Susceptibility of Avian Species to Brucella Infection: A Hypothesis-Driven Study
Abstract
1. Introduction
2. Serological Evidence of Brucellosis in Birds
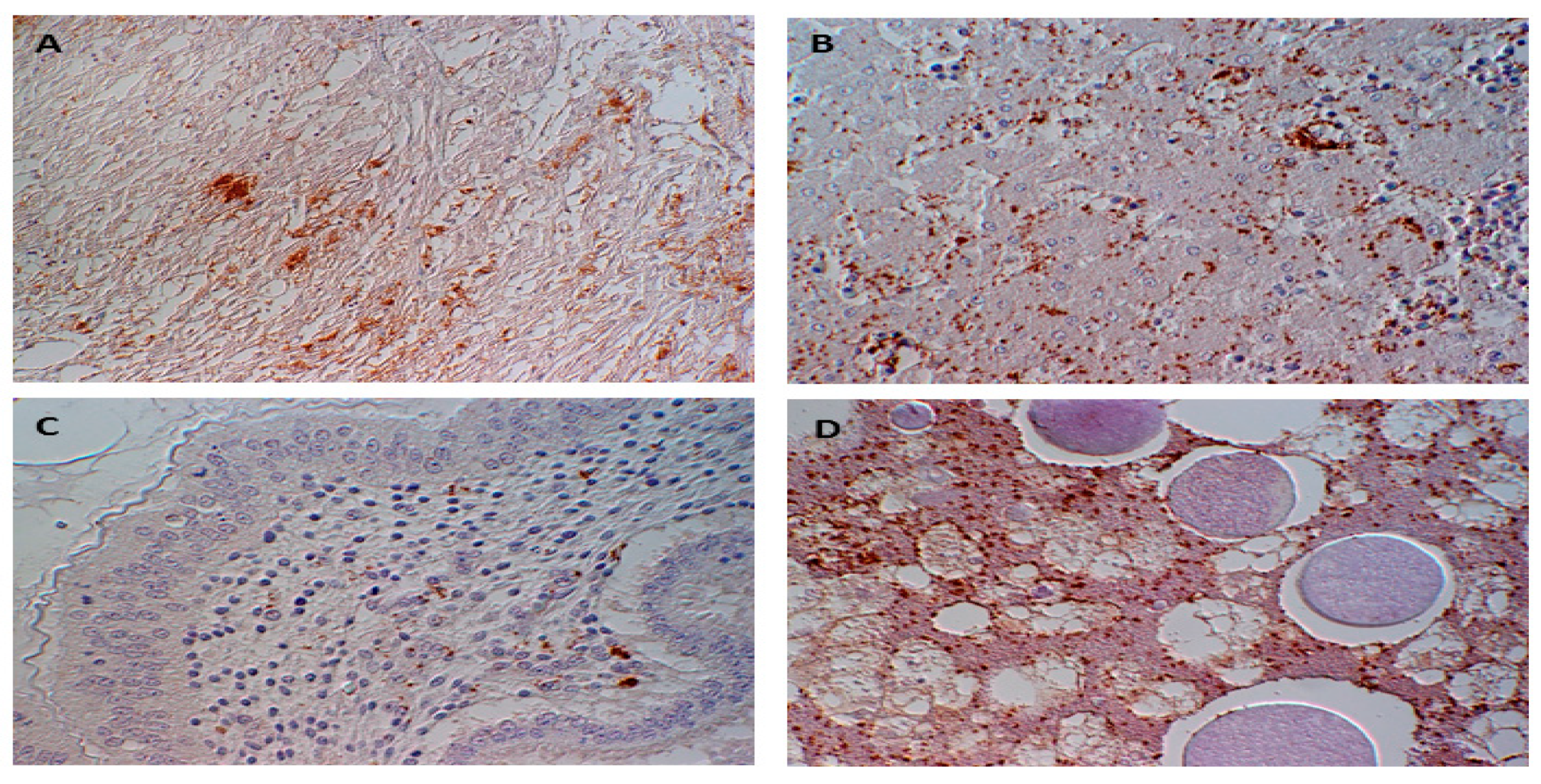
3. Experimental Inoculation of Chicken Embryos with Brucellae
4. Experimental Infection of Adult Birds with Brucellae
5. In Vitro Infection of Chicken Macrophages with Brucellae
6. Conclusions
Author Contributions
Funding
Acknowledgments
Conflicts of Interest
References
- Corbel, M.G.; Banai, M. Bergey’s Manual of Systematics of Archaea and Bacteria; John Wiley & Sons, Inc.: Hoboken, NJ, USA, 2015; pp. 1–3. [Google Scholar] [CrossRef]
- Foster, G.; Osterman, B.S.; Godfroid, J.; Jacques, I.; Cloeckaert, A. Brucella ceti sp. nov. and Brucella pinnipedialis sp. nov. for Brucella strains with cetaceans and seals as their preferred hosts. Int. J. Syst. Evol. Microbiol. 2007, 57, 2688–2693. [Google Scholar] [CrossRef]
- Scholz, H.C.; Hubalek, Z.; Sedláček, I.; Vergnaud, G.; Tomaso, H.; Al Dahouk, S.; Melzer, F.; Kampfer, P.; Neubauer, H.; Cloeckaert, A.; et al. Brucella microti sp. nov., isolated from the common vole Microtus arvalis. Int. J. Syst. Evol. Microbiol. 2008, 58, 375–382. [Google Scholar] [CrossRef]
- Scholz, H.; Nockler, K.; Gollner, C. Brucella inopinata sp. nov., isolated from a breast implant infection. Int. J. Syst. Evol. Microbiol. 2010, 60, 801–808. [Google Scholar] [CrossRef]
- Whatmore, A.M.; Davison, N.; Cloeckaert, A.; Al Dahouk, S.; Zygmunt, M.S.; Brew, S.D.; Perrett, L.L.; Koylass, M.S.; Vergnaud, G.; Quance, C.; et al. Brucella papionis sp. nov., isolated from baboons (Papio spp.). Int. J. Syst. Evol. Microbiol. 2014, 64, 4120–4128. [Google Scholar] [CrossRef]
- Scholz, H.C.; Revilla-Fernández, S.; Al Dahouk, S.; Hammerl, J.A.; Zygmunt, M.S.; Cloeckaert, A.; Koylass, M.; Whatmore, A.M.; Blom, J.; Vergnaud, G.; et al. Brucella vulpis sp. nov., isolated from mandibular lymph nodes of red foxes (Vulpes vulpes). Int. J. Syst. Evol. Microbiol. 2016, 66, 2090–2098. [Google Scholar] [CrossRef]
- Martirosyan, A.; Moreno, E.; Gorvel, J.-P. An evolutionary strategy for a stealthy intracellular Brucella pathogen. Immunol. Rev. 2011, 240, 211–234. [Google Scholar] [CrossRef]
- Poester, F.; Samartino, L.; Santos, R. Pathogenesis and pathobiology of brucellosis in livestock. Rev. Sci. Et Tech. De L’OIE 2013, 32, 105–115. [Google Scholar] [CrossRef]
- De Figueiredo, P.; Ficht, T.A.; Rice-Ficht, A.; Rossetti, C.A.; Adams, L.G. Pathogenesis and immunobiology of brucellosis: Review of Brucella-host interactions. Am. J. Pathol. 2015, 185, 1505–1517. [Google Scholar] [CrossRef]
- Tuon, F.F.; Gondolfo, R.B.; Cerchiari, N. Human-to-human transmission of Brucella—A systematic review. Trop. Med. Int. Heal. 2017, 22, 539–546. [Google Scholar] [CrossRef]
- Wareth, G.; Hikal, A.; Refai, M.; Melzer, F.; Roesler, U.; Neubauer, H. Animal brucellosis in Egypt. J. Infect. Dev. Ctries. 2014, 8, 1365–1373. [Google Scholar] [CrossRef]
- El-Tras, W.F.; Tayel, A.A.; Eltholth, M.M.; Guitian, J. Brucella infection in fresh water fish: Evidence for natural infection of Nile catfish, Clarias gariepinus, with Brucella melitensis. Veter. Microbiol. 2010, 141, 321–325. [Google Scholar] [CrossRef]
- Wareth, G.; Melzer, F.; El-Diasty, M.; Schmoock, G.; Elbauomy, E.; Abdel-Hamid, N.; Sayour, A.; Neubauer, H. Isolation of Brucella abortus from a Dog and a Cat Confirms their Biological Role in Re-emergence and Dissemination of Bovine Brucellosis on Dairy Farms. Transbound. Emerg. Dis. 2017, 64, e27–e30. [Google Scholar] [CrossRef]
- Jaÿ, M.; Freddi, L.; Mick, V.; Durand, B.; Girault, G.; Perrot, L.; Taunay, B.; Vuilmet, T.; Azam, D.; Ponsart, C.; et al. Brucella microti-like prevalence in French farms producing frogs. Transbound. Emerg. Dis. 2019. [Google Scholar] [CrossRef]
- Jaý, M.; Girault, G.; Perrot, L.; Taunay, B.; Vuilmet, T.; Rossignol, F.; Pitel, P.-H.; Picard, E.; Ponsart, C.; Mick, V. Phenotypic and Molecular Characterization of Brucella microti-Like Bacteria From a Domestic Marsh Frog (Pelophylax ridibundus). Front. Veter. Sci. 2018, 5. [Google Scholar] [CrossRef]
- Helmick, K.E.; Garner, M.M.; Rhyan, J.; Bradway, D. Clinicopathologic Features Of Infection With Novel Brucella Organisms In Captive Waxy Tree Frogs (Phyllomedusa Sauvagii) And Colorado River Toads (Incilius Alvarius). Journal Zoo Wildl. Med. 2018, 49, 153–161. [Google Scholar] [CrossRef]
- Kimura, M.; Une, Y.; Suzuki, M.; Park, E.-S.; Imaoka, K.; Morikawa, S. Isolation ofBrucella inopinata-Like Bacteria from White’s and Denny’s Tree Frogs. Vector-Borne Zoonotic Dis. 2017, 17, 297–302. [Google Scholar] [CrossRef]
- Eisenberg, T.; Risse, K.; Schauerte, N.; Geiger, C.; Blom, J.; Scholz, H.C. Isolation of a novel ’atypical’ Brucella strain from a bluespotted ribbontail ray (Taeniura lymma). Antonie Van Leeuwenhoek 2017, 110, 221–234. [Google Scholar] [CrossRef]
- Zheludkov, M.M.; Tsirelson, L.E. Reservoirs of Brucella infection in nature. Boil. Bull. 2010, 37, 709–715. [Google Scholar] [CrossRef]
- Ali, S.; Saleem, S.; Imran, M.; Rizwan, M.; Iqbal, K.; Qadir, G.; Ahmad, H.; Umar, S.; Khan, W.A.; Khan, I.; et al. Detection of Brucella antibodies in selected wild animals and avian species in Pakistan. Indian J. Anim. Res. 2018. [Google Scholar] [CrossRef]
- Alaga, A.A.; Ogah, D.M.; Attah, J. Seroprevalence of Brucellosis in Some Poultry Species in Nasarawa State, Nigeria. Egypt. Poult. Sci. 2012, 32, 705–709. [Google Scholar]
- Junaidu, A.U.; Salihu, M.D.; Ahmed, F.; Ambursa, M.A.; Gulumbe, M.L. Brucellosis in local chickens in North Western Nigeria. Int. J. Poult. Sci. 2006, 5, 547–549. [Google Scholar]
- Mushi, E.Z.; Binta, M.G.; Basupang, K.; Samakabadi, E.K. Brucella abortus antibodies in the sera of indigenous chickens around Gaborone, Botswana. J. Anim. Vet. Adv. 2008, 7, 1610–1612. [Google Scholar]
- Adamu, N.; Adamu, S.; Jajere, M.; Atsanda, N.; Mustapha, F.; Maina, M. Serological Survey of Brucellosis in Slaughtered Local Chickens, Guinea Fowls, Ducks and Turkey in North-Eastern Nigeria. Int. J. Poult. Sci. 2014, 13, 340–342. [Google Scholar] [CrossRef][Green Version]
- Gugon, V.T.; Maurice, N.A.; Ngbede, E.O.; Hambolu, S.E.; Ajogi, I. Serological Evidence of Brucellosis in Local Chickens in Kaduna State, Nigeria. J. Anim. Veter. Adv. 2012, 11, 418–420. [Google Scholar]
- Tsiodras, S.; Kelesidis, T.; Kelesidis, I.; Bauchinger, U.; Falagas, M.E. Human infections associated with wild birds. J. Infect. 2008, 56, 83–98. [Google Scholar] [CrossRef]
- Foti, M.; Rinaldo, D.; Guercio, A.; Giacopello, C.; Aleo, A.; De Leo, F.; Fisichella, V.; Mammina, C. Pathogenic microorganisms carried by migratory birds passing through the territory of the island of Ustica, Sicily (Italy). Avian Pathol. 2011, 40, 405–409. [Google Scholar] [CrossRef]
- Najdenski, H.; Dimova, T.; Zaharieva, M.M.; Nikolov, B.P.; Petrova-Dinkova, G.; Dalakchieva, S.; Popov, K.S.; Hristova-Nikolova, I.P.; Zehtindjiev, P.; Peev, S.G.; et al. Migratory birds along the Mediterranean – Black Sea Flyway as carriers of zoonotic pathogens. Can. J. Microbiol. 2018, 64, 915–924. [Google Scholar] [CrossRef]
- Al Dahouk, S.; Nöckler, K.; Scholz, H.C.; Tomaso, H.; Bogumil, R.; Neubauer, H. Immunoproteomic characterization of Brucella abortus 1119-3 preparations used for the serodiagnosis of Brucella infections. J. Immunol. Methods 2006, 309, 34–47. [Google Scholar] [CrossRef]
- Pulido-Camarillo, E.; Martínez-Herrera, D.I.; Pardío-Sedas, V.T.; López-Merino, A.; Morales-Álvarez, J.F.; Ramírez-Mendoza, H.; Rivera-Benítez, F.; Padrón-Tello, O.; Peniche-Cardeña, Á.E.d.J.; Flores-Castro, R. Histopathologic Effect Of Brucella Abortus On Chicken Embryos Inoculated With Milk From Seropositive Cows. Trop. Subtrop. Agroecosyst. 2011, 13, 561–566. [Google Scholar]
- Detilleux, P.G.; Cheville, N.F.; DeYoe, B.L. Pathogenesis of Brucella abortus in Chicken Embryos. Vet. Pathol. 1988, 25, 138–146. [Google Scholar] [CrossRef]
- Wareth, G.; Böttcher, D.; Melzer, F.; Shehata, A.A.; Roesler, U.; Neubauer, H.; Schoon, H.-A. Experimental infection of chicken embryos with recently described Brucella microti: Pathogenicity and pathological findings. Comp. Immunol. Microbiol. Infect. Dis. 2015, 41, 28–34. [Google Scholar] [CrossRef] [PubMed]
- Abdallah, I.S.; Salem, A.A.; Zafer, A.S.; Al-Omran, A.H. Experimental studies on brucellosis in chickens. Dev. Boil. Stand. 1984, 56, 711–718. [Google Scholar]
- Kumar, S.; Kulshrestha, R.C.; Bhatia, K.C.; Kaushik, R.K. Brucellosis in poultry—An experimental study. Int. J. Zoonoses 1984, 11, 133–138. [Google Scholar] [PubMed]
- Montiel, D.O.; Frankena, K.; Udo, H.; Baer, N.M.K.; Van Der Zijpp, A. Prevalence and risk factors for brucellosis in goats in areas of Mexico with and without brucellosis control campaign. Trop. Anim. Heal. Prod. 2013, 45, 1383–1389. [Google Scholar] [CrossRef] [PubMed]
- Gilman, H.; Brunett, E. Bact. abortus infection in the fowl. Cornell Vet. 1930, 20, 371–377. [Google Scholar]
- McNutt, S.; Purwin, P. The effect of the Brucella group of micro-organisms on chickens. J. Am. Vet. Med Assoc. 1930, 77, 350–353. [Google Scholar]
- Felsenfeld, O.; Young, V.M.; Loeffler, E.; Ishihara, S.J.; Schroeder, W.F. A study of the nature of brucellosis in chickens. Am. J. Veter. Res. 1951, 12, 48–54. [Google Scholar]
- Angus, R.D.; Brown, G.M.; Gue, C.S. Avian brucellosis: A case report of natural transmission from cattle. Am. J. Veter. Res. 1971, 32, 1609–1612. [Google Scholar]
- Stephen, S.; Indrani, R.; Chandrashekara, I.; Rao, K.N. Brucellosis in fowls—A preliminary communication. Indian J. Med Res. 1978, 68, 738–740. [Google Scholar]
- MacDiarmid, S.C. Scavenging birds may be agents for brucellosis spread. Surveillance 1983, 10, 3–4. [Google Scholar]
- Karponi, G.; Kritas, S.K.; Papanikolaou, E.; Petridou, E. A Cellular Model of Infection with Brucella melitensis in Ovine Macrophages: Novel Insights for Intracellular Bacterial Detection. Veter. Sci. 2019, 6, 71. [Google Scholar] [CrossRef] [PubMed]
- Głowacka, P.; Żakowska, D.; Naylor, K.; Niemcewicz, M.; Bielawska-Drózd, A. Brucella-Virulence Factors, Pathogenesis and Treatment. Pol. J. Microbiol. 2018, 67, 151–161. [Google Scholar] [CrossRef] [PubMed]
- He, Y. Analyses of Brucella Pathogenesis, Host Immunity, and Vaccine Targets using Systems Biology and Bioinformatics. Front. Microbiol. 2012, 2, 2. [Google Scholar] [CrossRef]
- Elfaki, M.G.; Alaidan, A.A.; Al-Hokail, A.A. Host response to Brucella infection: Review and future perspective. J. Infect. Dev. Ctries. 2015, 9, 697–701. [Google Scholar] [CrossRef] [PubMed]
- Arayan, L.T.; Reyes, A.W.B.; Hop, H.T.; Xuan, H.T.; Baek, E.J.; Min, W.; Kim, S. The Bactericidal Effect of High Temperature Is an Essential Resistance Mechanism of Chicken Macrophage against Brucella abortus Infection. J. Microbiol. Biotechnol. 2017, 27, 1837–1843. [Google Scholar] [CrossRef] [PubMed]



| Bird species | Country | Number | Method | Positive | Yr. of Report | References |
|---|---|---|---|---|---|---|
| Turkey, Peafowl, Guinea Fowl, Mallard Ducks, and Indian Blue Rock Pigeon | Pakistan | 79 | RBT | 2.5% | Ali et al., 2018 | [20] |
| Local Chickens | Nigeria | 556 | RBT a/MAT b | 1.8%/2.3% | Adamu et al., 2014 | [24] |
| Guinea Fowl | Nigeria | 84 | RBT/MAT | 7.1%/9.5% | Adamu et al., 2014 | [24] |
| Ducks | Nigeria | 50 | RBT/MAT | 5%/6% | Adamu et al., 2014 | [24] |
| Turkey | Nigeria | 40 | RBT/MAT | - | Adamu et al., 2014 | [24] |
| Pigeons | Nigeria | 355 | RBT | 2.8% | Alaga et al., 2012 | [21] |
| Chickens | Nigeria | 510 | RBT | 2.3% | Alaga et al., 2012 | [21] |
| Ducks | Nigeria | 255 | RBT | 1.9% | Alaga et al., 2012 | [21] |
| Chickens | Nigeria | 150 | RBT | 0.75% | Gugong et al., 2012 | [25] |
| Chickens | Nigeria | 1000 | RBT/SAT c/ELISA d | 2.8%/2.6%/3.0% | Junaidu et al., 2006 | [22] |
| Chickens | Botswana | 220 | RBT/SAT | 0.9% | Mushi et al., 2008 | [23] |
© 2020 by the authors. Licensee MDPI, Basel, Switzerland. This article is an open access article distributed under the terms and conditions of the Creative Commons Attribution (CC BY) license (http://creativecommons.org/licenses/by/4.0/).
Share and Cite
Wareth, G.; Kheimar, A.; Neubauer, H.; Melzer, F. Susceptibility of Avian Species to Brucella Infection: A Hypothesis-Driven Study. Pathogens 2020, 9, 77. https://doi.org/10.3390/pathogens9020077
Wareth G, Kheimar A, Neubauer H, Melzer F. Susceptibility of Avian Species to Brucella Infection: A Hypothesis-Driven Study. Pathogens. 2020; 9(2):77. https://doi.org/10.3390/pathogens9020077
Chicago/Turabian StyleWareth, Gamal, Ahmed Kheimar, Heinrich Neubauer, and Falk Melzer. 2020. "Susceptibility of Avian Species to Brucella Infection: A Hypothesis-Driven Study" Pathogens 9, no. 2: 77. https://doi.org/10.3390/pathogens9020077
APA StyleWareth, G., Kheimar, A., Neubauer, H., & Melzer, F. (2020). Susceptibility of Avian Species to Brucella Infection: A Hypothesis-Driven Study. Pathogens, 9(2), 77. https://doi.org/10.3390/pathogens9020077

