Automatic Detection of Granuloma Necrosis in Pulmonary Tuberculosis Using a Two-Phase Algorithm: 2D-TB
Abstract
1. Introduction
2. Materials and Methods
2.1. M. tuberculosis Infection of Diversity Outbred Mice, Lung Tissue Staining and Slide Scanning
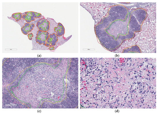
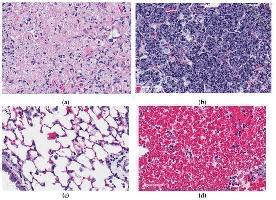
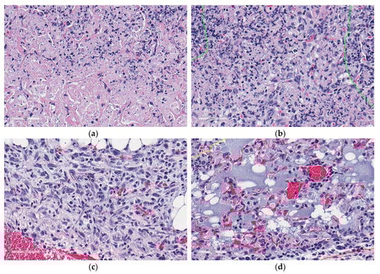
2.2. Image Database, Annotations, Validation
2.3. Measures of Accuracy to Assess 2D-TB Performance
2.4. Algorithm Overview and Implementation
2.5. Automatic Granuloma Detection
2.6. Color Features and Derived Images
2.7. Detection of Cell-Poor Necrosis in Granulomas Using Machine Learning
2.8. Features for Detection of Cell-Poor Necrosis
3. Results
4. Discussion
5. Conclusions
Author Contributions
Funding
Acknowledgments
Conflicts of Interest
References
- WHO. Global Tuberculosis Report 2019; World Health Organization: Geneva, Switzerland, 2019; Available online: https://www.google.com.hk/url?sa=t&rct=j&q=&esrc=s&source=web&cd=3&ved=2ahUKEwjx1bOblYzmAhXIMd4KHYRACXYQFjACegQIAxAC&url=https%3A%2F%2Fhyderabad.worldlunghealth.org%2Fwp-content%2Fuploads%2F2019%2F10%2FGlobalWHO_TB_Report2019-eng.pdf&usg=AOvVaw3Z0j_5UdZpr86s4Eu5o-Vb (accessed on 28 November 2019).
- Warren, E.; Teskey, G.; Venketaraman, V. Effector Mechanisms of Neutrophils within the Innate Immune System in Response to Mycobacterium tuberculosis Infection. J. Clin. Med. 2017, 6, 15. [Google Scholar] [CrossRef] [PubMed]
- Lyadova, I.V.; Panteleev, A.V. Th1 and Th17 Cells in Tuberculosis: Protection, Pathology, and Biomarkers. Mediat. Inflamm. 2015, 2015, 854507. [Google Scholar] [CrossRef] [PubMed]
- Gold, M.C.; Napier, R.J.; Lewinsohn, D.M. MR1-restricted mucosal associated invariant T (MAIT) cells in the immune response to Mycobacterium tuberculosis. Immunol. Rev. 2015, 264, 154–166. [Google Scholar] [CrossRef] [PubMed]
- Achkar, J.M.; Chan, J.; Casadevall, A. B cells and antibodies in the defense against Mycobacterium tuberculosis infection. Immunol. Rev. 2015, 264, 167–181. [Google Scholar] [CrossRef] [PubMed]
- Vladimirovna, I.L.; Sosunova, E.; Nikolaev, A.; Nenasheva, T. Mesenchymal Stem Cells and Myeloid Derived Suppressor Cells: Common Traits in Immune Regulation. J. Immunol. Res. 2016, 2016, 7121580. [Google Scholar] [CrossRef]
- Torrelles, J.B.; Schlesinger, L.S. Integrating Lung Physiology, Immunology, and Tuberculosis. Trends Microbiol. 2017, 25, 688–697. [Google Scholar] [CrossRef]
- Dorhoi, A.; Kaufmann, S.H. Versatile myeloid cell subsets contribute to tuberculosis-associated inflammation. Eur. J. Immunol. 2015, 45, 2191–2202. [Google Scholar] [CrossRef]
- Smith, C.; Proulx, M.; Olive, A.; Laddy, D.; Mishra, B.; Moss, C.; Gutierrez, N.; Bellerose, M.; Barreira-Silva, P.; Phuah, J.; et al. Tuberculosis Susceptibility and Vaccine Protection Are Independently Controlled by Host Genotype. MBio 2016, 7, e01516. [Google Scholar] [CrossRef]
- Kramnik, I.; Beamer, G. Mouse models of human TB pathology: roles in the analysis of necrosis and the development of host-directed therapies. Semin. Immunopathol. 2016, 38, 221–237. [Google Scholar] [CrossRef]
- Niazi, M.K.; Dhulekar, N.; Schmidt, D.; Major, S.; Cooper, R.; Abeijon, C.; Gatti, D.M.; Kramnik, I.; Yener, B.; Gurcan, M.; et al. Lung necrosis and neutrophils reflect common pathways of susceptibility to Mycobacterium tuberculosis in genetically diverse, immune-competent mice. Dis. Model. Mech. 2015, 8, 1141–1153. [Google Scholar] [CrossRef]
- Niazi, M.K.; Beamer, G.; Gurcan, M.N. Detecting and characterizing cellular responses to Mycobacterium tuberculosis from histology slides. Cytom. A 2014, 85, 151–161. [Google Scholar] [CrossRef] [PubMed]
- Harrison, D.E.; Astle, C.M.; Niazi, M.K.; Major, S.; Beamer, G.L. Genetically diverse mice are novel and valuable models of age-associated susceptibility to Mycobacterium tuberculosis. Immun. Ageing. 2014, 11, 24. [Google Scholar] [CrossRef] [PubMed]
- Leong, F.J.; Leong, A. Anatomy and Histology of the Human Lung. In A Color Atlas of Comparative Pathology of Pulmonary Tuberculosis; Leong, F.J., Dartois, V., Dick, T., Eds.; CRC Press: New York, NY, USA, 2011; pp. 31–51. [Google Scholar]
- Welsh, K.J.; Risin, S.A.; Actor, J.K.; Hunter, R.L. Immunopathology of postprimary tuberculosis: increased T-regulatory cells and DEC-205-positive foamy macrophages in cavitary lesions. Clin. Dev. Immunol. 2011, 2011, 307631. [Google Scholar] [CrossRef] [PubMed]
- Hunter, R.L. On the pathogenesis of post primary tuberculosis: the role of bronchial obstruction in the pathogenesis of cavities. Tuberculosis 2011, 91, S6–S10. [Google Scholar] [CrossRef] [PubMed]
- Niazi, M.K.K.; Beamer, G.; Gurcan, M.N. An application of transfer learning to neutrophil cluster detection for tuberculosis: efficient implementation with nonmetric multidimensional scaling and sampling. SPIE Med. Imaging 2018, 10581. [Google Scholar] [CrossRef]
- Gideon, H.P.; Phuah, J.; Myers, A.J.; Bryson, B.D.; Rodgers, M.A.; Coleman, M.T.; Maiello, P.; Rutledge, T.; Marino, S.; Fortune, S.M.; et al. Variability in tuberculosis granuloma T cell responses exists, but a balance of pro- and anti-inflammatory cytokines is associated with sterilization. PLoS Pathog. 2015, 11, e1004603. [Google Scholar] [CrossRef] [PubMed]
- Mattila, J.T.; Ojo, O.O.; Kepka-Lenhart, D.; Marino, S.; Kim, J.H.; Eum, S.Y.; Via, L.E.; Barry, C.E., 3rd; Klein, E.; Kirschner, D.E.; et al. Microenvironments in tuberculous granulomas are delineated by distinct populations of macrophage subsets and expression of nitric oxide synthase and arginase isoforms. J. Immunol. 2013, 191, 773–784. [Google Scholar] [CrossRef]
- Hunter, R.L. Tuberculosis as a three-act play: A new paradigm for the pathogenesis of pulmonary tuberculosis. Tuberculosis 2016, 97, 8–17. [Google Scholar] [CrossRef]
- Hunter, R.L.; Actor, J.K.; Hwang, S.A.; Karev, V.; Jagannath, C. Pathogenesis of post primary tuberculosis: Immunity and hypersensitivity in the development of cavities. Ann. Clin. Lab. Sci. 2014, 44, 365–387. [Google Scholar]
- Welsh, K.J.; Hunter, R.L.; Actor, J.K. Trehalose 6,6’-dimycolate--a coat to regulate tuberculosis immunopathogenesis. Tuberculosis 2013, 93, S3–9. [Google Scholar] [CrossRef]
- Hunter, R.L. Pathology of post primary tuberculosis of the lung: an illustrated critical review. Tuberculosis 2011, 91, 497–509. [Google Scholar] [CrossRef] [PubMed]
- Russell, D.G.; Barry, C.E., 3rd; Flynn, J.L. Tuberculosis: what we don’t know can, and does, hurt us. Science 2010, 328, 852–856. [Google Scholar] [CrossRef] [PubMed]
- Kim, M.J.; Wainwright, H.C.; Locketz, M.; Bekker, L.G.; Walther, G.B.; Dittrich, C.; Visser, A.; Wang, W.; Hsu, F.F.; Wiehart, U.; et al. Caseation of human tuberculosis granulomas correlates with elevated host lipid metabolism. EMBO Mol. Med. 2010, 2, 258–274. [Google Scholar] [CrossRef] [PubMed]
- Russell, D.G.; Cardona, P.J.; Kim, M.J.; Allain, S.; Altare, F. Foamy macrophages and the progression of the human tuberculosis granuloma. Nat. Immunol. 2009, 10, 943–948. [Google Scholar] [CrossRef]
- Repasy, T.; Martinez, N.; Lee, J.; West, K.; Li, W.; Kornfeld, H. Bacillary replication and macrophage necrosis are determinants of neutrophil recruitment in tuberculosis. Microbes Infect. 2015, 17, 564–574. [Google Scholar] [CrossRef]
- Kumar, V.; Abbas, A.; Fausto, N. Cellular Adaptations, Cell Injury, and Cell Death. In Robbins and Cotran Pathologic Basis of Disease, 7th ed.; Elsevier Saunders: Philadelphia, PA, USA, 2005; pp. 3–46. [Google Scholar]
- McAdam, A.J.; Sharpe, A.H. Robbins and Cotran Pathologic Basis of Disease. In Robbins and Cotran Pathologic Basis of Disease; Kumar, V., Abbas, A., Fausto, N., Eds.; Elsevier Saunders: Philadelphia, PA, USA, 2005; pp. 343–414. [Google Scholar]
- Leong, F.J.W.-M.; Eum, S.; Via, L.E.; Barry, C.E., 3rd. Pathology of tuberculosis in the human lung. In A Color Atlas of Comparative Pathology of Pulmonary Tuberculosis; Leong, F.J., Dartois, V., Dick, T., Eds.; CRC Press: New York, NY, USA, 2011; pp. 53–81. [Google Scholar]
- Homeyer, A.; Schenk, A.; Arlt, J.; Dahmen, U.; Dirsch, O.; Hahn, H.K. Practical quantification of necrosis in histological whole-slide images. Comput. Med. Imag. Grap. 2013, 37, 313–322. [Google Scholar] [CrossRef]
- Cruz-Roa, A.; Caicedo, J.C.; Gonzalez, F.A. Visual pattern mining in histology image collections using bag of features. Artif. Intell. Med. 2011, 52, 91–106. [Google Scholar] [CrossRef]
- Chang, H.; Borowsky, A.; Spellman, P.; Parvin, B. Classification of Tumor Histology via Morphometric Context. Proc. Cvpr. Ieee. 2013, 2203–2210. [Google Scholar] [CrossRef]
- Chang, H.; Zhou, Y.; Borowsky, A.; Barner, K.; Spellman, P.; Parvin, B. Stacked Predictive Sparse Decomposition for Classification of Histology Sections. Int. J. Comput. Vis. 2015, 113, 3–18. [Google Scholar] [CrossRef][Green Version]
- Han, J.; Chang, H.; Loss, L.; Zhang, K.; Baehner, F.L.; Gray, J.W.; Spellman, P.; Parvin, B. Comparison of Sparse Coding and Kernel Methods for Histopathological Classification of Gliobastoma Multiforme. Proc. Ieee. Int. Symp. Biomed. Imaging 2011, 2011, 711–714. [Google Scholar] [CrossRef]
- Nayak, N.; Chang, H.; Borowsky, A.; Spellman, P.; Parvin, B. Classification of tumor histopathology via sparse feature learning. In Proceedings of the 2013 IEEE 10th International Symposium on Biomedical Imaging, San Francisco, CA, USA, 7–11 April 2013; IEEE: San Francisco, CA, USA; pp. 410–413. [Google Scholar]
- Harper, J.; Skerry, C.; Davis, S.L.; Tasneen, R.; Weir, M.; Kramnik, I.; Bishai, W.R.; Pomper, M.G.; Nuermberger, E.L.; Jain, S.K. Mouse model of necrotic tuberculosis granulomas develops hypoxic lesions. J. Infect. Dis. 2012, 205, 595–602. [Google Scholar] [CrossRef] [PubMed]
- Niazi, M.K.K.; Beamer, G.; Gurcan, M.N. A computational framework to detect normal and tuberculosis infected lung from H and E-stained whole slide images. SPIE Med. Imaging 2017, 10140. [Google Scholar] [CrossRef]
- Pichugin, A.V.; Yan, B.-S.; Sloutsky, A.; Kobzik, L.; Kramnik, I. Dominant role of the sst1 locus in pathogenesis of necrotizing lung granulomas during chronic tuberculosis infection and reactivation in genetically resistant hosts. Am. J. Pathol. 2009, 174, 2190–2201. [Google Scholar] [CrossRef] [PubMed]











| Feature | Derived Images (I) | Statistical Parameters [11,12] |
|---|---|---|
| Color channel difference ratios | (R-B)/(B-G) (R-G)/(B-G) (R-G)/(R-B) * | Contrast Correlation Cluster Shade Energy Entropy Homogeneity Sum average Sum variance Sum entropy Information measure of correlation |
| Weighted color channel ratios | (R’ + B’)/(B’ + G’) (R’ + G’)/(B’ + G’) (R’ + G’)/(R’ + B’) * (R’ + B’)/(R’ + B’ + G’) (R’ + G’)/(R’ + B’ + G’) (B’ + G’)/(R’ + B’ + G’) | |
| Color channel ratios | R/G G/B * R/B * | |
| Gray level image | I = R’ + G’ + B’ * | |
| Derived Images (I) | Statistical parameters | |
| (R-B)/(B-G) * (R-G)/(B-G) (R-G)/(R-B) * (R’ + B’)/(B’ + G’) * (R’ + G’)/(B’ + G’) (R’ + G’)/(R’ + B’) * | (R’ + B’)/(R’ + B’ + G’) * (R’ + G’)/(R’ + B’ + G’) (B’ + G’)/(R’ + B’ + G’) * R/G * G/B R/B * | Mean Standard Deviation |
| Derived Images | Statistical Parameters |
|---|---|
| R’/(R’ + B’ + G’) | Mean Standard Deviation Entropy |
| R’/(R’ + B’ + G’) | |
| G’/(R’ + B’ + G’) | |
| B’/(R’ + B’ + G’) | |
| R/G | |
| G/B | |
| R/B | |
| abs((R-B)/(B-G)) * | |
| abs((R-G)/(B-G)) * | |
| abs((R-G)/(R-B)) |
| Classifier | SVM Linear Kernel | SVM Gaussian Kernel | Decision Tree | Random Forest |
|---|---|---|---|---|
| Selected features | Mean absolute of (R-G)/(B-G) Mean absolute of (R-B)/(B-G) | Mean absolute of (R-G)/(B-G) Standard deviation of R’/(R’ + G’ + B’) | Mean absolute of (R-G)/(B-G) | Mean absolute of (R-G)/(B-G) Mean of G’/(R’ + G’ + B’) |
| Misclassification rate (%) | 0.27 | 0.27 | 0.40 | 0.40 |
| Distances (Pixels) | SVM Linear Kernel | SVM Gauss Kernel | Ensemble |
|---|---|---|---|
| 5 | % 7.06 (17 Features) | % 10.03 (22 Features) | % 8.11 (14 Features) |
| 10 | % 8.33 (13 Features) | % 13.44 (20 Features) | % 9.09 (12 Features) |
| 15 | % 7.75 (16 Features) | % 15.76 (10 Features) | % 9.92 (11 Features) |
| 20 | % 8.55 (14 Features) | % 14.85 (11 Features) | % 9.74 (11 Features) |
| Region Detected by 2D-TB | Pathologist Comments |
|---|---|
| 1 | Mostly agree |
| 2 | Agree |
| 3 | Agree |
| 4 | Agree |
| 5 | Agree |
| 6 | Agree |
| 7 | Agree |
| 8 | Agree |
| 9 | Agree |
| 10 | Agree |
| Section No. | Mouse/Lung No. | No. Necrotic Regions | TP | FP | PPV (%) | Dice Similarity (%) |
|---|---|---|---|---|---|---|
| 1 | 10/1 | 9 | 6 | 3 | 66.7 | 80.0 |
| 2 | 10/2 | 18 | 17 | 1 | 94.4 | 97.1 |
| 3 | 13/1 | 41 | 41 | 0 | 100.0 | 100.0 |
| 4 | 13/2 | 45 | 44 | 1 | 97.8 | 98.9 |
| 5 | 109 | 13 | 13 | 0 | 100.0 | 100.0 |
| 6 | 118 | 13 | 13 | 0 | 100.0 | 100.0 |
| 7 | 144/1 | 8 | 8 | 0 | 100.0 | 100.0 |
| 8 | 144/2 | 14 | 12 | 2 | 85.7 | 92.3 |
| 9 | 149 | 30 | 29 | 1 | 96.7 | 98.3 |
| 10 | 156 | 8 | 8 | 0 | 100.0 | 100.0 |
| 11 | 158 | 41 | 30 | 11 | 73.2 | 84.5 |
| 12 | 173 | 26 | 24 | 2 | 92.3 | 96.0 |
| 13 | 164 | 26 | 23 | 3 | 88.5 | 93.9 |
| Average: | 20.62 | 1.85 | 91.94 | 95.46 | ||
| Standard Deviation | 12.85 | 12.00 | 2.85 | 10.48 | 6.19 | |
© 2019 by the authors. Licensee MDPI, Basel, Switzerland. This article is an open access article distributed under the terms and conditions of the Creative Commons Attribution (CC BY) license (http://creativecommons.org/licenses/by/4.0/).
Share and Cite
Kus, P.; Gurcan, M.N.; Beamer, G. Automatic Detection of Granuloma Necrosis in Pulmonary Tuberculosis Using a Two-Phase Algorithm: 2D-TB. Microorganisms 2019, 7, 661. https://doi.org/10.3390/microorganisms7120661
Kus P, Gurcan MN, Beamer G. Automatic Detection of Granuloma Necrosis in Pulmonary Tuberculosis Using a Two-Phase Algorithm: 2D-TB. Microorganisms. 2019; 7(12):661. https://doi.org/10.3390/microorganisms7120661
Chicago/Turabian StyleKus, Pelin, Metin N. Gurcan, and Gillian Beamer. 2019. "Automatic Detection of Granuloma Necrosis in Pulmonary Tuberculosis Using a Two-Phase Algorithm: 2D-TB" Microorganisms 7, no. 12: 661. https://doi.org/10.3390/microorganisms7120661
APA StyleKus, P., Gurcan, M. N., & Beamer, G. (2019). Automatic Detection of Granuloma Necrosis in Pulmonary Tuberculosis Using a Two-Phase Algorithm: 2D-TB. Microorganisms, 7(12), 661. https://doi.org/10.3390/microorganisms7120661

