High Prevalence of Human Polyomavirus 7 in Cholangiocarcinomas and Adjacent Peritumoral Hepatocytes: Preliminary Findings
Abstract
1. Introduction
2. Materials and Methods
2.1. Patients and Specimens
2.2. Degenerated PCR
2.3. Specific HPyVs DNA PCR
2.4. Fluorescence In Situ Hybridization (FISH)
2.5. RNA In Situ Hybridization (RISH)
2.6. Immunohistochemistry (IHC)
2.7. Statistical Analysis
3. Results
3.1. Histopathology and Specimen Quality
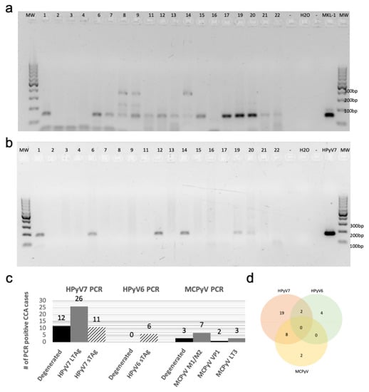
3.2. Screening for Human Polyomaviruses Using Degenerate and HPyVs-Specific PCR
3.3. Fluorescence In Situ Hybridization (FISH)
3.4. RNA In Situ Hybridization (RISH)
3.5. Detection of HPyV7-sTAg, HPyV6-sTAg, and MCPyV-LTag Expression by Immunohistochemistry
3.6. Overall Survival Analysis
4. Discussion
5. Conclusions
Supplementary Materials
Author Contributions
Funding
Conflicts of Interest
References
- Tyson, G.L.; El-Serag, H.B. Risk factors for cholangiocarcinoma. Hepatology 2011, 54, 173–184. [Google Scholar] [CrossRef] [PubMed]
- Gores, G.J. Cholangiocarcinoma: Current concepts and insights. Hepatology 2003, 37, 961–969. [Google Scholar] [CrossRef] [PubMed]
- Burak, K.; Angulo, P.; Pasha, T.M.; Egan, K.; Petz, J.; Lindor, K.D. Incidence and risk factors for cholangiocarcinoma in primary sclerosing cholangitis. Am. J. Gastroenterol. 2004, 99, 523–526. [Google Scholar] [CrossRef] [PubMed]
- Chan, J.F.; Tee, K.M.; Choi, G.K.; Zhu, Z.; Poon, R.W.; Ng, K.T.; Chanb, K.H.; Hungf, I.F.N.; Mane, K.; Yuen, K.Y. First detection and complete genome sequence of a phylogenetically distinct human polyomavirus 6 highly prevalent in human bile samples. J. Infect. 2017, 74, 50–59. [Google Scholar] [CrossRef]
- Gardner, S.D.; Field, A.M.; Coleman, D.V.; Hulme, B. New human papovavirus (B.K.) isolated from urine after renal transplantation. Lancet 1971, 1, 1253–1257. [Google Scholar] [CrossRef]
- Padgett, B.L.; Walker, D.L.; ZuRhein, G.M.; Eckroade, R.J.; Dessel, B.H. Cultivation of papova-like virus from human brain with progressive multifocal leucoencephalopathy. Lancet 1971, 1, 1257–1260. [Google Scholar] [CrossRef]
- DeCaprio, J.A.; Garcea, R.L. A cornucopia of human polyomaviruses. Nat. Rev. Microbiol. 2013, 11, 264–276. [Google Scholar] [CrossRef]
- Gheit, T.; Dutta, S.; Oliver, J.; Robitaille, A.; Hampras, S.S.; Combes, J.; Mckaychopin, S.; Le Calvezkelm, F.; Fenske, N.A.; Cherpelis, B.S.; et al. Isolation and characterization of a novel putative human polyomavirus. Virology 2017, 506, 45–54. [Google Scholar] [CrossRef]
- Bouvard, V.; Baan, R.; Grosse, Y.; Laubysecretan, B.; El Ghissassi, F.; Benbrahimtallaa, L.; Guha, N.; Straif, K. Carcinogenicity of malaria and of some polyomaviruses. Lancet Oncol. 2012, 13, 339–340. [Google Scholar] [CrossRef]
- Schowalter, R.M.; Pastrana, D.V.; Pumphrey, K.A.; Moyer, A.L.; Buck, C.B. Merkel cell polyomavirus and two previously unknown polyomaviruses are chronically shed from human skin. Cell Host Microbe 2010, 7, 509–515. [Google Scholar] [CrossRef]
- Feng, H.; Shuda, M.; Chang, Y.; Moore, P.S. Clonal integration of a polyomavirus in human Merkel cell carcinoma. Science 2008, 319, 1096–1100. [Google Scholar] [CrossRef] [PubMed]
- Jiang, M.; Abend, J.R.; Johnson, S.F.; Imperiale, M.J. The role of polyomaviruses in human disease. Virology 2009, 384, 266–273. [Google Scholar] [CrossRef]
- Dalianis, T.; Hirsch, H.H. Human polyomaviruses in disease and cancer. Virology 2013, 437, 63–72. [Google Scholar] [CrossRef] [PubMed]
- Federation of Dutch Medical Scientific Societies. Human Tissue and Medical Research: Code of Conduct for Responsible Use (2011); Federa: Rotterdam, The Netherlands, 2011. [Google Scholar]
- Rennspiess, D.; Pujari, S.; Keijzers, M.; Abdul-Hamid, M.A.; Hochstenbag, M.; Dingemans, A.M.; Kurz, A.K.; Speel, E.J.; Haugg, A.; Pastrana, D.V.; et al. Detection of Human Polyomavirus 7 in Human Thymic Epithelial Tumors. J. Thorac. Oncol. 2015, 10, 360–366. [Google Scholar] [CrossRef] [PubMed]
- van Dongen, J.J.; Langerak, A.W.; Bruggemann, M.; Evans, P.A.; Hummel, M.; Lavender, F.L.; Delabesse, E.; Davi, F.; Schuuring, E.; Garcia-Sanz, R.; et al. Design and standardization of PCR primers and protocols for detection of clonal immunoglobulin and T-cell receptor gene recombinations in suspect lymphoproliferations: Report of the BIOMED-2 Concerted Action BMH4-CT98-3936. Leukemia 2003, 17, 2257–2317. [Google Scholar] [CrossRef] [PubMed]
- Haugg, A.M.; Rennspiess, D.; Hausen, A.Z.; Speel, E.J.; Cathomas, G.; Becker, J.C.; Schrama, D. Fluorescence in situ hybridization and qPCR to detect Merkel cell polyomavirus physical status and load in Merkel cell carcinomas. Int. J. Cancer 2014. [Google Scholar] [CrossRef] [PubMed]
- Beckervordersandforth, J.; Pujari, S.; Rennspiess, D.; Speel, E.J.; Winnepenninckx, V.; Diaz, C.; Weyers, W.; Haugg, A.M.; Kurz, A.K.; Zur Hausen, A. Frequent detection of human polyomavirus 6 in keratoacanthomas. Diagn. Pathol. 2016, 11, 58. [Google Scholar] [CrossRef]
- Hopman, A.H.; Kamps, M.A.; Smedts, F.; Speel, E.J.; Herrington, C.S.; Ramaekers, F.C. HPV in situ hybridization: Impact of different protocols on the detection of integrated HPV. Int. J. Cancer 2005, 115, 419–428. [Google Scholar] [CrossRef]
- Hafkamp, H.C.; Manni, J.J.; Haesevoets, A.; Voogd, A.C.; Schepers, M.; Bot, F.J.; Hopman, A.H.; Ramaekers, F.C.; Speel, E.J. Marked differences in survival rate between smokers and nonsmokers with HPV 16-associated tonsillar carcinomas. Int. J. Cancer 2008, 122, 2656–2664. [Google Scholar] [CrossRef]
- Anderson, C.M.; Zhang, B.; Miller, M.; Butko, E.; Wu, X.; Laver, T.; Kernag, C.; Kim, J.; Luo, Y.; Lamparski, H.; et al. Fully Automated RNAscope In Situ Hybridization Assays for Formalin-Fixed Paraffin-Embedded Cells and Tissues. J. Cell. Biochem. 2016, 117, 2201–2208. [Google Scholar] [CrossRef]
- Buck, C.B. Antibodies Used by the Buck Lab; NCI: Bethesda, MD, USA, 2019. [Google Scholar]
- Moshiri, A.S.; Doumani, R.; Yelistratova, L.; Blom, A.; Lachance, K.; Shinohara, M.M.; Delaney, M.; Chang, O.; McArdle, S.; Thomas, H.; et al. Polyomavirus-Negative Merkel Cell Carcinoma: A More Aggressive Subtype Based on Analysis of 282 Cases Using Multimodal Tumor Virus Detection. J. Investig. Dermatol. 2017, 137, 819–827. [Google Scholar] [CrossRef] [PubMed]
- Hillen, L.M.; Rennspiess, D.; Speel, E.J.; Haugg, A.M.; Winnepenninckx, V.; Zur Hausen, A. Detection of Merkel Cell Polyomavirus in Seborrheic Keratosis. Front. Microbiol. 2017, 8, 2648. [Google Scholar] [CrossRef] [PubMed]
- Kuhn, M. Building Predictive Models in R Using the caret Package. J. Stat. Softw. 2008, 28, 1–26. [Google Scholar] [CrossRef]
- Harrell, F.E., Jr. Package ‘rms’; Vanderbilt University: Nashville, TN, USA, 2018; Volume 2018, p. 229. [Google Scholar]
- Kassem, A.; Schopflin, A.; Diaz, C.; Weyers, W.; Stickeler, E.; Werner, M.; Hausen, A.Z. Frequent detection of Merkel cell polyomavirus in human Merkel cell carcinomas and identification of a unique deletion in the VP1 gene. Cancer Res. 2008, 68, 5009–5013. [Google Scholar] [CrossRef]
- Duncavage, E.J.; Pfeifer, J.D. Human polyomaviruses 6 and 7 are not detectable in Merkel cell polyomavirus-negative Merkel cell carcinoma. J. Cutan. Pathol. 2011, 38, 790–796. [Google Scholar] [CrossRef]
- Nicol, J.T.J.; Robinot, R.; Carpentier, A.; Carandina, G.; Mazzoni, E.; Tognon, M.; Touze, A.; Coursaget, P. Age-specific seroprevalences of merkel cell polyomavirus, human polyomaviruses 6, 7, and 9, and trichodysplasia spinulosa-associated polyomavirus. Clin. Vaccine Immunol. 2013, 20, 363–368. [Google Scholar] [CrossRef]
- Sroller, V.; Hamsikova, E.; Ludvikova, V.; Musil, J.; Nemeckova, S.; Salakova, M. Seroprevalence rates of HPyV6, HPyV7, TSPyV, HPyV9, MWPyV and KIPyV polyomaviruses among the healthy blood donors. J. Med. Virol. 2016, 88, 1254–1261. [Google Scholar] [CrossRef]
- Van der Meijden, E.; Bialasiewicz, S.; Rockett, R.J.; Tozer, S.J.; Sloots, T.P.; Feltkamp, M.C. Different serologic behavior of MCPyV, TSPyV, HPyV6, HPyV7 and HPyV9 polyomaviruses found on the skin. PLoS ONE 2013, 8, e81078. [Google Scholar] [CrossRef]
- Kamminga, S.; van der Meijden, E.; Wunderink, H.F.; Touze, A.; Zaaijer, H.L.; Feltkamp, M.C.W. Development and Evaluation of a Broad Bead-Based Multiplex Immunoassay To Measure IgG Seroreactivity against Human Polyomaviruses. J. Clin. Microbiol. 2018, 56. [Google Scholar] [CrossRef]
- Kamminga, S.; Meijden, E.; Brouwer, C.; Feltkamp, M.; Zaaijer, H. Prevalence of DNA of fourteen human polyomaviruses determined in blood donors. Transfusion 2019, 59, 3689–3697. [Google Scholar] [CrossRef]
- Banales, J.M.; Marin, J.J.G.; Lamarca, A.; Rodrigues, P.M.; Khan, S.A.; Roberts, L.R.; Cardinale, V.; Carpino, G.; Andersen, J.B.; Braconi, C.; et al. Cholangiocarcinoma 2020: The next horizon in mechanisms and management. Nat. Rev. Gastroenterol. Hepatol. 2020. [Google Scholar] [CrossRef]
- Komuta, M.; Govaere, O.; Vandecaveye, V.; Akiba, J.; van Steenbergen, W.; Verslype, C.; Laleman, W.; Pirenne, J.; Aerts, R.; Yano, H.; et al. Histological diversity in cholangiocellular carcinoma reflects the different cholangiocyte phenotypes. Hepatology 2012, 55, 1876–1888. [Google Scholar] [CrossRef] [PubMed]
- Loyo, M.; Guerreropreston, R.; Brait, M.; Hoque, M.O.; Chuang, A.; Kim, M.S.; Sharma, R.; Liegeois, N.J.; Koch, W.M.; Califano, J.A.; et al. Quantitative detection of Merkel cell virus in human tissues and possible mode of transmission. Int. J. Cancer 2010, 126, 2991–2996. [Google Scholar] [CrossRef]
- Korup, S.; Rietscher, J.; Calvignac-Spencer, S.; Trusch, F.; Hofmann, J.; Moens, U.; Sauer, I.; Voigt, S.; Schmuck, R. Bernhard Ehlers Identification of a novel human polyomavirus in organs of the gastrointestinal tract. PLoS ONE 2013, 8, e58021. [Google Scholar] [CrossRef] [PubMed]
- van Beek, J.; Zur Hausen, A.; Klein Kranenbarg, E.; van de Velde, C.J.; Middeldorp, J.M.; van den Brule, A.J.; Meijer, C.J.; Bloemena, E. EBV-positive gastric adenocarcinomas: A distinct clinicopathologic entity with a low frequency of lymph node involvement. J. Clin. Oncol. Off. J. Am. Soc. Clin. Oncol. 2004, 22, 664–670. [Google Scholar] [CrossRef] [PubMed]
- Reimers, N.; Kasper, H.U.; Weissenborn, S.J.; Stützer, H.; Preuss, S.F.; Hoffmann, T.K.; Speel, E.J.; Dienes, H.P.; Pfister, H.J.; Guntinas-Lichius, O.; et al. Combined analysis of HPV-DNA, p16 and EGFR expression to predict prognosis in oropharyngeal cancer. Int. J. Cancer 2007, 120, 1731–1738. [Google Scholar] [CrossRef]
- Rozenblatt-Rosen, O.; Deo, R.C.; Padi, M.; Adelmant, G.; Calderwood, M.A.; Rolland, T.; Grace, M.; Dricot, A.; Askenazi, M.; Tavares, M.; et al. Interpreting cancer genomes using systematic host network perturbations by tumour virus proteins. Nature 2012, 487, 491–495. [Google Scholar] [CrossRef]
- Shuda, M.; Feng, H.; Kwun, H.J.; Rosen, S.T.; Gjoerup, O.; Moore, P.S.; Chang, Y. T antigen mutations are a human tumor-specific signature for Merkel cell polyomavirus. Proc. Natl. Acad. Sci. USA 2008, 105, 16272–16277. [Google Scholar] [CrossRef]





| Patient ID. | Gender | Age | Diagnosis | Clinical Stage | Degenerated PCR | HPyV7 | HPyV6 | MCPyV | Result | |||
|---|---|---|---|---|---|---|---|---|---|---|---|---|
| LTAg | sTAg | sTAg | M1/M2 | VP1 | LT3 | |||||||
| CCA1 | F | 67 | iCCA | II | HPyV7 | + | + | − | + | + | + | HPyV7/MCPyV |
| CCA2 | M | 59 | iCCA | II | − | − | − | + | − | − | − | HPyV6 |
| CCA3 | F | 68 | iCCA | I | − | − | − | − | − | − | − | − |
| CCA4 | F | 29 | iCCA | III | − | − | − | + | − | − | − | HPyV6 |
| CCA6 | M | 74 | iCCA | I | MCPyV | + | + | − | − | − | − | HPyV7/MCPyV |
| CCA7 | M | 64 | pCCA | I | MCPyV | − | − | − | − | − | + | MCPyV |
| CCA8 | F | 64 | pCCA | III | HPyV7 | + | − | − | − | − | − | HPyV7 |
| CCA9 | M | 45 | pCCA | I | MCPyV | − | − | − | + | − | − | MCPyV |
| CCA11 | F | 50 | dCCA | II | HPyV7 | + | − | − | − | − | − | HPyV7 |
| CCA12 | M | 70 | iCCA | II | HPyV7 | + | + | − | − | − | − | HPyV7 |
| CCA13 | M | 69 | iCCA | I | HPyV7 | + | − | − | − | − | − | HPyV7 |
| CCA14 | M | 70 | iCCA | I | HPyV7 | + | + | − | − | − | − | HPyV7 |
| CCA15 | F | 71 | iCCA | I | HPyV7 | + | − | + | − | − | − | HPyV6/HPyV7 |
| CCA16 | F | 64 | iCCA | II | − | − | − | − | − | − | − | − |
| CCA17 | M | 59 | pCCA | III | HPyV7 | + | − | − | − | − | − | HPyV7 |
| CCA19 | M | 69 | iCCA | I | HPyV7 | + | + | − | + | − | + | HPyV7/MCPyV |
| CCA20 | M | 71 | iCCA | II | HPyV7 | + | + | − | − | − | − | HPyV7 |
| CCA21 | F | 63 | iCCA | III | HPyV7 | + | − | − | − | − | − | HPyV7 |
| CCA22 | M | 61 | iCCA | I | HPyV7 | + | − | − | − | − | − | HPyV7 |
| CCA23 | M | 63 | iCCA | I | NA | + | − | − | − | − | − | HPyV7 |
| CCA24 | M | 73 | iCCA | I | NA | + | − | − | + | − | − | MCPyV/HPyV7 |
| CCA25 | F | 74 | iCCA | II | NA | − | − | + | − | − | − | HPyV6 |
| CCA26 | F | 60 | iCCA | II | NA | + | + | − | − | − | − | HPyV7 |
| CCA27 | M | 75 | iCCA | I | NA | + | − | − | + | − | − | MCPyV/HPyV7 |
| CCA28 | M | 50 | pCCA | I | NA | + | − | − | − | − | − | HPyV7 |
| CCA29 | F | 45 | iCCA | I | NA | − | − | − | − | − | − | − |
| CCA30 | F | 66 | pCCA | I | NA | − | + | − | − | − | − | HPyV7 |
| CCA31 | F | 74 | iCCA | III | NA | + | + | − | − | − | − | HPyV7 |
| CCA32 | F | 77 | iCCA | I | NA | + | − | − | + | − | − | MCPyV/HPyV7 |
| CCA33 | M | 77 | iCCA | IV | NA | + | − | − | − | + | − | MCPyV/HPyV7 |
| CCA34 | M | 77 | pCCA | I | NA | − | − | + | − | − | − | HPyV6 |
| CCA35 | M | 59 | pCCA | IV | NA | − | + | − | − | − | − | HPyV7 |
| CCA36 | M | 72 | pCCA | II | NA | + | − | − | − | − | − | HPyV7 |
| CCA37 | M | 60 | iCCA | I | NA | − | + | + | − | − | − | HPyV7/HPyV6 |
| CCA38 | F | 85 | iCCA | I | NA | − | − | − | − | − | − | − |
| CCA39 | M | 52 | iCCA | II | NA | + | − | − | − | − | − | HPyV7 |
| CCA40 | M | 63 | iCCA | II | NA | − | − | − | − | − | − | − |
| CCA41 | M | 78 | pCCA | I | NA | − | − | − | − | − | − | − |
| CCA42 | F | 72 | iCCA | I | NA | + | − | − | − | − | − | HPyV7 |
| CCA43 | F | 74 | iCCA | I | NA | + | − | − | + | − | − | MCPyV/HPyV7 |
| CCA44 | M | 60 | iCCA | III | NA | − | − | − | − | − | − | − |
| CCA45 | M | 66 | pCCA | I | NA | + | − | − | − | − | − | HPyV7 |
| Results | F:17 M:25 | iCCA:30 pCCA:11 dCCA:1 | HPyV7:12 MCPyV:3 | 26/42 | 11/42 | 6/42 | 7/42 | 2/42 | 3/42 | HPyV7:29 HPyV6: 6 MCPyV:10 | ||
| Patient ID | HPyV7 | HPyV6 | MCPyV | Result | ||||||
|---|---|---|---|---|---|---|---|---|---|---|
| FISH | IHC | FISH | RNA-Ish | IHC | FISH | IHC | ||||
| Hepatocyte | Bile Duct Epithelium | CCA | ||||||||
| CCA1 | ++ | +++ | ++ | ++ | − | NA | +++ | + | + | HPyV7 MCPyV |
| CCA2 | − | − | − | − | + | + | ++ | − | NA | HPyV6 |
| CCA4 | − | NA | NA | NA | + | NA | +++ | NA | NA | HPyV6 |
| CCA6 | − | + | ++ | − | − | NA | ++ | + | ++ | HPyV7 MCPyV |
| CCA7 | NA | − | − | − | − | − | +++ | ++ | +++ | MCPyV |
| CCA8 | − | + | + | +++ | − | − | ++ | NA | NA | HPyV7 |
| CCA9 | − | − | − | − | − | NA | +++ | − | ++ | MCPyV |
| CCA11 | − | ++ | ++ | +++ | − | NA | NA | NA | − | HPyV7 |
| CCA12 | − | + | ++ | + | − | NA | NA | NA | NA | HPyV7 |
| CCA13 | NA | − | − | + | NA | NA | NA | NA | NA | HPyV7 |
| CCA14 | + | +++ | + | − | NA | − | +++ | NA | NA | HPyV7 |
| CCA15 | + | +++ | + | +++ | ++ | + | +++ | NA | NA | HPyV6 HPyV7 |
| CCA16 | NA | − | − | − | NA | NA | − | − | NA | − |
| CCA17 | NA | + | + | − | NA | NA | + | NA | NA | HPyV7 |
| CCA19 | NA | + | + | + | NA | NA | − | + | + | HPyV7 MCPyV |
| CCA20 | NA | + | + | + | NA | NA | + | NA | NA | HPyV7 |
| CCA21 | + | + | + | + | − | NA | + | NA | NA | HPyV7 |
| Total | 4/11 | 11/16 | 11/16 | 9/16 | 3/11 | 2/5 | 12/14 | 4/7 | 5/6 | |
| Variable | Hazards Ratio | p-Value |
|---|---|---|
| Sex | 0.617888 | 0.521 |
| Age | 1.004683 | 0.893 |
| Subtype | 2.639623 | 0.174 |
| Stage | 0.761135 | 0.551 |
| HPyV7 | 0.741641 | 0.726 |
| HPyV6 | 2.293245 | 0.366 |
| MCPyV | 1.057001 | 0.953 |
© 2020 by the authors. Licensee MDPI, Basel, Switzerland. This article is an open access article distributed under the terms and conditions of the Creative Commons Attribution (CC BY) license (http://creativecommons.org/licenses/by/4.0/).
Share and Cite
Klufah, F.; Mobaraki, G.; Chteinberg, E.; Alharbi, R.A.; Winnepenninckx, V.; Speel, E.J.M.; Rennspiess, D.; Olde Damink, S.W.; Neumann, U.P.; Kurz, A.K.; et al. High Prevalence of Human Polyomavirus 7 in Cholangiocarcinomas and Adjacent Peritumoral Hepatocytes: Preliminary Findings. Microorganisms 2020, 8, 1125. https://doi.org/10.3390/microorganisms8081125
Klufah F, Mobaraki G, Chteinberg E, Alharbi RA, Winnepenninckx V, Speel EJM, Rennspiess D, Olde Damink SW, Neumann UP, Kurz AK, et al. High Prevalence of Human Polyomavirus 7 in Cholangiocarcinomas and Adjacent Peritumoral Hepatocytes: Preliminary Findings. Microorganisms. 2020; 8(8):1125. https://doi.org/10.3390/microorganisms8081125
Chicago/Turabian StyleKlufah, Faisal, Ghalib Mobaraki, Emil Chteinberg, Raed A. Alharbi, Véronique Winnepenninckx, Ernst Jan M. Speel, Dorit Rennspiess, Steven W. Olde Damink, Ulf P. Neumann, Anna Kordelia Kurz, and et al. 2020. "High Prevalence of Human Polyomavirus 7 in Cholangiocarcinomas and Adjacent Peritumoral Hepatocytes: Preliminary Findings" Microorganisms 8, no. 8: 1125. https://doi.org/10.3390/microorganisms8081125
APA StyleKlufah, F., Mobaraki, G., Chteinberg, E., Alharbi, R. A., Winnepenninckx, V., Speel, E. J. M., Rennspiess, D., Olde Damink, S. W., Neumann, U. P., Kurz, A. K., Samarska, I., & zur Hausen, A. (2020). High Prevalence of Human Polyomavirus 7 in Cholangiocarcinomas and Adjacent Peritumoral Hepatocytes: Preliminary Findings. Microorganisms, 8(8), 1125. https://doi.org/10.3390/microorganisms8081125

