Bioprospecting Honey-Derived Microorganisms for the Biological Control of Phytopathogens
Abstract
1. Introduction
2. Materials and Methods
2.1. Biological Materials
2.2. Disk Diffusion Assay

2.3. Fungal Inhibition and Morphological Analysis

2.4. Statistical Analysis
2.4.1. Proxy System Validation and Correlation Analysis
2.4.2. Assessment of Antagonistic Activity
2.5. Sequencing and Molecular Identification
3. Results
3.1. Bioprospecting
3.2. Results of Disk Diffusion Assay
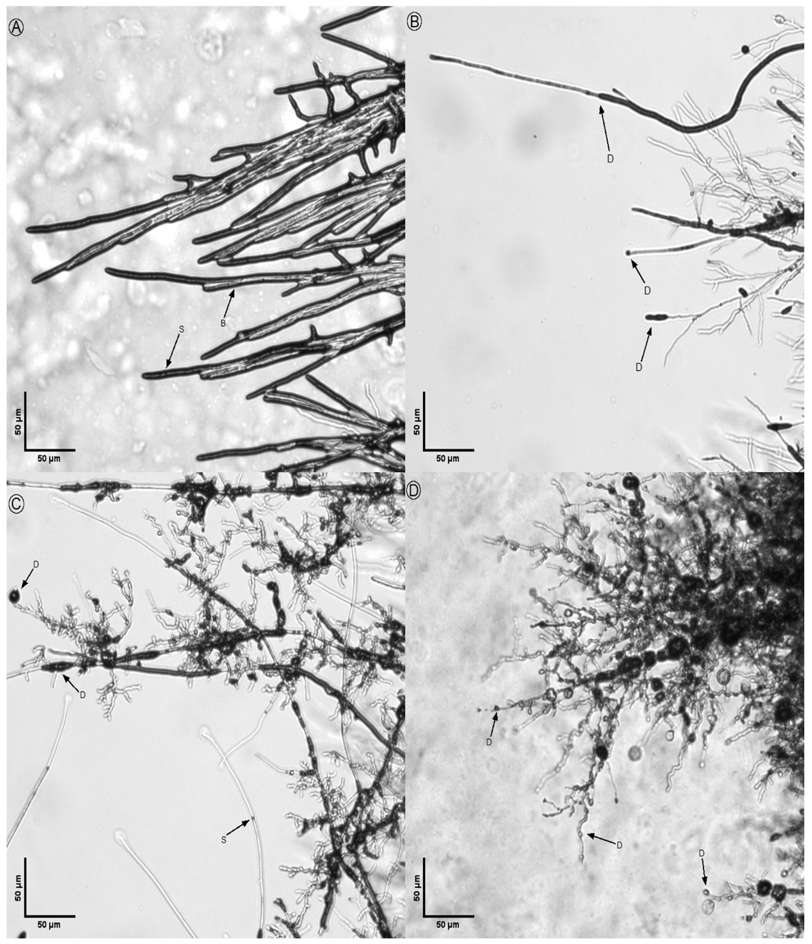
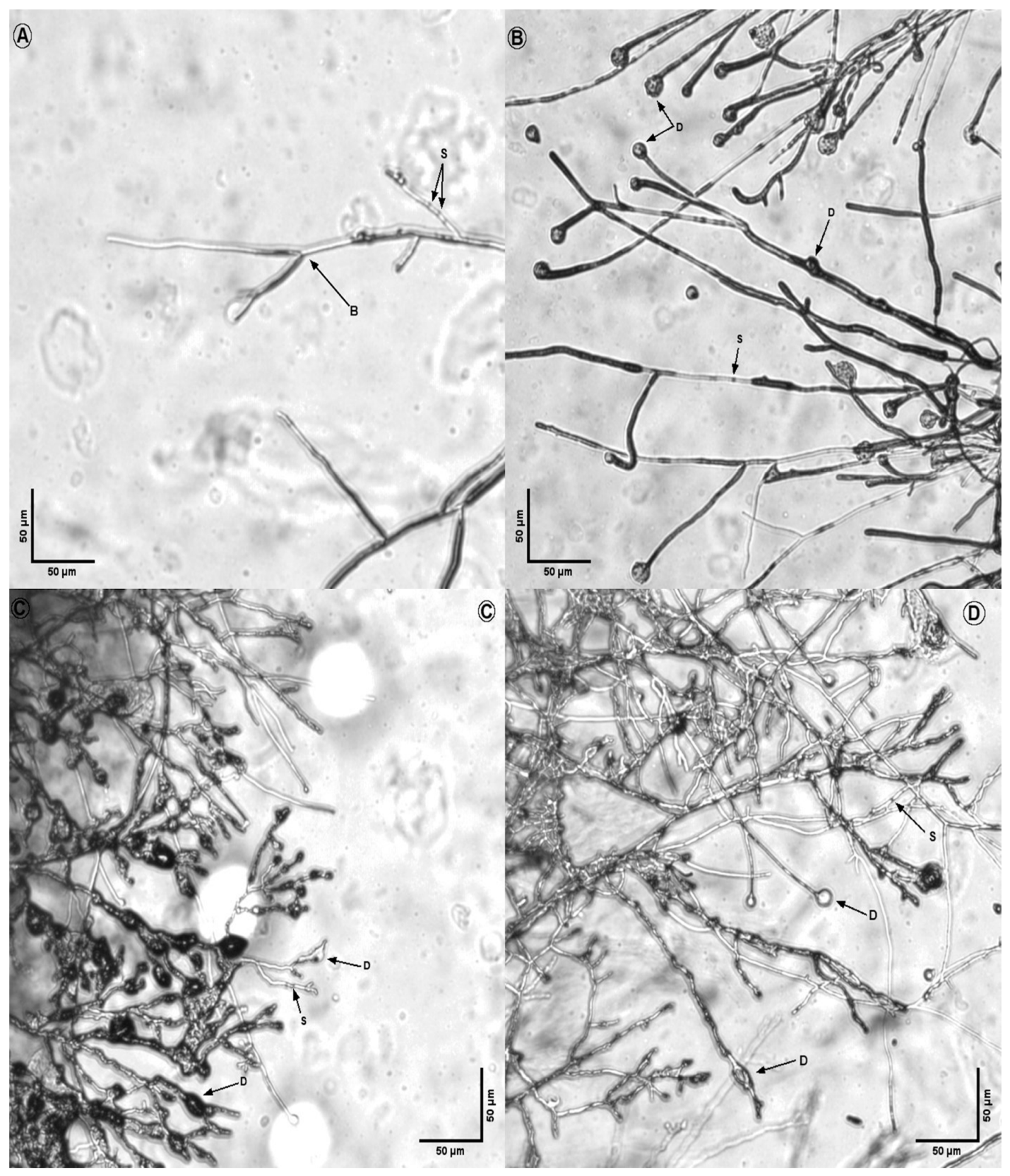
3.3. Fungal Inhibition and Morphological Analysis
3.4. Sequencing and Molecular Identification of Bacterial Strains
4. Discussion
4.1. Honey as a Reservoir for Stress-Tolerant Microorganisms and Efficiency of Proxies
4.2. Comparative Efficacy and Morphological Interpretations
4.3. Taxonomic Identification and Ecological Origin
Supplementary Materials
Author Contributions
Funding
Institutional Review Board Statement
Informed Consent Statement
Data Availability Statement
Acknowledgments
Conflicts of Interest
References
- Maitra, S.; Brestic, M.; Bhadra, P.; Shankar, T.; Praharaj, S.; Palai, J.B.; Shah, M.M.R.; Barek, V.; Ondrisik, P.; Skalický, M.; et al. Bioinoculants—Natural Biological Resources for Sustainable Plant Production. Microorganisms 2022, 10, 51. [Google Scholar] [CrossRef]
- Chakraborty, S.; Newton, A.C. Climate Change, Plant Diseases and Food Security: An Overview. Plant Pathol. 2011, 60, 2–14. [Google Scholar] [CrossRef]
- Miller, S.A.; Ferreira, J.P.; LeJeune, J.T. Antimicrobial Use and Resistance in Plant Agriculture: A One Health Perspective. Agriculture 2022, 12, 289. [Google Scholar] [CrossRef]
- Kelbrick, M.; Hesse, E.; O’ Brien, S. Cultivating Antimicrobial Resistance: How Intensive Agriculture Ploughs the Way for Antibiotic Resistance. Microbiology 2023, 169, 001384. [Google Scholar] [CrossRef] [PubMed]
- FAO. Pesticides Use, Pesticides Trade and Pesticides Indicators; FAO: Rome, Italy, 2022; ISBN 978-92-5-136614-1. [Google Scholar]
- John, D.A.; Babu, G.R. Lessons from the Aftermaths of Green Revolution on Food System and Health. Front. Sustain. Food Syst. 2021, 5, 644559. [Google Scholar] [CrossRef]
- Brunelle, T.; Chakir, R.; Carpentier, A.; Dorin, B.; Goll, D.; Guilpart, N.; Maggi, F.; Makowski, D.; Nesme, T.; Roosen, J.; et al. Reducing Chemical Inputs in Agriculture Requires a System Change. Commun. Earth Environ. 2024, 5, 369. [Google Scholar] [CrossRef]
- Batuman, O.; Britt-Ugartemendia, K.; Kunwar, S.; Yilmaz, S.; Fessler, L.; Redondo, A.; Chumachenko, K.; Chakravarty, S.; Wade, T. The Use and Impact of Antibiotics in Plant Agriculture: A Review. Phytopathology 2024, 114, 885–909. [Google Scholar] [CrossRef]
- Pathak, V.M.; Verma, V.K.; Rawat, B.S.; Kaur, B.; Babu, N.; Sharma, A.; Dewali, S.; Yadav, M.; Kumari, R.; Singh, S.; et al. Current Status of Pesticide Effects on Environment, Human Health and It’s Eco-Friendly Management as Bioremediation: A Comprehensive Review. Front. Microbiol. 2022, 13, 962619. [Google Scholar] [CrossRef]
- McKernan, C.; Benson, T.; Farrell, S.; Dean, M. Antimicrobial Use in Agriculture: Critical Review of the Factors Influencing Behaviour. JAC-Antimicrob. Resist. 2021, 3, dlab178. [Google Scholar] [CrossRef]
- Verhaegen, M.; Bergot, T.; Liebana, E.; Stancanelli, G.; Streissl, F.; Mingeot-Leclercq, M.-P.; Mahillon, J.; Bragard, C. On the Use of Antibiotics to Control Plant Pathogenic Bacteria: A Genetic and Genomic Perspective. Front. Microbiol. 2023, 14, 1221478. [Google Scholar] [CrossRef]
- Fisher, M.C.; Alastruey-Izquierdo, A.; Berman, J.; Bicanic, T.; Bignell, E.M.; Bowyer, P.; Bromley, M.; Brüggemann, R.; Garber, G.; Cornely, O.A.; et al. Tackling the Emerging Threat of Antifungal Resistance to Human Health. Nat. Rev. Microbiol. 2022, 20, 557–571. [Google Scholar] [CrossRef] [PubMed]
- Mansfield, J.; Genin, S.; Magori, S.; Citovsky, V.; Sriariyanum, M.; Ronald, P.; Dow, M.; Verdier, V.; Beer, S.V.; Machado, M.A.; et al. Top 10 Plant Pathogenic Bacteria in Molecular Plant Pathology. Mol. Plant. Pathol. 2012, 13, 614–629. [Google Scholar] [CrossRef] [PubMed]
- Starr, M.P.; Chatterjee, A.K. The Genus Erwinia: Enterobacteria Pathogenic to Plants and Animals. Annu. Rev. Microbiol. 1972, 26, 389–426. [Google Scholar] [CrossRef] [PubMed]
- Timilsina, S.; Potnis, N.; Newberry, E.A.; Liyanapathiranage, P.; Iruegas-Bocardo, F.; White, F.F.; Goss, E.M.; Jones, J.B. Xanthomonas Diversity, Virulence and Plant–Pathogen Interactions. Nat. Rev. Microbiol. 2020, 18, 415–427. [Google Scholar] [CrossRef]
- Brunings, A.M.; Gabriel, D.W. Xanthomonas citri: Breaking the Surface. Mol. Plant. Pathol. 2003, 4, 141–157. [Google Scholar] [CrossRef]
- Volkers, R.J.M.; van Doorn, B.B.J.A.; Blom, N.I.; van de Bilt, J.L.J.; Gorkink-Smits, P.M.A.; Landman, M.N.M.; Teunissen, M.; Pel, M.J.C.; Raaymakers, T.M.; Bergsma-Vlami, M. Xanthomonas citri Pv. citri Findings in Citrus Fruits Imported in the Netherlands. Plant Health Prog. 2024, 25, 237–243. [Google Scholar] [CrossRef]
- National Academies of Sciences, Engineering, and Medicine; Health and Medicine Division; Board on Global Health; Forum on Microbial Threats. Fungicide Resistance in Plant Protection Use. In The Role of Plant Agricultural Practices on Development of Antimicrobial Resistant Fungi Affecting Human Health: Proceedings of a Workshop Series; Haag, T., Nicholson, A., Ashby, E., Eds.; National Academies Press (US): Washington, DC, USA, 2023. [Google Scholar]
- van Rhijn, N.; Storer, I.S.R.; Birch, M.; Oliver, J.D.; Bottery, M.J.; Bromley, M.J. Aspergillus Fumigatus Strains That Evolve Resistance to the Agrochemical Fungicide Ipflufenoquin in Vitro Are Also Resistant to Olorofim. Nat. Microbiol. 2024, 9, 29–34. [Google Scholar] [CrossRef]
- Hossain, M.M.; Sultana, F.; Li, W.; Tran, L.-S.P.; Mostofa, M.G. Sclerotinia sclerotiorum (Lib.) de Bary: Insights into the Pathogenomic Features of a Global Pathogen. Cells 2023, 12, 1063. [Google Scholar] [CrossRef]
- Akber, M.A.; Mubeen, M.; Sohail, M.A.; Khan, S.W.; Solanki, M.K.; Khalid, R.; Abbas, A.; Divvela, P.K.; Zhou, L. Global Distribution, Traditional and Modern Detection, Diagnostic, and Management Approaches of Rhizoctonia Solani Associated with Legume Crops. Front. Microbiol. 2023, 13, 1091288. [Google Scholar] [CrossRef]
- Ajayi-Oyetunde, O.O.; Bradley, C.A. Rhizoctonia solani: Taxonomy, Population Biology and Management of Rhizoctonia Seedling Disease of Soybean. Plant Pathol. 2018, 67, 3–17, Correction in Plant Pathol. 2022, 72, 406. [Google Scholar] [CrossRef]
- Blacutt, A.A.; Gold, S.E.; Voss, K.A.; Gao, M.; Glenn, A.E. Fusarium verticillioides: Advancements in Understanding the Toxicity, Virulence, and Niche Adaptations of a Model Mycotoxigenic Pathogen of Maize. Phytopathology 2018, 108, 312–326. [Google Scholar] [CrossRef] [PubMed]
- Dong, S.; Jiang, K.; Huai, B.; Ye, L.; You, J.; Ma, Y.; Tan, G. Genetic Variability and Pathogenicity of Fusarium verticillioides Isolates from the Summer-Sown Maize Regions in China. Plant Pathol. 2023, 72, 582–592. [Google Scholar] [CrossRef]
- Shah, D.A.; De Wolf, E.D.; Paul, P.A.; Madden, L.V. Functional Data Analysis of Weather Variables Linked to Fusarium Head Blight Epidemics in the United States. Phytopathology 2019, 109, 96–110. [Google Scholar] [CrossRef] [PubMed]
- Jackson, E.; Li, J.; Weerasinghe, T.; Li, X. The Ubiquitous Wilt-Inducing Pathogen Fusarium oxysporum—A Review of Genes Studied with Mutant Analysis. Pathogens 2024, 13, 823. [Google Scholar] [CrossRef]
- Dongzhen, F.; Xilin, L.; Xiaorong, C.; Wenwu, Y.; Yunlu, H.; Yi, C.; Jia, C.; Zhimin, L.; Litao, G.; Tuhong, W.; et al. Fusarium Species and Fusarium oxysporum Species Complex Genotypes Associated with Yam Wilt in South-Central China. Front. Microbiol. 2020, 11, 1964. [Google Scholar] [CrossRef]
- Kema, G.H.J.; Drenth, A.; Dita, M.; Jansen, K.; Vellema, S.; Stoorvogel, J.J. Editorial: Fusarium Wilt of Banana, a Recurring Threat to Global Banana Production. Front. Plant Sci. 2021, 11, 628888. [Google Scholar] [CrossRef]
- Bi, K.; Liang, Y.; Mengiste, T.; Sharon, A. Killing Softly: A Roadmap of Botrytis Cinerea Pathogenicity. Trends Plant Sci. 2023, 28, 211–222. [Google Scholar] [CrossRef]
- Chen, L. Complete Genome Sequence of Bacillus velezensis LM2303, a Biocontrol Strain Isolated from the Dung of Wild Yak Inhabited Qinghai-Tibet Plateau. J. Biotechnol. 2017, 251, 124–127. [Google Scholar] [CrossRef]
- Cheung, N.; Tian, L.; Liu, X.; Li, X. The Destructive Fungal Pathogen Botrytis Cinerea—Insights from Genes Studied with Mutant Analysis. Pathogens 2020, 9, 923. [Google Scholar] [CrossRef]
- Mann, A.; Nehra, K.; Rana, J.S.; Dahiya, T. Antibiotic Resistance in Agriculture: Perspectives on Upcoming Strategies to Overcome Upsurge in Resistance. Curr. Res. Microb. Sci. 2021, 2, 100030. [Google Scholar] [CrossRef]
- Saini, M.; Saharan, B.S.; Kumar, S.; Badoni, P.; Jabborova, D.; Duhan, J.S.; Kamal, N. Exploring Plant and Microbial Antimicrobials for Sustainable Public Health and Environmental Preservation. Discov. Public Health 2024, 21, 76. [Google Scholar] [CrossRef]
- Singh, B.K.; Delgado-Baquerizo, M.; Egidi, E.; Guirado, E.; Leach, J.E.; Liu, H.; Trivedi, P. Climate Change Impacts on Plant Pathogens, Food Security and Paths Forward. Nat. Rev. Microbiol. 2023, 21, 640–656. [Google Scholar] [CrossRef] [PubMed]
- Islam, T.; Rabbee, M.F.; Choi, J.; Baek, K.-H. Biosynthesis, Molecular Regulation, and Application of Bacilysin Produced by Bacillus Species. Metabolites 2022, 12, 397. [Google Scholar] [CrossRef] [PubMed]
- Rabbee, M.F.; Ali, M.S.; Choi, J.; Hwang, B.S.; Jeong, S.C.; Baek, K. Bacillus velezensis: A Valuable Member of Bioactive Molecules within Plant Microbiomes. Molecules 2019, 24, 1046. [Google Scholar] [CrossRef]
- Cars, O.; Chandy, S.J.; Mpundu, M.; Peralta, A.Q.; Zorzet, A.; So, A.D. Resetting the Agenda for Antibiotic Resistance through a Health Systems Perspective. Lancet Glob. Health 2021, 9, e1022–e1027. [Google Scholar] [CrossRef]
- de Oliveira, C.A.; de Paula, G.T.; Pupo, M.T. Produtos Naturais Bioativos a Partir da Associação Simbiótica de Abelhas e Bactérias: Bioactive Natural Products from the Symbiotic Association of Bees and Bacteria. Rev. Virtual Química 2023, 15, 1179–1190. [Google Scholar]
- Grundmann, C.O.; Guzman, J.; Vilcinskas, A.; Pupo, M.T. The Insect Microbiome Is a Vast Source of Bioactive Small Molecules. Nat. Prod. Rep. 2024, 41, 935–967. [Google Scholar] [CrossRef]
- Dharampal, P.S.; Diaz-Garcia, L.; Haase, M.A.B.; Zalapa, J.; Currie, C.R.; Hittinger, C.T.; Steffan, S.A. Microbial Diversity Associated with the Pollen Stores of Captive-Bred Bumble Bee Colonies. Insects 2020, 11, 250. [Google Scholar] [CrossRef]
- Shi, C.; Chen, T.; Lan, C.; Gan, R.; Yu, J.; Zhao, F.; Liu, Y. iMetaOmics: Advancing Human and Environmental Health through Integrated Meta-omics. iMetaOmics 2024, 1, e21. [Google Scholar] [CrossRef]
- Schaffner, U.; Heimpel, G.E.; Mills, N.J.; Muriithi, B.W.; Thomas, M.B.; Gc, Y.D.; Wyckhuys, K.A.G. Biological Control for One Health. Sci. Total Environ. 2024, 951, 175800. [Google Scholar] [CrossRef]
- Etesami, H.; Jeong, B.R.; Glick, B.R. Biocontrol of Plant Diseases by Bacillus spp. Physiol. Mol. Plant Pathol. 2023, 126, 102048. [Google Scholar] [CrossRef]
- Akinsemolu, A.A.; Onyeaka, H.; Odion, S.; Adebanjo, I. Exploring Bacillus Subtilis: Ecology, Biotechnological Applications, and Future Prospects. J. Basic Microbiol. 2024, 64, 2300614. [Google Scholar] [CrossRef]
- Roussin-Léveillée, C.; Rossi, C.A.M.; Castroverde, C.D.M.; Moffett, P. The Plant Disease Triangle Facing Climate Change: A Molecular Perspective. Trends Plant Sci. 2024, 29, 895–914. [Google Scholar] [CrossRef] [PubMed]
- Sinacori, M.; Francesca, N.; Alfonzo, A.; Cruciata, M.; Sannino, C.; Settanni, L.; Moschetti, G. Cultivable Microorganisms Associated with Honeys of Different Geographical and Botanical Origin. Food Microbiol. 2014, 38, 284–294. [Google Scholar] [CrossRef] [PubMed]
- Bilsland, E.; Sparkes, A.; Williams, K.; Moss, H.J.; de Clare, M.; Pir, P.; Rowland, J.; Aubrey, W.; Pateman, R.; Young, M.; et al. Yeast-Based Automated High-Throughput Screens to Identify Anti-Parasitic Lead Compounds. Open Biol. 2013, 3, 120158. [Google Scholar] [CrossRef] [PubMed][Green Version]
- Edgington, L.V.; Khew, K.L.; Barron, G.L. Fungitoxic Spectrum of Benzimidazole Compounds. Phytopathology 1971, 61, 2. [Google Scholar] [CrossRef]
- Camacho, C.; Coulouris, G.; Avagyan, V.; Ma, N.; Papadopoulos, J.; Bealer, K.; Madden, T.L. BLAST+: Architecture and Applications. BMC Bioinform. 2009, 10, 421. [Google Scholar] [CrossRef]
- Stavropoulou, E.; Remmas, N.; Voidarou, C.; Vrioni, G.; Konstantinidis, T.; Ntougias, S.; Tsakris, A. Microbial Community Structure among Honey Samples of Different Pollen Origin. Antibiotics 2023, 12, 101. [Google Scholar] [CrossRef]
- Donkersley, P.; Rhodes, G.; Pickup, R.W.; Jones, K.C.; Wilson, K. Bacterial Communities Associated with Honeybee Food Stores Are Correlated with Land Use. Ecol. Evol. 2018, 8, 4743–4756. [Google Scholar] [CrossRef]
- European Food Safety Authority; Anastassiadou, M.; Arena, M.; Auteri, D.; Brancato, A.; Bura, L.; Carrasco Cabrera, L.; Chaideftou, E.; Chiusolo, A.; Crivellente, F.; et al. Peer Review of the Pesticide Risk Assessment of the Active Substance Bacillus amyloliquefaciens Strain QST 713 (Formerly Bacillus subtilis Strain QST 713). EFSA J. 2021, 19, e06381. [Google Scholar] [CrossRef]
- Almasaudi, S.B.; Al-Nahari, A.A.M.; Abd El-Ghany, E.S.M.; Barbour, E.; Al Muhayawi, S.M.; Al-Jaouni, S.; Azhar, E.; Qari, M.; Qari, Y.A.; Harakeh, S. Antimicrobial Effect of Different Types of Honey on Staphylococcus aureus. Saudi J. Biol. Sci. 2017, 24, 1255–1261. [Google Scholar] [CrossRef]
- Martinotti, S.; Laforenza, U.; Patrone, M.; Moccia, F.; Ranzato, E. Honey-Mediated Wound Healing: H2O2 Entry through AQP3 Determines Extracellular Ca2+ Influx. Int. J. Mol. Sci. 2019, 20, 764. [Google Scholar] [CrossRef] [PubMed]
- Alvarez-Suarez, J.M.; Gasparrini, M.; Forbes-Hernández, T.Y.; Mazzoni, L.; Giampieri, F. The Composition and Biological Activity of Honey: A Focus on Manuka Honey. Foods 2014, 3, 420–432. [Google Scholar] [CrossRef] [PubMed]
- Bonsignore, G.; Martinotti, S.; Ranzato, E. Honey Bioactive Molecules: There Is a World Beyond the Sugars. BioTech 2024, 13, 47. [Google Scholar] [CrossRef] [PubMed]
- Singh, I.; Singh, S. Honey Moisture Reduction and Its Quality. J. Food Sci. Technol. 2018, 55, 3861–3871. [Google Scholar] [CrossRef]
- Scepankova, H.; Pinto, C.A.; Paula, V.; Estevinho, L.M.; Saraiva, J.A. Conventional and Emergent Technologies for Honey Processing: A Perspective on Microbiological Safety, Bioactivity, and Quality. Compr. Rev. Food Sci. Food Saf. 2021, 20, 5393–5420. [Google Scholar] [CrossRef]
- Subramanian, R.; Umesh Hebbar, H.; Rastogi, N.K. Processing of Honey: A Review. Int. J. Food Prop. 2007, 10, 127–143. [Google Scholar] [CrossRef]
- Beux, M.R.; Ávila, S.; Surek, M.; Bordin, K.; Leobet, J.; Barbieri, F.; Ferreira, S.M.R.; Rosa, E.A.R. Microbial Biodiversity in Honey and Pollen Pots Produced by Tetragonisca angustula (Jataí). Braz. Arch. Biol. Technol. 2022, 65, e22210440. [Google Scholar] [CrossRef]
- Mantri, B.U.; Vahidinasab, M.; Berensmeier, S. Engineering Strategies for Fungal Cell Disruption in Biotechnological Applications. Eng. Life Sci. 2025, 25, e70061. [Google Scholar] [CrossRef]
- Chen, M.; Wang, H.; Zhang, C.; Zhang, Y.; Sun, H.; Yu, L.; Zhang, Q.; Chen, X.; Xiao, H. Recent Advances in Antimicrobial Lipopeptide Fengycin Secreted by Bacillus: Structure, Biosynthesis, Antifungal Mechanisms, and Potential Application in Food Preservation. Food Chem. 2025, 489, 144937. [Google Scholar] [CrossRef]
- Gao, Z.; Zhang, B.; Liu, H.; Han, J.; Zhang, Y. Identification of Endophytic Bacillus velezensis ZSY-1 Strain and Antifungal Activity of Its Volatile Compounds against Alternaria solani and Botrytis cinerea. Biol. Control 2017, 105, 27–39. [Google Scholar] [CrossRef]










| Code | Type of Honey | Bee Species | Floral Source | Region |
|---|---|---|---|---|
| Honey 1 | Honey sachet | Apis mellifera | Wildflowers | State of São Paulo |
| Honey 2 | Honey | Tetragonisca angustula | Wildflowers | Not specified |
| Honey 3 | Honey with comb | Apis mellifera | Wildflowers | Atibaia, São Paulo (SP) |
| Honey 4 | Honeydew | Apis mellifera | Mimosa scabrella flowers | Southern Brazil |
| Honey 5 | Honey | Apis mellifera | Wildflowers | Campinas, São Paulo (SP) |
| Code | Sequence |
|---|---|
| 16S_Long F | TAAGACTGGGATAACTCCGG |
| 16S_Long R | CCATTGTAGCACGTGTGTAG |
| gyrA1_F | CAGTCAGGAAATGCGTACGTCCTT |
| gyrA1_R | CAAGGTAATGCTCCAGGCATTGCT |
| gyrA2_F | GCDGCHGCNATGCGTTAYAC |
| gyrA2_R | ACAAGMTCWGCKATTTTTTC |
| Code | EzbioCloud | Blastn | ||
|---|---|---|---|---|
| Species | % | Species | % | |
| M2.1 | Bacillus altitudinis | 99.02 | Bacillus altitudinis | 97.77 |
| M2.2 | Bacillus licheniformis | 99.21 | Bacillus licheniformis | 99.12 |
| M2.3 | Bacillus altitudinis | 99.46 | Bacillus stratosphericus | 99.06 |
| Bacillus xiamenensis | 99.32 | Bacillus altitudinis | 99.06 | |
| M2.5 | Bacillus zhangzhouensis | 99.71 | Bacillus zhangzhouensis | 99.43 |
| Bacillus safensis | 99.71 | Bacillus safensis | 99.43 | |
| Bacillus pumilus | 99.57 | Bacillus pumilus | 99.43 | |
| Bacillus australimaris | 99.57 | Bacillus australimaris | 99.43 | |
| Bacillus altitudinis | 99.14 | Bacillus altitudinis | 99.43 | |
| M2.6 | Bacillus altitudinis | 100 | Bacillus altitudinis | 99.56 |
| M2.7 | Bacillus altitudinis | 100 | Bacillus pumilus | 99.73 |
| Bacillus pumilus | 99.86 | Bacillus altitudinis | 99.59 | |
| M2.8 | Bacillus altitudinis | 98.94 | Bacillus altitudinis | 99.54 |
| Bacillus xiamenensis | 98.79 | Bacillus aerophilus | 99.54 | |
| M2.10 | Bacillus zhangzhouensis | 99.54 | Bacillus zhangzhouensis | 99.1 |
| Bacillus safensis | 99.54 | Bacillus safensis | 99.1 | |
| Bacillus pumilus | 99.39 | Bacillus pumilus | 99.1 | |
| M2.16 | Bacillus pumilus | 99.58 | Bacillus pumilus | 99.02 |
| Bacillus zhangzhouensis | 99.58 | Bacillus zhangzhouensis | 99.02 | |
| Bacillus safensis | 99.58 | Bacillus safensis | 99.02 | |
| Bacillus australimaris | 99.43 | Bacillus australimaris | 99.02 | |
| M2.20 | Bacillus zhangzhouensis | 98.82 | Bacillus zhangzhouensis | 98.55 |
| Bacillus safensis | 98.82 | Bacillus safensis | 98.55 | |
| Bacillus pumilus | 98.67 | Bacillus pumilus | 98.55 | |
| Bacillus australimaris | 98.67 | Bacillus australimaris | 98.4 | |
| M2.23 | Bacillus altitudinis | 97.83 | Bacillus altitudinis | 99.84 |
| M2.24 | Bacillus thuringiensis | 99.07 | Bacillus thuringiensis | 99.21 |
| Bacillus toyonensis | 99.07 | Bacillus toyonensis | 99.08 | |
| Bacillus proteolyticus | 99.07 | Bacillus proteolyticus | 99.08 | |
| M3.6 | Bacillus toyonensis | 99.69 | Bacillus toyonensis | 99.54 |
| Bacillus wiedmannii | 99.69 | Bacillus wiedmannii | 99.54 | |
| Bacillus cereus | 99.54 | Bacillus cereus | 99.69 | |
| M3.18 | Bacillus velezensis | 99.85 | Bacillus velezensis | 99.7 |
| Bacillus siamensis | 99.85 | Bacillus siamensis | 99.55 | |
| Bacillus amyloliquefaciens | 99.7 | Bacillus amyloliquefaciens | 99.7 | |
| M5.1 | Bacillus zhangzhouensis | 100 | Bacillus zhangzhouensis | 99.7 |
| Bacillus safensis | 100 | Bacillus safensis | 99.7 | |
| Bacillus pumilus | 99.85 | Bacillus pumilus | 99.7 | |
| Bacillus australimaris | 99.85 | Bacillus australimaris | 99.55 | |
| M5.3 | Bacillus toyonensis | 98.99 | Bacillus toyonensis | 99.42 |
| Bacillus wiedmannii | 98.99 | Bacillus wiedmannii | 99.28 | |
| Bacillus albus | 98.99 | Bacillus albus | 99.28 | |
| Bacillus proteolyticus | 98.99 | Bacillus proteolyticus | 99.28 | |
| Bacillus cereus | 98.84 | Bacillus cereus | 99.42 | |
| Bacillus thuringiensis | 98.99 | Bacillus thuringiensis | 99.28 | |
| M5.8 | Lysinibacillus fusiformis | 97.56 | Lysinibacillus fusiformis | 96 |
| M5.11 | Lysinibacillus fusiformis | 99.45 | Lysinibacillus fusiformis | 99.45 |
| Lysinibacillus sphaericus | 99.32 | Lysinibacillus sphaericus | 99.46 | |
| Code | Primer | Specie | |
|---|---|---|---|
| M2.7 | gyrA1 | Bacillus amyloliquefaciens | 99.7 |
| Bacillus velezensis | 99.7 | ||
| gyrA2 | Bacillus amyloliquefaciens | 99.75 | |
| Bacillus velezensis | 99.75 | ||
| M3.18 | gyrA1 | Bacillus amyloliquefaciens | 99.83 |
| Bacillus velezensis | 99.83 | ||
| gyrA2 | Bacillus amyloliquefaciens | 99.09 | |
| Bacillus velezensis | 99.09 | ||
Disclaimer/Publisher’s Note: The statements, opinions and data contained in all publications are solely those of the individual author(s) and contributor(s) and not of MDPI and/or the editor(s). MDPI and/or the editor(s) disclaim responsibility for any injury to people or property resulting from any ideas, methods, instructions or products referred to in the content. |
© 2026 by the authors. Licensee MDPI, Basel, Switzerland. This article is an open access article distributed under the terms and conditions of the Creative Commons Attribution (CC BY) license.
Share and Cite
Oliveira, P.P.d.; Paula, G.F.d.; Marchesan, K.B.; Souza, L.R.d.; Silva, J.F.d.M.d.; Elston, J.G.; Souza, H.M.d.; Bilsland, E. Bioprospecting Honey-Derived Microorganisms for the Biological Control of Phytopathogens. Microorganisms 2026, 14, 224. https://doi.org/10.3390/microorganisms14010224
Oliveira PPd, Paula GFd, Marchesan KB, Souza LRd, Silva JFdMd, Elston JG, Souza HMd, Bilsland E. Bioprospecting Honey-Derived Microorganisms for the Biological Control of Phytopathogens. Microorganisms. 2026; 14(1):224. https://doi.org/10.3390/microorganisms14010224
Chicago/Turabian StyleOliveira, Patrícia Perina de, Giovanna Felette de Paula, Katherine Bilsland Marchesan, Luiza Rodrigues de Souza, José Fhilipe de Miranda da Silva, João Gabriel Elston, Henrique Marques de Souza, and Elizabeth Bilsland. 2026. "Bioprospecting Honey-Derived Microorganisms for the Biological Control of Phytopathogens" Microorganisms 14, no. 1: 224. https://doi.org/10.3390/microorganisms14010224
APA StyleOliveira, P. P. d., Paula, G. F. d., Marchesan, K. B., Souza, L. R. d., Silva, J. F. d. M. d., Elston, J. G., Souza, H. M. d., & Bilsland, E. (2026). Bioprospecting Honey-Derived Microorganisms for the Biological Control of Phytopathogens. Microorganisms, 14(1), 224. https://doi.org/10.3390/microorganisms14010224

