Multiple Secondary Healthcare-Associated Infections Due to Carbapenem-Resistant Organisms in a Critically Ill COVID-19 Patient on Extensively Prolonged Venovenous Extracorporeal Membrane Oxygenation Support—A Case Report
Abstract
:1. Introduction
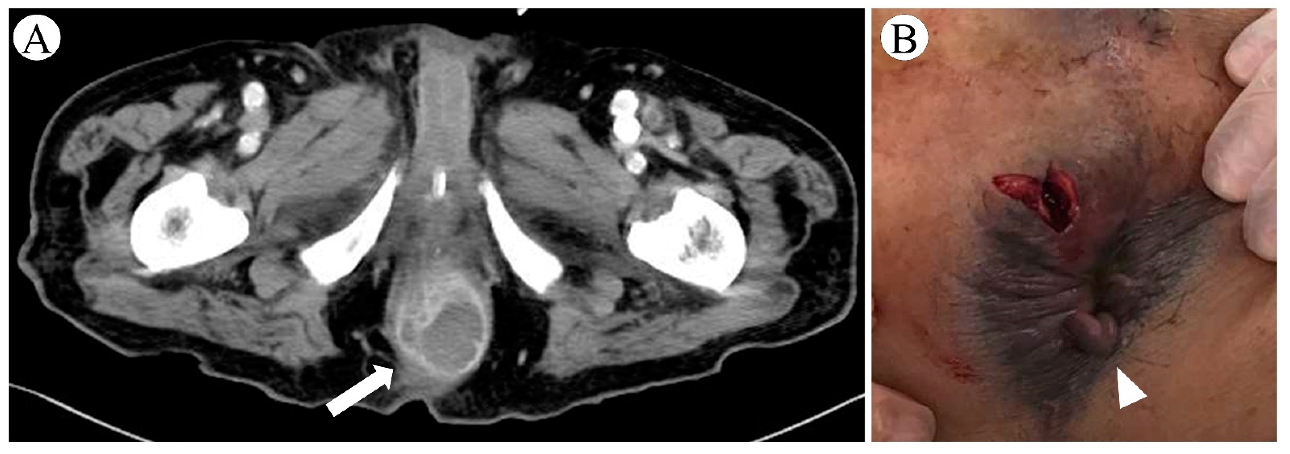
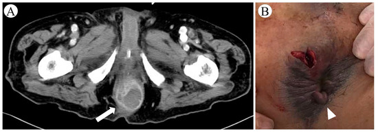
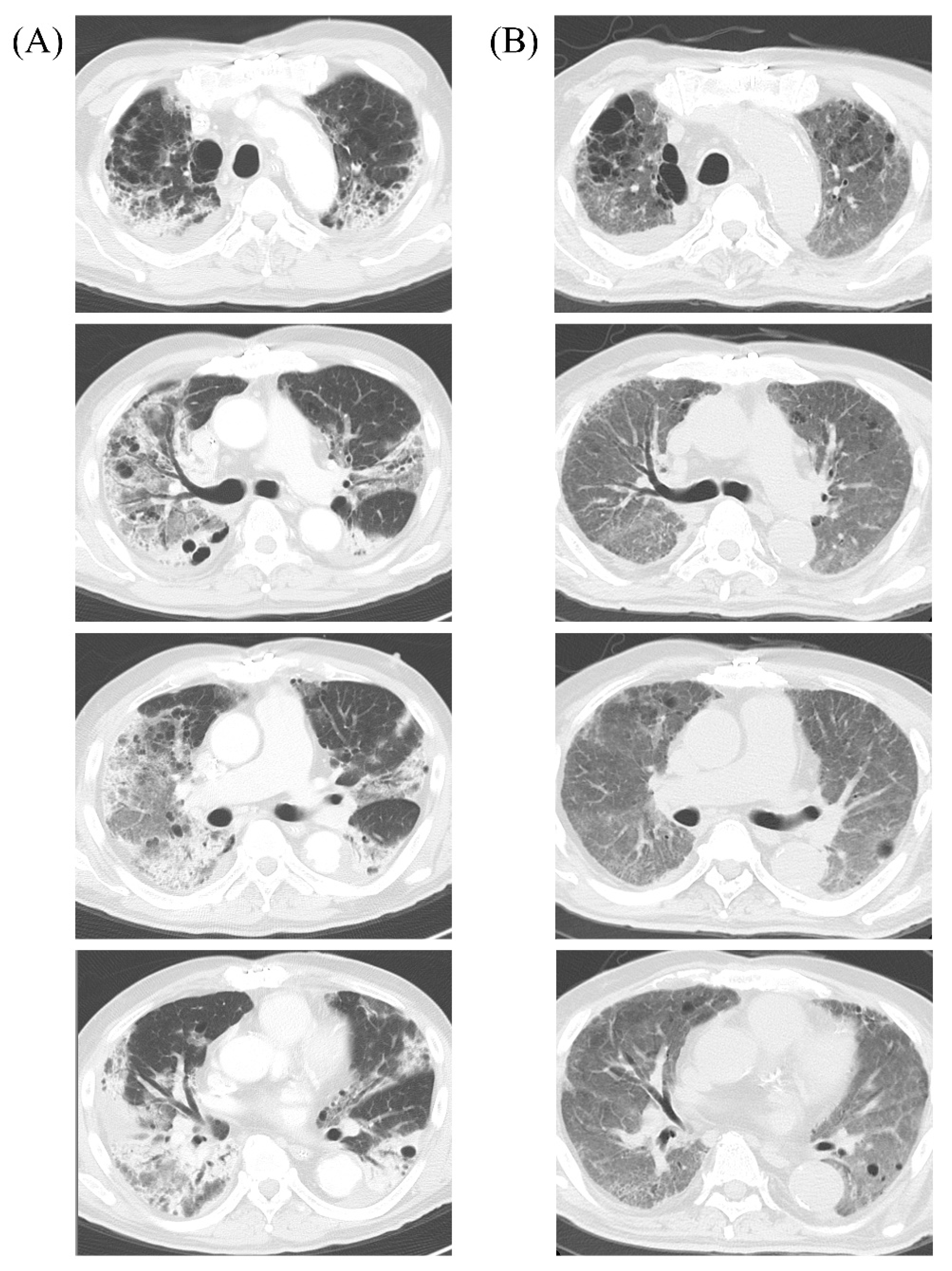
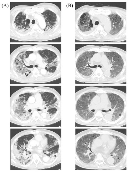
2. Case Presentation
3. Discussion
Supplementary Materials
Author Contributions
Funding
Institutional Review Board Statement
Informed Consent Statement
Data Availability Statement
Acknowledgments
Conflicts of Interest
References
- Dreier, E.; Malfertheiner, M.V.; Dienemann, T.; Fisser, C.; Foltan, M.; Geismann, F.; Graf, B.; Lunz, D.; Maier, L.S.; Müller, T.; et al. ECMO in COVID-19-prolonged therapy needed? A retrospective analysis of outcome and prognostic factors. Perfusion 2021, 36, 582–591. [Google Scholar] [CrossRef] [PubMed]
- Grasselli, G.; Scaravilli, V.; Mangioni, D.; Scudeller, L.; Alagna, L.; Bartoletti, M.; Bellani, G.; Biagioni, E.; Bonfanti, P.; Bottino, N.; et al. Hospital-Acquired Infections in Critically Ill Patients With COVID-19. Chest 2021, 160, 454–465. [Google Scholar] [CrossRef]
- Marcus, J.E.; Sams, V.G.; Barsoumian, A.E. Elevated secondary infection rates in patients with coronavirus disease 2019 (COVID-19) requiring extracorporeal membrane oxygenation. Infect. Control Hosp. Epidemiol. 2021, 42, 770–772. [Google Scholar] [CrossRef] [PubMed]
- Lebeaux, D.; Ghigo, J.M.; Beloin, C. Biofilm-related infections: Bridging the gap between clinical management and fundamental aspects of recalcitrance toward antibiotics. Microbiol. Mol. Biol. Rev. 2014, 78, 510–543. [Google Scholar] [CrossRef] [PubMed] [Green Version]
- Weber, D.J.; Anderson, D.; Rutala, W.A. The role of the surface environment in healthcare-associated infections. Curr. Opin. Infect. Dis. 2013, 26, 338–344. [Google Scholar] [CrossRef] [PubMed]
- Grasselli, G.; Scaravilli, V.; Alagna, L.; Bombino, M.; De Falco, S.; Bandera, A.; Abbruzzese, C.; Patroniti, N.; Gori, A.; Pesenti, A. Gastrointestinal colonization with multidrug-resistant Gram-negative bacteria during extracorporeal membrane oxygenation: Effect on the risk of subsequent infections and impact on patient outcome. Ann. Intensive Care 2019, 9, 141. [Google Scholar] [CrossRef] [Green Version]
- Amiya, S.; Hirata, H.; Shiroyama, T.; Adachi, Y.; Niitsu, T.; Noda, Y.; Enomoto, T.; Hara, R.; Fukushima, K.; Suga, Y.; et al. Fatal cytomegalovirus pneumonia in a critically ill patient with COVID-19. Respirol. Case Rep. 2021, 9, e00801. [Google Scholar] [CrossRef] [PubMed]
- Adachi, Y.; Shiroyama, T.; Yamaguchi, Y.; Murakami, T.; Hirata, H.; Amiya, S.; Niitsu, T.; Noda, Y.; Hara, R.; Enomoto, T.; et al. Predicting recurrence of respiratory failure in critically ill patients with COVID-19: A preliminary study. J. Infect. 2021, 82, e33–e35. [Google Scholar] [CrossRef] [PubMed]
- Steenwyk, J.L.; Mead, M.E.; de Castro, P.A.; Valero, C.; Damasio, A.; Dos Santos, R.A.C.; Labella, A.L.; Li, Y.; Knowles, S.L.; Raja, H.A.; et al. Genomic and Phenotypic Analysis of COVID-19-Associated Pulmonary Aspergillosis Isolates of Aspergillus fumigatus. Microbiol. Spectr. 2021, 9, e0001021. [Google Scholar] [CrossRef] [PubMed]
- Achaiah, N.C.; Ak, A.K. Fever In the Intensive Care Patient. StatPearls 2021. [Google Scholar] [PubMed]
- Abrams, D.; Grasselli, G.; Schmidt, M.; Mueller, T.; Brodie, D. ECLS-associated infections in adults: What we know and what we don’t yet know. Intensiv. Care Med. 2020, 46, 182–191. [Google Scholar] [CrossRef] [PubMed]
- Pieri, M.; Greco, T.; De Bonis, M.; Maj, G.; Fumagalli, L.; Zangrillo, A.; Pappalardo, F. Diagnosis of infection in patients undergoing extracorporeal membrane oxygenation: A case-control study. J. Thoracic. Cardiovasc. Surg. 2012, 143, 1411–1416. [Google Scholar] [CrossRef] [PubMed] [Green Version]
- Sahnan, K.; Adegbola, S.O.; Tozer, P.J.; Watfah, J.; Phillips, R.K. Perianal abscess. BMJ 2017, 356, j475. [Google Scholar] [CrossRef] [PubMed]
- Liu, C.K.; Liu, C.P.; Leung, C.H.; Sun, F.J. Clinical and microbiological analysis of adult perianal abscess. J. Microbiol. Immunol. Infect. 2011, 44, 204–208. [Google Scholar] [CrossRef] [PubMed]
- The Royal College of Surgeons of England. Emergency Surgery: Standards for Unscheduled Surgical Care. 2011. Available online: https://www.rcseng.ac.uk/library-and-publications/rcs-publications/docs/emergency-surgery-standards-for-unscheduled-care/ (accessed on 8 July 2021).
- Rahman, A.; Sathi, N.J. Risk factors of the severity of COVID-19: A meta-analysis. Int. J. Clin. Pract. 2020, 75, e13916. [Google Scholar] [CrossRef]
- Lohsiriwat, V. Anorectal emergencies. World J. Gastroenterol. 2016, 22, 5867–5878. [Google Scholar] [CrossRef] [PubMed]
- Fitzgerald, A.L.; Vachharajani, H.H.; Davidson, B.P.; Kruit, N.J.; Eslick, A.T. The Prolonged Use of VV ECMO Support in COVID-19: A Case Report. J. Crit. Care Med. 2020, 6, 224–230. [Google Scholar] [CrossRef]
- Biffi, S.; Di Bella, S.; Scaravilli, V.; Peri, A.M.; Grasselli, G.; Alagna, L.; Pesenti, A.; Gori, A. Infections during extracorporeal membrane oxygenation: Epidemiology, risk factors, pathogenesis and prevention. Int. J. Antimicrob. Agents 2017, 50, 9–16. [Google Scholar] [CrossRef]
- Thomas, G.; Hraiech, S.; Cassir, N.; Lehingue, S.; Rambaud, R.; Wiramus, S.; Guervilly, C.; Klasen, F.; Adda, M.; Dizier, S.; et al. Venovenous extracorporeal membrane oxygenation devices-related colonisations and infections. Ann. Intensiv. Care 2017, 7, 111. [Google Scholar] [CrossRef] [PubMed]
- Müller, T.; Lubnow, M.; Philipp, A.; Schneider-Brachert, W.; Camboni, D.; Schmid, C.; Lehle, K. Risk of circuit infection in septic patients on extracorporeal membrane oxygenation: A preliminary study. Artif. Organs 2011, 35, E84–E90. [Google Scholar] [CrossRef]
- Cheng, V.; Abdul-Aziz, M.H.; Roberts, J.A.; Shekar, K. Optimising drug dosing in patients receiving extracorporeal membrane oxygenation. J. Thoracic. Dis. 2018, 10, S629–S641. [Google Scholar] [CrossRef] [PubMed]
- Steffens, N.A.; Zimmermann, E.S.; Nichelle, S.M.; Brucker, N. Meropenem use and therapeutic drug monitoring in clinical practice: A literature review. J. Clin. Pharm. Ther. 2021, 46, 610–621. [Google Scholar] [CrossRef]
- Tamma, P.D.; Bonomo, R.A.; Mathers, A.J.; van Duin, D.; Clancy, C.J.; Infectious Diseases Society of America Antimicrobial-Resistant Treatment Guidance: Gram-Negative Bacterial Infections. Infectious Diseases Society of America 2020; Version 1.0. Available online: https://www.idsociety.org/practice-guideline/amr-guidance/ (accessed on 18 December 2021).
- Tamma, P.D.; Cosgrove, S.E.; Maragakis, L.L. Combination therapy for treatment of infections with gram-negative bacteria. Clin. Microbiol. Rev. 2012, 25, 450–470. [Google Scholar] [CrossRef] [PubMed] [Green Version]
- Czarska-Thorley, D. Global Recall: Zerbaxa (Ceftolozane/Tazobactam) 1 g/0.5 g Powder for Concentrate Solution Infusion. Available online: https://www.ema.europa.eu/en/medicines/dhpc/global-recall-zerbaxa-ceftolozane-tazobactam-1-g05-g-powder-concentrate-solution-infusion (accessed on 13 December 2021).
- Xu, F.; He, L.L.; Che, L.Q.; Li, W.; Ying, S.M.; Chen, Z.H.; Shen, H.H. Aerosolized antibiotics for ventilator-associated pneumonia: A pairwise and Bayesian network meta-analysis. Crit. Care 2018, 22, 301. [Google Scholar] [CrossRef] [PubMed] [Green Version]
- Bentivegna, E.; Luciani, M.; Arcari, L.; Santino, I.; Simmaco, M.; Martelletti, P. Reduction of Multidrug-Resistant (MDR) Bacterial Infections during the COVID-19 Pandemic: A Retrospective Study. Int. J. Environ. Res. Public Health 2021, 18, 1003. [Google Scholar] [CrossRef] [PubMed]
- Bentivegna, E.; Alessio, G.; Spuntarelli, V.; Luciani, M.; Santino, I.; Simmaco, M.; Martelletti, P. Impact of COVID-19 prevention measures on risk of health care-associated Clostridium difficile infection. Am. J. Infect. Control 2021, 49, 640–642. [Google Scholar] [CrossRef] [PubMed]



| MIC Value (µg/mL) and Interpretation | ||||||
|---|---|---|---|---|---|---|
| Organism | Klebsiella aerogenes (KE-1) | Klebsiella aerogenes (KE-2) | Citrobacter koseri | Pseudomonas aeruginosa | MDRP | |
| Source | Blood | Drainage Culture | Sputum | Sputum | Sputum | |
| Antibiotics | Ampicillin | >16 R | >16 R | >16 R | ||
| Ampicillin-sulbactum | >16 R | >16 R | ≤4 S | |||
| Amoxicillin-clavulanate | >16 R | >16 R | ≤8 S | |||
| Piperacillin | 16 S | 64 I | >64 R | 16 S | 32 I | |
| Piperacillin-tazobactam | 8 S | 16 S | 8 S | 8 S | 32 I | |
| Cefazolin | >16 R | >16 R | ≤1 S | |||
| Cefmetazole | >32 R | >32 R | ≤4 S | |||
| Ceftriaxone | ≤0.5 S | >2 R | ≤0.5 S | |||
| Ceftazidime | >8 R | >8 R | ≤1 S | 4 S | >16 R | |
| Cefepime | ≤1 S | 8 S | ≤1 S | 8 S | >16 R | |
| Imipenem | 2 I | >2 R | ≤0.5 S | 1 S | >8 R | |
| Meropenem | ≤0.25 S | >2 R | ≤0.25 S | ≤0.5 S | >8 R | |
| Aztreonam | ≤1 S | >8 R | ≤1 S | >16 R | >16 R | |
| Amikacin | ≤8 S | ≤8 S | ≤8 S | ≤4 S | 32 I | |
| Gentamicin | ≤2 S | ≤2 S | ≤2 S | 2 S | 8 I | |
| Tobracin | ≤1 S | 4 S | ||||
| Minocycline | >8 R | >8 R | 4 S | |||
| Ciprofloxacin | <0.25 S | >2 R | <0.5 S | 0.5 S | >4 R | |
| Levofloxacin | 1 S | >4 R | ≤0.12 S | 2 S | >8 R | |
| Fosfomycin | ≤4 S | >16 R | ≤4 S | >16 R | >16 R | |
| Trimethoprim-sulfamethoxazole | ≤40 S | ≤40 S | ≤40 S | |||
Publisher’s Note: MDPI stays neutral with regard to jurisdictional claims in published maps and institutional affiliations. |
© 2021 by the authors. Licensee MDPI, Basel, Switzerland. This article is an open access article distributed under the terms and conditions of the Creative Commons Attribution (CC BY) license (https://creativecommons.org/licenses/by/4.0/).
Share and Cite
Baba, H.; Kanamori, H.; Seike, I.; Niitsuma-Sugaya, I.; Takei, K.; Oshima, K.; Iwasaki, Y.; Ogata, Y.; Nishimaki, H.; Konno, D.; et al. Multiple Secondary Healthcare-Associated Infections Due to Carbapenem-Resistant Organisms in a Critically Ill COVID-19 Patient on Extensively Prolonged Venovenous Extracorporeal Membrane Oxygenation Support—A Case Report. Microorganisms 2022, 10, 19. https://doi.org/10.3390/microorganisms10010019
Baba H, Kanamori H, Seike I, Niitsuma-Sugaya I, Takei K, Oshima K, Iwasaki Y, Ogata Y, Nishimaki H, Konno D, et al. Multiple Secondary Healthcare-Associated Infections Due to Carbapenem-Resistant Organisms in a Critically Ill COVID-19 Patient on Extensively Prolonged Venovenous Extracorporeal Membrane Oxygenation Support—A Case Report. Microorganisms. 2022; 10(1):19. https://doi.org/10.3390/microorganisms10010019
Chicago/Turabian StyleBaba, Hiroaki, Hajime Kanamori, Issei Seike, Ikumi Niitsuma-Sugaya, Kentaro Takei, Kengo Oshima, Yudai Iwasaki, Yuko Ogata, Hirona Nishimaki, Daisuke Konno, and et al. 2022. "Multiple Secondary Healthcare-Associated Infections Due to Carbapenem-Resistant Organisms in a Critically Ill COVID-19 Patient on Extensively Prolonged Venovenous Extracorporeal Membrane Oxygenation Support—A Case Report" Microorganisms 10, no. 1: 19. https://doi.org/10.3390/microorganisms10010019
APA StyleBaba, H., Kanamori, H., Seike, I., Niitsuma-Sugaya, I., Takei, K., Oshima, K., Iwasaki, Y., Ogata, Y., Nishimaki, H., Konno, D., Shiga, T., Saito, K., Tokuda, K., & Aoyagi, T. (2022). Multiple Secondary Healthcare-Associated Infections Due to Carbapenem-Resistant Organisms in a Critically Ill COVID-19 Patient on Extensively Prolonged Venovenous Extracorporeal Membrane Oxygenation Support—A Case Report. Microorganisms, 10(1), 19. https://doi.org/10.3390/microorganisms10010019

