Development of a High-Resolution Single-Nucleotide Polymorphism Strain-Typing Assay Using Whole Genome-Based Analyses for the Lactobacillus acidophilus Probiotic Strain
Abstract
1. Introduction
2. Materials and Methods
2.1. L. acidophilus Strains and Culture Conditions
2.2. WGS and Phylogenomic Metric Calculation
2.3. cgMLST Scheme for L. acidophilus Strains
2.4. Validation of the cgMLST through a Differential MLST Scheme in Reference Strains
2.5. Strain-Specific Identification for Probiotic Strain LA1063
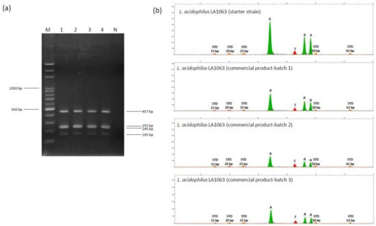
2.6. Authentication of Probiotic Strains in Commercial Products by Strain-Specific Assay
3. Results and Discussion
4. Conclusions
Supplementary Materials
Author Contributions
Funding
Acknowledgments
Conflicts of Interest
References
- Fujisawa, T.; Benno, Y.; Yaeshima, T.; Mitsuoka, T. Taxonomic study of the Lactobacillus acidophilus group, with recognition of Lactobacillus gallinarum sp. nov. and Lactobacillus johnsonii sp. nov. and synonymy of Lactobacillus acidophilus group A3 (Johnson et al. 1980) with the type strain of Lactobacillus amylovorus (Nakamura 1981). Int. J. Syst. Bacteriol. 1992, 42, 487–491. [Google Scholar]
- Gilliland, S.E.; Speck, M.L.; Morgan, C.G. Detection of Lactobacillus acidophilus in feces of humans, pigs, and chickens. Appl. Microbiol. 1975, 30, 541–545. [Google Scholar] [CrossRef] [PubMed]
- Martinez-Pena, M.D.; Castro-Escarpulli, G.; Aguilera-Arreola, M.G. Lactobacillus species isolated from vaginal secretions of healthy and bacterial vaginosis-intermediate Mexican women: A prospective study. BMC Infect. Dis. 2013, 13, 189. [Google Scholar] [CrossRef]
- Román-Méndez, C.; Badet, C.; Yáñez, A.; Dominguez, M.A.; Giono, S.; Richard, B.; Nancy, J.; Dorignac, G. Identification of oral strains of Lactobacillus species isolated from Mexican and French children. J. Dent. Oral Hyg. 2009, 1, 009–016. [Google Scholar]
- Bull, M.; Plummer, S.; Marchesi, J.; Mahenthiralingam, E. The life history of Lactobacillus acidophilus as a probiotic: A tale of revisionary taxonomy, misidentification and commercial success. FEMS Microbiol. Lett. 2013, 349, 77–87. [Google Scholar] [CrossRef] [PubMed]
- Sanders, M.E.; Klaenhammer, T.R. The scientific basis of Lactobacillus acidophilus NCFM functionality as a probiotic. J. Dairy Sci. 2001, 84, 319–331. [Google Scholar] [CrossRef]
- Morelli, L.; Capurso, L. FAO/WHO guidelines on probiotics: 10 years later. J. Clin. Gastroentero. 2012, 46, S1–S2. [Google Scholar] [CrossRef]
- Shewale, R.N.; Sawale, P.D.; Khedkar, C.D.; Singh, A. Selection criteria for probiotics: A review. Int. J. Probiotics Prebiotics 2014, 9, 17–22. [Google Scholar]
- Huys, G.; Vancanneyt, M.; D’Haene, K.; Vankerckhoven, V.; Goossens, H.; Swings, J. Accuracy of species identity of commercial bacterial cultures intended for probiotic or nutritional use. Res. Microbiol. 2006, 157, 803–810. [Google Scholar] [CrossRef]
- Bull, M.J.; Jolley, K.A.; Bray, J.E.; Aerts, M.; Vandamme, P.; Maiden, M.C.J.; Marchesi, J.R.; Mahenthiralingam, E. The domestication of the probiotic bacterium Lactobacillus acidophilus. Sci. Rep. 2014, 4, 7202. [Google Scholar] [CrossRef]
- Ramachandran, P.D.; Lacher, W.; Pfeiler, E.A.; Elkins, C.A. Development of a tiered multilocus sequence typing scheme for members of the Lactobacillus acidophilus complex. Appl. Environ. Microbiol. 2013, 79, 7220–7228. [Google Scholar] [CrossRef] [PubMed]
- Šedo, O.; Vávrová, A.; Vad’urová, M.; Tvrzová, L.; Zdráhal, Z. The influence of growth conditions on strain differentiation within the Lactobacillus acidophilus group using matrix-assisted laser desorption/ionization time-of-flight mass spectrometry profiling. Rapid Commun. Mass Spectrom. 2013, 27, 2729–2736. [Google Scholar] [CrossRef] [PubMed]
- Swaminathan, B.; Barrett, T.J.; Hunter, S.B.; Tauxe, R.V. PulseNet: The molecular subtyping network for foodborne bacterial disease surveillance, United States. Emerg. Infect. Dis. 2001, 7, 382–389. [Google Scholar] [CrossRef] [PubMed]
- Chaillou, S.; Lucquin, I.; Najjari, A.; Zagorec, M.; Cham-pomier-Verges, M.C. Population genetics of Lactobacillus sakei reveals three lineages with distinct evolutionary histories. PLoS ONE 2013, 8, e73253. [Google Scholar] [CrossRef]
- Dan, T.; Liu, W.; Song, Y.; Xu, H.; Menghe, B.; Zhang, H.; Sun, Z. The evolution and population structure of Lactobacillus fermentum from different naturally fermented products as determined by multilocus sequence typing (MLST). BMC Microbiol. 2015, 15, 107. [Google Scholar] [CrossRef] [PubMed]
- Parolo, C.C.; Do, T.; Henssqe, U.; Alves, L.S.; de Santan Giongo, F.E.; Corcao, G.; Maltz, M.; Beighton, D. Genetic diversity of Lactobacillus paracasei isolated from in situ human oral biofilms. J. Appl. Microbiol. 2011, 111, 105–113. [Google Scholar] [CrossRef]
- Tanigawa, K.; Watanabe, K. Multilocus sequence typing reveals a novel subspeciation of Lactobacillus delbrueckii. Microbiology 2011, 157, 727–738. [Google Scholar] [CrossRef]
- Xu, H.; Liu, W.; Zhang, W.; Yu, J.; Song, Y.; Menhe, B.; Zhang, H.; Sun, X. Use of multilocus sequence typing to infer genetic diversity and population structure of Lactobacillus plantarum isolates from different sources. BMC Microbiol. 2015, 15, 241. [Google Scholar] [CrossRef]
- Foxman, B.; Zhang, L.; Koopman, J.S.; Manning, S.D.; Marrs, C.F. Choosing an appropriate bacterial typing technique for epidemiologic studies. Epidemiol. Perspect. Innov. 2005, 2, 10. [Google Scholar] [CrossRef]
- Dean, S.N.; Vora, G.J.; Walper, S.A. Complete genome sequence of Lactobacillus acidophilus strain ATCC 53544. Genome Announc. 2017, 5, e01138-17. [Google Scholar] [CrossRef]
- Iartchouk, O.; Kozyavkin, S.; Karamychev, V.; Slesarev, A. Complete genome sequence of Lactobacillus acidophilus FSI4, isolated from yogurt. Genome Announc. 2015, 3, e00166-15. [Google Scholar] [CrossRef] [PubMed]
- Palomino, M.M.; Allievi, M.C.; Martin, J.F.; Waehner, P.M.; Acosta, M.P.; Rivas, C.S.; Ruzal, S.M. Draft genome sequence of the probiotic strain Lactobacillus acidophilus ATCC 4356. Genome Announc. 2015, 5, e01421-14. [Google Scholar] [CrossRef] [PubMed]
- Stahl, B.; Barrangou, R. Complete genome sequence of probiotic strain Lactobacillus acidophilus La-14. Genome Announc. 2013, 1, e00376-13. [Google Scholar] [CrossRef] [PubMed]
- Nouioui, I.; Carro, L.; García-López, M.; Meier-Kolthoff, J.; Woyke, T.; Kyrpides, N.; Klenk, H.P.; Goodfellow, M.; Göker, M. Genome-based taxonomic classification of the phylum Actinobacteria. Front. Microbiol. 2018, 9, 2007. [Google Scholar] [CrossRef]
- Zheng, J.; Wittouck, S.; Salvetti, E.; Franz, C.M.A.P.; Harri, H.M.B.; Mattarelli, P.; O’Toole, P.W.; Pot, B.; Vandamme, P.; Walter, J.; et al. A taxonomic note on the genus Lactobacillus: Description of 23 novel genera, emended description of the genus Lactobacillus Beijerinck 1901, and union of Lactobacillaceae and Leuconostocaceae. Int. J. Syst. Evol. Microbiol. 2020, 70, 2782–2858. [Google Scholar] [CrossRef]
- Chun, J.; Oren, A.; Ventosa, A.; Christensen, H.; Arahal, D.R.; da Costa, M.S.; Rooney, A.P.; Yi, H.; Xu, X.W.; De Meyer, S.; et al. Proposed minimal standards for the use of genome data for the taxonomy of prokaryotes. Int. J. Syst. Evol. Microbiol. 2018, 68, 461–466. [Google Scholar] [CrossRef]
- Schürch, A.C.; Arredondo-Alonso, S.; Willems, R.J.L.; Goering, R.V. Whole genome sequencing options for bacterial strain typing and epidemiologic analysis based on single nucleotide polymorphism versus gene-by-gene-based approaches. Clin. Microbiol. Infect. 2018, 24, 350–354. [Google Scholar] [CrossRef]
- Uelze, L.; Grützke, J.; Borowiak, M.; Hammerl, J.A.; Juraschek, K.; Deneke, C.; Tausch, S.H.; Malorny, B. Typing methods based on whole genome sequencing data. One Health Outlook 2020, 2, 3. [Google Scholar] [CrossRef]
- Neumann, B.; Prior, K.; Bender, J.K.; Harmsen, D.; Klare, I.; Fuchs, S.; Bethe, A.; Zühlke, D.; Göhler, A.; Schwarz, S.; et al. A core genome multilocus sequence typing scheme for Enterococcus faecalis. J. Clin. Microbiol. 2019, 57, e01686-18. [Google Scholar] [CrossRef]
- Pearce, M.E.; Alikhan, N.F.; Dallman, T.J.; Zhou, Z.; Grant, K.; Maiden, M.C.J. Comparative analysis of core genome MLST and SNP typing within a European Salmonella serovar Enteritidis outbreak. Int. J. Food Microbiol. 2018, 274, 1–11. [Google Scholar] [CrossRef]
- Taylor, A.J.; Lappi, V.; Wolfgang, W.J.; Lapierre, P.; Palumbo, M.J.; Medus, C.; Boxrud, D. Characterization of foodborne outbreaks of Salmonella enterica serovar Enteritidis with whole-genome sequencing single nucleotide polymorphism-based analysis for surveillance and outbreak detection. J. Clin. Microbiol. 2015, 53, 3334–3340. [Google Scholar] [CrossRef]
- Li, R.; Li, Y.; Kristiansen, K.; Wang, J. SOAP: Short oligonucleotide alignment program. Bioinformatics 2008, 24, 713–714. [Google Scholar] [CrossRef]
- Lee, I.; Ouk Kim, Y.; Park, S.C.; Chun, J. OrthoANI: An improved algorithm and software for calculating average nucleotide identity. Int. J. Syst. Evol. Microbiol. 2016, 66, 1100–1103. [Google Scholar] [CrossRef] [PubMed]
- Liu, Y.Y.; Lin, J.W.; Chen, C.C. cano-wgMLST_BacCompare: A bacterial genome analysis platform for epidemiological investigation and comparative genomic analysis. Front. Microbiol. 2019, 10, 1687. [Google Scholar] [CrossRef] [PubMed]
- Seemann, T. Prokka: Rapid prokaryotic genome annotation. Bioinformatics 2014, 30, 2068–2069. [Google Scholar] [CrossRef] [PubMed]
- Page, A.J.; Cummins, C.A.; Hunt, M.; Wong, V.K.; Reuter, S.; Holden, M.T.; Fookes, M.; Falush, D.; Keane, J.A.; Parkhill, J. Roary: Rapid large-scale prokaryote pan genome analysis. Bioinformatics 2015, 31, 3691–3693. [Google Scholar] [CrossRef] [PubMed]
- Altschul, S.F.; Gish, W.; Miller, W.; Myers, E.W.; Lipman, D.J. Basic local alignment search tool. J. Mol. Biol. 1990, 215, 403–410. [Google Scholar] [CrossRef]
- Robinson, D.F.; Foulds, L.R. Comparison of phylogenetic trees. Math. Biosci. 1981, 53, 131–147. [Google Scholar] [CrossRef]
- Rambaut, A. FigTree. Available online: http://tree.bio.ed.ac.uk/software/figtree/ (accessed on 6 January 2016).
- Zhou, Z.; Alikhan, N.F.; Sergeant, M.J.; Luhmann, N.; Vaz, C.; Francisco, A.P.; Carrico, J.A.; Achtman, M. GrapeTree: Visualization of core genomic relationships among 100,000 bacterial pathogens. Genome Res. 2018, 28, 1395–1404. [Google Scholar] [CrossRef]
- Huerta-Cepas, J.; Serra, F.; Bork, P. ETE 3: Reconstruction, analysis, and visualization of phylogenomic data. Mol. Biol. Evol. 2016, 33, 1635–1638. [Google Scholar] [CrossRef]
- Geurts, P.; Ernst, D.; Wehenkel, L. Extremely randomized trees. Mach. Learn. 2006, 63, 3–42. [Google Scholar] [CrossRef]
- Pedregosa, F.; Varoquaux, G.; Gramfort, A.; Michel, V.; Thirion, B.; Grisel, O.; Blondel, M.; Prettenhofer, P.; Weiss, R.; Dubourg, V.; et al. Scikit-learn: Machine learning in python. J. Mach. Learn. Res. 2011, 12, 2825–2830. [Google Scholar]
- Thompson, J.D.; Gibson, T.J.; Plewniak, F.; Jeanmougin, F.; Higgins, D.G. The CLUSTAL X windows interface: Flexible strategies for multiple sequence alignment aided by quality analysis tools. Nucleic Acids Res. 1997, 25, 4876–4882. [Google Scholar] [CrossRef] [PubMed]
- Librado, P.; Rozas, J. DnaSP v5: A software for comprehensive analysis of DNA polymorphism data. Bioinformatics 2009, 25, 1451–1452. [Google Scholar] [CrossRef]
- Huang, C.H.; Chang, M.T.; Huang, M.C.; Lee, F.L. Application of the SNaPshot minisequencing assay to species identification in the Lactobacillus casei group. Mol. Cell. Probes 2011, 25, 153–157. [Google Scholar] [CrossRef]
- Lomonaco, S.; Furumoto, E.; Loquasto, J.J.R.; Morra, P.; Grassi, A.; Roberts, R.F. Development of a rapid SNP-typing assay to differentiate Bifidobacterium animalis ssp. lactis strains used in probiotic-supplemented dairy products. J. Dairy Sci. 2015, 98, 804–812. [Google Scholar]
- Huang, C.H.; Huang, L. Rapid species- and subspecies-specific level classification and identification of Lactobacillus casei group members using MALDI Biotyper combined with ClinProTools. J. Dairy Sci. 2018, 101, 979–991. [Google Scholar] [CrossRef]
- Briczinski, E.P.; Loquasto, J.R.; Barrangou, R.; Didley, E.G.; Roberts, A.M.; Roberts, R.F. Strain-specific genotyping of Bifidobacterium animalis subsp. lactis by using single-nucleotide polymorphisms, insertions, and deletions. Appl. Environ. Microbiol. 2009, 75, 7501–7508. [Google Scholar]
- Milani, C.; Duranti, S.; Lugli, G.A.; Bottacini, F.; Strati, F.; Arioli, S.; Foroni, E.; Turroni, F.; van Sinderen, D.; Ventura, M. Comparative genomics of Bifidobacterium animalis subsp. lactis reveals a strict monophyletic bifidobacterial taxon. Appl. Environ. Microbiol. 2013, 79, 4304–4315. [Google Scholar]
- Ghattargi, V.C.; Gaikwad, M.A.; Meti, B.S.; Nimonkar, Y.S.; Dixit, K.; Prakash, O.; Shouche, Y.S.; Pawar, S.P.; Dhotre, D.P. Comparative genome analysis reveals key genetic factors associated with probiotic property in Enterococcus faecium strains. BMC Genom. 2018, 19, 652. [Google Scholar] [CrossRef]
- Feyereisen, M.; Mahony, J.; Kelleher, P.; Roberts, R.J.; O’Sullivan, T.; Geertman, J.A.; van Sinderen, D. Comparative genome analysis of the Lactobacillus brevis species. BMC Genom. 2019, 20, 416. [Google Scholar] [CrossRef]
- Fontana, A.; Falasconi, I.; Molinari, P.; Treu, L.; Basile, A.; Vezzi, A.; Campanaro, S.; Morelli, L. Genomic comparison of Lactobacillus helveticus strains highlights probiotic potential. Front. Microbiol. 2019, 10, 1380. [Google Scholar] [CrossRef] [PubMed]
- Nguyen, T.L.; Kim, D.H. Genome-wide comparison reveals a probiotic strain Lactococcus lactis WFLU12 isolated from the gastrointestinal tract of olive flounder (Paralichthys olivaceus) harboring genes supporting probiotic action. Mar. Drugs 2018, 16, 140. [Google Scholar] [CrossRef] [PubMed]
- Zhang, W.; Wang, J.; Zhang, D.; Liu, H.; Wang, S.; Wang, Y.; Ji, H. Complete genome sequencing and comparative genome characterization of Lactobacillus johnsonii ZLJ010, a potential probiotic with health-promoting properties. Front. Genet. 2019, 10, 1–13. [Google Scholar] [CrossRef]
- Treven, P. 2015. Strategies to develop strain-specific PCR based assays for probiotics. Benef. Microbes 2015, 6, 887–898. [Google Scholar] [CrossRef] [PubMed]
- Jackson, S.A.; Schoeni, J.L.; Vegge, C.; Pane, M.; Stahl, B.; Bradley, M.; Goldman, V.S.; Burguière, P.; Atwater, J.B.; Sanders, M.E. Improving end-user trust in the quality of commercial probiotic products. Front. Microbiol. 2019, 10, 739. [Google Scholar] [CrossRef] [PubMed]
- Brigidi, P.; Vitali, B.; Swennen, E.; Altomare, L.; Rossi, M.; Matteuzzi, D. Specific detection of Bifidobacterium strains in a pharmaceutical probiotic product and in human feces by polymerase chain reaction. Syst. Appl. Microbiol. 2000, 23, 391–399. [Google Scholar] [CrossRef]
- Brandt, K.; Alatossava, T. Specific identification of certain probiotic Lactobacillus rhamnosus strains with PCR primers based on phage-related sequences. Int. J. Food Microbiol. 2003, 84, 189–196. [Google Scholar] [CrossRef]
- Karapetsas, A.; Vavoulidis, E.; Galanis, A.; Sandaltzopoulos, R.; Kourkoutas, Y. Rapid detection and identification of probiotic Lactobacillus casei ATCC 393 by multiplex PCR. J. Mol. Microbiol. Biotechnol. 2010, 18, 156–161. [Google Scholar] [CrossRef]
- Ahlroos, T.; Tynkkynen, S. Quantitative strain-specific detection of Lactobacillus rhamnosus GG in human faecal samples by real-time PCR. J. Appl. Microbiol. 2009, 106, 506–514. [Google Scholar] [CrossRef]
- Fujimoto, J.; Matsuki, T.; Sasamoto, M.; Tomii, Y.; Watanabe, K. Identification and quantification of Lactobacillus casei strain Shirota in human feces with strain-specific primers derived from randomly amplified polymorphic DNA. Int. J. Food Microbiol. 2008, 126, 210–215. [Google Scholar] [CrossRef] [PubMed]
- Fujimoto, J.; Tanigawa, K.; Kudo, Y.; Makino, H.; Watanabe, K. Identification and quantification of viable Bifidobacterium breve strain Yakult in human faeces by using strain-specific primers and propidium monoazide. J. Appl. Microbiol. 2010, 110, 209–217. [Google Scholar] [CrossRef] [PubMed]
- Fujimoto, J.; Watanabe, K. Quantitative detection of viable Bifidobacterium bifidum BF-1 cells in human feces by using propidium monoazide and strain-specific primers. Appl. Environ. Microbiol. 2013, 79, 2182–2188. [Google Scholar] [CrossRef] [PubMed]
- Lin, C.H.; Shih, T.W.; Pan, T.M. A “Ct contrast”-based strain-specific real-time quantitative PCR system for Lactobacillus paracasei subsp. paracasei NTU 101. J. Microbiol. Immunol. Infect. 2018, 51, 535–544. [Google Scholar] [CrossRef]
- Marzotto, M.; Maffeis, C.; Paternoster, T.; Ferrario, R.; Rizzotti, L.; Pellegrino, M.; Dellaglio, F.; Torriani, S. Lactobacillus paracasei A survives gastrointestinal passage and affects the fecal microbiota of healthy infants. Res. Microbiol. 2006, 157, 857–866. [Google Scholar] [CrossRef] [PubMed]
- Sisto, A.; De Bellis, P.; Visconti, A.; Morelli, L.; Lavermicocca, P. Development of a PCR assay for the strain-specific identification of probiotic strain Lactobacillus paracasei IMPC2.1. Int. J. Food Microbiol. 2009, 136, 59–65. [Google Scholar] [CrossRef]
- Toshimitsu, T.; Nakamura, M.; Ikegami, S.; Terahara, M.; Itou, H. Strain-specific identification of Bifidobacterium bifidum OLB6378 by PCR. Biosci. Biotech. Bioch. 2013, 77, 572–576. [Google Scholar] [CrossRef]
- Hansen, S.J.Z.; Morovic, W.; Demeules, M.; Stahl, B.; Sindelar, C.W. Absolute enumeration of probiotic strains Lactobacillus acidophilus NCFM®® and Bifidobacterium animalis subsp. lactis Bl-04®® via chip-based digital PCR. Front. Microbiol. 2018, 9, 704. [Google Scholar]
- Sharma, A.; Kaur, J.; Lee, S.; Park, Y.C. Tracking of intentionally inoculated lactic acid bacteria strains in yogurt and probiotic powder. Microorganisms 2020, 8, 5. [Google Scholar] [CrossRef]
- Huang, C.H.; Chang, M.T.; Huang, M.C.; Lee, F.L. Rapid identification of Lactobacillus plantarum group using the SNaPshot minisequencing assay. Syst. Appl. Microbiol. 2011, 34, 586–589. [Google Scholar] [CrossRef]
- Huang, C.H.; Chang, M.T.; Huang, M.C.; Wang, L.T.; Huang, L.; Lee, F.L. Discrimination of the Lactobacillus acidophilus group using sequencing, species-specific PCR and SNaPshot mini-sequencing technology based on the recA gene. J. Sci. Food Agric. 2012, 92, 2703–2708. [Google Scholar] [CrossRef] [PubMed]
- Huang, C.H.; Huang, L.; Chang, M.T.; Wu, C.P. Use of novel specific primers targeted to pheS and tuf gene for species and subspecies identification and differentiation of the Bacillus subtilis subsp. subtilis, Bacillus amyloliquefaciens and Bacillus licheniformis. Afr. J. Microbiol. Res. 2017, 11, 264–270. [Google Scholar]





| Gene # | Direction | Sequence (5′–3′) | Conc. (μM) § | Amplicon Size (bp) |
|---|---|---|---|---|
| phoU | Forward | CATGATTATGTTCGTGCTAGA | 0.03 | 165 |
| Reverse | TTCACCCGTAGTTTTGTATACC | |||
| uvrA_1 | Forward | GATGACATTGCGGCTACT | 0.03 | 245 |
| Reverse | GTCAAGAGTATGTCTCGCCT | |||
| secY | Forward | TCGACCTTGAAGAACGCCT | 0.1 | 255 |
| Reverse | CGATCTGCGCCGTAATATA | |||
| tilS | Forward | TAGGACAAGCATATCGCATT | 0.04 | 457 |
| Reverse | ATTGGTTCTCGATCAGCATA |
| Primer Name | Sequence (5′–3′) * | SNP | Conc. (μM) § |
|---|---|---|---|
| SAL001390-r # | GCTAAGTTAACAATGTGATCGC | A | 0.2 |
| SAL000532-f | gactgactgactgactGGAAAGTTATACTGGTCAATAT | A | 0.3 |
| SAL000528-f | gactgactgacTTTTATTCTTTTAATATACAG | T | 1 |
| SAL000608-r # | gactgactgactgactgactTAGCTTTCACTCTAGTTCCAT | A | 0.3 |
| Locus | Gene | Annotation | Allele Profile | ||||||||||||||||||||||||||||||||||||||||
|---|---|---|---|---|---|---|---|---|---|---|---|---|---|---|---|---|---|---|---|---|---|---|---|---|---|---|---|---|---|---|---|---|---|---|---|---|---|---|---|---|---|---|---|
| BCRC 12255 | BCRC 14065 | BCRC 14079 | BCRC 16092 | BCRC 16099 | BCRC 17008 | BCRC 17481 | BCRC 17486 | BCRC 80064 | LA1063 | LA-5 | ATCC 4796 | ATCC 53544 | CIRM-BIA-442 | CIRM-BIA-445 | DS10_1A | DS11_1A | DS13_1A | DS13_1B | DS1_1A | DS20_1 | DS24_1 | DS2_1A | DS5_1A | DS8_1A | DS9_1A | DSM 20079T | DSM 20242 | DSM 9126 | MGYG-HGUT-02379 | FSI4 | L-55 | LA1 | LMG P-21904 | La-14 | NCFM | P2 | PNW3 | UBLA-34 | WG-LB-IV | YT1 | |||
| SAL0000004 | hp | hypothetical protein | 1 | 1 | 1 | 2 | 1 | 1 | 1 | 3 | 1 | 1 | 1 | 1 | 1 | 1 | 1 | 1 | 1 | 1 | 1 | 1 | 1 | 1 | 1 | 1 | 1 | 1 | 2 | 1 | 1 | 1 | 1 | 1 | 1 | 1 | 1 | 1 | 1 | 1 | 1 | 1 | 4 |
| SAL0000007 | oppA_1 | Oligopeptide-binding protein AppA precursor | 1 | 1 | 2 | 4 | 1 | 11 | 3 | 10 | 1 | 3 | 1 | 6 | 1 | 1 | 2 | 1 | 1 | 1 | 7 | 1 | 1 | 1 | 1 | 1 | 1 | 1 | 4 | 8 | 5 | 2 | 1 | 2 | 1 | 1 | 1 | 1 | 1 | 1 | 9 | 1 | 5 |
| SAL0000024 | yvgN_2 | putative oxidoreductase/MSMEI_2347 | 1 | 1 | 3 | 2 | 1 | 1 | 1 | 1 | 1 | 1 | 1 | 1 | 1 | 1 | 1 | 1 | 1 | 1 | 1 | 1 | 1 | 1 | 1 | 1 | 4 | 1 | 2 | 1 | 1 | 1 | 1 | 1 | 1 | 1 | 1 | 1 | 1 | 1 | 1 | 1 | 5 |
| SAL0000063 | group_157 | DegV domain-containing protein | 1 | 1 | 2 | 3 | 6 | 1 | 5 | 7 | 1 | 5 | 1 | 4 | 1 | 6 | 2 | 1 | 1 | 1 | 1 | 1 | 1 | 1 | 1 | 1 | 1 | 1 | 3 | 9 | 4 | 2 | 1 | 2 | 8 | 1 | 1 | 1 | 1 | 1 | 1 | 1 | 1 |
| SAL0000204 | group_1709 | Membrane transport protein | 1 | 1 | 1 | 2 | 1 | 1 | 1 | 1 | 1 | 1 | 1 | 1 | 1 | 1 | 1 | 1 | 1 | 1 | 1 | 1 | 1 | 1 | 1 | 1 | 1 | 1 | 2 | 1 | 1 | 1 | 1 | 1 | 1 | 1 | 1 | 1 | 1 | 1 | 1 | 1 | 1 |
| SAL0000205 | pepDA_2 | Dipeptidase A | 1 | 1 | 2 | 2 | 1 | 2 | 2 | 2 | 1 | 2 | 1 | 2 | 1 | 1 | 2 | 1 | 1 | 1 | 1 | 1 | 1 | 1 | 1 | 1 | 1 | 1 | 3 | 2 | 2 | 2 | 1 | 2 | 4 | 1 | 1 | 1 | 1 | 1 | 1 | 1 | 5 |
| SAL0000388 | sdhB | L-serine dehydratase, beta chain | 1 | 1 | 6 | 1 | 1 | 1 | 1 | 3 | 1 | 1 | 1 | 1 | 1 | 1 | 1 | 1 | 1 | 1 | 1 | 1 | 1 | 1 | 1 | 1 | 1 | 1 | 1 | 2 | 5 | 1 | 1 | 1 | 1 | 1 | 1 | 1 | 1 | 1 | 1 | 1 | 4 |
| SAL0000391 | group_1900 | D-aspartate ligase | 1 | 1 | 1 | 1 | 1 | 1 | 1 | 1 | 1 | 1 | 1 | 1 | 1 | 1 | 1 | 1 | 1 | 1 | 1 | 1 | 1 | 1 | 1 | 1 | 1 | 1 | 1 | 1 | 1 | 1 | 1 | 1 | 1 | 1 | 1 | 1 | 1 | 1 | 1 | 1 | 2 |
| SAL0000409 | penA | Penicillin-binding protein 2B | 1 | 1 | 1 | 1 | 1 | 3 | 1 | 1 | 1 | 1 | 1 | 1 | 1 | 1 | 1 | 1 | 1 | 1 | 1 | 1 | 1 | 1 | 1 | 1 | 1 | 1 | 1 | 1 | 1 | 1 | 1 | 1 | 1 | 1 | 1 | 1 | 1 | 1 | 1 | 1 | 2 |
| SAL0000458 | group_1968 | Putative phosphatase | 1 | 1 | 1 | 1 | 1 | 1 | 2 | 1 | 1 | 2 | 1 | 1 | 1 | 1 | 1 | 1 | 1 | 1 | 1 | 1 | 1 | 1 | 1 | 1 | 1 | 1 | 1 | 1 | 1 | 1 | 1 | 1 | 1 | 1 | 1 | 1 | 1 | 1 | 1 | 1 | 1 |
| SAL0000459 | glyA | Serine hydroxymethyltransferase | 1 | 1 | 1 | 1 | 1 | 1 | 1 | 1 | 1 | 1 | 1 | 1 | 1 | 1 | 1 | 1 | 1 | 1 | 1 | 1 | 1 | 1 | 1 | 1 | 1 | 1 | 1 | 1 | 1 | 1 | 1 | 1 | 1 | 1 | 1 | 1 | 1 | 1 | 1 | 1 | 2 |
| SAL0000460 | hp | hypothetical protein | 1 | 1 | 1 | 2 | 1 | 1 | 1 | 2 | 1 | 1 | 1 | 1 | 1 | 1 | 1 | 1 | 1 | 1 | 1 | 1 | 1 | 1 | 1 | 1 | 1 | 1 | 2 | 1 | 1 | 1 | 1 | 1 | 1 | 1 | 1 | 1 | 1 | 1 | 1 | 1 | 3 |
| SAL0000466 | appA_2 | Oligopeptide-binding protein AppA precursor | 1 | 1 | 5 | 1 | 1 | 1 | 3 | 1 | 1 | 3 | 1 | 1 | 1 | 1 | 2 | 1 | 1 | 1 | 1 | 1 | 1 | 1 | 1 | 1 | 1 | 1 | 1 | 1 | 1 | 2 | 1 | 2 | 1 | 1 | 1 | 1 | 1 | 1 | 4 | 1 | 6 |
| SAL0000467 | group_1976 | Putative tRNA (cytidine(34)-2’-O)-methyltransferase | 1 | 1 | 1 | 1 | 1 | 1 | 1 | 1 | 1 | 1 | 1 | 1 | 1 | 1 | 1 | 1 | 1 | 1 | 1 | 1 | 1 | 1 | 1 | 1 | 1 | 1 | 1 | 1 | 3 | 1 | 1 | 1 | 1 | 1 | 1 | 1 | 1 | 1 | 1 | 1 | 2 |
| SAL0000470 | hslV | ATP-dependent protease subunit HslV | 1 | 1 | 1 | 1 | 1 | 1 | 1 | 2 | 1 | 1 | 1 | 3 | 1 | 1 | 1 | 1 | 1 | 1 | 1 | 1 | 1 | 1 | 1 | 1 | 1 | 1 | 1 | 2 | 1 | 1 | 1 | 1 | 1 | 1 | 1 | 1 | 1 | 1 | 1 | 1 | 4 |
| SAL0000476 | ydcV | Inner membrane ABC transporter permease protein YdcV | 1 | 1 | 1 | 1 | 1 | 1 | 1 | 1 | 1 | 1 | 1 | 3 | 1 | 1 | 1 | 1 | 1 | 1 | 1 | 1 | 1 | 1 | 1 | 1 | 1 | 1 | 1 | 1 | 1 | 1 | 1 | 1 | 1 | 1 | 1 | 1 | 1 | 1 | 1 | 1 | 2 |
| SAL0000478 | thrC | Threonine synthase | 1 | 1 | 1 | 4 | 1 | 1 | 1 | 1 | 1 | 1 | 1 | 1 | 1 | 1 | 1 | 1 | 1 | 1 | 1 | 1 | 1 | 1 | 1 | 1 | 1 | 1 | 1 | 1 | 1 | 1 | 1 | 1 | 2 | 1 | 1 | 1 | 1 | 1 | 1 | 1 | 3 |
| SAL0000493 | citG | 2-(5’’-triphosphoribosyl)-3’-dephosphocoenzyme-A synthase | 1 | 1 | 1 | 1 | 1 | 1 | 1 | 2 | 1 | 1 | 1 | 1 | 1 | 1 | 1 | 1 | 1 | 1 | 1 | 1 | 1 | 1 | 1 | 1 | 1 | 1 | 1 | 2 | 1 | 1 | 1 | 1 | 1 | 1 | 1 | 1 | 1 | 1 | 1 | 1 | 3 |
| SAL0000494 | rps1 | 30S ribosomal protein S1 | 1 | 1 | 1 | 1 | 1 | 1 | 1 | 1 | 1 | 1 | 1 | 1 | 1 | 1 | 1 | 1 | 1 | 1 | 1 | 1 | 1 | 1 | 1 | 1 | 1 | 1 | 1 | 1 | 2 | 1 | 1 | 1 | 1 | 1 | 1 | 1 | 1 | 1 | 1 | 1 | 1 |
| SAL0000501 | addA | ATP-dependent helicase/nuclease subunit A | 4 | 1 | 1 | 1 | 1 | 1 | 1 | 2 | 1 | 1 | 1 | 3 | 1 | 1 | 1 | 1 | 1 | 1 | 1 | 1 | 1 | 1 | 1 | 1 | 1 | 1 | 1 | 1 | 1 | 1 | 1 | 1 | 1 | 1 | 1 | 1 | 1 | 1 | 1 | 1 | 5 |
| SAL0000512 | acpS | Holo-[acyl-carrier-protein] synthase | 1 | 1 | 1 | 1 | 1 | 1 | 1 | 1 | 1 | 1 | 1 | 1 | 1 | 1 | 1 | 1 | 1 | 1 | 1 | 1 | 1 | 1 | 1 | 1 | 1 | 1 | 1 | 1 | 1 | 1 | 1 | 1 | 1 | 1 | 1 | 1 | 1 | 1 | 1 | 2 | 3 |
| SAL0000541 | tr | Transcriptional regulator | 1 | 1 | 1 | 1 | 1 | 1 | 1 | 1 | 2 | 1 | 1 | 1 | 1 | 1 | 1 | 2 | 2 | 2 | 2 | 1 | 1 | 2 | 2 | 2 | 2 | 2 | 1 | 1 | 1 | 1 | 1 | 1 | 1 | 3 | 2 | 1 | 3 | 2 | 2 | 1 | 4 |
| SAL0000545 | hp | hypothetical protein | 1 | 1 | 1 | 1 | 1 | 1 | 1 | 3 | 1 | 1 | 1 | 1 | 1 | 1 | 1 | 1 | 1 | 1 | 1 | 1 | 1 | 1 | 1 | 1 | 1 | 1 | 1 | 1 | 1 | 1 | 1 | 1 | 1 | 1 | 1 | 1 | 1 | 1 | 1 | 1 | 2 |
| SAL0000548 | iscS_1 | Cysteine desulfurase | 1 | 1 | 1 | 1 | 1 | 1 | 1 | 1 | 1 | 1 | 1 | 1 | 1 | 1 | 1 | 1 | 1 | 1 | 1 | 1 | 1 | 1 | 1 | 3 | 1 | 1 | 1 | 1 | 1 | 1 | 1 | 1 | 1 | 1 | 1 | 1 | 1 | 1 | 1 | 1 | 2 |
| SAL0000566 | group_2084 | putative hydrolase | 1 | 1 | 1 | 1 | 1 | 1 | 1 | 2 | 1 | 1 | 1 | 4 | 1 | 1 | 1 | 1 | 1 | 1 | 1 | 1 | 1 | 3 | 1 | 1 | 1 | 1 | 1 | 1 | 1 | 1 | 1 | 1 | 1 | 1 | 1 | 5 | 1 | 1 | 1 | 1 | 6 |
| SAL0000572 | bca_2 | C protein alpha-antigen precursor | 1 | 1 | 2 | 1 | 1 | 1 | 1 | 7 | 1 | 1 | 1 | 5 | 1 | 1 | 2 | 1 | 1 | 3 | 3 | 1 | 1 | 1 | 6 | 1 | 1 | 1 | 1 | 1 | 1 | 2 | 1 | 2 | 1 | 1 | 1 | 1 | 1 | 1 | 1 | 1 | 4 |
| SAL0000604 | oppF_2 | Oligopeptide transport ATP-binding protein OppF | 1 | 1 | 1 | 1 | 1 | 1 | 1 | 1 | 1 | 1 | 1 | 1 | 2 | 1 | 1 | 1 | 1 | 1 | 1 | 1 | 1 | 1 | 1 | 1 | 1 | 1 | 1 | 1 | 1 | 1 | 1 | 1 | 1 | 1 | 1 | 1 | 1 | 1 | 1 | 1 | 1 |
| SAL0000605 | hp | hypothetical protein | 1 | 1 | 1 | 1 | 1 | 1 | 1 | 1 | 1 | 1 | 1 | 1 | 1 | 1 | 1 | 1 | 1 | 1 | 1 | 1 | 1 | 1 | 1 | 1 | 1 | 1 | 1 | 1 | 1 | 1 | 1 | 1 | 3 | 1 | 1 | 1 | 1 | 1 | 1 | 1 | 2 |
| SAL0000619 | cdsA | Phosphatidate cytidylyltransferase | 1 | 1 | 1 | 1 | 1 | 1 | 1 | 4 | 1 | 1 | 1 | 2 | 1 | 1 | 1 | 1 | 1 | 1 | 1 | 1 | 1 | 1 | 1 | 1 | 1 | 1 | 1 | 1 | 1 | 1 | 1 | 1 | 3 | 1 | 1 | 1 | 1 | 1 | 1 | 1 | 1 |
| SAL0000652 | dnaB | Replication initiation and membrane attachment protein | 1 | 1 | 1 | 1 | 1 | 1 | 3 | 2 | 1 | 3 | 1 | 1 | 1 | 1 | 1 | 1 | 1 | 5 | 1 | 1 | 1 | 1 | 1 | 1 | 1 | 1 | 1 | 2 | 1 | 1 | 1 | 1 | 1 | 1 | 1 | 1 | 1 | 1 | 1 | 1 | 4 |
| SAL0000660 | hp | hypothetical protein | 1 | 1 | 1 | 1 | 1 | 1 | 1 | 3 | 2 | 1 | 1 | 1 | 2 | 1 | 1 | 2 | 2 | 2 | 2 | 1 | 1 | 2 | 2 | 2 | 2 | 2 | 1 | 1 | 1 | 1 | 1 | 1 | 2 | 2 | 2 | 1 | 2 | 2 | 2 | 1 | 4 |
| SAL0000669 | pstC | Phosphate transport system permease protein PstC | 1 | 1 | 1 | 1 | 1 | 1 | 2 | 4 | 1 | 2 | 1 | 1 | 1 | 1 | 1 | 1 | 1 | 1 | 1 | 1 | 1 | 1 | 1 | 1 | 1 | 1 | 1 | 3 | 1 | 1 | 1 | 1 | 1 | 1 | 1 | 1 | 1 | 1 | 1 | 1 | 1 |
| SAL0000674 | lgt | Prolipoprotein diacylglyceryl transferase | 1 | 1 | 1 | 1 | 1 | 1 | 1 | 1 | 1 | 1 | 1 | 1 | 1 | 1 | 1 | 1 | 3 | 1 | 1 | 1 | 1 | 1 | 1 | 1 | 1 | 1 | 1 | 2 | 1 | 1 | 1 | 1 | 1 | 1 | 1 | 1 | 1 | 1 | 1 | 1 | 4 |
| SAL0000678 | ybhL | Inner membrane protein YbhL | 1 | 1 | 1 | 5 | 2 | 1 | 1 | 3 | 1 | 1 | 1 | 10 | 7 | 2 | 1 | 1 | 1 | 1 | 1 | 1 | 1 | 1 | 1 | 1 | 1 | 1 | 1 | 8 | 1 | 1 | 1 | 1 | 1 | 1 | 1 | 4 | 1 | 1 | 1 | 9 | 6 |
| SAL0000702 | pepO_1 | Neutral endopeptidase | 1 | 1 | 2 | 1 | 1 | 1 | 1 | 6 | 1 | 1 | 1 | 1 | 1 | 1 | 1 | 1 | 1 | 1 | 1 | 1 | 1 | 1 | 1 | 1 | 1 | 1 | 1 | 3 | 1 | 1 | 1 | 1 | 1 | 1 | 1 | 1 | 1 | 1 | 5 | 1 | 4 |
| SAL0000704 | aspT | Aspartate/alanine antiporter | 1 | 1 | 1 | 1 | 1 | 1 | 1 | 2 | 1 | 1 | 1 | 1 | 1 | 1 | 1 | 1 | 1 | 1 | 1 | 1 | 1 | 1 | 1 | 1 | 1 | 1 | 1 | 4 | 1 | 1 | 1 | 1 | 1 | 1 | 1 | 1 | 1 | 1 | 1 | 1 | 3 |
| SAL0000737 | corA | Magnesium transport protein CorA | 1 | 1 | 2 | 1 | 1 | 1 | 1 | 1 | 1 | 1 | 1 | 3 | 1 | 1 | 2 | 1 | 1 | 1 | 1 | 1 | 1 | 1 | 1 | 1 | 1 | 1 | 1 | 5 | 1 | 2 | 1 | 2 | 1 | 1 | 1 | 1 | 1 | 1 | 1 | 1 | 4 |
| SAL0000746 | hp | hypothetical protein | 1 | 1 | 1 | 1 | 1 | 2 | 1 | 1 | 1 | 1 | 1 | 3 | 1 | 1 | 1 | 1 | 1 | 1 | 1 | 1 | 1 | 1 | 1 | 1 | 1 | 1 | 1 | 1 | 1 | 1 | 1 | 1 | 1 | 1 | 1 | 1 | 1 | 1 | 1 | 1 | 1 |
| SAL0000756 | dtpT | Di-/tripeptide transporter | 1 | 1 | 3 | 1 | 1 | 1 | 1 | 4 | 1 | 1 | 1 | 1 | 1 | 1 | 1 | 1 | 1 | 1 | 1 | 1 | 1 | 1 | 1 | 1 | 1 | 1 | 1 | 1 | 1 | 1 | 1 | 1 | 1 | 1 | 1 | 1 | 1 | 1 | 1 | 1 | 2 |
| SAL0000783 | lacF_1 | Lactose transport system permease protein LacF | 1 | 1 | 2 | 3 | 1 | 1 | 1 | 2 | 1 | 1 | 1 | 1 | 1 | 1 | 2 | 1 | 1 | 1 | 5 | 1 | 1 | 1 | 1 | 1 | 1 | 1 | 3 | 2 | 1 | 2 | 1 | 2 | 1 | 1 | 1 | 1 | 1 | 1 | 1 | 1 | 4 |
| SAL0000796 | yjbM | GTP pyrophosphokinase YjbM | 1 | 1 | 1 | 1 | 1 | 1 | 1 | 1 | 1 | 1 | 1 | 1 | 1 | 1 | 1 | 1 | 1 | 1 | 1 | 1 | 1 | 1 | 1 | 1 | 1 | 1 | 1 | 2 | 1 | 1 | 1 | 1 | 1 | 1 | 1 | 1 | 1 | 1 | 1 | 1 | 3 |
| SAL0000802 | manX_1 | PTS system mannose-specific EIIAB component | 1 | 1 | 1 | 1 | 1 | 1 | 1 | 2 | 1 | 1 | 1 | 1 | 1 | 1 | 1 | 1 | 1 | 1 | 1 | 1 | 1 | 1 | 1 | 1 | 1 | 1 | 1 | 1 | 1 | 1 | 1 | 1 | 1 | 1 | 1 | 1 | 1 | 1 | 1 | 1 | 1 |
| SAL0000816 | glgA | Glycogen synthase | 1 | 1 | 1 | 1 | 1 | 1 | 1 | 1 | 1 | 1 | 1 | 1 | 1 | 1 | 1 | 1 | 1 | 1 | 1 | 1 | 1 | 1 | 1 | 1 | 1 | 1 | 1 | 1 | 1 | 1 | 1 | 1 | 1 | 1 | 1 | 1 | 1 | 1 | 1 | 1 | 2 |
| SAL0000831 | murAB | UDP-N-acetylglucosamine 1-carboxyvinyltransferase 2 | 1 | 1 | 2 | 1 | 1 | 1 | 1 | 1 | 1 | 1 | 1 | 1 | 1 | 1 | 2 | 1 | 1 | 1 | 1 | 1 | 1 | 1 | 1 | 1 | 1 | 1 | 1 | 1 | 1 | 2 | 1 | 2 | 1 | 1 | 1 | 1 | 1 | 1 | 1 | 1 | 3 |
| SAL0000882 | hp | hypothetical protein | 1 | 1 | 2 | 1 | 1 | 1 | 1 | 2 | 1 | 1 | 1 | 1 | 1 | 1 | 2 | 1 | 1 | 1 | 1 | 1 | 1 | 1 | 1 | 1 | 1 | 1 | 1 | 2 | 1 | 2 | 1 | 2 | 1 | 1 | 1 | 1 | 1 | 1 | 1 | 1 | 1 |
| SAL0000889 | group_2404 | putative transporter YfdV | 1 | 1 | 2 | 1 | 1 | 1 | 1 | 1 | 1 | 1 | 1 | 1 | 1 | 1 | 2 | 1 | 1 | 1 | 1 | 1 | 1 | 1 | 1 | 1 | 1 | 1 | 1 | 1 | 1 | 2 | 1 | 2 | 1 | 1 | 1 | 1 | 1 | 1 | 1 | 1 | 1 |
| SAL0000894 | tig | Trigger factor | 1 | 1 | 2 | 1 | 1 | 1 | 1 | 1 | 1 | 1 | 1 | 1 | 1 | 1 | 3 | 1 | 1 | 1 | 1 | 1 | 1 | 1 | 1 | 1 | 1 | 1 | 1 | 1 | 1 | 2 | 1 | 2 | 4 | 1 | 1 | 1 | 1 | 1 | 1 | 1 | 1 |
| SAL0000931 | rnc | Ribonuclease 3 | 1 | 1 | 1 | 1 | 1 | 1 | 1 | 3 | 1 | 1 | 1 | 1 | 1 | 1 | 1 | 1 | 1 | 1 | 1 | 1 | 1 | 1 | 1 | 1 | 1 | 1 | 1 | 1 | 1 | 1 | 1 | 1 | 1 | 1 | 1 | 1 | 1 | 1 | 1 | 1 | 2 |
| SAL0000933 | citC | [Citrate [pro-3S]-lyase] ligase | 1 | 1 | 1 | 1 | 1 | 1 | 1 | 1 | 2 | 1 | 1 | 1 | 1 | 1 | 1 | 2 | 2 | 2 | 2 | 1 | 1 | 2 | 2 | 2 | 2 | 2 | 1 | 1 | 1 | 1 | 1 | 1 | 1 | 1 | 2 | 1 | 1 | 2 | 2 | 1 | 3 |
| SAL0000944 | group_2459 | Uracil DNA glycosylase superfamily protein | 1 | 1 | 2 | 1 | 1 | 1 | 1 | 1 | 1 | 1 | 1 | 1 | 1 | 1 | 2 | 1 | 1 | 1 | 1 | 1 | 1 | 1 | 1 | 1 | 1 | 1 | 1 | 1 | 1 | 2 | 1 | 2 | 1 | 1 | 1 | 1 | 1 | 1 | 1 | 1 | 3 |
| SAL0000947 | hp | hypothetical protein | 1 | 1 | 1 | 1 | 1 | 1 | 1 | 1 | 1 | 1 | 1 | 1 | 1 | 1 | 1 | 1 | 1 | 1 | 1 | 1 | 1 | 1 | 1 | 1 | 1 | 1 | 1 | 1 | 1 | 1 | 1 | 1 | 1 | 1 | 1 | 1 | 1 | 1 | 1 | 1 | 2 |
| SAL0000970 | hp | hypothetical protein | 1 | 1 | 1 | 1 | 1 | 1 | 1 | 1 | 1 | 1 | 1 | 1 | 1 | 1 | 1 | 1 | 1 | 1 | 1 | 1 | 1 | 1 | 1 | 1 | 1 | 1 | 1 | 2 | 1 | 1 | 1 | 1 | 1 | 1 | 1 | 1 | 1 | 1 | 1 | 1 | 1 |
| SAL0000985 | yycI | Two-component system YycFG regulatory protein | 1 | 1 | 1 | 1 | 1 | 1 | 1 | 1 | 2 | 1 | 1 | 1 | 1 | 1 | 1 | 2 | 2 | 2 | 2 | 1 | 1 | 2 | 2 | 2 | 2 | 2 | 1 | 1 | 3 | 1 | 1 | 1 | 1 | 1 | 2 | 1 | 1 | 2 | 2 | 1 | 4 |
| SAL0000991 | nudF | ADP-ribose pyrophosphatase | 1 | 1 | 3 | 1 | 1 | 2 | 2 | 3 | 1 | 2 | 1 | 2 | 1 | 1 | 3 | 1 | 1 | 1 | 1 | 1 | 1 | 1 | 1 | 1 | 1 | 1 | 1 | 3 | 2 | 3 | 1 | 3 | 1 | 1 | 1 | 1 | 1 | 1 | 1 | 1 | 2 |
| SAL0000999 | group_2512 | NADH dehydrogenase-like protein | 1 | 1 | 1 | 1 | 1 | 1 | 1 | 1 | 1 | 1 | 2 | 1 | 1 | 1 | 1 | 1 | 1 | 1 | 1 | 2 | 2 | 1 | 1 | 1 | 1 | 1 | 1 | 1 | 1 | 1 | 2 | 1 | 1 | 1 | 1 | 1 | 1 | 1 | 1 | 1 | 3 |
| SAL0001061 | frdA | Fumarate reductase flavoprotein subunit | 3 | 1 | 4 | 1 | 1 | 1 | 2 | 1 | 1 | 2 | 1 | 1 | 1 | 1 | 1 | 1 | 1 | 1 | 1 | 1 | 1 | 1 | 1 | 1 | 1 | 1 | 1 | 1 | 1 | 1 | 1 | 1 | 1 | 1 | 1 | 1 | 1 | 1 | 1 | 1 | 5 |
| SAL0001093 | rpsK | 30S ribosomal protein S11 | 1 | 1 | 2 | 1 | 1 | 2 | 2 | 2 | 1 | 2 | 1 | 3 | 1 | 1 | 2 | 1 | 1 | 1 | 1 | 1 | 1 | 1 | 1 | 1 | 1 | 1 | 1 | 2 | 2 | 2 | 1 | 2 | 1 | 1 | 1 | 1 | 1 | 1 | 1 | 1 | 2 |
| SAL0001098 | odcI | Ornithine decarboxylase, inducible | 1 | 1 | 2 | 1 | 1 | 1 | 1 | 3 | 1 | 1 | 1 | 1 | 1 | 1 | 1 | 1 | 1 | 1 | 1 | 1 | 1 | 1 | 1 | 1 | 1 | 1 | 1 | 1 | 1 | 1 | 1 | 1 | 1 | 1 | 1 | 1 | 1 | 1 | 1 | 1 | 4 |
| SAL0001105 | yheI_3 | putative multidrug resistance ABC transporter ATP-binding/permease protein YheI | 1 | 1 | 3 | 1 | 1 | 1 | 1 | 5 | 2 | 1 | 1 | 1 | 1 | 1 | 3 | 2 | 2 | 2 | 2 | 1 | 1 | 2 | 2 | 2 | 2 | 2 | 1 | 3 | 1 | 3 | 1 | 3 | 1 | 1 | 2 | 1 | 1 | 2 | 2 | 1 | 4 |
| SAL0001111 | frr | Ribosome-recycling factor | 1 | 1 | 1 | 1 | 1 | 1 | 1 | 1 | 1 | 1 | 1 | 1 | 1 | 1 | 1 | 1 | 1 | 1 | 1 | 1 | 1 | 1 | 1 | 1 | 1 | 1 | 1 | 1 | 1 | 1 | 1 | 1 | 1 | 1 | 2 | 2 | 1 | 1 | 1 | 1 | 1 |
| SAL0001114 | trmD | tRNA (guanine-N(1)-)-methyltransferase | 1 | 1 | 1 | 1 | 1 | 1 | 1 | 1 | 1 | 1 | 1 | 1 | 1 | 1 | 1 | 1 | 1 | 1 | 1 | 1 | 1 | 1 | 1 | 1 | 1 | 1 | 1 | 1 | 1 | 1 | 1 | 1 | 1 | 1 | 4 | 2 | 1 | 1 | 1 | 1 | 3 |
| SAL0001120 | bglA_2 | 6-phospho-beta-glucosidase BglA | 1 | 1 | 1 | 1 | 1 | 1 | 1 | 1 | 1 | 1 | 1 | 2 | 1 | 1 | 1 | 1 | 1 | 1 | 1 | 1 | 1 | 1 | 1 | 1 | 1 | 1 | 1 | 1 | 1 | 1 | 1 | 1 | 1 | 1 | 1 | 1 | 1 | 1 | 1 | 1 | 3 |
| SAL0001129 | tfdR | HTH-type transcriptional regulator TdfR | 1 | 1 | 1 | 2 | 1 | 1 | 1 | 1 | 1 | 1 | 1 | 4 | 1 | 1 | 1 | 1 | 1 | 1 | 1 | 1 | 1 | 1 | 1 | 1 | 1 | 1 | 2 | 1 | 1 | 1 | 1 | 1 | 1 | 1 | 1 | 1 | 1 | 1 | 1 | 1 | 3 |
| SAL0001142 | arlS_1 | Signal transduction histidine-protein kinase ArlS | 1 | 1 | 1 | 1 | 1 | 1 | 1 | 2 | 1 | 1 | 1 | 4 | 1 | 1 | 1 | 1 | 1 | 1 | 1 | 1 | 1 | 1 | 1 | 1 | 1 | 1 | 1 | 2 | 5 | 1 | 1 | 1 | 1 | 1 | 1 | 1 | 1 | 1 | 1 | 1 | 3 |
| SAL0001144 | sacX | Negative regulator of SacY activity | 3 | 3 | 3 | 3 | 3 | 3 | 3 | 3 | 3 | 3 | 3 | 3 | 4 | 3 | 3 | 3 | 3 | 3 | 3 | 3 | 3 | 3 | 3 | 3 | 3 | 3 | 3 | 3 | 3 | 3 | 3 | 3 | 3 | 3 | 3 | 1 | 3 | 3 | 3 | 3 | 2 |
| SAL0001150 | hp | hypothetical protein | 1 | 1 | 5 | 1 | 1 | 4 | 3 | 11 | 1 | 3 | 1 | 4 | 1 | 1 | 2 | 1 | 1 | 1 | 1 | 1 | 1 | 1 | 7 | 1 | 1 | 1 | 1 | 8 | 10 | 2 | 1 | 2 | 1 | 1 | 1 | 1 | 1 | 1 | 1 | 9 | 6 |
| SAL0001155 | hp | hypothetical protein | 1 | 1 | 5 | 1 | 1 | 1 | 1 | 6 | 1 | 1 | 1 | 2 | 3 | 1 | 1 | 1 | 1 | 1 | 1 | 1 | 1 | 1 | 1 | 1 | 1 | 1 | 1 | 1 | 7 | 1 | 1 | 1 | 1 | 1 | 1 | 1 | 1 | 1 | 1 | 1 | 4 |
| SAL0001159 | rsmI | Ribosomal RNA small subunit methyltransferase I | 1 | 1 | 1 | 2 | 1 | 1 | 1 | 2 | 1 | 1 | 1 | 1 | 1 | 1 | 1 | 1 | 1 | 1 | 1 | 1 | 1 | 1 | 1 | 1 | 1 | 1 | 2 | 1 | 1 | 1 | 1 | 1 | 1 | 1 | 1 | 1 | 1 | 1 | 1 | 1 | 3 |
| SAL0001160 | rr | Response regulator | 1 | 1 | 7 | 3 | 1 | 8 | 1 | 2 | 1 | 1 | 1 | 4 | 1 | 1 | 2 | 1 | 1 | 1 | 1 | 1 | 1 | 1 | 1 | 1 | 1 | 1 | 3 | 2 | 5 | 2 | 1 | 2 | 1 | 1 | 1 | 1 | 1 | 1 | 6 | 1 | 1 |
| SAL0001163 | ybiR | Inner membrane protein YbiR | 1 | 1 | 3 | 2 | 1 | 1 | 4 | 6 | 1 | 4 | 1 | 2 | 1 | 1 | 3 | 1 | 1 | 1 | 1 | 1 | 1 | 1 | 1 | 1 | 1 | 1 | 2 | 3 | 2 | 3 | 1 | 3 | 1 | 1 | 1 | 1 | 1 | 1 | 2 | 1 | 5 |
| SAL0001169 | ltaS1 | Lipoteichoic acid synthase 1 | 1 | 1 | 1 | 1 | 1 | 5 | 1 | 3 | 1 | 1 | 1 | 4 | 1 | 1 | 1 | 1 | 2 | 1 | 1 | 1 | 1 | 1 | 1 | 1 | 1 | 1 | 1 | 1 | 1 | 1 | 1 | 1 | 1 | 1 | 1 | 1 | 1 | 1 | 1 | 6 | 7 |
| SAL0001174 | recX | Regulatory protein RecX | 1 | 1 | 2 | 1 | 1 | 1 | 1 | 1 | 1 | 1 | 1 | 1 | 1 | 1 | 1 | 1 | 1 | 1 | 1 | 1 | 1 | 1 | 1 | 1 | 1 | 1 | 1 | 1 | 1 | 1 | 1 | 1 | 1 | 1 | 1 | 1 | 1 | 1 | 1 | 1 | 3 |
| SAL0001177 | hp | hypothetical protein | 1 | 1 | 1 | 1 | 1 | 1 | 1 | 1 | 1 | 1 | 3 | 1 | 2 | 1 | 1 | 1 | 1 | 1 | 1 | 1 | 1 | 1 | 1 | 1 | 1 | 1 | 1 | 1 | 1 | 1 | 1 | 1 | 1 | 1 | 1 | 1 | 1 | 1 | 1 | 1 | 4 |
| SAL0001181 | group_590 | Putative gluconeogenesis factor | 1 | 1 | 1 | 3 | 1 | 1 | 1 | 4 | 1 | 1 | 1 | 1 | 1 | 1 | 2 | 1 | 1 | 1 | 1 | 1 | 1 | 1 | 1 | 1 | 1 | 1 | 1 | 1 | 1 | 2 | 1 | 2 | 1 | 1 | 1 | 1 | 1 | 1 | 1 | 1 | 5 |
| SAL0001204 | fumC | Fumarate hydratase class II | 1 | 1 | 1 | 1 | 1 | 4 | 3 | 1 | 1 | 3 | 2 | 1 | 1 | 1 | 1 | 1 | 1 | 1 | 1 | 2 | 2 | 1 | 1 | 1 | 1 | 1 | 1 | 1 | 1 | 1 | 2 | 1 | 1 | 1 | 1 | 1 | 1 | 1 | 1 | 1 | 5 |
| SAL0001210 | hp | hypothetical protein | 1 | 1 | 1 | 1 | 1 | 1 | 1 | 1 | 1 | 1 | 1 | 3 | 1 | 1 | 1 | 1 | 1 | 1 | 1 | 1 | 1 | 1 | 1 | 1 | 1 | 1 | 1 | 1 | 1 | 1 | 1 | 1 | 1 | 1 | 1 | 2 | 1 | 1 | 1 | 1 | 4 |
| SAL0001216 | hp | hypothetical protein | 1 | 1 | 1 | 1 | 1 | 1 | 1 | 1 | 1 | 1 | 1 | 1 | 1 | 1 | 1 | 1 | 1 | 1 | 1 | 1 | 1 | 1 | 1 | 1 | 1 | 1 | 1 | 1 | 1 | 1 | 1 | 1 | 1 | 1 | 1 | 1 | 1 | 1 | 1 | 1 | 2 |
| SAL0001231 | group_644 | AMP nucleosidase | 1 | 1 | 1 | 1 | 1 | 2 | 1 | 1 | 1 | 1 | 1 | 1 | 1 | 1 | 1 | 1 | 1 | 1 | 1 | 1 | 1 | 1 | 1 | 1 | 1 | 1 | 1 | 1 | 1 | 1 | 1 | 1 | 1 | 1 | 1 | 1 | 1 | 1 | 1 | 1 | 1 |
| SAL0001251 | group_665 | Peptidase family M23 | 1 | 1 | 1 | 1 | 1 | 1 | 1 | 1 | 1 | 1 | 1 | 1 | 1 | 1 | 1 | 1 | 1 | 1 | 1 | 2 | 1 | 1 | 1 | 1 | 1 | 1 | 1 | 1 | 1 | 1 | 1 | 1 | 1 | 1 | 1 | 1 | 1 | 1 | 1 | 1 | 1 |
| SAL0001254 | merA | Mercuric reductase | 1 | 1 | 4 | 1 | 1 | 1 | 1 | 1 | 1 | 1 | 1 | 2 | 1 | 1 | 1 | 1 | 1 | 1 | 1 | 1 | 1 | 1 | 1 | 1 | 1 | 1 | 1 | 1 | 1 | 1 | 1 | 1 | 1 | 1 | 1 | 1 | 1 | 1 | 1 | 1 | 3 |
| SAL0001261 | group_675 | Ion channel | 1 | 1 | 1 | 1 | 1 | 1 | 1 | 1 | 1 | 1 | 1 | 1 | 1 | 1 | 1 | 1 | 1 | 1 | 1 | 1 | 1 | 1 | 1 | 1 | 1 | 1 | 1 | 1 | 1 | 1 | 1 | 1 | 1 | 1 | 1 | 3 | 1 | 1 | 1 | 1 | 2 |
| SAL0001276 | licC_1 | Lichenan permease IIC component | 1 | 1 | 1 | 1 | 1 | 4 | 1 | 1 | 1 | 1 | 1 | 3 | 1 | 1 | 1 | 1 | 1 | 1 | 1 | 1 | 1 | 1 | 1 | 1 | 1 | 1 | 1 | 1 | 2 | 1 | 1 | 1 | 1 | 1 | 1 | 1 | 1 | 1 | 1 | 1 | 1 |
| SAL0001295 | thiN | Thiamine pyrophosphokinase | 1 | 1 | 1 | 2 | 3 | 1 | 1 | 2 | 1 | 1 | 1 | 1 | 1 | 3 | 1 | 1 | 1 | 1 | 1 | 1 | 1 | 1 | 1 | 1 | 1 | 1 | 1 | 1 | 1 | 1 | 1 | 1 | 1 | 1 | 1 | 5 | 1 | 1 | 1 | 1 | 4 |
| SAL0001311 | group_731 | Bacterial membrane protein YfhO | 1 | 1 | 1 | 1 | 1 | 1 | 2 | 5 | 1 | 2 | 1 | 1 | 1 | 1 | 4 | 1 | 1 | 1 | 1 | 1 | 1 | 1 | 1 | 1 | 1 | 1 | 1 | 1 | 1 | 1 | 1 | 1 | 1 | 1 | 1 | 1 | 1 | 1 | 1 | 1 | 3 |
| SAL0001329 | hp | hypothetical protein | 2 | 2 | 1 | 1 | 1 | 1 | 1 | 1 | 1 | 1 | 2 | 1 | 1 | 1 | 1 | 1 | 1 | 1 | 1 | 2 | 2 | 1 | 1 | 1 | 1 | 1 | 1 | 1 | 1 | 1 | 2 | 1 | 1 | 1 | 1 | 1 | 1 | 1 | 1 | 2 | 3 |
| SAL0001334 | hp | hypothetical protein | 1 | 1 | 1 | 1 | 1 | 1 | 1 | 2 | 1 | 1 | 1 | 1 | 1 | 1 | 1 | 1 | 1 | 1 | 1 | 1 | 1 | 1 | 1 | 1 | 1 | 1 | 1 | 1 | 1 | 1 | 1 | 1 | 1 | 1 | 1 | 1 | 1 | 1 | 1 | 1 | 1 |
| SAL0001343 | gmk_2 | Guanylate kinase | 1 | 1 | 1 | 1 | 1 | 4 | 1 | 1 | 1 | 1 | 1 | 3 | 1 | 1 | 1 | 1 | 1 | 1 | 1 | 1 | 1 | 1 | 1 | 1 | 1 | 1 | 1 | 1 | 1 | 1 | 1 | 1 | 1 | 1 | 2 | 2 | 1 | 1 | 1 | 1 | 1 |
| SAL0001359 | mutL | DNA mismatch repair protein MutL | 1 | 1 | 1 | 1 | 1 | 1 | 2 | 1 | 1 | 2 | 1 | 1 | 1 | 1 | 1 | 1 | 1 | 1 | 1 | 1 | 1 | 1 | 1 | 1 | 1 | 1 | 1 | 1 | 4 | 1 | 1 | 1 | 1 | 1 | 1 | 1 | 1 | 1 | 1 | 3 | 5 |
| SAL0001361 | alaS | Alanine--tRNA ligase | 1 | 1 | 1 | 1 | 1 | 1 | 1 | 1 | 1 | 1 | 1 | 1 | 1 | 1 | 1 | 1 | 1 | 1 | 1 | 1 | 1 | 1 | 1 | 1 | 1 | 1 | 1 | 1 | 3 | 1 | 1 | 1 | 1 | 1 | 1 | 1 | 1 | 1 | 1 | 2 | 1 |
| SAL0001371 | hp | hypothetical protein | 1 | 1 | 1 | 1 | 1 | 1 | 1 | 1 | 1 | 1 | 1 | 1 | 1 | 1 | 1 | 1 | 1 | 1 | 1 | 1 | 1 | 1 | 1 | 1 | 1 | 1 | 1 | 1 | 1 | 1 | 1 | 1 | 1 | 1 | 1 | 2 | 1 | 1 | 1 | 1 | 3 |
| SAL0001385 | uvrA_2 | UvrABC system protein A | 1 | 1 | 1 | 2 | 1 | 1 | 1 | 1 | 1 | 1 | 1 | 1 | 1 | 1 | 1 | 1 | 1 | 1 | 1 | 1 | 1 | 1 | 1 | 1 | 1 | 1 | 2 | 1 | 3 | 1 | 1 | 1 | 1 | 1 | 1 | 4 | 1 | 1 | 1 | 1 | 5 |
| SAL0001390 | phoU | Phosphate-specific transport system accessory protein | 1 | 1 | 1 | 1 | 1 | 1 | 1 | 2 | 1 | 5 | 1 | 1 | 1 | 1 | 1 | 1 | 1 | 1 | 1 | 1 | 1 | 1 | 1 | 1 | 1 | 1 | 1 | 4 | 1 | 1 | 1 | 1 | 1 | 1 | 1 | 1 | 1 | 1 | 1 | 1 | 3 |
| Sequence type | 1 | 2 | 3 | 4 | 5 | 6 | 7 | 8 | 9 | 10 | 11 | 12 | 13 | 5 | 14 | 9 | 15 | 16 | 17 | 18 | 19 | 20 | 21 | 22 | 23 | 9 | 24 | 25 | 26 | 27 | 19 | 27 | 28 | 29 | 30 | 31 | 29 | 9 | 32 | 33 | 34 | ||
| Strain | Other Designation | Allele Profile | Sequence Type | |||||||
|---|---|---|---|---|---|---|---|---|---|---|
| frdA | hp | oppA_1 | rr | tr | uvrA_2 | phoU | ybhL | |||
| BCRC 10695T | DSM 20079T | 1 | 1 | 1 | 1 | 1 | 1 | 1 | 1 | 1 |
| BCRC 12255 | NCIMB 701243 | 1 | 1 | 1 | 2 | 1 | 1 | 2 | 1 | 2 |
| BCRC 14065 | CSCC 2401 | 1 | 1 | 1 | 1 | 1 | 1 | 2 | 1 | 3 |
| BCRC 14079 | 3 | 1 | 1 | 1 | 3 | 2 | 2 | 1 | 4 | |
| BCRC 16092 | CCUG 12853 | 1 | 1 | 3 | 1 | 1 | 1 | 1 | 1 | 5 |
| BCRC 16099 | CIP 103600 | 1 | 1 | 5 | 1 | 1 | 2 | 2 | 1 | 6 |
| BCRC 17008 | ATCC 4357 | 1 | 1 | 1 | 1 | 2 | 3 | 2 | 1 | 7 |
| BCRC 17009 | ATCC 53544 | 1 | 1 | 4 | 1 | 1 | 1 | 2 | 1 | 8 |
| BCRC 17481 | JCM 1028 | 2 | 1 | 1 | 1 | 2 | 1 | 2 | 1 | 9 |
| BCRC 17486 | JCM 1229 | 4 | 1 | 1 | 1 | 2 | 1 | 2 | 1 | 10 |
| BCRC 80064 | 1 | 2 | 1 | 1 | 1 | 1 | 2 | 1 | 11 | |
| LA1063 * | 2 | 1 | 1 | 1 | 2 | 1 | 2 | 2 | 12 | |
| Locus | Gene | Annotation |
|---|---|---|
| SAL0000203 | ribD | Riboflavin biosynthesis protein ribD |
| SAL0000410 | purN | Phosphoribosylglycinamide formyltransferase |
| SAL0000528 | secY | preprotein translocase subunit secY |
| SAL0000532 | uvrA_1 | UvrABC system protein A |
| SAL0000608 | tilS | tRNA(Ile)-lysidine synthase |
| SAL0000626 | group_2144 | acid-resistance membrane protein |
| SAL0000650 | ddlA | D-alanine--D-alanine ligase A |
| SAL0000698 | murF | UDP-N-acetylmuramoyl-tripeptide--D-alanyl-D-alanine ligase |
| SAL0000781 | purB | Adenylosuccinate lyase |
| SAL0000810 | group_2329 | putative peptidase |
| SAL0000850 | rbgA | Ribosome biogenesis GTPase A |
| SAL0000942 | hp | hypothetical protein |
| SAL0001079 | dnaI | Primosomal protein DnaI |
| SAL0001095 | ybaK | Cys-tRNA(Pro)/Cys-tRNA(Cys) deacylase YbaK |
| SAL0001189 | atpE | ATP synthase subunit c |
| SAL0001312 | yodB | HTH-type transcriptional regulator YodB |
| SAL0001323 | lldD | L-lactate dehydrogenase [cytochrome] |
| SAL0001344 | mepS_2 | Murein DD-endopeptidase MepS/Murein LD-carboxypeptidase precursor |
| SAL0001364 | group_812 | Cysteine-rich secretory protein family protein |
| SAL0001365 | yicI_1 | Alpha-xylosidase |
| SAL0001390 | phoU | Phosphate-specific transport system accessory protein |
© 2020 by the authors. Licensee MDPI, Basel, Switzerland. This article is an open access article distributed under the terms and conditions of the Creative Commons Attribution (CC BY) license (http://creativecommons.org/licenses/by/4.0/).
Share and Cite
Huang, C.-H.; Chen, C.-C.; Chiu, S.-H.; Liou, J.-S.; Lin, Y.-C.; Lin, J.-S.; Huang, L.; Watanabe, K. Development of a High-Resolution Single-Nucleotide Polymorphism Strain-Typing Assay Using Whole Genome-Based Analyses for the Lactobacillus acidophilus Probiotic Strain. Microorganisms 2020, 8, 1445. https://doi.org/10.3390/microorganisms8091445
Huang C-H, Chen C-C, Chiu S-H, Liou J-S, Lin Y-C, Lin J-S, Huang L, Watanabe K. Development of a High-Resolution Single-Nucleotide Polymorphism Strain-Typing Assay Using Whole Genome-Based Analyses for the Lactobacillus acidophilus Probiotic Strain. Microorganisms. 2020; 8(9):1445. https://doi.org/10.3390/microorganisms8091445
Chicago/Turabian StyleHuang, Chien-Hsun, Chih-Chieh Chen, Shih-Hau Chiu, Jong-Shian Liou, Yu-Chun Lin, Jin-Seng Lin, Lina Huang, and Koichi Watanabe. 2020. "Development of a High-Resolution Single-Nucleotide Polymorphism Strain-Typing Assay Using Whole Genome-Based Analyses for the Lactobacillus acidophilus Probiotic Strain" Microorganisms 8, no. 9: 1445. https://doi.org/10.3390/microorganisms8091445
APA StyleHuang, C.-H., Chen, C.-C., Chiu, S.-H., Liou, J.-S., Lin, Y.-C., Lin, J.-S., Huang, L., & Watanabe, K. (2020). Development of a High-Resolution Single-Nucleotide Polymorphism Strain-Typing Assay Using Whole Genome-Based Analyses for the Lactobacillus acidophilus Probiotic Strain. Microorganisms, 8(9), 1445. https://doi.org/10.3390/microorganisms8091445

