Human Adenovirus and Influenza A Virus Exacerbate SARS-CoV-2 Infection in Animal Models
Abstract
1. Introduction
2. Materials and Methods
2.1. Viruses and Cell Cultures
2.2. Animals
2.3. Coinfection with HAdV-5 and SARS-CoV-2 In Vitro
2.4. Coinfection In Vivo
2.5. RNA/DNA Extraction and qPCR
2.6. Statistical Analysis
2.7. Biosafety
3. Results
3.1. Coinfection with SARS-CoV-2 and HAdV-5
3.2. Coinfection with SARS-CoV-2 and Influenza A Virus
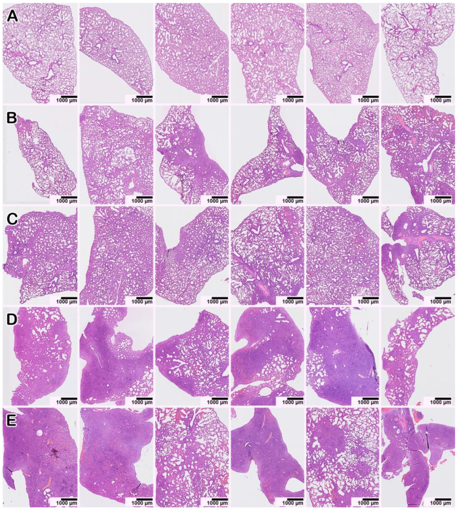
3.3. Morphological Examination of Coinfected Animals
3.4. Chemokine/Cytokine Responses in Coinfected Animals
4. Discussion
5. Conclusions
Supplementary Materials
Author Contributions
Funding
Institutional Review Board Statement
Informed Consent Statement
Data Availability Statement
Conflicts of Interest
References
- Wu, F.; Zhao, S.; Yu, B.; Chen, Y.M.; Wang, W.; Song, Z.G.; Hu, Y.; Tao, Z.; Tian, J.; Pei, Y.; et al. A new coronavirus associated with human respiratory disease in China. Nature 2020, 579, 265–269. [Google Scholar] [CrossRef] [PubMed]
- Zhu, N.; Zhang, D.; Wang, W.; Li, X.; Yang, B.; Song, J.; Zhao, X.; Huang, B.; Shi, W.; Lu, R.; et al. A novel coronavirus from patients with pneumonia in China, 2019. N. Engl. J. Med. 2020, 382, 727–733. [Google Scholar] [CrossRef] [PubMed]
- Wang, C.; Horby, P.W.; Hayden, F.G.; Gao, G.F. A novel coronavirus outbreak of global health concern. Lancet 2020, 395, 470–473. [Google Scholar] [CrossRef] [PubMed]
- Wang, M.; Wu, Q.; Xu, W.; Qiao, B.; Wang, J.; Zheng, H.; Jiang, S.; Mei, J.; Wu, Z.; Deng, Y.; et al. Clinical diagnosis of 8274 samples with 2019-novel coronavirus in Wuhan. medRxiv 2020. [Google Scholar] [CrossRef]
- Kim, D.; Quinn, J.; Pinsky, B.; Shah, N.H.; Brown, I. Rates of co-infection between SARS-CoV-2 and other respiratory pathogens. Jama 2020, 323, 2085–2086. [Google Scholar] [CrossRef]
- Lansbury, L.; Lim, B.; Baskaran, V.; Lim, W. Co-infections in people with COVID-19: A systematic review and meta-analysis. J. Infect. 2020, 81, 266–275. [Google Scholar] [CrossRef]
- Chen, X.; Liao, B.; Cheng, L.; Peng, X.; Xu, X.; Li, Y.; Hu, T.; Li, J.; Zhou, X.; Ren, B. The microbial coinfection in COVID-19. Appl. Microbiol. Biotechnol. 2020, 104, 7777–7785. [Google Scholar] [CrossRef]
- Traylor, Z.; Aeffner, F.; Davis, I. Influenza A H1N1 induces declines in alveolar gas exchange in mice consistent with rapid post-infection progression from acute lung injury to ARDS. Influenza Other Respir. Viruses 2013, 7, 472–479. [Google Scholar] [CrossRef]
- Hou, Y.; Ocuda, K.; Edwards, C.; Martines, D.; Asakura, T.; Dinnon, K.; Kato, T.; Lee, R.; Yount, B.; Mascenik, T.; et al. SARS-CoV-2 reverse genetics reveals a variable infection gradient in the respiratory tract. Cell 2020, 182, 429–446. [Google Scholar] [CrossRef]
- Belongia, E.; Osterholm, M. COVID-19 and flu, a perfect storm. Science 2020, 368, 1163. [Google Scholar] [CrossRef]
- Chan, J.; Zhang, A.; Yuan, S.; Poon, V.; Chan, C.; Lee, A.; Chan, W.; Fan, Z.; Tsoi, H.; Wen, L.; et al. Simulation of the clinical and pathological manifestations of coronavirus disease 2019 (COVID-19) in a golden Syrian hamster model: Implications for disease pathogenesis and transmissibility. Clin. Infect. Dis. 2020, 71, 2428–2446. [Google Scholar] [CrossRef] [PubMed]
- Imai, M.; Iwatsuki-Horimoto, K.; Hatta, M.; Loeber, S.; Halfmann, P.J.; Nakajima, N.; Watanabe, T.; Ujie, M.; Takahashi, M. Syrian hamsters as a small animal model for SARS-CoV-2 infection and countermeasure development. Proc. Natl. Acad. Sci. USA 2020, 117, 16587–16595. [Google Scholar] [CrossRef]
- Tollefson, A.E.; Ying, B.; Spencer, J.F.; Sagartz, J.E.; Wold, W.S.; Toth, K. Pathology in permissive Syrian hamsters after infection with species C human adenovirus (HAdV-C) is the result of virus replication: HAdV-C6 replicates more and causes more pathology than HAdV-C5. J. Virol. 2017, 91, e00284-17. [Google Scholar] [CrossRef]
- Bouvier, N.M.; Lowen, A.C. Animal models for influenza virus pathogenesis and transmission. Viruses 2010, 2, 1530–1563. [Google Scholar] [CrossRef] [PubMed]
- Kim, Y.; Kim, S.G.; Kim, S.M.; Kim, E.; Park, S.J.; Yu, K.M.; Chang, J.H.; Kim, E.J.; Lee, L.; Casel, M.A. Infection and rapid transmission of SARS-CoV-2 in ferrets. Cell Host Microbe 2020, 27, 704–709.e2. [Google Scholar] [CrossRef] [PubMed]
- Svyatchenko, V.; Nikonov, S.; Mayorov, A.; Gelfond, M.; Loktev, V. Antiviral photodynamic therapy: Inactivation and inhibition of SARS-CoV-2 in vitro using methylene blue and Radachlorin. Photodiagnos. Photodyn. Ther. 2021, 33, 102–112. [Google Scholar] [CrossRef]
- Toth, K.; Spencer, J.; Dhar, D.; Sagartz, J.; Buller, R.; Painter, G.; Wold, W.S. Hexadecyloxypropyl-cidofovir, CMX001, prevents adenovirus induced mortality in a permissive, immunosuppressed animal model. Proc. Natl. Acad. Sci. USA 2008, 105, 7293–7297. [Google Scholar] [CrossRef]
- Ryzhikov, A.B.; Ryzhikov, E.A.; Bogryantseva, M.P.; Danilenko, E.D.; Imatdinov, I.R.; Nechaeva, E.A.; Pyankov, O.; Pyankova, O.G.; Susloparov, I.; Taranov, O.; et al. Immunogenicity and protectivity of the peptide vaccine against SARS-CoV-2. Ann. Russ. Acad. Med. Sci. 2021, 76, 5–19. [Google Scholar] [CrossRef]
- Sanders, R.; Mason, D.J.; Foy, C.A.; Huggett, J.F. Evaluation of digital PCR for absolute RNA quantification. PLoS ONE 2013, 8, e75296. [Google Scholar] [CrossRef] [PubMed]
- Chan, J.F.; Yuan, S.; Zhang, A.; Poon, V.K.; Chan, C.C.; Lee, A.C.; Fan, Z.; Li, C.; Liang, R.; Cao, J. Surgical mask partition reduces the risk of noncontact transmission in a Golden Syrian hamster model for coronavirus disease 2019 (COVID-19). Clin. Infect. Dis. 2020, 71, 2139–2149. [Google Scholar] [CrossRef] [PubMed]
- The Global Impact of Respiratory Disease Forum of International Respiratory Societies, 2nd ed.; European Respiratory Society: Sheffield, UK, 2017.
- Clark, J.J.; Penrice-Randal, R.S.; Sharma, P.; Kipar, A.; Dong, X.; Davidson, A.; Williamson, M.; Matthews, D.; Turtle, L.; Prince, T.; et al. Sequential infection with influenza A virus followed by severe acute respiratory syndrome coronavirus 2 (SARS-CoV-2) leads to more severe disease and encephalitis in a mouse model of COVID-19. bioRxiv 2020. [Google Scholar] [CrossRef]
- Hashemi, S.A.; Safamanesh, S.; Ghasemzadeh-Moghaddam, H.; Ghafouri, M.; Azimian, A. High prevalence of SARS-CoV-2 and influenza A virus (H1N1) coinfection in dead patients in Northeastern Iran. J. Med. Virol. 2020, 93, 1008–1012. [Google Scholar] [CrossRef] [PubMed]
- Stowe, J.; Tessier, E.; Zhao, H.; Guy, R.; Muller-Pebody, B.; Zambon, M.; Andrews, N.; Ramsay, M.; Lopez Bernal, J. Interactions between SARS-CoV-2 and Influenza and the impact of coinfection on disease severity: A test negative design. Int. J. Epidemiol. 2021, 50, 1124–1133. [Google Scholar] [CrossRef] [PubMed]
- Zheng, X.; Su, Z.; Li, W.; Yang, D.; Deng, F.; Chen, J. Co-infection of SARS-CoV-2 and Influenza virus in early stage of the COVID-19 epidemic in Wuhan, China. J Infect. 2020, 81, 128–129. [Google Scholar] [CrossRef] [PubMed]
- Cassir, N.; Hraiech, S.; Nougairede, A.; Zandotti, C.; Fournier, P.E.; Papazian, L. Outbreak of adenovirus type 1 severe pneumonia in a French intensive care unit, September–October 2012. EuroSurveill. 2014, 19, 20914. [Google Scholar] [CrossRef]
- Jain, S.; Self, W.H.; Wunderink, R.G.; Fakhran, S.; Balk, R.; Bramley, A.M.; Reed, C.; Grijalva, C.; Anderson, E.; Courtney, D.; et al. Community-acquired pneumonia requiring hospitalization among U.S. adults. N. Engl. J. Med. 2015, 373, 415–427. [Google Scholar] [CrossRef]
- Jennings, L.S.; Anderson, T.P.; Beynon, K.A.; Chua, A.; Laing, R.T.; Werno, A.M.; Young, S.A.; Chambers, S.; Murdoch, D.R. Incidence and characteristics of viral community-acquired pneumonia in adults. Thorax 2008, 63, 42–48. [Google Scholar] [CrossRef]
- Lion, T. Adenovirus infections in immunocompetent and immunocompromised patients. Clin. Microbiol. Rev. 2014, 27, 441–462. [Google Scholar] [CrossRef]
- John, A.L.; Rathore, A.P. Early insights into immune responses during COVID-19. J. Immunol. 2020, 205, 555–564. [Google Scholar] [CrossRef]
- VanLeuven, J.T.; Ridenhour, B.J.; Gonzalez, A.J.; Miller, C.R.; Miura, T.A. Lung epithelial cells have virus-specific and shared gene expression responses to infection by diverse respiratory viruses. PLoS ONE 2017, 12, e0178408. [Google Scholar] [CrossRef]
- Mehta, D.; Malik, A.B. Signaling mechanisms regulating endothelial permeability. Physiol. Rev. 2006, 86, 279–367. [Google Scholar] [CrossRef]
- Latreille, E.; Lee, W.L. Interactions of Influenza and SARS-CoV-2 with the lung endothelium: Similarities, differences, and implications for therapy. Viruses 2021, 13, 161. [Google Scholar] [CrossRef] [PubMed]
- Bai, L.; Zhao, Y.; Dong, J.; Liang, S.; Guo, M.; Liu, X.; Wang, X.; Huang, Z.; Sun, X.; Zhang, Z.; et al. Coinfection with influenza A virus enhances SARS-CoV-2 infectivity. Cell Res. 2021, 4, 395–403. [Google Scholar] [CrossRef] [PubMed]
- Kinoshita, T.; Watanabe, K.; Sakurai, Y.; Nishi, K.; Yoshikawa, R.; Yasuda, J. Co-infection of SARS-CoV-2 and influenza virus causes more severe and prolonged pneumonia in hamsters. Sci. Rep. 2021, 11, 21259. [Google Scholar] [CrossRef]
- Huang, Y.; Skarlupka, A.; Jang, H.; Blas-Machado, U.; Holladay, N.; Hogan, J.; Ross, T. SARS-CoV-2 and Influenza A Virus Coinfections in Ferrets. J. Virol. 2022, 96, e0179121. [Google Scholar] [CrossRef]
- Belser, J.; Katz, J.; Tumpey, T. The ferret as a model organism to study influenza A virus infection. Dis. Model Mech. 2011, 4, 575–579. [Google Scholar] [CrossRef]
- Swets, M.; Russell, C.; Harrison, E.; Docherty, A.; Lone, N.; Girvan, M.; Hardwick, H. SARS-CoV-2 co-infection with influenza viruses, respiratory syncytial virus, or adenoviruses. Lancet 2021, 399, 1463–1464. [Google Scholar] [CrossRef] [PubMed]
- Ashmarin, I.P.; Vorobev, A.A. Statistical Methods in the Microbiological Research; State Press of Medical Literature: Leningrad, Russia, 1962; pp. 85–104. [Google Scholar]
- Gruber, A.D.; Osterrieder, N.; Bertzbach, L.D.; Vladimirova, D.; Greuel, S.; Ihlow, J.; Horst, D.; Trimpert, J.; Dietert, K. Standardization of Reporting Criteria for Lung Pathology in SARS-CoV-2-infected Hamsters: What Matters? Am. J. Respir. Cell Mol. Biol. 2020, 63, 856–859. [Google Scholar]









| (A) | ||||||
|---|---|---|---|---|---|---|
| Monoinfection | Coinfection | |||||
| SARS-CoV-2 | HAdV-5 | SARS-CoV-2 + HAdV-5 | ||||
| Time postinfection | Viral titers, lgTCID50/mL | Viral RNA load according to dPCR, lg genome copies/mL | Viral titers, lgTCID50/mL | Viral DNA load according to dPCR, lg genome copies/mL | Viral titers, SARS-CoV-2/HAdV-5, lgTCID50/mL | Viral RNA/DNA load according to dPCR, SARS-CoV-2/HAdV-5, lg genome copies/mL |
| 24 h | 4.7 ± 0.3 | 7.6 ± 0.4 | <1.0 | <2.0 | 4.9 ± 0.3 n/<1.0 n | 7.9 ± 0.3 n/<2.0 n |
| 48 h | 6.8 ± 0.4 | 8.8 ± 0.3 | 3.8 ± 0.3 | 6.3 ± 0.2 | 6.7 ± 0.4 n/2.4 ± 0.3 * | 8.2 ± 0.3 n/3.8 ± 0.3 * |
| 72 h | 5.6 ± 0.3 | 6.9 ± 0.2 | 4.8 ± 0.4 | 6.9 ± 0.3 | 5.3 ± 0.3 n/2.2 ± 0.2 * | 6.5 ± 0.3 n/3.7 ± 0.2 * |
| (B) | ||||||
| Time Postinfection with SARS-CoV-2 | Viral titers (SARS-CoV-2/HAdV-5), lgTCID50/mL | Viral RNA/DNA load according to dPCR (SARS-CoV-2/HAdV-5), lg genome copies/mL | Viral titers (SARS-CoV-2), lgTCID50/mL | Viral RNA load by dPCR (SARS-CoV-2), lg genome copies/mL | ||
| HAdV-5 preinfection-24 h-SARS-CoV-2 infection | Mock preinfection-24 h-SARS-CoV-2 infection | |||||
| 24 h | 5.0 ± 0.3 n/2.9 ± 0.2 | 7.9 ± 0.3 n/5.1 ± 0.2 | 5.2 ± 0.4 | 7.7 ± 0.3 | ||
| 48 h | 7.1 ± 0.4 n/3.9 ± 0.4 | 8.9 ± 0.4 n/6.1 ± 0.3 | 7.0 ± 0.4 | 8.7 ± 0.4 | ||
| 72 h | 5.5 ± 0.3 n/4.7 ± 0.3 | 7.4 ± 0.3 n/6.2 ± 0.2 | 5.7 ± 0.3 | 6.7 ± 0.2 | ||
| HAdV-5 preinfection-72 h-SARS-CoV-2 infection | Mock preinfection-72 h-SARS-CoV-2 infection | |||||
| 24 h | 5.1 ± 0.3 n/7.2 ± 0.4 | 7.6 ± 0.2 n/7.9 ± 0.3 | 5.3 ± 0.3 | 7.3 ± 0.3 | ||
| 48 h | 6.7 ± 0,4 n/7.2 ± 0,4 | 8.6 ± 0.3 n/8.4 ± 0.4 | 6.9 ± 0.4 | 8.8 ± 0.3 | ||
| 72 h | 5.2 ± 0.3 n/7.4 ± 0.3 | 7.2 ± 0.2 n/8.1 ± 0.3 | 5.3 ± 0.3 | 7.1 ± 0.2 | ||
Disclaimer/Publisher’s Note: The statements, opinions and data contained in all publications are solely those of the individual author(s) and contributor(s) and not of MDPI and/or the editor(s). MDPI and/or the editor(s) disclaim responsibility for any injury to people or property resulting from any ideas, methods, instructions or products referred to in the content. |
© 2023 by the authors. Licensee MDPI, Basel, Switzerland. This article is an open access article distributed under the terms and conditions of the Creative Commons Attribution (CC BY) license (https://creativecommons.org/licenses/by/4.0/).
Share and Cite
Svyatchenko, V.A.; Ternovoi, V.A.; Lutkovskiy, R.Y.; Protopopova, E.V.; Gudymo, A.S.; Danilchenko, N.V.; Susloparov, I.M.; Kolosova, N.P.; Ryzhikov, A.B.; Taranov, O.S.; et al. Human Adenovirus and Influenza A Virus Exacerbate SARS-CoV-2 Infection in Animal Models. Microorganisms 2023, 11, 180. https://doi.org/10.3390/microorganisms11010180
Svyatchenko VA, Ternovoi VA, Lutkovskiy RY, Protopopova EV, Gudymo AS, Danilchenko NV, Susloparov IM, Kolosova NP, Ryzhikov AB, Taranov OS, et al. Human Adenovirus and Influenza A Virus Exacerbate SARS-CoV-2 Infection in Animal Models. Microorganisms. 2023; 11(1):180. https://doi.org/10.3390/microorganisms11010180
Chicago/Turabian StyleSvyatchenko, Victor A., Vladimir A. Ternovoi, Roman Y. Lutkovskiy, Elena V. Protopopova, Andrei S. Gudymo, Nataliya V. Danilchenko, Ivan M. Susloparov, Nataliya P. Kolosova, Alexander B. Ryzhikov, Oleg S. Taranov, and et al. 2023. "Human Adenovirus and Influenza A Virus Exacerbate SARS-CoV-2 Infection in Animal Models" Microorganisms 11, no. 1: 180. https://doi.org/10.3390/microorganisms11010180
APA StyleSvyatchenko, V. A., Ternovoi, V. A., Lutkovskiy, R. Y., Protopopova, E. V., Gudymo, A. S., Danilchenko, N. V., Susloparov, I. M., Kolosova, N. P., Ryzhikov, A. B., Taranov, O. S., Omigov, V. V., Gavrilova, E. V., Agafonov, A. P., Maksyutov, R. A., & Loktev, V. B. (2023). Human Adenovirus and Influenza A Virus Exacerbate SARS-CoV-2 Infection in Animal Models. Microorganisms, 11(1), 180. https://doi.org/10.3390/microorganisms11010180

