Host Range of the Mikrocytid Parasite Paramikrocytos canceri in Decapod Crustaceans
Abstract
1. Introduction
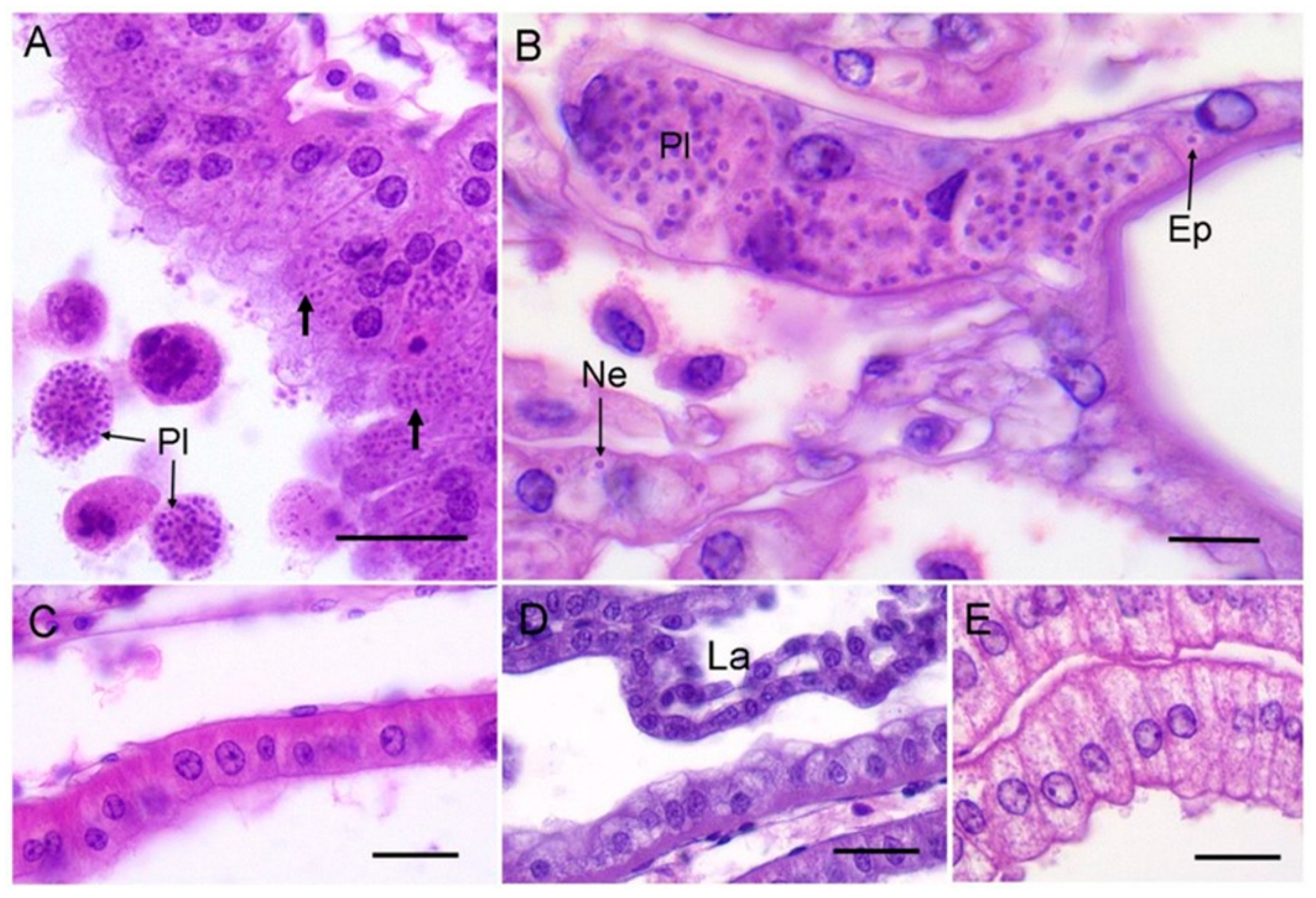
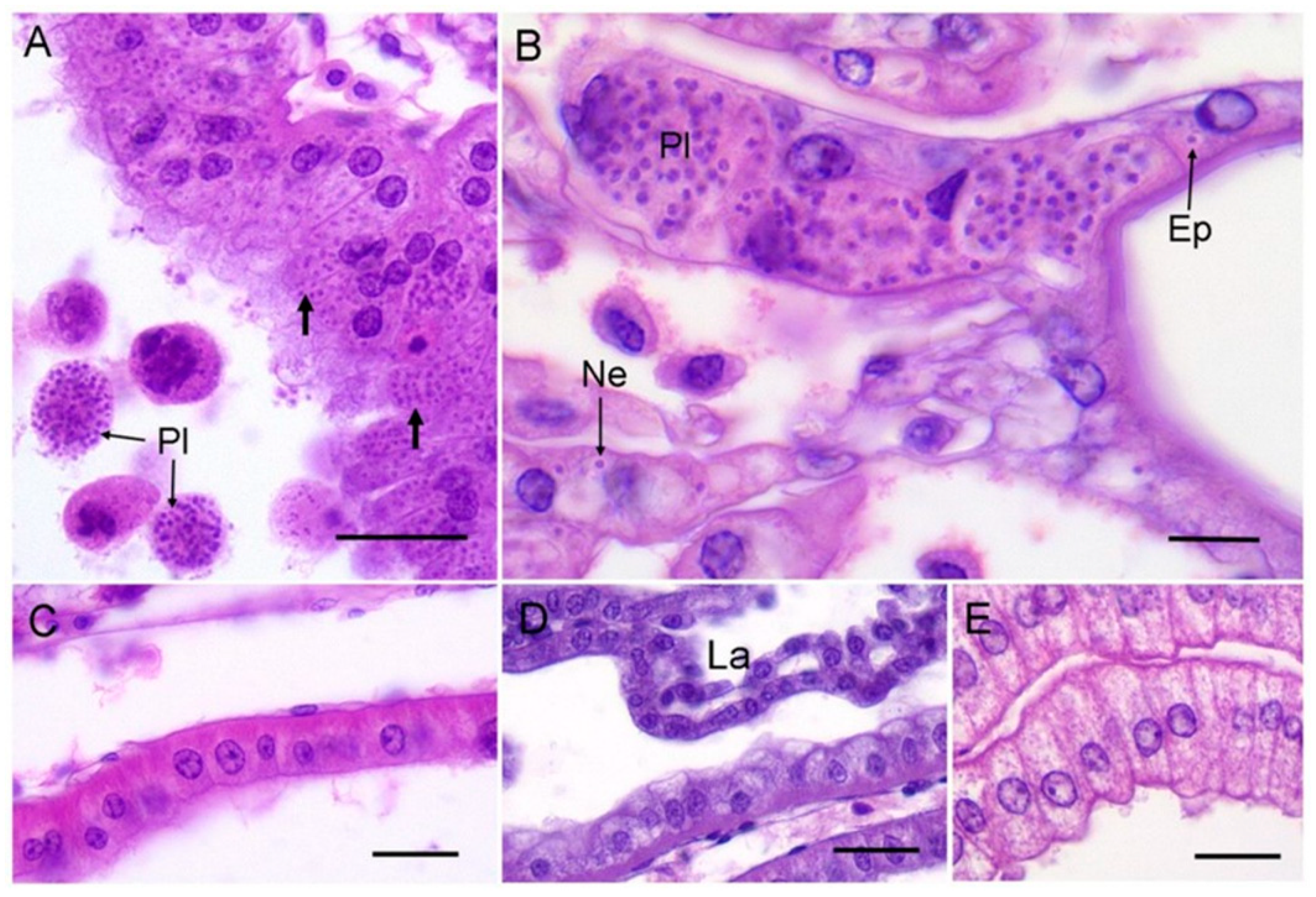
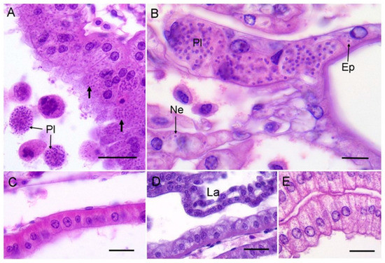
2. Results and Discussion
3. Materials and Methods
3.1. Survey Sites
3.2. Laboratory Procedures
3.3. Data Handling
Author Contributions
Funding
Acknowledgments
Conflicts of Interest
References
- Johnson, L.; Coates, C.J.; Albalat, A.; Todd, K.; Neil, D. Temperature-dependent morbidity of ‘nicked’edible crab. Cancer pagurus. Fish. Res. 2016, 175, 127–131. [Google Scholar] [CrossRef]
- Vogan, C.L.; Llewellyn, P.J.; Rowley, A.F. Epidemiology and dynamics of shell disease in the edible crab Cancer pagurus: A preliminary study of Langland Bay, Swansea, UK. Dis. Aquat. Org. 1999, 35, 81–87. [Google Scholar] [CrossRef]
- Stentiford, G.D.; Green, M.; Bateman, K.; Small, H.J.; Neil, D.M.; Feist, S.W. Infection by a Hematodinium-like parasitic dinoflagellate causes Pink Crab Disease (PCD) in the edible crab Cancer pagurus. J. Invertebr. Pathol. 2002, 79, 179–191. [Google Scholar] [CrossRef]
- Stentiford, G.D.; Evans, M.; Bateman, K.; Feist, S.W. Co-infection by a yeast-like organism in Hematodinium-infected European edible crabs Cancer pagurus and velvet swimming crabs Necora puber from the English Channel. Dis. Aquat. Org. 2003, 54, 195–202. [Google Scholar] [CrossRef] [PubMed]
- Bateman, K.S.; Hicks, R.J.; Stentiford, G.D. Disease profiles differ between non-fished and fished populations of edible crab (Cancer pagurus) from a major commercial fishery. ICES J. Mar. Sci. 2011, 68, 2044–2052. [Google Scholar] [CrossRef]
- Stentiford, G.D. Diseases of the European edible crab (Cancer pagurus): A review. ICES J. Mar. Sci. 2008, 65, 1578–1592. [Google Scholar] [CrossRef]
- Smith, A.L.; Hirschle, L.; Vogan, C.L.; Rowley, A.F. Parasitization of juvenile edible crabs (Cancer pagurus) by the dinoflagellate, Hematodinium sp.: Pathobiology, seasonality and its potential effects on commercial fisheries. Parasitology 2015, 142, 428–438. [Google Scholar] [CrossRef] [PubMed]
- Burki, F.; Corradi, N.; Sierra, R.; Pawlowski, J.; Meyer, G.R.; Abbott, C.L.; Keeling, P.J. Phylogenomics of the intracellular parasite Mikrocytos mackini, reveals evidence for a mitosome in Rhizaria. Curr. Biol. 2013, 23, 1541–1547. [Google Scholar] [CrossRef]
- Abbott, C.L. Evolution: Hidden at the end of a very long branch. Curr. Biol. 2014, 24, 271–273. [Google Scholar] [CrossRef][Green Version]
- Hartikainen, H.; Stentiford, G.D.; Bateman, K.S.; Berney, C.; Feist, S.W.; Longshaw, M.; Okamura, B.; Stone, D.; Ward, G.; Wood, C.; et al. Mikrocytids are a broadly distributed and divergent radiation of parasites in aquatic invertebrates. Curr. Biol. 2014, 24, 807–812. [Google Scholar] [CrossRef]
- Thrupp, T.J.; Lynch, S.A.; Wootton, E.C.; Malham, S.K.; Vogan, C.L.; Culloty, S.C.; Rowley, A.F. Infection of juvenile edible crabs, Cancer pagurus by a haplosporidian-like parasite. J. Invertebr. Pathol. 2013, 114, 92–99. [Google Scholar] [CrossRef]
- Farley, C.A.; Wolf, P.H.; Elston, R.A. A long-term study of ‘microcell’ disease in oysters with a description of a new genus, Mikrocytos (g.n) and two new species, Mikrocytos mackini (sp. n.) and Mikrocytos roughleyi (sp. n.). Fish. Bull. 1988, 86, 581–594. [Google Scholar]
- Ramilo, A.; Iglesias, D.; Abollo, E.; Gonzalez, M.; Darriba, S.; Villalba, A. Infection of Manilla clams Ruditapes philippinarum from Galicia (NW Spain) with a Mikrocytos-like parasite. Dis. Aquat. Org. 2014, 110, 71–79. [Google Scholar] [CrossRef] [PubMed]
- Garcia, C.; Haond, C.; Chollet, B.; Nerac, M.; Omnes, E.; Joly, J.P.; Terre-Terrillon, A. Descriptions of Mikrocytos veneroïdes n. sp. and Mikrocytos donaxi n. sp.(Ascetosporea: Mikrocytida: Mikrocytiidae), detected during important mortality events of the wedge clam Donax trunculus Linnaeus (Veneroida: Donacidae), in France between 2008 and 2011. Parasites Vectors 2018, 11, 119. [Google Scholar] [CrossRef] [PubMed]
- Davies, C.E.; Batista, F.M.; Malkin, S.H.; Thomas, J.E.; Bryan, C.C.; Crocombe, P.; Coates, C.J.; Rowley, A.F. Spatial and temporal disease dynamics of the parasite Hematodinium sp. in shore crabs, Carcinus maenas. Parasites Vectors 2019, 12, 472. [Google Scholar] [CrossRef] [PubMed]
- Thrupp, T.J.; Pope, E.C.; Whitten, M.M.; Bull, J.C.; Wootton, E.C.; Edwards, M.; Vogan, C.L.; Rowley, A.F. Disease profiles of juvenile edible crabs (Cancer pagurus L.) differ at two geographically-close intertidal sites. J. Invertebr. Pathol. 2015, 128, 1–5. [Google Scholar] [CrossRef] [PubMed]
- Rowley, A.F.; Cross, M.E.; Culloty, S.C.; Lynch, S.A.; Mackenzie, C.L.; Morgan, E.; O’Riordan, R.M.; Robins, P.E.; Smith, A.L.; Thrupp, T.J.; et al. The potential impact of climate change on the infectious diseases of commercially important shellfish populations in the Irish Sea—A review. ICES J. Mar. Sci. 2014, 71, 741–759. [Google Scholar] [CrossRef]
- Polinski, M.; Lowe, G.; Meyer, G.; Corbeil, S.; Colling, A.; Caraguel, C.; Abbott, C.L. Molecular detection of Mikrocytos mackini in Pacific oysters using quantitative PCR. Mol. Biochem. Parasitol. 2015, 200, 19–24. [Google Scholar] [CrossRef] [PubMed]
- Polinski, M.P.; Meyer, G.R.; Lowe, G.J.; Abbott, C.L. Seawater detection and biological assessments regarding transmission of the oyster parasite Mikrocytos mackini using qPCR. Dis. Aquat. Org. 2017, 126, 143–153. [Google Scholar] [CrossRef] [PubMed]


| Common Name [Scientific Name] | Freshwater East | Pembroke Ferry | ||||||||
|---|---|---|---|---|---|---|---|---|---|---|
| N | Mean CW (mm) | Size Range of CW (mm) | Sex Ratio (M:F) | Status (Juvenile: Adult) * | N | Mean CW (mm) | Size Range of CW (mm) | Sex Ratio (M:F) | Status (Juvenile: Adult) * | |
| Broad clawed porcelain crab [Porcellana platycheles] | 30 | 8 | 4–10 | 1:2 | 12:18 | 54 | 8 | 4–12 | 1:3.6 | 21:33 |
| Edible (brown) crab [Cancer pagurus] | 45 | 31 | 10–77 | 1:0.2 | 45:0 | 59 | 38 | 14–76 | 1:0.4 | 59:0 |
| Montagu’s crab [Xantho hydrophilus] | 27 | 39 | 21–55 | 1:0.7 | 10:13 | - | - | - | - | - |
| Shore crab [Carcinus maenas] | 32 | 27 | 9–57 | 1:7 | 28:4 | 60 | 23 | 8–65 | 1:29 | 57:3 |
| Velvet swimming crab [Necora puber] | 23 | 27 | 14–53 | 1:7 | 10:13 | - | - | - | - | - |
© 2019 by the authors. Licensee MDPI, Basel, Switzerland. This article is an open access article distributed under the terms and conditions of the Creative Commons Attribution (CC BY) license (http://creativecommons.org/licenses/by/4.0/).
Share and Cite
Edwards, M.; Coates, C.J.; Rowley, A.F. Host Range of the Mikrocytid Parasite Paramikrocytos canceri in Decapod Crustaceans. Pathogens 2019, 8, 252. https://doi.org/10.3390/pathogens8040252
Edwards M, Coates CJ, Rowley AF. Host Range of the Mikrocytid Parasite Paramikrocytos canceri in Decapod Crustaceans. Pathogens. 2019; 8(4):252. https://doi.org/10.3390/pathogens8040252
Chicago/Turabian StyleEdwards, Morgan, Christopher J. Coates, and Andrew F. Rowley. 2019. "Host Range of the Mikrocytid Parasite Paramikrocytos canceri in Decapod Crustaceans" Pathogens 8, no. 4: 252. https://doi.org/10.3390/pathogens8040252
APA StyleEdwards, M., Coates, C. J., & Rowley, A. F. (2019). Host Range of the Mikrocytid Parasite Paramikrocytos canceri in Decapod Crustaceans. Pathogens, 8(4), 252. https://doi.org/10.3390/pathogens8040252

