CRISPR/Cas9 Eye Drop HSV-1 Treatment Reduces Brain Viral Load: A Novel Application to Prevent Neuronal Damage
Abstract
1. Introduction
2. Materials and Methods
2.1. Virus and Cells
2.2. Animals and Ethical Approval
2.3. Experimental Ocular Infection
2.4. CRISPR/Cas9 and Pharmacological Treatment
2.5. DNA Extraction
2.6. Quantitative Real-Time PCR
2.7. Histopathology
2.8. Immunofluorescence
2.9. Statistical Analyses
3. Results
3.1. HSV-1 Viral Load Kinetics in CNS
3.2. Detection of HSV-1 in Brain Tissues After Treatment
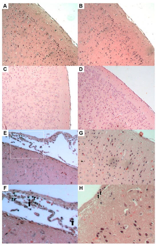
3.3. Pharmacological Treatment and Brain Cell Damage
3.4. CNS Infection with a Brazilian HSV-1 Strain Reaches Different Brain Regions
4. Discussion
5. Conclusions
Supplementary Materials
Author Contributions
Funding
Institutional Review Board Statement
Informed Consent Statement
Data Availability Statement
Conflicts of Interest
References
- Gatherer, D.; Depledge, D.P.; Hartley, C.A.; Szpara, M.L.; Vaz, P.K.; Benkő, M.; Brandt, C.R.; Bryant, N.A.; Dastjerdi, A.; Doszpoly, A.; et al. ICTV Virus Taxonomy Profile: Herpesviridae 2021. J. Gen. Virol. 2021, 102, 001673. [Google Scholar] [CrossRef] [PubMed]
- Singh, M.; Goodyear, H.M.; Breuer, J. Herpes Simplex Virus Infections. In Harper’s Textbook of Pediatric Dermatology; John Wiley & Sons, Ltd.: Hoboken, NJ, USA, 2019; pp. 598–611. ISBN 978-1-119-14281-2. [Google Scholar]
- Kropp, K.A.; Sun, G.; Viejo-Borbolla, A. Colonization of Peripheral Ganglia by Herpes Simplex Virus Type 1 and 2. Curr. Opin. Virol. 2023, 60, 101333. [Google Scholar] [CrossRef] [PubMed]
- James, C.; Harfouche, M.; Welton, N.J.; Turner, K.M.; Abu-Raddad, L.J.; Gottlieb, S.L.; Looker, K.J. Herpes Simplex Virus: Global Infection Prevalence and Incidence Estimates, 2016. Bull. World Health Organ. 2020, 98, 315–329. [Google Scholar] [CrossRef]
- Looker, K.J.; Magaret, A.S.; May, M.T.; Turner, K.M.E.; Vickerman, P.; Gottlieb, S.L.; Newman, L.M. Global and Regional Estimates of Prevalent and Incident Herpes Simplex Virus Type 1 Infections in 2012. PLoS ONE 2015, 10, e0140765. [Google Scholar] [CrossRef] [PubMed]
- Miller, C.S.; Danaher, R.J.; Jacob, R.J. Molecular Aspects of Herpes Simplex Virus I Latency, Reactivation, and Recurrence. Crit. Rev. Oral Biol. Med. 1998, 9, 541–562. [Google Scholar] [CrossRef]
- Wang, S.; Song, X.; Rajewski, A.; Santiskulvong, C.; Ghiasi, H. Stacking the Odds: Multiple Sites for HSV-1 Latency. Sci. Adv. 2023, 9, eadf4904. [Google Scholar] [CrossRef]
- Farooq, A.V.; Shukla, D. Herpes Simplex Epithelial and Stromal Keratitis: An Epidemiologic Update. Surv. Ophthalmol. 2012, 57, 448–462. [Google Scholar] [CrossRef]
- Damour, A.; Garcia, M.; Seneschal, J.; Lévêque, N.; Bodet, C. Eczema Herpeticum: Clinical and Pathophysiological Aspects. Clin. Rev. Allergy Immunol. 2020, 59, 1–18. [Google Scholar] [CrossRef] [PubMed]
- Gundamraj, V.; Hasbun, R. Viral Meningitis and Encephalitis: An Update. Curr. Opin. Infect. Dis. 2023, 36, 177. [Google Scholar] [CrossRef]
- Cliffe, A.R.; Wilson, A.C. Restarting Lytic Gene Transcription at the Onset of Herpes Simplex Virus Reactivation. J. Virol. 2017, 91, e01419-16. [Google Scholar] [CrossRef]
- Diefenbach, R.J.; Miranda-Saksena, M.; Douglas, M.W.; Cunningham, A.L. Transport and Egress of Herpes Simplex Virus in Neurons. Rev. Med. Virol. 2008, 18, 35–51. [Google Scholar] [CrossRef] [PubMed]
- Yang, A.Y.; Chow, J.; Liu, J. Corneal Innervation and Sensation: The Eye and Beyond. Yale J. Biol. Med. 2018, 91, 13–21. [Google Scholar] [PubMed]
- David, A.T.; Baghian, A.; Foster, T.P.; Chouljenko, V.N.; Kousoulas, K.G. The Herpes Simplex Virus Type 1 (HSV-1) Glycoprotein K(gK) Is Essential for Viral Corneal Spread and Neuroinvasiveness. Curr. Eye Res. 2008, 33, 455–467. [Google Scholar] [CrossRef]
- Studahl, M.; Lindquist, L.; Eriksson, B.-M.; Günther, G.; Bengner, M.; Franzen-Röhl, E.; Fohlman, J.; Bergström, T.; Aurelius, E. Acute Viral Infections of the Central Nervous System in Immunocompetent Adults: Diagnosis and Management. Drugs 2013, 73, 131–158. [Google Scholar] [CrossRef] [PubMed]
- Whitley, R.; Baines, J. Clinical Management of Herpes Simplex Virus Infections: Past, Present, and Future. F1000Res 2018, 7, F1000 Faculty Rev-1726. [Google Scholar] [CrossRef]
- George, B.P.; Schneider, E.B.; Venkatesan, A. Encephalitis Hospitalization Rates and Inpatient Mortality in the United States, 2000–2010. PLoS ONE 2014, 9, e104169. [Google Scholar] [CrossRef]
- Kawada, J. Neurological Disorders Associated with Human Alphaherpesviruses. In Human Herpesviruses; Kawaguchi, Y., Mori, Y., Kimura, H., Eds.; Springer: Singapore, 2018; pp. 85–102. ISBN 978-981-10-7230-7. [Google Scholar]
- Duarte, L.F.; Farías, M.A.; Álvarez, D.M.; Bueno, S.M.; Riedel, C.A.; González, P.A. Herpes Simplex Virus Type 1 Infection of the Central Nervous System: Insights Into Proposed Interrelationships with Neurodegenerative Disorders. Front. Cell. Neurosci. 2019, 13, 46. [Google Scholar] [CrossRef]
- Sousa, I.P.; dos Santos, F.B.; de Paula, V.S.; Vieira, T.C.R.G.; Dias, H.G.; Barros, C.A.; da Silva, E.E. Viral and Prion Infections Associated with Central Nervous System Syndromes in Brazil. Viruses 2021, 13, 1370. [Google Scholar] [CrossRef]
- Sköldenberg, B.; Aurelius, E.; Hjalmarsson, A.; Sabri, F.; Forsgren, M.; Andersson, B.; Linde, A.; Strannegård, O.; Studahl, M.; Hagberg, L.; et al. Incidence and Pathogenesis of Clinical Relapse after Herpes Simplex Encephalitis in Adults. J. Neurol. 2006, 253, 163–170. [Google Scholar] [CrossRef]
- Marcocci, M.E.; Napoletani, G.; Protto, V.; Kolesova, O.; Piacentini, R.; Puma, D.D.L.; Lomonte, P.; Grassi, C.; Palamara, A.T.; Chiara, G.D. Herpes Simplex Virus-1 in the Brain: The Dark Side of a Sneaky Infection. Trends Microbiol. 2020, 28, 808–820. [Google Scholar] [CrossRef]
- De Chiara, G.; Marcocci, M.E.; Sgarbanti, R.; Civitelli, L.; Ripoli, C.; Piacentini, R.; Garaci, E.; Grassi, C.; Palamara, A.T. Infectious Agents and Neurodegeneration. Mol. Neurobiol. 2012, 46, 614–638. [Google Scholar] [CrossRef] [PubMed]
- Mubareka, S.; Leung, V.; Aoki, F.Y.; Vinh, D.C. Famciclovir: A Focus on Efficacy and Safety. Expert Opin. Drug Saf. 2010, 9, 643–658. [Google Scholar] [CrossRef] [PubMed]
- Piret, J.; Boivin, G. Resistance of Herpes Simplex Viruses to Nucleoside Analogues: Mechanisms, Prevalence, and Management. Antimicrob. Agents Chemother. 2011, 55, 459–472. [Google Scholar] [CrossRef] [PubMed]
- Sadowski, L.A.; Upadhyay, R.; Greeley, Z.W.; Margulies, B.J. Current Drugs to Treat Infections with Herpes Simplex Viruses-1 and -2. Viruses 2021, 13, 1228. [Google Scholar] [CrossRef]
- Lembo, D.; Brune, W. Tinkering with a Viral Ribonucleotide Reductase. Trends Biochem. Sci. 2009, 34, 25–32. [Google Scholar] [CrossRef]
- Mostafa, H.H.; Thompson, T.W.; Konen, A.J.; Haenchen, S.D.; Hilliard, J.G.; Macdonald, S.J.; Morrison, L.A.; Davido, D.J. Herpes Simplex Virus 1 Mutant with Point Mutations in UL39 Is Impaired for Acute Viral Replication in Mice, Establishment of Latency, and Explant-Induced Reactivation. J. Virol. 2018, 92, e01654-17. [Google Scholar] [CrossRef]
- Davido, D.J.; Tu, E.M.; Wang, H.; Korom, M.; Gazquez Casals, A.; Reddy, P.J.; Mostafa, H.H.; Combs, B.; Haenchen, S.D.; Morrison, L.A. Attenuated Herpes Simplex Virus 1 (HSV-1) Expressing a Mutant Form of ICP6 Stimulates a Strong Immune Response That Protects Mice against HSV-1-Induced Corneal Disease. J. Virol. 2018, 92. [Google Scholar] [CrossRef] [PubMed]
- Ebrahimi, S.; Makvandi, M.; Abbasi, S.; Azadmanesh, K.; Teimoori, A. Developing Oncolytic Herpes Simplex Virus Type 1 through UL39 Knockout by CRISPR-Cas9. Iran. J. Basic Med. Sci. 2020, 23, 937. [Google Scholar] [CrossRef]
- Doudna, J.A.; Charpentier, E. The New Frontier of Genome Engineering with CRISPR-Cas9. Science 2014, 346, 1258096. [Google Scholar] [CrossRef]
- Jiang, F.; Doudna, J.A. CRISPR–Cas9 Structures and Mechanisms. Annu. Rev. Biophys. 2017, 46, 505–529. [Google Scholar] [CrossRef]
- Dogrammatzis, C.; Waisner, H.; Kalamvoki, M. “Non-Essential” Proteins of HSV-1 with Essential Roles In Vivo: A Comprehensive Review. Viruses 2020, 13, 17. [Google Scholar] [CrossRef] [PubMed]
- Goldstein, D.J.; Weller, S.K. Factor(s) Present in Herpes Simplex Virus Type 1-Infected Cells Can Compensate for the Loss of the Large Subunit of the Viral Ribonucleotide Reductase: Characterization of an ICP6 Deletion Mutant. Virology 1988, 166, 41–51. [Google Scholar] [CrossRef] [PubMed]
- Raposo, J.V.; Barros, L.R.C.; Torres, L.R.; da Silva Pinto, R.B.; de Oliveira Lopes, A.; de Souza, E.M.; Bonamino, M.H.; de Paula, V.S. CRISPR/Cas-9 Vector System: Targets UL-39 and Inhibits Simplexvirus Humanalpha1 (HSV-1) Replication in Vitro. Cell. Mol. Biol. (Noisy-le-grand) 2023, 69, 19–23. [Google Scholar] [CrossRef]
- Zhe, R.; Zhang, M.-Y.; Kaio, K.; Nobuyuki, K.; Zhu, Q.-C.; Zhang, P.-Z.; Yang, Z.-R.; Wang, Y.-F. Effect of siRNA on HSV-1 Plaque Formation and Relative Expression Levels of UL39 mRNA. Arch. Virol. 2008, 153, 1401–1406. [Google Scholar] [CrossRef] [PubMed]
- Ren, Z.; Li, S.; Wang, Q.; Xiang, Y.; Cui, Y.; Wang, Y.; Qi, R.; Lu, D.; Zhang, S.; Zhang, P. Effect of siRNAs on HSV-1 Plaque Formation and Relative Expression Levels of RR mRNA. Virol. Sin. 2011, 26, 40–46. [Google Scholar] [CrossRef]
- da Silva, A.S.; Raposo, J.V.; Pereira, T.C.; Pinto, M.A.; de Paula, V.S. Effects of RNA Interference Therapy against Herpes Simplex Virus Type 1 Encephalitis. Antivir. Ther. 2016, 21, 225–235. [Google Scholar] [CrossRef]
- Shimeld, C.; Efstathiou, S.; Hill, T. Tracking the Spread of a lacZ-Tagged Herpes Simplex Virus Type 1 between the Eye and the Nervous System of the Mouse: Comparison of Primary and Recurrent Infection. J. Virol. 2001, 75, 5252–5262. [Google Scholar] [CrossRef]
- Hirose, S.; Tormanen, K.; Kato, M.; Yu, J.; Ghiasi, H. Protocol for a Mouse CNS Demyelination Model Induced by a Combination of HSV-1 and IL-2. STAR Protoc. 2021, 2, 100287. [Google Scholar] [CrossRef]
- Katzilieris-Petras, G.; Lai, X.; Rashidi, A.S.; Verjans, G.M.G.M.; Reinert, L.S.; Paludan, S.R. Microglia Activate Early Antiviral Responses upon Herpes Simplex Virus 1 Entry into the Brain to Counteract Development of Encephalitis-Like Disease in Mice. J. Virol. 2022, 96, e01311-21. [Google Scholar] [CrossRef]
- de Souza, A.A.A.; Torres, L.R.; Lima, L.R.P.; de Paula, V.; Barros, J.J.; Bonecini-Almeida, M.D.G.; Waghabi, M.C.; Gardel, M.A.; Meuser-Batista, M.; de Souza, E.M. Inhibition of Brazilian ZIKV Strain Replication in Primary Human Placental Chorionic Cells and Cervical Cells Treated with Nitazoxanide. Braz. J. Infect. Dis. 2020, 24, 505–516. [Google Scholar] [CrossRef]
- Lima, L.R.P.; Silva, A.P.D.; Schmidt-Chanasit, J.; Paula, V.S.D. Diagnosis of Human Herpes Virus 1 and 2 (HHV-1 and HHV-2): Use of a Synthetic Standard Curve for Absolute Quantification by Real Time Polymerase Chain Reaction. Mem. Inst. Oswaldo Cruz 2017, 112, 220–223. [Google Scholar] [CrossRef] [PubMed][Green Version]
- Del Castilo, I.; Neumann, A.S.; Lemos, F.S.; De Bastiani, M.A.; Oliveira, F.L.; Zimmer, E.R.; Rêgo, A.M.; Hardoim, C.C.P.; Antunes, L.C.M.; Lara, F.A.; et al. Lifelong Exposure to a Low-Dose of the Glyphosate-Based Herbicide RoundUp® Causes Intestinal Damage, Gut Dysbiosis, and Behavioral Changes in Mice. Int. J. Mol. Sci. 2022, 23, 5583. [Google Scholar] [CrossRef] [PubMed]
- Gnann, J.W.; Whitley, R.J. Herpes Simplex Encephalitis: An Update. Curr. Infect. Dis. Rep. 2017, 19, 13. [Google Scholar] [CrossRef] [PubMed]
- Meyding-Lamadé, U.; Haas, J.; Lamadé, W.; Stingele, K.; Kehm, R.; Fäth, A.; Heinrich, K.; Storch Hagenlocher, B.; Wildemann, B. Herpes Simplex Virus Encephalitis: Long-Term Comparative Study of Viral Load and the Expression of Immunologic Nitric Oxide Synthase in Mouse Brain Tissue. Neurosci. Lett. 1998, 244, 9–12. [Google Scholar] [CrossRef] [PubMed]
- Marques, C.P.; Hu, S.; Sheng, W.; Lokensgard, J.R. Microglial Cells Initiate Vigorous yet Non-Protective Immune Responses during HSV-1 Brain Infection. Virus Res. 2006, 121, 1–10. [Google Scholar] [CrossRef]
- Shimeld, C.; Tullo, A.B.; Hill, T.J.; Blyth, W.A.; Easty, D.L. Spread of Herpes Simplex Virus and Distribution of Latent Infection after Intraocular Infection of the Mouse. Arch. Virol. 1985, 85, 175–187. [Google Scholar] [CrossRef]
- Menendez, C.M.; Carr, D.J.J. Herpes Simplex Virus-1 Infects the Olfactory Bulb Shortly Following Ocular Infection and Exhibits a Long-Term Inflammatory Profile in the Form of Effector and HSV-1-Specific T Cells. J. Neuroinflammation 2017, 14, 124. [Google Scholar] [CrossRef]
- Sagou, K.; Imai, T.; Sagara, H.; Uema, M.; Kawaguchi, Y. Regulation of the Catalytic Activity of Herpes Simplex Virus 1 Protein Kinase Us3 by Autophosphorylation and Its Role in Pathogenesis. J. Virol. 2009, 83, 5773–5783. [Google Scholar] [CrossRef]
- Koyanagi, N.; Imai, T.; Arii, J.; Kato, A.; Kawaguchi, Y. Role of Herpes Simplex Virus 1 Us3 in Viral Neuroinvasiveness. Microbiol. Immunol. 2014, 58, 31–37. [Google Scholar] [CrossRef]
- Andersen, L.L.; Mørk, N.; Reinert, L.S.; Kofod-Olsen, E.; Narita, R.; Jørgensen, S.E.; Skipper, K.A.; Höning, K.; Gad, H.H.; Østergaard, L.; et al. Functional IRF3 Deficiency in a Patient with Herpes Simplex Encephalitis. J. Exp. Med. 2015, 212, 1371–1379. [Google Scholar] [CrossRef]
- Piret, J.; Boivin, G. Immunomodulatory Strategies in Herpes Simplex Virus Encephalitis. Clin. Microbiol. Rev. 2020, 33, e00105-19. [Google Scholar] [CrossRef] [PubMed]
- Reinert, L.S.; Lopušná, K.; Winther, H.; Sun, C.; Thomsen, M.K.; Nandakumar, R.; Mogensen, T.H.; Meyer, M.; Vægter, C.; Nyengaard, J.R.; et al. Sensing of HSV-1 by the cGAS-STING Pathway in Microglia Orchestrates Antiviral Defence in the CNS. Nat. Commun. 2016, 7, 13348. [Google Scholar] [CrossRef] [PubMed]
- Diemen, F.R.v.; Kruse, E.M.; Hooykaas, M.J.G.; Bruggeling, C.E.; Schürch, A.C.; van Ham, P.M.; Imhof, S.M.; Nijhuis, M.; Wiertz, E.J.H.J.; Lebbink, R.J. CRISPR/Cas9-Mediated Genome Editing of Herpesviruses Limits Productive and Latent Infections. PLoS Pathog. 2016, 12, e1005701. [Google Scholar] [CrossRef]
- Aubert, M.; Madden, E.A.; Loprieno, M.; Feelixge, H.S.D.; Stensland, L.; Huang, M.-L.; Greninger, A.L.; Roychoudhury, P.; Niyonzima, N.; Nguyen, T.; et al. In Vivo Disruption of Latent HSV by Designer Endonuclease Therapy. JCI Insight 2016, 1, e88468. [Google Scholar] [CrossRef]
- Aubert, M.; Strongin, D.E.; Roychoudhury, P.; Loprieno, M.A.; Haick, A.K.; Klouser, L.M.; Stensland, L.; Huang, M.-L.; Makhsous, N.; Tait, A.; et al. Gene Editing and Elimination of Latent Herpes Simplex Virus in Vivo. Nat. Commun. 2020, 11, 4148. [Google Scholar] [CrossRef]
- Yin, D.; Ling, S.; Wang, D.; Dai, Y.; Jiang, H.; Zhou, X.; Paludan, S.R.; Hong, J.; Cai, Y. Targeting Herpes Simplex Virus with CRISPR–Cas9 Cures Herpetic Stromal Keratitis in Mice. Nat. Biotechnol. 2021, 39, 567–577. [Google Scholar] [CrossRef]
- da Silva, T.N.; de Lima, E.V.; Barradas, T.N.; Testa, C.G.; Picciani, P.H.S.; Figueiredo, C.P.; do Carmo, F.A.; Clarke, J.R. Nanosystems for Gene Therapy Targeting Brain Damage Caused by Viral Infections. Mater. Today Bio 2022, 18, 100525. [Google Scholar] [CrossRef] [PubMed]
- Zheng, Q.; Wang, W.; Zhou, Y.; Mo, J.; Chang, X.; Zha, Z.; Zha, L. Synthetic Nanoparticles for the Delivery of CRISPR/Cas9 Gene Editing System: Classification and Biomedical Applications. Biomater. Sci. 2023, 11, 5361–5389. [Google Scholar] [CrossRef]
- Wang, C.; Pan, C.; Yong, H.; Wang, F.; Bo, T.; Zhao, Y.; Ma, B.; He, W.; Li, M. Emerging Non-Viral Vectors for Gene Delivery. J. Nanobiotechnology 2023, 21, 272. [Google Scholar] [CrossRef]
- Khoshandam, M.; Soltaninejad, H.; Mousazadeh, M.; Hamidieh, A.A.; Hosseinkhani, S. Clinical Applications of the CRISPR/Cas9 Genome-Editing System: Delivery Options and Challenges in Precision Medicine. Genes. Dis. 2024, 11, 268–282. [Google Scholar] [CrossRef]
- Ying, M.; Wang, H.; Liu, T.; Han, Z.; Lin, K.; Shi, Q.; Zheng, N.; Ye, T.; Gong, H.; Xu, F. CLEAR Strategy Inhibited HSV Proliferation Using Viral Vectors Delivered CRISPR-Cas9. Pathogens 2023, 12, 814. [Google Scholar] [CrossRef] [PubMed]





| Experimental Groups | ||
|---|---|---|
| G1 | Non-infected (NI); negative control | n = 10 |
| G2 | Infected with 106 PFU/mL | n = 8 |
| G3 | Infected with 109 PFU/mL | n = 10 |
| G4 | Infected with 109 PFU/mL and treated CRISPR/Cas9 (200 ng/μL) | n = 10 |
| G5 | Infected with 109 PFU/mL and treated with acyclovir (150 mg/kg) | n = 10 |
| G6 | Non-infected and treated CRISPR/Cas9 (200 ng/μL) | n = 2 |
| Oligonucleotides | Sequences |
|---|---|
| Primers | |
| HSV-1 UL-39 forward | 5′-CCAACTGCACCATGATCATCGA-3′ |
| HSV-1 UL-39 reverse | 5′-GATGTTTGTCACCGCAACGAA-3′ |
| Probe | |
| p HSV-1 UL-39 | FAM-5′-CCCGCGCACCACGTC-3′-MGB |
Disclaimer/Publisher’s Note: The statements, opinions and data contained in all publications are solely those of the individual author(s) and contributor(s) and not of MDPI and/or the editor(s). MDPI and/or the editor(s) disclaim responsibility for any injury to people or property resulting from any ideas, methods, instructions or products referred to in the content. |
© 2024 by the authors. Licensee MDPI, Basel, Switzerland. This article is an open access article distributed under the terms and conditions of the Creative Commons Attribution (CC BY) license (https://creativecommons.org/licenses/by/4.0/).
Share and Cite
de Sousa, R.M.P.; Garcia, L.S.; Lemos, F.S.; de Campos, V.S.; Machado Ferreira, E.; de Almeida, N.A.A.; Maron-Gutierrez, T.; de Souza, E.M.; de Paula, V.S. CRISPR/Cas9 Eye Drop HSV-1 Treatment Reduces Brain Viral Load: A Novel Application to Prevent Neuronal Damage. Pathogens 2024, 13, 1087. https://doi.org/10.3390/pathogens13121087
de Sousa RMP, Garcia LS, Lemos FS, de Campos VS, Machado Ferreira E, de Almeida NAA, Maron-Gutierrez T, de Souza EM, de Paula VS. CRISPR/Cas9 Eye Drop HSV-1 Treatment Reduces Brain Viral Load: A Novel Application to Prevent Neuronal Damage. Pathogens. 2024; 13(12):1087. https://doi.org/10.3390/pathogens13121087
Chicago/Turabian Stylede Sousa, Rafaela Moraes Pereira, Luiza Silveira Garcia, Felipe Simões Lemos, Viviane Souza de Campos, Erik Machado Ferreira, Nathália Alves Araujo de Almeida, Tatiana Maron-Gutierrez, Elen Mello de Souza, and Vanessa Salete de Paula. 2024. "CRISPR/Cas9 Eye Drop HSV-1 Treatment Reduces Brain Viral Load: A Novel Application to Prevent Neuronal Damage" Pathogens 13, no. 12: 1087. https://doi.org/10.3390/pathogens13121087
APA Stylede Sousa, R. M. P., Garcia, L. S., Lemos, F. S., de Campos, V. S., Machado Ferreira, E., de Almeida, N. A. A., Maron-Gutierrez, T., de Souza, E. M., & de Paula, V. S. (2024). CRISPR/Cas9 Eye Drop HSV-1 Treatment Reduces Brain Viral Load: A Novel Application to Prevent Neuronal Damage. Pathogens, 13(12), 1087. https://doi.org/10.3390/pathogens13121087

