Next Article in Journal
Helicobacter pylori-induced DNA Methylation as an Epigenetic Modulator of Gastric Cancer: Recent Outcomes and Future Direction
Previous Article in Journal
The Experimental Infections of the Human Isolate of Strongyloides Stercoralis in a Rodent Model (The Mongolian Gerbil, Meriones Unguiculatus)
 
 
Font Type:
Arial Georgia Verdana
Font Size:
Aa Aa Aa
Line Spacing:
Column Width:
Background:
Article

Genome Mining and Comparative Analysis of Streptococcus intermedius Causing Brain Abscess in a Child

1
Department of Natural Sciences, School of Arts and Sciences, Lebanese American University, Byblos 36, Lebanon
2
Department of Neurosurgery, the Middle East Institute of Health University Hospital, Beirut 60-387, Lebanon
3
Laboratory Department, the Middle East Institute of Health University Hospital, Beirut 60-387, Lebanon
*
Author to whom correspondence should be addressed.
Pathogens 2019, 8(1), 22; https://doi.org/10.3390/pathogens8010022
Submission received: 12 December 2018 / Revised: 18 January 2019 / Accepted: 30 January 2019 / Published: 13 February 2019
(This article belongs to the Section Human Pathogens)

Abstract

Streptococcus intermedius (SI) is associated with prolonged hospitalization and low survival rates. The genetic mechanisms involved in brain abscess development and genome evolution in comparison to other members of the Streptococcus anginosus group are understudied. We performed a whole-genome comparative analysis of an SI isolate, LAU_SINT, associated with brain abscess following sinusitis with all SI genomes in addition to S. constellatus and S. anginosus. Selective pressure on virulence factors, phages, pan-genome evolution and single-nucleotide polymorphism analysis were assessed. The structural details of the type seven secretion system (T7SS) was elucidated and compared with different organisms. ily and nanA were both abundant and conserved. Nisin resistance determinants were found in 47% of the isolates. Pan-genome and SNPs-based analysis didn’t reveal significant geo-patterns. Our results showed that two SC isolates were misidentified as SI. We propose the presence of four T7SS modules (I–IV) located on various genomic islands. We detected a variety of factors linked to metal ions binding on the GIs carrying T7SS. This is the first detailed report characterizing the T7SS and its link to nisin resistance and metal ions binding in SI. These and yet uncharacterized T7SS transmembrane proteins merit further studies and could represent potential therapeutic targets.

1. Introduction

Streptococcus intermedius (SI), is a facultatively anaerobic [1], microaerophilic, Gram-positive and beta-hemolytic organism [2], normally inhabiting the flora of oral, oropharyngeal and gastrointestinal tracts [3]. Along with S. anginosus (SA) and S. constellatus (SC), SI is a member of the Streptococcus anginosus Group (SAG). All are characterized by secreting proteolytic enzymes that damage tissues and contribute to abscess formation [4]. Within this family, SI is the most pathogenic as manifested by low survival rates and prolonged hospitalization [5]. Suppurative infections associated with pyrogenic exotoxin production by the SAG family are mainly described in the oral cavity and upper body regions [6]. However, the propensity is higher for SI to cause severe cases of brain and liver abscesses [7], most commonly after teeth manipulation [8]. The mechanism involved in cerebral infection is similar to that of S. pneumoniae [9]. Evasion by SI is also affected by other risk factors such as sinusitis, cyanotic congenital heart disease, otitis media, and dental caries [10].
The severity of SI associated infections is aggravated by the secretion of the human specific intermedilysin (ILY) [6]. Being a cholesterol-dependent cytolysin, ILY binds to the human complement regulator CD59 (hCD59) and as a result is a main virulence factor (VF) in SI [11]. The regulation of ILY production is accomplished by the catabolite control protein A based on the accessibility to nutrients [12]. Moreover, invasion of human cells by SI is possible and controlled by the secretion of a hydrolytic enzyme, hyaluronidase, which facilitates biofilm formation [13]. Pathogenicity is also increased through dynamic proliferation linked to sialidase activity [14], the polysaccharide capsule [15], and expressing antigenic properties such as surface proteins. Surface proteins, such as antigens I/II that bind to proteins of the extracellular matrix, fibronectin, and laminin [16], promote an inflammatory response [17].
With scarce patient data and only 16 genomes identified as SI being available on NCBI, seven of which are complete genomes, the genetic components underlying pathogenicity, the mechanisms involved in brain abscesses development, and genome diversity are not well characterized. In this study, we performed a whole-genome characterization and comparative analysis of LAU_SINT, an SI isolate recovered and linked to brain abscess formation in a 13-year-old boy. We also studied the structural details of the type seven secretion system (T7SS) in SI and related organisms and based on that proposed the presence of four T7SS modules (I–IV) located on various genomic islands (GIs).

Case Presentation

A 13-year-old patient was admitted to the Middle East Institute of Health University Hospital (MEIH) on January 2018 presenting several episodes of helmet headaches decompensated by a resolution of the state of consciousness with an epileptic seizure of grand mal type. Upon admission, blood test results performed on 20 January 2018 revealed signs of an infection characterized by leukocytosis (18,800/mcl) with 81% neutrophils and high C-reactive protein levels (CRP = 427.5 mg/L).
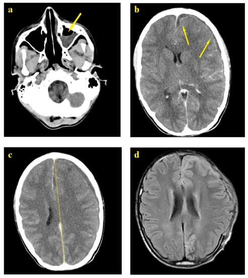
A non-injected brain CT scan on 22 January 2018 revealed the presence of sinusitis and a left holoencephalic millimeter hypodensity attributed, according to the treating specialist, to a thin blade of chronic subdural hematoma with his recommendations to treat it medically and conservatively (Figure 1a).
Despite the antibiotherapy with 1 g of Ceftriaxone IV twice a day through IV, the patient continued to deteriorate neurologically, with crises that became more frequent, a complete resolution of the state of consciousness imposing the need to intubate. A second scan revealed the stability of the subdural collection, but with a huge increase in the underlying edema that extended into the white matter but did not look like a glove. Moreover, a deviation of the median line of more than 1 cm was reported (Figure 1b).
A secondary diagnosis suggested the presence of empyema rather than hematoma. This hypothesis was ignored and conservative treatment was continued until bilateral mydriasis appeared along with abolition of reflex brainstem urging the necessity of a surgical procedure. A decompressive cranectomy with an enlargement duroplasty was performed and revealed a very abundant empyema consisting of encysted thick pus molding the cortical surface, infusing through the cortical sulcus and presenting multiple septa. With no significant complications, the surgery resulted in a complete resolution of mydriasis and restoration of the normal brain color and beating rhythm. No signs of meningitis were further identified in the brain MRI post decompression on 8 February 2018 (Figure 1c,d).
The culture showed growth of a Gram-positive cocci in chains and colonies appeared gamma haemolytic on blood agar. The isolate was catalase negative. It did not agglutinate any Lancefield antigen sera, didn’t grow on bile esculin agar or 6.5% NaCl broth. The Strep API system (bioMerieux, La Balme les Grottes, France) was inconclusive. The result was issued as Viridans Streptococci and was further identified using 16S rRNA sequencing as SI.

2. Results

2.1. Genomic Features

The LAU_SINT draft genome sequence consisted of 1,950,264 bp with 37.7% G+C content distributed in 36 contigs. Annotation of this assembly using RAST identified 1898 coding sequences (CDS), 50 tRNAs, and four rRNAs. Genes linked to carbohydrates (239), protein metabolism (204), amino acids and derivatives (140), and cell wall and capsule (120) were the most abundant among the SEED subsystem categories.
All 17 NCBI available genomes (accessed on 25 October 2018) listed as SI were included in this study (Table 1). Our results showed that 567_SINT and F0395 listed as SI on NCBI, belonged to SC. We additionally confirmed this through chromosomal comparison and whole-genome based single nucleotide polymorphism (wgSNPs) analysis where 567_SINT and F0395 clustered with SC (Figure S1).
The average genome size of the 15 SI genomes was 1,953,043 ± 42,147 bp. The G+C content was highly similar ranging from 37.5% to 37.7%. The isolates had on average 1926 ± 55.8 CDS.

2.2. Resistance Profile

LAU_SINT was susceptible to the 12 tested antibiotics (Table S1). We couldn’t detect any acquired resistance determinant using ResFinder 3.0 [18]. LAU_SINT carried the S. pneumoniae vancomycin tolerance ex123-pep27-vncRS locus, a multidrug resistance efflux pump PmrA, multi-antimicrobial extrusion protein (Na(+)/drug antiporter), and MATE family of MDR efflux pumps. Nisin immunity protein, conferring resistance to nisin, was detected in LAU_SINT and seven of the isolates retrieved from NCBI (47.1%) (30309, 32811, B196, C270, F0413, TYG1620, and 631_SCON).

2.3. cg-SNPs Phylogeny and Recombination

The core genome SNPs based phylogenetic analysis was based on 1,996,214 nucleotides common in the studied isolates and the reference complete genome B196 (CP003857.1). All samples were 82–87% aligned with the reference base pairs, except our isolate LAU_SINT that mapped with 92.33% alignment to the reference and clustered closest with it in the phylogenetic tree (Figure 2).
Clear-cut regions were observed in favor of recombination, with a few isolates sharing of genetic shuffling. TYG1620 was overly distinct in its high total number of SNPs, both inside and outside the boundaries of recombination blocks. F0413 and LC4 also clustered close to each other, having similar preference in recombining loci.
It is noteworthy, that a 16S rRNA based phylogenetic clustering had a lower discriminatory power for speciation compared to cgSNPs-based phylogeny (Figure S3).

2.4. dN/dS Ratio

In order to infer the presence of evolutionary selective pressure on the protein-coding CDS genes in SI, the dN/dS ratio was calculated based on the Tajima’s D method [19]. B196 was used as a template for calculating the dN/dS ratio in SI. The average dN/dS ratio was 0.170 ± 0.193 for all the isolates having both dN > 0 and dS > 0. Since the average ratio was significantly less than one, a negative selection is suggested. Three regions in LAU_SINT had a dN/dS ratio > 1 ranging from 1.08 to 1.3, suggesting diversifying selection (Table S2). The first region (185,065 bp to 185,122 bp) was one of a group of several hypothetical proteins, and the second region with dN/dS = 1.17 (1,995,445 bp to 1,996,180 bp) was a chromosome-partitioning protein Spo0J with a diversifying selection in all the isolates except SK54. The third region (348,809 bp to 349,301 bp) encoded a GNAT family acetyltransferase and showed a diversifying selection in all tested isolates.

2.5. Phage Content

In total, 14 different phages were identified among the genomes ranging between one to four per isolate. Bacillus phage G (accession # NC_023719) was the most common (52.9%; n = 9) followed by Streptococcus phage phiARI0131-1 (accession # NC_031901) (29.4%; n = 5). The majority of the detected phages were incomplete except for Lactobacillus phage PLE2 (accession # NC_031036) in 567_SINT, Campylobacter phage PC14 (accession # NC_031909) in F0395, and Streptococcus phage phiARI0468-1 (accession # NC_031929) in LAU_SINT. Phages covered more than 4.5% of the genomes (Figure S4).
Alignment of LAU_SINT and B196 revealed that the major differences between the two genomes resided in the phage DNA content being detected in LAU_SINT and missing from B196 genome; LAU_SINT carried one additional intact Streptococcus phage phiARI0468-1 (accession # NC_031929) not present in B196.

2.6. Virulence Factors

The virulome of the isolates was determined through BLAST search on RAST. A common set of VFs was observed among the 17 isolates except for 567_SINT and F0395. Adhesion in SI was linked to five genes (eno, fbp54, psaA, lmb, and pulA), which were detected in all the isolates. Invasive properties were associated with a complete sil locus (silA-E), capsular proteins (cps19FL-O), and galU coding for UTP-glucose-1-phosphate uridylyltransferase. Metabolism, invasion, and colonization were evenly encoded in all the 17 isolates and were associated with csrR, salX, and gapDH genes, respectively.
Also, ily and nanA encoding intermedilysin and sialidase, respectively, were found in all the isolates except for 567_SINT and F0395. The dN/dS for both ily and nanA ratio was <1 suggesting a negative purifying selection.
Nine of the 15 SI isolates carried a homologous gene (inlA) for internalin A of Listeria monocytogenes linked to invasion [20]. Hemolysin III was detected in all SI isolates.

2.7. Type VII Secretion System

We performed a comparative genomic analysis of the T7SS in all the sequenced isolates including LAU_SINT. Based on that we came up with four different modules representing the T7SS in SI designated as module I to module IV. All the genetic elements coding for the T7SS in all the sequenced isolates were detected on GIs, with all additionally having other elements not directly linked to the T7SS (Table S3).
Module I was identified in six SI isolates (40%) (TYG1620, 32811, BA1, F0413, FDAARGOS_233 and KCOM_1545), integrated between adhE (bifunctional aldehyde/ alcohol dehydrogenase) and nanE (N-acetylmannosamine-6-phosphate 2-epimerase), and differed by the number of hypothetical proteins present between essC and esaA (ranging from 6 to 15 proteins). Module I was detected on a 42 Kb GI with a G+C content of 35.3%, indicating its acquisition through horizontal gene transfer (HGT). It also had a different genetic arrangement than what was previously described with the 21 kb GI carrying a T7SS in S. suis serotype 9 strain GZ0565 [21], and from a pathogenicity island carrying WXG100 secretion system in S. agalactiae [22].
Module II was also detected in six other SI isolates (40%) (30309, JTH08, LC4, NCTC11324, SK54, and 631_SCON). Module II was located on a 17.3 Kb GI with a G+C content of 35.6%, significantly different from Module I and from the ones detected in S. suis and S. agalactiae [21,22].
Module III was found in two isolates (13%) (B196 and C270) with little similarity to Modules I and II. This Module was located on a predicted 23.6 Kb GI with a 36.3% G+C content, and was not predicted in silico using online tools.
Module IV was detected in LAU_SINT and in only other two SC isolates (567_SINT and 783_SANG). The T7SS in the SC genomes was located on a 40.6 Kb GI with a 37.8% G+C content, while it was on a 63.6 Kb GI in LAU_SINT with a G+C content of 38.8%. In LAU_SINT, we additionally detected on the same GI the nisin immunity protein. Module IV had similar genetic arrangements to the GI carrying T7SS in S. agalactaiae [22].
No T7SSs were detected in the SA genomes indicating a more recent acquisition in SI through the HGT of GIs.
Of interest, Modules I, II and IV also had additionally genes linked to metal ions binding such as bifunctional acetaldehyde-CoA/alcohol dehydrogenase, VWA domain-containing proteins, magnesium and cobalt transporter, and ABC transporters.
Comparative analysis of the four T7SS modules showed a uniform distribution of the core essC, essB, esaA and esxA T7SS genes. Modules I and II carried additional essA and esaC genes while modules II and IV had extra esaB and essD genes, respectively. Modules I and III had an LXG domain-containing gene in common.
Based on the suggested T7SS module classification, each isolate was compared to the module reference for presence/absence of genes within the T7SS locus. In Module I, genes showed on average 7.27% variability. Genes coding for a cell wall surface anchor family protein and a DUF11 domain-containing protein were missing in 60% of Module I isolates (TYG1620, BA1, and KCOM 1545). F0413 lacked an isopeptide-forming domain-containing fimbrial protein and a DNA repair protein. Three isolates (32811, BA1, and KCOM 1545) displayed two to four different hypothetical proteins (HP) than the reference. In Module II, LC4 and 631_SCON had three missing HP (60% of HP). In Module III, B196 and the reference C270 showed a 94.12% HP similarity with only 1 HP absent in B196.
We also compared the four T7SS Modules in SI and SC to that in Mycobacterium tuberculosis ESX-1 and ESX-2 systems, Staphylococcus aureus strain USA300, Bacillus subtilis strain 168, Bacillus anthracis, S. agalacticae 2603V/R, S. suis, Streptomyces coelicolor A3(2), L. monocytogenes, and Helicobacter pylori strain 26695. The T7SS and T7SS-like were highly diverse among the different organisms. EsxB substrate was absent in all SI except in LAU_SINT. Module I was negative for EsaB and EsaC regulatory proteins, which were detected in S. aureus and S. agalactiae. In all cases, esxA forming the WXG100 motif was located in gene clusters that also had a conserved ATPase (essC) and several FtsK/SpoIIIE domains (Figure 3).
esxA was retrieved from a variety of organisms carrying T7SS or T7SS-like. A total of 100 entries were used to build a UPGMA phylogenetic tree. esxA appeared to be conserved within the same species except in SI, Bacillus, and S. aureus. esxA in SI was most closely related to S. suis and was conserved in S. suis within two separate lines of descent. This could indicate a possible exchange of the T7SS elements through HGT between the two isolates. esxA in SC was more distantly related. The average dN/dS for pairwise comparisons of esxA was 1.102, indicating a positive evolutionary selection (Figure 4).

2.8. Comparative Genome Analysis

Full chromosome comparison revealed similarity rates between the SI genomes ranging from 52% to 100%, with JTH08 and NCTC 11324 being 100% similar. A comparative analysis between LAU_SINT and B196 on RAST revealed that only 78 genes were unique to LAU_SINT while 101 genes were unique to B196. The uniquely identified genes in LAU_SINT included hypothetical proteins, phage proteins, and a metallo-β-lactamase family protein (matching a metallo-hydrolase in Staphylococcus xylosus PNZ15953). The unique genes in B196, however, included hypothetical and CRISPR-associated proteins. Circular genome comparison of the 17 isolates, used to examine major deletion events, revealed the presence of a large phage in LAU_SINT and 567_SINT matching that of Clostridium phiCT453B (accession # NC_029004). Variability between the genomes was mainly due to differences in secretion and transporter systems and GIs (Figure 5).
All SC (n = 13) and SA (n = 46) genomes available on NCBI, as of 20 October 2018, were retrieved and used for full chromosomal comparison and the construction of an UPGMA wgSNPs-based phylogeny. Based on that we concluded that SI was more closely related to SC and have more recently evolved from SA, with 567_SINT and F0395 clustering with other SC genomes (Figure S1). The dN/dS ratio was additionally determined for SAG. In total, 176 regions had a dN/dS ratios > 1 (ranging from 1.01 to 4.5), 13 of which were detected in LAU_SINT (Table S2).

2.9. Pan-Genome Analysis

The pan-genome in the 17 isolates was first determined using Roary23 with the cut-off for BLAST hits being set at 95% and core gene prevalence at >99%. Isolates 567_SINT and F0395 had distinct pan-genome distribution and as a result were excluded from subsequent analysis (Figure S5) to only include SI isolates (Figure 6). A total of 3990 genes were included. The core genome (≥99% of isolates) was estimated to consist of 1327 genes. The analysis of differentially present/absent genes revealed 991 shell genes present in two or more isolates (15% ≤ isolates < 95%) and 1672 unique cloud genes specific to single isolates (0% ≤ isolates < 15%).
Shell and cloud genes, constituting the accessory genome, were thoroughly examined. 1872 genes encoded hypothetical proteins. These were removed from subsequent analysis. Duplicates encoding the same protein product were manually inspected and removed. Accordingly, 325 genes that were present in 14 or less of the 15 SI isolates were retained. Genes related to drug resistance, toxins and transport systems were depicted in Figure S6.

3. Discussion

Despite being the least commonly isolated species in the SAG, SI is often associated with a significantly longer hospital stay and a higher 30-day mortality in infected patients [5]. With the scarcity of whole-genome data available and the lack of infection-associated metadata, it is of great importance to perform whole-genome based characterization of symptom-specific SI isolates in an attempt to elucidate the molecular basis of pathogenesis. In this study, we performed a comparative genome analysis on LAU_SINT, linked to a brain abscess in a 13-year-old boy admitted to a tertiary hospital in Lebanon, with all publicly available SI genomes and other members of SAG. SI genomes were conserved with variations in the phage contents, secretion and transport systems. ily and nanA were both abundant and conserved. We proposed based on the results of our study four T7SS modules (I–IV), which were located on various genomic islands and showing similarity to that of S. suis and S. agalactiae.
All 17 NCBI-available genomes listed as SI were included in this study. Subsequent analysis showed that isolates 567_SINT and F0395 belonged to SC. The identity of isolate F0395 was previously shown by Jensen et al. (2013) [1]. The SI isolates were deposited on NCBI between 2011 and 2018 and were collected from USA, Canada, China, South Korea, Japan, and recently Lebanon (LAU_SINT). Many isolates had missing clinical and patients’ data. The SI genomes had an average size of 1,947,393 bp ± 31,259 bp and a conserved pan-genome consisting of 1327 core genes compared to 626 genes in the genus Streptococcus and 1234 genes in the SAG [23]. cgSNPs analysis provided enough discriminatory power to separate the SI from 567_SINT and F0395 SC isolates but did not infer symptoms- or geo-based distribution [23]. The calculated dN/dS based on the Tajima’s D method [19] suggested a strong purifying or stabilizing selection in all the SI isolates. Diversifying selection was observed in a GNAT family acetyltransferase that was previously shown to be over-expressed in abscesses [9]. Differences between the genomes were mainly attributed to transporter and secretion systems perhaps used to manipulate the host, establish a replicative niche, or compete with nearby microorganisms [24].
The isolates carried a plethora of VFs associated with adhesion, regulation of metabolic activities, invasion and colonization, and capsule-linked proteins. Colonization and adhesion could be initiated through the expression of the fbp54 and lmb coding for fibronectin and laminin binding proteins (Antigens I/II), respectively [25]. Binding was found to activate an immune response causing cytokine buildup followed by tissue damage and onset of brain abscess formation [17]. Other adhesion proteins were also detected such as surface protein (psaA) [26], enolase (eno) for plasminogen binding, and pullulanase (pulA) [27]. The invasive properties of the 17 isolates were associated with a complete Streptococcus Invasion locus (sil) system and an internalin A homologous gene (inlA). The sil locus enhanced virulence in the SAG group [28] and allowed for competitive microbial interactions with host bacteria [29]. On another note, all SI isolates displayed homologues for the polysaccharide capsule operon of S. pneumoniae (cps4 A, B, C, D, and E) [30], with the cps4E being absent in both 567_SINT and F0395. Hemolysis of red blood cells in SI relies on having hemolysin III. That is opposed to the virulent S. agalactiae hemolysin proteins encoded by cylA, G, and Z [31]. The presence of luxS, nanA and ily is alarming since the outcome of the infection is worsened by their ability to produce biofilms regulated by luxS and its product, autoinducer-2 [32]. Further tissue damage is caused by sialidase production encoded by nanA, while intermedilysin, the product of ily, is the major VF linked to pathogenicity [6]. ily and nanA are under purifying selection, a phenomenon associated with slow rates of evolution in essential genes [33]. luxS further controls the expression of ily and hyl which can be downregulated by a nonfunctional AI-2, translation product of a mutant luxS gene. Mutations in the luxS gene attenuate the hemolytic activity of ily, but with no significant effect on hyaluronidase activity and expression of fbp54 and lmb [34]. In the absence of mutations, intermedilysin perforates membranes of human erythrocytes [35] and induces RBC programmed necrosis favoring microbial growth especially that of pore forming toxin producing hCD59-dependent pathogens [36] such as SI. Hyaluronidase, second major VF, acts as a pyogenic growth factor by degrading hyaluronan in host tissues [37] to provide bacterial nutrients and facilitate pus formation [38]. Tissues also become less viscous and more permeable, inducing bacterial mobilization [39].
We found that almost half of the SI isolates carried nisin immunity proteins conferring resistance to nisin; a bacteriocin commonly found in mouth washes and used against pathogenic bacteria related to dental caries and root canal infections such as S. mutans, S. sanguinis, Lactobacillus acidophilus, and Enterococcus faecalis [40]. As such, we believe that this resistance determinant could have favored SI survival and facilitated infections following dental manipulation as was also previously suggested with other organisms [8].
We identified a total of 14 different phages that accounted for more than 4.5% of the genomes. Bacillus phage G (accession # NC_023719) was the most common followed by Streptococcus phage phiARI0131-1 (accession # NC_031901). Clostridium phage was identified in LAU_SINT and carried a pblB related gene previously reported as being associated with endocarditis in S. mitis infections [41]. Despite the scarce amount of information on the role phages play in the evolution and pathogenicity of SI, our results also implied that the emergence of this species relied at least partially on HGT driven by the acquisition of the proteinic phage-encoded, hyaluronidase [41] and virulence inducing antigens I/II [26].
This study showed that 16 out of the 17 (94.1%) analysed SI genomes harboured a putative T7SS. Based on their genetic arrangement, we proposed and distributed them into four Modules carried by four different GIs. In six isolates, the T7SS, identified as belonging to Module I based on our suggested grouping, was present on a 42 Kb GI with a G+C content of 35.3% implicating its acquisition through HGT. This GI had a different genetic arrangement than a previously described 21 kb GI carrying a T7SS in S. suis serotype 9 strain GZ0565 yet absent in eight other SS2 virulent strains [22]. We identified 10–15 transmembrane proteins in this module that might contribute to the formation of the membrane pore [42]. The three other modules of the T7SS had a distinct genetic organization and were also linked to different GIs. These differences in gene content could contribute to the complexity and/or role played by the T7SS. Previously, genetic variability of the T7SS was addressed across S. aureus where four distinct modules were identified based on the variability observed within the ess loci. This variability was hypothesized to be driven by recombination events and suggested that it was more recently acquired in Firmicutes compared to T7SSs in mycolic-acid containing bacteria [43]. In fact, M. tuberculosis encodes five T7SSs, with ESX-1 and ESX-5 being linked to virulence. Following internalization into macrophages, ESX-1 secreted factors acted as pore forming toxins circumventing phagolysosomal degradation and facilitated translocation inside the host. ESX-5 secreted proteins manipulated immune response of macrophages inducing cell death and promoted bacterial dissemination [44].
Although one specific function could not be attributed to the diverse modules of the T7SS found in SI, the presence of genes linked to metal ions binding on the different GIs carrying T7SS suggested its possible involvement in the establishment of the infection and abscess formation. The roles of iron, manganese and zinc have been extensively studied in S. aureus [45] and S. pneumoniae infections [46] but not in SI pathogenesis. Thus, uncovering the pathways linked to metal acquisition in SI could help to find potential therapeutic targets. The T7SS further mediates interspecies competition through the secretion of three main LXG toxin proteins (TelA, B, and C) via its ESX pathway. TelC phosphatase targets the lipid II precursor of bacterial cell walls and destroys it, jeopardizing the survival of neighbouring bacterial species [47].
As shown in this study for SI and in other organisms, esxA forming the WXG100 motif was located in gene clusters that also encoded a conserved ATPase (essC) containing several FtsK/SpoIIIE domains and that was predicted to power T7SS [48]. The T7SS substrate, EsxA, was shown to contribute to S. suis virulence in a mouse infection model [22]. EsxA also delayed host cell apoptosis, and together with EsxB facilitated the release of intracellular S. aureus from human epithelial cells [49]. The distribution of WXG100 proteins was first thought to be restricted to Gram-positive phyla Firmicutes and Actinobacteria before being identified in Cyanobacteria, Lentisphaerae, Proteobacteria and Verrucomicrobiae [50]. A GI encoding a TerY-phosphorylation triad in addition to components of T7SS were found in Helicobacter pylori [51]. Despite having structural conservation in various organisms, the sequence identity among the WXG100 proteins was only about 15% [52]. esxA was under positive selective pressure and appeared to be evolutionarily related in SI and S. suis within two distinct lines of descent.
The protein composition of the T7SS differed between our four suggested Modules. EssA, EssB, and EssC were conserved in SI compared to other organisms; required for transporting substrates EsxA and EsxB across the envelope [53]. However, similar to S. suis, Modules I and II of the T7SS in SI lacked EsxB compared to S. agalactiae [22]. Previously, S. aureus pan-genomes analysis showed a distinct set of genes downstream of the core ess genes, with most not having the EsxB, EsxC, EsxD, or EsaD substrates [53]. Also absent in Modules I and IV were EsaB and EsaC; EsaB is a cytoplasmic protein that appears to regulate the Ess machinery [53], acting as a negative regulator of EsaC. EsaC contributed to persistent S. aureus infections [53], which was also absent in S. suis [22]. The absence of the regulatory protein EsaB suggested that the T7SS in SI has other yet to be identified regulatory mechanisms and that the complete repertoire of Ess-secretion substrates and their corresponding functions in T7SSs are yet to be elucidated.
In this study, the genome of an SI isolate, LAU_SINT, linked to a brain abscess of a 13-year old child following sinusitis was characterized through whole-genome based comparison with other SI and SAG genomes. High levels of genome conservation were observed despite the isolates being collected from various geographic regions and infection sites. VFs were conserved and widespread. Differences were attributed to changes in transporter, secretion systems, with GIs and HGT driving genome evolution. The role of the T7SS in SI virulence and the roles of the different proteins linked to metal binding and located on the same GIs as those of the T7SS merit further detailed studies. Finally, the correlation, if any, between the T7SS modules that were revealed in this study and SI virulence, pathogenesis, and abscess formation is also to be determined.

4. Materials and Methods

4.1. Ethics Statement

Ethical approval for this study was obtained from the Institutional Review Board Committee of the Middle East Institute of Health, University Hospital with the following approval number: AL-01-03/2018-IRB/MEIH.

4.2. Antimicrobial Susceptibility Testing

Antimicrobial susceptibility testing was performed using the disk diffusion method against 12 antibiotics: Amoxicillin, amoxicillin-clavulanic acid, Gentamycin, kanamycin, Streptomycin, Levofloxacin, Erythromycin, Clindamycin, Tetracycline, Vancomycin, Bactrim, and Rifampicin. The obtained results were interpreted according to the EUCAST breakpoints as updated in 2015 (http://www.eucast.org) [54].

4.3. DNA Extraction

The bacterium was cultured on 5% Blood agar DNA under anaerobic conditions at 37 °C. DNA extraction was performed using the Nucleospin Kit (Macherey-Nagel, Düren, Germany) according to the manufacturer’s instructions.

4.4. 16 S rRNA Sequencing

The 16S rRNA gene was amplified using primers SSU-bact-27F (5′-AGAGTTTGATCMTGGCTGAG-3′) and SSU-bact-519R (5′-GWATTACCGCGGCKGCTG-3′) [55]. The resulting PCR products were sequenced on the Genetic Analyzer 3500 (Applied Biosystems™, Foster City, CA, USA). Obtained sequences were extracted using Sequencing Analysis v5.4 software (Applied Biosystems), assembled using CLC Main Workbench v7.0.2 (CLC-bio, Aarhus, Denmark), and blasted against the NCBI 16S rRNA database.

4.5. Genome Sequencing

Genomic DNA (gDNA) was used as input for library preparation using the Illumina TruSeq DNA library preparation kit (Illumina, San Diego, CA, USA). The library was multiplexed, clustered, and sequenced on an Illumina MiSeq with paired-end 500 cycles protocol to read a length of 250 bp.

4.6. Genome Assembly and Annotation

Quality control was done using FastQC [56], reads were demultiplexed, and low quality base pairs were trimmed using trimgalore [57]. Genome assembly was performed de novo using SPAdes with default parameters [58]. The genome was subjected to BLAST analysis against Resfinder 3.0 [18]. PHASTER was used to detect putative phage sequences in the genome [59]. RAST was used to search for putative VFs [60]. IslandViewer 4 was used to predict possible GIs [61]. Genes were verified manually and blasted against the NCBI sequence database. Proteins were identified as cytoplasmic or membrane-embedded using Protter version 1.0 [62]. SNAP v2.1.1 was used to calculate synonymous and non-synonymous substitution rates [63].

4.7. cgSNPs Analysis

Core genome SNPs were called for each isolate using the Snippy pipeline [64], each isolate was mapped to the reference genome B196 (CP003857.1). RAxML v8 [65] was run with 1000 bootstrap iterations to generate a Maximum Likelihood (ML) phylogenetic tree. The genome alignment was used to highlight recombination hotspots using gubbins [66]. The generated phylotree and its corresponding data on recombinations was visualized by Phandango [67].

4.8. 16S rRNA Based Phylogeny

In silico PCR available on insilico.ehu.eus [68] was performed using the previously mentioned primers to extract the 16S rRNA sequences from the 16 reference genomes. The obtained sequences had an average length of 544 bp. The sequences were aligned using the Needle-Wunsch algorithm and an UPGMA tree was constructed on the BioNumerics v7.6.1 beta software (Applied Maths, Sint-Martens-Latem, Belgium).

4.9. Comparative Genome Analysis

Full chromosome comparison through pairwise matching and alignment of N×N sequences was generated using BioNumerics v7.6.1 beta software (Applied Maths, Sint-Martens-Latem, Belgium). B196 was used as a template for later alignments.
A circular genome representation of LAU_SINT was generated using BRIG through comparison with the other 16 genomes [69]. The average nucleotide identity of LAU_SINT and closely related isolates was estimated using the average nucleotide identity (ANI) calculator [70].
All SC (n = 13) and SA (n = 46) genomes available on NCBI, as of 20 October 2018, were retrieved and full chromosomal comparisons and wgSNPs-based phylogeny were constructed using BioNumerics v7.6.1 beta software (Applied Maths, Sint-Martens-Latem, Belgium). The dN/dS ratio was calculated for the detected SNPs.

4.10. Pan-Genome Analysis

The LAU_SINT genome was annotated using Prokka version 1.13 [71] with a similarity cutoff e-value 10−6 and minimum contig size of 200 bp. The annotated GFF3 file was piped into Roary version 3.12.0 [24] choosing a minimum blastp identity of 95 and core gene prevalence in all (>99%) of the isolates. A maximum-likelihood phylogenetic tree based on the core genome alignment was constructed using RAxML [65] with the GRTGAMMA mode of nucleotide evolution and 1000 bootstrap iterations. The resulting phylogenetic tree with isolate metadata where available along with the pan genome fingerprints were visualized on Phandango V 1.1.0 [67]. Sixteen reference genomes were included in the comparison.

4.11. Data Availability

The dataset generated during the current study is available in the DDBJ/ENA/GenBank repository under the accession number GCA_003284685.1.

Supplementary Materials

The following are available online at https://www.mdpi.com/2076-0817/8/1/22/s1, Figure S1. wgSNPs-based tree UPGMA phylogenetic tree of all SAG isolates constructed using the Bionumerics software. Blue: S. anginosus; purple: S. intermedius; red: S. constellatus; Figure S2. wgSNPs-based tree UPGMA phylogenetic tree of the 17 SI genomes constructed using the Bionumerics software. NA: not available; Figure S3. 16S rRNA-based UPGMA phylogenetic tree constructed using the Bionumerics software. The sequences, having an average length of 544 bp, were aligned using the Needle-Wunsch algorithm; Figure S4. Phage content of the isolates; Figure S5. Pan-genome analysis of all 17 SI isolates; Figure S6. Comparison of the accessory genes in S. intermedius relating to drug resistance, toxins and transport systems; Table S1. Disc diffusion diameter cutoffs and results based on EUCAST January 2019 guidlines; Table S2. List of the regions showing mutations in LAU_SINT and SAG genomes and their corresponding dN/dS ratios; Table S3. The genomic islands carrying the four modules (I-IV) of T7SS in SI along with gene alignment resutls.

Author Contributions

Conceptualization, S.T., E.A., and D.A.; provided the isolate: E.A. and D.A.; investigation, T.S.; data curation, S.T., T.S., E.I. and E.A.; writing—original draft preparation, S.T., T.S., E.I. and E.A.; writing—review and editing, S.T. and E.A.; visualization, T.S. and B.P.; supervision, S.T.; project administration, S.T.; All authors read and approved the manuscript.

Funding

This research received no external funding.

Conflicts of Interest

The authors declare no conflict of interest.

References

  1. Jensen, A.; Hoshino, T.; Kilian, M. Taxonomy of the Anginosus group of the genus Streptococcus and description of Streptococcus anginosus subsp. whileyi subsp. nov. and Streptococcus constellatus subsp. viborgensis subsp. nov. Int. J. Syst. Evol. Microbiol. 2013, 63, 2506–2519. [Google Scholar] [CrossRef] [PubMed]
  2. Facklam, R. What happened to the Streptococci: Overview of taxonomic and nomenclature changes. Clin. Microbiol. Rev. 2002, 15, 613–630. [Google Scholar] [CrossRef] [PubMed]
  3. El Kamouni, Y.; Arsalane, L.; Allali, A.; Beddou, G.; Zouhair, S. Rare case of pyogenic brain abscess in a immunocompetent children caused by Streptococcus intermedius. Int. J. Med. Sci. Clin. Invent. 2017, 4, 2980–2983. [Google Scholar] [CrossRef]
  4. Vajramani, G.V.; Nagmoti, M.B.; Patil, C.S. Neurobrucellosis presenting as an intra-medullary spinal cord abscess. Ann. Clin. Microbiol. Antimicrob. 2005, 4, 14–18. [Google Scholar] [CrossRef] [PubMed]
  5. Junckerstorff, R.K.; Robinson, J.O.; Murray, R.J. Invasive Streptococcus anginosus group infection—Does the species predict the outcome? Int. J. Infect. Dis. 2014, 18, 38–40. [Google Scholar] [CrossRef] [PubMed]
  6. Nagamune, H.; Whiley, R.A.; Goto, T.; Inai, Y.; Maeda, T.; Hardie, J.M.; Kourai, H. Distribution of the intermedilysin gene among the anginosus group streptococci and correlation between intermedilysin production and deep-seated infection with Streptococcus intermedius. J. Clin. Microbiol. 2000, 38, 220–226. [Google Scholar] [PubMed]
  7. Faden, H.S. Infections associated with Streptococcus intermedius in children. Pediatr. Infect. Dis. J. 2016, 35, 1047–1048. [Google Scholar] [CrossRef] [PubMed]
  8. Heckmann, J.G.; Pauli, S.U. Epidural abscess after dental extraction. Age Ageing 2015, 44, 901. [Google Scholar] [CrossRef]
  9. Hasegawa, N.; Sekizuka, T.; Sugi, Y.; Kawakami, N.; Ogasawara, Y.; Kato, K.; Yamashita, A.; Takeuchi, F.; Kuroda, M. Characterization of the pathogenicity of Streptococcus intermedius TYG1620 isolated from a human brain abscess based on the complete genome sequence with transcriptome analysis and transposon mutagenesis in a murine subcutaneous abscess model. Infect. Immun. 2017, 85, e00886-16. [Google Scholar] [CrossRef]
  10. Petti, C.A.; Simmon, K.E.; Bender, J.; Blaschke, A.; Webster, K.A.; Conneely, M.F.; Schreckenberger, P.C.; Origitano, T.C.; Challapalli, M. Culture-negative intracerebral abscesses in children and adolescents from Streptococcus anginosus group infection: A case series. Clin. Infect. Dis. 2008, 46, 1578–1580. [Google Scholar] [CrossRef]
  11. Giddings, K.S.; Zhao, J.; Sims, P.J.; Tweten, R.K. Human CD59 is a receptor for the cholesterol-dependent cytolysin intermedilysin. Nat. Struct. Mol. Biol. 2004, 11, 1173–1178. [Google Scholar] [CrossRef] [PubMed]
  12. Tomoyasu, T.; Tabata, A.; Hiroshima, R.; Imaki, H.; Masuda, S.; Whiley, R.A.; Aduse-Opoku, J.; Kikuchi, K.; Hiramatsu, K.; Nagamune, H. Role of catabolite control protein A in the regulation of intermedilysin production by Streptococcus intermedius. Infect. Immun. 2010, 78, 4012–4021. [Google Scholar] [CrossRef] [PubMed]
  13. Pecharki, D.; Petersen, F.C.; Scheie, A.A. Role of hyaluronidase in Streptococcus intermedius biofilm. Microbiology 2008, 154, 932–938. [Google Scholar] [CrossRef] [PubMed]
  14. Proft, T.; Fraser, J. Superantigens: Just like peptides only different. J. Exp. Med. 1998, 187, 819–821. [Google Scholar] [CrossRef] [PubMed]
  15. Moses, A.E.; Wessels, M.R.; Zalcman, K.; Albertí, S.; Natanson-Yaron, S.; Menes, T.; Hanski, E. Relative contributions of hyaluronic acid capsule and M protein to virulence in a mucoid strain of the group A Streptococcus. Infect. Immun. 1997, 65, 64–71. [Google Scholar] [PubMed]
  16. Petersen, F.C.; Pasco, S.; Ogier, J.; Klein, J.P.; Assev, S.; Scheie, A.A. Expression and functional properties of the Streptococcus intermedius surface protein antigen I/II. Infect. Immun. 2001, 69, 4647–4653. [Google Scholar] [CrossRef] [PubMed]
  17. Kielian, T.; Barry, B.; Hickey, W.F. CXC chemokine receptor-2 ligands are required for neutrophil-mediated host defense in experimental brain abscesses. J. Immunol. 2001, 166, 4634–4643. [Google Scholar] [CrossRef]
  18. Zankari, E.; Hasman, H.; Cosentino, S.; Vestergaard, M.; Rasmussen, S.; Lund, O.; Aarestrup, F.M.; Larsen, M.V. Identification of acquired antimicrobial resistance genes. J. Antimicrob. Chemother. 2012, 67, 2640–2644. [Google Scholar] [CrossRef]
  19. Tajima, F. Statistical method for testing the neutral mutation hypothesis by DNA polymorphism. Genetics 1989, 123, 585–595. [Google Scholar]
  20. Sawyer, R.T.; Drevets, D.A.; Campbell, P.A.; Potter, T.A. Internalin A can mediate phagocytosis of Listeria monocytogenes by mouse macrophage cell lines. J. Leukoc. Biol. 1996, 60, 603–610. [Google Scholar] [CrossRef]
  21. Lai, L.; Dai, J.; Tang, H.; Zhang, S.; Wu, C.; Qiu, W.; Lu, C.; Yao, H.; Fan, H.; Wu, Z. Streptococcus suis serotype 9 strain GZ0565 contains a type VII secretion system putative substrate EsxA that contributes to bacterial virulence and a vanZ-like gene that confers resistance to teicoplanin and dalbavancin in Streptococcus agalactiae. Vet. Microbiol. 2017, 205, 26–33. [Google Scholar] [CrossRef] [PubMed]
  22. Attwood, N.; Whitehead, R.; Shukla, A.; Parikh, R.; Pallen, M.; Anthony, M. The WXG100 protein secretion system of Streptococcus agalactiae. In Proceedings of the Neonatal Society 2007 Summer Meeting, Portsmouth, UK, 28–29 June 2007. [Google Scholar]
  23. Olson, A.B.; Kent, H.; Sibley, C.D.; Grinwis, M.E.; Mabon, P.; Ouellette, C.; Tyson, S.; Graham, M.; Tyler, S.D.; Van Domselaar, G.; et al. Phylogenetic relationship and virulence inference of Streptococcus Anginosus Group: Curated annotation and whole-genome comparative analysis support distinct species designation. BMC Genom. 2013, 14, 895. [Google Scholar] [CrossRef]
  24. Page, A.J.; Cummins, C.A.; Hunt, M.; Wong, V.K.; Reuter, S.; Holden, M.T.; Fookes, M.; Falush, D.; Keane, J.A.; Parkhill, J. Roary: Rapid large-scale prokaryote pan genome analysis. Bioinformatics 2015, 31, 691–3693. [Google Scholar] [CrossRef] [PubMed]
  25. Green, E.R.; Mecsas, J. Bacterial secretion systems—An overview. Microbiol. Spectr. 2016, 4. [Google Scholar] [CrossRef]
  26. Sitkiewicz, I.; Green, N.M.; Guo, N.; Mereghetti, L.; Musser, J.M. Lateral gene transfer of streptococcal ICE element RD2 (region of difference 2) encoding secreted proteins. BMC Microbiol. 2011, 11, 65. [Google Scholar] [CrossRef] [PubMed]
  27. Zhang, Q.; Ma, Q.; Su, D.; Li, Q.; Yao, W.; Wang, C. Identification of horizontal gene transfer and recombination of PsaA gene in streptococcus mitis group. Microbiol. Immunol. 2010, 54, 313–319. [Google Scholar] [CrossRef]
  28. Hytönen, J.; Haataja, S.; Finne, J. Streptococcus pyogenes glycoprotein-binding strepadhesin activity is mediated by a surface-associated carbohydrate-degrading enzyme, pullulanase. Infect. Immun. 2003, 71, 784–793. [Google Scholar] [CrossRef]
  29. Salim, K.Y.; De Azavedo, J.C.; Bast, D.J.; Cvitkovitch, D.G. Regulation of sagA, siaA and scpC by SilCR, a putative signaling peptide of Streptococcus pyogenes. FEMS Microbial. Lett. 2008, 289, 119–125. [Google Scholar] [CrossRef]
  30. Mendonca, M.L.; Szamosi, J.C.; Lacroix, A.M.; Fontes, M.E.; Bowdish, D.M.; Surette, M.G. The sil locus in Streptococcus anginosus group: Interspecies competition and a hotspot of genetic diversity. Front. Microbiol. 2017, 7, 2156. [Google Scholar] [CrossRef]
  31. Morona, J.K.; Morona, R.; Paton, J.C. Comparative genetics of capsular polysaccharide biosynthesis in Streptococcus pneumoniae types belonging to serogroup 19. J. Bacteriol. 1999, 181, 5355–5364. [Google Scholar]
  32. Smith, H.E.; de Vries, R.; Smits, M.A. The cps locus of Streptococcus suis serotype 2: Genetic determinant for the synthesis of sialic acid. Microb. Pathog. 2000, 29, 27–134. [Google Scholar] [CrossRef] [PubMed]
  33. Jordan, I.K.; Rogozin, I.B.; Wolf, Y.I.; Koonin, E.V. Essential genes are more evolutionarily conserved than are nonessential genes in bacteria. Genome Res. 2002, 12, 962–968. [Google Scholar] [CrossRef] [PubMed]
  34. Pecharki, D.; Petersen, F.C.; Scheie, A.A. LuxS and expression of virulence factors in Streptococcus intermedius. Oral Microbiol. Immunol. 2008, 23, 79–83. [Google Scholar] [CrossRef] [PubMed]
  35. Polekhina, G.; Giddings, K.S.; Tweten, R.K.; Parker, M.W. Insights into the action of the superfamily of cholesterol-dependent cytolysins from studies of intermedilysin. Proc. Natl. Acad. Sci. USA 2005, 102, 600–605. [Google Scholar] [CrossRef] [PubMed]
  36. LaRocca, T.J.; Stivison, E.A.; Hod, E.A.; Spitalnik, S.L.; Cowan, P.J.; Randis, T.M.; Ratner, A.J. Human-specific bacterial pore-forming toxins induce programmed necrosis in erythrocytes. mBio 2014, 5, e01251-14. [Google Scholar] [CrossRef] [PubMed]
  37. Li, S.; Kelly, S.J.; Lamani, E.; Ferraroni, M.; Jedrzejas, M.J. Structural basis of hyaluronan degradation by Streptococcus pneumoniae hyaluronate lyase. EMBO J. 2000, 19, 1228–1240. [Google Scholar] [CrossRef] [PubMed]
  38. Takao, A.; Nagashima, H.; Usui, H.; Sasaki, F.; Maeda, N.; Ishibashi, K.; Fujita, H. Hyaluronidase activity in human pus from which Streptococcus intermedius was isolated. Microbiol. Immunol. 1997, 41, 795–798. [Google Scholar] [CrossRef]
  39. Hynes, W.L.; Walton, S.L. Hyaluronidases of Gram-positive bacteria. FEMS Microbiol. Lett. 2000, 183, 201–207. [Google Scholar] [CrossRef]
  40. Tong, Z.; Zhou, L.; Li, J.; Jiang, W.; Ma, L.; Ni, L. In vitro evaluation of the antibacterial activities of MTAD in combination with nisin against Enterococcus Faecalis. J. Endod. 2011, 37, 1116–1120. [Google Scholar] [CrossRef]
  41. Willner, D.; Furlan, M.; Schmieder, R.; Grasis, J.A.; Pride, D.T.; Relman, D.A.; Angly, F.E.; McDole, T.; Mariella, R.P.; Rohwer, F.; et al. Metagenomic detection of phage-encoded platelet-binding factors in the human oral cavity. Proc. Natl. Acad. Sci. USA 2011, 108, 4547–4553. [Google Scholar] [CrossRef]
  42. Das, C.; Ghosh, T.S.; Mande, S.S. In silico dissection of Type VII Secretion System components across bacteria: New directions towards functional characterization. J. Biosci. 2016, 41, 133–143. [Google Scholar] [CrossRef] [PubMed]
  43. Ates, L.S.; Houben, E.N.; Bitter, W. Type VII secretion: A highly versatile secretion system. Microbiol. Spectr. 2016, 4. [Google Scholar] [CrossRef]
  44. Abdallah, A.M.; Van Pittius, N.C.G.; Champion, P.A.D.; Cox, J.; Luirink, J.; Vandenbroucke-Grauls, C.M.; Appelmelk, B.J.; Bitter, W. Type VII secretion—Mycobacteria show the way. Nature Rev. Microbiol. 2007, 5, 883. [Google Scholar] [CrossRef] [PubMed]
  45. Hammer, N.D.; Skaar, E.P. The impact of metal sequestration on Staphylococcus aureus metabolism. Curr. Opin. Microbiol. 2012, 15, 10–14. [Google Scholar] [CrossRef] [PubMed]
  46. Honsa, E.S.; Johnson, M.D.; Rosch, J.W. The roles of transition metals in the physiology and pathogenesis of Streptococcus pneumoniae. Front. Cell Infect. Microbiol. 2013, 3, 92. [Google Scholar] [CrossRef]
  47. Whitney, J.C.; Peterson, S.B.; Kim, J.; Pazos, M.; Verster, A.J.; Radey, M.C.; Goo, Y.A. A broadly distributed toxin family mediates contact-dependent antagonism between gram-positive bacteria. eLife 2017, 6, e26938. [Google Scholar] [CrossRef]
  48. Unnikrishnan, M.; Constantinidou, C.; Palmer, T.; Pallen, M.J. The enigmatic Esx proteins: Looking beyond mycobacteria. Trends Microbiol. 2017, 25, 192–204. [Google Scholar] [CrossRef]
  49. Korea, C.; Balsamo, G.; Pezzicoli, A.; Merakou, C.; Tavarini, S.; Bagnoli, F.; Serruto, D.; Unnikrishnan, M. Staphylococcal Esx proteins modulate apoptosis and release of intracellular Staphylococcus aureus during infection in epithelial cells. Infect. Immun. 2017, 82, 4144–4153. [Google Scholar] [CrossRef]
  50. Sutcliffe, I.C. New insights into the distribution of WXG100 protein secretion systems. Antonie Van Leeuwenhoek 2011, 99, 127–131. [Google Scholar] [CrossRef]
  51. Uchiyama, I.; Albritton, J.; Fukuyo, M.; Kojima, K.K.; Yahara, K.; Kobayashi, I. A novel approach to Helicobacter pylori pan-genome analysis for identification of genomic islands. PLoS ONE 2016, 11, e0159419. [Google Scholar] [CrossRef]
  52. Pallen, M.J. The ESAT-6/WXG100 superfamily–and a new Gram-positive secretion system? Trends Microbiol. 2002, 10, 209–212. [Google Scholar] [CrossRef]
  53. Burts, M.L.; DeDent, A.C.; Missiakas, D.M. EsaC substrate for the ESAT-6 secretion pathway and its role in persistent infections of Staphylococcus aureus. Mol. Microbiol. 2008, 69, 736–746. [Google Scholar] [CrossRef] [PubMed]
  54. European Committee on Antimicrobial Susceptibility Testing. Breakpoint Tables for Interpretation of MICs and Zone Diameters; Version 5.0; European Committee on Antimicrobial Susceptibility Testing (EUCAST): Basel, Switzerland, 2015; Available online: http://www.eucast.org/clinical_breakpoints/ (accessed on 20 January 2018).
  55. Schmidt, T.M.; DeLong, E.F.; Pace, N.R. Analysis of a marine picoplankton community by 16S rRNA gene cloning and sequencing. J. Bacteriol. 1991, 173, 4371–4378. [Google Scholar] [CrossRef] [PubMed]
  56. Andrews, S. FastQC: A Quality Control Tool for High Throughput Sequence Data; Babraham Institute: Cambridge, UK, 2010. [Google Scholar]
  57. Krueger, F. Trim Galore!: A Wrapper Tool Around Cutadapt and FastQC to Consistently Apply Quality and Adapter Trimming to FastQ Files; Babraham Institute: Cambridge, UK, 2015. [Google Scholar]
  58. Bankevich, A.; Nurk, S.; Antipov, D.; Gurevich, A.A.; Dvorkin, M.; Kulikov, A.S.; Lesin, V.M.; Nikolenko, S.I.; Pham, S.; Prjibelski, A.D.; et al. SPAdes: A new genome assembly algorithm and its applications to single-cell sequencing. J. Comput. Biol. 2012, 19, 455–477. [Google Scholar] [CrossRef] [PubMed]
  59. Arndt, D.; Grant, J.R.; Marcu, A.; Sajed, T.; Pon, A.; Liang, Y.; Wishart, D.S. PHASTER: A better, faster version of the PHAST phage search tool. Nucleic Acids Res. 2016, 44, W16–W21. [Google Scholar] [CrossRef] [PubMed]
  60. Aziz, R.K.; Bartels, D.; Best, A.A.; DeJongh, M.; Disz, T.; Edwards, R.A.; Formsma, K.; Gerdes, S.; Glass, E.M.; Kubal, M.; et al. The RAST Server: Rapid annotations using subsystems technology. BMC Gen. 2008, 9, 75. [Google Scholar] [CrossRef] [PubMed]
  61. Bertelli, C.; Laird, M.R.; Williams, K.P.; Simon Fraser University Research Computing Group; Lau, B.Y.; Hoad, G.; Winsor, G.L.; Brinkman, F.S. IslandViewer 4: Expanded prediction of genomic islands for larger-scale datasets. Nucleic Acids Res. 2017, 45, W30–W35. [Google Scholar] [CrossRef]
  62. Omasits, U.; Ahrens, C.H.; Müller, S.; Wollscheid, B. Protter: Interactive protein feature visualization and integration with experimental proteomic data. Bioinformatics 2013, 30, 884–886. [Google Scholar] [CrossRef] [PubMed]
  63. Korber, B. HIV Signature and Sequence Variation Analysis. In Computational Analysis of HIV Molecular Sequences; Springer: New York, NY, USA, 2000; pp. 55–72. [Google Scholar]
  64. Seemann, T. Snippy: Fast Bacterial Variant Calling from NGS Reads. Available online: https://github.com/tseemann/snippy (accessed on 25 December 2018).
  65. Stamatakis, A. RAxML version 8: A tool for phylogenetic analysis and post-analysis of large phylogenies. Bioinformatics 2014, 30, 1312–1313. [Google Scholar] [CrossRef] [PubMed]
  66. Croucher, N.J.; Page, A.J.; Connor, T.R.; Delaney, A.J.; Keane, J.A.; Bentley, S.D.; Parkhill, J.; Harris, S.R. Rapid phylogenetic analysis of large samples of recombinant bacterial whole genome sequences using Gubbins. Nucleic Acids Res. 2014, 43, e15. [Google Scholar] [CrossRef] [PubMed]
  67. Hadfield, J.; Croucher, N.J.; Goater, R.J.; Abudahab, K.; Aanensen, D.M.; Harris, S.R. Phandango: An interactive viewer for bacterial population genomics. Bioinformatics 2017, 34, 292–293. [Google Scholar] [CrossRef] [PubMed]
  68. Bikandi, J.; Millán, R.S.; Rementeria, A.; Garaizar, J. In silico analysis of complete bacterial genomes: PCR, AFLP–PCR and endonuclease restriction. Bioinformatics 2004, 20, 798–799. [Google Scholar] [CrossRef] [PubMed]
  69. Alikhan, N.F.; Petty, N.K.; Zakour, N.L.B.; Beatson, S.A. BLAST Ring Image Generator (BRIG): Simple prokaryote genome comparisons. BMC Genom. 2011, 12, 1. [Google Scholar] [CrossRef] [PubMed]
  70. Goris, J.; Konstantinidis, K.T.; Klappenbach, J.A.; Coenye, T.; Vandamme, P.; Tiedje, J.M. DNA–DNA hybridization values and their relationship to whole-genome sequence similarities. Int. J. Syst. Evol. Microbiol. 2007, 57, 81–91. [Google Scholar] [CrossRef] [PubMed]
  71. Seemann, T. Prokka: Rapid prokaryotic genome annotation. Bioinformatics 2014, 30, 2068–2069. [Google Scholar] [CrossRef] [PubMed]
Figure 1. (a) Left ethmoid sinusitis; (b) Meningitis; (c) Meningitis and midline shift front to parietal collection; (d) Brain MRI post decompression (craniotomy).
Figure 1. (a) Left ethmoid sinusitis; (b) Meningitis; (c) Meningitis and midline shift front to parietal collection; (d) Brain MRI post decompression (craniotomy).
Pathogens 08 00022 g001
Figure 2. Core genome (cgSNP)-based phylogenetic tree and genome-wide recombination hotspots.
Figure 2. Core genome (cgSNP)-based phylogenetic tree and genome-wide recombination hotspots.
Pathogens 08 00022 g002
Figure 3. Schematic representation of the genetic loci T7SS (or T7SS-like) in SI in comparison with other organisms.
Figure 3. Schematic representation of the genetic loci T7SS (or T7SS-like) in SI in comparison with other organisms.
Pathogens 08 00022 g003
Figure 4. (a) UPGMA (unweighted pair group method with arithmetic mean) phylogenetic tree of esxA; (b) Cumulative dN/dS ratio of esxA. Syn: synonymous mutations; nonsyn: non-synonymous mutations; indels: insertions and deletions.
Figure 4. (a) UPGMA (unweighted pair group method with arithmetic mean) phylogenetic tree of esxA; (b) Cumulative dN/dS ratio of esxA. Syn: synonymous mutations; nonsyn: non-synonymous mutations; indels: insertions and deletions.
Pathogens 08 00022 g004
Figure 5. Circular genomic map and genome comparison of the 17 genomes. The circle is divided into arcs representing the genomes as labeled. The black histogram represents the G+C content and purple-green histogram represents the G+C deviation. The function of genes which were part of major deletion events are labelled at the edge of the rings.
Figure 5. Circular genomic map and genome comparison of the 17 genomes. The circle is divided into arcs representing the genomes as labeled. The black histogram represents the G+C content and purple-green histogram represents the G+C deviation. The function of genes which were part of major deletion events are labelled at the edge of the rings.
Pathogens 08 00022 g005
Figure 6. Visualization of a maximum-likelihood phylogenetic tree, genome statistics, and assembly level of SI pan-genome.
Figure 6. Visualization of a maximum-likelihood phylogenetic tree, genome statistics, and assembly level of SI pan-genome.
Pathogens 08 00022 g006
Table 1. List of isolates deposited on NCBI as SI with corresponding genome information and sample data. bp: base pairs; CDSs: number of coding sequences; NA: not available; Year: date of submission on NCBI; Ref.: reference.
Table 1. List of isolates deposited on NCBI as SI with corresponding genome information and sample data. bp: base pairs; CDSs: number of coding sequences; NA: not available; Year: date of submission on NCBI; Ref.: reference.
#IsolateSize (bp)GC%RNACDSSample InformationYearCountryRef.Accession #Assembly Level
1F03951,927,27837.9691958NA2011USANAGCA_000234015.1Draft
2F04131,921,34737.6691950NA2011USANAGCA_000234035.1Draft
3BA11,965,88037.7741971Epidural abscess2012USAPlanet et al., 2013GCA_000313655.1Draft
4SK54 = ATCC 273351,910,71837.6311883NA2012USANAGCA_000258445.1Draft
5JTH081,933,61037.6791890NA2012JapanNAGCA_000306805.1Complete
6C2701,960,72837.6721910Human bronchopulmonary abscess2013CanadaOlson et al., 2013GCA_000463385.1Complete
7B1961,996,21437.6721923Broncho-pulmonary abscess, septic arthritis, osteomyelitis, pyomyositis2013CanadaOlson et al., 2013GCA_000463355.1Complete
8567_SINT2,069,67138.0562073NA2015USANAGCA_001073405.1Draft
9631_SCON1,968,69137.8571904NA2015USANAGCA_001073635.1Draft
10KCOM 15451,908,20137.6371870Oral Cavity, enonotic infection; collected in 20052015South KoreaNAGCA_001296205.1Complete
11TYG16202,006,87737.6722007Brain abscess in an infant2016JapanHasegawa et al., 2017GCA_002356055.1Complete
12303091,956,64637.5461915Abscess, pyogenic fluids of percutaneous drainage; collected in 20152018ChinaNAGCA_002879585.1Draft
13328111,970,38437.7481975Abscess, pyogenic fluids of percutaneous drainage; collected in 20152018ChinaNAGCA_002879575.1Draft
14FDAARGOS_2331,914,00637.7721868Abscess in an 15-months female; collected in 20142018USANAGCA_002073355.2Complete
15LAU_SINT1,950,26437.7541898Meningitis and brain abscess in an 13-years old male2018LebanonThis studyGCA_003284685.1Draft
16NCTC113241,932,95137.7721890NA2018NANAGCA_900475975.1Complete
17LC41,914,38237.8431871Abscess, pyogenic fluids of percutaneous drainage; collected in 20152018ChinaNAGCA_002879755.1Draft

Share and Cite

MDPI and ACS Style

Issa, E.; Salloum, T.; Panossian, B.; Ayoub, D.; Abboud, E.; Tokajian, S. Genome Mining and Comparative Analysis of Streptococcus intermedius Causing Brain Abscess in a Child. Pathogens 2019, 8, 22. https://doi.org/10.3390/pathogens8010022

AMA Style

Issa E, Salloum T, Panossian B, Ayoub D, Abboud E, Tokajian S. Genome Mining and Comparative Analysis of Streptococcus intermedius Causing Brain Abscess in a Child. Pathogens. 2019; 8(1):22. https://doi.org/10.3390/pathogens8010022

Chicago/Turabian Style

Issa, Elio, Tamara Salloum, Balig Panossian, David Ayoub, Edmond Abboud, and Sima Tokajian. 2019. "Genome Mining and Comparative Analysis of Streptococcus intermedius Causing Brain Abscess in a Child" Pathogens 8, no. 1: 22. https://doi.org/10.3390/pathogens8010022

APA Style

Issa, E., Salloum, T., Panossian, B., Ayoub, D., Abboud, E., & Tokajian, S. (2019). Genome Mining and Comparative Analysis of Streptococcus intermedius Causing Brain Abscess in a Child. Pathogens, 8(1), 22. https://doi.org/10.3390/pathogens8010022

Note that from the first issue of 2016, this journal uses article numbers instead of page numbers. See further details here.

Article Metrics

Back to TopTop