Vibrio Proteases for Biomedical Applications: Modulating the Proteolytic Secretome of V. alginolyticus and V. parahaemolyticus for Improved Enzymes Production
Abstract
1. Introduction
2. Materials and Methods
2.1. Microbiological Methods
2.1.1. Culture Media and Conditions
2.1.2. Type Strains
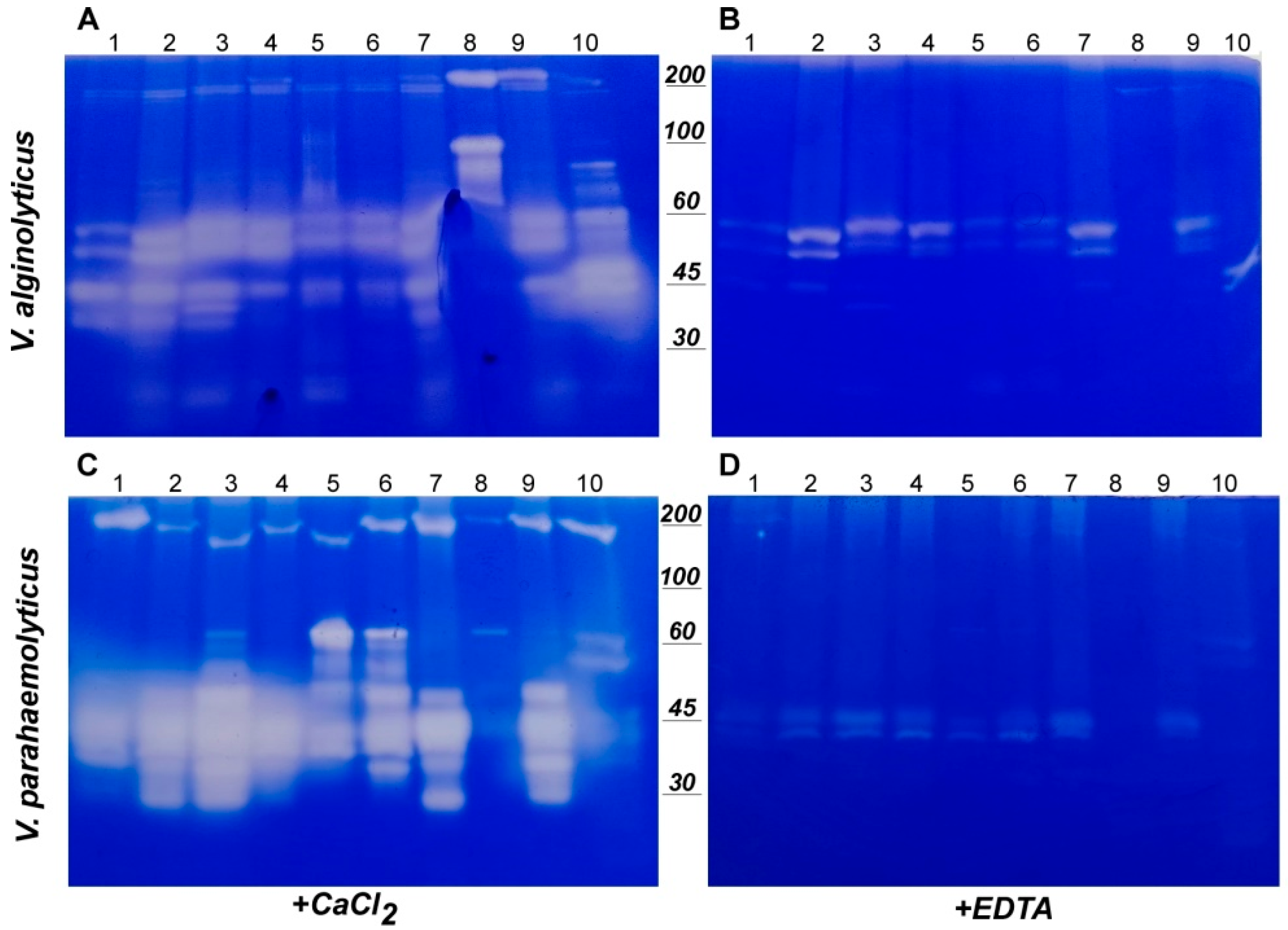
2.2. SDS Electrophoresis and Zymography
2.3. Substrate Specific Activity Determination
2.4. Sequence and Structural Analyses of Collagenases
3. Results and Discussions
3.1. Culture Media and Growth Performances
3.2. Collagenase Production
3.3. Structural Analysis of Collagenases from V. parahaemolyticus and V. alginolyticus
3.4. Other Secreted Proteases
4. Conclusions
Author Contributions
Funding
Conflicts of Interest
References
- Gagliano, A.L.; D’Alessandro, W.; Tagliavia, M.; Parello, F.; Quatrini, P. Methanotrophic activity and diversity of methanotrophs in volcanic geothermal soils at Pantelleria (Italy). Biogeosciences 2014, 11, 5865–5875. [Google Scholar] [CrossRef]
- Gagliano, A.L.; Tagliavia, M.; D’Alessandro, W.; Franzetti, A.; Parello, F.; Quatrini, P. So close, so different: Geothermal flux shapes divergent soil microbial communities at neighbouring sites. Geobiology 2016, 14, 150–162. [Google Scholar] [CrossRef] [PubMed]
- Burton, S.G.; Cowan, D.A.; Woodley, J.M. The search for the ideal biocatalyst. Nat. Biotechnol. 2002, 20, 37–45. [Google Scholar] [CrossRef] [PubMed]
- Ferrer, M.; Martínez-Abarca, F.; Golyshin, P.N. Mining genomes and “metagenomes” for novel catalysts. Curr. Opin. Biotechnol. 2005, 16, 588–593. [Google Scholar] [CrossRef] [PubMed]
- Trincone, A. Marine Biocatalysts: Enzymatic Features and Applications. Mar. Drugs 2011, 9, 478–499. [Google Scholar] [CrossRef] [PubMed]
- Dionisi, H.M.; Lozada, M.; Olivera, N.L. Bioprospection of marine microorganisms: Biotechnological applications and methods. Rev. Argent. Microbiol. 2012, 44, 49–60. [Google Scholar]
- Tagliavia, M.; Nicosia, A. Advanced Strategies for Food-Grade Protein Production: A New E. coli/Lactic Acid Bacteria Shuttle Vector for Improved Cloning and Food-Grade Expression. Microorganisms 2019, 7, 116. [Google Scholar] [CrossRef] [PubMed]
- Salamone, M.; Nicosia, A.; Bennici, C.; Quatrini, P.; Catania, V.; Mazzola, S.; Ghersi, G.; Cuttitta, A. Comprehensive Analysis of a Vibrio parahaemolyticus Strain Extracellular Serine Protease VpSP37. PLoS ONE 2015, 10, e0126349. [Google Scholar] [CrossRef] [PubMed]
- Brandhorst, D.; Brandhorst, H.; Johnson, P.R.V. Enzyme Development for Human Islet Isolation: Five Decades of Progress or Stagnation? Rev. Diabet. Stud. 2017, 14, 22–38. [Google Scholar] [CrossRef]
- Miyoshi, S.-I. Extracellular proteolytic enzymes produced by human pathogenic vibrio species. Front. Microbiol. 2013, 4, 339. [Google Scholar] [CrossRef]
- Rawlings, N.D.; Barrett, A.J.; Finn, R. Twenty years of the MEROPS database of proteolytic enzymes, their substrates and inhibitors. Nucleic Acids Res. 2016, 44, D343–D350. [Google Scholar] [CrossRef] [PubMed]
- Westerhof, W.; Vanscheidt, W. (Eds.) Proteolytic Enzymes and Wound Healing; Springer: Berlin/Heidelberg, Germany, 1994; ISBN 978-3-540-57816-1. [Google Scholar]
- Nano, M.; Ricci, E.; De Simone, M.; Lanfranco, G. Collagenase Therapy in the Treatment of Decubitus Ulcers. In Proteolysis in Wound Repair; Abatangelo, G., Donati, L., Vanscheidt, W., Eds.; Springer: Berlin/Heidelberg, Germany, 1996; pp. 61–69. ISBN 978-3-642-61130-8. [Google Scholar]
- Helaly, P.; Vogt, E.; Schneider, G. Wound healing disorders and their enzymatic therapy—A multicenter double-blind study. Schweiz. Rundsch. Med. Prax. 1988, 77, 1428–1434. [Google Scholar] [PubMed]
- Riley, K.N.; Herman, I.M. Collagenase Promotes the Cellular Responses to Injury and Wound Healing In Vivo. J. Burns Wounds 2005, 4, e8. [Google Scholar] [PubMed]
- Zhang, Y.-Z.; Ran, L.-Y.; Li, C.-Y.; Chen, X.-L. Diversity, Structures, and Collagen-Degrading Mechanisms of Bacterial Collagenolytic Proteases. Appl. Environ. Microbiol. 2015, 81, 6098–6107. [Google Scholar] [CrossRef] [PubMed]
- Vrabec, R.; Moserová, J.; Konícková, Z.; Bĕhounková, E.; Bláha, J. Clinical experience with enzymatic debridement of burned skin with the use of collagenase. J. Hyg. Epidemiol. Microbiol. Immunol. 1974, 18, 496–498. [Google Scholar] [PubMed]
- Hansbrough, J.F.; Achauer, B.; Dawson, J.; Himel, H.; Luterman, A.; Slater, H.; Levenson, S.; Salzberg, C.A.; Hansbrough, W.B.; Doré, C. Wound healing in partial-thickness burn wounds treated with collagenase ointment versus silver sulfadiazine cream. J. Burn Care Rehabil. 1995, 16, 241–247. [Google Scholar] [CrossRef]
- Vetra, H.; Whittaker, D. Hydrotherapy and topical collagenase for decubitus ulcers. Geriatrics 1975, 30, 53–58. [Google Scholar]
- Rao, D.B.; Sane, P.G.; Georgiev, E.L. Collagenase in the treatment of dermal and decubitus ulcers. J. Am. Geriatr. Soc. 1975, 23, 22–30. [Google Scholar] [CrossRef]
- Altman, M.; Goldstein, L.; Horowitz, S. Collagenase: An adjunct to healing trophic ulcerations in the diabetic patient. J. Am. Podiatr. Med. Assoc. 1978, 68, 11–15. [Google Scholar] [CrossRef]
- Boxer, A.M.; Gottesman, N.; Bernstein, H.; Mandl, I. Debridement of dermal ulcers and decubiti with collagenase. Geriatrics 1969, 24, 75–86. [Google Scholar]
- Záruba, F.; Lettl, A.; Brozková, L.; Skrdlantová, H.; Krs, V. Collagenase in the treatment of ulcers in dermatology. J. Hyg. Epidemiol. Microbiol. Immunol. 1974, 18, 499–500. [Google Scholar] [PubMed]
- Badalamente, M.A.; Hurst, L.C. Enzyme injection as nonsurgical treatment of Dupuytren’s disease. J. Hand Surg. Am. 2000, 25, 629–636. [Google Scholar] [CrossRef] [PubMed]
- Suggs, W.; Van Wart, H.; Sharefkin, J.B. Enzymatic harvesting of adult human saphenous vein endothelial cells: Use of a chemically defined combination of two purified enzymes to attain viable cell yields equal to those attained by crude bacterial collagenase preparations. J. Vasc. Surg. 1992, 15, 205–213. [Google Scholar] [CrossRef]
- Wolters, G.H.J.; Vos-Scheperkeuter, G.H.; Lin, H.-C.; van Schilfgaarde, R. Different Roles of Class I and Class II Clostridium Histolyticum Collagenase in Rat Pancreatic Islet Isolation. Diabetes 1995, 44, 227–233. [Google Scholar] [CrossRef] [PubMed]
- Brandhorst, H.; Raemsch-Guenther, N.; Raemsch, C.; Friedrich, O.; Huettler, S.; Kurfuerst, M.; Korsgren, O.; Brandhorst, D. The ratio between collagenase class I and class II influences the efficient islet release from the rat pancreas. Transplantation 2008, 85, 456–461. [Google Scholar] [CrossRef] [PubMed]
- Salamone, M.; Seidita, G.; Cuttitta, A.; Rigogliuso, S.; Mazzola, S.; Bertuzzi, F.; Ghersi, G. A New Method to Value Efficiency of Enzyme Blends for Pancreatic Tissue Digestion. Transplant. Proc. 2010, 42, 2043–2048. [Google Scholar] [CrossRef] [PubMed]
- Salamone, M.; Cuttitta, A.; Bertuzzi, F.; Ricordi, C.; Ghersi, G.; Seidita, G. Biochemical comparison between Clostridium hystoliticum collagenases G and H obtained by DNA recombinant and extractive procedures. Chem. Eng. Trans. 2012, 27, 259–264. [Google Scholar]
- Bassetto, F.; Maschio, N.; Abatangelo, G.; Zavan, B.; Scarpa, C.; Vindigni, V. Collagenase From Vibrio alginolyticus Cultures: Experimental Study and Clinical Perspectives. Surg. Innov. 2016, 23, 557–562. [Google Scholar] [CrossRef] [PubMed]
- Di Pasquale, R.; Vaccaro, S.; Caputo, M.; Cuppari, C.; Caruso, S.; Catania, A.; Messina, L. Collagenase-assisted wound bed preparation: An in vitro comparison between Vibrio alginolyticus and Clostridium histolyticum collagenases on substrate specificity. Int. Wound J. 2019, 16, 1013–1023. [Google Scholar] [CrossRef] [PubMed]
- Lee, K.K.; Yu, S.R.; Yang, T.I.; Liu, P.C.; Chen, F.R. Isolation and characterization of Vibrio alginolyticus isolated from diseased kuruma prawn, Penaeus japonicus. Lett. Appl. Microbiol. 1996, 22, 111–114. [Google Scholar] [CrossRef]
- Balebona, M.C.; Andreu, M.J.; Bordas, M.A.; Zorrilla, I.; Moriñigo, M.A.; Borrego, J.J. Pathogenicity of Vibrio alginolyticus for Cultured Gilt-Head Sea Bream (Sparus aurata L.). Appl. Environ. Microbiol. 1998, 64, 4269–4275. [Google Scholar] [PubMed]
- Liu, P.C.; Chen, Y.C.; Lee, K.K. Pathogenicity of Vibrio alginolyticus isolated from diseased small abalone Haliotis diversicolor supertexta. Microbios 2001, 104, 71–77. [Google Scholar] [PubMed]
- Austin, B. Vibrios as causal agents of zoonoses. Vet. Microbiol. 2010, 140, 310–317. [Google Scholar] [CrossRef] [PubMed]
- Reilly, G.D.; Reilly, C.A.; Smith, E.G.; Baker-Austin, C. Vibrio alginolyticus-associated wound infection acquired in British waters, Guernsey, July 2011. Eurosurveillance 2011, 16, 19994. [Google Scholar] [PubMed]
- Newton, A.; Kendall, M.; Vugia, D.J.; Henao, O.L.; Mahon, B.E. Increasing rates of vibriosis in the United States, 1996-2010: Review of surveillance data from 2 systems. Clin. Infect. Dis. 2012, 54 (Suppl. 5), S391–S395. [Google Scholar] [CrossRef] [PubMed]
- Frost, M.; Baxter, J.; Buckley, P.; Dye, S.; Stoker, B. Reporting marine climate change impacts: Lessons from the science-policy interface. Environ. Sci. Policy 2017, 78, 114–120. [Google Scholar] [CrossRef]
- Jacobs Slifka, K.M.; Newton, A.E.; Mahon, B.E. Vibrio alginolyticus infections in the USA, 1988-2012. Epidemiol. Infect. 2017, 145, 1491–1499. [Google Scholar] [CrossRef]
- Cai, S.H.; Wu, Z.H.; Jian, J.C.; Lu, Y.S. Cloning and expression of gene encoding the thermostable direct hemolysin from Vibrio alginolyticus strain HY9901, the causative agent of vibriosis of crimson snapper (Lutjanus erythopterus). J. Appl. Microbiol. 2007, 103, 289–296. [Google Scholar] [CrossRef]
- Wang, Q.; Liu, Q.; Cao, X.; Yang, M.; Zhang, Y. Characterization of two TonB systems in marine fish pathogen Vibrio alginolyticus: Their roles in iron utilization and virulence. Arch. Microbiol. 2008, 190, 595–603. [Google Scholar] [CrossRef]
- Rui, H.; Liu, Q.; Wang, Q.; Ma, Y.; Liu, H.; Shi, C.; Zhang, Y. Role of alkaline serine protease, asp, in Vibrio alginolyticus virulence and regulation of its expression by luxO-luxR regulatory system. J. Microbiol. Biotechnol. 2009, 19, 431–438. [Google Scholar] [CrossRef]
- Jia, A.; Woo, N.Y.S.; Zhang, X.-H. Expression, purification, and characterization of thermolabile hemolysin (TLH) from Vibrio alginolyticus. Dis. Aquat. Org. 2010, 90, 121–127. [Google Scholar] [CrossRef] [PubMed]
- Zhao, Z.; Chen, C.; Hu, C.-Q.; Ren, C.-H.; Zhao, J.-J.; Zhang, L.-P.; Jiang, X.; Luo, P.; Wang, Q.-B. The type III secretion system of Vibrio alginolyticus induces rapid apoptosis, cell rounding and osmotic lysis of fish cells. Microbiology 2010, 156, 2864–2872. [Google Scholar] [CrossRef] [PubMed]
- Fukushima, J.; Takeuchi, H.; Tanaka, E.; Hamajima, K.; Sato, Y.; Kawamoto, S.; Morihara, K.; Keil, B.; Okuda, K. Molecular cloning and partial DNA sequencing of the collagenase gene of Vibrio alginolyticus. Microbiol. Immunol. 1990, 34, 977–984. [Google Scholar] [CrossRef] [PubMed][Green Version]
- Takeuchi, H.; Shibano, Y.; Morihara, K.; Fukushima, J.; Inami, S.; Keil, B.; Gilles, A.M.; Kawamoto, S.; Okuda, K. Structural gene and complete amino acid sequence of Vibrio alginolyticus collagenase. Biochem. J. 1992, 281, 703–708. [Google Scholar] [CrossRef] [PubMed]
- Miyoshi, N.; Shimizu, C.; Miyoshi, S.; Shinoda, S. Purification and characterization of Vibrio vulnificus protease. Microbiol. Immunol. 1987, 31, 13–25. [Google Scholar] [CrossRef]
- Lu, Y.; Feng, J.; Wu, Z.; Jian, J. Genotype analysis of collagenase gene by PCR-SSCP in Vibrio alginolyticus and its association with virulence to marine fish. Curr. Microbiol. 2011, 62, 1697–1703. [Google Scholar] [CrossRef]
- Smith, G.C.; Merkel, J.R. Collagenolytic activity of Vibrio vulnificus: Potential contribution to its invasiveness. Infect. Immun. 1982, 35, 1155–1156. [Google Scholar] [PubMed]
- McLaughlin, J.B.; DePaola, A.; Bopp, C.A.; Martinek, K.A.; Napolilli, N.P.; Allison, C.G.; Murray, S.L.; Thompson, E.C.; Bird, M.M.; Middaugh, J.P. Outbreak of Vibrio parahaemolyticus gastroenteritis associated with Alaskan oysters. N. Engl. J. Med. 2005, 353, 1463–1470. [Google Scholar] [CrossRef] [PubMed]
- Ansaruzzaman, M.; Lucas, M.; Deen, J.L.; Bhuiyan, N.A.; Wang, X.-Y.; Safa, A.; Sultana, M.; Chowdhury, A.; Nair, G.B.; Sack, D.A.; et al. Pandemic serovars (O3:K6 and O4:K68) of Vibrio parahaemolyticus associated with diarrhea in Mozambique: Spread of the pandemic into the African continent. J. Clin. Microbiol. 2005, 43, 2559–2562. [Google Scholar] [CrossRef]
- Drake, S.L.; DePaola, A.; Jaykus, L.-A. An Overview of Vibrio vulnificus and Vibrio parahaemolyticus. Compr. Rev. Food Sci. Food Saf. 2007, 6, 120–144. [Google Scholar] [CrossRef]
- Nair, G.B.; Ramamurthy, T.; Bhattacharya, S.K.; Dutta, B.; Takeda, Y.; Sack, D.A. Global dissemination of Vibrio parahaemolyticus serotype O3:K6 and its serovariants. Clin. Microbiol. Rev. 2007, 20, 39–48. [Google Scholar] [CrossRef]
- Su, Y.C.; Liu, C. Vibrio parahaemolyticus: A concern of seafood safety. Food Microbiol. 2007, 24, 549–558. [Google Scholar] [CrossRef] [PubMed]
- Xu, X.; Wu, Q.; Zhang, J.; Cheng, J.; Zhang, S.; Wu, K. Prevalence, pathogenicity, and serotypes of Vibrio parahaemolyticus in shrimp from Chinese retail markets. Food Control 2014, 46, 81–85. [Google Scholar] [CrossRef]
- Yu, Q.; Niu, M.; Yu, M.; Liu, Y.; Wang, D.; Shi, X. Prevalence and antimicrobial susceptibility of Vibrio parahaemolyticus isolated from retail shellfish in Shanghai. Food Control 2016, 60, 263–268. [Google Scholar] [CrossRef]
- Kim, S.K.; Yang, J.Y.; Cha, J. Cloning and sequence analysis of a novel metalloprotease gene from Vibrio parahaemolyticus 04. Gene 2002, 283, 277–286. [Google Scholar] [CrossRef]
- Keil-Dlouha, V.; Misrahi, R.; Keil, B. The induction of collagenase and a neutral proteinase by their high molecular weight substrates in Achromobacter iophagus. J. Mol. Biol. 1976, 107, 293–305. [Google Scholar] [CrossRef]
- Reid, G.C.; Woods, D.R.; Robb, F.T. Peptone induction and rifampin-insensitive collagenase production by Vibrio alginolyticus. J. Bacteriol. 1980, 142, 447–454. [Google Scholar]
- Mima, T.; Gotoh, K.; Yamamoto, Y.; Maeda, K.; Shirakawa, T.; Matsui, S.; Murata, Y.; Koide, T.; Tokumitsu, H.; Matsushita, O. Expression of Collagenase is Regulated by the VarS/VarA Two-Component Regulatory System in Vibrio alginolyticus. J. Membr. Biol. 2018, 251, 51–63. [Google Scholar] [CrossRef]
- Keil-Dlouha, V.; Emod, I.; Soubigou, P.; Bagilet, L.K.; Keil, B. Cell-surface collagen-binding protein in the procaryote Achromobacter iophagus. Biochim. Biophys. Acta 1983, 727, 115–121. [Google Scholar] [CrossRef]
- Hare, P.; Long, S.; Robb, F.T.; Woods, D.R. Regulation of exoprotease production by temperature and oxygen in Vibrio alginolyticus. Arch. Microbiol. 1981, 130, 276–280. [Google Scholar] [CrossRef]
- Brock, F.M.; Forsberg, C.W.; Buchanan-Smith, J.G. Proteolytic activity of rumen microorganisms and effects of proteinase inhibitors. Appl. Environ. Microbiol. 1982, 44, 561–569. [Google Scholar] [PubMed]
- Coêlho, D.F.; Saturnino, T.P.; Fernandes, F.F.; Mazzola, P.G.; Silveira, E.; Tambourgi, E.B. Azocasein Substrate for Determination of Proteolytic Activity: Reexamining a Traditional Method Using Bromelain Samples. BioMed Res. Int. 2016, 2016, 8409183. [Google Scholar] [CrossRef] [PubMed]
- Mandl, I. Collagenases and Elastases. Adv. Enzymol. Relat. Areas Mol. Biol. 1961, 23, 163–264. [Google Scholar]
- Moore, S.; Stein, W.H. Photometric Ninhydrin Method for Use in the Chromatography of Amino Acids. J. Biol. Chem. 1948, 176, 367–388. [Google Scholar] [PubMed]
- Jones, P.; Binns, D.; Chang, H.-Y.; Fraser, M.; Li, W.; McAnulla, C.; McWilliam, H.; Maslen, J.; Mitchell, A.; Nuka, G.; et al. InterProScan 5: Genome-scale protein function classification. Bioinformatics 2014, 30, 1236–1240. [Google Scholar] [CrossRef] [PubMed]
- Finn, R.D.; Coggill, P.; Eberhardt, R.Y.; Eddy, S.R.; Mistry, J.; Mitchell, A.L.; Potter, S.C.; Punta, M.; Qureshi, M.; Sangrador-Vegas, A.; et al. The Pfam protein families database: Towards a more sustainable future. Nucleic Acids Res. 2016, 44, D279–D285. [Google Scholar] [CrossRef] [PubMed]
- Sigrist, C.J.A.; de Castro, E.; Cerutti, L.; Cuche, B.A.; Hulo, N.; Bridge, A.; Bougueleret, L.; Xenarios, I. New and continuing developments at PROSITE. Nucleic Acids Res. 2013, 41, D344–D347. [Google Scholar] [CrossRef] [PubMed]
- Kelley, L.A.; Mezulis, S.; Yates, C.M.; Wass, M.N.; Sternberg, M.J.E. The Phyre2 web portal for protein modeling, prediction and analysis. Nat. Protoc. 2015, 10, 845–858. [Google Scholar] [CrossRef]
- Nicosia, A.; Maggio, T.; Costa, S.; Salamone, M.; Tagliavia, M.; Mazzola, S.; Gianguzza, F.; Cuttitta, A. Maintenance of a Protein Structure in the Dynamic Evolution of TIMPs over 600 Million Years. Genome Biol. Evol. 2016, 8, 1056–1071. [Google Scholar] [CrossRef] [PubMed]
- Cuttitta, A.; Ragusa, M.A.; Costa, S.; Bennici, C.; Colombo, P.; Mazzola, S.; Gianguzza, F.; Nicosia, A. Evolutionary conserved mechanisms pervade structure and transcriptional modulation of allograft inflammatory factor-1 from sea anemone Anemonia viridis. Fish. Shellfish Immunol. 2017, 67, 86–94. [Google Scholar] [CrossRef] [PubMed]
- Ragusa, M.A.; Nicosia, A.; Costa, S.; Cuttitta, A.; Gianguzza, F. Metallothionein Gene Family in the Sea Urchin Paracentrotus lividus: Gene Structure, Differential Expression and Phylogenetic Analysis. Int. J. Mol. Sci. 2017, 18, 812. [Google Scholar] [CrossRef] [PubMed]
- Nicosia, A.; Bennici, C.; Biondo, G.; Costa, S.; Di Natale, M.; Masullo, T.; Monastero, C.; Ragusa, M.A.; Tagliavia, M.; Cuttitta, A. Characterization of Translationally Controlled Tumour Protein from the Sea Anemone Anemonia viridis and Transcriptome Wide Identification of Cnidarian Homologues. Genes 2018, 9, 30. [Google Scholar] [CrossRef] [PubMed]
- Ragusa, M.A.; Nicosia, A.; Costa, S.; Casano, C.; Gianguzza, F. A Survey on Tubulin and Arginine Methyltransferase Families Sheds Light on P. lividus Embryo as Model System for Antiproliferative Drug Development. Int. J. Mol. Sci. 2019, 20, 2136. [Google Scholar] [CrossRef] [PubMed]
- Armon, A.; Graur, D.; Ben-Tal, N. ConSurf: An algorithmic tool for the identification of functional regions in proteins by surface mapping of phylogenetic information. J. Mol. Biol. 2001, 307, 447–463. [Google Scholar] [CrossRef] [PubMed]
- Matsushita, O.; Yoshihara, K.; Katayama, S.; Minami, J.; Okabe, A. Purification and characterization of Clostridium perfringens 120-kilodalton collagenase and nucleotide sequence of the corresponding gene. J. Bacteriol. 1994, 176, 149–156. [Google Scholar] [CrossRef] [PubMed]
- Salamone, M.; Saladino, S.; Pampalone, M.; Campora, S.; Ghersi, G. Tissue Dissociation and Primary Cells Isolation Using Recombinant Collagenases Class I and II. Chem. Eng. Trans. 2014, 38, 247–252. [Google Scholar]
- Emory, S.A.; Bouvet, P.; Belasco, J.G. A 5’-terminal stem-loop structure can stabilize mRNA in Escherichia coli. Genes Dev. 1992, 6, 135–148. [Google Scholar] [CrossRef] [PubMed]
- Arnold, T.E.; Yu, J.; Belasco, J.G. mRNA stabilization by the ompA 5’ untranslated region: Two protective elements hinder distinct pathways for mRNA degradation. RNA 1998, 4, 319–330. [Google Scholar] [PubMed]
- Lin, H.-H.; Hsu, C.-C.; Yang, C.-D.; Ju, Y.-W.; Chen, Y.-P.; Tseng, C.-P. Negative effect of glucose on ompA mRNA stability: A potential role of cyclic AMP in the repression of hfq in Escherichia coli. J. Bacteriol. 2011, 193, 5833–5840. [Google Scholar] [CrossRef]
- Tagliavia, M.; Salamone, M.; Bennici, C.; Quatrini, P.; Cuttitta, A. A modified culture medium for improved isolation of marine vibrios. MicrobiologyOpen 2019, 8, e835. [Google Scholar] [CrossRef] [PubMed]
- Tagliavia, M.; Cuttitta, A. Exploiting translational coupling for the selection of cells producing toxic recombinant proteins from expression vectors. BioTechniques 2016, 60, 113–118. [Google Scholar] [PubMed]







© 2019 by the authors. Licensee MDPI, Basel, Switzerland. This article is an open access article distributed under the terms and conditions of the Creative Commons Attribution (CC BY) license (http://creativecommons.org/licenses/by/4.0/).
Share and Cite
Salamone, M.; Nicosia, A.; Ghersi, G.; Tagliavia, M. Vibrio Proteases for Biomedical Applications: Modulating the Proteolytic Secretome of V. alginolyticus and V. parahaemolyticus for Improved Enzymes Production. Microorganisms 2019, 7, 387. https://doi.org/10.3390/microorganisms7100387
Salamone M, Nicosia A, Ghersi G, Tagliavia M. Vibrio Proteases for Biomedical Applications: Modulating the Proteolytic Secretome of V. alginolyticus and V. parahaemolyticus for Improved Enzymes Production. Microorganisms. 2019; 7(10):387. https://doi.org/10.3390/microorganisms7100387
Chicago/Turabian StyleSalamone, Monica, Aldo Nicosia, Giulio Ghersi, and Marcello Tagliavia. 2019. "Vibrio Proteases for Biomedical Applications: Modulating the Proteolytic Secretome of V. alginolyticus and V. parahaemolyticus for Improved Enzymes Production" Microorganisms 7, no. 10: 387. https://doi.org/10.3390/microorganisms7100387
APA StyleSalamone, M., Nicosia, A., Ghersi, G., & Tagliavia, M. (2019). Vibrio Proteases for Biomedical Applications: Modulating the Proteolytic Secretome of V. alginolyticus and V. parahaemolyticus for Improved Enzymes Production. Microorganisms, 7(10), 387. https://doi.org/10.3390/microorganisms7100387

