akikazu Murakami, Norimoto Kise, Asanori Kiyuna, Takayoshi Kosugi, Shinya Agena, Hidetoshi Kinjyo, Narumi Hasegawa, and et al. 2021. "Coordinated Expression of HPV-6 Genes with Predominant E4 and E5 Expression in Laryngeal Papilloma" Microorganisms 9, no. 3: 520. https://doi.org/10.3390/microorganisms9030520
APA StyleIkegami, T., Hirakawa, H., Tsukahara, N., Murakami, A., Kise, N., Kiyuna, A., Kosugi, T., Agena, S., Kinjyo, H., Hasegawa, N., Touyama, M., Kondo, S., Maeda, H., Suzuki, M., & Ganaha, A. (2021). Coordinated Expression of HPV-6 Genes with Predominant E4 and E5 Expression in Laryngeal Papilloma. Microorganisms, 9(3), 520. https://doi.org/10.3390/microorganisms9030520

