A Method for Rapid Polyethyleneimine-Based Purification of Bacteriophage-Expressed Proteins from Diluted Crude Lysates, Exemplified by Thermostable TP-84 Depolymerase
Abstract
:1. Introduction
2. Materials and Methods
2.1. Growth Conditions of the TP-84 Bacteriophage Host and the Bacteriophage
2.2. Protein Standards, DNA Markers, Protease Inhibitor and Other Chemicals
2.3. Chromatographic Media and Centrifugal Devices
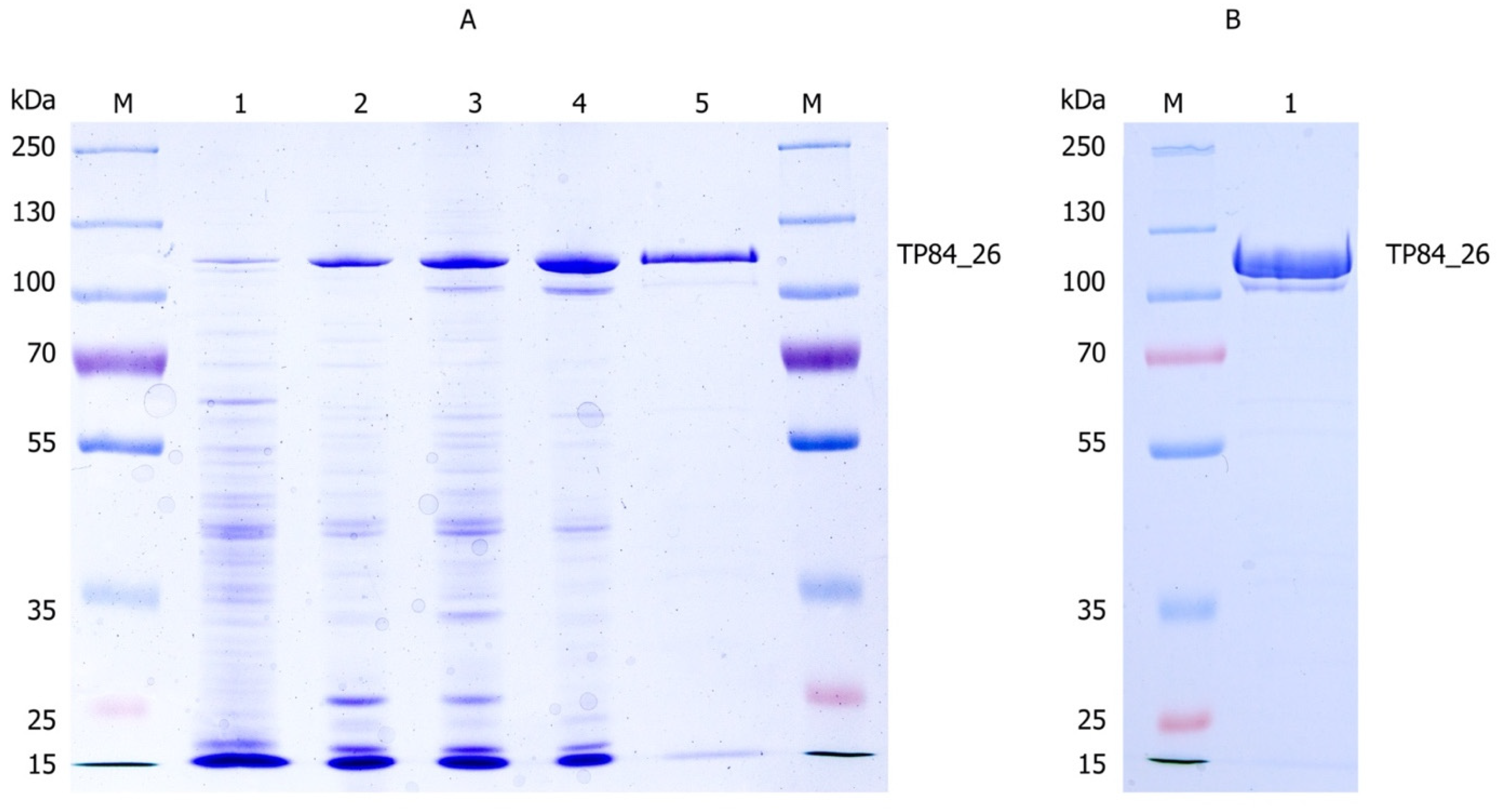
3. Results
3.1. Purification of the Native TP84_26 GD Employing the Novel Method for Protein Purification Using PEI
3.1.1. Step 1: Fractionation of TP-84/G. Stearothermophilus 10 strR Lysates Using PEI
3.1.2. Step 2: Phosphocellulose P11 Chromatography
3.1.3. Step 3: Q-Sepharose Chromatography
3.1.4. Step 4: Heparin-Agarose Chromatography
3.1.5. Step 5: Membrane Size Fractionation and Concentration
3.2. General Protocol for PEI-Mediated Purification of Proteins from a Bacteriophage/Host Cell Lysate
3.3. Method Validation
4. Discussion
5. Conclusions
- (1)
- The developed novel method for purification of TP84_26 GD, utilizing the polyethyleneimine (PEI)-mediated fractionation and chromatographic techniques, has proven to be effective in isolating and purifying the enzyme. The protocol successfully removed unwanted contaminants and allowed for the selective concentration and recovery of TP84_26 GD forms from the TP-84/G. stearothermophilus lysates.
- (2)
- The purification scheme involved the following steps: co-precipitation with PEI, chromatography on phosphocellulose P11, Q-Sepharose, and heparin-agarose media, and size fractionation through centrifugation using Vivaspin Turbo 15 RC devices. The obtained TP84_26 GD preparations exhibited high purity, as confirmed by SDS-PAGE analysis.
- (3)
- The validity of the developed methods was supported by their successful application in TP84_26 GD purification and demonstrated reproducibility. The purified TP84_26 GD samples, obtained using these protocols, can be further utilized in various applications, such as enzymatic studies, biotechnological applications or therapeutic purposes.
- (4)
- The presented purification methods offer efficient and reliable strategies for obtaining highly pure TP84_26 GD, contributing to the understanding and utilization of this enzyme in various fields.
Author Contributions
Funding
Data Availability Statement
Acknowledgments
Conflicts of Interest
References
- Saunders, G.F.; Campbell, L.L. Characterization of a thermophilic bacteriophage for Bacillus stearothermophilus. J. Bacteriol. 1966, 91, 340–348. [Google Scholar] [CrossRef] [PubMed]
- Epstein, I.; Campbell, L.L. Production and purification of the thermophilic bacteriophage TP-84. Appl. Microbiol. 1975, 29, 219–223. [Google Scholar] [CrossRef] [PubMed]
- Skowron, P.M.; Kropinski, A.M.; Zebrowska, J.; Janus, L.; Szemiako, K.; Czajkowska, E.; Maciejewska, N.; Skowron, M.; Łoś, J.; Łoś, M.; et al. Sequence, genome organization, annotation and proteomics of the thermophilic, 47.7-kb Geobacillus stearothermophilus bacteriophage TP-84 and its classification in the new Tp84virus genus. PLoS ONE 2018, 13, e0195449. [Google Scholar] [CrossRef]
- Łubkowska, B.; Jeżewska-Frąckowiak, J.; Sobolewski, I.; Skowron, P.M. Bacteriophages of Thermophilic ‘Bacillus Group’ Bacteria—A Review. Microorganisms 2021, 16, 1522. [Google Scholar] [CrossRef] [PubMed]
- Łubkowska, B.; Czajkowska, E.; Stodolna, A.; Sroczyński, M.; Zylicz-Stachula, A.; Sobolewski, I.; Skowron, P.M. A novel thermostable TP-84 TP84_26 GD: A method for rapid polyethyleneimine processing of a bacteriophage-expressed proteins. Microb. Cell Fact. 2023, 22, 80. [Google Scholar] [CrossRef] [PubMed]
- Atkinson, A.; Jack, G.W. Precipitation of nucleic acids with polyethyleneimine and the chromatography of nucleic acids and proteins on immobilised polyethyleneimine. Biochim. Biophys. Acta 1973, 308, 41–52. [Google Scholar] [CrossRef] [PubMed]
- Sasaki, Y.; Goto, H.; Tomi, H.; Kamikubo, T. DNA-dependent RNA polymerase III from cauliflower. Characterization and template specificity. Biochim. Biophys. Acta 1978, 517, 205–215. [Google Scholar] [CrossRef] [PubMed]
- Zhang, Y.; Gao, P.; Xing, Z.; Jin, S.; Chen, Z.; Liu, L.; Constantino, N.; Wang, X.; Shi, W.; Yuan, J.S.; et al. Application of an improved proteomics method for abundant protein cleanup: Molecular and genomic mechanisms study in plant defense. Mol. Cell Proteom. 2013, 12, 3431–3442. [Google Scholar] [CrossRef] [PubMed]
- Yemul, O.; Imae, T. Synthesis and characterization of poly(ethyleneimine) dendrimers. Colloid Polym. Sci. 2008, 286, 747–752. [Google Scholar] [CrossRef]
- Burgess, R.R. Protein precipitation techniques. Methods Enzymol. 2009, 463, 331–342. [Google Scholar] [CrossRef] [PubMed]
- Zylicz-Stachula, A.; Zolnierkiewicz, O.; Sliwinska, K.; Jezewska-Frackowiak, J.; Modified, P.M.S. “One amino acid-one codon” engineering of high GC content TaqII-coding gene from thermophilic Thermus aquaticus results in radical expression increase. Microb. Cell Fact. 2014, 13, 7. [Google Scholar] [CrossRef] [PubMed]
- Kielkopf, C.L.; Bauer, W.; Urbatsch, I.L. Sodium Dodecyl Sulfate-Polyacrylamide Gel Electrophoresis of Proteins. Cold Spring Harb. Protoc. 2021, 2021, 1. [Google Scholar] [CrossRef] [PubMed]
- Krawczun, N.; Bielawa, M.; Szemiako, K.; Łubkowska, B.; Sobolewski, I.; Zylicz-Stachula, A.; Skowron, P.M. A method for the transient inhibition of toxicity of secretory recombinant proteins, exemplified by bacterial alkaline phosphatase. Novel protocol for problematic DNA termini dephosphorylation. MethodsX 2021, 11, 101340. [Google Scholar] [CrossRef] [PubMed]



Disclaimer/Publisher’s Note: The statements, opinions and data contained in all publications are solely those of the individual author(s) and contributor(s) and not of MDPI and/or the editor(s). MDPI and/or the editor(s) disclaim responsibility for any injury to people or property resulting from any ideas, methods, instructions or products referred to in the content. |
© 2023 by the authors. Licensee MDPI, Basel, Switzerland. This article is an open access article distributed under the terms and conditions of the Creative Commons Attribution (CC BY) license (https://creativecommons.org/licenses/by/4.0/).
Share and Cite
Łubkowska, B.; Czajkowska, E.; Sobolewski, I.; Krawczun, N.; Żylicz-Stachula, A.; Skowron, P.M. A Method for Rapid Polyethyleneimine-Based Purification of Bacteriophage-Expressed Proteins from Diluted Crude Lysates, Exemplified by Thermostable TP-84 Depolymerase. Microorganisms 2023, 11, 2340. https://doi.org/10.3390/microorganisms11092340
Łubkowska B, Czajkowska E, Sobolewski I, Krawczun N, Żylicz-Stachula A, Skowron PM. A Method for Rapid Polyethyleneimine-Based Purification of Bacteriophage-Expressed Proteins from Diluted Crude Lysates, Exemplified by Thermostable TP-84 Depolymerase. Microorganisms. 2023; 11(9):2340. https://doi.org/10.3390/microorganisms11092340
Chicago/Turabian StyleŁubkowska, Beata, Edyta Czajkowska, Ireneusz Sobolewski, Natalia Krawczun, Agnieszka Żylicz-Stachula, and Piotr M. Skowron. 2023. "A Method for Rapid Polyethyleneimine-Based Purification of Bacteriophage-Expressed Proteins from Diluted Crude Lysates, Exemplified by Thermostable TP-84 Depolymerase" Microorganisms 11, no. 9: 2340. https://doi.org/10.3390/microorganisms11092340
APA StyleŁubkowska, B., Czajkowska, E., Sobolewski, I., Krawczun, N., Żylicz-Stachula, A., & Skowron, P. M. (2023). A Method for Rapid Polyethyleneimine-Based Purification of Bacteriophage-Expressed Proteins from Diluted Crude Lysates, Exemplified by Thermostable TP-84 Depolymerase. Microorganisms, 11(9), 2340. https://doi.org/10.3390/microorganisms11092340

