Seasonal Characterization of the Aerobiome in Hematopoietic Stem Cell Transplant Rooms: Potential Risk for Immunosuppressed Patients
Abstract
1. Introduction
2. Materials and Methods
2.1. General Description of the HSC Transplant Area at HJM
2.2. Determination of Air Quality Parameters (PM, Temperature, and Relative Humidity)
2.3. Annual Analysis of the Aerobiome in the HSC Transplant Rooms at HJM
2.4. Bacterial Aerobiome Identification by Mass Spectrometry MALDI-TOF
2.5. Macro- and Microscopic Identification of the Fungal Aerobiome
2.6. Molecular Typing of Gram-Negative Bacteria (ESKAPE) by ERIC-PCR
2.7. Statistical Analysis and Vester Matrix Construction
3. Results
3.1. HEPA Pressure and Positive Filtration Impacts the Standard Air Quality Parameters
3.2. Seasonal Behavior of Aerobiome Load
3.3. Significant Differences in Bacterial Aerobiome Load Between Rooms
3.4. Clinically Important Taxonomic Diversity of Bacterial Aerobiome
3.5. Seasonal Transition of the Bacterial Aerobiome in the HSC Transplant Area
3.6. No Significant Difference in Fungal Aerobiome Between Rooms
3.7. Fungal Aerobiome Reveals Filamentous Fungi Involved in Nosocomial Fungemia
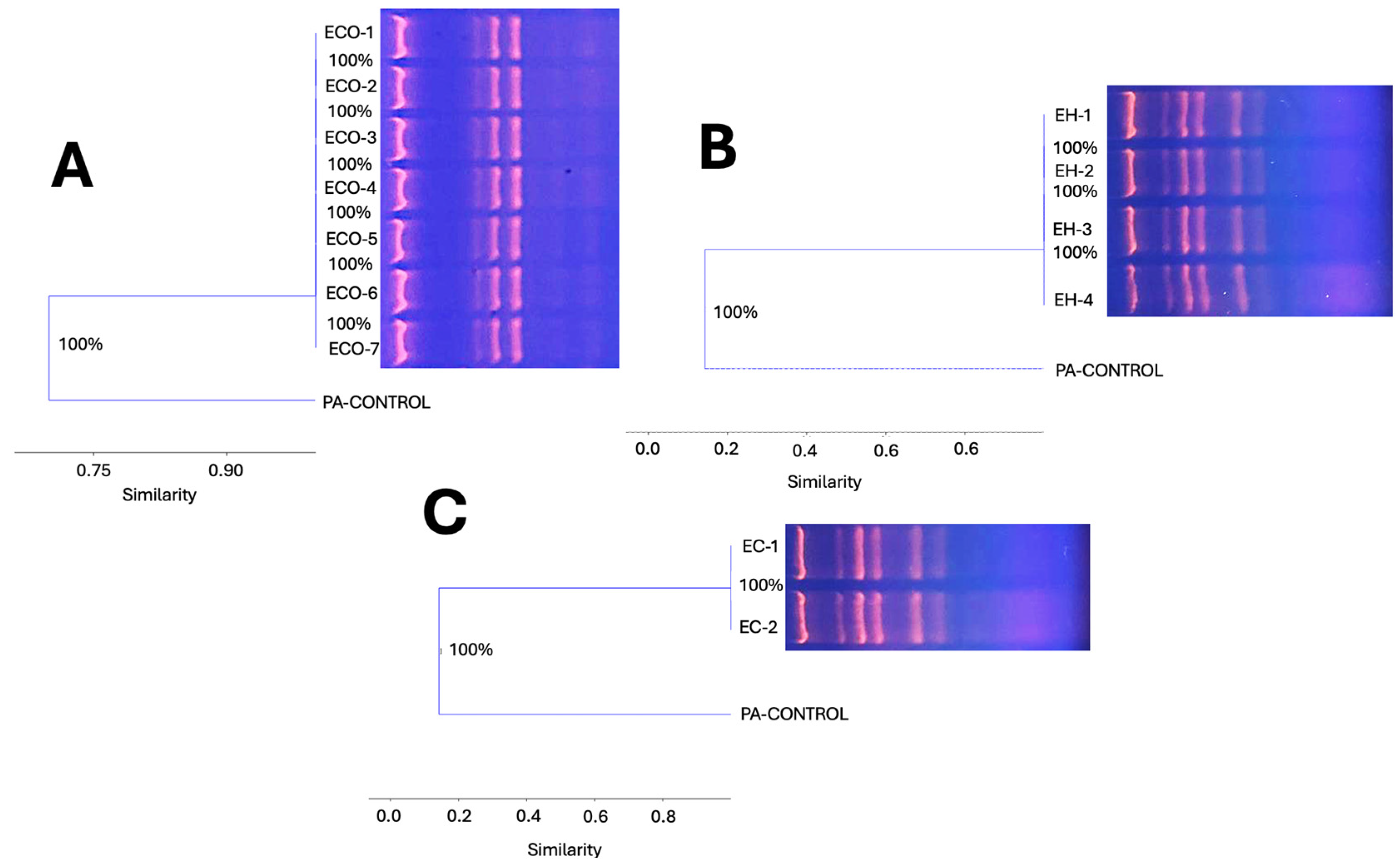
3.8. Molecular Typing of ESKAPE Members in the Aerobiome by ERIC-PCR
3.9. Vester Matrix Construction for Microbiological Situations in the Transplant Area
4. Discussion
| Pathogen | Genus | Species | Infections in HSC Transplant Patients | References |
|---|---|---|---|---|
| Gram-Positive | Staphylococcus | S. warneri | Bacteremia, oral disbiosis, oral mucositis | [38,39,40] |
| S. haemolyticus | Bacteremia, meningitis, oral mucositis | [38,39,41] | ||
| S. equorum | Surgical site in liver transplant patients | [42] | ||
| S. saprophyticus | Bacteremia | [43] | ||
| S. epidermidis | Bacteremia | [18] | ||
| S. ureilyticus | Non-reported | NA * | ||
| S. hominis | Bacteremia | [44] | ||
| S. capitis | Bacteremia | [18] | ||
| S. arlettae | Non-reported | NA * | ||
| S. borealis | Non-reported | NA * | ||
| Enterococcus | E. faecalis | Bacteremia, enteric mucositis | [45,46,47] | |
| Micrococcus | M. luteus | Catheter-related septic shock | [48] | |
| Aerococcus | A. viridans | Non-reported | NA * | |
| Kocuria | K. rhizophila | Catheter-related bacteremia | [49] | |
| Bacillus | B. pumilus | Non-reported | NA * | |
| B. mojavensis | ||||
| Lactobacillus | L. curvatus | |||
| Lacticaseibacillus | L. paracasei | |||
| Cytobacillus | C. oceanisediminis | |||
| Metabacillus | M. halosaccharovorans | |||
| Priestia | P. endophytica | |||
| P. megaterium | ||||
| Gram-Negative | Enterobacter | E. hormaechei | Rectal and intestinal colonization | [50,51] |
| E. cloacae | Gut and urinary tract infections, bacteremia | [52,53,54,55] | ||
| Escherichia | E. coli | Bacteremia, gastrointestinal colonization | [56,57,58] | |
| Acinetobacter | A. Iwoffii | Bacteremia, colitis, pneumonia | [59,60,61] | |
| Shewanella | S. putrefaciens | Bacteremia | [62,63] | |
| Pseudomonas | P. putida | Bacteremia | [61,64] | |
| Fungi | Alternaria | Alternaria spp. | Cutaneous phaeohyphomycosis, cutaneous alternariosis, fungal infection (brain, sinus, and skin) | [65,66,67] |
| Cladosporium | Cladosporium spp. | Invasive mold infections | [68,69] | |
| Aspergillus | A. fumigatus | Rhino-cerebral, cutaneous and pulmonary aspergillosis, disseminated, and gastrointestinal | [70,71] | |
| Penicillium | Penicillium spp. | Invasive fungal infection, pulmonary fungal infection | [72,73] |
5. Conclusions
Author Contributions
Funding
Institutional Review Board Statement
Data Availability Statement
Acknowledgments
Conflicts of Interest
References
- Meaker, G.A.; Wilkinson, A.C. Ex vivo hematopoietic stem cell expansion technologies: Recent progress, applications, and open questions. Exp. Hematol. 2024, 130, 104136. [Google Scholar] [CrossRef] [PubMed]
- Du, Y.; Han, B. Advances in Hematopoietic Stem Cell Transplantation for Patients with Paroxysmal Nocturnal Hemoglobinuria. Transplant. Cell Ther. 2021, 27, 301–307. [Google Scholar] [CrossRef]
- Rivera-Luna, R.; Perez-Vera, P.; Galvan-Diaz, C.; Velasco-Hidalgo, L.; Olaya-Vargas, A.; Cardenas-Cardos, R.; Aguilar-Ortiz, M.; Ponce-Cruz, J. Triple-hit explanation for the worse prognosis of pediatric acute lymphoblastic leukemia among Mexican and Hispanic children. Front. Oncol. 2022, 12, 1072811. [Google Scholar] [CrossRef] [PubMed]
- Penack, O.; Marchetti, M.; Aljurf, M.; Arat, M.; Bonifazi, F.; Duarte, R.F.; Giebel, S.; Greinix, H.; Hazenberg, M.D.; Kröger, N.; et al. Prophylaxis and management of graft-versus-host disease after stem-cell transplantation for haematological malignancies: Updated consensus recommendations of the European Society for Blood and Marrow Transplantation. Lancet Haematol. 2024, 11, e147–e159. [Google Scholar] [CrossRef] [PubMed]
- Busmail, A.; Penumetcha, S.S.; Ahluwalia, S.; Irfan, R.; Khan, S.A.; Rohit Reddy, S.; Vasquez Lopez, M.E.; Zahid, M.; Mohammed, L.A. Systematic Review on Pulmonary Complications Secondary to Hematopoietic Stem Cell Transplantation. Cureus 2022, 14, e24807. [Google Scholar] [CrossRef] [PubMed]
- Hayek, S.S.; Zaha, V.G.; Bogle, C.; Deswal, A.; Langston, A.; Rotz, S.; Vasbinder, A.; Yang, E.; Okwuosa, T.; American Heart Association Cardio-Oncology Committee of the Council on Clinical Cardiology and Council on Genomic and Precision Medicine, and the Council on Cardiovascular and Stroke Nursing. Cardiovascular Management of Patients Undergoing Hematopoietic Stem Cell Transplantation: From Pretransplantation to Survivorship: A Scientific Statement From the American Heart Association. Circulation 2024, 149, e1113–e1127. [Google Scholar] [CrossRef]
- Cho, S.Y.; Lee, H.J.; Lee, D.G. Infectious complications after hematopoietic stem cell transplantation: Current status and future perspectives in Korea. Korean J. Intern. Med. 2018, 33, 256–276. [Google Scholar] [CrossRef]
- Pereira, M.R.; Pouch, S.M.; Scully, B. Infections in Allogeneic Stem Cell Transplantation. In Principles and Practice of Transplant Infectious Diseases; Springer: New York, NY, USA, 2018; pp. 209–226. [Google Scholar]
- Ferdjallah, A.; Young, J.H.; MacMillan, M.L. A Review of Infections After Hematopoietic Cell Transplantation Requiring PICU Care: Transplant Timeline Is Key. Front. Pediatr. 2021, 9, 634449. [Google Scholar] [CrossRef]
- Vargas-Espíndola, L.A.; Cuervo-Maldonado, S.I.; Enciso-Olivera, J.L.; Gómez-Rincón, J.C.; Jiménez-Cetina, L.; Sánchez-Pedraza, R.; García-Guzmán, K.; López-Mora, M.J.; Álvarez-Moreno, C.A.; Cortés, J.A. Fungemia in Hospitalized Adult Patients with Hematological Malignancies: Epidemiology and Risk Factors. J. Fungi 2023, 9, 400. [Google Scholar] [CrossRef]
- Alp, S.; Akova, M. Antibacterial Resistance in Patients with Hematopoietic Stem Cell Transplantation. Mediterr. J. Hematol. Infect. Dis. 2017, 9, e2017002. [Google Scholar]
- Krüger, W.H.; Bohlius, J.; Cornely, O.A.; Einsele, H.; Hebart, H.; Massenkeil, G.; Schüttrumpf, S.; Silling, G.; Ullmann, A.J.; Waldschmidt, D.T.; et al. Antimicrobial prophylaxis in allogeneic bone marrow transplantation. Guidelines of the infectious diseases working party (AGIHO) of the german society of haematology and oncology. Ann. Oncol. 2005, 16, 1381–1390. [Google Scholar] [CrossRef] [PubMed]
- Zając-Spychała, O.; Wachowiak, J.; Pieczonka, A.; Siewiera, K.; Frączkiewicz, J.; Kałwak, K.; Gorczyńska, E.; Chybicka, A.; Czyżewski, K.; Jachna-Sawicka, K.; et al. Bacterial infections in pediatric hematopoietic stem cell transplantation recipients: Incidence, epidemiology, and spectrum of pathogens: Report of the Polish Pediatric Group for Hematopoietic Stem Cell Transplantation. Transpl. Infect. Dis. 2016, 18, 690–698. [Google Scholar] [CrossRef] [PubMed]
- Durán-Manuel, E.M.; Cruz-Cruz, C.; Ibáñez-Cervantes, G.; Bravata-Alcantará, J.C.; Sosa-Hernández, O.; Delgado-Balbuena, L.; León-García, G.; Cortés-Ortíz, I.A.; Cureño-Díaz, M.A.; Castro-Escarpulli, G.; et al. Clonal dispersion of Acinetobacter baumannii in an intensive care unit designed to patients COVID-19. J. Infect. Dev. Ctries. 2021, 15, 58–68. [Google Scholar] [CrossRef]
- Mousavi, E.S.; Kananizadeh, N.; Martinello, R.A.; Sherman, J.D. COVID-19 outbreak and hospital air quality: A systematic review of evidence on air filtration and recirculation. Environ. Sci. Tech. 2020, 55, 4134–4147. [Google Scholar] [CrossRef] [PubMed]
- Ling, S.; Hui, L. Evaluation of the complexity of indoor air in hospital wards based on PM2.5, real-time PCR, adenosine triphosphate bioluminescence assay, microbial culture and mass spectrometry. BMC Infect. Dis. 2019, 19, 646. [Google Scholar] [CrossRef] [PubMed]
- Matoušková, I.; Holy, O. Monitoring of the environment at the transplant unit-hemato-oncology clinic. Int. J. Environ. Res. Public Health 2014, 11, 9480–9490. [Google Scholar] [CrossRef]
- Gill, J.; Busca, A.; Cinatti, N.; Passera, R.; Dellacasa, C.M.; Giaccone, L.; Dogliotti, I.; Manetta, S.; Corcione, S.; De Rosa, F.G. Bacterial Bloodstream Infections after Allogeneic Hematopoietic Stem Cell Transplantation: Etiology, Risk Factors and Outcome in a Single-Center Study. Microorganisms 2023, 11, 742. [Google Scholar] [CrossRef]
- Brun, C.P.; Miron, D.; Silla, L.M.; Pasqualotto, A.C. Fungal spore concentrations in two haematopoietic stem cell transplantation (HSCT) units containing distinct air control systems. Epidemiol. Infect. 2013, 141, 875–879. [Google Scholar] [CrossRef]
- Krüger, W.H.; Zöllner, B.; Kaulfers, P.M.; Zander, A.R. Effective protection of allogeneic stem cell recipients against Aspergillosis by HEPA air filtration during a period of construction--a prospective survey. J. Hematother. Stem Cell Res. 2003, 12, 301–307. [Google Scholar] [CrossRef]
- Holý, O.; Matoušková, I. The importance of cleanrooms for the treatment of haemato-oncological patients. Contemp. Oncol. 2012, 16, 266–272. [Google Scholar] [CrossRef]
- Tsai, C.K.; Yeh, C.M.; Hong, Y.C.; Chen, P.M.; Liu, J.H.; Gau, J.P.; Liu, C.J. The influence of high-efficiency particulate air filtration on mortality among multiple myeloma patients receiving autologous stem cell transplantation. Sci. Rep. 2021, 11, 11789. [Google Scholar] [CrossRef] [PubMed]
- Xing, Y.F.; Xu, Y.H.; Shi, M.H.; Lian, Y.X. The impact of PM2.5 on the human respiratory system. J. Thorac. Dis. 2016, 8, E69–E74. [Google Scholar] [PubMed]
- Brunekreef, B.; Beelen, R.; Hoek, G.; Schouten, L.; Bausch-Goldbohm, S.; Fischer, P.; Armstrong, B.; Hughes, E.; Jerrett, M.; van den Brandt, P. Effects of long-term exposure to traffic-related air pollution on respiratory and cardiovascular mortality in the Netherlands: The NLCS-AIR study. Res. Rep. Health Eff. Inst. 2009, 139, 5–71. [Google Scholar]
- Inkster, T.; Peters, C.; Dancer, S. Safe design and maintenance of bone marrow transplant units: A narrative review. Clin. Microbiol. Infect. 2022, 28, 1091–1096. [Google Scholar] [CrossRef]
- Johnson, E.M.; Borman, A.M. The importance of conventional methods: Microscopy and culture. In Aspergeukaryotic Cellillosis: From Diagnosis to Prevention; Pascualotto, A., Ed.; Springer: New York, NY, USA, 2010; pp. 55–73. [Google Scholar]
- Versalovic, J.; Koeuth, T.; Lupski, J.R. Distribution of repetitive DNA sequences in eubacteria and application to fingerprinting of bacterial genomes. Nucleic Acids Res. 1991, 19, 6823–6831. [Google Scholar] [CrossRef]
- Tenover, F.C.; Arbeit, R.D.; Goering, R.V.; Mickelsen, P.A.; Murray, B.E.; Persing, D.H.; Swaminathan, B. Interpreting chromosomal DNA restriction patterns produced by pulsed-field gel electrophoresis: Criteria for bacterial strain typing. J. Clin. Microbiol. 1995, 33, 2233–2239. [Google Scholar] [CrossRef]
- Cole, A. The Influence Matrix Methodology: A Technical Report. Landcare Research Contract Report No. LC0506/175. 2006. Available online: https://icm.landcareresearch.co.nz/knowledgebase/publications/public/imatrix_tech_report.pdf (accessed on 11 November 2024).
- Bluyssen, P.M.; Ortiz, M.; Zhang, D. The effect of a mobile HEPA filter system on ‘infectious’ aerosols, sound and air velocity in the SenseLab. Build Environ. 2021, 188, 107475. [Google Scholar] [CrossRef]
- Rawat, N.; Kumar, P. Interventions for improving indoor and outdoor air quality in and around schools. Sci. Total Environ. 2023, 858, 159813. [Google Scholar] [CrossRef]
- Chen, C.F.; Hsu, C.H.; Chang, Y.J.; Lee, C.H.; Lee, D.L. Efficacy of HEPA Air Cleaner on Improving Indoor Particulate Matter 2.5 Concentration. Int. J. Environ. Res. Public Health 2022, 19, 11517. [Google Scholar] [CrossRef]
- Tecer, L.H.; Alagha, O.; Karaca, F.; Tuncel, G.; Eldes, N. Particulate matter (PM(2.5), PM(10-2.5), and PM(10)) and children’s hospital admissions for asthma and respiratory diseases: A bidirectional case-crossover study. J. Toxicol. Environ. Health A 2008, 71, 512–520. [Google Scholar] [CrossRef]
- Ren, Z.; Liu, X.; Liu, T.; Chen, D.; Jiao, K.; Wang, X.; Suo, J.; Yang, H.; Liao, J.; Ma, L. Effect of ambient fine particulates (PM2.5) on hospital admissions for respiratory and cardiovascular diseases in Wuhan, China. Respir. Res. 2021, 22, 128. [Google Scholar] [CrossRef] [PubMed]
- Núñez, A.; García, A.M. The aerobiome in a hospital environment: Characterization, seasonal tendencies and the effect of window opening ventilation. Build. Environ. 2023, 230, 110024. [Google Scholar] [CrossRef]
- Cureño-Díaz, M.A.; Durán-Manuel, E.M.; Cruz-Cruz, C.; Ibáñez-Cervantes, G.; Rojo-Gutiérrez, M.I.; Moncayo-Coello, C.V.; Loyola-Cruz, M.Á.; Castro-Escarpulli, G.; Razo-Blanco Hernández, D.M.; Bello-López, J.M. Impact of the modification of a cleaning and disinfection method of mechanical ventilators of COVID-19 patients and ventilator-associated pneumonia: One year of experience. Am. J. Infect. Control 2021, 49, 1474–1480. [Google Scholar] [CrossRef] [PubMed]
- GBD 2019 Antimicrobial Resistance Collaborators. Global mortality associated with 33 bacterial pathogens in 2019: A systematic analysis for the Global Burden of Disease Study 2019. Lancet 2022, 400, 2221–2248. [Google Scholar] [CrossRef]
- Chebbi, Y.; Frigui, S.; Raddaoui, A.; Belloumi, D.; Lakhal, A.; Torjemane, L.; Abeljelil, N.B.; Ladeb, S.; Othmen, T.B.; Fatmi, R.E.; et al. Coagulase negative Staphylococcus bacteremia in hematopoietic stem cell transplant recipients: Clinical features and molecular characterization. Acta Microbiol. Immunol. Hung. 2021, 68, 73–79. [Google Scholar] [CrossRef]
- Osakabe, L.; Utsumi, A.; Saito, B.; Okamatsu, Y.; Kinouchi, H.; Nakamaki, T.; Hironaka, S. Influence of Oral Anaerobic Bacteria on Hematopoietic Stem Cell Transplantation Patients: Oral Mucositis and General Condition. Transplant. Proc. 2017, 49, 2176–2182. [Google Scholar] [CrossRef]
- Laheij, A.M.G.A.; Raber-Durlacher, J.E.; Koppelmans, R.G.A.; Marie-Charlotte, D.N.; Huysmans, J.M.; Potting, C.; van Leeuwen, S.J.M.; Hazenberg, M.D.; Brennan, M.T.; von Bültzingslöwen, I.; et al. Microbial changes in relation to oral mucositis in autologous hematopoietic stem cell transplantation recipients. Sci. Rep. 2019, 9, 16929. [Google Scholar] [CrossRef]
- Oyama, T.; Kageyama, K.; Araoka, H.; Mitsuki, T.; Yamaguchi, K.; Kaji, D.; Taya, Y.; Nishida, A.; Ishiwata, K.; Takagi, S.; et al. Clinical and microbiological characteristics of bacterial meningitis in umbilical cord blood transplantation recipients. Int. J. Hematol. 2022, 116, 966–972. [Google Scholar] [CrossRef]
- Kawecki, D.; Chmura, A.; Pacholczyk, M.; Lagiewska, B.; Adadynski, L.; Wasiak, D.; Malkowski, P.; Sawicka-Grzelak, A.; Rokosz, A.; Szymanowska, A.; et al. Surgical site infections in liver recipients in the early posttransplantation period: Etiological agents and susceptibility profiles. Transplant. Proc. 2007, 39, 2800–2806. [Google Scholar] [CrossRef]
- Ali, N.; Adil, S.N.; Shaikh, M.U. Bloodstream and central line isolates from hematopoietic stem cell transplant recipients: Data from a developing country. Transpl. Infect. Dis. 2014, 16, 98–105. [Google Scholar] [CrossRef]
- Song, W.; Song, X.; Zhu, Y.; Ren, Y.; Xu, J.; Zhu, Q. Microbiology and Clinical Outcome of Bloodstream Infections in Patients After Hematopoietic Stem Cell Transplantation. Infect. Drug. Resist. 2023, 17, 5375–5386. [Google Scholar] [CrossRef] [PubMed]
- Benamu, E.; Deresinski, S. Vancomycin-resistant enterococcus infection in the hematopoietic stem cell transplant recipient: An overview of epidemiology, management, and prevention. F1000Research 2018, 7, 3. [Google Scholar] [CrossRef] [PubMed]
- Balletto, E.; Mikulska, M. Bacterial Infections in Hematopoietic Stem Cell Transplant Recipients. Mediterr. J. Hematol. Infect. Dis. 2015, 7, e2015045. [Google Scholar] [CrossRef] [PubMed]
- Mikulska, M.; Del Bono, V.; Raiola, A.M.; Bruno, B.; Gualandi, F.; Occhini, D.; di Grazia, C.; Frassoni, F.; Bacigalupo, A.; Viscoli, C. Blood stream infections in allogeneic hematopoietic stem cell transplant recipients: Reemergence of Gram-negative rods and increasing antibiotic resistance. Biol. Blood Marrow Transplant. 2009, 15, 47–53. [Google Scholar] [CrossRef]
- Kogure, Y.; Nakamura, F.; Nukina, A.; Kamikubo, Y.; Ichikawa, M.; Kurokawa, M.; Kamikubo, Y.; Kurokawa, M. Catheter-related septic shock by Micrococcus in an autologous hematopoietic stem cell transplantation recipient. Am. J. Infect. Control 2014, 42, 87. [Google Scholar] [CrossRef]
- Altuntas, F.; Yildiz, O.; Eser, B.; Gündogan, K.; Sumerkan, B.; Çetin, M. Catheter-related bacteremia due to Kocuria rosea in a patient undergoing peripheral blood stem cell transplantation. BMC Infect. Dis. 2004, 4, 62. [Google Scholar] [CrossRef]
- Cao, W.; Zhang, J.; Bian, Z.; Li, L.; Zhang, S.; Qin, Y.; Wan, D.; Jiang, Z.; Zhang, R. Active screening of intestinal colonization of carbapenem-resistant Enterobacteriaceae for subsequent bloodstream infection in allogeneic hematopoietic stem cell transplantation. Infect. Drug Resist. 2022, 15, 5993–6006. [Google Scholar] [CrossRef]
- Yan, L.; Sun, J.; Xu, X.; Huang, S. Epidemiology and risk factors of rectal colonization of carbapenemase-producing Enterobacteriaceae among high-risk patients from ICU and HSCT wards in a university hospital. Antimicrob. Resist. Infect. Control 2020, 9, 155. [Google Scholar] [CrossRef]
- Zając-Spychała, O.; Wachowiak, J.; Frączkiewicz, J.; Salamonowicz, M.; Kałwak, K.; Gorczyńska, E.; Chybicka, A.; Czyżewski, K.; Dziedzic, M.; Wysocki, M.; et al. Multidrug-resistant bacterial infections in children undergoing haematopoietic stem cell transplantation over a 6-year period: Analysis of the Polish Pediatric Group for Hematopoietic Stem Cell Transplantation. J. Appl. Microbiol. 2020, 128, 292–300. [Google Scholar] [CrossRef]
- Liu, D.Y.; Xiong, M.; Zhang, J.P.; Lu, Y.; Wei, Z.J.; Zhao, Y.L.; Cao, X.Y.; Sun, R.J.; Zhou, J.R.; Yuan, L.L. Incidence and predisposing risk factors of blood stream infections occurred pre-engraftment in 757 patients with allogeneic hematopoietic stem cell transplantation. J. Clin. Hematol. 2021, 34, 24–30. [Google Scholar]
- Yan, C.H.; Wang, Y.; Mo, X.D.; Sun, Y.Q.; Wang, F.R.; Fu, H.X.; Chen, Y.; Han, T.T.; Kong, J.; Cheng, Y.F.; et al. Incidence, Risk Factors, Microbiology and Outcomes of Pre-engraftment Bloodstream Infection After Haploidentical Hematopoietic Stem Cell Transplantation and Comparison With HLA-identical Sibling Transplantation. Clin. Infect. Dis. 2018, 67, S162–S173. [Google Scholar] [CrossRef] [PubMed]
- Heston, S.M.; Young, R.R.; Hong, H.; Akinboyo, I.C.; Tanaka, J.S.; Martin, P.L.; Vinesett, R.; Jenkins, K.; McGill, L.E.; Hazen, K.C.; et al. Microbiology of bloodstream infections in children after hematopoietic stem cell transplantation: A single-center experience over two decades (1997–2017). Open Forum Infect. Dis. 2020, 7, ofaa465. [Google Scholar] [CrossRef] [PubMed]
- Blennow, O.; Ljungman, P.; Sparrelid, E.; Mattsson, J.; Remberger, M. Incidence, risk factors, and outcome of bloodstream infections during the pre-engraftment phase in 521 allogeneic hematopoietic stem cell transplantations. Transpl. Infect. Dis. 2014, 16, 106–114. [Google Scholar] [CrossRef] [PubMed]
- Malagola, M.; Rambaldi, B.; Ravizzola, G.; Cattaneo, C.; Borlenghi, E.; Polverelli, N.; Turra, A.; Morello, E.; Skert, C.; Cancelli, V.; et al. Bacterial Blood Stream Infections Negatively Impact on Outcome of Patients Treated with Allogeneic Stem Cell Transplantation: 6 Years Single-Centre Experience. Mediterr. J. Hematol. Infect. Dis. 2017, 9, e2017036. [Google Scholar] [CrossRef] [PubMed]
- Kubiak, J.; Davidson, E.; Soave, R.; Kodiyanplakkal, R.P.; Robertson, A.; Besien, K.V.; Shore, T.B.; Lee, J.R.; Westblade, L.F.; Satlin, M.J. Colonization with Gastrointestinal Pathogens Prior to Hematopoietic Cell Transplantation and Associated Clinical Implications. Transplant. Cell. Ther. 2021, 27, 499.e1–499.e6. [Google Scholar] [CrossRef]
- Amer, R.; Salameh, H.; Mosleh, S.; Abu-Taha, A.; Hamayel, H.; Enaya, A.; Adas, A.; Khursani, A.; Wild-Ali, M.; Mousa, T.; et al. Epidemiology of early infections and predictors of mortality after autologous hematopoietic stem-cell transplantation among multiple myeloma, Hodgkin, and non-Hodgkin lymphoma: The first experience from Palestine. BMC Infect. Dis. 2022, 22, 725. [Google Scholar] [CrossRef]
- Averbuch, D.; Engelhard, D. Gram-Negative Bacterial Infections After Hematopoietic Stem Cell or Solid Organ Transplantation. In Transplant Infections, 4th ed.; Springer: Cham, Switzerland, 2016; pp. 357–380. [Google Scholar]
- Mikulska, M.; Raiola, A.M.; Galaverna, F.; Balletto, E.; Borghesi, M.L.; Varaldo, R.; Gualandi, F.; Giannoni, L.; Pastori, G.; Giacobbe, D.R.; et al. Pre-Engraftment Bloodstream Infections after Allogeneic Hematopoietic Cell Transplantation: Impact of T Cell-Replete Transplantation from a Haploidentical Donor. Biol. Blood Marrow Transplant. 2018, 24, 109–118. [Google Scholar] [CrossRef]
- Averbuch, D.; Tridello, G.; Hoek, J.; Mikulska, M.; Akan, H.; Yanez San Segundo, L.; Pabst, T.; Özçelik, T.; Klyasova, G.; Donnini, I.; et al. Antimicrobial Resistance in Gram-Negative Rods Causing Bacteremia in Hematopoietic Stem Cell Transplant Recipients: Intercontinental Prospective Study of the Infectious Diseases Working Party of the European Bone Marrow Transplantation Group. Clin. Infect. Dis. 2017, 65, 1819–1828. [Google Scholar] [CrossRef]
- Rajendra, A.; Jain, H.; Bonda, V.A.; Nayak, L.; Tembhare, P.; Shetty, D.; Thorat, J.; Jain, H.; Subramanian, P.G.; Patkar, N.; et al. Outcomes and prognostic factors in adolescents and young adults with ALL treated with a modified BFM-90 protocol. Blood Adv. 2021, 5, 1178–1193. [Google Scholar] [CrossRef]
- Mussetti, A.; Kernan, N.A.; Prockop, S.E.; Scaradavou, A.; Lehrman, R.; Ruggiero, J.M.; Curran, K.; Kobos, R.; O’Reilly, R.; Boulad, F. Allogeneic hematopoietic stem cell transplantation for nonmalignant hematologic disorders using chemotherapy-only cytoreductive regimens and T-cell-depleted grafts from human leukocyte antigen-matched or -mismatched donors. Pediatr. Hematol. Oncol. 2016, 33, 347–358. [Google Scholar] [CrossRef]
- Liu, A.W.; Bateman, A.C.; Greenbaum, A.; Garvin, K.; Clarridge, J.; Grim, J. Cutaneous phaeohyphomycosis in a hematopoietic stem cell transplant patient caused by Alternaria rosae: First case report. Transpl. Infect. Dis. 2017, 19, e12698. [Google Scholar] [CrossRef] [PubMed]
- Rotte, L.G.; Loeffen, Y.G.; Bierings, M.B.; Wolfs, T.F.; Lindemans, C.A. Allogenic Hematopoietic Stem Cell Transplantation Is Feasible in Pediatric Patients with an Active or Recently Diagnosed Invasive Fungal Infection. Transplant. Cell. Ther. 2021, 27, e1–e781. [Google Scholar] [CrossRef] [PubMed]
- Ferreira, I.D.S.; Teixeira, G.; Abecasis, M. Alternaria alternata Invasive Fungal Infection in a Patient with Fanconi’s Anemia after an Unrelated Bone Marrow Transplant. Clin. Drug Investig. 2013, 33, 33–36. [Google Scholar] [CrossRef] [PubMed]
- Chien, S.H.; Liu, Y.C.; Liu, C.J.; Ko, P.S.; Wang, H.Y.; Hsiao, L.T.; Chiou, T.J.; Liu, J.H.; Gau, J.P. Invasive mold infections in acute leukemia patients undergoing allogeneic hematopoietic stem cell transplantation. J. Microbiol. Immunol. Infect. 2019, 52, 973–982. [Google Scholar] [CrossRef] [PubMed]
- Corzo-León, D.E.; Satlin, M.J.; Soave, R.; Shore, T.B.; Schuetz, A.N.; Jacobs, S.E.; Walsh, T.J. Epidemiology and outcomes of invasive fungal infections in allogeneic haematopoietic stem cell transplant recipients in the era of antifungal prophylaxis: A single-centre study with focus on emerging pathogens. Mycoses 2015, 58, 325–536. [Google Scholar] [CrossRef]
- Al-Bader, N.; Sheppard, D.C. Aspergillosis and stem cell transplantation: An overview of experimental pathogenesis studies. Virulence 2016, 7, 950–966. [Google Scholar] [CrossRef]
- Abad, A.; Fernandez-Molina, J.V.; Bikandi, J.; Ramírez, A.; Margareto, J.; Sendino, J.; Hernando, F.L.; Pontón, J.; Garaizar, J.; Rementeria, A. What makes Aspergillus fumigatus a successful pathogen? Genes and molecules involved in invasive aspergillosis. Rev. Iberoam. Micol. 2010, 27, 155–182. [Google Scholar] [CrossRef]
- Vazquez, J.A.; Miceli, M.H.; Alangaden, G. Invasive fungal infections in transplant recipients. Ther. Adv. Infect. Dis. 2013, 1, 85–105. [Google Scholar] [CrossRef]
- Ramírez, I.; Hidrón, A.; Cardona, R. Successful treatment of pulmonary invasive fungal infection by Penicillium non-marneffei in lymphoblastic lymphoma: Case report and literature review. Clin. Case Rep. 2018, 6, 1153–1157. [Google Scholar] [CrossRef]
- Loyola-Cruz, M.Á.; Durán-Manuel, E.M.; Cruz-Cruz, C.; Márquez-Valdelamar, L.M.; Bravata-Alcántara, J.C.; Cortés-Ortíz, I.A.; Cureño-Díaz, M.A.; Ibáñez-Cervantes, G.; Fernández-Sánchez, V.; Castor-Escarpulli, G.; et al. ESKAPE bacteria characterization reveals the presence of Acinetobacter baumannii and Pseudomonas aeruginosa outbreaks in COVID-19/VAP patients. Am. J. Infect. Control 2023, 51, 729–737. [Google Scholar] [CrossRef]
- Earle, K.; Valero, C.; Conn, D.P.; Vere, G.; Cook, P.C.; Bromley, M.J.; Bowyer, P.; Gago, S. Pathogenicity and virulence of Aspergillus fumigatus. Virulence 2023, 14, 2172264. [Google Scholar] [CrossRef] [PubMed]








| Characteristic | Unit | Donor Room | Recipient Rooms | ||
|---|---|---|---|---|---|
| A | B | C | D | ||
| Dimensions | m2 | 34 | 12.7 | 12.7 | 12.7 |
| Positive pressure | Pa | No | No | No | Yes |
| HEPA filtration | 0.3 mm | No | No | No | Yes |
| Air changes | AC/h | 0 | 0 | 0 | 10 |
| Sanitary sealing | Non applicable | No | Yes | Yes | Yes |
| Epoxy floor coating | Yes | Yes | Yes | Yes | |
| Shared bathroom between patients | No | Yes | Yes | Yes | |
| Single washbasin | Yes | Yes | Yes | Yes | |
Disclaimer/Publisher’s Note: The statements, opinions and data contained in all publications are solely those of the individual author(s) and contributor(s) and not of MDPI and/or the editor(s). MDPI and/or the editor(s) disclaim responsibility for any injury to people or property resulting from any ideas, methods, instructions or products referred to in the content. |
© 2024 by the authors. Licensee MDPI, Basel, Switzerland. This article is an open access article distributed under the terms and conditions of the Creative Commons Attribution (CC BY) license (https://creativecommons.org/licenses/by/4.0/).
Share and Cite
Durán-Manuel, E.M.; Fiscal-Baxin, E.; Nolasco-Rojas, A.E.; Loyola-Cruz, M.Á.; Cruz-Cruz, C.; Paredes-Mendoza, M.; López-Ornelas, A.; Razo Blanco-Hernández, D.M.; Nieto-Velázquez, N.G.; Rodríguez-Tovar, A.V.; et al. Seasonal Characterization of the Aerobiome in Hematopoietic Stem Cell Transplant Rooms: Potential Risk for Immunosuppressed Patients. Microorganisms 2024, 12, 2352. https://doi.org/10.3390/microorganisms12112352
Durán-Manuel EM, Fiscal-Baxin E, Nolasco-Rojas AE, Loyola-Cruz MÁ, Cruz-Cruz C, Paredes-Mendoza M, López-Ornelas A, Razo Blanco-Hernández DM, Nieto-Velázquez NG, Rodríguez-Tovar AV, et al. Seasonal Characterization of the Aerobiome in Hematopoietic Stem Cell Transplant Rooms: Potential Risk for Immunosuppressed Patients. Microorganisms. 2024; 12(11):2352. https://doi.org/10.3390/microorganisms12112352
Chicago/Turabian StyleDurán-Manuel, Emilio Mariano, Edgar Fiscal-Baxin, Andres Emmanuel Nolasco-Rojas, Miguel Ángel Loyola-Cruz, Clemente Cruz-Cruz, Marianela Paredes-Mendoza, Adolfo López-Ornelas, Dulce Milagros Razo Blanco-Hernández, Nayeli Goreti Nieto-Velázquez, Aída Verónica Rodríguez-Tovar, and et al. 2024. "Seasonal Characterization of the Aerobiome in Hematopoietic Stem Cell Transplant Rooms: Potential Risk for Immunosuppressed Patients" Microorganisms 12, no. 11: 2352. https://doi.org/10.3390/microorganisms12112352
APA StyleDurán-Manuel, E. M., Fiscal-Baxin, E., Nolasco-Rojas, A. E., Loyola-Cruz, M. Á., Cruz-Cruz, C., Paredes-Mendoza, M., López-Ornelas, A., Razo Blanco-Hernández, D. M., Nieto-Velázquez, N. G., Rodríguez-Tovar, A. V., Ramírez-Granillo, A., Vásquez-Jiménez, E., Fernández-Sánchez, V., Gómez-Zamora, E., Cureño-Díaz, M. A., Milán-Salvatierra, A., Jiménez-Zamarripa, C. A., Calzada-Mendoza, C. C., & Bello-López, J. M. (2024). Seasonal Characterization of the Aerobiome in Hematopoietic Stem Cell Transplant Rooms: Potential Risk for Immunosuppressed Patients. Microorganisms, 12(11), 2352. https://doi.org/10.3390/microorganisms12112352

