Abstract
Berberine and carvacrol have demonstrated anti-inflammatory effects; however, their therapeutic potential in endometritis remains unclear. (Aims) This study aimed to examine the anti-inflammatory properties of berberine and carvacrol in a murine model of endometritis, with a focus on the underlying molecular mechanisms. (Main methods) The model was established via vaginal instillation of 0.1 mL of a mixture containing Escherichia coli, Staphylococcus aureus, and Group B Streptococcus, followed by treatment with 0.1 mL of berberine (4 mg/mL) and carvacrol (0.125 mg/mL) six days post-infection. All mice were euthanized on day 13, and uterine tissues were collected for subsequent analyses. (Key findings) Treatment with berberine and carvacrol significantly reduced tissue injury associated with endometritis, decreased mRNA expression of TLR2 and TLR4 (p < 0.01), and inhibited the phosphorylation of NF-κB and MAPK pathway-associated proteins, as well as the mRNA expression and levels of pro-inflammatory cytokines. (Significance) Berberine and carvacrol exhibit significant therapeutic effects against bacterial-induced endometritis by reducing TLR2 and TLR4 expression, inhibiting NF-κB and MAPK pathway activation, and decreasing pro-inflammatory cytokine production, thus demonstrating robust anti-inflammatory activity.
1. Introduction
Endometritis is a common clinical disorder in dairy cows, characterized by fever, anorexia, reduced milk production, purulent uterine discharge, and uterine abnormalities detectable via rectal examination. It primarily arises from microbial infections, predominantly bacterial pathogens such as Escherichia coli, Streptococcus pyogenes, Fusobacterium necrophorum, and Staphylococcus aureus [1,2]. Pathogens can enter the uterus through the vagina via the open cervical canal during production processes, insemination, or uterine examinations, leading to intrauterine infections. These infections trigger endometritis, disrupt the uterine lining, impair follicular function, and affect oocyte development, resulting in infertility in dairy cows [3]. Endometritis in dairy cows has been widely reported across the globe; an epidemiological study in Hebei Province revealed a total incidence of 24.62%, peaking at 43.08% in July. This underscores the significant impact of endometritis on the health of the dairy industry [4,5]. Clinically, antibiotics (administered intrauterinely or systemically) and prostaglandins (PGF2α, systemically) are commonly used to treat or prevent endometritis in dairy cows [6]. However, E. coli has demonstrated high resistance to multiple antibiotics, likely due to the extensive use of broad-spectrum antibiotics in clinical treatment [7]. Consequently, there is an urgent need for new therapeutic strategies that can effectively combat bacterial endometritis, particularly for drug-resistant pathogens.
Chinese medicines exhibit a broad spectrum of antibacterial and anti-inflammatory properties. Berberine and carvacrol, two active components derived from Chinese medicine, possess multiple effects, including antibacterial, antioxidant, anti-inflammatory, and immune-enhancing properties. Both compounds are hydrophobic and can interact with the lipid bilayer of bacterial membranes, destabilizing them and exerting antibacterial effects [8]. Silva Lima demonstrated the use of trace amounts of carvacrol to treat inflammatory edema in the rat foot, reducing levels of TNF-α and IL-1β [9]. NF-κB (nuclear factor κB) is a family of transcription factors widely expressed in cells, composed of hetero- or homodimers formed from subunits including p50, p52, p65, c-Rel, and RelB; activation occurs in response to inflammatory mediators, pathogen-associated molecular patterns, or damage-associated molecular patterns through membrane receptors such as Toll-like receptors (TLRs) and tumor necrosis factor receptors (TNFRs), leading to rapid induction of pro-inflammatory gene expression. The mitogen-activated protein kinase (MAPK) signaling pathway comprises three main cascades: extracellular signal-regulated kinase (ERK), c-Jun N-terminal kinase (JNK), and p38 MAPK. These pathways regulate cellular processes including proliferation, differentiation, stress responses, apoptosis, and inflammation. Synergistic interactions between NF-κB and MAPK pathways amplify inflammatory responses and enhance the transcriptional activation of pro-inflammatory genes such as interleukin-8 (IL-8) [10]. Pretreatment with carvacrol inhibits ERK 1/2 phosphorylation, which inhibits the activation of the NF-κB signaling pathway and attenuates lipopolysaccharide (LPS)-induced inflammatory response [11]. In contrast, berberine targets the eukaryotic translation initiation factor 2 alpha kinase 2 (EIF2AK2), modulating multiple signaling pathways and alleviating inflammation by downregulating the expression of IL-18β, IL-2, and TNF-α [12]. However, the therapeutic potential of berberine and carvacrol in the treatment of endometritis remains underexplored. Therefore, this study aimed to construct a murine model of endometritis induced by mixed bacterial infection and investigate the therapeutic mechanisms of these herbal components, thereby laying the groundwork for the development of novel alternative antibiotics for the prevention and treatment of endometritis.
2. Materials and Methods
2.1. Drugs and Reagents
The 64 8-week-old female Kunming mice used in the experiment were purchased from Spearfish Biotechnology Co. (Beijing, China). This study followed the NIH Guide for the Care and Use of Laboratory Animals. Berberine (CAS:2086-83-1) was purchased from Hubei Jusheng Technology Co. Ltd. (Tianmen, China); carvacrol (CAS:499-75-2) was purchased from Shanghai Macklin Biochemical Co. (Shanghai, China); Escherichia coli (1919D3) was provided by the College of Animal Medicine, Hebei Agricultural University; Staphylococcus aureus (186158) and GBS (NBCC 336970) were purchased from Guangzhou Leizhi Biotechnology Co. Ltd. Guangzhou, China); ELISA kits (TNF-α (ml002095), IL-1β (ml107159), IL-6 (mI098430), and IL-8 (ml063162)) were purchased from Shanghai Enzyme-linked Biotechnology Co., Ltd. (Shanghai, China); FastKing gDNA Dispelling RT Super Mix (FP313) was obtained from Stiangen Biotech (Beijing, China) Co., Ltd.; SuperReal PreMix Plus (FP205) was purchased from Tiangen Biotech (Beijing, China) Co., Ltd.; ECL chemiluminescence kit was purchased from New Cell & Molecular Biotech Co. (Suzhou, China); rabbit-derived anti-mouse primary antibody (including rabbit β-Actin primary antibody (bs-0061R), rabbit p-IκB-α primary antibody (bs-2513R), rabbit p-p65 primary antibody (bs-0465R), rabbit p-ERK1/2 primary antibody (bs-1020R), rabbit p-JNK1 primary antibody (bsm-61084R), rabbit p-p38 primary antibody (bsm-55529R)) and rabbit secondary antibodies (IHC005) were purchased from Beijing Biosynthesis Biotechnology Co. (Beijing, China).
2.2. In Vitro Bacteriostatic Assay of Berberine and Carvacrol
The minimum inhibitory concentration (MIC) and minimum bactericidal concentration (MBC) of berberine and carvacrol were determined using the culture broth dilution method (CLSI M07-A8). The MIC was selected as the subsequent test drug concentration.
2.3. Drug Safety Tests of Berberine and Carvacrol
Drug irritation was detected using the acute eye irritation test [13]. The eyes of the rabbits were injected with berberine and carvacrol, and the damage and recovery of the conjunctiva, iris, and cornea were observed; using the accumulation toxicity test, the mice were injected with berberine and carvacrol vaginally and then euthanized 24 h later; the intact uteri were removed by dissecting the uterus. Any congestion and edema were observed with the naked eye, and histopathological changes were observed with a microscope. According to the results of the drug safety test, the Chinese medicine components with a low bacterial inhibitory concentration and which were safe for mice uteri were selected for the subsequent therapeutic test.
2.4. Modeling of Bacterial Infectious Endometritis
A total of 108 CFU/mL of E. coli, S. aureus and GBS were activated and amplified, and the bacterial solution was mixed at a volume ratio of 1:1:1. A total of 60 mice were randomly divided into control, 3-day, 5-day, and 7-day groups, with 12 mice in each group (3 replicates, n = 4). The control group was infused with PBS transvaginally on day 7 for seven consecutive days; the 3-d group was infused with the bacterial solution on day 11 for three consecutive days; the 5-d group was infused with the bacterial solution on day 9 for five consecutive days; and the 7-d group was infused with the bacterial solution on day 7 for seven consecutive days; all the mice were euthanized on day 15 in order to collect uterine samples, record the body and uterine weights, observe the pathological changes in the tissues, and select the appropriate animal model for the follow-up therapeutic tests.
2.5. Treatment of Bacterial Endometritis with Berberine and Carvacrol
2.5.1. Treatment of Bacterial Endometritis in Mice with Berberine and Carvacrol
A total of 64 mice were randomly divided into four groups, (n = 16). The experimental manipulations are shown in Figure 1 below. The model, berberine-treated, and carvacrol-treated groups completed modeling on day 5 and began treatment on day 6. The test mice in each group were euthanized on day 13 to collect uterine samples, record body and uterine weights, and observe the pathological changes in the tissues; the samples were then stored at −80 °C.
Figure 1.
Experimental treatment of endometritis in mice with berberine and carvacrol.
2.5.2. Measurement of Uterine Index and Histomorphological Observation
The uterus was dissected after euthanasia of the mice; the uterine weight was recorded and the uterine index was calculated (uterine index = uterine weight (mg)/mouse weight (g)). The uterine tissues were fixed in 4% paraformaldehyde and then embedded in paraffin wax and cut into 5 μm sections using a slicer. Subsequently, pathologic evaluation was performed under a light microscope after staining with hematoxylin–eosin (H&E).
2.5.3. Enzyme-Linked Immunosorbent Assay
A total of 50 g of uterine tissue was weighed, and 450 µL of saline was add according to the ratio of weight (g):volume (mL) = 1:9, the tissue was sheared, pre-cooled steel beads were added, and the tissue was broken in a tissue homogenizer to make a 10% homogenate, which was then centrifuged at 2500 r/min for 10 min at 4 °C. The supernatant was remove for the cytokine assay. The levels of pro-inflammatory and anti-inflammatory markers in the supernatant were determined using an enzyme-linked immunosorbent assay kit.
2.5.4. DNA Extraction and Real-Time Fluorescence Quantitative Polymerase Chain Reaction
Total RNA from the uterine tissues was extracted using the Trizol (1 mL/20 mg) method (Beijing Solarbio Science & Technology Co., Ltd., Beijing, China). RNA reverse transcription and RT-qPCR steps were performed according to the manufacturer’s instructions for the experiments. RT-qPCR was run in a LightCycler 480® system (F. Hoffmann-La Roche, Ltd, Basel, Switzerland). Each sample was analyzed in triplicate, and then RT-qPCR was assayed using 2−∆∆Ct relative gene expression analysis, with GAPDH expression as an endogenous control. Primers were synthesized by Sangon Biotech Co., Ltd. (Shanghai, China), and the primer sequences are shown in Table 1. The RT-qPCR reaction program is shown in Table 2.
Table 1.
Primer information.
Table 2.
Real-time fluorescence quantitative PCR reaction program.
2.5.5. Western Blotting
RIPA, PMSF, protein phosphatase inhibitor, and inhibitory peptide were mixed in the ratio of 1000:10:10:1 on ice and set aside. A total of 50 mg of uterine tissue was taken into 450 μL of the configured RIPA lysate, which was broken using a homogenizer and centrifuged to obtain protein extracts. After determining the protein concentration of each sample using a BCA assay kit, an equal amount of protein was subjected to 12% SDS-PAGE and then electrotransferred to a PVDF membrane, which was closed with 5% skimmed milk for 1 h at room temperature. The membrane was then shaken with primary antibody overnight at 4 °C and then incubated with secondary antibody for 1 h at room temperature. The blots were detected using an ultrasensitive ECL chemiluminescence kit and visualized using a Bio-Rad imaging system (Bio-Rad, Hercules, CA, USA). Protein quantification, performed with β-actin expression, was normalized. Finally, the resulting bands were analyzed by Image J (Version 1.54h) for gray value.
2.6. Statistical Analysis
Data were first evaluated via a Chi-square test using SPSS 21.0 software and then analyzed by one-way ANOVA, with p < 0.05 being significant, and p < 0.001 being highly significant and the results expressed as SEM ± mean. Finally, bar graphs were plotted using the GraphPad Prism program (Version 10.1.2, GraphPad, Boston, MA, USA).
3. Results
3.1. In Vitro Antibacterial Activity of Berberine and Carvacrol
Pharmacognostic tests were performed on Escherichia coli, Staphylococcus aureus, and Group B Streptococcus using tablets containing 3.2 g of berberine and carvacrol. The results are presented in Table 3. The diameter of the circle of inhibition of berberine was greater than 10.00 mm, which indicates high sensitivity, and the diameter of the circle of inhibition of carvacrol was greater than 20.00 mm, which indicates super-sensitivity. The minimum bactericidal concentration (MBC) and minimum inhibitory concentration (MIC) of the drug monomers of berberine and carvacrol were explored after multiplicative dilution of the drugs, and the results are shown in Table 4. These results show that berberine and carvacrol displayed significant inhibitory effects against E. coli, S. aureus and GBS. Berberine at a concentration of 4 mg/mL and carvacrol at a concentration of 0.125 mg/mL were selected for the continuation of subsequent trials.
Table 3.
Circle of inhibition diameters of berberine and carvacrol against E. coli, S. aureus, and GBS.
Table 4.
MIC and MBC of berberine and carvacrol against E. coli, S. aureus, and GBS.
3.2. Safety Assessment Results for Berberine and Carvacrol
No corneal damage, iris injury, conjunctival congestion, or conjunctival edema were observed in the eyes of rabbits at any time point, indicating that berberine and carvacrol did not cause significant ocular damage. Additionally, no congestion or edema was observed in the uteri of the mice treated with the drug solution. Compared with the normal group, the endometrium of the mice was structurally intact, the endometrial epithelial cells were neatly arranged, and there was basically no infiltration of inflammatory cells around the endometrium (the results are shown in Figure S1).
3.3. Modeling Outcomes of Bacterial Infectious Endometritis
A mixed infection model of endometritis in mice was established using E. coli, S. aureus, and GBS, with the results shown in Figure 2. The uterine index was significantly higher in the 3-day, 5-day and 7-day groups compared to that in the control group (p < 0.001); no significant difference was observed between the 3-day and 5-day groups (p > 0.05), but the uterine index was significantly higher in the 7-day group compared to that in both the 3-day and 5-day groups (p < 0.001). In the control group, the endometrial tissue was structurally intact and exhibited clear morphology. In contrast, in the 3-day and 5-day groups, the connective tissue appeared loosely arranged, the epithelial cells were detached, and there was an increase in inflammatory cells, along with minor hemorrhage. In the 7-day group, the uterine tissue was significantly thinned, and both structural and morphological changes were more pronounced, with severe infiltration of inflammatory cells and more extensive hemorrhage. These results indicate that the mixed bacterial infection successfully induced endometritis in mice, confirming the success of the model.
Figure 2.
Mixed bacterial fluids cause endometritis in mice. (a) Changes in uterine index in mice. (b) The control group. (c) Bacterial infection after three days. (d) Bacterial infection after five days. (e) Bacterial infection after seven days. Scale bar is 100 μm. Data statistics are demonstrated as mean ± SEM. *** p < 0.001, compared with the control group.
3.4. Therapeutic Efficacy of Berberine and Carvacrol in Treating Bacterial Endometritis
3.4.1. Impact of Berberine and Carvacrol on Uterine Index and Histopathological Changes in Mice
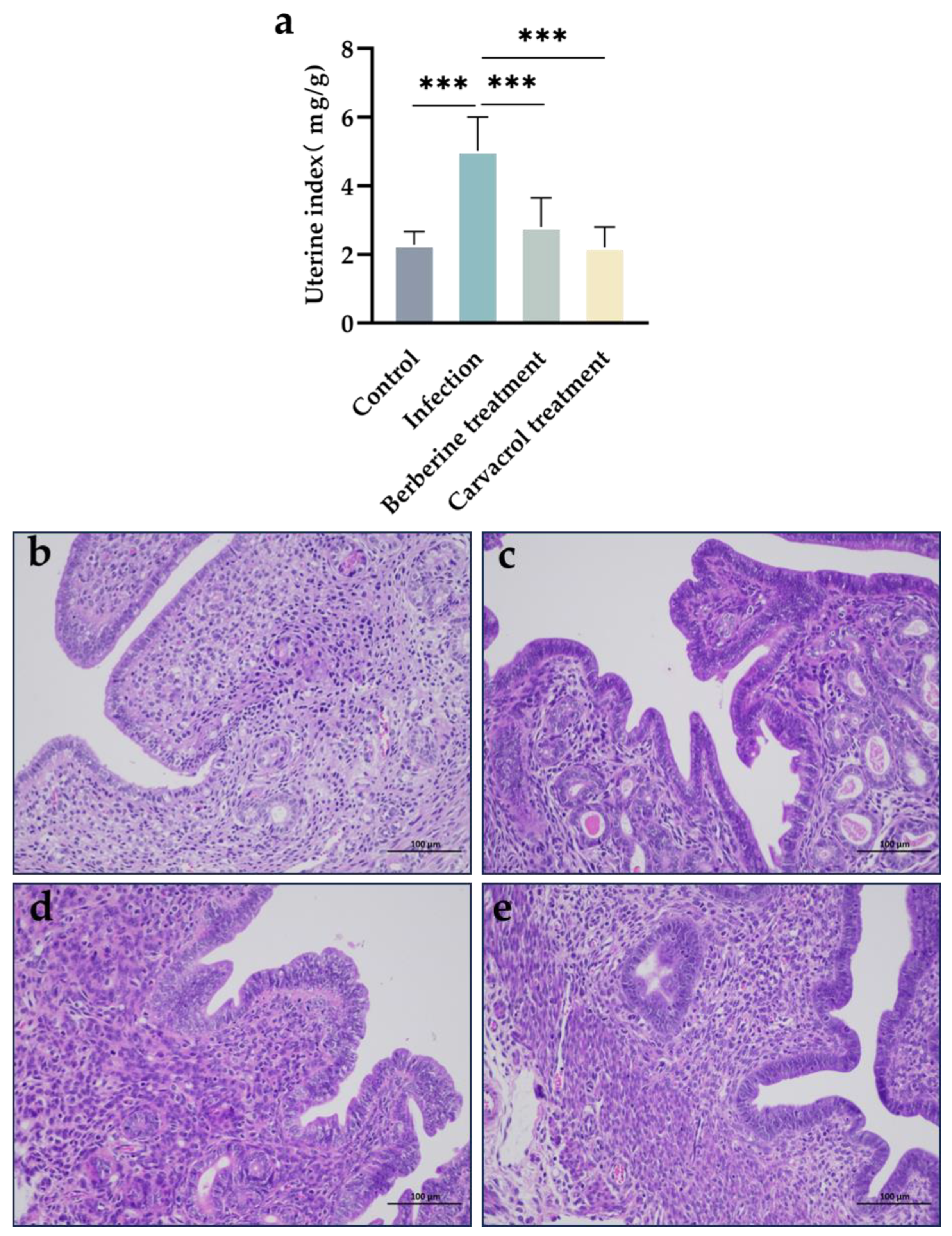
The effects of berberine and carvacrol in the treatment of bacterial-induced endometritis in mice were evident in the histopathological changes observed in the uterus. As shown in Figure 3a, the uterine index was significantly higher in the model group compared to the control group; treatment with both carvacrol and berberine significantly reduced the uterine index, with no significant difference between the treated and control groups (p > 0.05). As illustrated in Figure 3b–e, the endometrium in the control group exhibited chorionic protrusion, a complete tissue structure, and clear morphology. In contrast, the endometrium in the model group was invaginated, with loosely arranged connective tissue, detached epithelial cells, increased inflammatory cells, and some hemorrhage; the uterine tissues in the carvacrol and berberine treatment groups were relatively intact and well-preserved. These results suggest that carvacrol and berberine have a reparative effect on uterine tissue damage in mice.
Figure 3.
Treatment of endometritis in mice with berberine and carvacrol. (a) Changes in uterine index in mice. (b) The control group. (c) The infection group. (d) The berberine treatment group. (e) The carvacrol treatment group. Scale bar is 100 μm. Data statistics are demonstrated as mean ± SEM. *** p < 0.001, compared with the infection group.
3.4.2. Effects of Berberine and Carvacrol on TLR2 and TLR4 mRNA Expression Levels in the Uterus
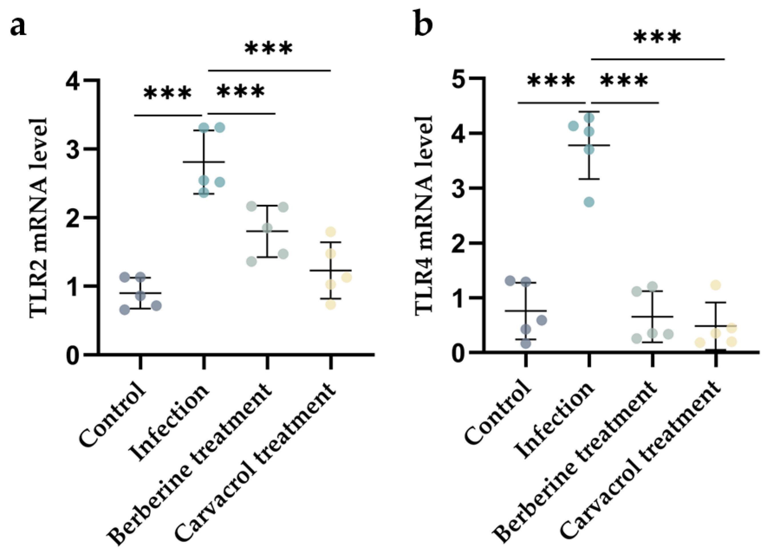
TLR2 and TLR4 receptors are defense mechanism receptors of the body against bacterial infection. The relative mRNA expression of TLR2 and TLR4 was detected by RT-qPCR, and the results are shown in Figure 4a,b. The relative mRNA expression of TLR2 and TLR4 in the uterine tissues of mice in the berberine and carvacrol treatment group differed significantly from that of the model group. However, the relative mRNA expression of TLR2 in the berberine treatment group was significantly higher than that in the control group (p < 0.01). The test showed that berberine and carvacrol downregulated the mRNA expression of TLR2 and TLR4 in the uterine tissues of endometritis mice. This suggests that berberine and carvacrol treatment inhibited the mRNA expression of TLR2 and TLR4 in bacterial infections.
Figure 4.
Effects of berberine and carvacrol on TLR2 and TLR4 mRNA expression induced by bacterial infection. (a) The relative mRNA expression level of the TLR2 gene. (b) The relative mRNA expression level of the TLR4 gene. Data statistics are demonstrated as mean ± SEM. *** p < 0.001, compared with the infection group.
3.4.3. Effects of Berberine and Carvacrol on the Phosphorylation Levels of Proteins Associated with NF-κB and MAPK Signaling Pathways in the Uterus
By detecting the relative contents of p-P65 and p-IκBα of the NF-κB signaling pathway, as well as p-JNK1, p-P38, and p-ERK1/2 of the MAPK signaling pathway in mouse uterine tissues of the assayed mice (Figure 5), it was found that the relative contents of p-P65, p-IκBα, p-JNK1, p-P38, and p-ERK1/2 were significantly decreased after berberine and carvacrol treatment. After carvacrol treatment, the levels of p-P65, p-IκBα, p-JNK1, p-P38, and p-ERK1/2 were not significantly different from those in the Control group (p > 0.05), while after berberine treatment, the levels for p-P65, p-P38, and p-ERK1/2 were not significantly different from those in the control group (p > 0.05). These findings suggest that berberine and carvacrol inhibit the phosphorylation of proteins involved in the NF-κB and MAPK signaling pathways in the uterine tissues of mice with endometritis, thereby exerting a mitigating effect on the condition.
Figure 5.
Berberine and carvacrol regulate the phosphorylation levels of NF-κB and MAPK signaling pathway-related proteins in the uterus. (a) Western blotting of NF-κB signaling pathway-related proteins. (b) Analysis of p-P65 protein gray values. (c) Analysis of p-IκBα protein gray values. (d) Western blotting of MAPK signaling pathway-related proteins. (e) Analysis of p-JNK1 protein gray values. (f) Analysis of p-P38 protein gray values. (g) Analysis of p-ERK1/2 protein gray values. Data statistics are demonstrated as mean ± SEM. * p < 0.05; ** p < 0.01; *** p < 0.001, compared with the infection group.
3.4.4. Effects of Berberine and Carvacrol on the Expression of Pro- and Anti-Inflammatory Markers Induced by Bacterial Infection
Inflammatory cytokines were determined by ELISA. Berberine and carvacrol, respectively, were found to significantly reduce the expression of TNF-a, IL-1β, IL-6, and IL-8 after treatment of endometritis in mice (Figure 6a–d), and the differences were significant compared with those in the model group (p < 0.01). The relative expression of inflammatory cytokines TNF-a, IL-1β, IL-6, and IL-8 mRNA in mouse uterine tissues was detected by RT-qPCR, and it was found that the relative expression of inflammatory cytokines TNF-a, IL-1β, and IL-8 mRNA was significantly lower than that in the model group after treatment with berberine and carvacrol (p < 0.05), and it was not significantly different from that in the control group (p > 0.05) (Figure 6e–h). This indicated that berberine and carvacrol treatment suppressed the expression of relevant inflammatory cytokine genes in uterine tissues of endometritis mice.
Figure 6.
The effect of berberine and carvacrol on cellular infection-induced pro-inflammatory cytokine production. The concentration of (a) TNF-a (pg/mL); (b) IL-1β (pg/mL); (c) IL-6 (pg/mL); (d) IL-8 (pg/mL). The relative mRNA expression levels of (e) TNF-a; (f) IL-1β; (g) IL-6; (h) IL-8. Data statistics are demonstrated as mean ± SEM. * p < 0.05; ** p < 0.01; *** p < 0.001, compared with the infection group.
4. Discussion
Dairy cows are particularly susceptible to metabolic and infectious diseases during the peripartum period. Nutritional deficiencies postpartum can compromise immune function, thereby reducing the cows’ resistance to pathogens [13]. Furthermore, placental remnants and malodor in postpartum cows increase the risk of uterine exposure, promoting microorganism proliferation and subsequently triggering endometritis in dairy cows [14]. Histological examination of the endometrium can detect various cellular components and assess the severity of endometritis. In this study, a mixed bacterial solution was instilled into the mouse uterus transvaginally, resulting in uterine edema and an elevated uterine index. HE staining revealed the infiltration of inflammatory cells in uterine tissues and the detachment of epithelial cells in the uterine mucosa, indicating successful induction of uterine damage. The intrauterine application of antibiotics to inhibit bacterial viability and alleviate endometrial inflammation is the most common clinical treatment [6,15]. However, there are several drawbacks, and its efficacy is influenced by factors such as antibiotic type, severity of endometrial inflammation, and ovarian status [16]. Numerous alternatives to antibiotics for endometritis treatment have been investigated. Intraperitoneal melatonin injection, which promotes autophagy to inhibit mtROS-dependent NLRP3 inflammasome activation, inhibits LPS-induced endometritis and exhibits anti-inflammatory effects [17]. Mesih demonstrated that ozone-enriched ultra-purified water treatment significantly ameliorated E. coli-induced endometrial inflammation after 48 h [18]. Liang modeled endometritis in vitro through dihydrotestosterone treatment. Following LPS-induced inflammation, and reduced expression levels of inflammatory factors IL-1β, IL-6, and TNF-α mRNA, as well as TLR4 and MyD88 proteins in bEECs, were observed [19]. Several of these methods demonstrated efficacy in alleviating endometritis by targeting pathological organization, signaling pathways, and inflammatory factor inhibition, but did not integrate multiple antibacterial and anti-inflammatory approaches. Herbal plant extracts exhibit multiple biological effects, including antibacterial, anti-inflammatory, anticancer, and immunomodulatory properties. Epimedium [20], plant extracts [21], and the Baogong Tang formula [22] have previously been reported to alleviate endometritis, with therapeutic effects. Moreover, Chinese herbs offer several advantages, including high safety, minimal side effects, and the absence of antibiotic residues [23,24]. Data indicate two mechanisms by which Chinese medicines inhibit bacterial growth, i.e., by altering bacterial structure or being metabolized into small molecular compounds that exert therapeutic effects through blood circulation [25]. Chinese medicines not only inhibit bacterial growth but also enhance immunity, inhibit inflammatory cytokine secretion, and mediate cell signaling pathways to reduce inflammation [26]. In this study, in vitro bacteriostatic tests demonstrated that berberine and carvacrol effectively inhibited major pathogenic bacteria, including Escherichia coli, Staphylococcus aureus, and Streptococcus agalactiae, associated with endometritis. Carvacrol at 0.5 mg/mL was found to be more effective in bacterial inhibition [27].
TLR2 and TLR4 are essential receptors involved in bacteria-induced inflammation. Pathogen invasion activates the host’s innate immune response. Pathogen-associated molecular patterns (PAMPs) generated after pathogen infection are specifically recognized by various pattern recognition receptors (PRRs), including Toll-like receptors (TLRs), RIG-I-like receptors (RLRs), and NOD-like receptors (NLRs), which activate innate immune signaling pathways, induce the expression of pro-inflammatory cytokines, and initiate the host’s immune response [28]. The inflammatory pathway activates and recruits neutrophils to generate an inflammatory response that protects uterine tissues; however, an excessive inflammatory response can exacerbate tissue damage. In this study, berberine and carvacrol significantly reduced the mRNA expression of TLR2 and TLR4, inhibited the activation of signaling pathways, and reduced the production of inflammatory cytokines. Previous studies have shown that berberine exhibits significant anti-endotoxin effects and can act as an endotoxin (LPS) antagonist, blocking the LPS/TLR4-induced signaling pathway and inhibiting the resulting inflammatory response [29]. The results of the present study align with previous findings. Upon contact with TLRs, PAMPs activate the MyD88-dependent signaling pathway, which triggers NF-κB and MAPK cascades and induces the expression of genes encoding inflammatory mediators [13]. Numerous inflammatory mediators, including tumor necrosis factor α (TNF-α), and interleukin (IL)-1β, IL-6, and IL-8, are released during endometritis, and inhibition of these inflammatory factors can effectively reduce the severity of bacterial endometritis [1,30,31]. In this experiment, treatment with berberine and carvacrol significantly reduced the phosphorylation levels of p65, IκBα, ERK1/2, JNK1, and p38 and decreased the levels of TNF-α, IL-1β, IL-6, and IL-8, along with the relative expression of their genes in the mouse uterus. These findings are consistent with previous studies where berberine and carvacrol reduced the phosphorylation levels of p65 and IκBα, thereby inhibiting NF-κB pathway activation in LPS-induced mouse mastitis and suppressed MAPK pathway activation by reducing ERK and JNK gene expression, ultimately mitigating tissue damage, oxidative stress, and the inflammatory response [27,32,33,34,35]. These results further validate the therapeutic effects of berberine and carvacrol on endometritis in mice.
Carvacrol has been applied in the treatment of various diseases, including respiratory infections, digestive disorders, and inflammatory conditions, and has also been used as an antimicrobial and antioxidant in studies of natural preservatives in the food industry [36,37]. Berberine is used to treat diseases related to glycolipid metabolism by modulating the microbiota, and it can exhibit anti-inflammatory effects either alone or in combination with other herbal extracts [38]. In this study, treatment with berberine and carvacrol for bacterial endometritis resulted in a relatively intact tissue layer following repair, indicating a potential therapeutic effect on endometritis. However, this study also has some limitations. The etiology of bacterial endometritis is complex and usually involves multiple pathogenic infections, which may affect the efficacy of individual herbal components. The antimicrobial susceptibility of berberine and carvacrol may vary, depending on the particular pathogen. In addition, the hydrophobicity of berberine and berberine, as well as the oxidative properties of carvacrol, pose challenges concerning formulation and drug stability. Therefore, future studies should consider the pathophysiological diversity of endometritis and focus on optimizing herbal-based therapies under different clinical conditions.
5. Conclusions
Uterine infusion with berberine (4 mg/mL) and carvacrol (0.125 mg/mL) significantly improved outcomes in a murine model of bacterial-induced endometritis. The mechanism of action lies in the promotion by berberine and carvacrol of uterine tissue repair, reducing TLR2 and TLR4 gene expression, inhibiting NF-κB and MAPK pathway activation, and decreasing pro-inflammatory cytokine levels, indicating their beneficial anti-inflammatory properties.
Supplementary Materials
The following supporting information can be downloaded at: https://www.mdpi.com/article/10.3390/microorganisms13051051/s1, Figure S1: Effects of drug accumulation on the mouse uterus. (a) Control group. (b) Berberine group. (c) Carvacrol group.
Author Contributions
Conceptualization, Y.W., X.L. and G.J.; methodology, Y.W.; software, X.L.; validation, T.L. and P.L.; formal analysis, X.L.; resources, G.J.; data curation, X.L.; writing—original draft preparation, X.L.; writing—review and editing, X.L.; visualization, X.L.; supervision, G.J.; project administration, Y.W.; funding acquisition, G.J. All authors have read and agreed to the published version of the manuscript.
Funding
This research was funded by the “Dairy Cattle Disease Control and Antibiotic Reduction” project (HBCT2023180201) of the Hebei Modern Agricultural Industrial Technology System and the Special Funds for the Construction of a Modern Agricultural Industrial Technology System of Hebei Province (HBCT2024230201).
Institutional Review Board Statement
The investigation conformed to the Guide for the Care and Use of Laboratory Animals by NIH. All animal procedures were reviewed and approved by the Hebei Agricultural University Institutional Animal Care and Use Committee (ethics approval number 2021055, approval date 24 February 2024).
Informed Consent Statement
Not applicable.
Data Availability Statement
Data supporting the findings are available from the corresponding author upon reasonable request.
Acknowledgments
The author would like to thank those who have been helpful in the preparation of this article.
Conflicts of Interest
The authors declare no conflicts of interest.
Abbreviations
E. coli: Escherichia coli; S. aureus, Staphylococcus aureus; GBS, Streptococcus agalactiae; HE staining, hematoxylin–eosin staining; RT-PCR, reverse transcription-polymerase chain reaction; ELISA, enzyme-linked immunosorbent assay; mRNA, messenger RNA; TLR2, Toll-like receptor 2; TLR4, Toll-like receptor 4; NF-κB, nuclear factor kappa-B; MAPK, mitogen-activated protein kinase; PGF2α, prostaglandin F2alphα; TNF-α, tumor necrosis factor-α; IL-1β, interleukin-1 β; ERK 1/2, extracellular regulated protein kinases 1/2; LPS, lipopolysaccharide; EIF2AK2, eukaryotic translation initiation factor 2-alpha kinase 2; IL-18β, interleukin-18 β; IL-2, interleukin-2; MBC, minimum bactericidal concentration; MIC, minimum inhibitory concentration; p-P65, phosphorylated P65 protein; p-P38, phosphorylated P38 protein.
References
- Sheldon, I.M.; Cronin, J.G.; Healey, G.D.; Gabler, C.; Heuwieser, W.; Streyl, D.; Bromfield, J.J.; Miyamoto, A.; Fergani, C.; Dobson, H. Innate immunity and inflammation of the bovine female reproductive tract in health and disease. Reproduction 2014, 148, R41–R51. [Google Scholar] [CrossRef] [PubMed]
- Adnane, M.; Chapwanya, A. A Review of the Diversity of the Genital Tract Microbiome and Implications for Fertility of Cattle. Animals 2022, 12, 460. [Google Scholar] [CrossRef] [PubMed]
- Sheldon, I.M.; Cronin, J.G.; Bromfield, J.J. Tolerance and Innate Immunity Shape the Development of Postpartum Uterine Disease and the Impact of Endometritis in Dairy Cattle. Annu. Rev. Anim. Biosci. 2019, 7, 361–384. [Google Scholar] [CrossRef] [PubMed]
- Nyabinwa, P.; Kashongwe, O.B.; Habimana, J.P.; Hirwa, C.D.; Bebe, B.O. Estimating prevalence of endometritis in smallholder zero-grazed dairy cows in Rwanda. Trop. Anim. Health Prod. 2020, 52, 3135–3145. [Google Scholar] [CrossRef]
- Bijmholt, S.; Müller, K.; Leiding, C.; Hoedemaker, M.; Bollwein, H.; Kaske, M. [Lactational incidences of production diseases in German Fleckvieh cows of six Bavarian dairy farms]. Tierarztl. Prax. Ausg. G Grosstiere Nutztiere 2012, 40, 347–358. [Google Scholar] [CrossRef]
- Barański, W.; Baryczka, A.; Zduńczyk, S.; Tobolski, D.; Janowski, T. Prevalence of subclinical endometritis in dairy cows that recovered after treatment of clinical endometritis with cephapirin and PGF(2α). Theriogenology 2022, 192, 166–171. [Google Scholar] [CrossRef]
- Raheel, I.; Hassan, W.H.; Salem, S.S.R.; Salam, H.S.H. Biofilm forming potentiality of Escherichia coli isolated from bovine endometritis and their antibiotic resistance profiles. J. Adv. Vet. Anim. Res. 2020, 7, 442–451. [Google Scholar] [CrossRef]
- Marchese, A.; Arciola, C.R.; Coppo, E.; Barbieri, R.; Barreca, D.; Chebaibi, S.; Sobarzo-Sánchez, E.; Nabavi, S.F.; Nabavi, S.M.; Daglia, M. The natural plant compound carvacrol as an antimicrobial and anti-biofilm agent: Mechanisms, synergies and bio-inspired anti-infective materials. Biofouling 2018, 34, 630–656. [Google Scholar] [CrossRef]
- Silva, F.V.; Guimarães, A.G.; Silva, E.R.; Sousa-Neto, B.P.; Machado, F.D.; Quintans-Júnior, L.J.; Arcanjo, D.D.; Oliveira, F.A.; Oliveira, R.C. Anti-inflammatory and anti-ulcer activities of carvacrol, a monoterpene present in the essential oil of oregano. J. Med. Food 2012, 15, 984–991. [Google Scholar] [CrossRef]
- Gong, T.; Si, K.; Liu, H.; Zhang, X. Research advances in the role of MAPK cascade in regulation of cell growth, immunity, inflammation, and cancer. J. Cent. South Univ. Med. Sci. 2022, 47, 1721–1728. [Google Scholar] [CrossRef]
- Somensi, N.; Rabelo, T.K.; Guimarães, A.G.; Quintans-Junior, L.J.; de Souza Araújo, A.A.; Moreira, J.C.F.; Gelain, D.P. Carvacrol suppresses LPS-induced pro-inflammatory activation in RAW 264.7 macrophages through ERK1/2 and NF-kB pathway. Int. Immunopharmacol. 2019, 75, 105743. [Google Scholar] [CrossRef] [PubMed]
- Wei, W.; Zeng, Q.; Wang, Y.; Guo, X.; Fan, T.; Li, Y.; Deng, H.; Zhao, L.; Zhang, X.; Liu, Y.; et al. Discovery and identification of EIF2AK2 as a direct key target of berberine for anti-inflammatory effects. Acta Pharm. Sin. B 2023, 13, 2138–2151. [Google Scholar] [CrossRef] [PubMed]
- Shara, M.; Yasmin, T.; Kincaid, A.E.; Limpach, A.L.; Bartz, J.; Brenneman, K.A.; Chatterjee, A.; Bagchi, M.; Stohs, S.J.; Bagchi, D. Safety and toxicological evaluation of a novel niacin-bound chromium (III) complex. J. Inorg. Biochem. 2005, 99, 2161–2183. [Google Scholar] [CrossRef] [PubMed]
- Sordillo, L.M. Nutritional strategies to optimize dairy cattle immunity. J. Dairy Sci. 2016, 99, 4967–4982. [Google Scholar] [CrossRef]
- Sheldon, I.M.; Cronin, J.; Goetze, L.; Donofrio, G.; Schuberth, H.J. Defining postpartum uterine disease and the mechanisms of infection and immunity in the female reproductive tract in cattle. Biol. Reprod. 2009, 81, 1025–1032. [Google Scholar] [CrossRef]
- Runciman, D.J.; Anderson, G.A.; Malmo, J.; Davis, G.M. Effect of intrauterine treatment with cephapirin on the reproductive performance of seasonally calving dairy cows at risk of endometritis following periparturient disease. Aust. Vet. J. 2008, 86, 250–258. [Google Scholar] [CrossRef]
- Lefebvre, R.C.; Stock, A.E. Therapeutic efficiency of antibiotics and prostaglandin F2α in postpartum dairy cows with clinical endometritis: An evidence-based evaluation. Vet. Clin. N. Am. Food Anim. Pract. 2012, 28, 79–96. [Google Scholar] [CrossRef]
- Gao, Y.; Li, Y.; Wang, J.; Zhang, X.; Yao, D.; Ding, X.; Zhao, X.; Zhang, Y. Melatonin Alleviates Lipopolysaccharide-Induced Endometritis by Inhibiting the Activation of NLRP3 Inflammasome through Autophagy. Animals 2023, 13, 2449. [Google Scholar] [CrossRef]
- Kocamüftüoğlu, M.; Bozkurt, G.; Ağaoğlu, A.R.; Özmen, Ö.; Öztürk, D. The curative effect of ozonated bidistilled water on Escherichia coli-induced endometritis in rats. Vet. Med. Sci. 2023, 9, 2352–2358. [Google Scholar] [CrossRef]
- Liang, Y.; Chen, X.; Yin, J.; Liu, X.; Liu, S.; Sun, W.; Wang, X.; Yao, H.; Xiao, L. Dihydrotestosterone mediates the inflammation effect under lipopolysaccharides in bovine endometrial epithelial cells via AR blockading TLR4/MyD88 signaling pathway. Anim. Reprod. Sci. 2023, 255, 107292. [Google Scholar] [CrossRef]
- Shaukat, A.; Shaukat, I.; Rajput, S.A.; Shukat, R.; Hanif, S.; Huang, S.; Aleem, M.T.; Li, K.; Li, Q.; Chen, C.; et al. Icariin Alleviates Escherichia coli Lipopolysaccharide-Mediated Endometritis in Mice by Inhibiting Inflammation and Oxidative Stress. Int. J. Mol. Sci. 2022, 23, 10219. [Google Scholar] [CrossRef] [PubMed]
- Miao, Y.; Ishfaq, M.; Liu, Y.; Wu, Z.; Wang, J.; Li, R.; Qian, F.; Ding, L.; Li, J. Baicalin attenuates endometritis in a rabbit model induced by infection with Escherichia coli and Staphylococcus aureus via NF-κB and JNK signaling pathways. Domest. Anim. Endocrinol. 2021, 74, 106508. [Google Scholar] [CrossRef] [PubMed]
- Ding, H.; Wang, Y.; Li, Z.; Li, Q.; Liu, H.; Zhao, J.; Lu, W.; Wang, J. Baogong decoction treats endometritis in mice by regulating uterine microbiota structure and metabolites. Microb. Biotechnol. 2022, 15, 2786–2799. [Google Scholar] [CrossRef] [PubMed]
- Lv, H.; Yan, C.; Deng, L.; Peng, Z.; Yang, D.; Hu, W.; Ding, X.; Tong, C.; Wang, X. Role of MicroRNAs in Protective Effects of Forsythoside A Against Lipopolysaccharide-Induced Inflammation in Bovine Endometrial Stromal Cells. Front. Vet. Sci. 2021, 8, 642913. [Google Scholar] [CrossRef]
- Wei, X.Y.; Tao, J.H.; Cui, X.; Jiang, S.; Qian, D.W.; Duan, J.A. Comparative pharmacokinetics of six major bioactive components in normal and type 2 diabetic rats after oral administration of Sanhuang Xiexin Decoction extracts by UPLC-TQ MS/MS. J. Chromatogr. B 2017, 1061–1062, 248–255. [Google Scholar] [CrossRef]
- Feng, W.; Ao, H.; Peng, C.; Yan, D. Gut microbiota, a new frontier to understand traditional Chinese medicines. Pharmacol. Res. 2019, 142, 176–191. [Google Scholar] [CrossRef]
- Zhao, W.; Deng, C.; Han, Q.; Xu, H.; Chen, Y. Carvacrol may alleviate vascular inflammation in diabetic db/db mice. Int. J. Mol. Med. 2020, 46, 977–988. [Google Scholar] [CrossRef]
- Mączka, W.; Twardawska, M.; Grabarczyk, M.; Wińska, K. Carvacrol-A Natural Phenolic Compound with Antimicrobial Properties. Antibiotics 2023, 12, 824. [Google Scholar] [CrossRef]
- Chu, M.; Ding, R.; Chu, Z.Y.; Zhang, M.B.; Liu, X.Y.; Xie, S.H.; Zhai, Y.J.; Wang, Y.D. Role of berberine in anti-bacterial as a high-affinity LPS antagonist binding to TLR4/MD-2 receptor. BMC Complement. Altern. Med. 2014, 14, 89. [Google Scholar] [CrossRef]
- Wang, K.; Wang, K.; Wang, J.; Yu, F.; Ye, C. Protective Effect of Clostridium butyricum on Escherichia coli-Induced Endometritis in Mice via Ameliorating Endometrial Barrier and Inhibiting Inflammatory Response. Microbiol. Spectr. 2022, 10, e0328622. [Google Scholar] [CrossRef]
- Sheldon, I.M.; Cronin, J.G.; Pospiech, M.; Turner, M.L. Symposium review: Mechanisms linking metabolic stress with innate immunity in the endometrium. J. Dairy Sci. 2018, 101, 3655–3664. [Google Scholar] [CrossRef] [PubMed]
- Cai, S.; Wu, L.; Yuan, S.; Liu, G.; Wang, Y.; Fang, L.; Xu, D. Carvacrol alleviates liver fibrosis by inhibiting TRPM7 and modulating the MAPK signaling pathway. Eur. J. Pharmacol. 2021, 898, 173982. [Google Scholar] [CrossRef] [PubMed]
- Tang, M.; Yuan, D.; Liao, P. Berberine improves intestinal barrier function and reduces inflammation, immunosuppression, and oxidative stress by regulating the NF-κB/MAPK signaling pathway in deoxynivalenol-challenged piglets. Environ. Pollut. 2021, 289, 117865. [Google Scholar] [CrossRef]
- Wang, X.; Feng, S.; Ding, N.; He, Y.; Li, C.; Li, M.; Ding, X.; Ding, H.; Li, J.; Wu, J.; et al. Anti-Inflammatory Effects of Berberine Hydrochloride in an LPS-Induced Murine Model of Mastitis. Evid. Based Complement. Alternat. Med. 2018, 2018, 5164314. [Google Scholar] [CrossRef]
- Xiao, Y.; Li, B.; Liu, J.; Ma, X. Carvacrol ameliorates inflammatory response in interleukin 1β-stimulated human chondrocytes. Mol. Med. Rep. 2018, 17, 3987–3992. [Google Scholar] [CrossRef] [PubMed]
- Kordali, S.; Cakir, A.; Ozer, H.; Cakmakci, R.; Kesdek, M.; Mete, E. Antifungal, phytotoxic and insecticidal properties of essential oil isolated from Turkish Origanum acutidens and its three components, carvacrol, thymol and p-cymene. Bioresour. Technol. 2008, 99, 8788–8795. [Google Scholar] [CrossRef]
- Canli, K.; Bozyel, M.E.; Turu, D.; Benek, A.; Simsek, O.; Altuner, E.M. Biochemical, Antioxidant Properties and Antimicrobial Activity of Steno-Endemic Origanum onites. Microorganisms 2023, 11, 1987. [Google Scholar] [CrossRef]
- Gravina, A.G.; Pellegrino, R.; Palladino, G.; Coppola, A.; Brandimarte, G.; Tuccillo, C.; Ciardiello, F.; Romano, M.; Federico, A. Hericium erinaceus, in combination with natural flavonoid/alkaloid and B(3)/B(8) vitamins, can improve inflammatory burden in Inflammatory bowel diseases tissue: An ex vivo study. Front. Immunol. 2023, 14, 1215329. [Google Scholar] [CrossRef]
Disclaimer/Publisher’s Note: The statements, opinions and data contained in all publications are solely those of the individual author(s) and contributor(s) and not of MDPI and/or the editor(s). MDPI and/or the editor(s) disclaim responsibility for any injury to people or property resulting from any ideas, methods, instructions or products referred to in the content. |
© 2025 by the authors. Licensee MDPI, Basel, Switzerland. This article is an open access article distributed under the terms and conditions of the Creative Commons Attribution (CC BY) license (https://creativecommons.org/licenses/by/4.0/).





