Pathohistological Changes in the Gastric Mucosa in Correlation with the Immunohistochemically Detected Spiral and Coccoid Forms of Helicobacter pylori
Abstract
1. Introduction
2. Materials and Methods
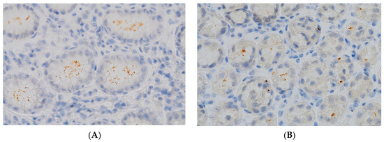
3. Results
4. Discussion
5. Conclusions
Author Contributions
Funding
Data Availability Statement
Conflicts of Interest
References
- Marshall, B.J.; Warren, J.R. Unidentified Curved Bacilli in the Stomach of Patients with Gastritis and Peptic Ulceration. Lancet 1984, 1, 1311–1314. [Google Scholar] [CrossRef] [PubMed]
- Altayar, O.; Davitkov, P.; Shah, S.C.; Gawron, A.J.; Morgan, D.R.; Turner, K.; Mustafa, R.A. AGA Technical Review on Gastric Intestinal Metaplasia—Epidemiology and Risk Factors. Gastroenterology 2020, 158, 732–744. [Google Scholar] [CrossRef] [PubMed]
- Sotelo, O.C.; Rojas, M.P.; Rodríguez, A.R.; Figueroa, V.S.; Jofré, R.A.; Bufadel Godoy, M.E.; González, P.C.; Donoso, R.G.; López, E.F.; Selvat, G.L.; et al. Estrategias Para La Prevención Primaria y Secundaria Del Cáncer Gástrico: Consenso Chileno de Panel de Expertos Con Técnica Delfi. Gastroenterol. Hepatol. 2024, in press. [CrossRef]
- Ali, A.; AlHussaini, K.I. Helicobacter Pylori: A Contemporary Perspective on Pathogenesis, Diagnosis and Treatment Strategies. Microorganisms 2024, 12, 222. [Google Scholar] [CrossRef] [PubMed]
- Malfertheiner, P.; Megraud, F.; Rokkas, T.; Gisbert, J.P.; Liou, J.M.; Schulz, C.; Gasbarrini, A.; Hunt, R.H.; Leja, M.; O’Morain, C.; et al. Management of Helicobacter Pylori Infection: The Maastricht VI/Florence Consensus Report. Gut 2022, 71, 1724–1762. [Google Scholar] [CrossRef] [PubMed]
- Hooi, J.; Lai, W.; Ng, W.K.; Suen, M.M.Y.; Underwood, F.E.; Tanyingoh, D.; Malfertheiner, P.; Graham, D.Y.; Wong, V.W.S.; Wu, J.C.Y.; et al. Global Prevalence of Helicobacter Pylori Infection: Systematic Review and Meta-Analysis. Gastroenterology 2017, 153, 420–429. [Google Scholar] [CrossRef] [PubMed]
- Brkic, N.; Terzic, V.; Švagelj, M.; Cvrkovic, M.; Brkic, H.; Švagelj, D. The Prevalence and Characteristics of Helicobacter Pylori-Associated Gastritis in Dyspeptic Patients in Eastern Croatia, Determined by Immunohistochemistry. Period. Biol. 2017, 119, 75–80. [Google Scholar] [CrossRef]
- Gladyshev, N.; Taame, M.; Kravtsov, V. Helicobacter Pylori Coccoid Forms as a Possible Target of Eradication Therapy. Infect. Disord. Drug Targets 2022, 22, e180322202380. [Google Scholar] [CrossRef] [PubMed]
- Ierardi, E.; Losurdo, G.; Mileti, A.; Paolillo, R.; Giorgio, F.; Principi, M.; Di Leo, A. The Puzzle of Coccoid Forms of Helicobacter Pylori: Beyond Basic Science. Antibiotics 2020, 9, 293. [Google Scholar] [CrossRef]
- Cellini, L.; Allocati, N.; Angelucci, D.; Iezzi, T.; Di Campli, E.; Marzio, L.; Dainelli, B. Coccoid Helicobacter Pylori Not Culturable in Vitro Reverts in Mice. Microbiol. Immunol. 1994, 38, 843–850. [Google Scholar] [CrossRef]
- Balakrishna, J.P.; Filatov, A. Coccoid Forms of Helicobacter Pylori Causing Active Gastritis. Am. J. Clin. Pathol. 2013, 140, A101. [Google Scholar] [CrossRef]
- Reshetnyak, V.I.; Reshetnyak, T.M. Significance of Dormant Forms of Helicobacter Pylori in Ulcerogenesis. World J. Gastroenterol. 2017, 23, 4867–4878. [Google Scholar] [CrossRef]
- Krzyzek, P.; Gosciniak, G. A Proposed Role for Diffusible Signal Factors in the Biofilm Formation and Morphological Transformation of Helicobacter Pylori. Turk. J. Gastroenterol. 2018, 29, 7. [Google Scholar] [CrossRef] [PubMed]
- Tacconelli, E.; Carrara, E.; Savoldi, A.; Harbarth, S.; Mendelson, M.; Monnet, D.L.; Pulcini, C.; Kahlmeter, G.; Kluytmans, J.; Carmeli, Y.; et al. Discovery, Research, and Development of New Antibiotics: The WHO Priority List of Antibiotic-Resistant Bacteria and Tuberculosis. Lancet Infect. Dis. 2018, 18, 318–327. [Google Scholar] [CrossRef] [PubMed]
- Al-Fakhrany, O.M.; Elekhnawy, E. Helicobacter Pylori in the Post-Antibiotics Era: From Virulence Factors to New Drug Targets and Therapeutic Agents. Arch. Microbiol. 2023, 205, 301. [Google Scholar] [CrossRef] [PubMed]
- Lin, Y.; Shao, Y.; Yan, J.; Ye, G. Antibiotic Resistance in Helicobacter Pylori: From Potential Biomolecular Mechanisms to Clinical Practice. J. Clin. Lab. Anal. 2023, 37, e24885. [Google Scholar] [CrossRef] [PubMed]
- Li, M.; Ma, X.; Xu, H.; Han, M.; Gou, L.; Du, H.; Wei, L.; Zhang, D. Assessment of the Quality, Diagnosis, and Therapeutic Recommendations of Clinical Practice Guidelines on Patients with Helicobacter Pylori Infection: A Systematic Review. Gastroenterol. Hepatol. 2024, 47, 627–645. [Google Scholar] [CrossRef] [PubMed]
- Chen, C.L.; Wu, I.T.; Wu, D.C.; Lei, W.Y.; Tsay, F.W.; Chuah, S.K.; Chen, K.Y.; Yang, J.C.; Liu, Y.H.; Kuo, C.H.; et al. Independent Risk Factors Predicting Eradication Failure of Hybrid Therapy for the First-Line Treatment of Helicobacter Pylori Infection. Microorganisms 2023, 12, 6. [Google Scholar] [CrossRef] [PubMed]
- Costa, K.; Bacher, G.; Allmaier, G.; Dominguez-Bello, M.G.; Engstrand, L.; Falk, P.; de Pedro, M.A.; Portillo, F.G.-D. The Morphological Transition of Helicobacter Pylori Cells from Spiral to Coccoid Is Preceded by a Substantial Modification of the Cell Wall. J. Bacteriol. 1999, 181, 3710–3715. [Google Scholar] [CrossRef]
- DeLoney, C.R.; Schiller, N.L. Competition of Various β-Lactam Antibiotics for the Major Penicillin-Binding Proteins of Helicobacter Pylori: Antibacterial Activity and Effects on Bacterial Morphology. Antimicrob. Agents Chemother. 1999, 43, 2702–2709. [Google Scholar] [CrossRef]
- Krzyżek, P.; Migdał, P.; Paluch, E.; Karwańska, M.; Wieliczko, A.; Gościniak, G. Myricetin as an Antivirulence Compound Interfering with a Morphological Transformation into Coccoid Forms and Potentiating Activity of Antibiotics against Helicobacter Pylori. Int. J. Mol. Sci. 2021, 22, 2695. [Google Scholar] [CrossRef]
- Damasceno, J.P.L.; Rodrigues, R.P.; Gonçalves, R.D.C.R.; Kitagawa, R.R. Anti-Helicobacter Pylori Activity of Isocoumarin Paepalantine: Morphological and Molecular Docking Analysis. Molecules 2017, 22, 786. [Google Scholar] [CrossRef] [PubMed]
- González, A.; Salillas, S.; Velázquez-Campoy, A.; Espinosa Angarica, V.; Fillat, M.F.; Sancho, J.; Lanas, Á. Identifying Potential Novel Drugs against Helicobacter Pylori by Targeting the Essential Response Regulator HsrA. Sci. Rep. 2019, 9, 11294. [Google Scholar] [CrossRef] [PubMed]
- Silvan, P.; Moreno, J.M.; Carvajal, D.A.; Martinez-Rodriguez, M.; Garcia-Ibañez, P.; Silvan, J.M.; Moreno, D.A.; Carvajal, M.; Martinez-Rodriguez, A.J. Influence of Source Materials, Concentration, Gastric Digestion, and Encapsulation on the Bioactive Response of Brassicaceae-Derived Samples against Helicobacter Pylori. Microorganisms 2023, 12, 77. [Google Scholar] [CrossRef]
- Dixon, M.F.; Genta, R.M.; Yardley, J.H.; Correa, P. Classification and Grading of Gastritis: The Updated Sydney System. Am. J. Surg. Pathol. 1996, 20, 1161–1181. [Google Scholar] [CrossRef] [PubMed]
- Akeel, M.; Elhafey, A.; Shehata, A.; Elmakki, E.; Aboshouk, T.; Ageely, H.; Mahfouz, M.S. Efficacy of Immunohistochemical Staining in Detecting Helicobacter Pylori in Saudi Patients with Minimal and Atypical Infection. Eur. J. Histochem. 2021, 65, 3222. [Google Scholar] [CrossRef] [PubMed]
- Zhong, Z.; Wang, X.; Li, J.; Zhang, B.; Yan, L.; Xu, S.; Chen, G.; Gao, H. A Study on the Diagnosis of the Helicobacter Pylori Coccoid Form with Artificial Intelligence Technology. Front. Microbiol. 2022, 13, 1008346. [Google Scholar] [CrossRef]
- Goldstein, N.S. Chronic Inactive Gastritis and Coccoid Helicobacter Pylori in Patients Treated for Gastroesophageal Reflux Disease or with H Pylori Eradication Therapy. Am. J. Clin. Pathol. 2002, 118, 719–726. [Google Scholar] [CrossRef] [PubMed]
- Aggarwal, N.; Snyder, P.; Owens, S.R. Unusual Helicobacter Pylori in Gastric Resection Specimens: An Old Friend with a New Look. Int. J. Surg. Pathol. 2011, 19, 297–302. [Google Scholar] [CrossRef] [PubMed]
- Wen, M.; Zhang, Y.; Yamada, N.; Matsuhisa, T.; Matsukura, N.; Sugisaki, Y. An Evaluative System for the Response of Antibacterial Therapy: Based on the Morphological Change of Helicobacter Pylori and Mucosal Inflammation. Pathol. Int. 1999, 49, 332–337. [Google Scholar] [CrossRef]
- Nurdin, W.; Krisnuhoni, E.; Kusmardi, K. Comparison of Helicobacter Pylori Detection Using Immunohistochemistry and Giemsa and Its Association with Morphological Changes in Active Chronic Gastritis. Indones. J. Gastroenterol. Hepatol. Dig. Endosc. 2016, 17, 21–27. [Google Scholar] [CrossRef]
- Attaran, B.; Salehi, N.; Ghadiri, B.; Esmaeili, M.; Kalateh, S.; Tashakoripour, M.; Eshagh Hosseini, M.; Mohammadi, M. The Penicillin Binding Protein 1A of Helicobacter Pylori, Its Amoxicillin Binding Site and Access Routes. Gut Pathog. 2021, 13, 43. [Google Scholar] [CrossRef] [PubMed]
- Lash, R.H.; Genta, R.M. Routine Anti-Helicobacter Immunohistochemical Staining Is Significantly Superior to Reflex Staining Protocols for the Detection of Helicobacter in Gastric Biopsy Specimens. Helicobacter 2016, 21, 581–585. [Google Scholar] [CrossRef] [PubMed]
- Tajalli, R.; Nobakht, M.; Mohammadi-Barzelighi, H.; Agah, S.; Rastegar-Lari, A.; Sadeghipour, A. The Immunohistochemistry and Toluidine Blue Roles for Helicobacter Pylori Detection in Patients with Gastritis. Iran. Biomed. J. 2013, 17, 36. [Google Scholar] [CrossRef] [PubMed]
- Chan, W.-Y.; Hui, P.-K.; Leung, K.-M.; Chow, J.; Kwok, F.; Ng, C.-S. Coccoid Forms of Helicobacter Pylori in the Human Stomach. Am. J. Clin. Pathol. 1994, 102, 503–507. [Google Scholar] [CrossRef] [PubMed]
- Gladyshev, N.; Taame, M.; Ibiliev, A.; Grukhin, Y.; Kravtsov, V. Colonization by Various Morphological Forms of Helicobacter Pylori in the Gingival Sulcus and Antrum of the Stomach. Recent Adv. Anti-Infect. Drug Discov. 2022, 17, 199–211. [Google Scholar] [CrossRef]
- Loke, M.F.; Ng, C.G.; Vilashni, Y.; Lim, J.; Ho, B. Understanding the Dimorphic Lifestyles of Human Gastric Pathogen Helicobacter Pylori Using the SWATH-Based Proteomics Approach. Sci. Rep. 2016, 6, 26784. [Google Scholar] [CrossRef]
- Cellini, L.; Grande, R.; Di Campli, E.; Traini, T.; Di Giulio, M.; Nicola Lannutti, S.; Lattanzio, R. Dynamic Colonization of Helicobacter Pylori in Human Gastric Mucosa. Scand. J. Gastroenterol. 2008, 43, 178–185. [Google Scholar] [CrossRef] [PubMed]
- Savoldi, A.; Carrara, E.; Graham, D.Y.; Conti, M.; Tacconelli, E. Prevalence of Antibiotic Resistance in Helicobacter Pylori: A Systematic Review and Meta-Analysis in World Health Organization Regions. Gastroenterology 2018, 155, 1372–1382.e17. [Google Scholar] [CrossRef]
- Sarem, M.; Corti, R. Role of Helicobacter Pylori Coccoid Forms in Infection and Recrudescence. Gastroenterol. Y Hepatol. (Engl. Ed.) 2016, 39, 28–35. [Google Scholar] [CrossRef]
- Faghri, J.; Poursina, F.; Moghim, S.; Esfahani, H.Z.; Esfahani, B.N.; Fazeli, H.; Mirzaei, N.; Jamshidian, A.; Safaei, H.G. Morphological and Bactericidal Effects of Different Antibiotics on Helicobacter Pylori. Jundishapur J. Microbiol. 2014, 7, e8704. [Google Scholar] [CrossRef]
- Gladyshev, N.; Taame, M.; Kravtsov, V. Clinical and Laboratory Importance of Detecting Helicobacter Pylori Coccoid Forms for the Selection of Treatment. Gastroenterol. Rev. Przegląd Gastroenterol. 2020, 15, 294–300. [Google Scholar] [CrossRef] [PubMed]
- Kadkhodaei, S.; Siavoshi, F.; Noghabi, K.A. Mucoid and Coccoid Helicobacter Pylori with Fast Growth and Antibiotic Resistance. Helicobacter 2020, 25, e12678. [Google Scholar] [CrossRef] [PubMed]
- Chaput, C.; Ecobichon, C.; Pouradier, N.; Rousselle, J.-C.; Namane, A.; Boneca, I.G. Role of the N-Acetylmuramoyl-l-Alanyl Amidase, AmiA, of Helicobacter Pylori in Peptidoglycan Metabolism, Daughter Cell Separation, and Virulence. Microb. Drug Resist. 2016, 22, 477–486. [Google Scholar] [CrossRef] [PubMed]
- Bittencourt, M.L.F.; Rodrigues, R.P.; Kitagawa, R.R.; Gonçalves, R. de C.R. The Gastroprotective Potential of Silibinin against Helicobacter Pylori Infection and Gastric Tumor Cells. Life Sci. 2020, 256, 117977. [Google Scholar] [CrossRef] [PubMed]
- Abouwarda, A.M.; Ismail, T.A.; Abu El-Wafa, W.M.; Faraag, A.H.I. Synergistic Activity and Molecular Modelling of Fosfomycin Combinations with Some Antibiotics against Multidrug Resistant Helicobacter Pylori. World J. Microbiol. Biotechnol. 2022, 38, 102. [Google Scholar] [CrossRef] [PubMed]
- Mustafa, G.; Mehmood, R.; Mahrosh, H.S.; Mehmood, K.; Ahmed, S. Investigation of Plant Antimicrobial Peptides against Selected Pathogenic Bacterial Species Using a Peptide-Protein Docking Approach. Biomed. Res. Int. 2022, 2022, 1077814. [Google Scholar] [CrossRef]
- Rajavel, M.; Kumar, V.; Nguyen, H.; Wyatt, J.; Marshall, S.H.; Papp-Wallace, K.M.; Deshpande, P.; Bhavsar, S.; Yeole, R.; Bhagwat, S. Structural Characterization of Diazabicyclooctane β-Lactam “Enhancers” in Complex with Penicillin-Binding Proteins PBP2 and PBP3 of Pseudomonas Aeruginosa. mBio 2021, 12, 10–1128. [Google Scholar] [CrossRef]

| Patients | Male N (%) | Female N (%) | p * |
|---|---|---|---|
| All | 185 (100.0) | 215 (100.0) | 0.04 |
| With Coccoid Only | 15 (8.1) | 23 (10.7) | 0.1 |
| With Spiral Only | 8 (4.3) | 11 (5.1) | 0.5 |
| Spiral + Coccoid | 162 (87.6) | 181 (84.2) | 0.2 |
| Age Group (Years) | Coccoid Only N (%) | Spiral Only N (%) | p * |
|---|---|---|---|
| <20 | 1 (2.6) | 0 (0.0) | 1.0 |
| 21–40 | 4 (10.5) | 3 (15.8) | 0.7 |
| 41–60 | 16 (42.1) | 9 (47.4) | 0.8 |
| >60 | 17 (44.7) | 7 (36.8) | 0.8 |
| Total (N/%) | 38 (100.0) | 19 (100.0) | N/A |
| H. pylori Form | Antrum N (%) | Corpus N (%) | p * |
|---|---|---|---|
| Spiral | 10 (2.5) | 11 (2.8) | 0.8 |
| Spiral + Coccoid | 261 (65.7) | 363 (91.4) | <0.001 |
| Coccoid | 25 (6.3) | 13 (3.3) | 0.04 |
| No H. pylori | 101 (25.4) | 10 (2.5) | <0.001 |
| Total | 397 (100.0) | 397 (100.0) | N/A |
| Intensity | Antrum N (%) | Corpus N (%) | ||||
|---|---|---|---|---|---|---|
| Spiral | Spiral + Coccoid | Coccoid | Spiral | Spiral + Coccoid | Coccoid | |
| 1 | 7 (70.0) | 64 (24.6) | 25 (100.0) | 8(72.7) | 76 (20.9) | 13 (100.0) |
| 2 | 2 (20.0) | 107 (41.2) | 0 (0.0) | 2 (18.2) | 160 (44.1) | 0 (0.0) |
| 3 | 1 (10.0) | 90 (34.6) | 0 (0.0) | 1 (9.0) | 127 (35.0) | 0 (0.0) |
| total | 10 (100.0) | 261 (100.0) | 25 (100.0) | 11 (100.0) | 363 (100.0) | 13 (100.0) |
| Variable | Antrum N (%) | Corpus N (%) | p * | ||
|---|---|---|---|---|---|
| Yes | No | Yes | No | ||
| Granulocyte | 238 (80.4) | 58 (19.6) | 325 (84.0) | 62 (16.0) | 0.22 |
| Mononuclear cells | 296 (100.0) | 0 (0.0) | 386 (99.7) | 1 (0.3) | 1.0 |
| Atrophy | 40 (13.5) | 256 (86.5) | 20 (5.2) | 367 (94.8) | <0.001 |
| Metaplasia | 58 (19.6) | 238 (80.4) | 27 (7.0) | 360 (93.9) | <0.001 |
| Total | 296 (100.0) | 387 (100.0) | |||
| Variable | Spiral + Coccoid N (%) | Coccoid Only N (%) | Spiral Only N (%) | p * | |
|---|---|---|---|---|---|
| Granulocyte | No | 49 (18.8) | 7 (28.0) | 2 (20.0) | 1.0 |
| Yes | 212 (81.2) | 18 (72.0) | 8 (80.0) | 1.0 | |
| Mononuclear cells | No | 0 (0.0) | 0 (0.0) | 0 (0.0) | N/A |
| Yes | 261 (100.0) | 25 (100.0) | 10 (100.0) | N/A | |
| Atrophy | No | 226 (86.6) | 22 (88.0) | 8 (80.0) | 0.6 |
| Yes | 35 (13.4) | 3 (12.0) | 2 (20.0) | 0.6 | |
| Metaplasia | No | 211 (80.8) | 19 (78.0) | 8 (80.0) | 1.0 |
| Yes | 50 (19.2) | 6 (24.0) | 2 (20.0) | 1.0 | |
| Total | 261 (100.0) | 25 (100.0) | 10 (100.0) | N/A |
| Variable | Spiral + Coccoid N (%) | Coccoid Only N (%) | Spiral Only N (%) | p * | |
|---|---|---|---|---|---|
| Granulocyte | No | 53 (14.6) | 7 (53.8) | 2 (18.2) | 0.1 |
| Yes | 310 (85.4) | 6 (46.2) | 9 (81.7) | 0.1 | |
| Mononuclear cells | No | 1 (0.3) | 0 (0.0) | 0 (0.0) | N/A |
| Yes | 362 (97.7) | 13 (100.0) | 10 (100.0) | N/A | |
| Atrophy | No | 345 (95.0) | 11 (84.6) | 11 (100.0) | 0.5 |
| Yes | 18 (5.0) | 2 (15.5) | 0 (0.0) | 0.5 | |
| Metaplasia | No | 342 (93.9) | 9 (69.2) | 10 (90.9) | 0.3 |
| Yes | 22 (6.1) | 4 (30.8) | 1 (9.1) | 0.6 | |
| Total | 363 (100.0) | 13 (100.0) | 11 (100.0) | N/A |
| Variable | Therapy before Gastroscopy N (%) | Gastroscopy N (%) | |||
|---|---|---|---|---|---|
| Yes | No | First | Control | No Data | |
| Coccoid only N = 38 | 25 (65.8) | 13 (34.2) | 20 (52.6) | 5 (13.2) | 13 (34.2) |
| Spiral only N = 19 | 13 (68.4) | 6 (31.6) | 12 (63.2) | 2 (10.5) | 5 (26.3) |
| p * | 1.0 | 1.0 | 0.6 | 1.0 | 0.8 |
Disclaimer/Publisher’s Note: The statements, opinions and data contained in all publications are solely those of the individual author(s) and contributor(s) and not of MDPI and/or the editor(s). MDPI and/or the editor(s) disclaim responsibility for any injury to people or property resulting from any ideas, methods, instructions or products referred to in the content. |
© 2024 by the authors. Licensee MDPI, Basel, Switzerland. This article is an open access article distributed under the terms and conditions of the Creative Commons Attribution (CC BY) license (https://creativecommons.org/licenses/by/4.0/).
Share and Cite
Brkić, N.; Švagelj, D.; Omazić, J. Pathohistological Changes in the Gastric Mucosa in Correlation with the Immunohistochemically Detected Spiral and Coccoid Forms of Helicobacter pylori. Microorganisms 2024, 12, 1060. https://doi.org/10.3390/microorganisms12061060
Brkić N, Švagelj D, Omazić J. Pathohistological Changes in the Gastric Mucosa in Correlation with the Immunohistochemically Detected Spiral and Coccoid Forms of Helicobacter pylori. Microorganisms. 2024; 12(6):1060. https://doi.org/10.3390/microorganisms12061060
Chicago/Turabian StyleBrkić, Nikolina, Dražen Švagelj, and Jelena Omazić. 2024. "Pathohistological Changes in the Gastric Mucosa in Correlation with the Immunohistochemically Detected Spiral and Coccoid Forms of Helicobacter pylori" Microorganisms 12, no. 6: 1060. https://doi.org/10.3390/microorganisms12061060
APA StyleBrkić, N., Švagelj, D., & Omazić, J. (2024). Pathohistological Changes in the Gastric Mucosa in Correlation with the Immunohistochemically Detected Spiral and Coccoid Forms of Helicobacter pylori. Microorganisms, 12(6), 1060. https://doi.org/10.3390/microorganisms12061060

