Old Bug—New Challenges After COVID-19 Pandemic: Severe Invasive Streptococcus pyogenes Infections in Adults—A Single-Center Experience in Poland
Abstract
1. Introduction
2. Materials and Methods
2.1. Design and Settings
2.2. Study Population
2.3. Data Collection
2.4. Microbiology Procedure
2.4.1. Blood Culture
2.4.2. Throat Swab Culture
2.4.3. Bronchoalveolar Lavage Culture
2.4.4. Skin Swabs and Tissue Biopsies
2.4.5. Gram-Stain
2.4.6. Identification and Antimicrobial Susceptibility Testing
2.4.7. Molecular Procedure
2.5. Ethical Considerations
3. Results
3.1. General Characteristics
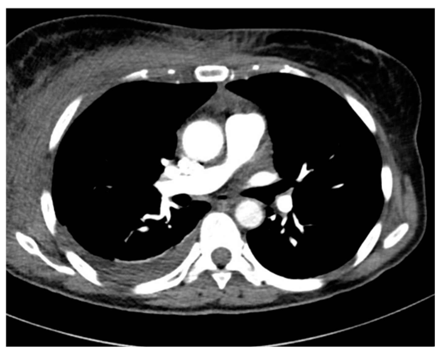
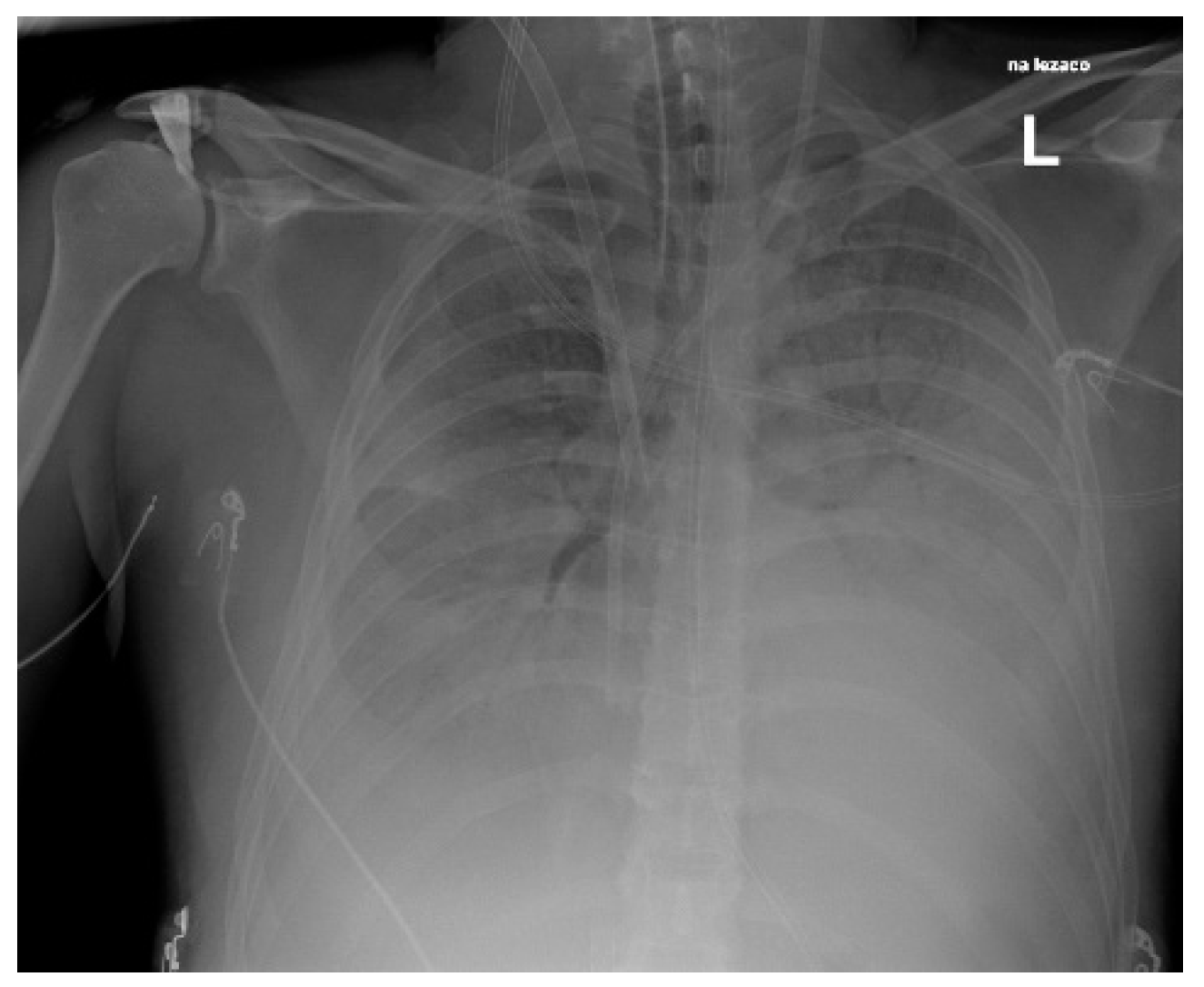
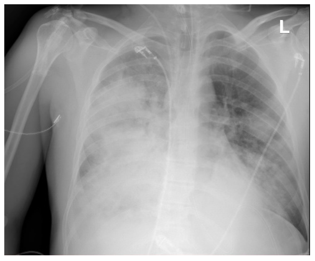
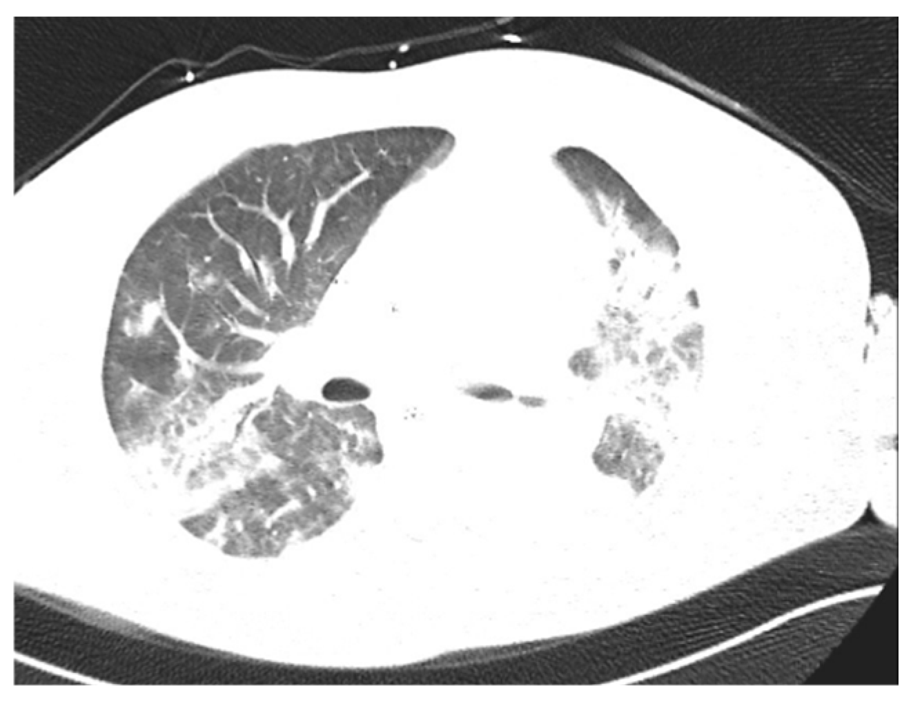
3.2. Patient Diagnostic and Treatment Data
4. Discussion
5. Conclusions
Author Contributions
Funding
Institutional Review Board Statement
Informed Consent Statement
Data Availability Statement
Conflicts of Interest
References
- European Centre for Disease Prevention and Control (ECDC). Increase in Invasive Group A Streptococcal Infections Among Children in Europe, Including Fatalities. 2022. Available online: https://www.ecdc.europa.eu/en/news-events/increase-invasive-group-streptococcal-infections-among-children-europe-including (accessed on 29 July 2023).
- World Health Organization. Disease Outbreak News; Increased Incidence of Scarlet Fever and Invasive Group A Streptococcus Infection—Multi-Country. 15 December 2022. Available online: https://www.who.int/emergencies/disease-outbreak-news/item/2022-DON429 (accessed on 29 July 2023).
- National Institute of Public Health—National Institute of Hygiene. Department of Epidemiology and Surveillance of Infectious Diseases. Laboratory of Monitoring and Epidemiological Analysis [In Polish]. Available online: http://wwwold.pzh.gov.pl/oldpage/epimeld/index_p.html?fbclid=IwAR2cc9IHwAVjTkWLEsKOXYZVEs37nqO4NO1ZGqH-VF5GPmZ3YR9gM3_IvRg (accessed on 5 June 2023).
- Ramos Amador, J.T.; Berzosa Sánchez, A.; Illán Ramos, M. Group A Streptococcus invasive infection in children: Epidemiologic changes and implications. Rev. Esp. Quimioter. 2023, 36 (Suppl. 1), 33–36. [Google Scholar] [CrossRef] [PubMed] [PubMed Central]
- Zhi, X.; Li, H.; Li, H.; Loboda, Z.; Charles, S.; Vieira, A.; Huse, K.; Jauneikaite, E.; Reeves, L.; Mok, K.Y.; et al. Emerging Invasive Group A Streptococcus M1UK Lineage Detected by Allele-Specific PCR, England, 2020. Emerg Infect Dis. 2023, 29, 1007–1010. [Google Scholar] [CrossRef] [PubMed]
- Brouwer, S.; Das, S.; Hayes, A.J.; Bertolla, O.M.; Davies, M.R.; Walker, M.J.; Whiley, D.M.; Irwin, A.D.; Tickner, J.A. A rapid molecular detection tool for toxigenic M1UK Streptococcus pyogenes. J. Infect. Dis. 2024, jiae437. [Google Scholar] [CrossRef] [PubMed]
- Martin, J.M.; Green, M. Group A streptococcus. Semin. Pediatr. Infect. Dis. 2006, 17, 140–148. [Google Scholar] [CrossRef] [PubMed]
- Carapetis, J.R.; Steer, A.C.; Mulholland, E.K.; Weber, M. The global burden of group A streptococcal diseases. Lancet Infect. Dis. 2005, 5, 685–694. [Google Scholar] [CrossRef] [PubMed]
- Hoge, C.W.; Schwartz, B.; Talkington, D.F.; Breiman, R.F.; MacNeill, E.M.; Englender, S.J. The changing epidemiology of invasive group A streptococcal infections and the emergence of streptococcal toxic shock-like syndrome. A retrospective population-based study. JAMA 1993, 269, 384–389. [Google Scholar] [CrossRef] [PubMed]
- Babiker, A.; Kadri, S.S. ICU Management of Invasive β-Hemolytic Streptococcal Infections. Infect. Dis. Clin. N. Am. 2022, 36, 861–887. [Google Scholar] [CrossRef] [PubMed]
- Cunningham, M.W. Pathogenesis of Group A Streptococcal Infections. Clin. Microbiol. Rev. 2000, 13, 470–511. [Google Scholar] [CrossRef]
- Carothers, K.E.; Liang, Z.; Mayfield, J.; Donahue, D.L.; Lee, M.; Boggess, B.; Ploplis, V.A.; Castellino, F.J.; Lee, S.W. The Streptococcal Protease SpeB Antagonizes the Biofilms of the Human Pathogen Staphylococcus aureus USA300 through Cleavage of the Staphylococcal SdrC Protein. J. Bacteriol. 2020, 202, e00008-20. [Google Scholar] [CrossRef] [PubMed] [PubMed Central]
- Lancefield, R.C. The Antigenic Complex of Streptococcus haemolyticus. J. Exp. Med. 1928, 47, 91–103. [Google Scholar] [CrossRef]
- Ghosh, P. The nonideal coiled coil of M protein and its multifarious functions in pathogenesis. Adv. Exp. Med. Biol. 2011, 715, 197–211. [Google Scholar] [CrossRef] [PubMed]
- Wang, K.C.; Kuliyev, E.; Nizet, V.; Ghosh, P. A conserved 3D pattern in a Streptococcus pyogenes M protein immunogen elicits M-type crossreactivity. J. Biol. Chem. 2023, 299, 104980. [Google Scholar] [CrossRef] [PubMed] [PubMed Central]
- Venkatesan, P. Rise in group A streptococcal infections in England. Lancet Respir. Med. 2023, 11, e16. [Google Scholar] [CrossRef] [PubMed]
- Szczypa, K.; Wilemska, J.; Hryniewicz, W.; Sitkiewicz, I. The mechanisms of virulence of Streptococcus pyogenes. Adv. Microbiol. 2012, 51, 3–15. (In Polish) [Google Scholar]
- Valderrama, J.A.; Nizet, V. Group A Streptococcus encounters with host macrophages. Future Microbiol. 2018, 13, 119–134. [Google Scholar] [CrossRef] [PubMed] [PubMed Central]
- Nizet, V. Streptococcal beta-hemolysins: Genetics and role in disease pathogenesis. Trends Microbiol. 2002, 10, 575–580. [Google Scholar] [CrossRef] [PubMed]
- Proft, T.; Fraser, J.D. Streptococcal Superantigens: Biological properties and potential role in disease. In Streptococcus pyogenes: Basic Biology to Clinical Manifestations [Internet]; Ferretti, J.J., Stevens, D.L., Fischetti, V.A., Eds.; University of Oklahoma Health Sciences Center: Oklahoma City, OK, USA, 2016. Available online: https://www.ncbi.nlm.nih.gov/books/NBK333435/ (accessed on 29 July 2023).
- Gagnier, J.J.; Kienle, G.; Altman, D.G.; Moher, D.; Sox, H.; Riley, D. The CARE guidelines: Consensus-based clinical case reporting guideline development. BMJ Case Rep. 2013, 2, 38–43. [Google Scholar] [CrossRef]
- Evans, L.; Rhodes, A.; Alhazzani, W.; Antonelli, M.; Coopersmith, C.M.; French, C.; Machado, F.R.; Mcintyre, L.; Ostermann, M.; Prescott, H.C.; et al. Surviving sepsis campaign: International guidelines for management of sepsis and septic shock 2021. Intensive Care Med 2021, 47, 1181–1247. [Google Scholar] [CrossRef] [PubMed]
- Knaus, W.A.; Draper, E.A.; Wagner, D.P.; Zimmerman, J.E. APACHE II: A severity of disease classification system. Crit. Care Med. 1985, 13, 818–829. [Google Scholar] [CrossRef] [PubMed]
- Moreno, R.; Rhodes, A.; Piquilloud, L.; Hernandez, G.; Takala, J.; Gershengorn, H.B.; Tavares, M.; Coopersmith, C.M.; Myatra, S.N.; Singer, M.; et al. The Sequential Organ Failure Assessment (SOFA) Score: Has the time come for an update? Crit. Care 2023, 27, 15. [Google Scholar] [CrossRef] [PubMed]
- Leber, A.L. (Ed.) Clinical Microbiology Procedures Handbook, 4th ed.; American Society for Microbiology: Washington, DC, USA, 2016. [Google Scholar]
- Hotchkiss, R.S.; Moldawer, L.L.; Opal, S.M.; Reinhart, K.; Turnbull, I.R.; Vincent, J.-L. Sepsis and septic shock. Nat. Rev. Dis. Primers 2016, 2, 16045. [Google Scholar] [CrossRef] [PubMed]
- Stevens, D.L.; Bisno, A.L.; Chambers, H.F.; Dellinger, E.P.; Goldstein EJ, C.; Gorbach, S.L.; Hirschmann, J.; Kaplan, S.L.; Montoya, J.G.; Wade, J.C.; et al. Practice guidelines for the diagnosis and management of skin and soft tissue infections: 2014 update by the Infectious Diseases Society of America. Clin. Infect. Dis. 2014, 59, e10–e52. [Google Scholar] [CrossRef]
- Macris, M.H.; Hartman, N.; Murray, B.; Klein, R.F.; Roberts, R.B.; Kaplan, E.L.; Horn, D.; Zabriskie, J.B. Studies of the continuing susceptibility of group A streptococcal strains to penicillin during eight decades. Pediatr. Infect. Dis. J. 1998, 17, 377–381. [Google Scholar] [CrossRef] [PubMed]
- Schlievert, P.M.; Kelly, J.A. Clindamycin-induced suppression of toxic-shock syndrome-associated exotoxin production. J. Infect. Dis. 1984, 149, 471. [Google Scholar] [CrossRef] [PubMed]
- Gemmell, C.G.; Peterson, P.K.; Schmeling, D.; Kim, Y.; Mathews, J.; Wannamaker, L.; Quie, P.G. Potentiation of opsonization and phagocytosis of Streptococcus pyogenes following growth in the presence of clindamycin. J. Clin. Investig. 1981, 67, 1249–1256. [Google Scholar] [CrossRef]
- Mascini, E.M.; Jansze, M.; Schouls, L.M.; Verhoef, J.; Van Dijk, H. Penicillin and clindamycin differentially inhibit the production of pyrogenic exotoxins A and B by group A streptococci. Int. J. Antimicrob. Agents 2001, 18, 395–398. [Google Scholar] [CrossRef] [PubMed]
- Sriskandan, S.; Faulkner, L.; Hopkins, P. Streptococcus pyogenes: Insight into the function of the streptococcal superantigens. Int. J. Biochem. Cell Biol. 2007, 39, 12–19. [Google Scholar] [CrossRef] [PubMed]
- Derichard, A.; Hindy-Francois, C.; Jugie, M.; Hamza, J. Pancytopenia associated with influenza A infection. Presse Med. 2013, 42, 1058–1060. [Google Scholar] [CrossRef] [PubMed]
- Cheng, Y.; Zhao, H.; Song, P.; Zhang, Z.; Chen, J.; Zhou, Y.-H. Dynamic changes of lymphocyte counts in adult patients with severe pandemic H1N1 influenza A. J. Infect. Public. Health 2019, 12, 878–883. [Google Scholar] [CrossRef] [PubMed]
- Xu, J.; Yu, J.; Yang, L.; Zhou, F.; Li, H.; Cao, B. Influenza Virus in Community-Acquired Pneumonia: Current Understanding and Knowledge Gaps. Semin. Respir. Crit. Care Med. 2020, 41, 555–567. [Google Scholar] [CrossRef] [PubMed]
- Quinn, R.W. Comprehensive review of morbidity and mortality trends for rheumatic fever, streptococcal disease, and scarlet fever: The decline of rheumatic fever. Rev Infect Dis 1989, 11, 928–953. [Google Scholar] [CrossRef]
- Oppegaard, O.; Rath, E. Treatment of Necrotizing Soft Tissue Infections: Antibiotics. In Necrotizing Soft Tissue Infections: Clinical and Pathogenic Aspects Advances in Experimental Medicine and Biology; Norrby-Teglund, A., Svensson, M., Skrede, S., Eds.; Springer International Publishing: Cham, Switzerland, 2020; pp. 87–103. [Google Scholar] [CrossRef]







| Case | Age/Sex | Primary Source | Chronic Diseases | History of Viral Co-Infection | APACHE II | SOFA | Septic Shock | Length of Stay | End of Treatment |
|---|---|---|---|---|---|---|---|---|---|
| 1 | 42/M | Upper respiratory tract infection | none | AH1N1 flu virus | 41 | 15 | yes | 7 h | Died |
| 2 | 74/F | Cellulitis | Hypothyroidism Breast cancer in 2012 | History with influenza-like illness | 42 | 16 | yes | 12 h | Died |
| 3 | 53/F | Cellulitis, mediastinitis | none | History of preceding infection | 17 | 7 | yes | 25 h | Died |
| 4 | 67/M | Otitis media Cerebral abscess | Hypertension Gastroesophageal reflux disease | no | 23 | 13 | yes | 27 days | Discharge |
| 5 | 66/F | Lower leg phlegmon | Reumatoid arthritis Polyneuropathy | no | 20 | 15 | yes | 22 days | Discharge |
| 6 | 49/F | Pneumonia Pleural empyema | Type 2 Diabetes Mellitus | no | 9 | 3 | no | 58 days | Discharge |
| 7 | 47/M | Cellulitis | Asthma | no | 24 | 13 | yes | 7 days | Discharge |
| 8 | 78/F | Septic arthritis | STEMI a, AF b | no | 23 | 9 | yes | 6 days | Discharge |
| 9 | 21/M | Lower leg phlegmon | none | no | 8 | 10 | yes | 12 days | Discharge |
| 10 | 40/M | Lower leg phlegmon | none | no | 10 | 3 | no | 15 days | Discharge |
| 11 | 35/M | Pneumonia ARDS | none | Rhinovirus/Enterovirus (PN+) c | 21 | 15 | yes | 19 days | Transferred to the transplant center |
| Case | Additional Treatment | Bacterial Culture S. pyogenes(+) | Antibiotic Treatment | ||
|---|---|---|---|---|---|
| CRRT a | Source Sanitation | Empirical | Targeted | ||
| 1 | Yes | no | blood culture bronchoalveolar lavage | Levofloxacin Vancomicin | none |
| 2 | Yes | no | blood culture tissue biopsy | Clindamicin Linezolid Piperacilin/Tazobactam Vancomicin | none |
| 3 | Oxiris Cytosorb | no | blood culture + BCID2 b tissue biopsy | Linezolid Piperacilin/Tazobactam | Penicillin Clindamicin Linezolid |
| 4 | No | antro-mastoidectomy abscess evacuation | blood culture ear discharge | Ampicillin Ceftriaxone Metronidazole Vancomicin | Penicillin Clindamicin |
| 5 | Yes | lower extremity amputation | tissue biopsy | Clindamicin Piperacilin/Tazobactam Vancomicin | Penicillin Clindamicin |
| 6 | No | pleural drainage | pleural fluid | Ceftriaxone Metronidazole | Penicillin Clindamicin |
| 7 | No | chest incision and drainage | throat swab tissue biopsy | Clindamicin Linezolid Piperacilin/Tazobactam | Penicillin Clindamicin |
| 8 | No | knee joint aspiration | synovial fluid | Clindamicin Linezolid Piperacilin/Tazobactam | Penicillin Clindamicin |
| 9 | No | no | tissue biopsy | Clindamicin Cefepime | Penicillin Clindamicin Linezolid |
| 10 | No | lower leg incision and drainage | tissue biopsy | Ceftriaxone Clindamicin | Penicillin Clindamicin |
| 11 | Septex ECMO c | no | sputum + (PN+) d | Ertapenem Linezolid | Ertapenem Linezolid Penicillin |
| Case | WBC Cells × 103/μL | NEUT Cells × 103/μL | LYMPH Cells × 103/μL | NLR | PLT Cells × 103/μL | PCT ng/mL | CRP mg/L | LAC mmol/L |
|---|---|---|---|---|---|---|---|---|
| 1 | 1.0 | 0.88 | 0.13 | 6.8 | 104 | 58.72 | 237.4 | 9.6 |
| 2 | 1.9 | 1.2 | 0.49 | 2.4 | 136 | 67.94 | 345 | 13.4 |
| 3 | 11.5 | 8.91 | 0.43 | 20.7 | 133 | 35.56 | 286.3 | 16 |
| 4 | 27.9 | 26.2 | 0.47 | 55.7 | 137 | 85.92 | 353.7 | 2.7 |
| 5 | 6.0 | 4.66 | 0.11 | 42.4 | 38 | 31.04 | 343 | 5.9 |
| 6 | 10.1 | 9.34 | 0.22 | 42.5 | 259 | 7.49 | 517 | 2.5 |
| 7 | 17.2 | 14.62 | 0.40 | 36.6 | 164 | 7.04 | 417 | 4.1 |
| 8 | 32.6 | 30.64 | 0.59 | 51.9 | 167 | 24.28 | 271 | 5.5 |
| 9 | 11.5 | 10.63 | 0.14 | 75.9 | 94 | 39.67 | 329.6 | 2.8 |
| 10 | 25.0 | 22.0 | 0.57 | 38.6 | 253 | 64.39 | 515.4 | 3 |
| 11 | 6.1 | 5.51 | 0.17 | 32.4 | 58 | 809.38 | 405 | 5.9 |
Disclaimer/Publisher’s Note: The statements, opinions and data contained in all publications are solely those of the individual author(s) and contributor(s) and not of MDPI and/or the editor(s). MDPI and/or the editor(s) disclaim responsibility for any injury to people or property resulting from any ideas, methods, instructions or products referred to in the content. |
© 2025 by the authors. Licensee MDPI, Basel, Switzerland. This article is an open access article distributed under the terms and conditions of the Creative Commons Attribution (CC BY) license (https://creativecommons.org/licenses/by/4.0/).
Share and Cite
Leśnik, P.; Janc, J.; Biała, M.; Bartoszewicz, M.; Łysenko, L.; Słabisz, N. Old Bug—New Challenges After COVID-19 Pandemic: Severe Invasive Streptococcus pyogenes Infections in Adults—A Single-Center Experience in Poland. Pathogens 2025, 14, 199. https://doi.org/10.3390/pathogens14020199
Leśnik P, Janc J, Biała M, Bartoszewicz M, Łysenko L, Słabisz N. Old Bug—New Challenges After COVID-19 Pandemic: Severe Invasive Streptococcus pyogenes Infections in Adults—A Single-Center Experience in Poland. Pathogens. 2025; 14(2):199. https://doi.org/10.3390/pathogens14020199
Chicago/Turabian StyleLeśnik, Patrycja, Jarosław Janc, Martyna Biała, Marzenna Bartoszewicz, Lidia Łysenko, and Natalia Słabisz. 2025. "Old Bug—New Challenges After COVID-19 Pandemic: Severe Invasive Streptococcus pyogenes Infections in Adults—A Single-Center Experience in Poland" Pathogens 14, no. 2: 199. https://doi.org/10.3390/pathogens14020199
APA StyleLeśnik, P., Janc, J., Biała, M., Bartoszewicz, M., Łysenko, L., & Słabisz, N. (2025). Old Bug—New Challenges After COVID-19 Pandemic: Severe Invasive Streptococcus pyogenes Infections in Adults—A Single-Center Experience in Poland. Pathogens, 14(2), 199. https://doi.org/10.3390/pathogens14020199

