Genotypic Stability of Lactic Acid Bacteria in Industrial Rye Bread Sourdoughs Assessed by ITS-PCR Analysis
Abstract
1. Introduction
2. Materials and Methods
2.1. Isolation of Lactic Acid Bacteria from Sourdough Samples
2.2. Identification of LAB Isolates
2.3. DNA Extraction from LAB Isolates
2.4. PCR Amplification of 16S rDNA
2.5. ITS-PCR and Restriction with TaqI
2.6. Gel Electrophoreses
2.7. Cluster Analysis
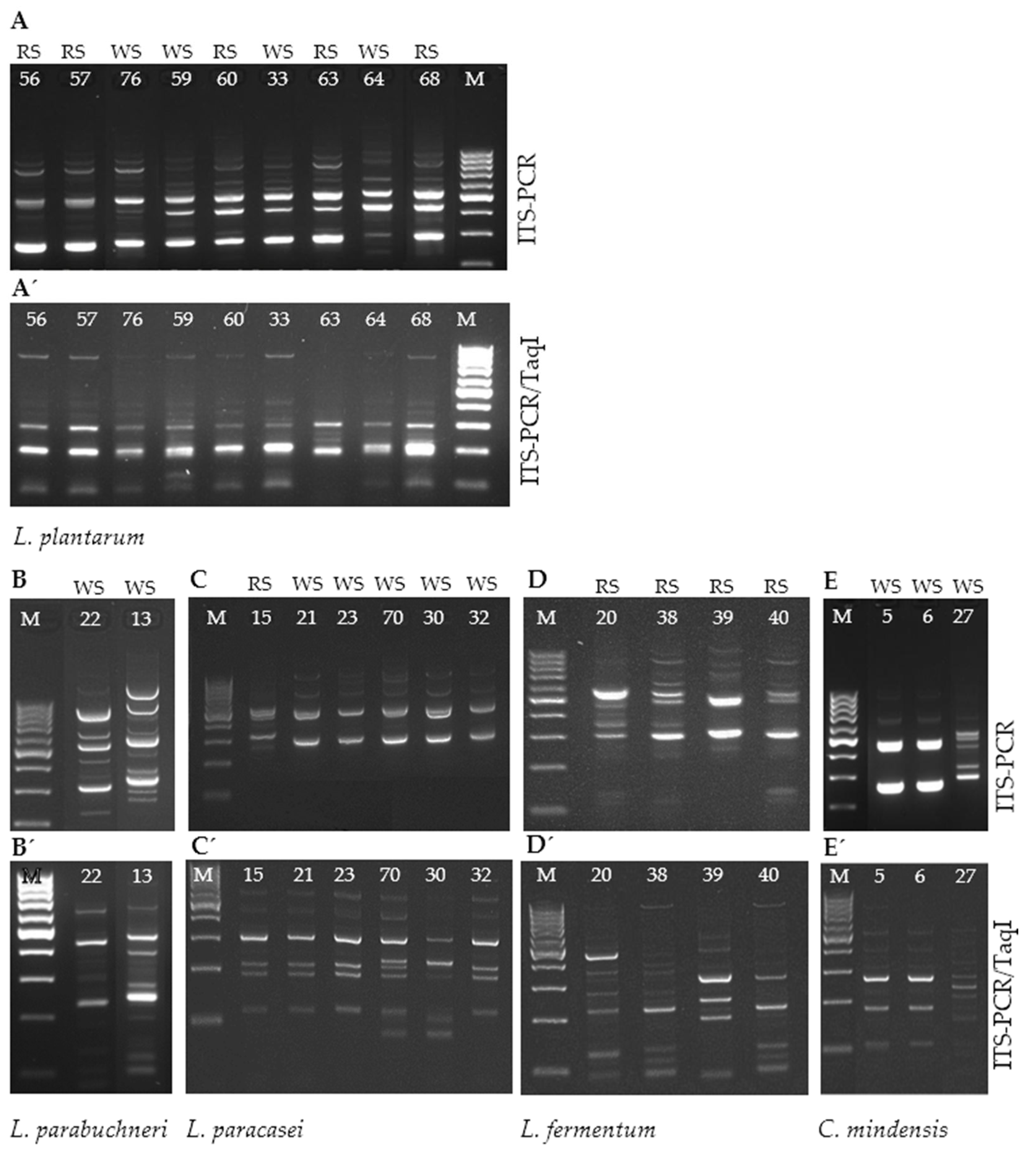
3. Results and Discussion
3.1. LAB Species in Sourdoughs
3.2. Diversity and Stability of LAB Genotypes
4. Conclusions
Author Contributions
Funding
Data Availability Statement
Acknowledgments
Conflicts of Interest
References
- Lhomme, E.; Orain, S.; Courcoux, P.; Onno, B.; Dousset, X. The Predominance of Lactobacillus sanfranciscensis in French Organic Sourdoughs and Its Impact on Related Bread Characteristics. Int. J. Food Microbiol. 2015, 213, 40–48. [Google Scholar] [CrossRef] [PubMed]
- Nami, Y.; Gharekhani, M.; Aalami, M.; Hejazi, M.A. Lactobacillus-Fermented Sourdough Improve the Quality of Gluten-Free Bread Made from Pearl Millet Flour. J. Food Sci. Technol. 2019, 56, 4057–4067. [Google Scholar] [CrossRef] [PubMed]
- Saa, D.L.T.; Nissen, L.; Gianotti, A. Metabolomic Approach to Study the Impact of Flour Type and Fermentation Process on Volatile Profile of Bakery Products. Food Res. Int. 2019, 119, 510–516. [Google Scholar] [CrossRef]
- Fu, L.; Nowak, A.; Zhao, H.; Zhang, B. Relationship between Microbial Composition of Sourdough and Texture, Volatile Compounds of Chinese Steamed Bread. Foods 2022, 11, 1908. [Google Scholar] [CrossRef]
- Scheirlinck, I.; Van der Meulen, R.; De Vuyst, L.; Vandamme, P.; Huys, G. Molecular Source Tracking of Predominant Lactic Acid Bacteria in Traditional Belgian Sourdoughs and Their Production Environments. J. Appl. Microbiol. 2009, 106, 1081–1092. [Google Scholar] [CrossRef]
- Minervini, F.; Lattanzi, A.; De Angelis, M.; Di Cagno, R.; Gobbetti, M. Influence of Artisan Bakery- or Laboratory-Propagated Sourdoughs on the Diversity of Lactic Acid Bacterium and Yeasts Microbiotas. Appl. Environ. Microbiol. 2012, 78, 5328–5340. [Google Scholar] [CrossRef]
- De Vuyst, L.; Van Kerrebroeck, S.; Leroy, F. Microbial Ecology and Process Technology of Sourdough Fermentation. Adv. Appl. Microbiol. 2017, 100, 49–160. [Google Scholar] [CrossRef]
- De Vuyst, L.; Van Kerrebroeck, S.; Harth, H.; Huys, G.; Daniel, H.-M.; Weckx, S. Microbial Ecology of Sourdough Fermentations: Diverse or Uniform? Food Microbiol. 2014, 37, 11–29. [Google Scholar] [CrossRef] [PubMed]
- Michel, E.; Monfort, C.; Deffrasnes, M.; Guezenec, S.; Lhomme, E.; Barret, M.; Sicard, D.; Dousset, X.; Onno, B. Characterization of Relative Abundance of Lactic Acid Bacteria Species in French Organic Sourdough by Cultural, qPCR and MiSeq High-Throughput Sequencing Methods. Int. J. Microbiol. 2016, 239, 35–43. [Google Scholar] [CrossRef]
- Arora, K.; Ameur, H.; Polo, A.; Di Cagno, R.; Rizzello, C.G.; Gobbetti, M. Thirty Years of Knowledge on Sourdough Fermentation: A Systematic Review. Trends Food Sci. Technol. 2021, 108, 71–83. [Google Scholar] [CrossRef]
- Oshiro, M.; Zendo, T.; Nakayama, J. Diversity and Dynamics of Sourdough Lactic Acid Bacteriota Created by a Slow Food Fermentation. J. Biosci. Bioeng. 2021, 131, 333–340. [Google Scholar] [CrossRef] [PubMed]
- Lima, T.T.M.; de Oliveira Hosken, B.; Lindner, J.D.D.; Menezes, L.A.A.; Pirozzi, M.R.; Martin, J.G.P. How to Deliver Sourdough with Appropriate Characteristics for the Bakery Industry? The Answer may be Provided by Microbiota. Food Biosci. 2023, 56, 103072. [Google Scholar] [CrossRef]
- Van Kerrebroeck, S.; Maes, D.; De Vuyst, L. Sourdoughs as a Function of Their Species Diversity and Process Conditions, a Meta-Analysis. Trends Food Sci. Technol. 2017, 68, 152–159. [Google Scholar] [CrossRef]
- Gobbetti, M.; Minervini, F.; Pontonio, E.; Di Cagno, R.; De Angelis, M. Drivers for the Establishment and Composition of the Sourdough Lactic Acid Bacteria Biota. Int. J. Food Microbiol. 2016, 239, 3–18. [Google Scholar] [CrossRef]
- Dimidi, E.; Cox, S.R.; Rossi, M.; Whelan, K. Fermented Foods: Definitions and Characteristics, Impact on the Gut Microbiota and Effects on Gastrointestinal Health and Disease. Nutrients 2019, 11, 1806. [Google Scholar] [CrossRef]
- Iosca, G.; De Vero, L.; Gullo, M.; Licciardello, F.; Quartieri, A.; Pulvirenti, A. Exploring the Microbial Community of Traditional Sourdoughs to Select Yeasts and Lactic Acid Bacteria. Proceedings 2020, 66, 3. [Google Scholar] [CrossRef]
- Papadimitriou, K.; Zoumpopoulou, G.; Georgalaki, M.; Alexandraki, V.; Kazou, M.; Anastasiou, R.; Tsakalidou, E. Sourdough Bread. In Innovations in Traditional Foods; Woodhead Publishing: Sawston, UK, 2019; pp. 127–158. [Google Scholar] [CrossRef]
- Păcularu-Burada, B.; Georgescu, L.A.; Bahrim, G.-E. Current Approaches in Sourdough Production with Valuable Characteristics for Technological and Functional Applications. Ann. Univ. Dunarea De Jos Galati. Fascicle VI—Food Technol. 2020, 44, 132–148. [Google Scholar] [CrossRef]
- Weckx, S.; Van der Meulen, R.; Allemeersch, J.; Huys, G.; Vandamme, P.; Van Hummelen, P.; De Vuyst, L. Community Dynamics of Bacteria in Sourdough Fermentations as Revealed by Their Metatranscriptome. Appl. Environ. Microbiol. 2010, 76, 5402–5408. [Google Scholar] [CrossRef]
- Weckx, S.; Van der Meulen, R.; Maes, D.; Scheirlinck, I.; Huys, G.; Vandamme, P.; De Vuyst, L. Lactic Acid Bacteria Community Dynamics and Metabolite Production of Rye Sourdough Fermentations Share Characteristics of Wheat and Spelt Sourdough Fermentations. Food Microbiol. 2010, 27, 1000–1008. [Google Scholar] [CrossRef]
- Vogelmann, S.A.; Seitter, M.; Singer, U.; Brandt, M.J.; Hertel, C. Adaptability of Lactic Acid Bacteria and Yeasts to Sourdoughs Prepared from Cereals, Pseudocereals and Casava and Use of Competitive Strains as Starters. Int. J. Microbiol. 2009, 130, 205–212. [Google Scholar] [CrossRef]
- Minervini, F.; De Angelis, M.; Di Cagno, R.; Pinto, D.; Siragusa, S.; Rizzello, C.G.; Gobbetti, M. Robustness of Lactobacillus plantarum Starters during Daily Propagation of Wheat Flour Sourdough Type I. Food Microbiol. 2010, 27, 897–908. [Google Scholar] [CrossRef] [PubMed]
- Rosenquist, H.; Hansen, Å. The Microbial Stability of Two Bakery Sourdoughs Made from Conventionally and Organically Grown Rye. Food Microbiol. 2000, 17, 241–250. [Google Scholar] [CrossRef]
- Müller, M.R.A.; Wolfrum, G.; Stolz, P.; Ehrmann, M.A.; Vogel, R.F. Monitoring the Growth of Lactobacillus Species during a Rye Flour Fermentation. Food Microbiol. 2001, 18, 217–227. [Google Scholar] [CrossRef]
- Viiard, E.; Bessmeltseva, M.; Simm, J.; Talve, T.; Aaspõllu, A.; Paalme, T.; Sarand, I. Diversity and Stability of Lactic Acid Bacteria in Rye Sourdoughs of Four Bakeries with Different Propagation Parameters. PLoS ONE 2016, 11, e0148325. [Google Scholar] [CrossRef]
- Fraberger, V.; Ladurner, M.; Nemec, A.; Grunwald-Gruber, C.; Call, L.M.; Hochegger, R.; Domig, K.J.; D’Amico, S. Insights into the Potential of Sourdough-Related Lactic Acid Bacteria to Degrade Proteins in Wheat. Microorganisms 2020, 8, 1689. [Google Scholar] [CrossRef]
- Meroth, C.B.; Walter, J.; Hertel, C.; Brandt, M.J.; Hammes, W.P. Monitoring the Bacterial Population Dynamics in Sourdough Fermentation Processes by Using PCR-Denaturing Gradient Gel Electrophoresis. Appl. Environ. Microbiol. 2003, 69, 475–482. [Google Scholar] [CrossRef]
- Gänzle, M.G.; Vogel, R.F. Contribution of Reutericyclin Production to the Stable Persistence of Lactobacillus reuteri in an Industrial Sourdough Fermentation. Int. J. Food Microbiol. 2003, 80, 31–45. [Google Scholar] [CrossRef]
- Lin, X.B.; Lohans, C.T.; Duar, R.; Zheng, J.; Vederas, J.C.; Walter, J.; Gänzle, M. Genetic Determinants of Reutericyclin Biosynthesis in Lactobacillus reuteri. Appl. Environ. Microbiol. 2015, 81, 2032–2041. [Google Scholar] [CrossRef]
- Cappelle, S.; Guylaine, L.; Gänzle, M.; Gobbetti, M. History and Social Aspects of Sourdough. In Handbook on Sourdough Biotechnology; Springer International Publishing: New York, NY, USA, 2013; pp. 1–10. [Google Scholar] [CrossRef]
- Minervini, F.; De Angelis, M.; Di Cagno, R.; Gobbetti, M. Ecological Parameters Influencing Microbial Diversity and Stability of Traditional Sourdough. Int. J. Food Microbiol. 2014, 171, 136–146. [Google Scholar] [CrossRef]
- Böcker, G.; Vogel, R.F.; Hammes, W.P. Lactobacillus sanfrancisco als stabiles Element in einem Reinzucht-Sauerteig-Präparat. Getreide Mehl Und Brot 1990, 44, 269–274. [Google Scholar]
- Hansen, Å.S. Sourdough bread. In Handbook of Food and Beverage Fermentation Technology; CRC Press: Boca Raton, FL, USA, 2004; pp. 729–755. [Google Scholar] [CrossRef]
- Venturi, M.; Guerrini, S.; Vincenzini, M. Stable and Non-Competitive Association of Saccharomyces cerevisiae, Candida milleri and Lactobacillus sanfranciscensis during Manufacture of Two Traditional Sourdough Baked Goods. Food Microbiol. 2012, 31, 107–115. [Google Scholar] [CrossRef] [PubMed]
- Siragusa, S.; Di Cagno, R.; Ercolini, D.; Minervini, F.; Gobbetti, M.; De Angelis, M. Taxonomic Structure and Monitoring of the Dominant Population of Lactic Acid Bacteria during Wheat Flour Sourdough Type I Propagation Using Lactobacillus sanfranciscensis Starters. Appl. Environ. Microbiol. 2009, 75, 1099–1109. [Google Scholar] [CrossRef] [PubMed]
- Martín-Garcia, A.; Riu-Aumatell, M.; López-Tamames, E. Influence of Process Parameters on Sourdough Microbiota, Physical Properties and Sensory Profile. Food Rev. Int. 2023, 39, 334–348. [Google Scholar] [CrossRef]
- Brandt, M.J.; Hammes, W.P.; Gänzle, M.G. Effects of Process Parameters on Growth and Metabolism of Lactobacillus sanfranciscensis and Candida humilis during Rye Sourdough Fermentation. Eur. Food Res. Technol. 2004, 218, 333–338. [Google Scholar] [CrossRef]
- Van der Meulen, R.; Scheirlinck, I.; Van Schoor, A.; Huys, G.; Vancanneyt, M.; Vandamme, P.; De Vuyst, L. Population Dynamics and Metabolite Target Analysis of Lactic Acid Bacteria during Laboratory Fermentations of Wheat and Spelt Sourdoughs. Appl. Environ. Microbiol. 2007, 73, 4741–4750. [Google Scholar] [CrossRef]
- Dec, M.; Urban-Chmiel, R.; Gnat, S.; Puchalski, A.; Wernicki, A. Identification of Lactobacillus Strains of Goose Origin Using MALDI-TOF Mass Spectrometry and 16S–23S rDNA Intergenic Spacer PCR Analysis. Res. Microbiol. 2014, 165, 190–201. [Google Scholar] [CrossRef]
- De Vuyst, L.; Neysens, P. The Sourdough Microflora: Biodiversity and Metabolic Interactions. Trends Food Sci. Technol. 2005, 16, 43–56. [Google Scholar] [CrossRef]
- Gänzle, M.G. Enzymatic and Bacterial Conversions during Sourdough Fermentation. Food Microbiol. 2014, 37, 2–10. [Google Scholar] [CrossRef]
- Bartkiene, E.; Lele, V.; Ruzauskas, M.; Domig, K.J.; Starkute, V.; Zavistanaviciute, P.; Bartkevics, V.; Pugajeva, I.; Klupsaite, D.; Juodeikiene, G.; et al. Lactic Acid Bacteria Isolation from Spontaneous Sourdough and Their Characterization Including Antimicrobial and Antifungal Properties Evaluation. Microorganisms 2020, 8, 64. [Google Scholar] [CrossRef]
- Sevgili, A.; Can, C.; Ceyhan, D.I.; Erkmen, O. Molecular Identification of LAB and Yeasts from Traditional Sourdoughs and Their Impacts on the Sourdough Bread Quality Characteristics. Curr. Res. Food Sci. 2023, 6, 100479. [Google Scholar] [CrossRef]
- Hammes, W.P.; Hertel, C. The genera Lactobacillus and Carnobacterium. In Prokaryotes, 3rd ed.; Dworkin, M., Falkow, S., Rosenberg, E., Schleifer, K.-H., Stackebrandt, E., Eds.; Springer: New York, NY, USA, 2006; Volume 4, pp. 320–403. [Google Scholar] [CrossRef]
- Vrancken, G.; Rimaux, T.; Weckx, S.; Leroy, F.; De Vuyst, L. Influence of Temperature and Backslopping Time on the Microbiota of a Type I Propagated Laboratory Wheat Sourdough Fermentation. Appl. Environ. Microbiol. 2011, 77, 2716–2726. [Google Scholar] [CrossRef]
- Paucean, A.; Vodnar, D.-C.; Socaci, S.-A.; Socaciu, C. Carbohydrate Metabolic Conversions to Lactic Acid and Volatile Derivatives, as Influenced by Lactobacillus plantarum ATCC 8014 and Lactobacillus casei ATCC 393 Efficiency during In Vitro and Sourdough Fermentation. Eur. Food Res. Technol. 2013, 237, 679–689. [Google Scholar] [CrossRef]
- Milanović, V.; Osimani, A.; Garofalo, C.; Belleggia, L.; Maoloni, A.; Cardinali, F.; Mozzon, M.; Foligni, R.; Aquilanti, L.; Clementi, F. Selection of Cereal-Sourced Lactic Acid Bacteria as Candidate Starters for the Baking Industry. PLoS ONE 2020, 15, e0236190. [Google Scholar] [CrossRef] [PubMed]
- Teleky, B.-E.; Martău, G.A.; Vodnar, D.C. Physicochemical Effects of Lactobacillus plantarum and Lactobacillus casei Cocultures on Soy–Wheat Flour Dough Fermentation. Foods 2020, 9, 1894. [Google Scholar] [CrossRef]
- Siezen, R.J.; van Hylckama Vlieg, J.E.T. Genomic Diversity and Versatility of Lactobacillus plantarum, a Natural Metabolic Engineer. Microb. Cell Factories 2011, 10, S3. [Google Scholar] [CrossRef]
- Rocchetti, M.T.; Russo, P.; Capozzi, V.; Drider, D.; Spano, G.; Fiocco, D. Bioprospecting Antimicrobials from Lactiplantibacillus plantarum: Key Factors Underlying Its Probiotic Action. Int. J. Mol. Sci. 2021, 22, 12076. [Google Scholar] [CrossRef] [PubMed]
- Yu, H.J.; Chen, Y.F.; Yang, H.J.; Yang, J.; Xue, J.G.; Li, C.K.; Kwok, L.Y.; Zhang, H.P.; Sun, T.S. Screening for Lactobacillus plantarum with Potential Inhibitory Activity against Enteric Pathogens. Ann. Microbiol. 2015, 65, 1257–1265. [Google Scholar] [CrossRef]
- Seddik, H.A.; Bendali, F.; Gancel, F.; Fliss, I.; Spano, G.; Drider, D. Lactobacillus plantarum and Its Probiotic and Food Potentialities. Probiotics Antimicrob. Proteins 2017, 9, 111–122. [Google Scholar] [CrossRef]
- Todorov, S.; Onno, B.; Sorokine, O.; Chobert, J.M.; Ivanova, I.; Dousset, X. Detection and Characterization of a Novel Antibacterial Substance Produced by Lactobacillus plantarum ST 31 Ssolated From Sourdough. Int. J. Food Microbiol. 1999, 48, 167–177. [Google Scholar] [CrossRef]
- Di Cagno, R.; De Angelis, M.; Calasso, M.; Vincentini, O.; Vernocchi, P.; Ndagijimana, M.; De Vincenzi, M.; Dessi, M.R.; Guerzoni, M.E.; Gobbetti, M. Quorum Sensing in Sourdough Lactobacillus plantarum DC400: Induction of Plantaricin A (PlnA) under Co-Cultivation with Other Lactic Acid Bacteria and Effect of PlnA on Bacterial and Caco-2 Cells. Proteomics 2010, 10, 2175–2190. [Google Scholar] [CrossRef]
- De Vuyst, L.; Comasio, A.; Van Kerrebroeck, S. Sourdough Production: Fermentation Strategies, Microbial Ecology, and Use of Non-Flour Ingredients. Crit. Rev. Foods Sci. Nutr. 2021, 63, 2447–2479. [Google Scholar] [CrossRef] [PubMed]
- Landis, E.A.; Oliverio, A.M.; McKenney, E.A.; Nichols, L.M.; Kfoury, N.; Biango-Daniels, M.; Shell, L.K.; Madden, A.A.; Shapiro, L.; Sakunala, S.; et al. The Diversity and Function of Sourdough Starter Microbiomes. eLife 2021, 10, e61644. [Google Scholar] [CrossRef] [PubMed]
- De Vuyst, L.; González-Alonso, A.; Wardhana, Y.R.; Pradal, I. Taxonomy and Species Diversity of Sourdough Lactic Acid Bacteria. In Handbook on Sourdough Biotechnology, 2nd ed.; Gobbetti, M., Gänzle, M., Eds.; Springer Nature: Cham, Switzerland, 2023; pp. 97–160. [Google Scholar] [CrossRef]
- Bessmeltseva, M.; Viiard, E.; Simm, J.; Paalme, T.; Sarand, I. Evolution of Bacterial Consortia in Spontaneously Started Rye Sourdoughs during Two Months of Daily Propagation. PLoS ONE 2014, 9, e95449. [Google Scholar] [CrossRef] [PubMed]
- Kozlinskis, E.; Skudra, L.; Klava, D.; Kunkulberga, D. Characterization of Rye Sourdough Microflora. FoodBalt 2008, 89–93. Available online: https://llufb.llu.lv/conference/foodbalt/2008/Foodbalt-Proceedings-2008-89-93.pdf (accessed on 6 September 2024).
- Minervini, F.; Lattanzi, A.; De Angelis, M.; Celano, G.; Gobbetti, M. House Microbiotas as Sources of Lactic Acid Bacteria and Yeasts in Traditional Italian Sourdoughs. Food Microbiol. 2015, 52, 66–76. [Google Scholar] [CrossRef]
- Gaglio, R.; Barbera, M.; Tesoriere, L.; Osimani, A.; Busetta, G.; Matraxia, M.; Attanzio, A.; Restivo, I.; Aquilanti, L.; Settanni, L. Sourdough “ciabatta” bread enriched with powdered insects: Physicochemical, Microbiological, and Simulated Intestinal Digesta Functional Properties. Innov. Food Sci. Emerg. Technol. 2021, 72, 102755. [Google Scholar] [CrossRef]
- Ferchichi, M.; Valcheva, R.; Prévost, H.; Onno, B.; Dousset, X. A One-Step Reaction for the Rapid Identification of Lactobacillus mindensis, Lactobacillus panis, Lactobacillus paralimentarius, Lactobacillus pontis and Lactobacillus frumenti Using Oligonucleotide Primers Designed from the 16S–23S rRNA Intergenic Sequences. J. Appl. Microbiol. 2008, 104, 1797–1807. [Google Scholar] [CrossRef] [PubMed]
- De Vuyst, L.; Schrijvers, V.; Paramithiotis, S.; Hoste, B.; Vancanneyt, M.; Swings, J.; Kalantzopoulos, G.; Tsakalidou, E.; Messens, W. The Biodiversity of Lactic Acid Bacteria in Greek Traditional Wheat Sourdoughs Is Reflected in Both Composition and Metabolite Formation. Appl. Environ. Microbiol. 2002, 68, 6059–6069. [Google Scholar] [CrossRef]
- Scheirlinck, I.; Van der Meulen, R.; Van Schoor, A.; Vancanneyt, M.; De Vuyst, L.; Vandamme, P.; Huys, G. Influence of Geographical Origin and Flour Type on Diversity of Lactic Acid Bacteria in Traditional Belgian Sourdoughs. Appl. Environ. Microbiol. 2007, 73, 6262–6269. [Google Scholar] [CrossRef]
- Sekwati-Monang, B.; Gänzle, M.G. Microbiological and Chemical Characterisation of Ting, a Sorghum-Based Sourdough Product from Botswana. Int. J. Food Microbiol. 2011, 150, 115–121. [Google Scholar] [CrossRef]
- Lim, S.B.; Tingirikari, J.M.R.; Kwon, Y.W.; Li, L.; Han, N.S. Polyphasic Microbial Analysis of Traditional Korean Jeung-Pyun Sourdough Fermented with Makgeolli. J. Microbiol. Biotechnol. 2017, 27, 226–233. [Google Scholar] [CrossRef] [PubMed]
- Rappaport, H.B.; Senewiratne, N.P.S.; Lucas, S.K.; Wolfe, B.E.; Oliverio, A.M. Genomics and Synthetic Community Experiments Uncover the Key Metabolic Roles of Acetic Acid Bacteria in Sourdough Starter Microbiomes. bioRxiv 2024, 1–23. [Google Scholar] [CrossRef]
- Solieri, L.; Bianchi, A.; Giudici, P. Inventory of Non Starter Lactic Acid Bacteria from Ripened Parmigiano Reggiano Cheese as Assessed by a Culture Dependent Multiphasic Approach. Syst. Appl. Microbiol. 2012, 35, 270–277. [Google Scholar] [CrossRef] [PubMed]
- Fei, Y.; Li, L.; Chen, L.; Zheng, Y.; Yu, B. High-Throughput Sequencing and Culture-Based Approaches to Analyze Microbial Diversity Associated with Chemical Changes in Naturally Fermented Tofu Whey, a Traditional Chinese Tofu-Coagulant. Food Microbiol. 2018, 76, 69–77. [Google Scholar] [CrossRef] [PubMed]
- Angelescu, I.-R.; Zamfir, M.; Stancu, M.-M.; Grosu-Tudor, S.-S. Identification and Probiotic Properties of Lactobacilli Isolated Two Different Fermented Beverages. Ann. Microbiol. 2019, 69, 1557–1565. [Google Scholar] [CrossRef]
- Jung, J.Y.; Han, S.-S.; Kim, Z.-H.; Ryu, B.-G.; Jin, H.M.; Chung, E.J. Complete Genome Sequence of Lactobacillus harbinensis Strain NSMJ42, Isolated from Makgeolli, a Traditional Korean Alcoholic Beverage. Microbiol. Resour. Announc. 2019, 8, e01177-19. [Google Scholar] [CrossRef] [PubMed]
- Pérez-Alvarado, O.; Zepeda-Hernández, A.; Garcia-Amezquita, L.E.; Requena, T.; Vinderola, G.; García-Cayuela, T. Role of Lactic Acid Bacteria and Yeasts in Sourdough Fermentation during Breadmaking: Evaluation of Postbiotic-Like Components and Health Benefits. Front. Microbiol. 2022, 13, 969460. [Google Scholar] [CrossRef]
- Miyamoto, M.; Seto, Y.; Hao, D.H.; Teshima, T.; Sun, Y.B.; Kabuki, T.; Yao, L.B.; Nakajima, H. Lactobacillus harbinensis sp. nov., Consisted of Strains Isolated from Traditional Fermented Vegetables ‘Suan cai’ in Harbin, Northeastern China and Lactobacillus perolens DSM 12745. Syst. Appl. Microbiol. 2005, 28, 688–694. [Google Scholar] [CrossRef]
- Mieszkin, S.; Hymery, N.; Debaets, S.; Coton, E.; Le Blay, G.; Valence, F.; Mounier, J. Action Mechanisms Involved in the Bioprotective Effect of Lactobacillus harbinensis K.V9.3.1.Np against Yarrowia lipolytica in Fermented Milk. Int. J. Food Microbiol. 2017, 248, 47–55. [Google Scholar] [CrossRef]
- Mosbah, A.; Delavenne, E.; Souissi, Y.; Mahjoubi, M.; Jéhan, P.; Le Yondre, N.; Cherif, A.; Bondon, A.; Mounier, J.; Baudy-Floc’h, M.; et al. Novel Antifungal Compounds, Spermine-Like and Short Cyclic Polylactates, Produced by Lactobacillus harbinensis K.V9.3.1Np in Yogurt. Front. Microbiol. 2018, 9, 2252. [Google Scholar] [CrossRef]
- Garnier, L.; Mounier, J.; Lê, S.; Pawtowski, A.; Pinon, N.; Camier, B.; Chatel, M.; Garric, G.; Thierry, A.; Coton, E.; et al. Development of Antifungal Ingredients for Dairy Products: From In Vitro Screening to Pilot Scale Application. Food Microbiol. 2019, 81, 97–107. [Google Scholar] [CrossRef] [PubMed]
- Ispirli, H.; Demirbaş, F.; Yüzer, M.O.; Dertli, E. Identification of Lactic Acid Bacteria from Spontaneous Rye Sourdough and Determination of Their Functional Characteristics. Food Biotechnol. 2018, 32, 222–235. [Google Scholar] [CrossRef]
- Ricciardi, A.; Parente, E.; Zotta, T. Modelling the Growth of Weissella cibaria as a Function of Fermentation Conditions. J. Appl. Microbiol. 2009, 107, 1528–1535. [Google Scholar] [CrossRef] [PubMed]
- Fusco, V.; Quero, G.M.; Cho, G.-S.; Kabisch, J.; Meske, D.; Neve, H.; Bockelmann, W.; Franz, C.M.A.P. The genus Weissella: Taxonomy, Ecology and Biotechnological Potential. Front. Microbiol. 2015, 6, 155. [Google Scholar] [CrossRef]
- Wolter, A.; Hager, A.-S.; Zannini, E.; Galle, S.; Gänzle, M.G.; Waters, D.M.; Arendt, E.K. Evaluation of Exopolysaccharide Producing Weissella cibaria MG1 Strain for the Production of Sourdough from Various Flours. Food Microbiol. 2014, 37, 44–50. [Google Scholar] [CrossRef]
- Boreczek, J.; Litwinek, D.; Żylińska-Urban, J.; Izak, D.; Buksa, K.; Gawor, J.; Gromadka, R.; Bardowski, J.K.; Kowalczyk, M. Bacterial Community Dynamics in Spontaneous Sourdoughs Made from Wheat, Spelt, and Rye Wholemeal Flour. MicrobiologyOpen 2020, 9, e1009. [Google Scholar] [CrossRef]
- Spicher, G.; Schröder, R. The microflora of sourdough: IV. Communication: Bacterial Composition of Sourdough Starters Genus Lactobacillus Beijerinck. Eur. Food Res. Technol. 1978, 167, 342–354. [Google Scholar] [CrossRef]
- Gänzle, M.G.; Ehrmann, M.; Hammes, W.P. Modelling of Growth of Lactobacillus sanfranciscensis and Candida milleri in Response to Process Parameters of Sourdough Fermentation. Appl. Environ. Microbiol. 1998, 64, 2616–2623. [Google Scholar] [CrossRef] [PubMed]
- Böcker, G.; Stolz, P.; Hammes, W.P. Neue Erkenntnisse zum Ökosystem Sauerteig und zur Physiologie der sauerteigsypischen Stämme Lactobacillus sanfrancisco und Lactobacillus pontis. Getreide Mehl Und Brot 1995, 49, 370–374. [Google Scholar]
- Brandt, M.J. Industrial Production of Sourdoughs for the Baking Branch—An Overview. Int. J. Food Microbiol. 2019, 302, 3–7. [Google Scholar] [CrossRef]
- Reese, A.T.; Madden, A.A.; Joossens, M.; Lacaze, G.; Dunn, R.R. Influences of Ingredients and Bakers on the Bacteria and Fungi in Sourdough Starters and Bread. mSphere 2020, 5, e00950-19. [Google Scholar] [CrossRef] [PubMed]
- Vrancken, G.; De Vuyst, L.; Van der Meulen, R.; Huys, G.; Vandamme, P.; Daniel, H.M. Yeast Species Composition Differs between Artisan Bakery and Spontaneous Laboratory Sourdoughs. FEMS Yeast Res. 2010, 10, 471–481. [Google Scholar] [CrossRef] [PubMed]
- Muthappa, D.M.; Lamba, S.; Sivasankaran, S.K.; Naithani, A.; Rogers, N.; Srikumar, S.; Macori, G.; Scannell, A.G.M.; Fanning, S. 16S rRNA Based Profiling of Bacterial Communities Colonizing Bakery-Production Environments. Foodborne Pathog. Dis. 2022, 19, 485–494. [Google Scholar] [CrossRef]
- Baur Munch-Andersen, C.; Porcellato, D.; Devold, T.G.; Østlie, H.M. Isolation, Identification, and Stability of Sourdough Microbiota from Spontaneously Fermented Norwegian Legumes. Int. J. Food Microbiol. 2024, 410, 110505. [Google Scholar] [CrossRef] [PubMed]
- Ercolini, D.; Pontonio, E.; De Filippis, F.; Minervini, F.; La Storia, A.; Gobbetti, M.; Di Cagno, R. Microbial Ecology Dynamics during Rye and Wheat Sourdough Preparation. Appl. Environ. Microbiol. 2013, 79, 7827–7836. [Google Scholar] [CrossRef] [PubMed]
- Pakroo, S.; Tarrah, A.; Takur, R.; Wu, M.; Corich, V.; Giacomini, A. Limosilactobacillus fermentum ING8, a Potential Multifunctional Non-Starter Strain with Relevant Technological Properties and Antimicrobial Activity. Foods 2022, 11, 703. [Google Scholar] [CrossRef]
- Galli, V.; Venturi, M.; Pini, N.; Guerrini, S.; Granchi, L.; Vincenzini, M. Liquid and Firm Sourdough Fermentation: Microbial Robustness and Interactions during Consecutive Backsloppings. LWT—Food Sci. Technol. 2019, 105, 9–15. [Google Scholar] [CrossRef]
- Douillard, F.P.; Ribbera, A.; Kant, R.; Pietilä, T.E.; Järvinen, H.M.; Messing, M.; Randazzo, C.L.; Paulin, L.; Laine, P.; Ritari, J.; et al. Comparative Genomic and Functional Analysis of 100 Lactobacillus rhamnosus Strains and Their Comparison with Strain GG. PLoS Genet. 2013, 9, e1003683. [Google Scholar] [CrossRef]
- Rizzello, C.G.; Cavoski, I.; Turk, J.; Ercolini, D.; Nionelli, L.; Pontonio, E.; De Angelis, M.; De Filippis, F.; Gobbetti, M.; Di Cagno, R. Organic Cultivation of Triticum turgidum subsp. durum Is Reflected in the Flour-Sourdough Fermentation-Bread Axis. Appl. Environ. Microbiol. 2015, 81, 3192–3204. [Google Scholar] [CrossRef]
- Pepe, O.; Blajotta, G.; Anastasio, M.; Moschetti, G.; Ercolini, D.; Villani, F. Technological and Molecular Diversity of Lactobacillus plantarum Strains Isolated from Naturally Fermented Sourdoughs. Syst. Appl. Microbiol. 2004, 27, 443–453. [Google Scholar] [CrossRef]
- Kitahara, M.; Sakata, S.; Benno, Y. Biodiversity of Lactobacillus sanfranciscensis Strains Isolated from Five Sourdoughs. Lett. Appl. Microbiol. 2005, 40, 353–357. [Google Scholar] [CrossRef] [PubMed]
- Pino, A.; Russo, N.; Solieri, L.; Sola, L.; Caggia, C.; Randazzo, C.L. Microbial Consortia Involved in Traditional Sicilian Sourdough: Characterization of Lactic Acid Bacteria and Yeast Populations. Microorganisms 2022, 10, 283. [Google Scholar] [CrossRef]
- Gobbetti, M. The Sourdough Microflora: Interactions of Lactic Acid Bacteria and Yeasts. Trends Food Sci. Technol. 1998, 9, 267–274. [Google Scholar] [CrossRef]
- Lhomme, E.; Urien, C.; Legrand, J.; Dousset, X.; Onno, B.; Sicard, D. Sourdough Microbial Community Dynamics: An Analysis during French Organic Bread-Making Processes. Food Microbiol. 2016, 53, 41–50. [Google Scholar] [CrossRef] [PubMed]
- Picozzi, C.; Bonacina, G.; Vigentini, I.; Foschino, R. Genetic Diversity in Italian Lactobacillus sanfranciscensis Strains Assessed by Multilocus Sequence Typing and Pulsed-Field Gel Electrophoresis Analyses. Microbiology 2010, 156, 2035–2045. [Google Scholar] [CrossRef]
- Yang, H.; Liu, T.; Zhang, G.; Chen, J.; Gu, J.; Yuan, L.; He, G. Genotyping of Lactobacillus sanfranciscensis Isolates from Chinese Traditional Sourdoughs by Multilocus Sequence Typing and Multiplex RAPD-PCR. Int. J. Food Microbiol. 2017, 258, 50–57. [Google Scholar] [CrossRef]
- Comasio, A.; Verce, M.; Van Kerrebroeck, S.; De Vuyst, L. Diverse Microbial Composition of Sourdoughs from Different Origins. Front. Microbiol. 2020, 11, 1212. [Google Scholar] [CrossRef] [PubMed]
- Mantzourani, I.; Plessas, S.; Odatzidou, M.; Alexopoulos, A.; Galanis, A.; Bezirtzoglou, E.; Bekatorou, A. Effect of a Novel Lactobacillus paracasei Starter on Sourdough Bread Quality. Food Chem. 2019, 271, 259–265. [Google Scholar] [CrossRef]
- Kazakos, S.; Mantzourani, I.; Plessas, S. Quality Characteristics of Novel Sourdough Breads Made with Functional Lacticaseibacillus paracasei SP5 and Prebiotic Food Matrices. Foods 2022, 11, 3226. [Google Scholar] [CrossRef]
- Hassan, Y.I.; Bullerman, L.B. Antifungal Activity of Lactobacillus paracasei ssp. tolerans Isolated from a Sourdough Bread Culture. Int. J. Food Microbiol. 2008, 121, 112–115. [Google Scholar] [CrossRef]
- Fang, S.; Yan, B.; Tian, F.; Lian, H.; Zhao, J.; Zhang, H.; Chen, W.; Fan, D. β-fructosidase FosE activity in Lactobacillus paracasei Regulates Fructan Degradation during Sourdough Fermentation and Total FODMAP Levels in Steamed Bread. LWT—Food Sci. Technol. 2021, 145, 111294. [Google Scholar] [CrossRef]
- Ripari, V.; Gänzle, M.G.; Berardi, E. Evolution of Sourdough Microbiota in Spontaneous Sourdoughs Started with Different Plant Materials. Int. J. Food Microbiol. 2016, 232, 35–42. [Google Scholar] [CrossRef] [PubMed]
- Fu, W.; Rao, H.; Tian, Y.; Xue, W. Bacterial Composition in Sourdoughs from Different Regions in China and the Microbial Potential to Reduce Wheat Allergens. LWT—Food Sci. Technol. 2020, 117, 108669. [Google Scholar] [CrossRef]
- Calabrese, F.M.; Ameur, H.; Nikoloudaki, O.; Celano, G.; Vacca, M.; Lemos Junior, W.J.F.; Manzari, C.; Vertè, F.; Di Cagno, R.; Pesole, G.; et al. Metabolic Framework of Spontaneous and Synthetic Sourdough Metacommunities to Reveal Microbial Players Responsible for Resilience and Performance. Microbiome 2022, 10, 148. [Google Scholar] [CrossRef]
- Foschino, R.; Venturelli, E.; Picozzi, C. Isolation and Characterization of a Virulent Lactobacillus sanfranciscensis Bacteriophage and Its Impact on Microbial Population in Sourdough. Curr. Microbiol. 2005, 51, 413–418. [Google Scholar] [CrossRef]
- Di Cagno, R.; Pontonio, E.; Buchin, S.; De Angelis, M.; Lattanzi, A.; Valerio, F.; Gobbetti, M.; Calasso, M. Diversity of the Lactic Acid Bacterium and Yeast Microbiota in the Switch from Firm- to Liquid-Sourdough Fermentation. Appl. Environ. Microbiol. 2014, 80, 3161–3172. [Google Scholar] [CrossRef]
- Siepmann, F.B.; de Almeida, B.S.; Waszczynskyj, N.; Spier, M.R. Influence of Temperature and of Starter Culture on Biochemical Characteristics and the Aromatic Compounds Evolution on Type II Sourdough and Wheat Bread. LWT—Food Sci. Technol. 2019, 108, 199–206. [Google Scholar] [CrossRef]
- Canesin, M.R.; Cazarin, C.B.B. Nutritional Quality and Nutrient Bioaccessibility in Sourdough Bread. Curr. Opin. Food Sci. 2021, 40, 81–86. [Google Scholar] [CrossRef]
- Lau, S.W.; Chong, A.Q.; Chin, N.L.; Talib, R.A.; Basha, R.K. Sourdough Microbiome Comparison and Benefits. Microorganisms 2021, 9, 1355. [Google Scholar] [CrossRef]



| Lactic Acid Bacteria | MALDI-TOF | API Kit | ||
|---|---|---|---|---|
| WS | RS | WS | RS | |
| Lactiplantibacillus plantarum | 9 | 24 | 9 | 24 |
| Lentilactobacillus parabuchneri | 6 | 2 | ||
| Lacticaseibacillus paracasei | 5 | 2 | 5 | 1 |
| Levilactobacillus brevis | 2 | 2 | ||
| Limosilactobacillus fermentum | 1 | 4 | 5 | |
| Lentilactobacillus buchneri | 4 | 2 | ||
| Lactococcus lactis ssp. lactis | 4 | 1 | ||
| Companilactobacillus paralimentarius | 2 | 1 | ||
| Companilactobacillus mindensis | 3 | |||
| Pediococcus damnosus | 3 | |||
| Leuconostoc mesenteroides ssp. cremoris | 1 | |||
| Latilactobacillus curvatus | 1 | |||
| Schleiferilactobacillus harbinensis | 1 | 1 | ||
| Weissella cibaria | 1 | |||
| Lactobacillus sp. | 2 | 1 | ||
| Pediococcus sp. | 1 | |||
| Unidentified | 1 | 1 | ||
| Total | 29 | 37 | 29 | 37 |
| Genotype | No. of Isolates | Source of Isolates * | LAB Species | ITS-PCR Sizes (bp) | TaqI-Digested ITS-PCR Sizes (bp) | |
|---|---|---|---|---|---|---|
| A | A1 | 4 | III RS, IV RS, IV RS, IV RS | L. plantarum | 530, 440, 280 | 320, 220, 90 |
| A2 | 3 | III RS, III RS, IV WS | 470, 400, 270 | 290, 210 | ||
| A3 | 2 | IV WS, IV RS | 460, 390, 260 | 400, 340, 240 | ||
| A4 | 3 | IV WS, IV RS, IV RS | 800, 500, 410, 280 | 310, 210, 130, 90 | ||
| A5 | 2 | I RS, III RS | 520, 300 | 300, 220, 130, 100 | ||
| A6 | 6 | I WS, I RS, I RS, III RS, IV RS, IV RS | 490, 260 | 220, 130, 100 | ||
| A7 | 4 | I WS, I WS, I RS, I RS | 700, 420, 240 | 700, 160, 100, 80 | ||
| A8 | 2 | IV WS, IV RS | 530, 280 | 190, 120, 100 | ||
| A9 | 3 | I RS, II RS, III RS | 510, 300 | 400, 200, 180, 120 | ||
| A10 | 1 | IV WS | 480,250 | 400, 230 | ||
| A11 | 2 | II WS, IV RS | 520, 480, 270 | 230, 120, 100 | ||
| A12 | 1 | IV RS | 530, 440, 260 | 300, 200, 170 | ||
| B | B1 | 1 | II RS | L. parabuchneri | 670, 530, 420, 260 | 630, 430, 280, 230, 130, 100 |
| B2 | 2 | III WS, III WS | 570, 480, 280 | 230, 110, 90 | ||
| B3 | 2 | II WS, II WS | 720, 440, 280, 240 | 430, 250, 220 | ||
| B4 | 1 | II RS | 790, 550, 430, 340, 210, 130 | 310, 240, 200 | ||
| B5 | 2 | IV WS, IV WS | 520, 420, 300 | 280, 220, 180 | ||
| C | C1 | 2 | II WS, III WS | L. paracasei | 490, 370, 300, 210 | 300, 200, 170, 110 |
| C2 | 5 | III WS, III WS, III WS, III RS, IV RS | 500, 250 | 390, 270, 240, 150 | ||
| D | D1 | 1 | I RS | L. fermentum | 490, 400, 300, 270 | 380, 290, 220, 180, 100, 90 |
| D2 | 1 | III RS | 490, 310 | 310, 240, 200, 90 | ||
| D3 | 1 | II WS | 490, 270 | 340, 220, 130 | ||
| D4 | 1 | III RS | 510, 440, 370, 280 | 410, 190, 110, 80 | ||
| D5 | 1 | II RS | 850, 520, 470, 300 | 320, 220, 130, 100 | ||
| E | E1 | 2 | I WS, I WS | C. mindensis | 420, 210 | 260, 170 |
| E2 | 1 | I WS | 480, 450, 410, 310, 260 | 480, 310 | ||
| F | F1 | 1 | II WS | C. paralimentarius | 550, 490, 410, 300 | 380, 280, 200, 180, 110 |
| F2 | 2 | III WS, III RS | 480, 270 | 330, 220, 200 | ||
| G | 1 | III RS | S. harbinensis | 550, 510, 470, 400, 330, 270 | 350, 300, 270, 240 | |
| H | 1 | I RS | W. cibaria | 420, 330, 260 | 400, 300, 230, 200, 160, 110 | |
Disclaimer/Publisher’s Note: The statements, opinions and data contained in all publications are solely those of the individual author(s) and contributor(s) and not of MDPI and/or the editor(s). MDPI and/or the editor(s) disclaim responsibility for any injury to people or property resulting from any ideas, methods, instructions or products referred to in the content. |
© 2024 by the authors. Licensee MDPI, Basel, Switzerland. This article is an open access article distributed under the terms and conditions of the Creative Commons Attribution (CC BY) license (https://creativecommons.org/licenses/by/4.0/).
Share and Cite
Lutter, L.; Kuzina, A.; Andreson, H. Genotypic Stability of Lactic Acid Bacteria in Industrial Rye Bread Sourdoughs Assessed by ITS-PCR Analysis. Microorganisms 2024, 12, 1872. https://doi.org/10.3390/microorganisms12091872
Lutter L, Kuzina A, Andreson H. Genotypic Stability of Lactic Acid Bacteria in Industrial Rye Bread Sourdoughs Assessed by ITS-PCR Analysis. Microorganisms. 2024; 12(9):1872. https://doi.org/10.3390/microorganisms12091872
Chicago/Turabian StyleLutter, Liis, Aljona Kuzina, and Helena Andreson. 2024. "Genotypic Stability of Lactic Acid Bacteria in Industrial Rye Bread Sourdoughs Assessed by ITS-PCR Analysis" Microorganisms 12, no. 9: 1872. https://doi.org/10.3390/microorganisms12091872
APA StyleLutter, L., Kuzina, A., & Andreson, H. (2024). Genotypic Stability of Lactic Acid Bacteria in Industrial Rye Bread Sourdoughs Assessed by ITS-PCR Analysis. Microorganisms, 12(9), 1872. https://doi.org/10.3390/microorganisms12091872

