High-Yield Expression and Purification of Scygonadin, an Antimicrobial Peptide, Using the Small Metal-Binding Protein SmbP
Abstract
1. Introduction
2. Materials and Methods
2.1. DNA Constructs
2.2. Protein Expression
2.3. Protein Purification
2.4. Antimicrobial Activity
3. Results
3.1. DNA Constructs
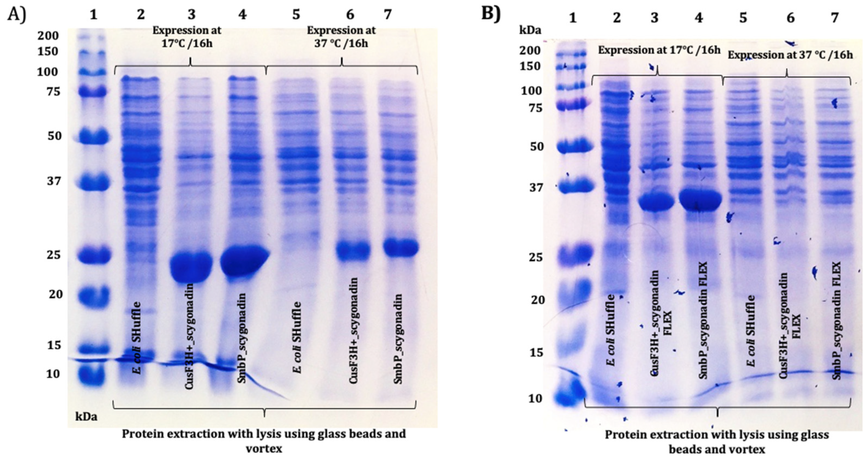
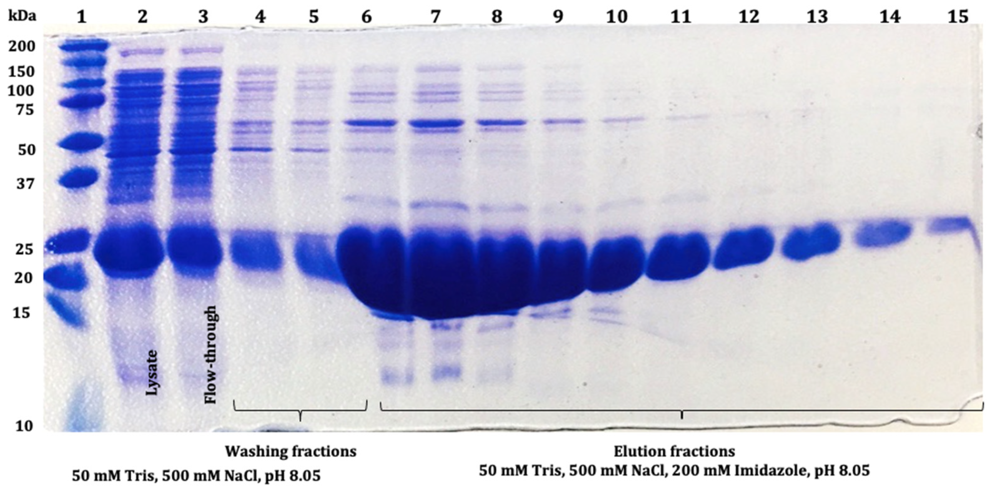
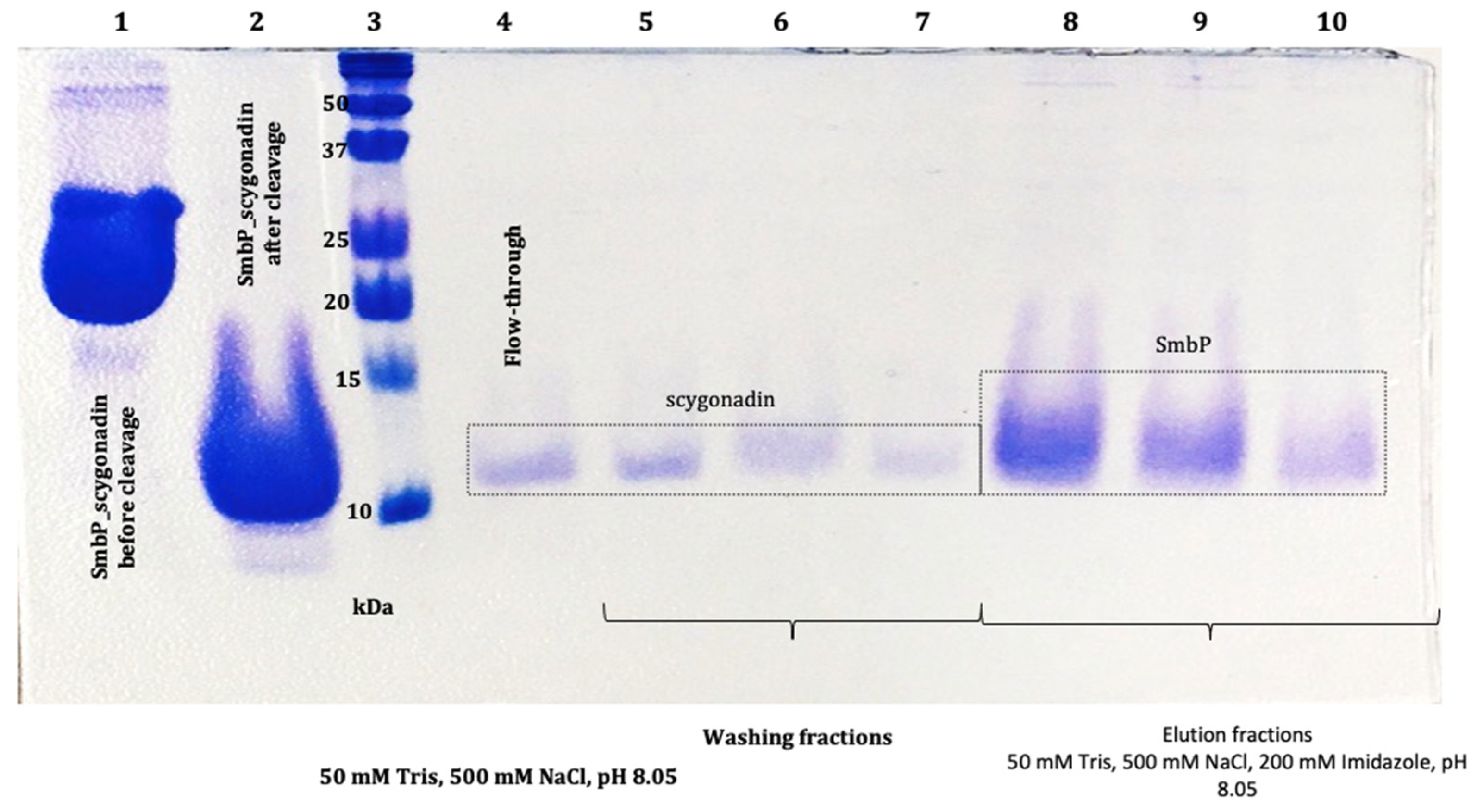
3.2. Protein Expression and Purification
3.3. Antimicrobial Activity
4. Discussion
5. Conclusions
Author Contributions
Funding
Data Availability Statement
Acknowledgments
Conflicts of Interest
References
- Kaur, J.; Kumar, A.; Kaur, J. Strategies for Optimization of Heterologous Protein Expression in E. coli: Roadblocks and Reinforcements. Int. J. Biol. Macromol. 2018, 106, 803–822. [Google Scholar] [CrossRef]
- Rosano, G.L.; Ceccarelli, E.A. Recombinant Protein Expression in Escherichia coli: Advances and Challenges. Front. Microbiol. 2014, 5, 172. [Google Scholar] [CrossRef]
- Costa, S.; Almeida, A.; Castro, A.; Domingues, L. Fusion Tags for Protein Solubility, Purification, and Immunogenicity in Escherichia coli: The Novel Fh8 System. Front. Microbiol. 2014, 5, 63. [Google Scholar] [CrossRef]
- Narayan, M. Disulfide Bonds: Protein Folding and Subcellular Protein Trafficking. FEBS J. 2012, 279, 2272–2282. [Google Scholar] [CrossRef]
- de Marco, A. Strategies for Successful Recombinant Expression of Disulfide Bond-Dependent Proteins in Escherichia coli. Microb. Cell Fact. 2009, 8, 26. [Google Scholar] [CrossRef]
- Hatahet, F.; Nguyen, V.D.; Salo, K.E.H.; Ruddock, L.W. 88.Disruption of Reducing Pathways Is Not Essential for Efficient Disulfide Bond Formation in the Cytoplasm of E. coli. Microb. Cell Fact. 2010, 9, 67. [Google Scholar] [CrossRef]
- Lobstein, J.; Emrich, C.A.; Jeans, C.; Faulkner, M.; Riggs, P.; Berkmen, M. SHuffle, a Novel Escherichia coli Protein Expression Strain Capable of Correctly Folding Disulfide Bonded Proteins in Its Cytoplasm. Microb. Cell Fact. 2012, 11, 1. [Google Scholar] [CrossRef]
- Zhang, L.; Moo-Young, M.; Chou, C.P. Molecular Manipulation Associated with Disulfide Bond Formation to Enhance the Stability of Recombinant Therapeutic Protein. Protein Expr. Purif. 2011, 75, 28–39. [Google Scholar] [CrossRef]
- Fathi-Roudsari, M.; Akhavian-Tehrani, A.; Maghsoudi, N. Comparison of Three Escherichia coli Strains in Recombinant Production of Reteplase. Avicenna J. Med. Biotechnol. 2016, 8, 16–22. [Google Scholar] [CrossRef] [PubMed]
- Li, Y. Recombinant Production of Antimicrobial Peptides in Escherichia coli: A Review. Protein Expr. Purif. 2011, 80, 260–267. [Google Scholar] [CrossRef] [PubMed]
- Talapko, J.; Meštrović, T.; Juzbašić, M.; Tomas, M.; Erić, S.; Horvat Aleksijević, L.; Bekić, S.; Schwarz, D.; Matić, S.; Neuberg, M.; et al. Antimicrobial Peptides—Mechanisms of Action, Antimicrobial Effects and Clinical Applications. Antibiotics 2022, 11, 1417. [Google Scholar] [CrossRef]
- Tyedmers, J.; Mogk, A.; Bukau, B. Cellular Strategies for Controlling Protein Aggregation. Nat. Rev. Mol. Cell Biol. 2010, 11, 777–788. [Google Scholar] [CrossRef]
- Deng, T.; Ge, H.; He, H.; Liu, Y.; Zhai, C.; Feng, L.; Yi, L. The Heterologous Expression Strategies of Antimicrobial Peptides in Microbial Systems. Protein Expr. Purif. 2017, 140, 52–59. [Google Scholar] [CrossRef]
- Barney, B.M.; LoBrutto, R.; Francisco, W.A. Characterization of a Small Metal Binding Protein from Nitrosomonas europaea. Biochemistry 2004, 43, 11206–11213. [Google Scholar] [CrossRef]
- Vargas-Cortez, T.; Morones-Ramirez, J.R.; Balderas-Renteria, I.; Zarate, X. Expression and Purification of Recombinant Proteins in Escherichia coli Tagged with a Small Metal-Binding Protein from Nitrosomonas europaea. Protein Expr. Purif. 2015, 118, 49–54. [Google Scholar] [CrossRef]
- Vargas-Cortez, T.; Morones-Ramirez, J.R.; Balderas-Renteria, I.; Zarate, X. Production of Recombinant Proteins in Escherichia coli Tagged with the Fusion Protein CusF3H+. Protein Expr. Purif. 2017, 132, 44–49. [Google Scholar] [CrossRef]
- Wang, K.J.; Huang, W.S.; Yang, M.; Chen, H.Y.; Bo, J.; Li, S.J.; Wang, G.Z. A Male-Specific Expression Gene, Encodes a Novel Anionic Antimicrobial Peptide, Scygonadin, in Scylla serrata. Mol. Immunol. 2007, 44, 1961–1968. [Google Scholar] [CrossRef]
- Peng, H.; Yang, M.; Huang, W.S.; Ding, J.; Qu, H.D.; Cai, J.J.; Zhang, N.; Wang, K.J. Soluble Expression and Purification of a Crab Antimicrobial Peptide Scygonadin in Different Expression Plasmids and Analysis of Its Antimicrobial Activity. Protein Expr. Purif. 2010, 70, 109–115. [Google Scholar] [CrossRef] [PubMed]
- Peng, H.; Liu, H.P.; Chen, B.; Hao, H.; Wang, K.J. Optimized Production of Scygonadin in Pichia pastoris and Analysis of Its Antimicrobial and Antiviral Activities. Protein Expr. Purif. 2012, 82, 37–44. [Google Scholar] [CrossRef] [PubMed]
- Wang, X.; Hong, X.; Chen, F.; Wang, K.J. A Truncated Peptide Spgillcin177–189 Derived from Mud Crab Scylla paramamosain Exerting Multiple Antibacterial Activities. Front. Cell. Infect. Microbiol. 2022, 12, 928220. [Google Scholar] [CrossRef]
- Hartig, S.M. Basic Image Analysis and Manipulation in ImageJ. Curr. Protoc. Mol. Biol. 2013, 102, 14–15. [Google Scholar] [CrossRef]
- Smith, P.K.; Krohn, R.I.; Hermanson, G.T.; Mallia, A.K.; Gartner, F.H.; Provenzano, M.D.; Fujimoto, E.K.; Goeke, N.M.; Olson, B.J.; Klenk, D.C. Measurement of Protein Using Bicinchoninic Acid. Anal. Biochem. 1985, 150, 76–85. [Google Scholar] [CrossRef]
- Lambert, R.J.W.; Pearson, J. Susceptibility Testing: Accurate and Reproducible Minimum Inhibitory Concentration (MIC) and Non-Inhibitory Concentration (NIC) Values. J. Appl. Microbiol. 2000, 88, 784–790. [Google Scholar] [CrossRef]
- Perez-Perez, D.A.; Pioquinto-Avila, E.; Arredondo-Espinoza, E.; Morones-Ramirez, J.R.; Balderas-Renteria, I.; Zarate, X. Engineered Small Metal-Binding Protein Tag Improves the Production of Recombinant Human Growth Hormone in the Periplasm of Escherichia coli. FEBS Open Bio 2020, 10, 546–551. [Google Scholar] [CrossRef] [PubMed]
- Montfort-Gardeazabal, J.M.; Balderas-Renteria, I.; Casillas-Vega, N.G.; Zarate, X. Expression and Purification of the Antimicrobial Peptide Bin1b in Escherichia coli Tagged with the Fusion Proteins CusF3H+ and SmbP. Protein Expr. Purif. 2021, 178, 105784. [Google Scholar] [CrossRef] [PubMed]
- Montfort-Gardeazabal, J.M.; Claudio, P.C.M.-S.; Casillas-Vega, N.G.; Zarate, X. Expression and Purification of the VpDef Defensin in Escherichia coli Using the Small Metal-Binding Proteins CusF3H+ and SmbP. Protein Pept. Lett. 2020, 28, 108–114. [Google Scholar] [CrossRef] [PubMed]
- Perez-Perez, D.A.; Villanueva-Ramirez, T.D.; Hernandez-Pedraza, A.E.; Casillas-Vega, N.G.; Gonzalez-Barranco, P.; Zarate, X. The Small Metal-Binding Protein SmbP Simplifies the Recombinant Expression and Purification of the Antimicrobial Peptide LL-37. Antibiotics 2021, 10, 1271. [Google Scholar] [CrossRef]
- Zhang, Z.X.; Nong, F.T.; Wang, Y.Z.; Yan, C.X.; Gu, Y.; Song, P.; Sun, X.M. Strategies for Efficient Production of Recombinant Proteins in Escherichia coli: Alleviating the Host Burden and Enhancing Protein Activity. Microb. Cell Fact. 2022, 21, 191. [Google Scholar] [CrossRef]
- Niazi, S.K.; Magoola, M. Advances in Escherichia coli-Based Therapeutic Protein Expression: Mammalian Conversion, Continuous Manufacturing, and Cell-Free Production. Biologics 2023, 3, 380–401. [Google Scholar] [CrossRef]
- Li, J.F.; Zhang, J.; Zhang, Z.; Kang, C.T.; Zhang, S.Q. SUMO Mediating Fusion Expression of Antimicrobial Peptide CM4 from Two Joined Genes in Escherichia coli. Curr. Microbiol. 2011, 62, 296–300. [Google Scholar] [CrossRef]
- Sun, X.J.; Wang, D.N.; Zhang, W.J.; Wu, X.F. Expression of an Antimicrobial Peptide Identified in the Male Reproductive System of Rats. Appl. Biochem. Biotechnol.-Part B Mol. Biotechnol. 2004, 28, 185–189. [Google Scholar] [CrossRef] [PubMed]
- Dong, B.; Cheng, R.-Q.; Liu, Q.-Y.; Wang, J.; Fan, Z.-C. Multimer of the Antimicrobial Peptide Mytichitin-A Expressed in Chlamydomonas reinhardtii Exerts a Broader Antibacterial Spectrum and Increased Potency. J. Biosci. Bioeng. 2018, 125, 175–179. [Google Scholar] [CrossRef] [PubMed]
- Trinh, R.; Gurbaxani, B.; Morrison, S.L.; Seyfzadeh, M. Optimization of Codon Pair Use within the (GGGGS)3 Linker Sequence Results in Enhanced Protein Expression. Mol. Immunol. 2004, 40, 717–722. [Google Scholar] [CrossRef] [PubMed]
- Zhou, L.; Zhao, Z.; Li, B.; Cai, Y.; Zhang, S. TrxA Mediating Fusion Expression of Antimicrobial Peptide CM4 from Multiple Joined Genes in Escherichia coli. Protein Expr. Purif. 2009, 64, 225–230. [Google Scholar] [CrossRef] [PubMed]
- Zhong, Z.; Xu, Z.; Peng, L.; Huang, L.; Fang, X.; Cen, P. Tandem Repeat MhBD2 Gene Enhance the Soluble Fusion Expression of HBD2 in Escherichia coli. Appl. Microbiol. Biotechnol. 2006, 71, 661–667. [Google Scholar] [CrossRef] [PubMed]
- Rao, X.; Hu, J.; Li, S.; Jin, X.; Zhang, C.; Cong, Y.; Hu, X.; Tan, Y.; Huang, J.; Chen, Z.; et al. Design and Expression of Peptide Antibiotic HPAB-β as Tandem Multimers in Escherichia coli. Peptides 2005, 26, 721–729. [Google Scholar] [CrossRef] [PubMed]
- Denissen, J.; Reyneke, B.; Waso-Reyneke, M.; Havenga, B.; Barnard, T.; Khan, S.; Khan, W. Prevalence of ESKAPE Pathogens in the Environment: Antibiotic Resistance Status, Community-Acquired Infection and Risk to Human Health. Int. J. Hyg. Environ. Health 2022, 244, 114006. [Google Scholar] [CrossRef] [PubMed]
- Young, C.L.; Britton, Z.T.; Robinson, A.S. Recombinant Protein Expression and Purification: A Comprehensive Review of Affinity Tags and Microbial Applications. Biotechnol. J. 2012, 7, 620–634. [Google Scholar] [CrossRef]
- Raran-Kurussi, S.; Waugh, D.S. Unrelated Solubility-Enhancing Fusion Partners MBP and NusA Utilize a Similar Mode of Action. Biotechnol. Bioeng. 2014, 111, 2407–2411. [Google Scholar] [CrossRef]
- Sequeira, A.F.; Turchetto, J.; Saez, N.J.; Peysson, F.; Ramond, L.; Duhoo, Y.; Blémont, M.; Fernandes, V.O.; Gama, L.T.; Ferreira, L.M.A.; et al. Gene Design, Fusion Technology and TEV Cleavage Conditions Influence the Purification of Oxidized Disulphide-Rich Venom Peptides in Escherichia coli. Microb. Cell Fact. 2017, 16, 4. [Google Scholar] [CrossRef]
- Wen, Q.; Zhang, L.; Zhao, F.; Chen, Y.; Su, Y.; Zhang, X.; Chen, P.; Zheng, T. Production Technology and Functionality of Bioactive Peptides. Curr. Pharm. Des. 2023, 29, 652–674. [Google Scholar] [CrossRef] [PubMed]
- Lorenzón, E.N.; Cespedes, G.F.; Vicente, E.F.; Nogueira, L.G.; Bauab, T.M.; Castro, M.S.; Cilli, E.M. Effects of Dimerization on the Structure and Biological Activity of Antimicrobial Peptide Ctx-Ha. Antimicrob. Agents Chemother. 2012, 56, 3004–3010. [Google Scholar] [CrossRef] [PubMed]
- Lee, H.; Yang, S. Dimerization of Cell-Penetrating Buforin II Enhances Antimicrobial Properties. J. Anal. Sci. Technol. 2021, 12, 8–14. [Google Scholar] [CrossRef]










Disclaimer/Publisher’s Note: The statements, opinions and data contained in all publications are solely those of the individual author(s) and contributor(s) and not of MDPI and/or the editor(s). MDPI and/or the editor(s) disclaim responsibility for any injury to people or property resulting from any ideas, methods, instructions or products referred to in the content. |
© 2024 by the authors. Licensee MDPI, Basel, Switzerland. This article is an open access article distributed under the terms and conditions of the Creative Commons Attribution (CC BY) license (https://creativecommons.org/licenses/by/4.0/).
Share and Cite
Gomez-Lugo, J.J.; Casillas-Vega, N.G.; Gomez-Loredo, A.; Balderas-Renteria, I.; Zarate, X. High-Yield Expression and Purification of Scygonadin, an Antimicrobial Peptide, Using the Small Metal-Binding Protein SmbP. Microorganisms 2024, 12, 278. https://doi.org/10.3390/microorganisms12020278
Gomez-Lugo JJ, Casillas-Vega NG, Gomez-Loredo A, Balderas-Renteria I, Zarate X. High-Yield Expression and Purification of Scygonadin, an Antimicrobial Peptide, Using the Small Metal-Binding Protein SmbP. Microorganisms. 2024; 12(2):278. https://doi.org/10.3390/microorganisms12020278
Chicago/Turabian StyleGomez-Lugo, Jessica J., Nestor G. Casillas-Vega, Alma Gomez-Loredo, Isaias Balderas-Renteria, and Xristo Zarate. 2024. "High-Yield Expression and Purification of Scygonadin, an Antimicrobial Peptide, Using the Small Metal-Binding Protein SmbP" Microorganisms 12, no. 2: 278. https://doi.org/10.3390/microorganisms12020278
APA StyleGomez-Lugo, J. J., Casillas-Vega, N. G., Gomez-Loredo, A., Balderas-Renteria, I., & Zarate, X. (2024). High-Yield Expression and Purification of Scygonadin, an Antimicrobial Peptide, Using the Small Metal-Binding Protein SmbP. Microorganisms, 12(2), 278. https://doi.org/10.3390/microorganisms12020278

