Recombinant Protein-Based ELISA for the Detection and Differentiation of Antibodies Against Fowl Adenovirus Serotype 4 in Infected and Vaccinated Chickens
Abstract
1. Introduction
2. Materials and Methods
2.1. Prokaryotic Expression and Identification of Recombinant Proteins
2.2. Development and Optimization of ELISA Conditions
2.3. Cut-Off Value Determination
2.4. Specificity and Repeatability Evaluation
2.5. Validation of the Identification Test
3. Results
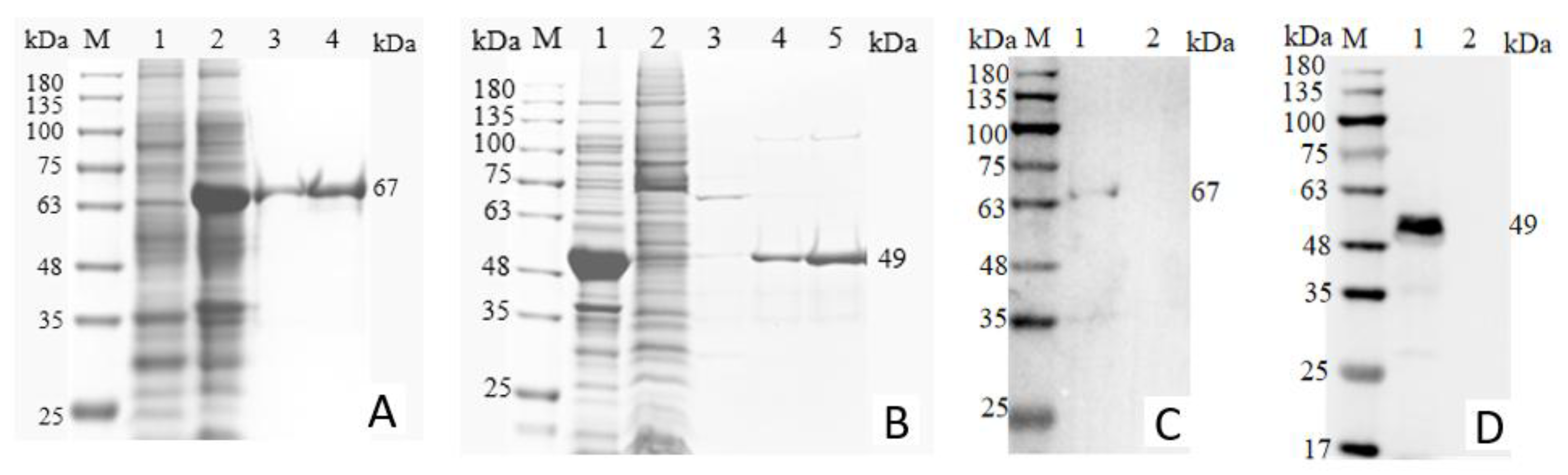
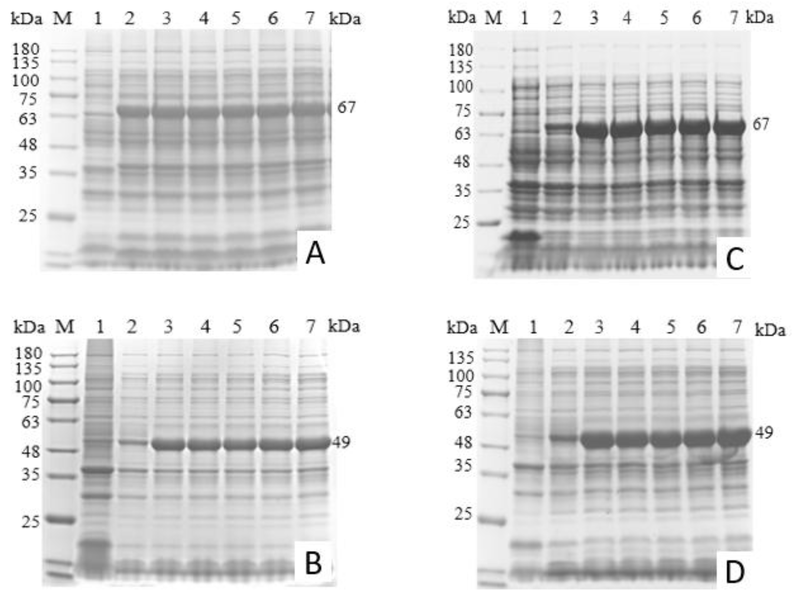
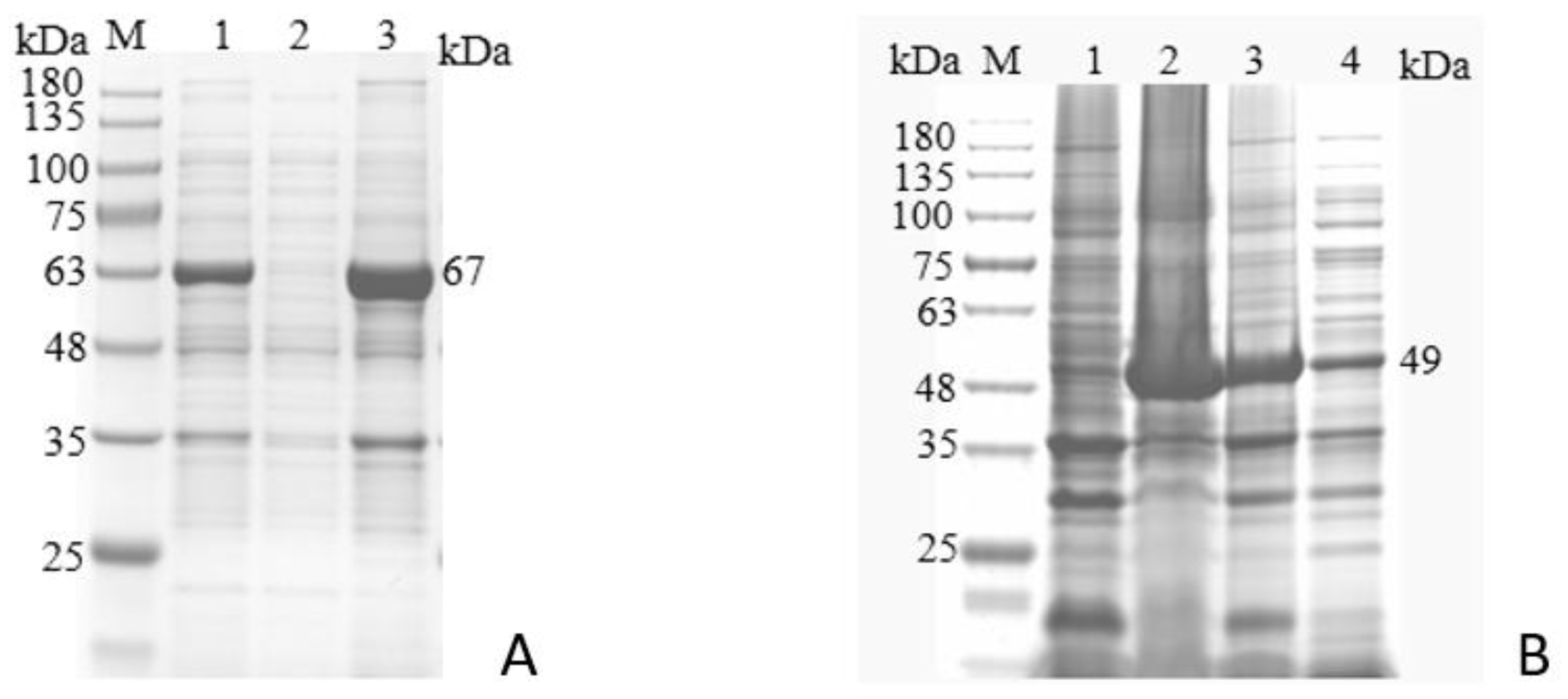
3.1. Preparation and Characterization of Recombinant Proteins
3.2. Optimization of ELISA Reaction Conditions
3.3. Cut-Off Value of the ELISAs
3.4. Specificity and Reproducibility of the ELISA Methods
3.5. Sample Analysis
4. Discussion
5. Conclusions
Supplementary Materials
Author Contributions
Funding
Institutional Review Board Statement
Informed Consent Statement
Data Availability Statement
Conflicts of Interest
References
- Benkő, M.; Aoki, K.; Arnberg, N.; Davison, A.J.; Echavarría, M.; Hess, M.; Jones, M.S.; Kaján, J.L.; Kajon, A.E.; Mittal, S.K.; et al. ICTV virus taxonomy profile: Adenoviridae. J. Gen. Virol. 2022, 103, 001721. [Google Scholar] [CrossRef]
- Zsak, L.; Kisary, J. Grouping of fowl adenoviruses based upon the restriction patterns of DNA generated by BamHI and HindIII. Intervirology 1984, 22, 110–114. [Google Scholar] [CrossRef]
- Meulemans, G.; Boschmans, M.; van den Berg, T.P.; Decaesstecker, M. Polymerase chain reaction combined with restriction enzyme analysis for detection and differentiation of fowl adenoviruses. Avian Pathol. 2001, 30, 655–660. [Google Scholar] [CrossRef] [PubMed]
- Zhuang, Q.; Wang, S.; Zhang, F.; Zhao, C.; Chen, Q.; Zhao, R.; Guo, P.; Ju, L.; Li, J.; Hou, G.; et al. Molecular epidemiology analysis of fowl adenovirus detected from apparently healthy birds in eastern China. BMC Vet. Res. 2023, 19, 5. [Google Scholar] [CrossRef] [PubMed]
- Niu, Y.; Sun, Q.; Zhang, G.; Sun, W.; Liu, X.; Xiao, Y.; Shang, Y.; Liu, S. Epidemiological investigation of outbreaks of fowl adenovirus infections in commercial chickens in China. Transbound. Emerg. Dis. 2018, 65, e121–e126. [Google Scholar] [CrossRef] [PubMed]
- Shen, Z.; Xiang, B.; Li, S.; Ren, X.; Hong, Y.; Liao, J.; Yu, D.; Ren, T.; Liao, M.; Xu, C. Genetic characterization of fowl adenovirus serotype 4 isolates in Southern China reveals potential cross-species transmission. Res. Pap. 2019, 75, 103928. [Google Scholar] [CrossRef]
- Yuan, F.; Song, H.; Hou, L.; Wei, L.; Zhu, S.; Quan, R.; Wang, J.; Wang, D.; Jiang, H.; Liu, H.; et al. Age-dependence of hypervirulent fowl adenovirus type 4 pathogenicity in specific-pathogen-free chickens. Poult. Sci. 2021, 100, 101238. [Google Scholar] [CrossRef]
- Wei, Y.; Xie, Z.; Xie, Z.; Deng, X.; Li, X.; Xie, L.; Fan, Q.; Zhang, Y.; Wang, S.; Ren, H.; et al. Differences in the Pathogenicity and Molecular Characteristics of Fowl Adenovirus Serotype 4 Epidemic Strains in Guangxi, Southern China. Front. Microbiol. 2024, 15, 1428958. [Google Scholar] [CrossRef]
- Guy, J.S.; Barnes, H.J. Characterization of an avian adenovirus associated with inclusion body hepatitis in day-old turkeys. Avian Dis. 1997, 41, 726–731. [Google Scholar] [CrossRef] [PubMed]
- Capua, I.; Liberti, L.; Gough, R.E.; Casaccia, C.; Asdrubali, G. Isolation and characterization of an adenovirus associated with inclusion body hepatitis in psittacine birds. Avian Pathol. 1995, 24, 717–722. [Google Scholar] [CrossRef] [PubMed]
- Ketterer, P.; Timmins, B.; Prior, H.; Dingle, J. Inclusion body hepatitis associated with an adenovirus in racing pigeons in Australia. Aust. Vet. J. 1992, 69, 90–91. [Google Scholar] [CrossRef] [PubMed]
- Pan, Q.; Wang, J.; Gao, Y.; Cui, H.; Liu, C.; Qi, X.; Zhang, Y.; Wang, Y.; Li, K.; Gao, L.; et al. Development and application of a novel ELISA for detecting antibodies against group I fowl adenoviruses. Appl. Microbiol. Biotechnol. 2019, 104, 853–859. [Google Scholar] [CrossRef]
- Liu, Y.K.; Wan, W.Y.; Wang, B.B. Establishment of indirect ELISA for detection of antibodies against fowl adenovirus serotype 4. Chin. J. Pre Vet. Med. 2017, 39, 902–906. [Google Scholar]
- Feichtner, F.; Schachner, A.; Berger, E.; Hess, M. Development of sensitive indirect enzyme-linked immunosorbent assays for specific detection of antibodies against fowl adenovirus serotypes 1 and 4 in chickens. Avian Pathol. 2018, 47, 73–82. [Google Scholar] [CrossRef]
- He, Z.-R.; Ruan, S.-F.; Zhao, J.; Yang, H.-M.; Zhang, G.-Z. Recombinant Fiber-2 Protein-Based Indirect ELISA for Antibody Detection of Fowl Adenovirus Serotype 4. Avian Dis. 2018, 62, 73–78. [Google Scholar] [CrossRef]
- Shao, H.; Wang, P.; Wang, W.; Zhang, J.; Li, T.; Liang, G.; Gao, W.; Qin, A.; Ye, J. A novel monoclonal antibodies-based sandwich ELISA for detection of serotype 4 fowl adenovirus. Avian Pathol. 2019, 48, 204–208. [Google Scholar] [CrossRef]
- Fan, J.; Zhang, M.; Liu, C.; Zhu, M.; Zhang, Z.; Wu, K.; Li, Z.; Li, W.; Fan, S.; Ju, C.; et al. The Network of Interactions Between Classical Swine Fever Virus Nonstructural Protein p7 and Host Proteins. Front. Microbiol. 2020, 11, 597893. [Google Scholar] [CrossRef]
- Tacken, M.G.; Daus, F.J.; Feenstra, F.; van Gennip, R.G.; van Rijn, P.A. Development of a competitive ELISA for NS3 antibodies as DIVA test accompanying the novel Disabled Infectious Single Animal (DISA) vaccine for Bluetongue. Vaccine 2015, 33, 5539–5545. [Google Scholar] [CrossRef]
- Huang, C.H.; Shi, W.J.; Cao, C.F.; Wang, X.; Hua, Q.Y.; Lin, Y.X.; Chen, J.D. Development of aidgnostic kit of infected and immuned animals of BTV. Chin. J. Vet. Sci. 2020, 40, 1438–1442. [Google Scholar] [CrossRef]
- Biswal, J.K.; Jena, S.; Mohapatra, J.K.; Bisht, P.; Pattnaik, B. Detection of antibodies specific for foot-and-mouth disease virus infection using indirect ELISA based on recombinant nonstructural protein 2B. Arch. Virol. 2014, 159, 1641–1650. [Google Scholar] [CrossRef] [PubMed]
- Girl, P.; Bestehorn-Willmann, M.; Zange, S.; Borde, J.P.; Dobler, G.; von Buttlar, H. Tick-Borne Encephalitis Virus Nonstructural Protein 1 IgG Enzyme-Linked Immunosorbent Assay for Differentiating Infection versus Vaccination Antibody Responses. J. Clin. Microbiol. 2020, 58, 1-9. [Google Scholar] [CrossRef] [PubMed]
- Wang, M.; Xu, Z.; Liu, W.; Li, M.; Wang, H.; Yang, D.; Ma, W.; Zhou, G.; Yu, L. Identification of a conserved linear epitope using monoclonal antibody against non-structural protein 3A of foot-and-mouth disease virus with potential for differentiation between infected and vaccinated animals. Res. Vet. Sci. 2019, 124, 178–185. [Google Scholar] [CrossRef]
- Wang, X.; Wang, F.; Li, Z.; Wen, Y.; Song, N.; Wu, H. Development of an indirect enzyme-linked immunosorbent assay (ELISA) to differentiate antibodies against wild-type porcine reproductive and respiratory syndrome from the vaccine strain TJM-F92 based on a recombinant Nsp2 protein. J. Virol. Methods 2018, 251, 151–154. [Google Scholar] [CrossRef]
- Xie, Z.X.; Qin, C.X.; Xie, L.J.; Liu, J.; Pang, Y.; Deng, X.; Xie, Z.; Khan, M.I. Research on ELISA differentiability antigen using non-structure proteins NS and P17 of an avian reovirus. J. Virol. Methods 2009, 41, 11–15. [Google Scholar]
- Xie, Z.; Luo, S.; Fan, Q.; Xie, L.; Liu, J.; Xie, Z.; Pang, Y.; Deng, X.; Wang, X. Detection of antibodies specific to the non-structural proteins of fowl adenoviruses in infected chickens but not in vaccinated chickens. Avian Pathol. 2013, 42, 491–496. [Google Scholar] [CrossRef]
- Han, W.; Ma, Z.; Li, Z.; Chang, C.; Yuan, Y.; Li, Y.; Feng, R.; Zheng, C.; Shi, Z.; Tian, H.; et al. A novel double antibody sandwich quantitative ELISA for detecting porcine epidemic diarrhea virus infection. Appl. Microbiol. Biotechnol. 2024, 108, 482. [Google Scholar] [CrossRef]
- Pan, Q.; Yang, Y.; Gao, Y.; Qi, X.; Liu, C.; Zhang, Y.; Cui, H.; Wang, X. An Inactivated Novel Genotype Fowl Adenovirus 4 Protects Chickens against the Hydropericardium Syndrome That Recently Emerged in Chin. Viruses 2017, 9, 216. [Google Scholar] [CrossRef]
- Mandrekar, J.N. Receiver Operating Characteristic Curve in Diagnostic Test Assessment. J. Thorac. Oncol. 2010, 5, 1315–1316. [Google Scholar] [CrossRef]
- Wang, Z.; Zhao, J. Pathogenesis of Hypervirulent Fowl Adenovirus Serotype 4: The Contributions of Viral and Host Factors. Viruses 2019, 11, 741. [Google Scholar] [CrossRef] [PubMed]
- Ren, G.; Wang, H.; Yan, Y.; Liu, F.; Huang, M.; Chen, R. Pathogenicity of a fowl adenovirus serotype 4 isolated from chickens associated with hydropericardium-hepatitis syndrome in China. Poult. Sci. 2019, 98, 2765–2771. [Google Scholar] [CrossRef] [PubMed]
- Schachner, A.; Matos, M.; Grafl, B.; Hess, M. Fowl adenovirus-induced diseases and strategies for their control—A review on the current global situation. Avian Pathol. 2018, 47, 111–126. [Google Scholar] [CrossRef] [PubMed]
- Luan, Y.J.; Xie, Z.X.; Wang, S.; Luo, S.S.; Zhang, L.; Xie, L.J.; Xie, Z.Q.; Deng, X.W.; Zhang, M.X.; Zhang, Y.F. Pathological observation of SPF chickens artificially infected with fowl adenovirus serotype 4 isolated from Guangxi Region. Chi Vet. Sci. 2020, 50, 1183–1192. [Google Scholar] [CrossRef]
- Wei, Y.; Deng, X.W.; Xie, Z.X.; Yang, B.Y.; Ruan, Z.H.; Huang, J.L.; Zeng, T.T.; Xie, Z.Q.; Fan, Q.; Zhang, Y.F. Pathogenicity of SPF chickens horizontally infected with fowl adenovirus serotype 4. J. Virol. Methods 2023, 55, 56–62. [Google Scholar]
- Ruan, J.X.; Zhang, Z.H. Experimental Study for Immune Efficacy of a Trivalent Inactivated Vaccine against Newcastle Disease, Avian Influenza (subtype H9) and Fowl Adenovirus (group I, type 4) in Different Days Old Chicks. Chin. Poul 2021, 43, 111–115. [Google Scholar] [CrossRef]
- Wei, Y.; Xie, Z.; Fan, Q.; Xie, Z.; Deng, X.; Luo, S.; Li, X.; Zhang, Y.; Zeng, T.; Huang, J.; et al. Pathogenicity and molecular characteristics of fowl adenovirus serotype 4 with moderate virulence in Guangxi Province, China. Front. Vet. Sci. 2023, 10, 1190126. [Google Scholar] [CrossRef]
- Griffin, B.D.; Nagy, É. Coding potential and transcript analysis of fowl adenovirus 4: Insight into upstream ORFs as common sequence features in adenoviral transcripts. J. Gen. Virol. 2011, 2, 1260–1272. [Google Scholar] [CrossRef]
- Shah, M.; Ashraf, A.; Khan, M.; Rahman, M.; Habib, M.; Qureshi, J. Molecular cloning, expression and characterization of 100K gene of fowl adenovirus-4 for prevention and control of hydropericardium syndrome. Biologicals 2016, 44, 19–23. [Google Scholar] [CrossRef]
- Said, A.; Wang, W.; Woldermariam, T.; Tikoo, S.K. Domains of bovine adenovirus-3 protein 22K involved in interacting with viral protein 52K and cellular importins alpha-5/alpha-7. Virology 2018, 522, 209–219. [Google Scholar] [CrossRef]
- Biasiotto, R.; Akusjärvi, G. Regulation of human adenovirus alternative RNA splicing by the adenoviral L4-33K and L4-22K proteins. Int. J. Mol. Sci. 2015, 16, 2893–2912. [Google Scholar] [CrossRef]
- Shah, M.A.; Ullah, R.; De March, M.; Shah, M.S.; Ismat, F.; Habib, M.; Iqbal, M.; Onesti, S.; Rahman, M. Overexpression and characterization of the 100K protein of Fowl adenovirus-4 as an antiviral target. Virus Res. 2017, 238, 218–225. [Google Scholar] [CrossRef]
- Gao, S.; Chen, H.; Zhang, X.; Zhao, J.; Wang, Z. Cellular protein HSC70 promotes fowl adenovirus serotype 4 replication in LMH cells via interacting with viral 100K protein. Poult. Sci. 2022, 101, 101941. [Google Scholar] [CrossRef]
- Andrade, F.; Bull, H.G.; A Thornberry, N.; Ketner, G.W.; A Casciola-Rosen, L.; Rosen, A. Adenovirus L4-100K assembly protein is a granzyme B substrate that potently inhibits granzyme B-mediated cell death. Immunity 2001, 14, 751–761. [Google Scholar] [CrossRef]
- Wu, K.; Guimet, D.; Hearing, P. The Adenovirus L4-33K Protein Regulates both Late Gene Expression Patterns and Viral DNA Packaging. J. Virol. 2013, 87, 6739–6747. [Google Scholar] [CrossRef]
- Wu, K.; Orozco, D.; Hearing, P. The adenovirus L4-22K protein is multifunctional and is an integral component of crucial aspects of infection. J. Virol. 2012, 86, 10474–10483. [Google Scholar] [CrossRef]
- Morris, S.J.; Leppard, K.N. Adenovirus serotype 5 L4-22K and L4-33K proteins have distinct functions in regulating late gene expression. J. Virol. 2009, 83, 3049–3058. [Google Scholar] [CrossRef][Green Version]








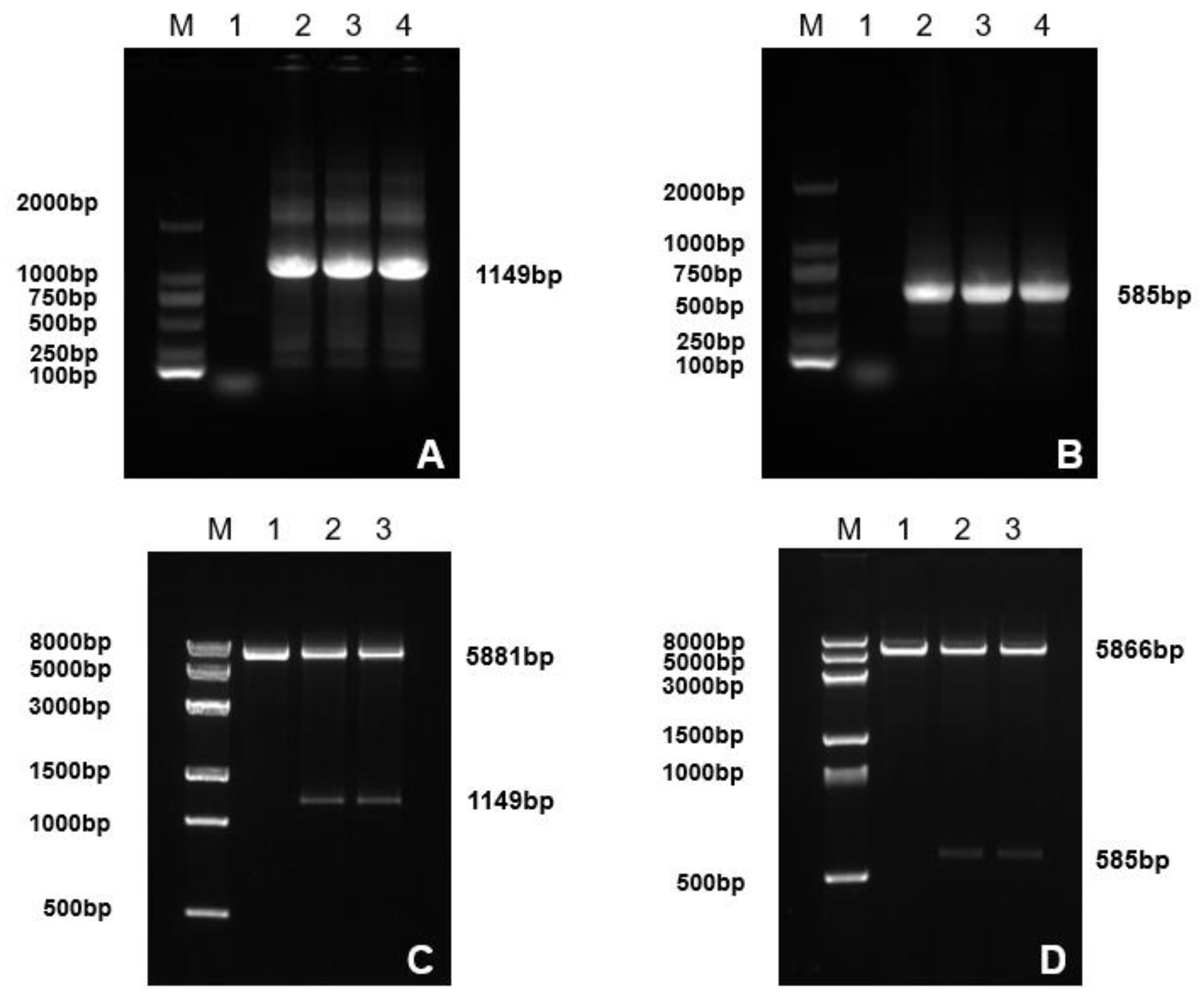
| Primer Name | Primer Sequences (5′ → 3 ′ ) | Product Length | Digestion Site |
|---|---|---|---|
| 100K-F | CCGGAATTCATGGAGCGCAGTAACATTC | 1149 bp | EcoR I |
| 100K-R | CCCAAGCTTTTACCTCGGGGTGCTCGG | Hind III | |
| 22K-F | CCGGAATTCATGGCCCAGAGAATGGTCG | 585 bp | EcoR I |
| 22K-R | CCGCTCGAGCTAGCGTTGCGAGCCCTCGC | Xho I |
| Sample ID | Intra-Assay Precision | Interassay Precision | ||||
|---|---|---|---|---|---|---|
| SD | CV/% | SD | CV/% | |||
| 1 | 1.11 | 0.028 | 2.5 | 1.08 | 0.045 | 4.2 |
| 2 | 1.13 | 0.044 | 3.9 | 1.18 | 0.051 | 4.3 |
| 3 | 1.12 | 0.022 | 2.0 | 1.16 | 0.052 | 4.5 |
| 4 | 1.14 | 0.045 | 3.9 | 1.11 | 0.047 | 4.2 |
| 5 | 1.06 | 0.047 | 4.4 | 1.08 | 0.032 | 3.0 |
| 6 | 0.19 | 0.005 | 2.6 | 0.20 | 0.010 | 4.9 |
| 7 | 0.21 | 0.009 | 4.3 | 0.20 | 0.005 | 2.4 |
| 8 | 0.19 | 0.005 | 2.6 | 0.21 | 0.005 | 2.4 |
| 9 | 0.16 | 0.007 | 4.5 | 0.15 | 0.007 | 4.3 |
| 10 | 0.21 | 0.005 | 2.5 | 0.20 | 0.007 | 3.5 |
| Sample ID | Intra-Assay Precision | Interassay Precision | ||||
|---|---|---|---|---|---|---|
| SD | CV/% | SD | CV/% | |||
| 1 | 0.97 | 0.041 | 4.2 | 0.96 | 0.017 | 1.8 |
| 2 | 0.98 | 0.025 | 2.6 | 0.96 | 0.031 | 3.2 |
| 3 | 0.98 | 0.037 | 3.8 | 0.94 | 0.044 | 4.7 |
| 4 | 1.09 | 0.029 | 2.2 | 1.08 | 0.034 | 3.1 |
| 5 | 0.85 | 0.021 | 2.5 | 0.86 | 0.026 | 3.0 |
| 6 | 0.22 | 0.006 | 2.7 | 0.23 | 0.008 | 3.5 |
| 7 | 0.21 | 0.004 | 1.7 | 0.22 | 0.005 | 2.3 |
| 8 | 0.29 | 0.005 | 1.9 | 0.28 | 0.009 | 3.4 |
| 9 | 0.22 | 0.009 | 4.2 | 0.22 | 0.010 | 4.5 |
| 10 | 0.25 | 0.009 | 3.6 | 0.24 | 0.009 | 3.8 |
| ELISA Methods | Vaccinated Group (n = 96) | Unvaccinated Group (n = 220) | ||||
|---|---|---|---|---|---|---|
| Positive (n) | Negative (n) | Positive Rate (%) | Positive (n) | Negative (n) | Positive Rate (%) | |
| FAdV-I-ELISA | 96 | 0 | 100 | 48 | 172 | 21.8 |
| 100K-ELISA | 3 | 93 | 3.1 | 41 | 179 | 18.6 |
| 22K-ELISA | 5 | 91 | 5.2 | 45 | 175 | 20.5 |
| ELISA Methods | FAdV-I-ELISA Positive (n = 48) | FAdV-I-ELISA Negative (n = 172) | Total | |
|---|---|---|---|---|
| 100K-ELISA | Positive | 41 (TP) | 0 (FP) | 41 |
| Negative | 7 (FN) | 172 (TN) | 179 | |
| 22K-ELISA | Positive | 45 (TP) | 0 (FP) | 45 |
| Negative | 3 (FN) | 172 (TN) | 175 | |
| ELISA Methods | AUC | Std. Error | 95% Confidence Interval | Cut-Off | Sensitivity (%) | Specificity (%) |
|---|---|---|---|---|---|---|
| 100K-ELISA | 0.926 | 0.031 | 0.8646–0.9872 | 0.3549 | 85.42 | 100 |
| 22K-ELISA | 0.965 | 0.018 | 0.9334–1.000 | 0.4136 | 93.75 | 100 |
Disclaimer/Publisher’s Note: The statements, opinions and data contained in all publications are solely those of the individual author(s) and contributor(s) and not of MDPI and/or the editor(s). MDPI and/or the editor(s) disclaim responsibility for any injury to people or property resulting from any ideas, methods, instructions or products referred to in the content. |
© 2026 by the authors. Licensee MDPI, Basel, Switzerland. This article is an open access article distributed under the terms and conditions of the Creative Commons Attribution (CC BY) license.
Share and Cite
Wei, Y.; Wu, X.; Li, X.; Huang, J.; Yang, B.; Xie, L.; Li, M.; Wang, S.; Wu, A.; Ruan, Z.; et al. Recombinant Protein-Based ELISA for the Detection and Differentiation of Antibodies Against Fowl Adenovirus Serotype 4 in Infected and Vaccinated Chickens. Microorganisms 2026, 14, 842. https://doi.org/10.3390/microorganisms14040842
Wei Y, Wu X, Li X, Huang J, Yang B, Xie L, Li M, Wang S, Wu A, Ruan Z, et al. Recombinant Protein-Based ELISA for the Detection and Differentiation of Antibodies Against Fowl Adenovirus Serotype 4 in Infected and Vaccinated Chickens. Microorganisms. 2026; 14(4):842. https://doi.org/10.3390/microorganisms14040842
Chicago/Turabian StyleWei, You, Xiaoqian Wu, Xiaofeng Li, Jiaoling Huang, Bingyi Yang, Liji Xie, Meng Li, Sheng Wang, Aiqiong Wu, Zhihua Ruan, and et al. 2026. "Recombinant Protein-Based ELISA for the Detection and Differentiation of Antibodies Against Fowl Adenovirus Serotype 4 in Infected and Vaccinated Chickens" Microorganisms 14, no. 4: 842. https://doi.org/10.3390/microorganisms14040842
APA StyleWei, Y., Wu, X., Li, X., Huang, J., Yang, B., Xie, L., Li, M., Wang, S., Wu, A., Ruan, Z., Xie, Z., & Luo, S. (2026). Recombinant Protein-Based ELISA for the Detection and Differentiation of Antibodies Against Fowl Adenovirus Serotype 4 in Infected and Vaccinated Chickens. Microorganisms, 14(4), 842. https://doi.org/10.3390/microorganisms14040842

