Anisakidae and Anisakidosis: A Public Health Perspective
Abstract
1. Introduction
2. Biology of Family Anisakidae
2.1. Genus Anisakis Dujardin, 1845
2.2. Genus Phocanema Myers, 1959
2.3. Genus Contracaecum Railliet and Henry, 1912
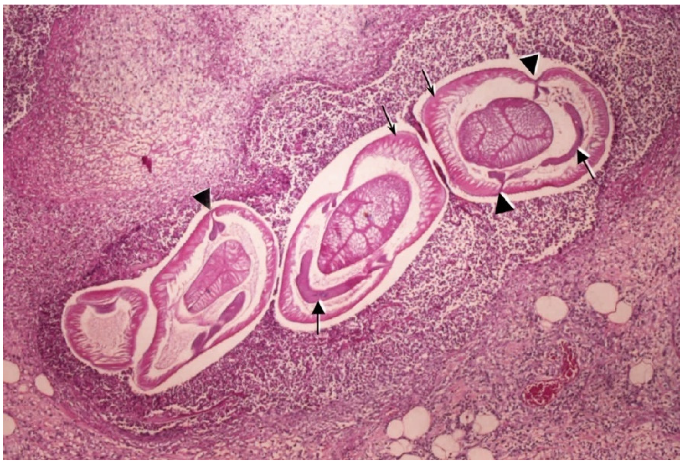
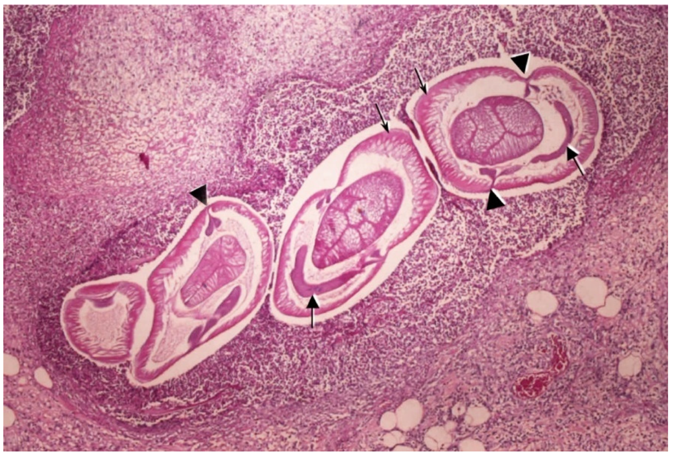
3. Anisakidosis
3.1. Clinical Manifestations
3.2. Diagnosis
3.3. Treatment
4. Anisakis spp., a Hidden Food Allergen
5. Epidemiology of Anisakidosis
6. Food Safety Considerations and Prevention of Anisakidosis
7. Conclusions and Future Perspectives
8. Literature Searching Criteria
Author Contributions
Funding
Acknowledgments
Conflicts of Interest
Appendix A
| Host Species | Anisakis Species |
|---|---|
| Cephalopods | |
| Histioteuthidae | |
| Histioteuthis bonnellii | Skrjabinisakis (Anisakis) physeteris [231] |
| Sepiidae | |
| Sepia officinalis | A. simplex (s. s.) [232] |
| Ommastrephidae | |
| Dosidicus gigas | S. physeteris [233] |
| Todarodes angolensis | A. pegreffii [234] |
| Todaropsis eblanae | A. simplex (s. s.) [232,234], A. pegreffii [234] |
| Todarodes sagittatus | A. simplex (s. s.) [232], A. pegreffii [235], S. physeteris [236] |
| Todarodes pacificus | A. typica [237] |
| Nototodarus sloanii | A. pegreffii |
| Illex coindettii | A. simplex (s. s.) [232], A. pegreffii [238], S. physeteris [239] |
| Onychotheutidae | |
| Ancistroteuthis lichtensteinii | S. physeteris [13] |
| Moroteuthis ingens | A. ziphidarum [240] |
| Chondrichthyes | |
| Carcharinidae | |
| Carcharinus brevipinna | A. typica [49] |
| Osteichthyes | |
| Anoplogastridae | |
| Anoplogaster cornuta | S. paggiae [241] |
| Anoplopomatidae | |
| Anopoploma fimbria | A. simplex (s. s.), A. berlandi [242] |
| Belonidae | |
| Belone belone | A. simplex (s. s.) [232], A. pegreffii [232,243] |
| Berycidae | |
| Beryx splendens | S. physeteris, S. brevispiculata, S. paggiae [244] |
| Bothidae | |
| Arnoglossus laterna | A. simplex (s. s.) [245] |
| Arnoglossus imperialias | A. pegreffii [245] |
| Bramidae | |
| Brama brama | A. pegreffii [234] |
| Caesionidae | |
| Caesio cuning | A. typica [246] |
| Carangidae | |
| Decapterus macarellus | A. typica [247] |
| Decapterus maruadsi | A. pegreffii [248] |
| Pseudocaranx dentex | A. pegreffii [249] |
| Selar crumenophthalmus | A. typica [246,247] |
| Seriola dumerili | A. pegreffii [52] |
| Seriola lalandi | A. pegreffii [248] |
| Trachurus capensis | A. pegreffii [234] |
| Trachurus declivis | A. pegreffii [250] |
| Trachurus mediterraneus | A. pegreffii [251] |
| Trachurus picturatus | A. simplex (s. s.) [252,253], A. pegreffii [251,252], A. typica [252,253] |
| Trachurus trachurus | A. simplex (s. s.) [232], A. pegreffii [251], A. typica [254], S. physeteris [251,254,255] |
| Centracanthidae | |
| Spicara smaris | A. pegreffii [256] |
| Centrolophidae | |
| Hyperoglyphe antarctica | A. berlandi [250] |
| Citharidae | |
| Citharus linguatula | A. simplex (s. s.) [245], A. pegreffii [245] |
| Clupeidae | |
| Alosa alosa | A. simplex (s. s.), A pegreffii [257] |
| Alosa fallax | A. simplex (s. s.), A pegreffii [257] |
| Clupanodon punctatus | A. simplex (s. s.) [258], A. pegreffii [248] |
| Clupea harengus | A. pegreffii [234] |
| Clupea pallasi | A. pegreffii [259] |
| Sardina pilchardus | A. pegreffii [251,260] |
| Sardinops sagax | A. simplex (s. s.), A. pegreffii, A. berlandi [261] |
| Sardinella zunasi | A. pegreffii [248] |
| Congridae | |
| Conger conger | A. simplex (s. s.) [232], A. pegreffii [234] |
| Conger myriaster | A. pegreffii [259], A. typica [262] |
| Coryphaenidae | |
| Coryphaena hippurus | A. simplex (s. s.) [26], A. pegreffii [248], A. typica [252] |
| Cottidae | |
| Myoxocephalus scorpius | A. simplex (s. s.) [13] |
| Dussumeiriidae | |
| Etrumeus whiteheadi | A. pegreffii [234] |
| Emmelichthydae | |
| Emmelichthys nitidus nitidus | A. pegreffii [234] |
| Engraulidae | |
| Engraulis encrasicolus | A. pegreffii [251,263] |
| Engraulis japonicus | A. pegreffii [248] |
| Exocoetidae | |
| Cheilopogon agoo | A. pegreffii [248] |
| Gadidae | |
| Boreogadus saida | A. simplex (s. s.) [236] |
| Gadus chalcogramma | A. simplex (s. s.) [234,258], A. pegreffii [264], S. brevispiculata, S. paggiae [264] |
| Gadus macrocephalus | A. pegreffii [248] |
| Gadus morhua | A. simplex (s. s.) [242,246,265,266] |
| Melanogrammus aeglefinus | A. simplex (s. s.) [246,266] |
| Micromestius poutassou | A. simplex (s. s.) [232], A. pegreffii [232,235,251], A. typica [243], S. physeteris [251,255] |
| Pollachius virens | A. simplex (s. s.) [267] |
| Trisopterus luscus | A. simplex (s. s.) [232] |
| Trisopterus minutus | A. zphidarum [268] |
| Gempylidae | |
| Rexea solandri | A. pegreffii, A. berlandi [250] |
| Thyrsites atun | A. pegreffii, A. berlandi [258] |
| Gerreidae | |
| Gerres oblongus | A. typica [247] |
| Hexagrammidae | |
| Hexagrammos agrammus | A. pegreffii, A. typica [248] |
| Hexagrammos otakii | A. pegreffii [248] |
| Pleurogrammus azonus | A. simplex (s. s.) [269] |
| Lateolabracidae | |
| Lateolabrax japonicus | A. pegreffii [248] |
| Lotidae | |
| Molva dypterygia | A. simplex (s. s.) [232] |
| Brosme brosme | A. simplex (s. s.) [258] |
| Lophiidae | |
| Lophius budegassa | A. simplex (s. s.), A. pegreffii [13,270], S. physeteris [270] |
| Lophius litulon | A. pegreffii [248] |
| Lophius piscatorius | A. simplex (s. s.) [232], A. pegreffii [234], S. physeteris [270] |
| Lophius vomerinus | A. pegreffii [234] |
| Lutjanidae | |
| Pinjalo lewisi | A. typica [247] |
| Pinjalo pinjalo | A. typica [247] |
| Macrouridae | |
| Macrourus berglax | A. simplex (s. s.) [271] |
| Merluccidae | |
| Macruronus novaezelandiae | A. pegreffii, A. berlandi [250] |
| Merluccius capensis | A. pegreffii [258] |
| Merluccius hubbsi | A. pegreffii [258] |
| Merluccius merluccius | A. simplex (s. s.) [232,258], A. pegreffii [251,258], A. typica [235,258], A. ziphidarum, S. physeteris, S. brevispiculata, S. paggiae [254] |
| Monacanthidae | |
| Thamnaconus modestus | A. pegreffii [248] |
| Moridae | |
| Mora moro | A. pegreffii, A. berlandi [250] |
| Pseudophycis bachus | A. pegreffii, A. berlandi [250,258] |
| Moronidae | |
| Dicentrarchus labrax | A. simplex (s. s.) [272] |
| Mullidae | |
| Mullus barbatus | A. simplex (s. s.) [256] |
| Mullus surmuletus | A. pegreffii [251] |
| Muraenesocidae | |
| Muraenesox cinereus | A. pegreffii [248] |
| Murenidae | |
| Muraena helena | A. pegreffii [235] |
| Myctophidae | |
| Electrona carlsbergi | A. berlandi [273] |
| Gymnoscopelus nicholsi | A. pegreffii [273], A. berlandi [273] |
| Myctophum punctatum | A. simplex (s. s.), A. pegreffii [274] |
| Nemipteridae | |
| Nemipterus bathybius | A. typica [275] |
| Nemipterus virgatus | A. typica [275] |
| Ophidiidae | |
| Genypterus capensis | A. pegreffii [234] |
| Oreosomatidae | |
| Allocyttus niger | A. berlandi [13] |
| Pseudocyttus maculatus | A. berlnadi [13] |
| Osmeridae | |
| Hypomesus japonicus | A. simplex (s. s.) [269] |
| Paralichthydae | |
| Pseudorhombus cinnamoneus | A. pegreffii [276] |
| Pholidae | |
| Pholis nebulosa | A. pegreffii [248] |
| Phycidae | |
| Phycis belennoides | A. pegreffii, S. physeteris [26,235] |
| Phycis phycis | A. pegreffii, A. typica, S. physeteris [26,235] |
| Pinguipedidae | |
| Parapercis colias | A. pegreffii, A. berlandi [258] |
| Platycephalidae | |
| Cociella crocodilus | A. pegreffii [248] |
| Platycephalus richardsoni | A. pegreffii [277] |
| Pleuronectidae | |
| Cleisthenes herzensteini | A. pegreffii [248] |
| Hippoglossoides dubius | A. pegreffii [278] |
| Hippoglossus hippoglossus | A. simplex (s. s.) [236] |
| Platichthys flesus | A. typica [245] |
| Pleuronectes platessa | A. simplex (s. s.) [279] |
| Pseudopleuronectes yokohamae | A. pegreffii [248] |
| Pomacentridae | |
| Lutjanus erythropterus | A. pegreffii [248] |
| Rachycentridae | |
| Rachycentron canadum | A. pegreffii [248] |
| Salmonidae | |
| Oncorhynchus gorbusha | A. simplex (s. s.) [280] |
| Oncorhynchus keta | A. simplex (s. s.) [280] |
| Oncorhynchus nerka | A. simplex (s. s.) [280] |
| Salmo salar | A. simplex (s. s.) [258] |
| Scophtalmidae | |
| Lepidorhombus boscii | A. sipmlex (s. s.) [232], A. pegreffii [245] |
| Scienidae | |
| Collichthys niveatus | A. pegreffii [248] |
| Larimichthys polyactis | A. pegreffii [248] |
| Nibea albiflora | A. pegreffii [248] |
| Pennahaia argentata | A. pegreffii [248] |
| Scomberesocidae | |
| Scomberesox saurus | A. simplex (s. s.) [234] |
| Scombridae | |
| Auxis thazard | A. pegreffii, A. typica [248], S. physeteris [281] |
| Euthynnus affinis | A. typica [252] |
| Euthynnus alletteratus | A. simplex (s. s.), A. pegreffii [282] |
| Katsuwonus pelamis | A. typica [246] |
| Rastelliger kanagurta | Unpublished (GenBank accession AB432909) |
| Sarda orientalis | A. typica [252] |
| Scomber australasicus | A. simplex (s. s.), A. pegreffii [52,278], A. typica, S. physeteris, S. brevispiculata, S. paggiae [283] |
| Scomber colias | A. pegreffii [234,256] |
| Scomber japonicus | A. simplex (s. s.) [269,282], A. pegreffii [248,282,284], A. ziphidarum, A. nascettii, A. typica, S. physeteris [38,253] |
| Scomber scombrus | A. simplex (s. s.) [232], A. pegreffii [251], A. typica, A. ziphidarum, A. nascettii [282], S. physeteris [235] |
| Scomberomorus commerson | A. typica [252] |
| Scomberomorus maculatus | A. typica [247] |
| Scomberomorus niphonius | A. pegreffii [248] |
| Thunnus albacares | A. typica [247] |
| Thunnus thynnus | A. simplex (s. s.) [234], A. pegreffii [234,235], A. typica [254] |
| Scorpenidae | |
| Helicolenus dactylopterus | A. pegreffii [234] |
| Hoplosebastes armatus | A. simplex (s. s.), A. pegreffii [232] |
| Scorpaena scrofa | A. simplex (s. s.), A. pegreffii [232] |
| Sebastidae | |
| Sebastolobus alascanus | A. berlandi [246] |
| Sebastodes fuscescens | A. pegreffii [248] |
| Sillaginidae | |
| Sillago sihama | A. pegreffii [248] |
| Soleidae | |
| Discoglossa cuneata | A. pegreffii [245] |
| Solea senegalensis | A. simplex (s. s.) [245] |
| Sparidae | |
| Diplodus annularis | A. pegreffii [256] |
| Pagellus bogaraveo | A. simplex (s. s.), A. pegreffii, A. typica, A. ziphidarum, S. physeteris [285] |
| Spondyliosoma cantharus | A. simplex (s. s.) [232] |
| Sternoptychidae | |
| Maurolicus muelleri | A. simplex (s. s.) [286] |
| Stromateidae | |
| Pampus argenteus | A. pegreffii [248] |
| Synanceiidae | |
| Inimicus japonicus | A. pegreffii [248] |
| Synodontidae | |
| Saurida elongata | A. pegreffii [248] |
| Tetraodontidae | |
| Takifugu niphobles | A. pegreffii [248] |
| Takifugu poecilonotus | A. pegreffii [278] |
| Trachichthydae | |
| Hoplostethus atlanticus | A. pegreffii [234], A. berlandi [250] |
| Hoplostethus cadenati | A. ziphidarum, A. typica, S. physteris, S. brevispiculata [287] |
| Hoplostethus mediterraneus | A. berlandi [234] |
| Trachinidae | |
| Echiichthys vipera | A. pegreffii [235] |
| Trachinus draco | A. pegreffii [235] |
| Trichiuridae | |
| Aphanopus carbo | A. simplex (s. s.) [246], A. pegreffii [253], A. ziphidarum, A. nascettii [253], S. physeteris [236], S. brevispiculata [13], S. paggiae [288] |
| Lepidopus caudatus | A. pegreffii [258], A. ziphidarum [13], S. physeteris [13] |
| Trichiurus lepturus | A. simplex (s. s.) [13] A. pegreffii [235,248], A. typica [246] |
| Trichodontidae | |
| Arctoscopus japonicus | A. pegreffii [278] |
| Triglidae | |
| Chelidonichthys kumu | A. pegreffii, A. typica [248] |
| Eutrigla gurnardus | A. simplex (s. s.) [232] |
| Xiphiidae | |
| Xiphias gladius | A. simplex (s. s.) [289], A. pegreffii [234], A. ziphidarum, A. typica [254], S. physeteris, S. brevispiculata, S. paggiae [289] |
| Zeidae | |
| Zeus faber | A. pegreffii [251] |
| Zeus japonicus | A. pegreffii [248] |
| Zoarcidae | |
| Zoarces elongatus | A. pegreffii [248] |
| Host Species | Phocanema Species |
|---|---|
| Arhynchobatidae | |
| Sympterygia bonapartii | Ph. cattani [290] |
| Atlantoraja castelanui | Ph. cattani [290] |
| Channichthydae | |
| Chaenocephalus aceratus | Ph. decipiens E [291] |
| Cottidae | |
| Myoxocephalus scorpius | Ph. decipiens (s. s.) [54] |
| Myoxocephalus quadricornis | Ph. bulbosum [63], Ph. azarasi [26] |
| Gadidae | |
| Gadus morhua macrocephalus | Ph. decipiens (s. s.) [64], Ph. bulbosum [63], Ph. azarasi [63,64] |
| Gadus morhua | Ph. krabbei [54,292], Ph. decipiens (s. s.) [54,292], Ph. bulbosum [292] |
| Gadus ogac | Ph. decipiens (s. s.) [54] |
| Pollachius virens | Ph. krabbei, Ph. decipiens (s. s.) [54] |
| Melanogrammus aeglefinus | Ph. krabbei [54] |
| Boreogadus saida | Ph. decipiens (s. s.) [54] |
| Gempylidae | |
| Thyrsites atun | Ph. cattani [293] |
| Lotidae | |
| Brosme brosme | Ph. decipiens (s. s.) [54] |
| Macrouirdae | |
| Macrourus berglax | Ph. bulbosum [294] |
| Merluccidae | |
| Merluccius gayi | Ph. cattani [293] |
| Notothenidae | |
| Notothenia coriiceps | Ph. decipiens E [295] |
| Notothenia neglecta | Ph. decipiens E [26] |
| Trematomus newnesi | Ph. decipiens E [26] |
| Ophidiidae | |
| Genypterus maculatus | Ph. cattani [296] |
| Osmeridae | |
| Osmerus eperlanus | Ph. decipiens (s. s.) [291,297] |
| Paralichthydae | |
| Paralichthys isosceles | Ph. cattani [59] |
| Paralichthys microps | Ph. cattani [296] |
| Paralichthys patagonicus | Ph. cattani [295] |
| Percophidae | |
| Percophis brasiliensis | Ph. cattani [59] |
| Pinguipedidae | |
| Pseudopercis semifasciata | Ph. cattani [295] |
| Pleuronectidae | |
| Hippoglossus hippoglossus | Ph. bulbosum, Ph. azarasi [63] |
| Hippoglosoides platessoides | Ph. decipiens (s. s.) [54,292], Ph. bulbosum, Ph. krabbei [54] |
| Reinherdtius hippoglossoides | Ph. bulbosum [54] |
| Scombridae | |
| Scombrus scombrus | Ph. decipiens (s. s.) [292] |
| Scophthalmidae | |
| Psetta maxima | Ph. krabbei [54] |
| Serranidae | |
| Acanthistius patachonicus | Ph. cattani [295] |
| Triglidae | |
| Prionotus nudigula | Ph. cattani [59] |
| Host Species | Contracaecum Species |
|---|---|
| Bathydragonidae | |
| Gymnodraco acuticeps | C. osculatum D [258], C. osculatum E [26] |
| Cygnodraco mawsonii | C. osculatum D, C. osculatum E [26] |
| Channichthydae | |
| Cryodraco antarcticus | C. osculatum D [69,258], C. radiatum [298] |
| Chionodraco hamatus | C. osculatum D [69,258], C. osculatum [298] |
| Pagetopsis macropterus | C. osculatum D, C. osculatum E [26] |
| Chaenodraco wilsoni | C. osculatum D, C. osculatum E [26] |
| Cottidae | |
| Myoxocephalus quadricornis | C. osculatum (s. s.) [291], C. osculatum B [299] |
| Gadidae | |
| Gadus chalcogrammus | C. osculatum A [63,64] |
| Gadus morhua macrocephalus | C. osculatum A [63] |
| Gadus morhua | C. osculatum B [258] |
| Notothenidae | |
| Notothenia neglecta | C. osculatum D, C. osculatum E [69] |
| Trematomus bernachii | C. osculatum D [300], C. osculatum E [258] |
| Trematomus hansoni | C. osculatum D, C. osculatum E [300] |
| Trematomus newneso | C, osculatum D, C. osculatum E [300] |
| Trematomus pennelli | C. osculatum D, C. osculatum E [69] |
| Osmeridae | |
| Mallostus vilosus | C. osculatum B [299] |
| Pleuronectidae | |
| Hippoglossus hippoglossus | C. osculatum A [63] |
| Hippoglossoides platessoides | C. osculatum A, C. osculatum B [299] |
| Pseudopleuronectes americanus | C. osculatum B [299] |
| Reinhardtius hippoglossoides | C. osculatum A, C. osculatum B, C. osculatum (s. s.) [294] |
References
- Šimat, V. Nutraceuticals and Pharmaceuticals from Marine Fish and Invertebrates. Mar. Drugs 2021, 19, 401. [Google Scholar] [CrossRef] [PubMed]
- FAO. The State of World Fisheries and Aquaculture 2022. Towards Blue Transformation; FAO: Rome, Italy, 2022. [Google Scholar]
- Carlucci, D.; Nocella, G.; De Devitiis, B.; Viscecchia, R.; Bimbo, F.; Nardone, G. Consumer purchasing behaviour towards fish and seafood products. Patterns and insights from a sample of international studies. Appetite 2015, 84, 212–227. [Google Scholar] [CrossRef] [PubMed]
- Audicana, M.T.; Kennedy, M.W. Anisakis simplex: From obscure infectious worm to inducer of immune hypersensitivity. Clin. Microbiol. Rev. 2008, 21, 360–379. [Google Scholar] [CrossRef] [PubMed]
- World Health Organization. WHO Estimates of the Global Burden of Foodborne Diseases; WHO: Geneva, Switzerland, 2015. [Google Scholar]
- EFSA Panel on Biological Hazards (BIOHAZ). Scientific Opinion on risk assessment of parasites in fishery products. EFSA J. 2010, 8, 1543. [Google Scholar]
- EFSA Panel on Biological Hazards (BIOHAZ); Allende, A.; Alvarez-Ordóñez, A.; Bortolaia, V.; Bover-Cid, S.; De Cesare, A.; Dohmen, W.; Guillier, L.; Herman, L.; Jacxsens, L.; et al. Re-evaluation of certain aspects of the EFSA Scientific Opinion of April 2010 on risk assessment of parasites in fishery products, based on new scientific data. Part 1: ToRs1-3. EFSA J. 2024, 22, e8719. [Google Scholar]
- Pampiglione, S.; Rivasi, F.; Criscuolo, M.; De Benedittis, A.; Gentile, A.; Russo, S.; Testini, M.; Villani, M. Human Anisakiasis in Italy: A report of eleven new cases. Pathol. Res. Pract. 2002, 198, 429–434. [Google Scholar] [CrossRef]
- Bao, M.; Giulietti, L.; Levsen, A.; Karlsbakk, E. Resurrection of genus Phocanema Myers, 1959, as a genus independent from Pseudoterranova Mozgovoĭ, 1953, for nematode species (Anisakidae) parasitic in pinnipeds and cetaceans, respectively. Parasitol. Int. 2023, 97, 102794. [Google Scholar] [CrossRef]
- Suzuki, J.; Murata, R.; Kodo, Y. Current Status of Anisakiasis and Anisakis Larvae in Tokyo, Japan. Food Saf. 2021, 9, 89–100. [Google Scholar] [CrossRef]
- Bouwknegt, M.; Devleesschauwer, B.; Graham, H.; Robertson, L.J.; van der Giessen, J.W.B.; Akkari, H.; Banu, T.; Koc, R.C.; Chalmers, R.; Cretu, C.M.; et al. Prioritisation of food-borne parasites in Europe, 2016. Eurosurveillance 2018, 23, 17–00161. [Google Scholar] [CrossRef]
- European Commission RASFF Window. Available online: https://webgate.ec.europa.eu/rasff-window/screen/search (accessed on 15 September 2024).
- Mattiucci, S.; Cipriani, P.; Levsen, A.; Paoletti, M.; Nascetti, G. Molecular epidemiology of Anisakis and anisakiasis: An ecological and evolutionary road map. Adv. Parasitol. 2018, 99, 93–263. [Google Scholar]
- Miles, S.; Fordham, R.; Mills, C.; Valovirta, E.; Mugford, M. A framework for measuring costs to society of IgE-mediated food allergy. Allergy 2005, 60, 996–1003. [Google Scholar] [CrossRef] [PubMed]
- Seal, A.; Harding, C.; Shamsi, S. A preliminary report on the awareness and knowledge of seafood-borne parasitic diseases among medical doctors in Australia. Parasitol. Int. 2020, 74, 101993. [Google Scholar] [CrossRef] [PubMed]
- Steele, S.G.; Booy, R.; Manocha, R.; Mor, S.M.; Toribio, J.A.L.M.L. Towards One Health clinical management of zoonoses: A parallel survey of Australian general medical practitioners and veterinarians. Zoonoses Public Health 2021, 68, 88–102. [Google Scholar] [CrossRef] [PubMed]
- Shamsi, S. Recent advances in our knowledge of Australian anisakid nematodes. Int. J. Parasitol. Parasites Wildl. 2014, 3, 178–187. [Google Scholar] [CrossRef]
- Mazzucco, W.; Raia, D.D.; Marotta, C.; Costa, A.; Ferrantelli, V.; Vitale, F.; Casuccio, A. Anisakis sensitization in different population groups and public health impact: A systematic review. PLoS ONE 2018, 13, e0203671. [Google Scholar] [CrossRef]
- de Las Vecillas, L.; Muñoz-Cacho, P.; López-Hoyos, M.; Monttecchiani, V.; Martínez-Sernández, V.; Ubeira, F.M.; Rodríguez-Fernández, F. Analysis of Ani s 7 and Ani s 1 allergens as biomarkers of sensitization and allergy severity in human anisakiasis. Sci. Rep. 2020, 10, 11275. [Google Scholar] [CrossRef]
- Giuliano, A.F.M.; Buquicchio, R.; Gatto, V.; Nenna, S.; Ventura, M.T. Anisakiasis: The Importance of Prevention and the Role of Diet Therapy in Allergic Patients. Int. Arch. Allergy Immunol. 2020, 181, 507–511. [Google Scholar] [CrossRef]
- Viñas, M.; Postigo, I.; Suñén, E.; Martínez, J. Urticaria and silent parasitism by ascaridoidea: Component-resolved diagnosis reinforces the significance of this association. PLoS Neglected Trop. Dis. 2020, 14, e0008177. [Google Scholar] [CrossRef]
- Hu, H.; Luo, W.; Wu, Z.; Cai, C.; Huang, H.; Sun, B. A pilot study on the allergen-specific IgE to molecular components on polysensitized mite allergic asthmatic patients in Guangzhou, China. Mol. Immunol. 2019, 105, 38–45. [Google Scholar] [CrossRef]
- González-Fernández, J.; Ullate, L.; Fernández-Fígares, V.; Rodero, M.; Daschner, A.; Cuéllar, C. Serum IgA contributes to the comprehension of Anisakis simplex associated chronic urticaria. Int. Immunopharmacol. 2024, 129, 111602. [Google Scholar] [CrossRef] [PubMed]
- Jerončić, A.; Nonković, D.; Vrbatović, A.; Hrabar, J.; Bušelić, I.; Martínez-Sernández, V.; Lojo Rocamonde, S.A.; Ubeira, F.M.; Jaman, S.; Jeličić, E.Č.; et al. Anisakis sensitization in the Croatian fish processing workers: Behavioral instead of occupational risk factors? PLoS Neglected Trop. Dis. 2020, 14, e0008038. [Google Scholar] [CrossRef]
- Laustsen, B.H.; Omland, Ø.; Würtz, E.T.; Sigsgaard, T.; Ebbehøj, N.E.; Carstensen, O.; Rasmussen, K.; Kamath, S.D.; Lopata, A.L.; Bønløkke, J.H. Rhino Conjunctivitis and Asthma Among Seafood Processing Workers in Greenland. A Cross-Sectional Study. Front. Allergy 2021, 2, 747011. [Google Scholar] [CrossRef]
- Mattiucci, S.; Nascetti, G. Advances and trends in the molecular systematics of anisakid nematodes, with implications for their evolutionary ecology and host-parasite co-evolutionary processes. Adv. Parasitol. 2008, 66, 47–148. [Google Scholar] [PubMed]
- Mattiucci, S.; Cipriani, P.; Webb, S.C.; Paoletti, M.; Marcer, F.; Bellisario, B.; Gibson, D.I.; Nascetti, G. Genetic and morphological approaches distinguish the three sibling species of the Anisakis simplex Species Complex, with a species designation as Anisakis berlandi n. sp. for A. simplex sp. C (Nematoda: Anisakidae). J. Parasitol. 2014, 100, 199–214. [Google Scholar] [CrossRef]
- Klimpel, S.; Palm, H.W. Anisakid nematode (Ascaridoidea) life cycles and distribution: Increasing zoonotic potential in the time of climate change? In Progress in Parasitology. Parasitology Research Monographs; Mehlhorn, H., Ed.; Springer: Berlin/Heidelberg, Germany, 2011; Volume 2, pp. 201–222. ISBN 9783642213960. [Google Scholar]
- Blažeković, K.; Pleić, I.L.; Duras, M.; Gomerčić, T.; Mladineo, I. Three Anisakis spp. isolated from toothed whales stranded along the eastern Adriatic Sea coast. Int. J. Parasitol. 2015, 45, 17–31. [Google Scholar] [CrossRef] [PubMed]
- Hrabar, J.; Smodlaka, H.; Rasouli-Dogageh, S.; Petrić, M.; Trumbić, Ž.; Palmer, L.; Sakamaki, K.; Pavelin, T.; Mladineo, I. Phylogeny and pathology of anisakids parasitizing stranded California Sea Lions (Zalophus californianus) in Southern California. Front. Mar. Sci. 2021, 8, 636626. [Google Scholar] [CrossRef]
- D’Amelio, S.; Mathiopoulos, K.D.; Santos, C.P.; Pugachev, O.N.; Webb, S.C.; Picanço, M.; Paggi, L. Genetic markers in ribosomal DNA for the identification of members of the genus Anisakis (Nematoda: Ascaridoidea) defined by polymerase-chain- reaction-based restriction fragment length polymorphism. Int. J. Parasitol. 2000, 30, 223–226. [Google Scholar] [CrossRef] [PubMed]
- Mattiucci, S.; Acerra, V.; Paoletti, M.; Cipriani, P.; Levsen, A.; Webb, S.C.; Canestrelli, D.; Nascetti, G. No more time to stay “single” in the detection of Anisakis pegreffii, A. simplex (s. s.) and hybridization events between them: A multi-marker nuclear genotyping approach. Parasitology 2016, 143, 998–1011. [Google Scholar] [CrossRef] [PubMed]
- Mladineo, I.; Trumbić, Ž.; Radonić, I.; Vrbatović, A.; Hrabar, J.; Bušelić, I. Anisakis simplex complex: Ecological significance of recombinant genotypes in an allopatric area of the Adriatic Sea inferred by genome-derived simple sequence repeats. Int. J. Parasitol. 2017, 47, 215–223. [Google Scholar] [CrossRef] [PubMed]
- Palomba, M.; Paoletti, M.; Webb, S.C.; Nascetti, G.; Mattiucci, S. A novel nuclear marker and development of an ARMS-PCR assay targeting the metallopeptidase 10 (nas 10) locus to identify the species of the Anisakis simplex(s. l.) complex (Nematoda, Anisakidae). Parasite 2020, 27, 39. [Google Scholar] [CrossRef] [PubMed]
- Safonova, A.E.; Voronova, A.N.; Vainutis, K.S. First report on molecular identification of Anisakis simplex in Oncorhynchus nerka from the fish market, with taxonomical issues within Anisakidae. J. Nematol. 2021, 53, e2021-23. [Google Scholar] [CrossRef] [PubMed]
- Shamsi, S.; Spröhnle-Barrera, C.; Hossen, M.S. Occurrence of Anisakis spp. (Nematoda: Anisakidae) in a pygmy sperm whale Kogia breviceps (Cetacea: Kogiidae) in Australian waters. Dis. Aquat. Organ. 2019, 134, 65–74. [Google Scholar] [CrossRef]
- Palm, H.W.; Damriyasa, I.M.; Linda; Oka, I.B.M. Molecular genotyping of Anisakis Dujardin, 1845 (Nematoda: Ascaridoidea: Anisakidae) larvae from marine fish of Balinese and Javanese waters, Indonesia. Helminthologia 2008, 45, 3–12. [Google Scholar] [CrossRef]
- Suzuki, J.; Murata, R.; Hosaka, M.; Araki, J. Risk factors for human Anisakis infection and association between the geographic origins of Scomber japonicus and anisakid nematodes. Int. J. Food Microbiol. 2010, 137, 88–93. [Google Scholar] [CrossRef] [PubMed]
- Romero, M.C.; Valero, A.; Navarro, M.C.; Hierro, I.; Barón, S.D.; Martín-Sánchez, J. Experimental demonstration of pathogenic potential of Anisakis physeteris and Anisakis paggiae in Wistar rats. Parasitol. Res. 2014, 113, 4377–4386. [Google Scholar] [CrossRef] [PubMed]
- Marcogliese, D.J. The role of zooplankton in the transmission of helminth parasites to fish. Rev. Fish Biol. Fish. 1995, 5, 336–371. [Google Scholar] [CrossRef]
- Køie, M. Experimental infections of copepods and sticklebacks Gasterosteus aculeatus with small ensheathed and large third-stage larvae of Anisakis simplex (Nematoda, Ascaridoidea, Anisakidae). Parasitol. Res. 2001, 87, 32–36. [Google Scholar] [CrossRef]
- Køie, M.; Berland, B.; Burt, M.D. Development to third-stage larvae occurs in the eggs of Anisakis simplex and Pseudoterranova decipiens (Nematoda, Ascaridoidea, Anisakidae). Can. J. Fish. Aquat. Sci. 1995, 52, 134–139. [Google Scholar] [CrossRef]
- Mladineo, I.; Charouli, A.; Jelić, F.; Chakroborty, A.; Hrabar, J. In vitro culture of the zoonotic nematode Anisakis pegreffii (Nematoda, Anisakidae). Parasites Vectors 2023, 16, 51. [Google Scholar] [CrossRef] [PubMed]
- Klimpel, S.; Palm, H.W.; Rückert, S.; Piatkowski, U. The life cycle of Anisakis simplex in the Norwegian Deep (northern North Sea). Parasitol. Res. 2004, 94, 1–9. [Google Scholar] [CrossRef] [PubMed]
- Gregori, M.; Roura, Á.; Abollo, E.; González, Á.F.; Pascual, S. Anisakis simplex complex (Nematoda: Anisakidae) in zooplankton communities from temperate NE Atlantic waters. J. Nat. Hist. 2015, 49, 755–773. [Google Scholar] [CrossRef]
- Nagasawa, K. The life cycle of Anisakis simplex: A review. In Intestinal Anisakiasis in Japan; Ishikura, H., Kokichi, K., Eds.; Springer: Tokyo, Japan, 1990; pp. 31–40. [Google Scholar]
- Chai, J.Y.; Murrell, K.D.; Lymbery, A.J. Fish-borne parasitic zoonoses: Status and issues. Int. J. Parasitol. 2005, 35, 1233–1254. [Google Scholar] [CrossRef]
- Sakanari, J.A.; Mckerrow, J.H. Anisakiasis. Clin. Microbiol. Rev. 1989, 2, 278–284. [Google Scholar] [CrossRef] [PubMed]
- Shamsi, S.; Briand, M.J.; Justine, J. Lou Occurrence of Anisakis (Nematoda: Anisakidae) larvae in unusual hosts in Southern hemisphere. Parasitol. Int. 2017, 66, 837–840. [Google Scholar] [CrossRef] [PubMed]
- International Council for the Exploration of the Sea (ICES). Anisakis larvae (“herringworm”; Nematoda) in Fish. Revised and Updated by Matt Longshaw; ICES: Copenhagen, Denmark, 2012; Volume Leaflet No 8. [Google Scholar]
- Berland, B. Nematodes from some Norwegian marine fishes. Sarsia 1961, 2, 1–50. [Google Scholar] [CrossRef]
- Quiazon, K.M.A.; Yoshinaga, T.; Ogawa, K.; Yukami, R. Morphological differences between larvae and in vitro-cultured adults of Anisakis simplex (sensu stricto) and Anisakis pegreffii (Nematoda: Anisakidae). Parasitol. Int. 2008, 57, 483–489. [Google Scholar] [CrossRef] [PubMed]
- Fiorenza, E.A.; Wendt, C.A.; Dobkowski, K.A.; King, T.L.; Pappaionou, M.; Rabinowitz, P.; Samhouri, J.F.; Wood, C.L. It’s a wormy world: Meta-analysis reveals several decades of change in the global abundance of the parasitic nematodes Anisakis spp. and Pseudoterranova spp. in marine fishes and invertebrates. Glob. Chang. Biol. 2020, 26, 2854–2866. [Google Scholar] [CrossRef]
- Paggi, L.; Nascetti, G.; Cianchi, R.; Orecchia, P.; Mattiucci, S.; D’Amelio, S.; Berland, B.; Brattey, J.; Smith, J.W.; Bullini, L. Genetic evidence for three species within Pseudoterranova decipiens (Nematoda, Ascaridida, Ascaridoidea) in the North Atlantic and Norwegian and Barents seas. Int. J. Parasitol. 1991, 21, 195–212. [Google Scholar] [CrossRef]
- Mercado, R.; Torres, P.; Maira, J. Human case of gastric infection by a fourth larval stage of Pseudoterranova decipiens (Nematoda, Anisakidae). Rev. Saude Publica 1997, 31, 178–181. [Google Scholar] [CrossRef] [PubMed]
- Mitsuboshi, A.; Yamaguchi, H.; Ito, Y.; Mizuno, T.; Tokoro, M.; Kasai, M. Extra-gastrointestinal anisakidosis caused by Pseudoterranova azarasi manifesting as strangulated inguinal hernia. Parasitol. Int. 2017, 66, 810–812. [Google Scholar] [CrossRef] [PubMed]
- Menghi, C.I.; Gatta, C.L.; Arias, L.E.; Santoni, G.; Nicola, F.; Smayevsky, J.; Degese, M.F.; Krivokapich, S.J. Human infection with Pseudoterranova cattani by ingestion of “ceviche” in Buenos Aires, Argentina. Rev. Argent. Microbiol. 2020, 52, 118–120. [Google Scholar] [CrossRef] [PubMed]
- McClelland, G. The trouble with sealworms (Pseudoterranova decipiens species complex, Nematoda): A review. Parasitology 2002, 124, S183–S203. [Google Scholar] [CrossRef] [PubMed]
- Hernández-Orts, J.S.; Aznar, F.J.; Blasco-Costa, I.; García, N.A.; Víllora-Montero, M.; Crespo, E.A.; Raga, J.A.; Montero, F.E. Description, microhabitat selection and infection patterns of sealworm larvae (Pseudoterranova decipiens species complex, nematoda: Ascaridoidea) in fishes from Patagonia, Argentina. Parasites Vectors 2013, 6, 252. [Google Scholar] [CrossRef] [PubMed]
- ICES. Pseudoterranova larvae (“codworm”; Nematoda) in fish. Revised and updated by Matt Longshaw. In ICES Identification Leaflets for Diseases and Parasites of Fish and Shellfish; Leaflet No. 7; ICES: Copenhagen, Denmark, 2012. [Google Scholar]
- Paggi, L.; Mattiucci, S.; Gibson, D.I.; Berland, B.; Nascetti, G.; Cianchi, R.; Bullini, L. Pseudoterranova decipiens species A and B (Nematoda, Ascaridoidea): Nomenclatural designation, morphological diagnostic characters and genetic markers. Syst. Parasitol. 2000, 45, 185–197. [Google Scholar] [CrossRef]
- Brattey, J.; Stenson, G.B. Host specificity and abundance of parasitic nematodes (Ascaridoidea) from the stomachs of five phocid species from Newfoundland and Labrador. Can. J. Zool. 1993, 71, 2156–2166. [Google Scholar] [CrossRef]
- Paggi, L.; Mattiucci, S.; Ishikura, H.; Kikuchi, K.; Sato, N.; Nascetti, G.; Cianchi, R.; Bullini, L. Molecular genetics in anisakid nematodes from the Pacific Boreal Region. In Host Response to International Parasitic Zoonoses; Ishikura, H., Aikawa, M., Itakura, H., Kikuchi, K., Eds.; Springer: Tokyo, Japan, 1998; pp. 83–107. [Google Scholar]
- Mattiucci, S.; Paggi, L.; Nascetti, G.; Ishikura, H.; Kikuchi, K.; Sato, N.; Cianchi, R.; Bullini, L. Allozyme and morphological identification of Anisakis, Contracaecum and Pseudoterranova from Japanese waters (Nematoda, Ascaridoidea). Syst. Parasitol. 1998, 40, 81–92. [Google Scholar] [CrossRef]
- George-Nascimento, M.; Urrutia, X. Pseudoterranova cattani sp. nov. (Ascaridoidea: Anisakidae), a parasite of the South American sea lion Otaria byronia De Blainville from Chile. Rev. Chil. Hist. Nat. 2000, 73, 93–98. [Google Scholar] [CrossRef]
- Hernández-Orts, J.S.; Montero, F.E.; Juan- García, A.; García, N.A.; Crespo, E.A.; Raga, J.A.; Aznar, F.J. Intestinal helminth fauna of the South American sea lion Otaria flavescens and fur seal Arctocephalus australis from northern Patagonia, Argentina. J. Helminthol. 2013, 87, 336–347. [Google Scholar] [CrossRef]
- Mattiucci, S.; Paoletti, M.; Webb, S.C.; Sardella, N.; Timi, J.T.; Berland, B.; Nascetti, G. Genetic relationships among species of Contracaecum Railliet & Henry, 1912 and Phocascaris Höst, 1932 (Nematoda: Anisakidae) from pinnipeds inferred from mitochondrial cox2 sequences, adn congruence with allozyme data. Parasite 2008, 15, 408–419. [Google Scholar] [PubMed]
- Nadler, S.A.; D’Amelio, S.; Fagerholm, H.P.; Berland, B.; Paggi, L. Phylogenetic relationships among species of Contracaecum Railliet and Henry, 1912 and Phocascaris Host, 1932 (Nematoda: Ascaridoidea) based on nuclear rDNA sequence data. Parasitology 2000, 121, 455–463. [Google Scholar] [CrossRef] [PubMed][Green Version]
- Orecchia, P.; Mattiucci, S.; D’Amelio, S.; Paggi, L.; Plötz, J.; Cianchi, R.; Nascetti, G.; Arduino, P.; Bullini, L. Two new members in the Contracaecum osculatum complex (Nematoda, Ascaridoidea) from the antarctic. Int. J. Parasitol. 1994, 24, 367–377. [Google Scholar] [CrossRef]
- Strøm, S.B.; Haarder, S.; Korbut, R.; Mejer, H.; Thamsborg, S.M.; Kania, P.W.; Buchmann, K. Third-stage nematode larvae of Contracaecum osculatum from Baltic cod (Gadus morhua) elicit eosinophilic granulomatous reactions when penetrating the stomach mucosa of pigs. Parasitol. Res. 2015, 114, 1217–1220. [Google Scholar] [CrossRef]
- Nagasawa, K. The biology of Contracecum osculatum sensu lato and C. osculatum A (Nematoda: Anisakidae) in Japanese waters: A review. Biosph. Sci. 2012, 51, 61–69. [Google Scholar]
- Shamsi, S.; Butcher, A.R. First report of human anisakidosis in Australia. Med. J. Aust. 2011, 194, 199–200. [Google Scholar] [CrossRef] [PubMed]
- Klöser, H.; Plötz, J. Morphological distinction between adult Contracaecum radiatum and Contracaecum osculatum (Nematoda, Anisakidae) from the Weddell seal (Leptonychotes weddelli). Zool. Scr. 1992, 21, 129–132. [Google Scholar] [CrossRef]
- Køie, M.; Fagerholm, H.-P. Third-stage larvae emerge from eggs of Contracaecum osculatum (Nematoda, Anisakidae). J. Parasitol. 1993, 79, 777–780. [Google Scholar] [CrossRef]
- Davey, J.T. The Early Development of Contracaecum osculatum. J. Helminthol. 1969, 43, 293–298. [Google Scholar] [CrossRef]
- Likely, C.G.; Burt, M.D. In vitro cultivation of Contracaecum osculatum (Nematoda:Anisakidae) from third-stage larvae to egg-laying adults. Can. J. Fish. Aquat. Sci. 1992, 49, 347–348. [Google Scholar] [CrossRef]
- Smith, J.W.; Wootten, R. Phocascaris/Contracaecum larvae (Nematoda) in fish = Parasitose des poissons par les larves des Nématodes Phocascaris/Contracaecum. In Fiches d’Identification des Maladies et Parasites des Poissons, Crustacés et Mollusques; ICES: Copenhagen, Denmark, 1984; Volume 9, pp. 1–4. [Google Scholar]
- Pinheiro, R.H.D.S.; Furtado, A.P.; Dos Santos, J.N.; Giese, E.G. Contracaecum larvae: Morphological and morphometric retrospective analysis, biogeography and zoonotic risk in the amazon. Bras. J. Vet. Parasitol. 2019, 28, 12–32. [Google Scholar] [CrossRef] [PubMed]
- Nascetti, G.; Cianchi, R.; Mattiucci, S.; D’amelio, S.; Orecchia, P.; Paggi, L.; Brattey, J.; Berland, B.; Smith, J.W.; Bullini, L. Three sibling species within Contracaecum osculatum (nematoda, ascaridida, ascaridoidea) from the atlantic arctic-boreal region: Reproductive isolation and host preferences. Int. J. Parasitol. 1993, 23, 105–120. [Google Scholar] [CrossRef] [PubMed]
- Kassai, T.; del Campillo, M.C.; Euzeby, J.; Gaafar, S.; Hiepe, T.; Himonas, C.A. Standardized nomenclature of animal parasitic diseases (SNOAPAD). Vet. Parasitol. 1988, 29, 299–326. [Google Scholar] [CrossRef] [PubMed]
- Hamer, D.H. Anisakidosis. In Hunter’s Tropical Medicine and Emerging Infectious Disease; Magill, A.J., Ryan, E.T., Hill, D.R., Solomon, T., Eds.; Saunders: Philadelphia, PA, USA, 2012; pp. 864–866. ISBN 9781416043904. [Google Scholar]
- Serrano-Moliner, M.; Morales-Suarez-Varela, M.; Valero, M.A. Epidemiology and management of foodborne nematodiasis in the European Union, systematic review 2000–2016. Pathog. Glob. Health 2018, 112, 249–258. [Google Scholar] [CrossRef] [PubMed]
- Hochberg, N.S.; Hamer, D.H. Anisakidosis: Perils of the deep. Clin. Infect. Dis. 2010, 51, 806–812. [Google Scholar] [CrossRef]
- Baptista-Fernandes, T.; Rodrigues, M.; Castro, I.; Paixão, P.; Pinto-Marques, P.; Roque, L.; Belo, S.; Ferreira, P.M.; Mansinho, K.; Toscano, C. Human gastric hyperinfection by Anisakis simplex: A severe and unusual presentation and a brief review. Int. J. Infect. Dis. 2017, 64, 38–41. [Google Scholar] [CrossRef]
- Daschner, A.; Cuéllar, C.; Rodero, M. The Anisakis allergy debate: Does an evolutionary approach help? Trends Parasitol. 2012, 28, 9–15. [Google Scholar] [CrossRef]
- Moneo, I.; Carballeda-Sangiao, N.; González-Muñoz, M. New perspectives on the diagnosis of allergy to Anisakis spp. Curr. Allergy Asthma Rep. 2017, 17, 27. [Google Scholar] [CrossRef]
- Cong, W.; Elsheikha, H.M. Biology, epidemiology, clinical features, diagnosis, and treatment of selected fish-borne parasitic zoonoses. Yale J. Biol. Med. 2021, 94, 297–309. [Google Scholar] [PubMed]
- Caramello, P.; Vitali, A.; Canta, F.; Caldana, A.; Santi, F.; Caputo, A.; Lipani, F.; Balbiano, R. Intestinal localization of anisakiasis manifested as acute abdomen. Clin. Microbiol. Infect. 2003, 9, 734–737. [Google Scholar] [CrossRef] [PubMed][Green Version]
- Shrestha, S.; Kisino, A.; Watanabe, M.; Itsukaichi, H.; Hamasuna, K.; Ohno, G.; Tsugu, A. Intestinal anisakiasis treated successfully with conservative therapy: Importance of clinical diagnosis. World J. Gastroenterol. 2014, 20, 598–602. [Google Scholar] [CrossRef]
- Pellegrini, M.; Occhini, R.; Tordini, G.; Vindigni, C.; Russo, S.; Marzocca, G. Acute abdomen due to small bowel anisakiasis. Dig. Liver Dis. 2005, 37, 65–67. [Google Scholar] [CrossRef]
- Takabe, K.; Ohki, S.; Kunihiro, O.; Sakashita, T.; Endo, I.; Ichikawa, Y.; Sekido, H.; Amano, T.; Nakatani, Y.; Suzuki, K.; et al. Anisakidosis: A cause of intestinal obstruction from eating sushi. Am. J. Gastroenterol. 1998, 93, 1172–1173. [Google Scholar] [CrossRef]
- Yamada, M.; Murakoshi, F.; Ikoma, H.; Inamori, O.; Yanagisawa, A.; Konishi, E. A case of hepatic anisakidosis caused by Anisakis pegreffii mimicking liver cancer. Parasites Hosts Dis. 2023, 61, 292–297. [Google Scholar] [CrossRef] [PubMed]
- Kim, H.-J.; Park, C.; Cho, S.-Y. A case of extragastrointestinal anisakiasis involving a mesocolic lymph node. Korean J. Parasitol. 1997, 35, 63–66. [Google Scholar] [CrossRef] [PubMed]
- Testini, M.; Gentile, A.; Lissidini, G.; Di Venere, B.; Pampiglione, S. Splenic anisakiasis resulting from a gastric perforation: An unusual occurrence. Int. Surg. 2003, 88, 126–128. [Google Scholar]
- Mladineo, I.; Popović, M.; Drmić-Hofman, I.; Poljak, V. A case report of Anisakis pegreffii (Nematoda, Anisakidae) identified from archival paraffin sections of a Croatian patient. BMC Infect. Dis. 2016, 16, 42. [Google Scholar] [CrossRef] [PubMed]
- Yamamoto, K.; Takahashi, O.; Kobayashi, D. Comparison of risk factors between human intestinal and gastric Anisakiasis. Parasitol. Int. 2020, 75, 102024. [Google Scholar] [CrossRef]
- Hiramatsu, K.; Kamiyamamoto, S.; Ogino, H.; Satomura, Y.; Konishi, K.; Miwa, A.; Demachi, H.; Noda, Y. A case of acute gastric anisakiasis presenting with malignant tumor-like features: A large gastric vanishing tumor accompanied by local lymph node swelling. Dig. Dis. Sci. 2004, 49, 965–969. [Google Scholar] [CrossRef] [PubMed]
- Kang, D.B.; Park, W.C.; Lee, J.K. Chronic gastric anisakiasis provoking a bleeding gastric ulcer. Ann. Surg. Treat. Res. 2014, 86, 270–273. [Google Scholar] [CrossRef]
- Dai, Z.; Kobayashi, D. Gastric anisakiasis presenting as a vanishing tumor. J. Gen. Fam. Med. 2019, 20, 159–160. [Google Scholar] [CrossRef]
- Nakanishi, Y.; Yazumi, S.; Ikeuchi, D.; Matsumoto, A.; Yamamura, H.; Yoshizaki, S.; Mise, S.; Fukuyama, N.; Shimamoto, C.; Katsu, K. Vanishing gastric tumor caused by anisakiasis. Gastrointest. Endosc. 2005, 61, 102. [Google Scholar] [CrossRef]
- Takeuchi, K.; Hanai, H.; Iida, T.; Suzuki, S.; Isobe, S. A bleeding gastric ulcer on a vanishing tumor caused by anisakiasis. Gastrointest. Endosc. 2000, 52, 549–551. [Google Scholar] [CrossRef] [PubMed]
- Ishii, N.; Matsuda, M.; Setoyama, T.; Suzuki, S.; Uchida, S.; Uemura, M.; Iizuka, Y.; Fukuda, K.; Horiki, N.; Fujita, Y. Anisakiasis and vanishing tumor of the cecum. Endoscopy 2009, 41, 226–227. [Google Scholar] [CrossRef] [PubMed]
- Kita, R.; Hashida, H.; Uryuhara, K.; Kaihara, S. Hepatic anisakiasis mimicking metastatic liver tumour. Int. J. Surg. Case Rep. 2019, 60, 209–212. [Google Scholar] [CrossRef] [PubMed]
- Daschner, A.; Cuéllar, C. Progress in Anisakis allergy research: Milestones and reversals. Curr. Treat. Options Allergy 2020, 7, 457–470. [Google Scholar] [CrossRef]
- Nieuwenhuizen, N.E.; Lopata, A.L. Anisakis-A food-borne parasite that triggers allergic host defences. Int. J. Parasitol. 2013, 43, 1047–1057. [Google Scholar] [CrossRef] [PubMed]
- Mercado, R.; Torres, P.; Muñoz, V.; Apt, W. Human infection by Pseudoterranova decipiens (Nematoda, Anisakidae) in Chile: Report of seven cases. Mem. Inst. Oswaldo Cruz 2001, 96, 653–655. [Google Scholar] [CrossRef] [PubMed]
- Skírnisson, K. Human Pseudoterranova and Anisakis cases in Iceland 2004–2020. Læknablaðið 2022, 108, 79–83. [Google Scholar] [CrossRef]
- Weitzel, T.; Sugiyama, H.; Yamasaki, H.; Ramirez, C.; Rosas, R.; Mercado, R. Human infections with Pseudoterranova cattani nematodes, Chile. Emerg. Infect. Dis. 2015, 21, 1874–1875. [Google Scholar] [CrossRef] [PubMed]
- Suzuki, H.; Ohnuma, H.; Karasawa, Y.; Ohbayashi, M.; Koyama, T.; Kumada, M.; Yokogawa, M. Terranova (Nematoda: Anisakidae) infection in man. Ⅰ. Clinical features of five cases of Terranova larva infection. Jpn. J. Parasitol. 1972, 21, 252–256. [Google Scholar]
- Kagei, N.; Yanagawa, I.; Nagano, K.; Oishi, K. A Larva of Terrαnovα sp. Causing Acute Abdominal Syndrome in a Woman. Japanese J. Parasitol. 1972, 21, 262–265. [Google Scholar]
- Nagano, K. Gastric Terranovasis. In Gastric Anisakiasis in Japan; Ishikura, H., Namiki, M., Eds.; Springer: Tokyo, Japan, 1989; pp. 133–140. [Google Scholar]
- Pinel, C.; Beaudevin, M.; Chermette, R.; Grillot, R.; Ambroise-Thomas, P. Gastric anisakidosis due to Pseudoterranova decipiens larva. Lancet 1996, 347, 1829. [Google Scholar] [CrossRef]
- Murata, Y.; Ando, K.; Usui, M.; Sugiyama, H.; Hayashi, A.; Tanemura, A.; Kato, H.; Kuriyama, N.; Kishiwada, M.; Mizuno, S.; et al. A case of hepatic anisakiasis caused by Pseudoterranova decipiens mimicking metastatic liver cancer. BMC Infect. Dis. 2018, 18, 619. [Google Scholar] [CrossRef] [PubMed]
- Fukui, S.; Matsuo, T.; Mori, N. Palatine tonsillar infection by Pseudoterranova azarasi. Am. J. Trop. Med. Hyg. 2020, 103, 8. [Google Scholar] [CrossRef]
- Suzuki, S.; Bandoh, N.; Goto, T.; Uemura, A.; Sasaki, M.; Harabuchi, Y. Severe laryngeal edema caused by Pseudoterranova species A case report. Medicine 2021, 100, 4. [Google Scholar] [CrossRef] [PubMed]
- Arizono, N.; Miura, T.; Yamada, M.; Tegoshi, T.; Onishi, K. Human Infection with Pseudoterranova azarasi Roundworm. Emerg. Infect. Dis. 2011, 17, 555–556. [Google Scholar] [CrossRef] [PubMed]
- Fagerholm, H.-P. Incubation in rats of a nematodal larva from cod to establish its specific identity: Contracaecum osculatum, (Rudolphi). Parasitol. Res. 1988, 75, 57–63. [Google Scholar] [CrossRef] [PubMed]
- Yamada, T.; Ohwada, S. Case of gastric anisakiasis with no symptoms. Clin. Case Rep. 2020, 8, 1833–1834. [Google Scholar] [CrossRef] [PubMed]
- Cavallero, S.; Martini, A.; Migliara, G.; De Vito, C.; Iavicoli, S.; D’Amelio, S. Anisakiasis in Italy: Analysis of hospital discharge records in the years 2005–2015. PLoS ONE 2018, 13, e0208772. [Google Scholar] [CrossRef] [PubMed]
- Caballero, M.L.; Umpierrez, A.; Perez-Piñar, T.; Moneo, I.; De Burgos, C.; Asturias, J.A.; Rodríguez-Pérez, R. Anisakis simplex recombinant allergens increase diagnosis specificity preserving high sensitivity. Int. Arch. Allergy Immunol. 2012, 158, 232–240. [Google Scholar] [CrossRef] [PubMed]
- Cuéllar, C.; Daschner, A.; Valls, A.; De Frutos, C.; Fernández-Fígares, V.; Anadón, A.M.; Rodríguez, E.; Gárate, T.; Rodero, M.; Ubeira, F.M. Ani s 1 and Ani s 7 recombinant allergens are able to differentiate distinct Anisakis simplex-associated allergic clinical disorders. Arch. Dermatol. Res. 2012, 304, 283–288. [Google Scholar] [CrossRef]
- Arai, T.; Kunogi, T.; Kinebuchi, T.; Nakano, Y.; Nishikawa, K.; Sugiyama, H. Successful Endoscopic Removal of Anisakis Larva that Deeply Invaded the Gastric Mucosa Using Jumbo Forceps. Case Rep. Gastroenterol. 2023, 17, 321–326. [Google Scholar] [CrossRef] [PubMed]
- Mattiucci, S.; Paoletti, M.; Borrini, F.; Palumbo, M.; Palmieri, R.M.; Gomes, V.; Casati, A.; Nascetti, G. First molecular identification of the zoonotic parasite Anisakis pegreffii (Nematoda: Anisakidae) in a paraffin-embedded granuloma taken from a case of human intestinal anisakiasis in Italy. BMC Infect. Dis. 2011, 11, 82. [Google Scholar] [CrossRef] [PubMed]
- Yamamoto, R.; Miyagami, T.; Nishizaki, Y.; Nishimura, H.; Tsumura, Y.; Naito, T. Sudden-Onset Severe Back Pain Caused by Acute Gastric Anisakiasis. Cureus 2024, 16, e52124. [Google Scholar] [CrossRef] [PubMed]
- Sohn, W.M.; Na, B.K.; Kim, T.H.; Park, T.J. Anisakiasis: Report of 15 gastric cases caused by Anisakis type I larvae and a brief review of Korean anisakiasis cases. Korean J. Parasitol. 2015, 53, 465–470. [Google Scholar] [CrossRef]
- Guardone, L.; Armani, A.; Nucera, D.; Costanzo, F.; Mattiucci, S.; Bruschi, F. Human anisakiasis in Italy: A retrospective epidemiological study over two decades. Parasite 2018, 25, 41. [Google Scholar] [CrossRef] [PubMed]
- Shimamura, Y.; Muwanwella, N.; Chandran, S.; Kandel, G.; Marcon, N. Common Symptoms from an Uncommon Infection: Gastrointestinal Anisakiasis. Can. J. Gastroenterol. Hepatol. 2016, 2016, 5176502. [Google Scholar] [CrossRef] [PubMed]
- Arai, T.; Yamada, H.; Edagawa, T.; Sugiyama, H.; Nakachi, K. Easy detection and fast removal of gastric Anisakis during narrow-band imaging endoscopy with l-menthol administration. Case Rep. Gastroenterol. 2019, 13, 305–309. [Google Scholar] [PubMed]
- Toyoda, H.; Tanaka, K. Intestinal Anisakiasis Treated Successfully with Prednisolone and Olopatadine Hydrochloride. Case Rep. Gastroenterol. 2016, 10, 30–35. [Google Scholar] [CrossRef]
- Ramos, L.; Alonso, C.; Guilarte, M.; Vilaseca, J.; Santos, J.; Malagelada, J.R. Anisakis Simplex–Induced Small Bowel Obstruction After Fish Ingestion: Preliminary Evidence for Responsse to Parenteral Corticosteroid. Clin. Gastroenterol. Hepatol. 2005, 3, 667–671. [Google Scholar] [CrossRef] [PubMed]
- Lee, J.S.; Kim, B.S.; Kim, S.H.; Park, J.K.; Choi, G.; Hwang, I.K.; Jeong, S.Y.; Hyun, C.L.; Song, H.J.; Chung, Y.B. Acute invasive small-bowel Anisakiasis: Clinical and CT findings in 19 patients. Abdom. Imaging 2014, 39, 452–458. [Google Scholar] [CrossRef]
- Abe, E.; Ishida, T.; Osuga, T.; Kakuyama, S.; Ogawa, H.; Nabeshima, K. Double balloon enteroscopy in the detection and removal of jejunal anisakiasis: Case report. DEN Open 2024, 4, 2–6. [Google Scholar] [CrossRef]
- Okamoto, T.; Fukuda, K. Anisakiasis of the Terminal Ileum Removed by Colonoscopy. Case Rep. Gastroenterol. 2021, 15, 47–52. [Google Scholar] [CrossRef] [PubMed]
- Minamoto, T.; Sawaguchi, K.; Ogino, T.; Mai, M. Anisakiasis of the colon: Report of two cases with empashis on the diagnostic and therapeutic value of colonoscopy. Endoscopy 1991, 23, 50–52. [Google Scholar] [CrossRef] [PubMed]
- Yorimitsu, N.; Hiraoka, A.; Utsunomiya, H.; Imai, Y.; Tatsukawa, H.; Tazuya, N.; Yamago, H.; Shimizu, Y.; Hidaka, S.; Tanihira, T.; et al. Colonic intussusception caused by anisakiasis: A case report and review of the literature. Intern. Med. 2013, 52, 223–226. [Google Scholar] [CrossRef]
- D’Amelio, S.; Bellini, I.; Chiovoloni, C.; Magliocco, C.; Pronio, A.; Di Rocco, A.; Pentassuglio, I.; Rosati, M.; Russo, G.; Cavallero, S. A Case of Gastroallergic and Intestinal Anisakiasis in Italy: Diagnosis Based on Double Endoscopy and Molecular Identification. Pathogens 2023, 12, 1172. [Google Scholar] [CrossRef] [PubMed]
- Nakamura, H.; Takanashi, K.; Morita, R.; Sakurada, A.; Hirata, Y.; Komatsu, Y.; Katsuki, S. A case of anisakiasis in the sigmoid colon. Clin. Case Rep. 2022, 10, 2021–2022. [Google Scholar] [CrossRef] [PubMed]
- Cózar-Bernal, F.; Góngora-Rodríguez, J.; Ayala-Martínez, C.; Martín-Vega, F.J.; Vinolo-Gil, M.J.; Rodríguez-Huguet, M. Intestinal Obstruction for Anisakiasis: Surgical and Physical Therapy Treatment. J. Clin. Med. 2023, 12, 4470. [Google Scholar] [CrossRef]
- Shibata, K.; Yoshida, Y.; Miyaoka, Y.; Emoto, S.; Kawai, T.; Kobayashi, S.; Ogasawara, K.; Taketomi, A. Intestinal anisakiasis with severe intestinal ischemia caused by extraluminal live larvae: A case report. Surg. Case Rep. 2020, 6, 4–253. [Google Scholar] [CrossRef] [PubMed]
- Pontone, M.; Giovannini, M.; Barni, S.; Mori, F.; Venturini, E.; Galli, L.; Valleriani, C.; De las Vecillas, L.; Sackesen, C.; Lopata, A.L.; et al. IgE-mediated Anisakis allergy in children. Allergol. Immunopathol. 2023, 51, 98–109. [Google Scholar] [CrossRef] [PubMed]
- Decruyenaere, P.; Van de Maele, B.; Hulstaert, E.; Van Vlierberghe, H.; Decruyenaere, J.; Lapeere, H. IgE-mediated gastroallergic anisakiasis with eosinophilic oesophagitis: A case report. Acta Clin. Belgica Int. J. Clin. Lab. Med. 2022, 77, 396–399. [Google Scholar] [CrossRef] [PubMed]
- Uña-Gorospe, M.; Herrera-Mozo, I.; Canals, M.L.; Martí-Amengual, G.; Sanz-Gallen, P. Occupational disease due to Anisakis simplex in fish handlers. Int. Marit. Health 2018, 69, 264–269. [Google Scholar] [CrossRef] [PubMed]
- Arias-Diaz, J.; Zuloaga, J.; Vara, E.; Balibrea, J.; Balibrea, J.L. Efficacy of albendazole against Anisakis simplex larvae in vitro. Dig. Liver Dis. 2006, 38, 24–26. [Google Scholar] [CrossRef] [PubMed]
- Pacios, E.; Arias-Diaz, J.; Zuloaga, J.; Gonzalez-Armengol, J.; Villarroel, P.; Balibrea, J.L. Albendazole for the treatment of anisakiasis ileus. Clin. Infect. Dis. 2005, 41, 1825–1826. [Google Scholar] [CrossRef] [PubMed]
- Moore, D.A.J.; Girdwood, R.W.A.; Chiodini, P.L. Treatment of anisakiasis with albendazole. Lancet 2002, 360, 54. [Google Scholar] [CrossRef] [PubMed]
- Allison, C.; Baumann, M. A Case Report of Adhesional Small Bowel Obstruction Caused by Extraintestinal Anisakiasis. J. Emerg. Med. 2019, 57, e175–e179. [Google Scholar] [CrossRef] [PubMed]
- Bookhout, C.; Greene, K. Chronic epigastric pain associated with gastric anisakidosis. IDCases 2019, 15, e00515. [Google Scholar] [CrossRef]
- Giovacchini, J.; Menale, S.; Scheggi, V.; Marchionni, N. Pericardial anisakiasis: Unravelling diagnostic challenges in an unprecedented extra-abdominal manifestation: A case report. Eur. Hear. J.-Case Rep. 2024, 8, ytae093. [Google Scholar] [CrossRef] [PubMed]
- Sekimoto, M.; Nagano, H.; Fujiwara, Y.; Watanabe, T.; Katsu, K.; Doki, Y.; Mori, M. Two cases of gastric Aniskakiasis for which oral administration of a medicine containing wood creosote (Seirogan) was effective. Hepatogastroenterology 2011, 58, 1252–1254. [Google Scholar] [CrossRef] [PubMed]
- Ogata, N.; Tagishi, H. The Inhibitory Effect of Wood Creosote on the Movement of Anisakis Larvae: An Implication for the Treatment of Acute Anisakiasis. Pharmacology 2021, 106, 637–643. [Google Scholar] [CrossRef]
- Valero, A.; Romero, M.C.; Gómez-Mateos, M.; Hierro, I.; Navarro, M.C. Natural products: Perspectives in the pharmacological treatment of gastrointestinal anisakiasis. Asian Pac. J. Trop. Med. 2015, 8, 612–617. [Google Scholar] [CrossRef] [PubMed]
- Mladineo, I.; Trumbić, Ž.; Hrabar, J.; Vrbatović, A.; Bušelić, I.; Ujević, I.; Roje-Busatto, R.; Babić, I.; Messina, C. Efficiency of target larvicides is conditioned by ABC-mediated transport in the zoonotic nematode Anisakis pegreffii. Antimicrob. Agents Chemother. 2018, 62, e00916-18. [Google Scholar] [CrossRef] [PubMed]
- Trumbić, Ž.; Hrabar, J.; Palevich, N.; Carbone, V.; Mladineo, I. Molecular and evolutionary basis for survival, its failure, and virulence factors of the zoonotic nematode Anisakis pegreffii. Genomics 2021, 113, 2891–2905. [Google Scholar] [PubMed]
- Daschner, A.; Cuéllar, C. The hidden sense of symptoms: Urticaria can be beneficial. Med. Hypotheses 2010, 75, 623–626. [Google Scholar] [CrossRef]
- Audicana, M.T.; Ansotegui, I.J.; De Corres, L.F.; Kennedy, M.W. Anisakis simplex: Dangerous-dead and alive? Trends Parasitol. 2002, 18, 20–25. [Google Scholar] [CrossRef] [PubMed]
- Carballeda-Sangiao, N.; Rodríguez-Mahillo, A.I.; Careche, M.; Navas, A.; Moneo, I.; González-Muñoz, M. Changes over Time in IgE Sensitization to Allergens of the Fish Parasite Anisakis spp. PLoS Neglected Trop. Dis. 2016, 10, e0004864. [Google Scholar] [CrossRef] [PubMed]
- Nieuwenhuizen, N.; Lopata, A.L.; Jeebhay, M.F.; Herbert, D.R.; Robins, T.G.; Brombacher, F. Exposure to the fish parasite Anisakis causes allergic airway hyperreactivity and dermatitis. J. Allergy Clin. Immunol. 2006, 117, 1098–1105. [Google Scholar]
- Gonzalez-Muñoz, M.; Rodriguez-Mahillo, A.I.; Moneo, I. Different Th1/Th2 responses to Anisakis simplex are related to distinct clinical manifestations in sensitized patients. Parasite Immunol. 2010, 32, 67–73. [Google Scholar] [CrossRef] [PubMed]
- Baird, F.J.; Gasser, R.B.; Jabbar, A.; Lopata, A.L. Foodborne anisakiasis and allergy. Mol. Cell Probes 2014, 28, 167–174. [Google Scholar] [CrossRef] [PubMed]
- Moneo, I.; Caballero, M.L.; Gómez, F.; Ortega, E.; Alonso, M.J. Isolation and characterization of a major allergen from the fish parasite Anisakis simplex. J. Allergy Clin. Immunol. 2000, 106, 177–182. [Google Scholar] [CrossRef]
- Rodríguez, E.; Anadón, A.M.; García-Bodas, E.; Romarís, F.; Iglesias, R.; Gárate, T.; Ubeira, F.M. Novel sequences and epitopes of diagnostic value derived from the Anisakis simplex Ani s 7 major allergen. Allergy Eur. J. Allergy Clin. Immunol. 2008, 63, 219–225. [Google Scholar] [CrossRef] [PubMed]
- Daschner, A.; Rodero, M.; De Frutos, C.; Valls, A.; Cuéllar, C. Chronic urticaria is associated with a differential helminth-arthropod-related atopy phenotype. J. Dermatol. 2010, 37, 780–785. [Google Scholar] [CrossRef] [PubMed]
- Pérez-Pérez, J.; Fernández-Caldas, E.; Marañón, F.; Sastre, J.; Bernal, M.L.; Rodríguez, J.; Bedate, C.A. Molecular cloning of paramyosin, a new allergen of Anisakis simplex. Int. Arch. Allergy Immunol. 2000, 123, 120–129. [Google Scholar] [CrossRef] [PubMed]
- Asturias, J.A.; Eraso, E.; Moneo, I.; Martinez, A. Is tropomyosin an allergen in Anisakis? Allergy Eur. J. Allergy Clin. Immunol. 2000, 55, 898–899. [Google Scholar] [CrossRef]
- Moneo, I.; Caballero, M.L.; González-Muñoz, M.; Rodríguez-Mahillo, A.I.; Rodríguez-Perez, R.; Silva, A. Isolation of a heat-resistant allergen from the fish parasite Anisakis simplex. Parasitol. Res. 2005, 96, 285–289. [Google Scholar] [CrossRef] [PubMed]
- Kobayashi, Y.; Ishizaki, S.; Shimakura, K.; Nagashima, Y.; Shiomi, K. Molecular cloning and expression of two new allergens from Anisakis simplex. Parasitol. Res. 2007, 100, 1233–1241. [Google Scholar] [CrossRef] [PubMed]
- Anadón, A.M.; Romarís, F.; Escalante, M.; Rodríguez, E.; Gárate, T.; Cuéllar, C.; Ubeira, F.M. The Anisakis simplex Ani s 7 major allergen as an indicator of true Anisakis infections. Clin. Exp. Immunol. 2009, 156, 471–478. [Google Scholar] [CrossRef] [PubMed]
- Kobayashi, Y.; Shimakura, K.; Ishizaki, S.; Nagashima, Y.; Shiomi, K. Purification and cDNA cloning of a new heat-stable allergen from Anisakis simplex. Mol. Biochem. Parasitol. 2007, 155, 138–145. [Google Scholar] [CrossRef] [PubMed]
- Rodriguez-Perez, R.; Moneo, I.; Rodriguez-Mahillo, A.; Caballero, M.L. Cloning and expression of Ani s 9, a new Anisakis simplex allergen. Mol. Biochem. Parasitol. 2008, 159, 92–97. [Google Scholar] [CrossRef]
- Caballero, M.L.; Umpierrez, A.; Moneo, I.; Rodriguez-Perez, R. Ani s 10, a new Anisakis simplex allergen: Cloning and heterologous expression. Parasitol. Int. 2011, 60, 209–212. [Google Scholar] [CrossRef] [PubMed]
- Kobayashi, Y.; Ohsaki, K.; Ikeda, K.; Kakemoto, S.; Ishizaki, S.; Shimakura, K.; Nagashima, Y.; Shiomi, K. Identification of novel three allergens from Anisakis simplex by chemiluminescent immunoscreening of an expression cDNA library. Parasitol. Int. 2011, 60, 144–150. [Google Scholar] [CrossRef] [PubMed]
- González-Fernández, J.; Daschner, A.; Nieuwenhuizen, N.E.; Lopata, A.L.; De Frutos, C.; Valls, A.; Cuéllar, C. Haemoglobin, a new major allergen of Anisakis simplex. Int. J. Parasitol. 2015, 45, 399–407. [Google Scholar] [CrossRef] [PubMed]
- Kobayashi, Y.; Kakemoto, S.; Shimakura, K.; Shiomi, K. Molecular cloning and expresison of a new major allergen, Ani s 14, from Anisakis simplex. J. Food Hyg. Soc. Jpn. 2015, 56, 194–199. [Google Scholar] [CrossRef] [PubMed]
- Kasuya, S.; Hamano, H.; Izumi, S. Mackerel-induced urticaria and Anisakis. Lancet 1990, 335, 665. [Google Scholar] [CrossRef] [PubMed]
- Armentia, A.; Martín-Gil, F.J.; Pascual, C.; Martín-Esteban, M.; Callejo, A.; Martínez, C. Anisakis simplex allergy after eating chicken meat. J. Investig. Allergol. Clin. Immunol. 2006, 16, 258–263. [Google Scholar]
- Abdel-Ghaffar, F.; Badr, A.M.; Morsy, K.; Ebead, S.; El Deeb, S.; Al Quraishy, S.; Mehlhorn, H. Cytokine signature and antibody-mediated response against fresh and attenuated Anisakis simplex (L3) administration into Wistar rats: Implication for anti-allergic reaction. Parasitol. Res. 2015, 114, 2975–2984. [Google Scholar] [CrossRef]
- Tejada, M.; Olivares, F.; de las Heras, C.; Careche, M.; Solas, M.T.; García, M.L.; Fernandez, A.; Mendizábal, A.; Navas, A.; Rodríguez-Mahillo, A.I.; et al. Antigenicity of Anisakis simplex s.s. L3 in parasitized fish after heating conditions used in the canning processing. J. Sci. Food Agric. 2015, 95, 922–927. [Google Scholar] [CrossRef] [PubMed]
- Vidaček, S.; de las Heras, C.; Solas, M.T.; Mendizábal, A.; Rodriguez-Mahillo, A.I.; González-Muñoz, M.; Tejada, M. Anisakis simplex allergens remain active after conventional or microwave heating and pepsin treatments of chilled and frozen L3 larvae. J. Sci. Food Agric. 2009, 89, 1997–2002. [Google Scholar] [CrossRef]
- Vidaček, S.; de las Heras, C.; Solas, M.T.; Garcia, M.L.; Mendizabal, Á.; Tejada, M. Viability and antigenicity of Anisakis simplex after conventional and microwave heating at fixed temperatures. J. Food Prot. 2011, 74, 2119–2126. [Google Scholar] [CrossRef] [PubMed]
- Leuckhart, R.; Hoyle, W.E. The Parasites of Man, and the Diseases Which Proceed from Them: A Textbook for Students and Practitioners; Young J. Pentland: Edinburgh, UK, 1886. [Google Scholar]
- van Thiel, P.H. Anisakis. Parasitology 1960, 53, 4. [Google Scholar]
- One Health High-Level Expert Panel (OHHLEP); Adisasmito, W.B.; Almuhairi, S.; Behravesh, C.B.; Bilivogui, P.; Bukachi, S.A.; Casas, N.; Becerra, N.C.; Charron, D.F.; Chaudhary, A.; et al. One Health: A new definition for a sustainable and healthy future. PLoS Pathog. 2022, 18, e1010537. [Google Scholar]
- Bao, M.; Pierce, G.J.; Pascual, S.; González-Munõz, M.; Mattiucci, S.; Mladineo, I.; Cipriani, P.; Bušelić, I.; Strachan, N.J.C. Assessing the risk of an emerging zoonosis of worldwide concern: Anisakiasis. Sci. Rep. 2017, 7, 43699. [Google Scholar] [CrossRef] [PubMed]
- Herrador, Z.; Daschner, Á.; Perteguer, M.J.; Benito, A. Epidemiological scenario of anisakidosis in Spain based on associated hospitalizations: The tip of the iceberg. Clin. Infect. Dis. 2019, 69, 69–76. [Google Scholar] [CrossRef]
- Yera, H.; Fréalle, É.; Dutoit, E.; Dupouy-Camet, J. A national retrospective survey of anisakidosis in France (2010–2014): Decreasing incidence, female predominance, and emerging allergic potential. Parasite 2018, 25, 23. [Google Scholar] [CrossRef] [PubMed]
- Jurić, I.; Pogorelić, Z.; Despot, R.; Mrklić, I. Unusual cause of small intestine obstruction in a child small intestine anisakiasis: Report of a case. Scott. Med. J. 2013, 58, e32–e36. [Google Scholar] [CrossRef] [PubMed]
- Abattouy, N.; Valero, A.; Martín-Sánchez, J.; Peñalver, M.C.; Lozano, J. Sensitization to Anisakis simplex species in the population of Northern Morocco. J. Investig. Allergol. Clin. Immunol. 2012, 22, 514–519. [Google Scholar] [PubMed]
- Del Rey Moreno, A.; Valero, A.; Mayorga, C.; Gómez, B.; Torres, M.J.; Hernández, J.; Ortiz, M.; Lozano Maldonado, J. Sensitization to Anisakis simplex s.l. in a healthy population. Acta Trop. 2006, 97, 265–269. [Google Scholar] [CrossRef] [PubMed]
- Garcia-Perez, J.C.; Rodriguez-Perez, R.; Ballestero, A.; Zuloaga, J.; Fernandez-Puntero, B.; Arias-Diaz, J.; Caballero, M.L. Previous exposure to the fish parasite Anisakis as a potential risk factor for gastric or colon adenocarcinoma. Medicine 2015, 94, e1699. [Google Scholar] [CrossRef] [PubMed]
- Lin, A.H.; Florvaag, E.; Van Do, T.; Johansson, S.G.O.; Levsen, A.; Vaali, K. IgE sensitization to the fish parasite Anisakis simplex in a Norwegian population: A pilot study. Scand. J. Immunol. 2012, 75, 431–435. [Google Scholar] [CrossRef] [PubMed]
- Lin, A.H.; Nepstad, I.; Florvaag, E.; Egaas, E.; Van Do, T. An extended study of seroprevalence of anti-Anisakis simplex IgE antibodies in norwegian blood donors. Scand. J. Immunol. 2014, 79, 61–67. [Google Scholar] [CrossRef] [PubMed]
- Mladineo, I.; Poljak, V.; Martínez-Sernández, V.; Ubeira, F.M. Anti-Anisakis IgE Seroprevalence in the Healthy Croatian Coastal Population and Associated Risk Factors. PLoS Neglected Trop. Dis. 2014, 8, e2673. [Google Scholar] [CrossRef] [PubMed]
- Puente, P.; Anadón, A.M.; Rodero, M.; Romarís, F.; Ubeira, F.M.; Cuéllar, C. Anisakis simplex: The high prevalence in Madrid (Spain) and its relation with fish consumption. Exp. Parasitol. 2008, 118, 271–274. [Google Scholar] [CrossRef]
- Purello-D’Ambrosio, F.; Pastorello, E.; Gangemi, S.; Lombardo, G.; Ricciardi, L.; Fogliani, O.; Merendino, R.A. Incidence of sensitivity to Anisakis simplex in a risk population of fishermen/fishmongers. Ann. Allergy Asthma Immunol. 2000, 84, 439–444. [Google Scholar] [CrossRef] [PubMed]
- Scala, E.; Giani, M.; Pirrotta, L.; Guerra, E.C.E.C.; Cadoni, S.; Girardelli, C.R.; De Pita, O.; Puddu, P.; De Pità, O.; Puddu, P. Occupational generalised urticaria and allergic airborne asthma due to Anisakis simplex. Eur. J. Dermatol. 2001, 11, 249–250. [Google Scholar]
- Rahmati, A.R.; Kiani, B.; Afshari, A.; Moghaddas, E.; Williams, M.; Shamsi, S. World-wide prevalence of Anisakis larvae in fish and its relationship to human allergic anisakiasis: A systematic review. Parasitol. Res. 2020, 119, 3585–3594. [Google Scholar] [CrossRef] [PubMed]
- Ishikura, H. Anisakiasis. (2) Clinical pathology and epidemiology. In Progress of Medical Parasitology in Japan; Otsuru, M., Kamegai, S., Hayashi, S., Eds.; Meguro Parasitological Museum: Tokyo, Japan, 2003; Volume 8, pp. 451–473. [Google Scholar]
- Song, H.; Ryoo, S.; Jung, B.K.; Cho, J.; Chang, T.; Hong, S.; Shin, H.; Sohn, W.M.; Chai, J.Y. Molecular Diagnosis of Pseudoterranova decipiens Sensu Stricto Infections, South Korea, 2002–2020. Emerg. Infect. Dis. 2022, 28, 1283–1285. [Google Scholar] [CrossRef] [PubMed]
- Cabrera, R.; Luna-Pineda, M.A.; Suárez-Ognio, L. Nuevo caso de infección humana por una larva de Pseudoterranova decipiens (Nematoda, Anisakidae) en el Perú. Rev. Gastroenterol. Perú 2003, 23, 217–220. [Google Scholar]
- Cavallero, S.; Scribano, D.; D’Amelio, S. First case report of invasive pseudoterranoviasis in Italy. Parasitol. Int. 2016, 65, 488–490. [Google Scholar] [CrossRef] [PubMed]
- Brunet, J.; Pesson, B.; Royant, M.; Lemoine, J.P.; Pfaff, A.W.; Abou-Bacar, A.; Yera, H.; Fréalle, E.; Dupouy-Camet, J.; Merino-Espinosa, G.; et al. Molecular diagnosis of Pseudoterranova decipiens s.s in human, France. BMC Infect. Dis. 2017, 17, 397. [Google Scholar] [CrossRef] [PubMed]
- Nordholm, A.; Kurtzhals, J.A.L.; Karami, A.M.; Kania, P.W.; Buchmann, K. Nasal localization of a Pseudoterranova decipiens larva in a Danish patient with suspected allergic rhinitis. J. Helminthol. 2020, 94, e187. [Google Scholar] [CrossRef]
- Kochanowski, M.; Różycki, M.; Dąbrowska, J.; Bełcik, A.; Karamon, J.; Sroka, J.; Cencek, T. Proteomic and bioinformatic investigations of heat-treated Anisakis simplex third-stage larvae. Biomolecules 2020, 10, 1066. [Google Scholar] [CrossRef] [PubMed]
- Boqvist, S.; Söderqvist, K.; Vågsholm, I. Food safety challenges and One Health within Europe. Acta Vet. Scand. 2018, 60, 1. [Google Scholar] [CrossRef] [PubMed]
- Gizaw, Z. Public health risks related to food safety issues in the food market: A systematic literature review. Environ. Health Prev. Med. 2019, 24, 68. [Google Scholar] [CrossRef] [PubMed]
- Polimeno, L.; Lisanti, M.T.; Rossini, M.; Giacovazzo, E.; Polimeno, L.; Debellis, L.; Ballini, A.; Topi, S.; Santacroce, L. Anisakis Allergy: Is Aquacultured Fish a Safe and Alternative Food to Wild-Capture Fisheries for Anisakis simplex-Sensitized Patients? Biology 2021, 10, 106. [Google Scholar] [CrossRef] [PubMed]
- European Commission. European Reculation (ER) NO 1276/2011 Amending Annex III to Regulation (EC) No 853/2004 of the European Parliament and of the Council regards th treatment to kill viable parasites in fishery products for human consumption. Off. J. Eur. Union 2011, 327, 39–41. [Google Scholar]
- Administration, F.D. Fish and Fishery Products Hazards and Controls Guidance, 4th ed.; University of Florida: Gainesville, FL, USA, 2022. [Google Scholar]
- Podolska, M.; Pawlikowski, B.; Nadolna-Ałtyn, K.; Pawlak, J.; Komar-Szymczak, K.; Szostakowska, B. How effective is freezing at killing Anisakis simplex, Pseudoterranova krabbei, and P. decipiens larvae? An experimental evaluation of time-temperature conditions. Parasitol. Res. 2019, 118, 2139–2147. [Google Scholar] [CrossRef]
- Sánchez-Alonso, I.; Carballeda-Sangiao, N.; González-Muñoz, M.; Navas, A.; Arcos, S.C.C.; Mendizábal, A.; Tejada, M.; Careche, M. Pathogenic potential of Anisakis L3 after freezing in domestic freezers. Food Control. 2018, 84, 61–69. [Google Scholar] [CrossRef]
- Bier, J.W.; Deardorff, G.F.; Jackson, G.J.; Ryabourne, R. Human Anisakiasis. Baillieres Clin. Trop. Med. Commun. Dis. 1987, 2, 723–733. [Google Scholar]
- Šimat, V.; Trumbić, Ž. Viability of Anisakis spp. Larvae After Direct Exposure to Different Processing Media and Non-Thermal Processing in Anchovy Fillets. Fishes 2019, 4, 19. [Google Scholar] [CrossRef]
- Sánchez-Monsalvez, I.; De Armas-Serra, C.; Martínez, J.; Dorado, M.; Sánchez, A.; Rodríguez-Caabeiro, F.; Sánchez-Mosalvez, I.; De Armas-Serra, C.; Martínez, J.; Dorado, M.; et al. A new procedure for marinating fresh anchovies and ensuring the rapid destruction of Anisakis larvae. J. Food Prot. 2005, 68, 1066–1072. [Google Scholar] [CrossRef]
- Abad, V.; Alejandre, M.; Hernández-Fernández, E.; Raso, J.; Cebrián, G.; Álvarez-Lanzarote, I. Evaluation of Pulsed Electric Fields (PEF) Parameters in the Inactivation of Anisakis Larvae in Saline Solution and Hake Meat. Foods 2023, 12, 264. [Google Scholar] [CrossRef] [PubMed]
- Trabelsi, N.; Nalbone, L.; Marotta, S.M.; Taamali, A.; Abaza, L.; Giarratana, F. Effectiveness of five flavored Tunisian olive oils on Anisakis larvae type 1: Application of cinnamon and rosemary oil in industrial anchovy marinating process. J. Sci. Food Agric. 2019, 99, 4808–4815. [Google Scholar] [CrossRef] [PubMed]
- Trabelsi, N.; Nalbone, L.; Di Rosa, A.R.R.; Ed-Dra, A.; Nait-Mohamed, S.; Mhamdi, R.; Giuffrida, A.; Giarratana, F. Marinated anchovies (Engraulis encrasicolus) prepared with flavored olive oils (Chétoui cv.): Anisakicidal effect, microbiological, and sensory evaluation. Sustainability 2021, 13, 5310. [Google Scholar] [CrossRef]
- Giarratana, F.; Muscolino, D.; Ziino, G.; Giuffrida, A.; Marotta, S.M.; Lo Presti, V.; Chiofalo, V.; Panebianco, A. Activity of Tagetes minuta Linnaeus (Asteraceae) essential oil against L3 Anisakis larvae type 1. Asian Pac. J. Trop. Med. 2017, 10, 461–465. [Google Scholar] [CrossRef] [PubMed]
- Nalbone, L.; Panebianco, F.; Cammilleri, G.; Ferrantelli, V.; Giarratana, F. Anisakicidal effects of R (+) limonene: An alternative to freezing treatment in the industrial anchovy marinating process. Foods 2022, 11, 1121. [Google Scholar] [CrossRef] [PubMed]
- European Commission. Regulation (EC) No 853/2004 of the European Parliament and of the Council of 29 April 2004 laying down specific hygiene rules for food of animal origin. Off. J. Eur. Union 2004, 139, 55–205. [Google Scholar]
- Hartmann, F.; Matern, K. Apparatus for Handling Fish Fillets for the Purpose of Quality Inspection. U.S. Patent 4,744,131, 17 May 1988. [Google Scholar]
- Karl, H.; Leinemann, M. A fast and quantitative detection method for nematodes in fish fillets and fishery products. Arch. fü Leb. 1993, 44, 124–125. [Google Scholar]
- Gómez-Morales, M.A.A.; Castro, C.M.M.; Lalle, M.; Fernández, R.; Pezzotti, P.; Abollo, E.; Pozio, E. UV-press method versus artificial digestion method to detect Anisakidae L3 in fish fillets: Comparative study and suitability for the industry. Fish. Res. 2018, 202, 22–28. [Google Scholar] [CrossRef]
- Llarena-Reino, M.; Piñeiro, C.; Antonio, J.; Outeriño, L.; Vello, C.; González, Á.F.; Pascual, S. Optimization of the pepsin digestion method for anisakids inspection in the fishing industry. Vet. Parasitol. 2013, 191, 276–283. [Google Scholar] [CrossRef]
- Cammilleri, G.; Chetta, M.; Costa, A.; Graci, S.; Collura, R.; Buscemi, M.D.; Cusimano, M.; Alongi, A.; Principato, D.; Giangrosso, G.; et al. Validation of the TrichinEasy® digestion system for the detection of Anisakidae larvae in fish products. Acta Parasitol. 2016, 61, 369–375. [Google Scholar] [CrossRef] [PubMed]
- Heia, K.; Sivertsen, A.H.; Stormo, S.K.; Elvevoll, E.; Wold, J.P.; Nilsen, H. Detection of nematodes in cod (Gadus morhua) fillets by imaging spectroscopy. J. Food Sci. 2007, 72, E011–E015. [Google Scholar] [CrossRef] [PubMed]
- Sivertsen, A.H.; Heia, K.; Hindberg, K.; Godtliebsen, F. Automatic nematode detection in cod fillets (Gadus morhua L.) by hyperspectral imaging. J. Food Eng. 2012, 111, 675–681. [Google Scholar] [CrossRef]
- Choudhury, G.S.; Jenks, W.G.; Wikswo, J.P.; Bublitz, C.G. Effects of parasite attributes and injected current parameters on electromagnetic detection of parasites in fish muscle. J. Food Sci. 2002, 67, 3381–3387. [Google Scholar] [CrossRef]
- Chalmers, R.M.; Robertson, L.J.; Dorny, P.; Jordan, S.; Kärssin, A.; Katzer, F.; La Carbona, S.; Lalle, M.; Lassen, B.; Mladineo, I.; et al. Parasite detection in food: Current status and future needs for validation. Trends Food Sci. Technol. 2020, 99, 337–350. [Google Scholar] [CrossRef]
- Šimat, V.; Miletić, J.; Bogdanović, T.; Poljak, V.; Mladineo, I. Role of biogenic amines in the post-mortem migration of Anisakis pegreffii (Nematoda: Anisakidae Dujardin, 1845) larvae into fish fillets. Int. J. Food Microbiol. 2015, 214, 179–186. [Google Scholar] [CrossRef]
- Fioravanti, M.L.; Gustinelli, A.; Rigos, G.; Buchmann, K.; Caffara, M.; Pascual, S.; Pardo, M.A. Negligible risk of zoonotic anisakid nematodes in farmed fish from European mariculture, 2016 to 2018. Eurosurveillance 2021, 26, 1900717. [Google Scholar] [CrossRef] [PubMed]
- Palomba, M.; Mattiucci, S.; Crocetta, F.; Osca, D.; Santoro, M. Insights into the role of deep-sea squids of the genus Histioteuthis (Histioteuthidae) in the life cycle of ascaridoid parasites in the Central Mediterranean Sea waters. Sci. Rep. 2021, 11, 7135. [Google Scholar] [CrossRef]
- Abollo, E.; Gestal, C.; Pascual, S. Anisakis infestation in marine fish and cephalopods from Galician waters: An updated perspective. Parasitol. Res. 2001, 87, 492–499. [Google Scholar]
- Céspedes, R.E.; Iannacone, J.; Salas, A. Parasite helminths of jumbo squid Dosidicus gigas eviscerate in Arequipa, Peru. Ecol. Apl. 2011, 10, 1–11. [Google Scholar] [CrossRef]
- Mattiucci, S.; Nascetti, G.; Cianchi, R.; Paggi, L.; Arduino, P.; Margolis, L.; Brattey, J.; Amelio, S.D.; Orecchia, P.; Bullini, L. Genetic and ecological data on the Anisakis simplex complex, with evidence for a new species (Nematoda, Ascaridoidea, Anisakidae). J. Parasitol. 1997, 83, 401–416. [Google Scholar] [CrossRef] [PubMed]
- Farjallah, S.; Ben Slimane, B.; Busi, M.; Paggi, L.; Amor, N.; Blel, H.; Said, K.; D’Amelio, S. Occurrence and molecular identification of Anisakis spp. from the North African coasts of Mediterranean Sea. Parasitol. Res. 2008, 102, 371–379. [Google Scholar] [CrossRef] [PubMed]
- Mattiucci, S.; Nascetti, G. Molecular systematics, phylogeny and ecology of anisakid nematodes of the genus Anisakis Dujardin, 1845: An update. Parasite 2006, 13, 99–113. [Google Scholar] [CrossRef]
- Lee, M.H.; Cheon, D.S.; Choi, C. Molecular genotyping of Anisakis species from Korean sea fish by polymerase chain reaction-restriction fragment length polymorphism (PCR-RFLP). Food Control. 2009, 20, 623–626. [Google Scholar] [CrossRef]
- Petrić, M.; Mladineo, I.; Šifner, S.K. Insight into the short-finned squid Illex coindetii (Cephalopoda: Ommastrephidae) feeding ecology: Is there a link between helminth parasites and food composition? J. Parasitol. 2011, 97, 55–62. [Google Scholar] [CrossRef] [PubMed]
- Picó-Durán, G.; Pulleiro-Potel, L.; Abollo, E.; Pascual, S.; Muñoz, P. Molecular identification of Anisakis and Hysterothylacium larvae in commercial cephalopods from the Spanish Mediterranean coast. Vet. Parasitol. 2016, 220, 47–53. [Google Scholar] [CrossRef] [PubMed]
- Mattiucci, S.; Paoletti, M.; Webb, S.C. Anisakis nascettii n. sp. (Nematoda: Anisakidae) from beaked whales of the southern hemisphere: Morphological description, genetic relationships between congeners and ecological data. Syst. Parasitol. 2009, 74, 199–217. [Google Scholar] [CrossRef] [PubMed]
- Klimpel, S.; Kuhn, T.; Busch, M.W.; Karl, H.; Palm, H.W. Deep-water life cycle of Anisakis paggiae (Nematoda: Anisakidae) in the Irminger Sea indicates kogiid whale distribution in north Atlantic waters. Polar Biol. 2011, 34, 899–906. [Google Scholar] [CrossRef]
- Kuhn, T.; Hailer, F.; Palm, H.W.; Klimpel, S. Global assessment of molecularly identified Anisakis dujardin, 1845 (Nematoda: Anisakidae) in their teleost intermediate hosts. Folia Parasitol. 2013, 60, 123–134. [Google Scholar] [CrossRef] [PubMed]
- Pekmezci, G.Z.; Onuk, E.E.; Bolukbas, C.S.; Yardimci, B.; Gurler, A.T.; Acici, M.; Umur, S. Molecular identification of Anisakis species (Nematoda: Anisakidae) from marine fishes collected in Turkish waters. Vet. Parasitol. 2014, 201, 82–94. [Google Scholar] [CrossRef] [PubMed]
- Murata, R.; Suzuki, J.; Sadamasu, K.; Kai, A. Morphological and molecular characterization of Anisakis larvae (Nematoda: Anisakidae) in Beryx splendens from Japanese waters. Parasitol. Int. 2011, 60, 193–198. [Google Scholar] [CrossRef]
- Marques, J.F.; Cabral, H.N.; Busi, M.; D’Amelio, S. Molecular identification of Anisakis species from Pleuronectiformes off the Portuguese coast. J. Helminthol. 2006, 80, 47–51. [Google Scholar] [CrossRef]
- Kuhn, T.; García-Màrquez, J.; Klimpel, S. Adaptive Radiation within Marine Anisakid Nematodes: A Zoogeographical Modeling of Cosmopolitan, Zoonotic Parasites. PLoS ONE 2011, 6, 0028642. [Google Scholar] [CrossRef] [PubMed]
- Koinari, M.; Karl, S.; Elliot, A.; Ryan, U.; Lymbery, A.J. Identification of Anisakis species (Nematoda: Anisakidae) in marine fish hosts from Papua New Guinea. Vet. Parasitol. 2013, 193, 126–133. [Google Scholar] [CrossRef] [PubMed]
- Du, C.; Zhang, L.; Shi, M.; Ming, Z.; Hu, M.; Gasser, R.B. Elucidating the identity of Anisakis larvae from a broad range of marine fishes from the Yellow Sea, China, using a combined electrophoretic-sequencing approach. Electrophoresis 2010, 31, 654–658. [Google Scholar] [CrossRef] [PubMed]
- Jabbar, A.; Fong, R.W.J.; Kok, K.X.; Lopata, A.L.; Gasser, R.B.; Beveridge, I. Molecular characterization of anisakid nematode larvae from 13 species of fish from Western Australia. Int. J. Food Microbiol. 2013, 161, 247–253. [Google Scholar] [CrossRef] [PubMed]
- Bello, E.; Palomba, M.; Webb, S.C.; Paoletti, M.; Cipriani, P.; Nascetti, G.; Mattiucci, S. Investigating the genetic structure of the parasites Anisakis pegreffii and A. berlandi (Nematoda: Anisakidae) in a sympatric area of the southern Pacific Ocean waters using a multilocus genotyping approach: First evidence of their interspec. Infect. Genet. Evol. 2021, 92, 104887. [Google Scholar] [CrossRef]
- Meloni, M.; Angelucci, G.; Merella, P.; Siddi, R.; Deiana, C.; Orru, G.; Salatii, F. Molecular characterization of Anisakis larvae from fish caught off Sardinia. J. Parasites Dis. 2011, 97, 908–914. [Google Scholar] [CrossRef] [PubMed]
- Mattiucci, S.; Paggi, L.; Nascetti, G.; Santos, C.P.; Costa, G.; Di Beneditto, A.P.; Ramos, R.; Argyrou, M.; Cianchi, R.; Bullini, L. Genetic markers in the study of Anisakis typica (Diesing, 1860): Larval identification and genetic relationships with other species of Anisakis Dujardin, 1845 (Nematoda: Anisakidae). Syst. Parasitol. 2002, 51, 159–170. [Google Scholar] [CrossRef]
- Pontes, T.; Amelio, S.D.; Costa, G.; Paggi, L.; Amelio, D.; Costaf, G.; Paggi, L. Molecular Characterization of Larval Anisakid Nematodes from Marine Fishes of Madeira by a PCR-Based Approach, with Evidence for a New Species. J. Parasitol. 2005, 91, 1430–1434. [Google Scholar] [CrossRef]
- Mattiucci, S.; Abaunza, P.; Damiano, S.; Garcia, A.; Santos, M.N.; Nascetti, G. Distribution of Anisakis larvae, identified by genetic markers, and their use for stock characterization of demersal and pelagic fish from European waters: An update. J. Helminthol. 2007, 81, 117–127. [Google Scholar] [CrossRef] [PubMed]
- Mattiucci, S.; Nascetti, G.; Bullini, L.; Orecchia, P.; Paggi, L. Genetic structure of Anisakis physeteris, and its differentiation from the Anisakis simplex complex (Ascaridida: Anisakidae). Parasitology 1986, 93, 383–387. [Google Scholar] [CrossRef] [PubMed]
- Chaligiannis, I.; Lalle, M.; Pozio, E.; Sotiraki, S. Anisakidae infection in fish of the Aegean Sea. Vet. Parasitol. 2012, 184, 362–366. [Google Scholar] [CrossRef] [PubMed]
- Bao, M.; Roura, A.; Mota, M.; Nachón, D.J.; Antunes, C.; Cobo, F.; MacKenzie, K.; Pascual, S. Macroparasites of allis shad (Alosa alosa) and twaite shad (Alosa fallax) of the Western Iberian Peninsula Rivers: Ecological, phylogenetic and zoonotic insights. Parasitol. Res. 2015, 114, 3721–3739. [Google Scholar] [CrossRef]
- Mattiucci, S.; Nascetti, G. Genetic diversity and infection levels of anisakid nematodes parasitic in fish and marine mammals from Boreal and Austral hemispheres. Vet. Parasitol. 2007, 148, 43–57. [Google Scholar] [CrossRef] [PubMed]
- Zhang, L.; Hu, M.; Shamsi, S.; Beveridge, I.; Li, H.; Xu, Z.; Li, L.; Cantacessi, C.; Gasser, R.B. The specific identification of anisakid larvae from fishes from the Yellow Sea, China, using mutation scanning-coupled sequence analysis of nuclear ribosomal DNA. Mol. Cell. Probes 2007, 21, 386–390. [Google Scholar] [CrossRef] [PubMed]
- Mladineo, I.; Poljak, V. Ecology and genetic structure of zoonotic Anisakis spp. from adriatic commercial fish species. Appl. Environ. Microbiol. 2014, 80, 1281–1290. [Google Scholar] [CrossRef]
- Baldwin, R.E.; Rew, M.B.J.; Ohansson, M.L.; Banks, M.A.; Jacobson, K.C.; Johansson, M.L.; Banks, M.A.; Jacobson, K.C. Population structure of three speciies of Anisakis nematodes recovered from pacific sardines (Sardinops sagax) distributed throughout the California current system. J. Parasitol. 2015, 97, 545–554. [Google Scholar] [CrossRef]
- Cho, J.; Lim, H.; Jung, B.K.; Shin, E.H.; Chai, J.Y. Anisakis pegreffii Larvae in Sea Eels (Astroconger myriaster) from the South Sea, Republic of Korea. Korean J. Parasitol. 2015, 53, 349–353. [Google Scholar] [CrossRef]
- Mladineo, I.; Šimat, V.; Miletić, J.; Beck, R.; Poljak, V. Molecular identification and population dynamic of Anisakis pegreffii (Nematoda: Anisakidae Dujardin, 1845) isolated from the European anchovy (Engraulis encrasicolus L.) in the Adriatic Sea. Int. J. Food Microbiol. 2012, 157, 224–229. [Google Scholar] [CrossRef] [PubMed]
- Quiazon, K.M.A.; Yoshinaga, T.; Santos, M.D.; Ogawa, K. Identification of larval Anisakis spp. (nematoda: Anisakidae) in alaska pollock (Theragra chalcogramma) in northern japan using morphological and molecular markers. J. Parasitol. 2009, 95, 1227–1232. [Google Scholar] [CrossRef] [PubMed]
- Orecchia, P.; Paggi, L.; Mattiucci, S.; Smith, J.W.; Nascetti, G.; Bullini, L. Electrophoretic identification of larvae and adults of Anisakis (Ascaridida: Anisakidae). J. Helminthol. 1986, 60, 331–339. [Google Scholar] [CrossRef] [PubMed]
- Skov, J.; Kania, P.W.; Olsen, M.M.; Lauridsen, J.H.; Buchmann, K. Nematode infections of maricultured and wild fishes in Danish waters: A comparative study. Aquaculture 2009, 298, 24–28. [Google Scholar] [CrossRef]
- Nascetti, G.; Paggi, L.; Orecchia, P.; Smith, J.W.; Mattiucci, S.; Bullini, L. Electrophoretic studies on the Anisakis simplex complex (Ascaridida: Anisakidae) from the Mediterranean and North-East Atlantic. Int. J. Parasitol. 1986, 16, 633–640. [Google Scholar] [CrossRef]
- Mladineo, I.; Bušelić, I.; Hrabar, J.; Vrbatović, A.; Radonić, I. Population parameters and mito-nuclear mosaicism of Anisakis spp. in the Adriatic Sea. Mol. Biochem. Parasitol. 2017, 212, 46–54. [Google Scholar] [CrossRef] [PubMed]
- Umehara, A.; Kawakami, Y.; Matsui, T.; Araki, J.; Uchida, A. Molecular identification of Anisakis simplex sensu stricto and Anisakis pegreffii (Nematoda: Anisakidae) from fish and cetacean in Japanese waters. Parasitol. Int. 2006, 55, 267–271. [Google Scholar] [CrossRef] [PubMed]
- Barcala, E.; Ramilo, A.; Ortega, N.; Picó, G.; Abollo, E.; Pascual, S.; Muñoz, P. Occurrence of Anisakis and Hysterothylacium larvae in commercial fish from Balearic Sea (Western Mediterranean Sea). Parasitol. Res. 2018, 117, 4003–4012. [Google Scholar] [CrossRef] [PubMed]
- Kellermanns, E.; Klimpel, S.; Palm, H.W. Molecular identification of ascaridoid nematodes from the deep-sea onion-eye grenadier (Macrourus berglax) from the East Greenland Sea. Deep. Res. Part I Oceanogr. Res. Pap. 2007, 54, 2194–2202. [Google Scholar] [CrossRef]
- Bernardi, C.; Gustinelli, A.; Fioravanti, M.L.; Caffara, M.; Mattiucci, S.; Cattaneo, P. Prevalence and mean intensity of Anisakis simplex (sensu stricto) in European sea bass (Dicentrarchus labrax) from Northeast Atlantic Ocean. Int. J. Food Microbiol. 2011, 148, 55–59. [Google Scholar] [CrossRef] [PubMed]
- Klimpel, S.; Busch, M.W.; Kuhn, T.; Rohde, A.; Palm, H.W. The Anisakis simplex complex off the South shetland Islands (Antarctica): Endemic populations versus introduction through migratory hosts. Mar. Ecol. Prog. Ser. 2010, 403, 1–11. [Google Scholar] [CrossRef]
- Klimpel, S.; Kellermanns, E.; Palm, H.W. The role of pelagic swarm fish (Myctophidae: Teleostei) in the oceanic life cycle of Anisakis sibling species at the Mid-Atlantic Ridge, Central Atlantic. Parasitol. Res. 2008, 104, 43–53. [Google Scholar] [CrossRef] [PubMed]
- Zhu, X.Q.; Podolska, M.; Liu, J.S.; Yu, H.Q.; Chen, H.H.; Lin, Z.X.; Luo, C.B.; Song, H.Q.; Lin, R.Q. Identification of anisakid nematodes with zoonotic potential from Europe and China by single-strand conformation polymorphism analysis of nuclear ribosomal DNA. Parasitol. Res. 2007, 101, 1703–1707. [Google Scholar] [CrossRef]
- Li, L.; Zhao, J.Y.; Chen, H.X.; Ju, H.D.; An, M.; Xu, Z.; Zhang, L.P. Survey for the presence of ascaridoid larvae in the cinnamon flounder Pseudorhombus cinnamoneus (Temminck & Schlegel) (Pleuronectiformes: Paralichthyidae). Int. J. Food Microbiol. 2017, 241, 108–116. [Google Scholar]
- Shamsi, S.; Eisenbarth, A.; Saptarshi, S.; Beveridge, I.; Gasser, R.B.; Lopata, A.L. Occurrence and abundance of anisakid nematode larvae in five species of fish from southern Australian waters. Parasitol. Res. 2011, 108, 927–934. [Google Scholar] [CrossRef] [PubMed]
- Quiazon, K.M.A.; Yoshinaga, T.; Ogawa, K. Distribution of Anisakis species larvae from fishes of the Japanese waters. Parasitol. Int. 2011, 60, 223–226. [Google Scholar] [CrossRef] [PubMed]
- Levsen, A.; Svanevik, C.S.; Cipriani, P.; Mattiucci, S.; Gay, M.; Hastie, L.C.; Bušelić, I.; Mladineo, I.; Karl, H.; Ostermeyer, U.; et al. A survey of zoonotic nematodes of commercial key fish species from major European fishing grounds—Introducing the FP7 PARASITE exposure assessment study. Fish. Res. 2018, 202, 4–21. [Google Scholar] [CrossRef]
- Karl, H.; Baumann, F.; Ostermeyer, U.; Kuhn, T.; Klimpel, S. Anisakis simplex (s.s.) larvae in wild Alaska salmon: No indication of post-mortem migration from viscera into flesh. Dis. Aquat. Organ. 2011, 94, 201–209. [Google Scholar] [CrossRef] [PubMed]
- Iñiguez, A.M.; Santos, C.P.; Vicente, A.C.P. Genetic characterization of Anisakis typica and Anisakis physeteris from marine mammals and fish from the Atlantic Ocean off Brazil. Vet. Parasitol. 2009, 165, 350–356. [Google Scholar] [CrossRef]
- Farjallah, S.; Busi, M.; Mahjoub, M.O.; Ben Slimane, B.; Paggi, L.; Said, K.; D’Amelio, S. Molecular characterization of larval anisakid nematodes from marine fishes off the Moroccan and Mauritanian coasts. Parasitol. Int. 2008, 57, 430–436. [Google Scholar] [CrossRef] [PubMed]
- Chen, H.Y.; Shih, H.H. Occurrence and prevalence of fish-borne Anisakis larvae in the spotted mackerel Scomber australasicus from Taiwanese waters. Acta Trop. 2015, 145, 61–67. [Google Scholar] [CrossRef]
- Abattouy, N.; Valero, A.; Lozano, J.; Barón, S.D.; Romero, C.; Martín-Sánchez, J. Population genetic analysis of Anisakis simplex s.l. and Anisakis pegreffii (Nematoda, Anisakidae) from parapatric areas and their contact zone. Parasite Epidemiol. Control. 2016, 1, 169–176. [Google Scholar] [CrossRef] [PubMed]
- Hermida, M.; Mota, R.; Pacheco, C.C.; Santos, C.L.; Cruz, C.; Saraiva, A.; Tamagnini, P. Infection levels and diversity of anisakid nematodes in blackspot seabream, Pagellus bogaraveo, from Portuguese waters. Parasitol. Res. 2012, 110, 1919–1928. [Google Scholar] [CrossRef] [PubMed]
- Klimpel, S.; Kellermanns, E.; Palm, H.W.; Moravec, F. Zoogeography of fish parasites of the pearlside (Maurolicus muelleri), with genetic evidence of Anisakis simplex (s.s.) from the Mid-Atlantic Ridge. Mar. Biol. 2007, 152, 725–732. [Google Scholar] [CrossRef]
- Kijewska, A.; Dzido, J.; Shukhgalter, O.; Rokicki, J. Anisakid parasites of fishes caught on the African shelf. J. Parasitol. 2009, 95, 639–645. [Google Scholar] [CrossRef]
- Mattiucci, S.; Nascetti, G.; Dailey, M.; Webb, S.C.; Barros, N.B.; Cianchi, R.; Bullini, L. Evidence for a new species of Anisakis Dujardin, 1845: Morphological description and genetic relationships between congeners (Nematoda: Anisakidae). Syst. Parasitol. 2005, 61, 157–171. [Google Scholar] [CrossRef] [PubMed]
- Garcia, A.; Mattiucci, S.; Damiano, S.; Santos, M.N.; Nascetti, G. Metazoan parasites of swordfish, Xiphias gladius (Pisces: Xiphiidae) from the Atlantic Ocean: Implications for host stock identification. ICES J. Mar. Sci. 2011, 68, 175–182. [Google Scholar] [CrossRef]
- Irigoitia, M.M.; Braicovich, P.E.; Lanfranchi, A.L.; Farber, M.D.; Timi, J.T. Distribution of anisakid nematodes parasitizing rajiform skates under commercial exploitation in the Southwestern Atlantic. Int. J. Food Microbiol. 2018, 267, 20–28. [Google Scholar] [CrossRef] [PubMed]
- Nadler, S.A.; D’amelio, S.; Dailey, M.D.; Paggi, L.; Siu, S.; Sakanari, J.A. Molecular phylogenetics and diagnosis of Anisakis, Pseudoterranova, and Contracaecum from Northern Pacific marine mammals. J. Parasitol. 2005, 91, 1413–1429. [Google Scholar] [CrossRef] [PubMed]
- Paoletti, M.; Mattiucci, S.; Colantoni, A.; Levsen, A.; Gay, M.; Nascetti, G. Species-specific Real Time-PCR primers/probe systems to identify fish parasites of the genera Anisakis, Pseudoterranova and Hysterothylacium (Nematoda: Ascaridoidea). Fish. Res. 2018, 202, 38–48. [Google Scholar] [CrossRef]
- Muñoz-Caro, T.; Machuca, A.; Morales, P.; Verdugo, J.; Reyes, R.; García, M.; Rutaihwa, L.; Schindler, T.; Poppert, S.; Taubert, A.; et al. Prevalence and molecular identification of zoonotic Anisakis and Pseudoterranova species in fish destined to human consumption in Chile. Parasitol. Res. 2022, 121, 1295–1304. [Google Scholar] [CrossRef] [PubMed]
- Najda, K.; Kijewska, A.; Kijewski, T.; Plauška, K.; Rokicki, J. Distribution of ascaridoid nematodes (Nematoda: Chromadorea: Ascaridoidea) in fish from the barents sea. Oceanol. Hydrobiol. Stud. 2018, 47, 128–139. [Google Scholar] [CrossRef]
- Timi, J.T.; Paoletti, M.; Cimmaruta, R.; Lanfranchi, A.L.; Alarcos, A.J.; Garbin, L.; George-Nascimento, M.; Rodríguez, D.H.; Giardino, G.V.; Mattiucci, S. Molecular identification, morphological characterization and new insights into the ecology of larval Pseudoterranova cattani in fishes from the Argentine coast with its differentiation from the Antarctic species, P. decipiens sp. E (Nematoda: Anisakidae). Vet. Parasitol. 2014, 199, 59–72. [Google Scholar] [CrossRef] [PubMed]
- George-Nascimento, M.; Llanos, A. Micro-evolutionary implications of allozymic and morphometric variations in sealworms Pseudoterranova sp. (Ascaridoidea: Anisakidae) among sympatric hosts from the Southeastern Pacific Ocean. Int. J. Parasitol. 1995, 25, 1163–1171. [Google Scholar] [CrossRef] [PubMed]
- Kuhn, T.; Benninghoff, T.; Karl, H.; Landry, T.; Klimpel, S. Sealworm Pseudoterranova decipiens s.s. infection of European smelt Osmerus eperlanus in German coastal waters: Ecological implications. Dis. Aquat. Organ. 2013, 102, 217–224. [Google Scholar] [CrossRef] [PubMed]
- Arduino, P.; Nascetti, G.; Cianchi, R.; Plötz, J.; Mattiucci, S.; D’Amelio, S.; Paggi, L.; Orecchia, P.; Bullini, L. Isozyme variation and taxonomic rank of Contracaecum radiatum (v. Linstow, 1907) from the Antarctic Ocean (Nematoda, Ascaridoidea). Syst. Parasitol. 1995, 30, 1–9. [Google Scholar] [CrossRef]
- Brattey, J. Identification of larval Contracaecum osculatum s.l. and Phocascaris sp. (Nematoda: Ascaridoidea) from marine fishes by allozyme electrophoresis and discriminant function analysis of morphometric data. Can. J. Fish. Aquat. Sci. 1995, 52, 116–128. [Google Scholar] [CrossRef]
- Mattiucci, S.; Cipriani, P.; Paoletti, M.; Nardi, V.; Santoro, M.; Bellisario, B.; Nascetti, G. Temporal stability of parasite distribution and genetic variability values of Contracaecum osculatum sp. D and C. osculatum sp. E (Nematoda: Anisakidae) from fish of the Ross Sea (Antarctica). Int. J. Parasitol. Parasites Wildl. 2015, 4, 356–367. [Google Scholar] [CrossRef] [PubMed][Green Version]











| Allergen | Nematode Antigen | Protein | Reactivity in Sensitised Patients (%) | Reference |
|---|---|---|---|---|
| Ani s 1 | Excretory–secretory (ES) product | Kunitz serine protease inhibitor | 85 | [160] |
| Ani s 2 | Somatic | Paramyosin | 88 | [163] |
| Ani s 3 | Somatic | Tropomyosin | Unknown | [164] |
| Ani s 4 | ES | Cysteine protease inhibitor (cystatin) | 27 | [165] |
| Ani s 5 | ES | SXP/RAL-2 family protein | 25–49 | [166] |
| Ani s 6 | ES | Serin protease inhibitor (serpin) | 18 | [166] |
| Ani s 7 | ES | Glycoprotein | 83–100 | [167] |
| Ani s 8 | ES | SXP/RAL-2 family protein | 25 | [168] |
| Ani s 9 | ES | SXP/RAL-2 family protein | 13 | [169] |
| Ani s 10 | Unknown | Unknown | 39 | [170] |
| Ani s 11 | Unknown | Unknown | 47 | [171] |
| Ani s 12 | Unknown | Unknown | 57 | [171] |
| Ani s 13 | Somatic | Haemoglobin | 64.3–80.9 | [172] |
| Ani s 14 | Unknown | Unknown third-stage larval protein | 53.8 | [173] |
| Parasite | Recommended Thermal Treatment | Reference |
|---|---|---|
| Anisakis simplex s. l. | −20 °C for no less 24 h, in all parts of the product | [207] |
| −35 °C for no less 15 h, in all parts of the product | [207] | |
| −20 °C for 7 days | [208] | |
| −35 °C for 15 h or until solid | [208] | |
| >60 °C for no less than 10 min | [105] | |
| 90 °C for 10 min (same as for pathogenic bacteria) | [208] | |
| Phocanema decipiens s. l. | −20 °C for 7 days | [208] |
| −35 °C for 15 h or until solid | [208] | |
| 60 °C for 10 min (3 cm-thick fillets) 70 °C for 7 min (3 cm-thick fillets) 10–12 min of cooking for each inch (~2.5) of thickness | [211] |
Disclaimer/Publisher’s Note: The statements, opinions and data contained in all publications are solely those of the individual author(s) and contributor(s) and not of MDPI and/or the editor(s). MDPI and/or the editor(s) disclaim responsibility for any injury to people or property resulting from any ideas, methods, instructions or products referred to in the content. |
© 2025 by the authors. Licensee MDPI, Basel, Switzerland. This article is an open access article distributed under the terms and conditions of the Creative Commons Attribution (CC BY) license (https://creativecommons.org/licenses/by/4.0/).
Share and Cite
Nonković, D.; Tešić, V.; Šimat, V.; Karabuva, S.; Medić, A.; Hrabar, J. Anisakidae and Anisakidosis: A Public Health Perspective. Pathogens 2025, 14, 217. https://doi.org/10.3390/pathogens14030217
Nonković D, Tešić V, Šimat V, Karabuva S, Medić A, Hrabar J. Anisakidae and Anisakidosis: A Public Health Perspective. Pathogens. 2025; 14(3):217. https://doi.org/10.3390/pathogens14030217
Chicago/Turabian StyleNonković, Diana, Vanja Tešić, Vida Šimat, Svjetlana Karabuva, Alan Medić, and Jerko Hrabar. 2025. "Anisakidae and Anisakidosis: A Public Health Perspective" Pathogens 14, no. 3: 217. https://doi.org/10.3390/pathogens14030217
APA StyleNonković, D., Tešić, V., Šimat, V., Karabuva, S., Medić, A., & Hrabar, J. (2025). Anisakidae and Anisakidosis: A Public Health Perspective. Pathogens, 14(3), 217. https://doi.org/10.3390/pathogens14030217

