Evaluation of the Inactivation Efficacy of Four Disinfectants for Feline Parvovirus Derived from Giant Panda
Abstract
1. Introduction
2. Materials and Methods
2.1. Virus, Cells and Antibodies
Growth Kinetics
2.2. Disinfectants Tolerance Test for F81 Cells
2.3. Virucidal Assay
2.4. Hemagglutination Assay (HA)
2.5. Immunofluorescence Assay (IFA)
2.6. Western Blot Analysis
2.7. Quantitative PCR
2.8. Statistical Analysis
3. Results
3.1. FPV Increased Exponentially in the First 48 h
3.2. Virkon S, JM and PAA Had Greater Effect on Cell Viability
3.3. Verification of FPV Inactivation in F81 Cells
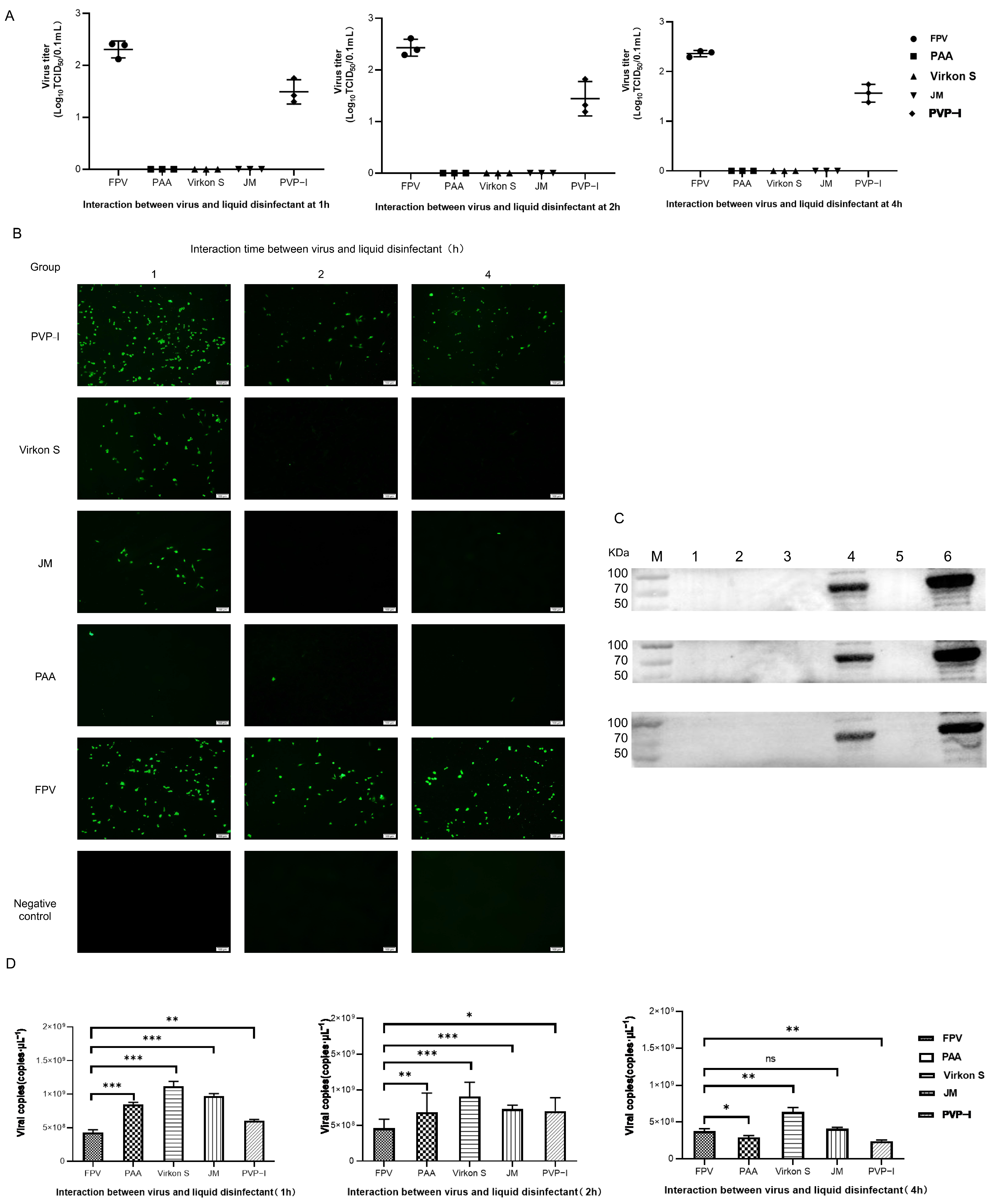
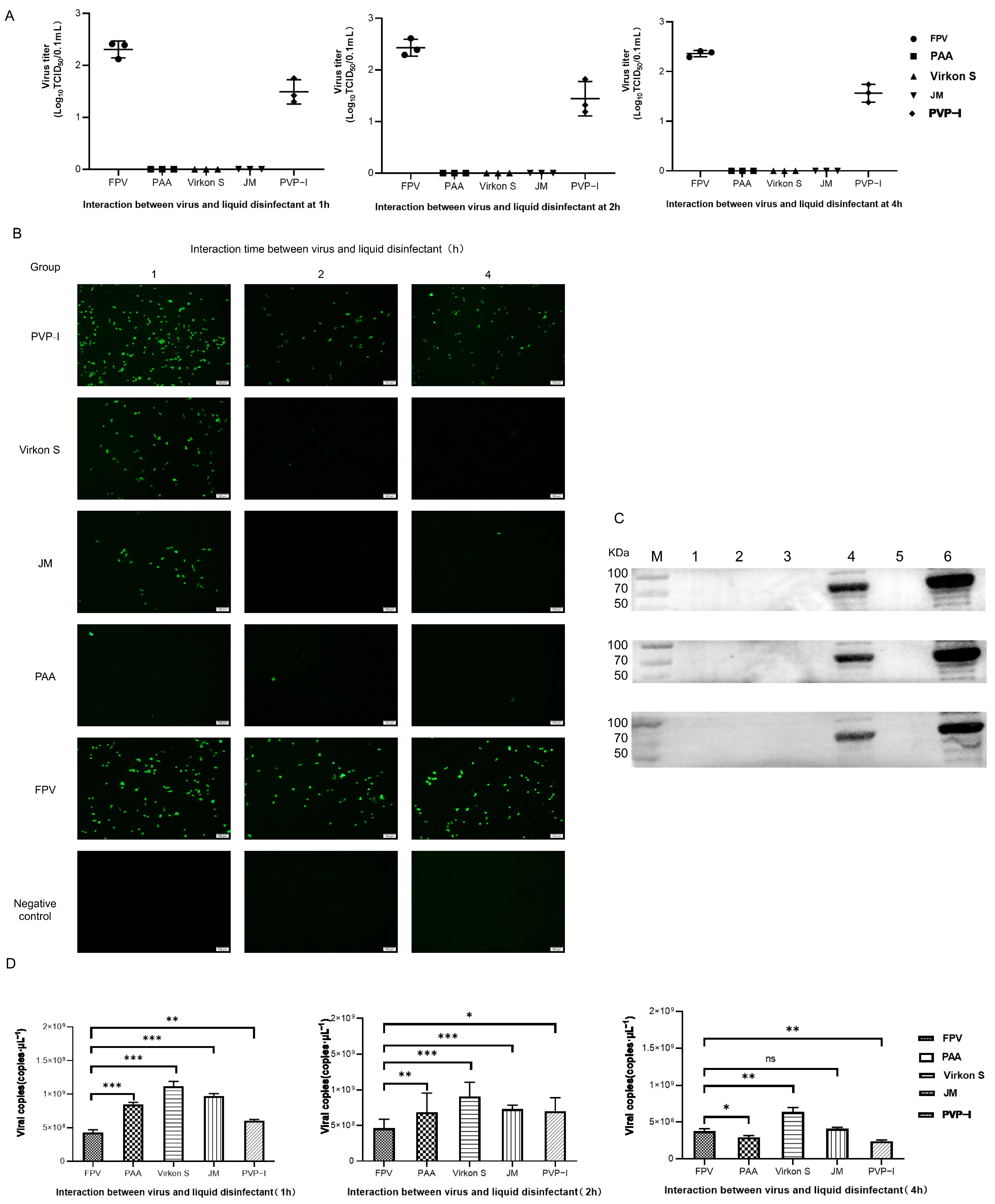
3.4. Efficacious Inactivation of FPV by PAA, Virkon S and JM
3.5. PAA Had the Strongest Impact on HA Characterization
4. Discussion
5. Conclusions
Author Contributions
Funding
Data Availability Statement
Conflicts of Interest
References
- Barrs, V.R. Feline panleukopenia: A re-emergent disease. Vet. Clin. N. Am. Small Anim. Pract. 2019, 49, 651–670. [Google Scholar] [CrossRef] [PubMed]
- Duarte, M.D.; Barros, S.C.; Henriques, M.; Fernandes, T.L.; Bernardino, R.; Monteiro, M.; Fevereiro, M. Fatal infection with feline panleukopenia virus in two captive wild carnivores (Panthera tigris and Panthera leo). J. Zoo Wildl. Med. 2009, 40, 354–359. [Google Scholar] [CrossRef]
- Foley, J.E.; Swift, P.; Fleer, K.A.; Torres, S.; Girard, Y.A.; Johnson, C.K. Risk factors for exposure to feline pathogens in California mountain lions (Puma concolor). J. Wildl. Dis. 2013, 49, 279–293. [Google Scholar] [CrossRef] [PubMed]
- Inthong, N.; Sutacha, K.; Kaewmongkol, S.; Sinsiri, R.; Sribuarod, K.; Sirinarumitr, K.; Sirinarumitr, T. Feline panleukopenia virus as the cause of diarrhea in a banded linsang (Prionodon linsang) in Thailand. J. Vet. Med. Sci. 2019, 81, 1763–1768. [Google Scholar] [CrossRef] [PubMed]
- Yang, S.; Wang, S.; Feng, H.; Zeng, L.; Xia, Z.; Zhang, R.; Zou, X.; Wang, C.; Liu, Q.; Xia, X. Isolation and characterization of feline panleukopenia virus from a diarrheic monkey. Vet. Microbiol. 2010, 143, 155–159. [Google Scholar] [CrossRef]
- Kang, D.; Zhao, Z.; Chen, X.; Wang, X.; Li, J. Characteristics and impacts of solid waste on giant panda habitat in Wanglang Nature Reserve. Sci. Total Environ. 2020, 724, 138210. [Google Scholar] [CrossRef] [PubMed]
- Xie, Y.; Wang, S.; Wu, S.; Gao, S.; Meng, Q.; Wang, C.; Lan, J.; Luo, L.; Zhou, X.; Xu, J.; et al. Genome of the giant panda roundworm illuminates its host shift and parasitic adaptation. Genom. Proteom. Bioinform. 2022, 20, 366–381. [Google Scholar] [CrossRef]
- Yue, C.; Yang, W.; Fan, X.; Lan, J.; Huang, W.; Zhang, D.; Li, Y.; Liao, L.; Ayala, J.E.; Wu, K.; et al. Seroprevalence and risk factors of toxoplasma gondii infection in captive giant panda (Ailuropoda melanoleuca). Front. Cell Infect. Microbiol. 2022, 12, 1071988. [Google Scholar] [CrossRef]
- Zhao, Y.; Chen, Y.P.; Macdonald, D.W.; Li, J.; Ma, Q.Y. Organochlorine compounds pose health risks to the Qinling giant panda (Ailuropoda melanoleuca qinlingensis). Environ. Pollut. 2021, 273, 116427. [Google Scholar] [CrossRef]
- Qin, Q.; Li, D.; Zhang, H.; Hou, R.; Zhang, Z.; Zhang, C.; Zhang, J.; Wei, F. Serosurvey of selected viruses in captive giant pandas (Ailuropoda melanoleuca) in China. Vet. Microbiol. 2010, 142, 199–204. [Google Scholar] [CrossRef]
- Feng, N.; Yu, Y.; Wang, T.; Wilker, P.; Wang, J.; Li, Y.; Sun, Z.; Gao, Y.; Xia, X. Fatal canine distemper virus infection of giant pandas in China. Sci. Rep. 2016, 6, 27518. [Google Scholar] [CrossRef] [PubMed]
- Jin, Y.; Zhang, X.; Ma, Y.; Qiao, Y.; Liu, X.; Zhao, K.; Zhang, C.; Lin, D.; Fu, X.; Xu, X.; et al. Canine distemper viral infection threatens the giant panda population in China. Oncotarget 2017, 8, 113910–113919. [Google Scholar] [CrossRef] [PubMed]
- Guo, L.; Yang, S.L.; Chen, S.J.; Zhang, Z.; Wang, C.; Hou, R.; Ren, Y.; Wen, X.; Cao, S.; Guo, W.; et al. Identification of canine parvovirus with the Q370R point mutation in the VP2 gene from a giant panda (Ailuropoda melanoleuca). Virol. J. 2013, 10, 163. [Google Scholar] [CrossRef] [PubMed]
- Li, D.; Zhu, L.; Cui, H.; Ling, S.; Fan, S.; Yu, Z.; Zhou, Y.; Wang, T.; Qian, J.; Xia, X.; et al. Influenza A(H1N1)pdm09 virus infection in giant pandas, China. Emerg. Infect. Dis. 2014, 20, 480–483. [Google Scholar] [CrossRef] [PubMed]
- Yi, S.; Liu, S.; Meng, X.; Huang, P.; Cao, Z.; Jin, H.; Wang, J.; Hu, G.; Lan, J.; Zhang, D.; et al. Feline panleukopenia virus with G299E substitution in the VP2 protein first identified from a captive giant panda in China. Front. Cell. Infect. Microbiol. 2021, 11, 820144. [Google Scholar] [CrossRef]
- Zhao, M.; Yue, C.; Yang, Z.; Li, Y.; Zhang, D.; Zhang, J.; Yang, S.; Shen, Q.; Su, X.; Qi, D.; et al. Viral metagenomics unveiled extensive communications of viruses within giant pandas and their associated organisms in the same ecosystem. Sci. Total Environ. 2022, 820, 153317. [Google Scholar] [CrossRef]
- Abd-Eldaim, M.; Beall, M.J.; Kennedy, M.A. Detection of feline panleukopenia virus using a commercial ELISA for canine parvovirus. Vet. Ther. 2009, 10, E1–E6. [Google Scholar]
- Stuetzer, B.; Hartmann, K. Feline parvovirus infection and associated diseases. Vet. J. 2014, 201, 150–155. [Google Scholar] [CrossRef]
- Truyen, U.; Parrish, C.R. Feline panleukopenia virus: Its interesting evolution and current problems in immunoprophylaxis against a serious pathogen. Vet. Microbiol. 2013, 165, 29–32. [Google Scholar] [CrossRef]
- Schmitz, B.W.; Wang, H.; Schwab, K.; Jacangelo, J. Selected mechanistic aspects of viral inactivation by peracetic acid. Environ. Sci. Technol. 2021, 55, 16120–16129. [Google Scholar] [CrossRef]
- Gong, L.; Deng, Q.; Xu, R.; Ji, C.; Wang, H.; Zhang, G. Effects of physical and chemical factors on pseudorabies virus activity in vitro. BMC Vet. Res. 2020, 16, 358. [Google Scholar] [CrossRef] [PubMed]
- Xu, X.R.; Liu, X.; Huang, D.H.; Qin, C.Z.; Sheng, X.D.; Zhang, C.J.; Qin, Z.M. Effect Test of disinfection compound of glutaral and deciquam solution on Escherichia coli and Staphylococcus aureus. Chin. J. Vet. Drug 2015, 3, 30–34. [Google Scholar]
- Sauerbrei, A. Bactericidal and virucidal activity of ethanol and povidone-iodine. Microbiologyopen 2020, 9, e1097. [Google Scholar] [CrossRef] [PubMed]
- Reed, A.P.; Jones, E.V.; Miller, T.J. Nucleotide sequence and genome organization of canine parvovirus. J. Virol. 1988, 62, 266–276. [Google Scholar] [CrossRef] [PubMed]
- Hueffer, K.; Parker, J.S.; Weichert, W.S.; Geisel, R.E.; Sgro, J.Y.; Parrish, C.R. The natural host range shift and subsequent evolution of canine parvovirus resulted from virus-specific binding to the canine transferrin receptor. J. Virol. 2003, 77, 1718–1726. [Google Scholar] [CrossRef] [PubMed]
- Imai, K.; Tanaka, M.; Miyoshi, S.; Murakami, R.; Hagi, A.; Yamagawa, S.; Sano, D. Disinfection efficacy and mechanism of olanexidine gluconate against norovirus. Am. J. Infect. Control 2022, 50, 764–771. [Google Scholar] [CrossRef] [PubMed]
- Chen, J.; Song, T.; Long, S.; Zhu, K.J.; Pavlostathis, S.G. Effect of peracetic acid solution on a nitrifying culture: Kinetics, inhibition, cellular and transcriptional responses. Water Res. 2022, 219, 118543. [Google Scholar] [CrossRef]






| Disclaimer/Publisher’s Note: The statements, opinions and data contained in all publications are solely those of the individual author(s) and contributor(s) and not of MDPI and/or the editor(s). MDPI and/or the editor(s) disclaim responsibility for any injury to people or property resulting from any ideas, methods, instructions or products referred to in the content. | 
© 2023 by the authors. Licensee MDPI, Basel, Switzerland. This article is an open access article distributed under the terms and conditions of the Creative Commons Attribution (CC BY) license (https://creativecommons.org/licenses/by/4.0/).
Share and Cite
Peng, Q.; Yang, Z.; Wu, L.; Yu, P.; Li, Q.; Lan, J.; Luo, L.; Zhao, S.; Yan, Q. Evaluation of the Inactivation Efficacy of Four Disinfectants for Feline Parvovirus Derived from Giant Panda. Microorganisms 2023, 11, 1844. https://doi.org/10.3390/microorganisms11071844
Peng Q, Yang Z, Wu L, Yu P, Li Q, Lan J, Luo L, Zhao S, Yan Q. Evaluation of the Inactivation Efficacy of Four Disinfectants for Feline Parvovirus Derived from Giant Panda. Microorganisms. 2023; 11(7):1844. https://doi.org/10.3390/microorganisms11071844
Chicago/Turabian StylePeng, Qianling, Zhisong Yang, Lin Wu, Peilun Yu, Qiang Li, Jingchao Lan, Li Luo, Shan Zhao, and Qigui Yan. 2023. "Evaluation of the Inactivation Efficacy of Four Disinfectants for Feline Parvovirus Derived from Giant Panda" Microorganisms 11, no. 7: 1844. https://doi.org/10.3390/microorganisms11071844
APA StylePeng, Q., Yang, Z., Wu, L., Yu, P., Li, Q., Lan, J., Luo, L., Zhao, S., & Yan, Q. (2023). Evaluation of the Inactivation Efficacy of Four Disinfectants for Feline Parvovirus Derived from Giant Panda. Microorganisms, 11(7), 1844. https://doi.org/10.3390/microorganisms11071844
 
        


