Identification by MALDI-TOF MS of Sporothrix brasiliensis Isolated from a Subconjunctival Infiltrative Lesion in an Immunocompetent Patient
Abstract
1. Introduction
2. Materials and Methods
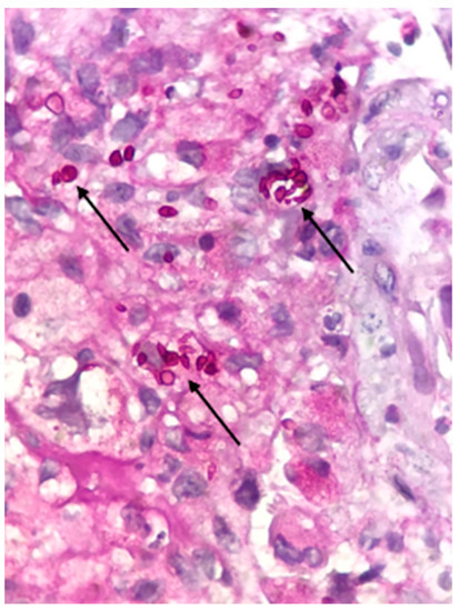
2.1. Case Report
2.2. Etiological Agent and Taxonomy
2.3. In Vitro Susceptibility Testing
2.4. Ethics Statement
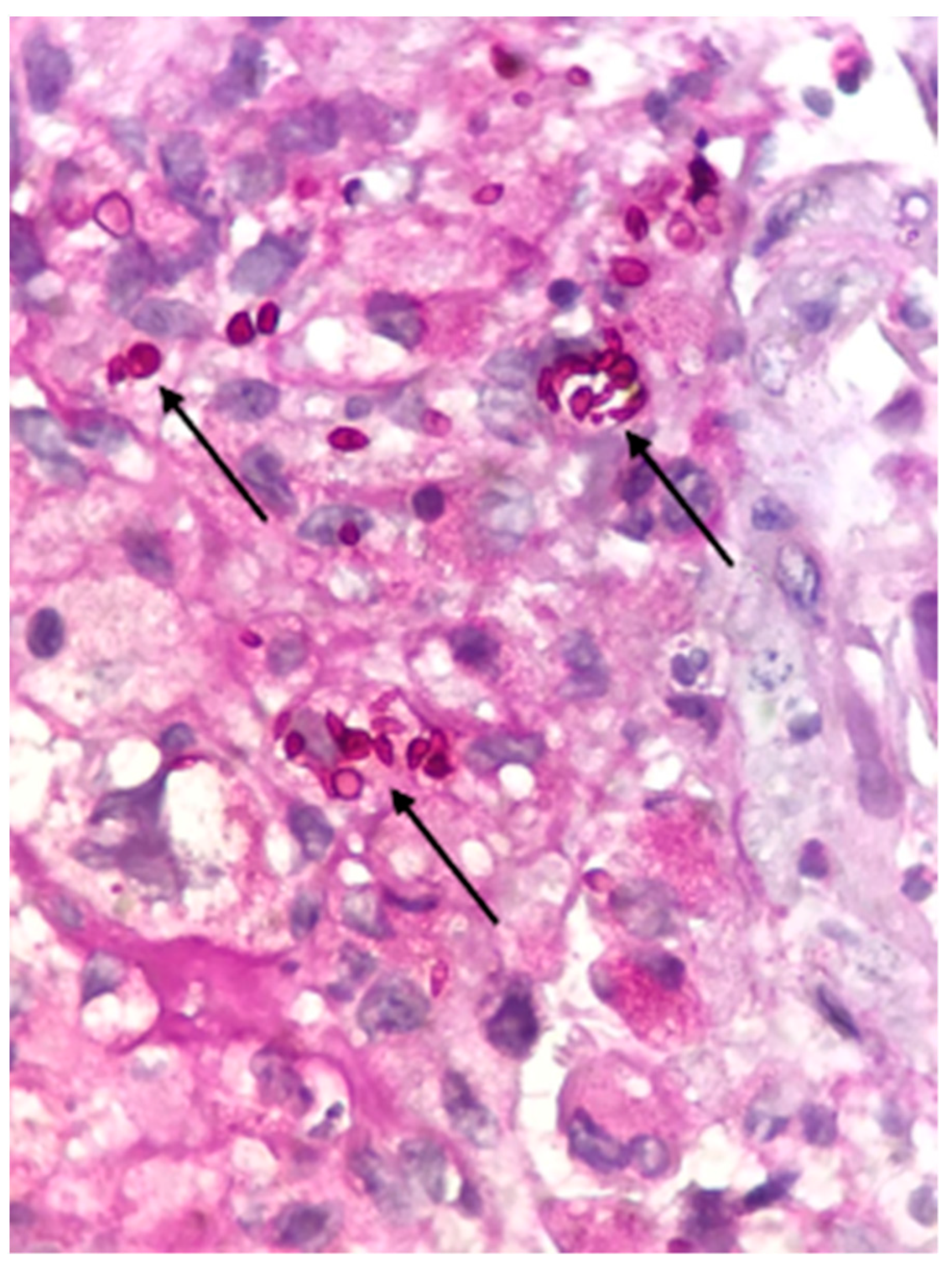
3. Results
4. Discussion
5. Conclusions
Author Contributions
Funding
Conflicts of Interest
References
- Marimon, R.; Cano, J.; Gené, J.; Sutton, D.A.; Kawasaki, M.; Guarro, J. Sporothrix brasiliensis, S. globosa, and S. mexicana, three new Sporothrix species of clinical interest. J. Clin. Microbiol. 2007, 45, 3198–3206. [Google Scholar] [CrossRef] [PubMed]
- Zhang, Y.; Hagen, F.; Stielow, B.; Rodrigues, A.M.; Samerpitak, K.; Zhou, X.; Feng, P.; Yang, L.; Chen, M.; Deng, S.; et al. Phylogeography and evolutionary patterns in Sporothrix spanning more than 14,000 human and animal case reports. Persoonia 2015, 35, 1–20. [Google Scholar] [CrossRef] [PubMed]
- Boechat, J.S.; Oliveira, M.M.E.; Almeida-Paes, R.; Gremião, I.D.F.; Machado, A.C.S.; Oliveira, R.V.C.; Figueiredo, A.B.F.; Rabello, V.B.S.; Silva, K.B.L.; Zancopé-Oliveira, R.M.; et al. Feline sporotrichosis: Associations between clinical-epidemiological profiles and phenotypic-genotypic characteristics of the etiological agents in the Rio de Janeiro epizootic area. Mem. Inst. Oswaldo Cruz 2018, 113, 185–196. [Google Scholar] [CrossRef] [PubMed]
- Biancardi, A.L.; Freitas, D.F.; Valviesse, V.R.; Andrade, H.B.; de Oliveira, M.M.; do Valle, A.C.; Zancope-Oliveira, R.M.; Galhardo, M.C.; Curi, A.L. Multifocal choroiditis in disseminated sporotrichosis in patients with HIV/AIDS. Retin. Cases Brief Rep. 2017, 11, 67–70. [Google Scholar] [CrossRef] [PubMed]
- Chakrabarti, A.; Bonifaz, A.; Gutierrez-Galhardo, M.C.; Mochizuki, T.; Li, S. Global epidemiology of sporotrichosis. Med. Mycol. 2015, 53, 3–14. [Google Scholar] [CrossRef] [PubMed]
- Ramírez Soto, M.C. Sporotrichosis in the Ocular Adnexa: 21 Cases in an Endemic Area in Peru and Review of the Literature. Am. J. Ophthalmol. 2016, 162, 173–179.e3. [Google Scholar] [CrossRef]
- Hampton, D.E.; Adesina, A.; Chodosh, J. Conjunctival sporotrichosis in the absence of antecedent trauma. Cornea 2002, 21, 831–833. [Google Scholar] [CrossRef]
- Iyengar, S.S.; Khan, J.A.; Brusco, M.; FitzSimmons, C.J. Cutaneous Sporothrix schenckii of the human eyelid. Ophthalmic Plast. Reconstr. Surg. 2010, 26, 305–306. [Google Scholar] [CrossRef]
- Schubach, A.; de Lima Barros, M.B.; Schubach, T.M.; Francesconi-do-Valle, A.C.; Gutierrez-Galhardo, M.C.; Sued, M.; de Matos Salgueiro, M.; Fialho-Monteiro, P.C.; Reis, R.S.; Marzochi, K.B.; et al. Primary conjunctival sporotrichosis: Two cases from a zoonotic epidemic in Rio de Janeiro, Brazil. Cornea 2005, 24, 491–493. [Google Scholar] [CrossRef]
- Fan, B.; Wang, J.F.; Zheng, B.; Qi, X.Z.; Song, J.Y.; Li, G.Y. Clinical features of 10 cases of eyelid sporotrichosis in Jilin Province (Northeast China). Can. J. Ophthalmol. 2016, 51, 297–301. [Google Scholar] [CrossRef]
- Ramírez Soto, M.C. Differences in clinical ocular outcomes between exogenous and endogenous endophthalmitis caused by Sporothrix: A systematic review of published literature. Br. J. Ophthalmol. 2018, 102, 977–982. [Google Scholar] [CrossRef] [PubMed]
- Kashima, T.; Honma, R.; Kishi, S.; Hirato, J. Bulbar conjunctival sporotrichosis presenting as a salmon-pink tumor. Cornea 2010, 29, 573–576. [Google Scholar] [CrossRef] [PubMed]
- Gremião, I.D.; Miranda, L.H.; Reis, E.G.; Rodrigues, A.M.; Pereira, S.A. Zoonotic Epidemic of Sporotrichosis: Cat to Human Transmission. PLoS Pathog. 2017, 13, e1006077. [Google Scholar] [CrossRef] [PubMed]
- Freitas, D.F.; Valle, A.C.; da Silva, M.B.; Campos, D.P.; Lyra, M.R.; de Souza, R.V.; Veloso, V.G.; Zancopé-Oliveira, R.M.; Bastos, F.I.; Galhardo, M.C. Sporotrichosis: An emerging neglected opportunistic infection in HIV-infected patients in Rio de Janeiro, Brazil. PLoS Negl. Trop. Dis. 2014, 8, e3110. [Google Scholar] [CrossRef] [PubMed]
- Yamagata, J.P.M.; Rudolph, F.B.; Nobre, M.C.L.; Nascimento, L.V.; Sampaio, F.M.S.; Arinelli, A.; Freitas, D.F. Ocular sporotrichosis: A frequently misdiagnosed cause of granulomatous conjunctivitis in epidemic areas. Am. J. Ophthalmol. Case Rep. 2017, 8, 35–38. [Google Scholar] [CrossRef] [PubMed]
- Oliveira, M.M.; Santos, C.; Sampaio, P.; Romeo, O.; Almeida-Paes, R.; Pais, C.; Lima, N.; Zancopé-Oliveira, R.M. Development and optimization of a new MALDI-TOF protocol for identification of the Sporothrix species complex. Res. Microbiol. 2015, 166, 102–110. [Google Scholar] [CrossRef]
- Santos, C.; Lima, N.; Sampaio, P.; Pais, C. Matrix-assisted laser desorption/ionization time-of-flight intact cell mass spectrometry to detect emerging pathogenic Candida species. Diagn. Microbiol. Infect. Dis. 2011, 71, 304–308. [Google Scholar] [CrossRef]
- Lima, M.S.; Lucas, R.C.; Lima, N.; Polizeli, M.L.T.M.; Santos, C. Fungal Community Ecology Using MALDI-TOF MS Demands Curated Mass Spectral Databases. Front. Microbiol. 2019, 315, 1–4. [Google Scholar] [CrossRef]
- Santos, C.; Paterson, R.R.; Venâncio, A.; Lima, N. Filamentous fungal characterizations by matrix-assisted laser desorption/ionization time-of-flight mass spectrometry. J. Appl. Microbiol. 2010, 108, 375–385. [Google Scholar] [CrossRef]
- Pereira, L.; Dias, N.; Santos, C.; Lima, N. The use of MALDI-TOF ICMS as an alternative tool for Trichophyton rubrum identification and typing. Enferm. Infecc. Microbiol. Clin. 2014, 32, 11–17. [Google Scholar] [CrossRef]
- Lima, N.; Santos, C. MALDI-TOF MS for identification of food spoilage filamentous fungi. Curr. Opin. Food Sci. 2017, 13, 26–30. [Google Scholar] [CrossRef]
- Flórez-Muñoz, S.V.; Gómez-Velásquez, J.C.; Loaiza-Díaz, N.; Soares, C.; Santos, C.; Lima, N.; Mesa-Arango, A.C. ITS rDNA gene analysis versus MALDI-TOF MS for identification of Neoscytalidium dimidiatum isolated from onychomycosis and dermatomycosis cases in Medellin (Colombia). Microorganisms 2019, 7, 306. [Google Scholar] [CrossRef] [PubMed]
- Oliveira, M.M.; Almeida-Paes, R.; Muniz, M.M.; Gutierrez-Galhardo, M.C.; Zancope-Oliveira, R.M. Phenotypic and molecular identification of Sporothrix isolates from an epidemic area of sporotrichosis in Brazil. Mycopathologia 2011, 172, 257–267. [Google Scholar] [CrossRef] [PubMed]
- Clinical and Laboratory Standards Institute. Reference Method for Broth Dilution Antifungal Susceptibility Testing of Filamentous Fungi, 2nd ed.; Approved Standard M38-A2; Clinical and Laboratory Standards Institute: Wayne, PA, USA, 2008. [Google Scholar]
- Espinel-Ingroff, A.; Abreu, D.P.B.; Almeida-Paes, R.; Brilhante, R.S.N.; Chakrabarti, A.; Chowdhary, A.; Hagen, F.; Córdoba, S.; Gonzalez, G.M.; Govender, N.P.; et al. Multicenter, International Study of MIC/MEC Distributions for Definition of Epidemiological Cutoff Values for Sporothrix Species Identified by Molecular Methods. Antimicrob. Agents Chemother. 2017, 61. [Google Scholar] [CrossRef]
- Zhang, Y.; Wang, Y.; Cong, L.; Yang, H.; Cong, X. Eyelid sporotrichosis: Unique clinical findings in 72 patients. Australas J. Dermatol. 2016, 57, 44–47. [Google Scholar] [CrossRef]
- Curi, A.L.; Félix, S.; Azevedo, K.M.; Estrela, R.; Villar, E.G.; Saraça, G. Retinal granuloma caused by Sporothrix schenckii. Am. J. Ophthalmol. 2003, 136, 205–207. [Google Scholar] [CrossRef]
- Font, R.L.; Jakobiec, F.A. Granulomatous necrotizing retinochoroiditis caused by Sporotrichum schenkii. Report of a case including immunofluorescence and electron microscopical studies. Arch. Ophthalmol. 1976, 94, 1513–1519. [Google Scholar] [CrossRef]
- Morrison, A.S.; Lockhart, S.R.; Bromley, J.G.; Kim, J.Y.; Burd, E.M. An environmental Sporothrix as a cause of corneal ulcer. Med. Mycol. Case Rep. 2013, 2, 88–90. [Google Scholar] [CrossRef]
- Silva-Vergara, M.L.; de Camargo, Z.P.; Silva, P.F.; Abdalla, M.R.; Sgarbieri, R.N.; Rodrigues, A.M.; dos Santos, K.C.; Barata, C.H.; Ferreira-Paim, K. Disseminated Sporothrix brasiliensis infection with endocardial and ocular involvement in an HIV-infected patient. Am. J. Trop. Med. Hyg. 2012, 86, 477–480. [Google Scholar] [CrossRef]
- de Macedo, P.M.; Sztajnbok, D.C.; Camargo, Z.P.; Rodrigues, A.M.; Lopes-Bezerra, L.M.; Bernardes-Engemann, A.R.; Orofino-Costa, R. Dacryocystitis due to Sporothrix brasiliensis: A case report of a successful clinical and serological outcome with low-dose potassium iodide treatment and oculoplastic surgery. Br. J. Dermatol. 2015, 172, 1116–1119. [Google Scholar] [CrossRef]
- Lacerda Filho, A.M.; Cavalcante, C.M.; Da Silva, A.B.; Inácio, C.P.; de Lima-Neto, R.G.; de Andrade, M.C.L.; Magalhães, O.M.C.; Dos Santos, F.A.G.; Neves, R.P. High-Virulence Cat-Transmitted Ocular Sporotrichosis. Mycopathologia 2019, 184, 547–549. [Google Scholar] [CrossRef] [PubMed]
- Negroni, R.; Maiolo, E.; Arechavala, A.; Santiso, G.; Bianchi, M.H. Clinical cases in Medical Mycology: Case no. 25. Rev. Iberoam. Micol. 2007, 24, 79–81. [Google Scholar] [CrossRef]
- Inokuma, D.; Shibaki, A.; Shimizu, H. Two cases of cutaneous sporotrichosis in continental/microthermal climate zone: Global warming alert? Clin. Exp. Dermatol. 2010, 35, 668–669. [Google Scholar] [CrossRef] [PubMed]
- Ferreira, C.P.; Nery, J.A.; de Almeida, A.C.; Ferreira, L.C.; Corte-Real, S.; Conceição-Silva, F. Parinaud’s oculoglandular syndrome associated with Sporothrix schenckii. IDCases 2014, 1, 38–39. [Google Scholar] [CrossRef]
- Freitas, D.F.; Lima, I.A.; Curi, C.L.; Jordão, L.; Zancopé-Oliveira, R.M.; Valle, A.C.; Galhardo, M.C.; Curi, A.L. Acute dacryocystitis: Another clinical manifestation of sporotrichosis. Mem. Inst. Oswaldo Cruz 2014, 109, 262–264. [Google Scholar] [CrossRef][Green Version]
- Zhang, Y.; Pyla, V. Palpebral sporotrichosis. Int. J. Dermatol. 2014, 53, e356–e357. [Google Scholar] [CrossRef]
- Ling, J.L.L.; Koh, K.L.; Tai, E.; Sakinah, Z.; Nor Sharina, Y.; Hussein, A. A Case of Acute Granulomatous Conjunctivitis Caused by Cat-transmitted Sporothrix schenckii. Cureus 2018, 10, e3428. [Google Scholar] [CrossRef]
- Arinelli, A.; Aleixo, A.L.Q.D.; Freitas, D.F.S.; do Valle, A.C.F.; Almeida-Paes, R.; Gutierrez-Galhardo, M.C.; Curi, A.L.L. Ocular Sporotrichosis: 26 Cases with Bulbar Involvement in a Hyperendemic Area of Zoonotic Transmission. Ocul. Immunol. Inflamm. 2019, 14, 1–8. [Google Scholar] [CrossRef]
- Silva, M.B.; Costa, M.M.; Torres, C.C.; Galhardo, M.C.; Valle, A.C.; Magalhães, M.E.A.; Sabroza, P.C.; Oliveira, R.M. Urban sporotrichosis: A neglected epidemic in Rio de Janeiro, Brazil. Cad. Saude Publica 2012, 28, 1867–1880. [Google Scholar] [CrossRef]
- Dias, N.M.; Oliveira, M.M.; Santos, C.; Zancope-Oliveira, R.M.; Lima, N. Sporotrichosis caused by Sporothrix mexicana, Portugal. Emerg. Infect. Dis. 2011, 17, 1975–1976. [Google Scholar] [CrossRef]
- Rodrigues, A.M.; Cruz Choappa, R.; Fernandes, G.F.; de Hoog, G.S.; de Camargo, Z.P. Sporothrix chilensis sp. nov. (Ascomycota: Ophiostomatales), a soil-borne agent of human sporotrichosis with mild-pathogenic potential to mammals. Fungal Biol. 2016, 120, 246–264. [Google Scholar] [CrossRef] [PubMed]
- Rodrigues, A.M.; de Hoog, S.; de Camargo, Z.P. Emergence of pathogenicity in the Sporothrix schenckii complex. Med. Mycol. 2013, 51, 405–412. [Google Scholar] [CrossRef] [PubMed]
- Oliveira, M.M.; Maifrede, S.B.; Ribeiro, M.A.; Zancope-Oliveira, R.M. Molecular identification of Sporothrix species involved in the first familial outbreak of sporotrichosis in the state of Espírito Santo, southeastern Brazil. Mem. Inst. Oswaldo Cruz 2013, 108, 936–938. [Google Scholar] [CrossRef] [PubMed]
- Rodrigues, A.M.; de Melo Teixeira, M.; de Hoog, G.S.; Schubach, T.M.; Pereira, S.A.; Fernandes, G.F.; Bezerra, L.M.; Felipe, M.S.; de Camargo, Z.P. Phylogenetic analysis reveals a high prevalence of Sporothrix brasiliensis in feline sporotrichosis outbreaks. PLoS Negl. Trop. Dis. 2013, 7, e2281. [Google Scholar] [CrossRef]





| Authors | Cases (n) | Identification Method | Species | References |
|---|---|---|---|---|
| Negroni et al., 2007 | 1 | Culture and Histopathology | Sporothrix spp. | [33] |
| Inokuma, et al., 2010 | 1 | Culture, Histopathology and Serology | Sporothrix spp. | [34] |
| Iyengar et al., 2010 | 1 | Culture | Sporothrix spp. | [8] |
| Kashima et al., 2010 | 1 | Histopathology and Serology | Sporothrix spp. | [12] |
| Silva-Vergara et al., 2012 | 1 | Culture and Molecular | S. brasiliensis | [30] |
| Morrison et al., 2013 | 1 | Culture and Molecular | S. pallida | [22] |
| Ferreira et al., 2014 | 1 | Culture | Sporothrix spp. | [35] |
| Freitas et al., 2014 | 4 | Culture | Sporothrix spp. | [36] |
| Zhang et al., 2014 | 1 | Culture | Sporothrix spp. | [37] |
| de Macedo et al., 2015 | 1 | Culture and Molecular | S. brasiliensis | [31] |
| Fan et al., 2016 | 10 | Culture | Sporothrix spp. | [10] |
| Ramírez Soto, 2016 | 21 | Culture | Sporothrix spp. | [6] |
| Zhang et al., 2016 | 72 | Culture and Serology | Sporothrix spp. | [26] |
| Biancardi et al., 2017 | 3 | Culture and Molecular | S. brasiliensis | [4] |
| Yamagata et al., 2017 | 3 | Culture | Sporothrix spp. | [15] |
| Ling et al., 2018 | 1 | Culture and Histopathology | Sporothrix spp. | [38] |
| Lacerda Filho et al., 2019 | 1 | Culture and Molecular | S. brasiliensis | [32] |
| Arinelli et al., 2019 | 26 | Culture | Sporothrix spp. | [39] |
© 2019 by the authors. Licensee MDPI, Basel, Switzerland. This article is an open access article distributed under the terms and conditions of the Creative Commons Attribution (CC BY) license (http://creativecommons.org/licenses/by/4.0/).
Share and Cite
M. F. Matos, A.; M. Moreira, L.; F. Barczewski, B.; X. de Matos, L.; B. V. de Oliveira, J.; F. Pimentel, M.I.; Almeida-Paes, R.; G. Oliveira, M.; C. A. Pinto, T.; Lima, N.; et al. Identification by MALDI-TOF MS of Sporothrix brasiliensis Isolated from a Subconjunctival Infiltrative Lesion in an Immunocompetent Patient. Microorganisms 2020, 8, 22. https://doi.org/10.3390/microorganisms8010022
M. F. Matos A, M. Moreira L, F. Barczewski B, X. de Matos L, B. V. de Oliveira J, F. Pimentel MI, Almeida-Paes R, G. Oliveira M, C. A. Pinto T, Lima N, et al. Identification by MALDI-TOF MS of Sporothrix brasiliensis Isolated from a Subconjunctival Infiltrative Lesion in an Immunocompetent Patient. Microorganisms. 2020; 8(1):22. https://doi.org/10.3390/microorganisms8010022
Chicago/Turabian StyleM. F. Matos, Aline, Lucas M. Moreira, Bianca F. Barczewski, Lucas X. de Matos, Jordane B. V. de Oliveira, Maria Ines F. Pimentel, Rodrigo Almeida-Paes, Murilo G. Oliveira, Tatiana C. A. Pinto, Nelson Lima, and et al. 2020. "Identification by MALDI-TOF MS of Sporothrix brasiliensis Isolated from a Subconjunctival Infiltrative Lesion in an Immunocompetent Patient" Microorganisms 8, no. 1: 22. https://doi.org/10.3390/microorganisms8010022
APA StyleM. F. Matos, A., M. Moreira, L., F. Barczewski, B., X. de Matos, L., B. V. de Oliveira, J., F. Pimentel, M. I., Almeida-Paes, R., G. Oliveira, M., C. A. Pinto, T., Lima, N., de O. Matos, M., de M. e Costa, L. G., Santos, C., & Marques Evangelista Oliveira, M. (2020). Identification by MALDI-TOF MS of Sporothrix brasiliensis Isolated from a Subconjunctival Infiltrative Lesion in an Immunocompetent Patient. Microorganisms, 8(1), 22. https://doi.org/10.3390/microorganisms8010022

