Interaction Between Transcription Factor EhPC4 and Polyadenylation Factor EhCFIm25 in Entamoeba histolytica: Molecular Characterization and Functional Implications
Abstract
1. Introduction
2. Materials and Methods
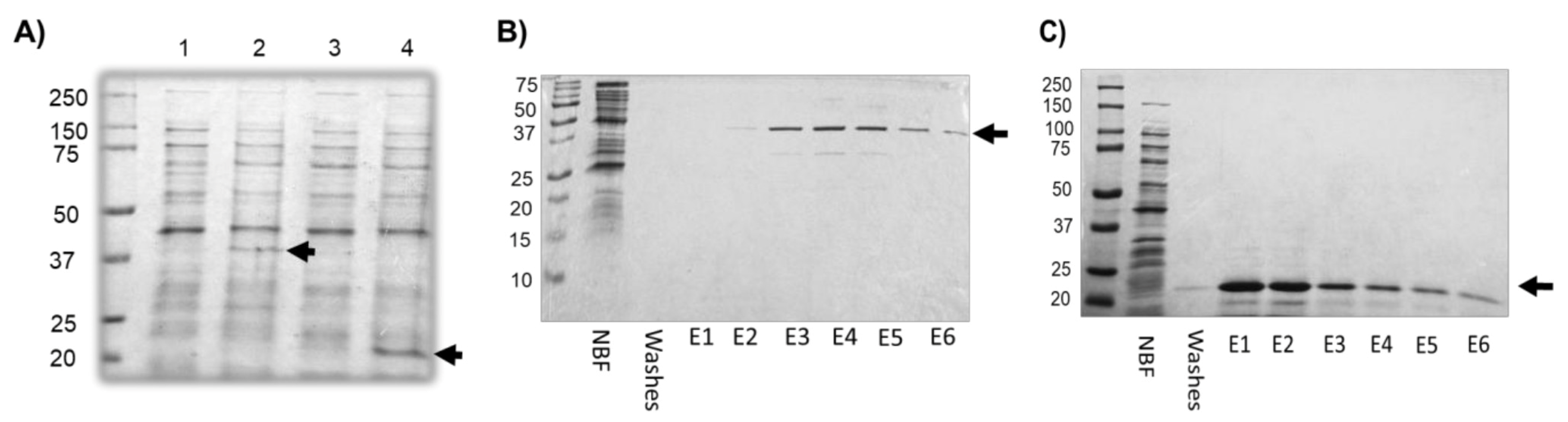
2.1. Expression and Purification of Recombinant EhCFIm25 and EhPC4 Proteins
2.2. Far-Western Blotting Assays
2.3. Three-Dimensional Structure of EhPC4 and Molecular Dynamics Simulation
2.4. EhPC4-EhCFIm25 Molecular Docking
3. Results
3.1. Recombinant EhCFIm25 and EhPC4 Proteins Interact with Each Other
3.2. Modeling and Molecular Dynamics Simulation of EhPC4
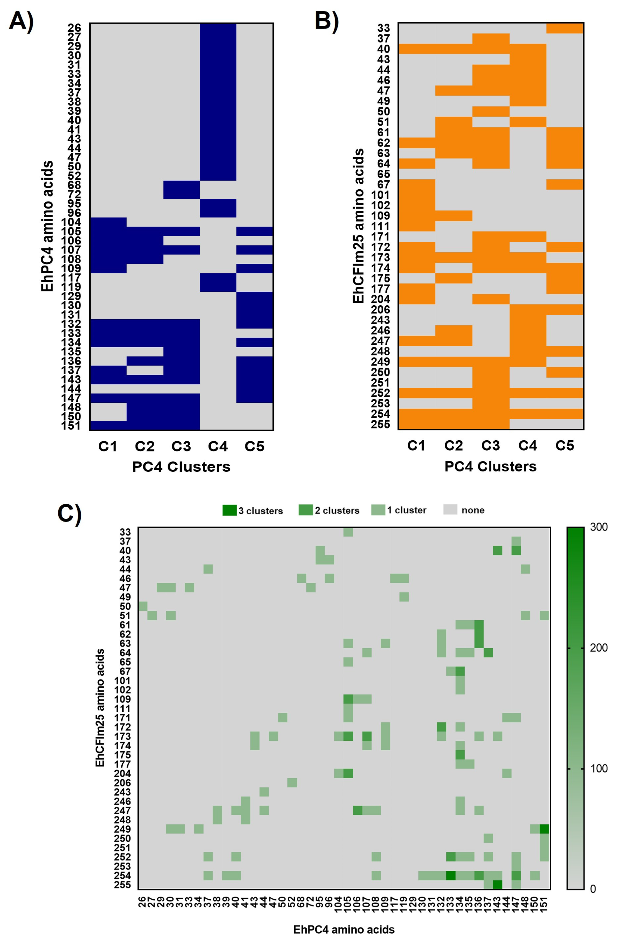
3.3. EhPC4-EhCFIm25 Molecular Docking
4. Discussion
5. Conclusions
Author Contributions
Funding
Institutional Review Board Statement
Informed Consent Statement
Data Availability Statement
Conflicts of Interest
Abbreviations
| CFIm | Cleavage factor I |
| DAB | Diaminobenzidine |
| IPTG | isopropyl β-D-thiogalactopyranoside |
| MD | Molecular dynamics |
| PC4 | Positive Coactivator 4 |
| PME | Particle Mesh Ewald |
| PPI | Protein–protein interaction |
| Rg | Radius of gyration |
| RMSD | Root mean square deviation |
| RMSF | Root mean-square-fluctuation |
| ssDNA | single-stranded DNA |
| UTR | Untranslated region |
References
- Brown, K.M.; Gilmartin, G.M. A mechanism for the regulation of pre-mRNA 3′ processing by human cleavage factor Im. Mol. Cell 2003, 12, 1467–1476. [Google Scholar] [CrossRef]
- Kubo, T.; Wada, T.; Yamaguchi, Y.; Shimizu, A.; Handa, H. Knock-down of 25 kDa subunit of cleavage factor Im in Hela cells alters alternative polyadenylation within 3′-UTRs. Nucleic Acids Res. 2006, 34, 6264–6271. [Google Scholar] [CrossRef]
- Avila-Bonilla, R.G.; Velazquez-Guzman, J.A.; Reyes-Zepeda, E.I.; Gutierrez-Avila, J.L.; Reyes-López, C.A.; Cisneros-Sarabia, A.; Saavedra, E.; Lopéz-Sandoval, A.; Ramírez-Moreno, E.; López-Camarillo, C.; et al. Comparative genomics and interactomics of polyadenylation factors for the prediction of new parasite targets: Entamoeba histolytica as a working model. Biosci. Rep. 2023, 43, BSR20221911. [Google Scholar] [CrossRef] [PubMed]
- GBD 2015 Mortality and Causes of Death Collaborators. Global, regional, and national life expectancy, all-cause mortality, and cause-specific mortality for 249 causes of death, 1980–2015: A systematic analysis for the Global Burden of Disease Study 2015. Lancet 2016, 388, 1459–1544, Erratum in Lancet 2017, 389, e1. [Google Scholar] [CrossRef]
- Stanley, S.L., Jr. Amoebiasis. Lancet 2003, 361, 1025–1034. [Google Scholar] [CrossRef] [PubMed]
- Ospina-Villa, J.D.; García-Contreras, J.; Rosas-Trigueros, J.L.; Ramírez-Moreno, E.; López-Camarillo, C.; Zamora-López, B.; Marchat, L.A.; Zamorano-Carrillo, A. Importance of amino acids Leu135 and Tyr236 for the interaction between EhCFIm25 and RNA: A molecular dynamics simulation study. J. Mol. Model. 2018, 24, 202. [Google Scholar] [CrossRef] [PubMed]
- Ospina-Villa, J.D.; Guillén, N.; Lopez-Camarillo, C.; Soto-Sanchez, J.; Ramirez-Moreno, E.; Garcia-Vazquez, R.; Castañon-Sanchez, C.A.; Betanzos, A.; Marchat, L.A. Silencing the cleavage factor CFIm25 as a new strategy to control Entamoeba histolytica parasite. J. Microbiol. 2017, 55, 783–791. [Google Scholar] [CrossRef]
- Ospina-Villa, J.D.; Dufour, A.; Weber, C.; Ramirez-Moreno, E.; Zamorano-Carrillo, A.; Guillen, N.; Lopez-Camarillo, C.; Marchat, L.A. Targeting the polyadenylation factor EhCFIm25 with RNA aptamers controls survival in Entamoeba histolytica. Sci. Rep. 2018, 8, 5720. [Google Scholar] [CrossRef]
- Pezet-Valdez, M.; Fernández-Retana, J.; Ospina-Villa, J.D.; Ramírez-Moreno, M.E.; Orozco, E.; Charcas-López, S.; Soto-Sánchez, J.; Mendoza-Hernández, G.; López-Casamicha, M.; López-Camarillo, C.; et al. The 25 kDa subunit of cleavage factor Im Is a RNA-binding protein that interacts with the poly(A) polymerase in Entamoeba histolytica. PLoS ONE 2013, 8, e67977. [Google Scholar] [CrossRef]
- Dettwiler, S.; Aringhieri, C.; Cardinale, S.; Keller, W.; Barabino, S.M. Distinct sequence motifs within the 68-kDa subunit of cleavage factor Im mediate RNA binding, protein-protein interactions, and subcellular localization. J. Biol. Chem. 2004, 279, 35788–35797. [Google Scholar] [CrossRef]
- Martin, G.; Keller, W.; Doublié, S. Crystal structure of mammalian poly(A) polymerase in complex with an analog of ATP. EMBO J. 2000, 19, 4193–4203. [Google Scholar] [CrossRef]
- Garavís, M.; Calvo, O. Sub1/PC4, a multifaceted factor: From transcription to genome stability. Curr. Genet. 2017, 63, 1023–1035. [Google Scholar] [CrossRef]
- Calvo, O.; Manley, J.L. Evolutionarily conserved interaction between CstF-64 and PC4 links transcription, polyadenylation, and termination. Mol. Cell 2001, 7, 1013–1023. [Google Scholar] [CrossRef]
- Hernández de la Cruz, O.; Marchat, L.A.; Guillén, N.; Weber, C.; López Rosas, I.; Díaz-Chávez, J.; Herrera, L.; Rojo-Domínguez, A.; Orozco, E.; López-Camarillo, C. Multinucleation and Polykaryon Formation is Promoted by the EhPC4 Transcription Factor in Entamoeba histolytica. Sci. Rep. 2016, 6, 19611. [Google Scholar] [CrossRef] [PubMed]
- de la Cruz, O.H.; Muñiz-Lino, M.; Guillén, N.; Weber, C.; Marchat, L.A.; López-Rosas, I.; Ruíz-García, E.; Astudillo-de la Vega, H.; Fuentes-Mera, L.; Álvarez-Sánchez, E.; et al. Proteomic profiling reveals that EhPC4 transcription factor induces cell migration through up-regulation of the 16-kDa actin-binding protein EhABP16 in Entamoeba histolytica. J. Proteom. 2014, 111, 46–58. [Google Scholar] [CrossRef]
- Xu, J.; Wang, S. Analysis of distance-based protein structure prediction by deep learning in CASP13. Proteins 2019, 87, 1069–1081. [Google Scholar] [CrossRef] [PubMed]
- Laskowski, R.A.; Rullmannn, J.A.; MacArthur, M.W.; Kaptein, R.; Thornton, J.M. AQUA and PROCHECK-NMR: Programs for checking the quality of protein structures solved by NMR. J. Biomol. NMR 1996, 8, 477–486. [Google Scholar] [CrossRef]
- Abraham, M.J.; Murtola, T.; Schulz, R.; Páll, S.; Smith, J.C.; Hess, B.; Lindahl, E. GROMACS: High performance molecular simulations through multi-level parallelism from laptops to supercomputers. SoftwareX 2015, 1–2, 19–25. [Google Scholar] [CrossRef]
- Jorgensen, W.L.; Maxwell, D.S.; Tirado-Rives, J. Development and testing of the OPLS all-atom force field on conformational energetics and properties of organic liquids. J. Am. Chem. Soc. 1996, 118, 11225–11236. [Google Scholar] [CrossRef]
- Tubiana, T.; Carvaillo, J.C.; Boulard, Y.; Bressanelli, S. TTClust: A Versatile Molecular Simulation Trajectory Clustering Program with Graphical Summaries. J. Chem. Inf. Model. 2018, 58, 2178–2182. [Google Scholar] [CrossRef] [PubMed]
- Harini, K.; Christoffer, C.; Gromiha, M.M.; Kihara, D. Pairwise and Multi-chain Protein Docking Enhanced Using LZerD Web Server. Methods Mol. Biol. 2023, 2690, 355–373. [Google Scholar] [CrossRef] [PubMed]
- Xue, L.C.; Rodrigues, J.P.; Kastritis, P.L.; Bonvin, A.M.; Vangone, A. PRODIGY: A web server for predicting the binding affinity of protein-protein complexes. Bioinformatics 2016, 32, 3676–3678. [Google Scholar] [CrossRef]
- Laskowski, R.A.; Swindells, M.B. LigPlot+: Multiple ligand-protein interaction diagrams for drug discovery. J. Chem. Inf. Model. 2011, 51, 2778–2786. [Google Scholar] [CrossRef] [PubMed]
- Jonker, H.R.; Wechselberger, R.W.; Pinkse, M.; Kaptein, R.; Folkers, G.E. Gradual phosphorylation regulates PC4 coactivator function. FEBS J. 2006, 273, 1430–1444. [Google Scholar] [CrossRef][Green Version]
- Jonker, H.R.; Wechselberger, R.W.; Boelens, R.; Kaptein, R.; Folkers, G.E. The intrinsically unstructured domain of PC4 modulates the activity of the structured core through inter- and intramolecular interactions. Biochemistry 2006, 45, 5067–5081. [Google Scholar] [CrossRef]
- Batta, K.; Kundu, T.K. Activation of p53 function by human transcriptional coactivator PC4: Role of protein-protein interaction, DNA bending, and posttranslational modifications. Mol. Cell. Biol. 2007, 27, 7603–7614, Erratum in Mol. Cell. Biol. 2020, 40, e00364-20. [Google Scholar] [CrossRef]
- Coseno, M.; Martin, G.; Berger, C.; Gilmartin, G.; Keller, W.; Doublié, S. Crystal structure of the 25 kDa subunit of human cleavage factor Im. Nucleic Acids Res. 2008, 36, 3474–3483. [Google Scholar] [CrossRef][Green Version]
- Yang, Q.; Coseno, M.; Gilmartin, G.M.; Doublié, S. Crystal structure of a human cleavage factor CFI(m)25/CFI(m)68/RNA complex provides an insight into poly(A) site recognition and RNA looping. Structure 2011, 19, 368–377. [Google Scholar] [CrossRef]
- Kim, S.; Yamamoto, J.; Chen, Y.; Aida, M.; Wada, T.; Handa, H.; Yamaguchi, Y. Evidence that cleavage factor Im is a heterotetrameric protein complex controlling alternative polyadenylation. Genes Cells Devoted Mol. Cell. Mech. 2010, 15, 1003–1013. [Google Scholar] [CrossRef]
- Kaiser, K.; Stelzer, G.; Meisterernst, M. The coactivator p15 (PC4) initiates transcriptional activation during TFIIA-TFIID-promoter complex formation. EMBO J. 1995, 14, 3520–3527. [Google Scholar] [CrossRef]
- Malik, S.; Guermah, M.; Roeder, R.G. A dynamic model for PC4 coactivator function in RNA polymerase II transcription. Proc. Natl. Acad. Sci. USA 1998, 95, 2192–2197. [Google Scholar] [CrossRef]
- Vangone, A.; Bonvin, A.M. Contacts-based prediction of binding affinity in protein-protein complexes. eLife 2015, 4, e07454. [Google Scholar] [CrossRef]
- de Ruiter, A.; Oostenbrink, C. Advances in the calculation of binding free energies. Curr. Opin. Struct. Biol. 2020, 61, 207–212. [Google Scholar] [CrossRef] [PubMed]
- Sonoiki, E.; Ng, C.L.; Lee, M.C.; Guo, D.; Zhang, Y.K.; Zhou, Y.; Alley, M.R.; Ahyong, V.; Sanz, L.M.; Lafuente-Monasterio, M.J.; et al. A potent antimalarial benzoxaborole targets a Plasmodium falciparum cleavage and polyadenylation specificity factor homologue. Nat. Commun. 2017, 8, 14574. [Google Scholar] [CrossRef] [PubMed]
- Swale, C.; Bougdour, A.; Gnahoui-David, A.; Tottey, J.; Georgeault, S.; Laurent, F.; Palencia, A.; Hakimi, M.A. Metal-captured inhibition of pre-mRNA processing activity by CPSF3 controls Cryptosporidium infection. Sci. Transl. Med. 2019, 11, eaax7161. [Google Scholar] [CrossRef] [PubMed]
- Farhat, D.C.; Bowler, M.W.; Communie, G.; Pontier, D.; Belmudes, L.; Mas, C.; Corrao, C.; Couté, Y.; Bougdour, A.; Lagrange, T.; et al. A plant-like mechanism coupling m6A reading to polyadenylation safeguards transcriptome integrity and developmental gene partitioning in Toxoplasma. eLife 2021, 10, e68312. [Google Scholar] [CrossRef]







Disclaimer/Publisher’s Note: The statements, opinions and data contained in all publications are solely those of the individual author(s) and contributor(s) and not of MDPI and/or the editor(s). MDPI and/or the editor(s) disclaim responsibility for any injury to people or property resulting from any ideas, methods, instructions or products referred to in the content. |
© 2026 by the authors. Licensee MDPI, Basel, Switzerland. This article is an open access article distributed under the terms and conditions of the Creative Commons Attribution (CC BY) license.
Share and Cite
Ospina-Villa, J.D.; Cisneros-Sarabia, A.; Leal-Acosta, R.P.; Reyes-López, C.A.S.; Zamorano-Carrillo, A.; Ramírez-Moreno, E.; Marchat, L.A. Interaction Between Transcription Factor EhPC4 and Polyadenylation Factor EhCFIm25 in Entamoeba histolytica: Molecular Characterization and Functional Implications. Microorganisms 2026, 14, 809. https://doi.org/10.3390/microorganisms14040809
Ospina-Villa JD, Cisneros-Sarabia A, Leal-Acosta RP, Reyes-López CAS, Zamorano-Carrillo A, Ramírez-Moreno E, Marchat LA. Interaction Between Transcription Factor EhPC4 and Polyadenylation Factor EhCFIm25 in Entamoeba histolytica: Molecular Characterization and Functional Implications. Microorganisms. 2026; 14(4):809. https://doi.org/10.3390/microorganisms14040809
Chicago/Turabian StyleOspina-Villa, Juan David, Alondra Cisneros-Sarabia, Rocío Paulina Leal-Acosta, César Augusto Sandino Reyes-López, Absalom Zamorano-Carrillo, Esther Ramírez-Moreno, and Laurence A. Marchat. 2026. "Interaction Between Transcription Factor EhPC4 and Polyadenylation Factor EhCFIm25 in Entamoeba histolytica: Molecular Characterization and Functional Implications" Microorganisms 14, no. 4: 809. https://doi.org/10.3390/microorganisms14040809
APA StyleOspina-Villa, J. D., Cisneros-Sarabia, A., Leal-Acosta, R. P., Reyes-López, C. A. S., Zamorano-Carrillo, A., Ramírez-Moreno, E., & Marchat, L. A. (2026). Interaction Between Transcription Factor EhPC4 and Polyadenylation Factor EhCFIm25 in Entamoeba histolytica: Molecular Characterization and Functional Implications. Microorganisms, 14(4), 809. https://doi.org/10.3390/microorganisms14040809

